Toward the Application of Dual-Energy Computed Tomography with Virtual Non-Hydroxyapatite Color-Coded Maps to Identify Traumatic Fractures in Daily Emergency Settings
Abstract
1. Introduction
2. Materials and Methods
2.1. Study Population and Study Design
2.2. CT Protocol and Post-Processing
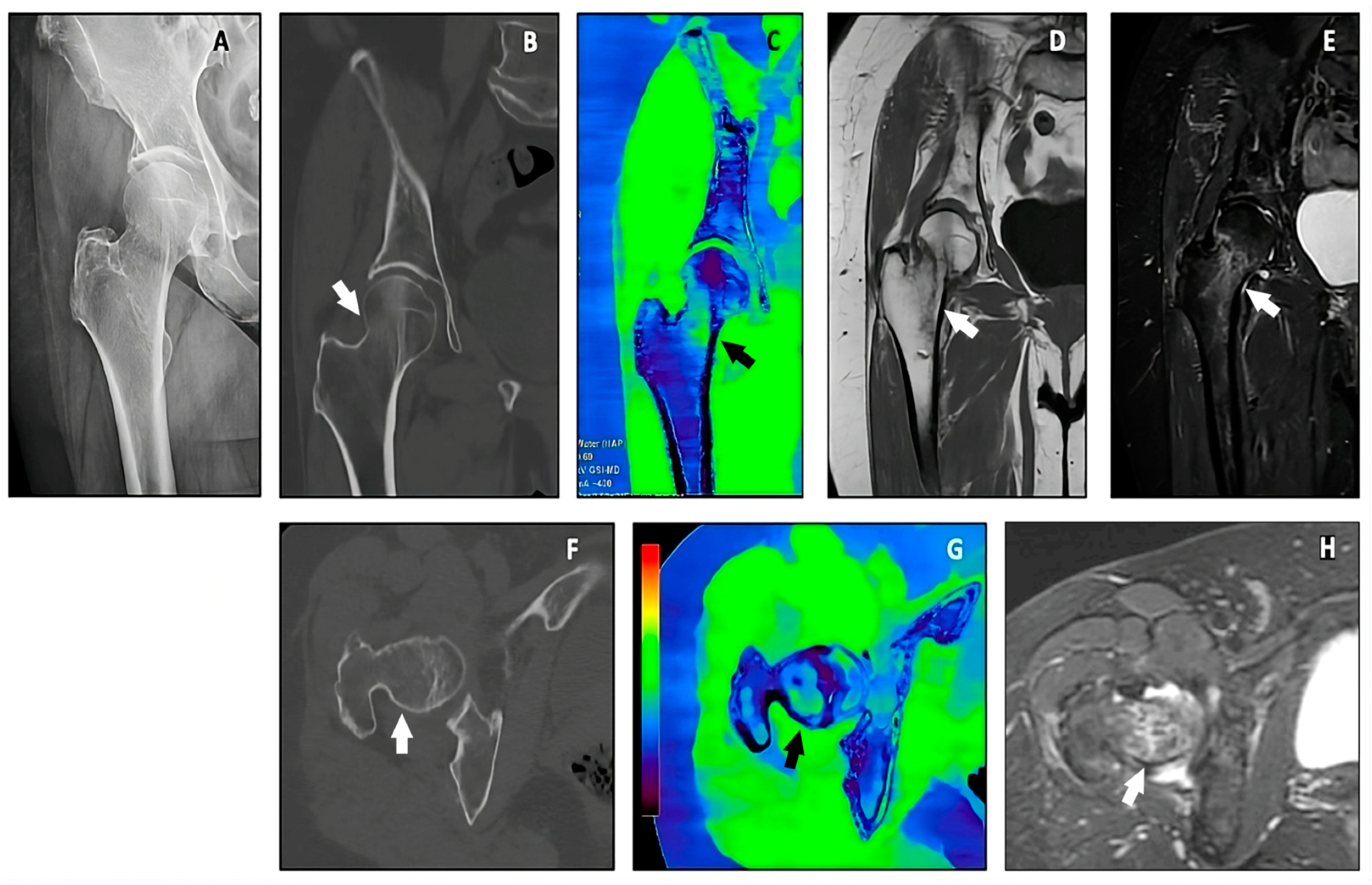
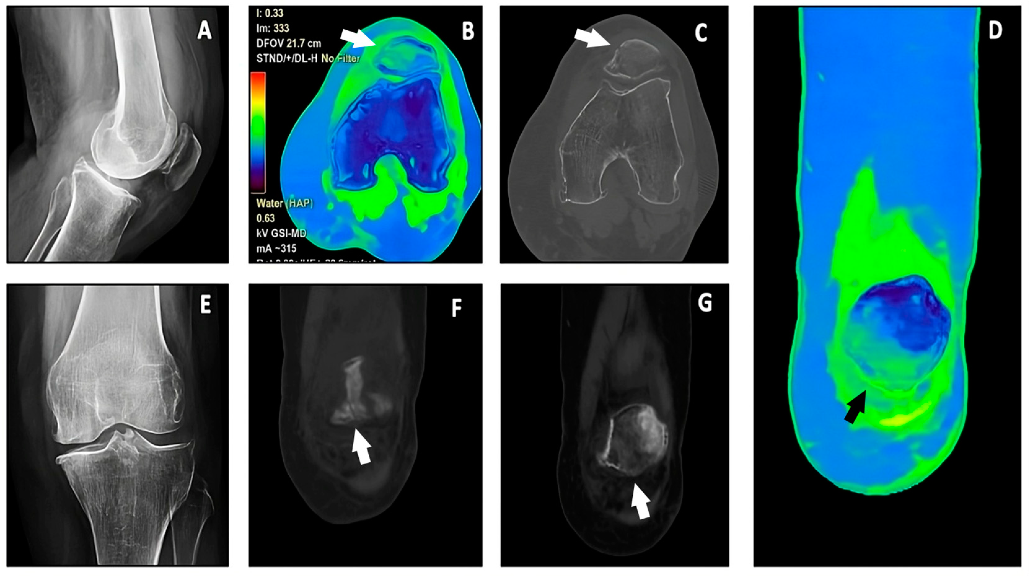
2.3. Image Analysis
2.4. Statistical Analysis
3. Results
4. Discussion
5. Conclusions
Author Contributions
Funding
Institutional Review Board Statement
Informed Consent Statement
Data Availability Statement
Conflicts of Interest
References
- Alexandrescu, R.; O’Brien, S.J.; Lecky, F.E. A review of injury epidemiology in the UK and Europe: Some methodological considerations in constructing rates. BMC Public Health 2009, 9, 226. [Google Scholar] [CrossRef] [PubMed]
- Chen, W.; Lv, H.; Liu, S.; Liu, B.; Zhu, Y.; Chen, X.; Yang, G.; Liu, L.; Zhang, T.; Wang, H.; et al. National incidence of traumatic fractures in China: A retrospective survey of 512,187 individuals. Lancet Glob. Health 2017, 5, e807–e817. [Google Scholar] [CrossRef]
- Hernández, J.L.; Olmos, J.M.; Alonso, M.A.; González-Fernández, C.R.; Martínez, J.; Pajarón, M.; Llorca, J.; González-Macías, J. Trend in hip fracture epidemiology over a 14-year period in a Spanish population. Osteoporos. Int. 2006, 17, 464–470. [Google Scholar] [CrossRef] [PubMed]
- Leone, E.; Ferrari, R.; Trinci, M.; Cingolani, E.; Galluzzo, M. Imaging features of electric scooter trauma: What an emergency radiologist needs to know. Radiol. Med. 2022, 127, 872–880. [Google Scholar] [CrossRef] [PubMed]
- Wu, S.; Li, R.; Wang, W.; Zhang, Y.; Mei, J. Fracture line distribution in femoral head fractures: A complement to Pipkin, Brumback, and AO/OTA classifications. Radiol. Med. 2022, 127, 1235–1244. [Google Scholar] [CrossRef]
- Reddy, T.; McLaughlin, P.D.; Mallinson, P.I.; Reagan, A.C.; Munk, P.L.; Nicolaou, S.; Ouellette, H.A. Detection of occult, undisplaced hip fractures with a dual-energy CT algorithm targeted to detection of bone marrow edema. Emerg. Radiol. 2015, 22, 25–29. [Google Scholar] [CrossRef]
- Odedra, D.; Narayanasamy, S.; Sabongui, S.; Priya, S.; Krishna, S.; Sheikh, A. Dual Energy CT Physics-A Primer for the Emergency Radiologist. Front. Radiol. 2022, 2, 820430. [Google Scholar] [CrossRef]
- Granata, V.; Fusco, R.; Cozzi, D.; Danti, G.; Faggioni, L.; Buccicardi, D.; Prost, R.; Ferrari, R.; Trinci, M.; Galluzzo, M.; et al. Structured reporting of computed tomography in the polytrauma patient assessment: A Delphi consensus proposal. Radiol. Med. 2023, 128, 222–233. [Google Scholar] [CrossRef]
