Recovery of Collagen/Gelatin from Fish Waste with Carbon Dioxide as a Green Solvent: An Optimization and Characterization
Abstract
1. Introduction
2. Results
2.1. Effect of Extraction Conditions on the Yield
2.2. Optimization of Collagen Extraction Conditions on the Yield
2.3. Interaction of Process Conditions
2.4. Assessment of Process Efficiency
2.5. FTIR Spectra
2.6. UV Spectra
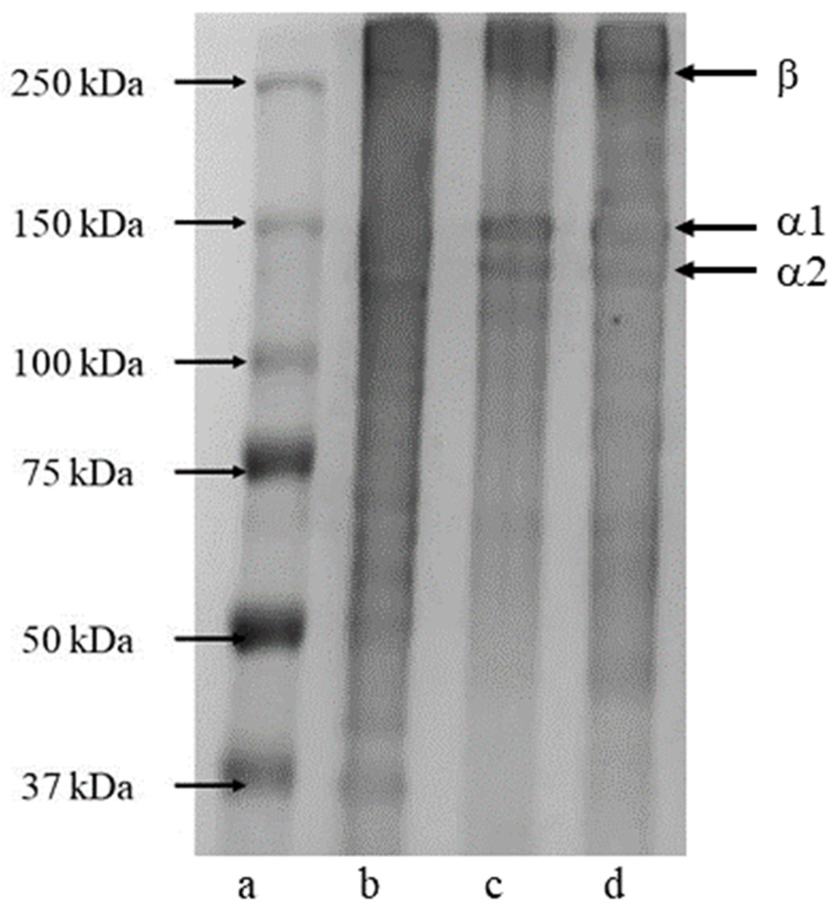
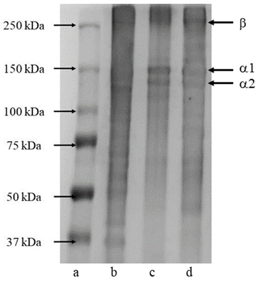
2.7. Electrophoretic Patterns
2.8. Morphology
2.9. Thermal Stability
3. Materials and Methods
3.1. Materials
3.2. Preparation and Pretreatment of Fish Skin and Bone
3.3. Extraction Method and Extraction Yield
3.4. Experimental Design and Modeling
3.5. Characterization of the Obtained Product
3.5.1. Fourier Transform Infrared Spectroscopy (FTIR)
3.5.2. Electrophoretic Pattern
3.5.3. Scanning Electron Microscopy (SEM)
3.5.4. Thermal Gravimetric Analysis (TGA)
3.5.5. UV Absorption Spectrum
4. Conclusions
Author Contributions
Funding
Institutional Review Board Statement
Informed Consent Statement
Data Availability Statement
Acknowledgments
Conflicts of Interest
References
- Coppola, D.; Lauritano, C.; Esposito, F.P.; Riccio, G.; Rizzo, C.; de Pascale, D. Fish Waste: From Problem to Valuable Resource. Mar. Drugs 2021, 19, 116. [Google Scholar] [CrossRef] [PubMed]
- Bhuimbar, M.V.; Bhagwat, P.K.; Dandge, P.B. Extraction and Characterization of Acid Soluble Collagen from Fish Waste: Development of Collagen-Chitosan Blend as Food Packaging Film. J. Environ. Chem. Eng. 2019, 7, 102983. [Google Scholar] [CrossRef]
- Tan, Y.; Chang, S.K.C. Isolation and Characterization of Collagen Extracted from Channel Catfish (Ictalurus punctatus) Skin. Food Chem. 2018, 242, 147–155. [Google Scholar] [CrossRef]
- Chen, J.; Li, L.; Yi, R.; Xu, N.; Gao, R.; Hong, B. Extraction and Characterization of Acid-Soluble Collagen from Scales and Skin of Tilapia (Oreochromis niloticus). LWT-Food Sci. Technol. 2016, 66, 453–459. [Google Scholar] [CrossRef]
- Huang, C.Y.; Kuo, J.M.; Wu, S.J.; Tsai, H.T. Isolation and Characterization of Fish Scale Collagen from Tilapia (Oreochromis Sp.) by a Novel Extrusion-Hydro-Extraction Process. Food Chem. 2016, 190, 997–1006. [Google Scholar] [CrossRef]
- Liu, W.; Zhang, Y.; Cui, N.; Wang, T. Extraction and Characterization of Pepsin-Solubilized Collagen from Snakehead (Channa argus) Skin: Effects of Hydrogen Peroxide Pretreatments and Pepsin Hydrolysis Strategies. Process. Biochem. 2019, 76, 194–202. [Google Scholar] [CrossRef]
- Ali, A.M.M.; Benjakul, S.; Prodpran, T.; Kishimura, H. Extraction and Characterisation of Collagen from the Skin of Golden Carp (Probarbus jullieni), a Processing By-Product. Waste Biomass Valorization 2018, 9, 783–791. [Google Scholar] [CrossRef]