- Grassi, R.; Guerra, E.; Berritto, D. Bone fractures difficult to recognize in emergency: May be cone beam computed tomography (CBCT) the solution? Radiol. Med. 2023, 128, 1–5. [Google Scholar] [CrossRef]
- Pan, J.; Yan, L.; Gao, H.; He, Y.; Zhong, Z.; Li, P.; Zhang, Y.; Guo, Y.; Liao, L.; Zhou, S.; et al. Fast kilovoltage (KV)-switching dual-energy computed tomography hydroxyapatite (HAP)-water decomposition technique for identifying bone marrow edema in vertebral compression fractures. Quant. Imaging Med. Surg. 2020, 10, 604–611. [Google Scholar] [CrossRef]
- Carotti, M.; Salaffi, F.; Beci, G.; Giovagnoni, A. The application of dual-energy computed tomography in the diagnosis of musculoskeletal disorders: A review of current concepts and applications. Radiol. Med. 2019, 124, 1175–1183. [Google Scholar] [CrossRef] [PubMed]
- D’Angelo, T.; Albrecht, M.H.; Caudo, D.; Mazziotti, S.; Vogl, T.J.; Wichmann, J.L.; Martin, S.; Yel, I.; Ascenti, G.; Koch, V.; et al. Virtual non-calcium dual-energy CT: Clinical applications. Eur. Radiol. Exp. 2021, 5, 38. [Google Scholar] [CrossRef] [PubMed]
- Floridi, C.; Cacioppa, L.M.; Agliata, G.; Cellina, M.; Rossini, N.; Valeri, T.; Curzi, M.; Felicioli, A.; Bruno, A.; Rosati, M.; et al. True Non-Contrast Phase versus Virtual-Non Contrast: “Lights and Shadows” of Dual Energy CT Angiography in Peripheral Arterial Disease. Appl. Sci. 2023, 13, 7134. [Google Scholar] [CrossRef]
- Floridi, C.; Cacioppa, L.M.; Valeri, T.; Rossini, N.; Rosati, M.; Vento, V.; Felicioli, A.; Macchini, M.; Candelari, R.; Carotti, M.; et al. The Clinical Utility of Lower Extremity Dual-Energy CT Angiography in the Detection of Bone Marrow Edema in Diabetic Patients with Peripheral Artery Disease. J. Clin. Med. 2024, 13, 1536. [Google Scholar] [CrossRef]
- Foti, G.; Lombardo, F.; Guerriero, M.; Rodella, T.; Cicciò, C.; Faccioli, N.; Serra, G.; Manenti, G. Management of vertebral compression fractures: The role of dual-energy CT in clinical practice. Radiol. Med. 2022, 127, 627–636. [Google Scholar] [CrossRef]
- Cavallaro, M.; D’Angelo, T.; Albrecht, M.H.; Yel, I.; Martin, S.S.; Wichmann, J.L.; Lenga, L.; Mazziotti, S.; Blandino, A.; Ascenti, G.; et al. Comprehensive comparison of dual-energy computed tomography and magnetic resonance imaging for the assessment of bone marrow edema and fracture lines in acute vertebral fractures. Eur. Radiol. 2022, 32, 561–571. [Google Scholar] [CrossRef]