- Arumugam, G.K.S.; Sharma, D.; Balakrishnan, R.M.; Ettiyappan, J.B.P. Extraction, Optimization and Characterization of Collagen from Sole Fish Skin. Sustain. Chem. Pharm. 2018, 9, 19–26. [Google Scholar] [CrossRef]
- Wang, M.; Zhou, J.; Collado, M.C.; Barba, F.J. Accelerated Solvent Extraction and Pulsed Electric Fields for Valorization of Rainbow Trout (Oncorhynchus mykiss) and Sole (Dover sole) By-Products: Protein Content, Molecular Weight Distribution and Antioxidant Potential of the Extracts. Mar. Drugs 2021, 19, 207. [Google Scholar] [CrossRef]
- Faralizadeh, S.; Rahimabadi, E.Z.; Bahrami, S.H.; Hasannia, S. Extraction, Characterization and Biocompatibility Evaluation of Collagen from Silver Carp (Hypophthalmichthys molitrix) Skin by-Product. Sustain. Chem. Pharm. 2021, 22, 100454. [Google Scholar] [CrossRef]
- Vidthayanon, C.; Hongan, Z. Pangasianodon hypophthalmus, Striped Catfish. IUCN Red List. Threat. Species 2013, e.T180689A7649971. Available online: https://www.iucnredlist.org/species/180689/7649971 (accessed on 17 February 2023).
- Sousa, R.O.; Martins, E.; Carvalho, D.N.; Alves, A.L.; Oliveira, C.; Duarte, A.R.C.; Silva, T.H.; Reis, R.L. Collagen from Atlantic Cod (Gadus morhua) Skins Extracted Using CO2 Acidified Water with Potential Application in Healthcare. J. Polym. Res. 2020, 27, 73. [Google Scholar] [CrossRef]
- Liu, X.; Zheng, C.; Luo, X.; Wang, X.; Jiang, H. Recent Advances of Collagen-Based Biomaterials: Multi-Hierarchical Structure, Modification and Biomedical Applications. Mater. Sci. Eng. C 2019, 99, 1509–1522. [Google Scholar] [CrossRef] [PubMed]
- Li, B.; Zhou, F.; Huang, K.; Wang, Y.; Mei, S.; Zhou, Y.; Jing, T. Environmentally Friendly Chitosan/PEI-Grafted Magnetic Gelatin for the Highly Effective Removal of Heavy Metals from Drinking Water. Sci. Rep. 2017, 7, srep43082. [Google Scholar] [CrossRef]
- Silva, J.C.; Barros, A.A.; Aroso, I.M.; Fassini, D.; Silva, T.H.; Reis, R.L.; Duarte, A.R.C. Extraction of Collagen/Gelatin from the Marine Demosponge Chondrosia Reniformis (Nardo, 1847) Using Water Acidified with Carbon Dioxide—Process Optimization. Ind. Eng. Chem. Res. 2016, 55, 6922–6930. [Google Scholar] [CrossRef]
- Darban, Z.; Shahabuddin, S.; Gaur, R.; Ahmad, I.; Sridewi, N. Hydrogel-Based Adsorbent Material for the Effective Removal of Heavy Metals from Wastewater: A Comprehensive Review. Gels 2022, 8, 263. [Google Scholar] [CrossRef]
- Rigueto, C.V.T.; Nazari, M.T.; Massuda, L.Á.; Ostwald, B.E.P.; Piccin, J.S.; Dettmer, A. Production and Environmental Applications of Gelatin-Based Composite Adsorbents for Contaminants Removal: A Review. Environ. Chem. Lett. 2021, 19, 2465–2486. [Google Scholar] [CrossRef]
- 정인우; 싸이풀라 론. Chitosan-Gelatin Hydrogels for Heavy Metal Adsorption and Chitosan-Gelatin Hydrogels Manufactured by the Same Method. KR20190027661A, 7 September 2019. [Google Scholar]