- Cellina, M.; Cacioppa, L.M.; Cè, M.; Chiarpenello, V.; Costa, M.; Vincenzo, Z.; Pais, D.; Bausano, M.V.; Rossini, N.; Bruno, A.; et al. Artificial Intelligence in Lung Cancer Screening: The Future Is Now. Cancers 2023, 15, 4344. [Google Scholar] [CrossRef]
- Machida, H.; Tanaka, I.; Fukui, R.; Shen, Y.; Ishikawa, T.; Tate, E.; Ueno, E. Dual-Energy Spectral CT: Various Clinical Vascular Applications. Radiographics 2016, 36, 1215–1232. [Google Scholar] [CrossRef] [PubMed]
- Yang, L.; Sun, J.; Li, J.; Peng, Y. Dual-energy spectral CT imaging of pulmonary embolism with Mycoplasma pneumoniae pneumonia in children. Radiol. Med. 2022, 127, 154–161. [Google Scholar] [CrossRef]
- Arico’, F.M.; Trimarchi, R.; Portaluri, A.; Barilla’, C.; Migliaccio, N.; Bucolo, G.M.; Cicero, G.; Sofia, C.; Booz, C.; Vogl, T.J.; et al. Virtual monoenergetic dual-layer dual-energy CT images in colorectal cancer: CT diagnosis could be improved? Radiol. Med. 2023, 128, 891–899. [Google Scholar] [CrossRef]
- Cellina, M.; Cè, M.; Rossini, N.; Cacioppa, L.M.; Ascenti, V.; Carrafiello, G.; Floridi, C. Computed Tomography Urography: State of the Art and Beyond. Tomography 2023, 9, 909–930. [Google Scholar] [CrossRef] [PubMed]
- Gosangi, B.; Mandell, J.C.; Weaver, M.J.; Uyeda, J.W.; Smith, S.E.; Sodickson, A.D.; Khurana, B. Bone Marrow Edema at Dual-Energy CT: A Game Changer in the Emergency Department. Radiographics 2020, 40, 859–874. [Google Scholar] [CrossRef] [PubMed]
- Wong, A.J.N.; Wong, M.; Kutschera, P.; Lau, K.K. Dual-energy CT in musculoskeletal trauma. Clin. Radiol. 2021, 76, 38–49. [Google Scholar] [CrossRef]
- Foti, G.; Serra, G.; Iacono, V.; Zorzi, C. Identification of Traumatic Bone Marrow Oedema: The Pearls and Pitfalls of Dual-Energy CT (DECT). Tomography 2021, 7, 424–433. [Google Scholar] [CrossRef] [PubMed]
- Ren, Q.; Tang, D.; Xiong, Z.; Zhao, H.; Zhang, S. Traumatic bone marrow lesions in dual-energy computed tomography. Insights Imaging 2022, 13, 174. [Google Scholar] [CrossRef]
- Kaup, M.; Wichmann, J.L.; Scholtz, J.E.; Beeres, M.; Kromen, W.; Albrecht, M.H.; Lehnert, T.; Boettcher, M.; Vogl, T.J.; Bauer, R.W. Dual-Energy CT-based Display of Bone Marrow Edema in Osteoporotic Vertebral Compression Fractures: Impact on Diagnostic Accuracy of Radiologists with Varying Levels of Experience in Correlation to MR Imaging. Radiology 2016, 280, 510–519. [Google Scholar] [CrossRef]
- Foti, G.; Mantovani, W.; Faccioli, N.; Crivellari, G.; Romano, L.; Zorzi, C.; Carbognin, G. Identification of bone marrow edema of the knee: Diagnostic accuracy of dual-energy CT in comparison with MRI. Radiol. Med. 2021, 126, 405–413. [Google Scholar] [CrossRef] [PubMed]
- Ali, I.T.; Wong, W.D.; Liang, T.; Khosa, F.; Mian, M.; Jalal, S.; Nicolaou, S. Clinical Utility of Dual-Energy CT Analysis of Bone Marrow Edema in Acute Wrist Fractures. AJR Am. J. Roentgenol. 2018, 210, 842–847. [Google Scholar] [CrossRef]
- Guggenberger, R.; Gnannt, R.; Hodler, J.; Krauss, B.; Wanner, G.A.; Csuka, E.; Payne, B.; Frauenfelder, T.; Andreisek, G.; Alkadhi, H. Diagnostic performance of dual-energy CT for the detection of traumatic bone marrow lesions in the ankle: Comparison with MR imaging. Radiology 2012, 264, 164–173. [Google Scholar] [CrossRef]
- Booz, C.; Nöske, J.; Lenga, L.; Martin, S.S.; Yel, I.; Eichler, K.; Gruber-Rouh, T.; Huizinga, N.; Albrecht, M.H.; Vogl, T.J.; et al. Color-coded virtual non-calcium dual-energy CT for the depiction of bone marrow edema in patients with acute knee trauma: A multireader diagnostic accuracy study. Eur. Radiol. 2020, 30, 141–150. [Google Scholar] [CrossRef]
- Suh, C.H.; Yun, S.J.; Jin, W.; Lee, S.H.; Park, S.Y.; Ryu, C.W. Diagnostic performance of dual-energy CT for the detection of bone marrow oedema: A systematic review and meta-analysis. Eur. Radiol. 2018, 28, 4182–4194. [Google Scholar] [CrossRef] [PubMed]






| DECT Parameters | Values |
|---|---|
| Reconstruction slice thickness (mm) | 2 |
| Reconstruction FOV * diameter (mm) | 120–500 |
| Slice Thickness (mm) | 0.625 |
| Scan-Pitch Ratio | 0.516:1 |
| Low energy (kVp) | 80 |
| High energy (kVp) | 140 |
| Tube current (mA) | 190–480 |
| Rotation Time (s) | 0.8 |
| Reconstruction algorithm | 50% ASIR V ** |
| Reconstruction kernel | Bone Plus |
| Demographic Features | |
|---|---|
| Patients (n) | 40 |
| Age (yrs) mean ± standard deviation [Range] | 83 ± 23.7 [22–95] |
| Sex (male/female) | 22/18 |
| Trauma history | n (%) |
| Positive history for trauma | 40 (100%) |
| Confirmed fracture | 18 (45%) |
| Negative for fracture | 22 (55%) |
| Etiological classification | n (%) |
| Vertebral body fractures | 4 (10%) |
| Hip fractures | 4 (10%) |
| Knee fractures | 1 (2.5%) |
| Wrist fractures | 4 (10%) |
| Ankle fractures | 3 (7.5%) |
| Foot fractures | 1 (2.5%) |
| Hand fractures | 1 (2.5%) |
| Clinical features | n (%) |
| Local pain | 36 (90%) |
| Local swelling | 24 (60%) |
| Functional compromise | 28 (70%) |
| Acute hemorrhage | 0 |
| Variables | Operator 1 | Operator 1 | Operator 2 | Operator 2 | ||||
|---|---|---|---|---|---|---|---|---|