- Ahmed, R.; Haq, M.; Chun, B.S. Characterization of Marine Derived Collagen Extracted from the By-Products of Bigeye Tuna (Thunnus obesus). Int. J. Biol. Macromol. 2019, 135, 668–676. [Google Scholar] [CrossRef]
- Sorushanova, A.; Delgado, L.M.; Wu, Z.; Shologu, N.; Kshirsagar, A.; Raghunath, R.; Mullen, A.M.; Bayon, Y.; Pandit, A.; Raghunath, M.; et al. The Collagen Suprafamily: From Biosynthesis to Advanced Biomaterial Development. Adv. Mater. 2019, 31, 1801651. [Google Scholar] [CrossRef]
- Li, Z.R.; Wang, B.; Chi, C.F.; Zhang, Q.H.; Gong, Y.D.; Tang, J.J.; Luo, H.Y.; Ding, G. fang Isolation and Characterization of Acid Soluble Collagens and Pepsin Soluble Collagens from the Skin and Bone of Spanish Mackerel (Scomberomorous niphonius). Food Hydrocoll. 2013, 31, 103–113. [Google Scholar] [CrossRef]
- Barros, A.A.; Aroso, I.M.; Silva, T.H.; Mano, J.F.; Duarte, A.R.C.; Reis, R.L. Water and Carbon Dioxide: Green Solvents for the Extraction of Collagen/Gelatin from Marine Sponges. ACS Sustain. Chem. Eng. 2015, 3, 254–260. [Google Scholar] [CrossRef]
- Jafari, H.; Lista, A.; Siekapen, M.M.; Ghaffari-Bohlouli, P.; Nie, L.; Alimoradi, H.; Shavandi, A. Fish Collagen: Extraction, Characterization, and Applications for Biomaterials Engineering. Polymers 2020, 12, 2230. [Google Scholar] [CrossRef] [PubMed]
- Singh, P.; Benjakul, S.; Maqsood, S.; Kishimura, H. Isolation and Characterisation of Collagen Extracted from the Skin of Striped Catfish (Pangasianodon hypophthalmus). Food Chem. 2011, 124, 97–105. [Google Scholar] [CrossRef]
- He, G.; Yan, X.; Wang, X.; Wang, Y. Extraction and Structural Characterization of Collagen from Fishbone by High Intensity Pulsed Electric Fields. J. Food Process. Eng. 2019, 42, e13214. [Google Scholar] [CrossRef]
- Essien, S.O.; Young, B.; Baroutian, S. Recent Advances in Subcritical Water and Supercritical Carbon Dioxide Extraction of Bioactive Compounds from Plant Materials. Trends Food Sci. Technol. 2020, 97, 156–169. [Google Scholar] [CrossRef]
- Liao, G.; Liu, L.; E, J.; Zhang, F.; Chen, J.; Deng, Y.; Zhu, H. Effects of Technical Progress on Performance and Application of Supercritical Carbon Dioxide Power Cycle: A Review. Energy Convers. Manag. 2019, 199, 111986. [Google Scholar] [CrossRef]
- Mohammadi, R.; Mohammadifar, M.A.; Mortazavian, A.M.; Rouhi, M.; Ghasemi, J.B.; Delshadian, Z. Extraction Optimization of Pepsin-Soluble Collagen from Eggshell Membrane by Response Surface Methodology (RSM). Food Chem. 2016, 190, 186–193. [Google Scholar] [CrossRef]
- Thu Huong, L.T.; Dung, N.H.; Tuan, P.D. Optimization of Conditions for Extraction of Collagen from the Skins of Basa Fish (Pangasius Hypophthalmus) By the Response Surface Method. Vietnam J. Sci. Technol. 2014, 52, 339–347. [Google Scholar]
- Riaz, T.; Zeeshan, R.; Zarif, F.; Ilyas, K.; Muhammad, N.; Safi, S.Z.; Rahim, A.; Rizvi, S.A.A.; Rehman, I.U. FTIR Analysis of Natural and Synthetic Collagen. Appl. Spectrosc. Rev. 2018, 53, 703–746. [Google Scholar] [CrossRef]