| Bone CT | VNHAP | Bone CT | VNHAP | |||||
| SE | 15/18 | 83.3% | 14/18 | 77.7% | 13/18 | 72.2% | 13/18 | 72.2% |
| SP | 20/22 | 90.9% | 20/22 | 90.9% | 19/22 | 86.0% | 21/22 | 95.0% |
| PPV | 15/17 | 88.2% | 14/16 | 87.5% | 13/16 | 81.2% | 13/14 | 92.8% |
| NPV | 20/23 | 86.9% | 20/24 | 83.3% | 19/24 | 79.1% | 21/26 | 80.7% |
| Accuracy | 35/40 | 87.5% | 34/40 | 85.0% | 32/40 | 80.0% | 34/40 | 85.0% |
Disclaimer/Publisher’s Note: The statements, opinions and data contained in all publications are solely those of the individual author(s) and contributor(s) and not of MDPI and/or the editor(s). MDPI and/or the editor(s) disclaim responsibility for any injury to people or property resulting from any ideas, methods, instructions or products referred to in the content. |
© 2024 by the authors. Licensee MDPI, Basel, Switzerland. This article is an open access article distributed under the terms and conditions of the Creative Commons Attribution (CC BY) license (https://creativecommons.org/licenses/by/4.0/).
Share and Cite
Ventura, C.; Cacioppa, L.M.; Caldarelli, S.; Sallei, G.; Lamponi, F.; Mascitti, M.; Carotti, M.; Floridi, C.; Valeri, G. Toward the Application of Dual-Energy Computed Tomography with Virtual Non-Hydroxyapatite Color-Coded Maps to Identify Traumatic Fractures in Daily Emergency Settings. J. Imaging 2024, 10, 267. https://doi.org/10.3390/jimaging10110267
Ventura C, Cacioppa LM, Caldarelli S, Sallei G, Lamponi F, Mascitti M, Carotti M, Floridi C, Valeri G. Toward the Application of Dual-Energy Computed Tomography with Virtual Non-Hydroxyapatite Color-Coded Maps to Identify Traumatic Fractures in Daily Emergency Settings. Journal of Imaging. 2024; 10(11):267. https://doi.org/10.3390/jimaging10110267
Chicago/Turabian StyleVentura, Claudio, Laura Maria Cacioppa, Sonia Caldarelli, Giovanni Sallei, Federico Lamponi, Marco Mascitti, Marina Carotti, Chiara Floridi, and Gianluca Valeri. 2024. "Toward the Application of Dual-Energy Computed Tomography with Virtual Non-Hydroxyapatite Color-Coded Maps to Identify Traumatic Fractures in Daily Emergency Settings" Journal of Imaging 10, no. 11: 267. https://doi.org/10.3390/jimaging10110267
APA StyleVentura, C., Cacioppa, L. M., Caldarelli, S., Sallei, G., Lamponi, F., Mascitti, M., Carotti, M., Floridi, C., & Valeri, G. (2024). Toward the Application of Dual-Energy Computed Tomography with Virtual Non-Hydroxyapatite Color-Coded Maps to Identify Traumatic Fractures in Daily Emergency Settings. Journal of Imaging, 10(11), 267. https://doi.org/10.3390/jimaging10110267