- de Melo Oliveira, V.; Assis, C.R.D.; Costa, B.D.A.M.; de Arauro Neri, R.C.; Monte, F.T.D.; da Costa Vasconcelos, H.M.S.; França, R.C.P.; Santos, J.F.; de Souza Bezerra, R.; Porto, A.L.F. Physical, Biochemical, Densitometric and Spectroscopic Techniques for Characterization Collagen from Alternative Sources: A Review Based on the Sustainable Valorization of Aquatic by-Products. J. Mol. Struct. 2021, 1224, 129023. [Google Scholar] [CrossRef]
- Hukmi, N.M.M.; Sarbon, N.M. Isolation and Characterization of Acid Soluble Collagen (ASC) and Pepsin Soluble Collagen (PSC) Extracted from Silver Catfish (Pangasius Sp.) Skin. Int. Food Res. J. 2018, 25, 1785–1791. [Google Scholar]
- Zhang, Q.; Wang, Q.; Lv, S.; Lu, J.; Jiang, S.; Regenstein, J.M.; Lin, L. Comparison of Collagen and Gelatin Extracted from the Skins of Nile Tilapia (Oreochromis niloticus) and Channel Catfish (Ictalurus Punctatus). Food Biosci. 2016, 13, 41–48. [Google Scholar] [CrossRef]
- Veeruraj, A.; Arumugam, M.; Ajithkumar, T.; Balasubramanian, T. Isolation and Characterization of Collagen from the Outer Skin of Squid (Doryteuthis singhalensis). Food Hydrocoll. 2015, 43, 708–716. [Google Scholar] [CrossRef]
- Xu, S.; Yang, H.; Shen, L.; Li, G. Purity and Yield of Collagen Extracted from Southern Catfish (Silurus meridionalis Chen) Skin through Improved Pretreatment Methods. Int. J. Food Prop. 2017, 20, S141–S153. [Google Scholar] [CrossRef]
- Sun, L.; Hou, H.; Li, B.; Zhang, Y. Characterization of Acid- and Pepsin-Soluble Collagen Extracted from the Skin of Nile Tilapia (Oreochromis niloticus). Int. J. Biol. Macromol. 2017, 99, 8–14. [Google Scholar] [CrossRef] [PubMed]
- Mitra, T.; Sailakshmi, G.; Gnanamani, A.; Mandal, B. Preparation and Characterization of Malonic Acid Cross-Linked Chitosan and Collagen 3D Scaffolds: An Approach on Non-Covalent Interactions. J. Mater. Sci. Mater. Med. 2012, 23, 1309–1321. [Google Scholar] [CrossRef]
- Yang, S.; Leong, K.F.; Du, Z.; Chua, C.K. The Design of Scaffolds for Use in Tissue Engineering. Part I. Traditional Factors. Tissue Eng. 2001, 7, 679–689. [Google Scholar] [CrossRef] [PubMed]
- Tylingo, R.; Mania, S. Isolation and Characterization of Acid Soluble Collagen from the Skin of African Catfish (Clarias gariepinus), Salmon (Salmo Salar) and Baltic Cod (Gadus Morhua). J. Biotechnol. Biomater. 2016, 6, 234. [Google Scholar] [CrossRef]
- Woo, J.W.; Yu, S.J.; Cho, S.M.; Lee, Y.B.; Kim, S.B. Extraction Optimization and Properties of Collagen from Yellowfin Tuna (Thunnus albacares) Dorsal Skin. Food Hydrocoll. 2008, 22, 879–887. [Google Scholar] [CrossRef]
- Blanco, M.; Vázquez, J.A.; Pérez-Martín, R.I.; Sotelo, C.G. Collagen Extraction Optimization from the Skin of the Small-Spotted Catshark (S. Canicula) by Response Surface Methodology. Mar. Drugs 2019, 17, 40. [Google Scholar] [CrossRef]
- Laemmli, U.K. Cleavage of Structural Proteins during the Assembly of the Head of Bacteriophage T4. Nature 1970, 227, 680–685. [Google Scholar] [CrossRef] [PubMed]








| Order | Process Conditions | Center Point | Yields (%) | |||
|---|---|---|---|---|---|---|
| Time (h) | Temperature (°C) | Pressure (bar) | Skin | Bone | ||
| 1 | −1 | −1 | −1 | 1 | 1.05 | 0.28 |
| 2 | 1 | −1 | −1 | 1 | 12.10 | 2.65 |
| 3 | −1 | 1 | −1 | 1 | 1.90 | 0.55 |
| 4 | 1 | 1 | −1 | 1 | 15.85 | 6.85 |
| 5 | −1 | −1 | 1 | 1 | 3.80 | 1.10 |
| 6 | 1 | −1 | 1 | 1 | 30.40 | 6.65 |
| 7 | −1 | 1 | 1 | 1 | 4.60 | 1.05 |
| 8 | 1 | 1 | 1 | 1 | 36.85 | 8.10 |
| 9 | −1 | −1 | −1 | 1 | 1.10 | 0.25 |
| 10 | 1 | −1 | −1 | 1 | 12.20 | 2.60 |
| 11 | −1 | 1 | −1 | 1 | 2.10 | 0.40 |
| 12 | 1 | 1 | −1 | 1 | 13.00 | 6.60 |
| 13 | −1 | −1 | 1 | 1 | 3.90 | 1.00 |
| 14 | 1 | −1 | 1 | 1 | 30.20 | 6.72 |
| 15 | −1 | 1 | 1 | 1 | 4.55 | 0.90 |
| 16 | 1 | 1 | 1 | 1 | 36.60 | 7.80 |
| 17 | 0 | 0 | 0 | 0 | 15.10 | 4.20 |
| 18 | 0 | 0 | 0 | 0 | 13.40 | 3.10 |
| Source | DF | Adj Sum of Squares | Adj Mean Square | F-Value | p-Value |
|---|---|---|---|---|---|
| Model | 8 | 2567.55 | 320.94 | 516.73 | 0.000 |
| Linear | 3 | 2236.29 | 745.43 | 1200.16 | 0.000 |
| A = Time | 1 | 1685.10 | 1685.10 | 2713.05 | 0.000 |
| B = Temperature | 1 | 26.78 | 26.78 | 43.12 | 0.000 |
| C = Pressure | 1 | 524.41 | 524.41 | 844.31 | 0.000 |
| 2-way interactions | 3 | 324.33 | 108.11 | 174.06 | 0.000 |
| A × B | 1 | 12.43 | 12.43 | 20.01 | 0.002 |
| A × C | 1 | 308.00 | 308.00 | 495.89 | 0.000 |
| B × C | 1 | 3.90 | 3.90 | 6.28 | 0.034 |
| 3-way interactions | 1 | 4.73 | 4.73 | 7.62 | 0.022 |
| A × B × C | 1 | 4.73 | 4.73 | 7.62 | 0.022 |
| Curvature | 1 | 2.20 | 2.20 | 3.54 | 0.092 |
| Error | 9 | 5.59 | 0.62 | - | - |
| Total | 17 | 2573.14 | - | - | - |
| Source | DF | Adj Sum of Squares | Adj Mean Square | F-Value | p-Value |
|---|---|---|---|---|---|
| Model | 8 | 145.990 | 18.249 | 230.38 | 0.000 |
| Linear | 3 | 130.926 | 43.642 | 550.96 | 0.000 |
| A = Time | 1 | 112.572 | 112.572 | 1421.17 | 0.000 |
| B = Temperature | 1 | 7.563 | 7.563 | 95.47 | 0.000 |
| C = Pressure | 1 | 10.791 | 10.791 | 136.23 | 0.000 |
| 2-way interactions | 3 | 13.272 | 4.424 | 55.85 | 0.000 |
| A × B | 1 | 6.838 | 6.838 | 86.33 | 0.000 |
| A × C | 1 | 4.000 | 4.000 | 50.50 | 0.000 |
| B × C | 1 | 2.434 | 2.434 | 30.72 | 0.000 |
| 3-way interactions | 1 | 1.626 | 1.626 | 20.52 | 0.001 |
| A × B × C | 1 | 1.626 | 1.626 | 20.52 | 0.001 |
| Curvature | 1 | 0.167 | 0.167 | 2.10 | 0.181 |
| Error | 9 | 0.713 | 0.079 | - | - |
| Total | 17 | 146.703 | - | - | - |
| Process | Time (h) | Chemical | Amount | Yield (%) | |
|---|---|---|---|---|---|
| Mass (g) | Bone | Skin | |||
| Pretreatment | 8 | Water | 947.98 | 7.95 | 36.73 |
| LASNa 0.5% | 34.45 | ||||
| H2O2 1% | 24.16 | ||||
| NaOH 0.05 N | 0.99 | ||||
| Extraction | 24 | Water | 498.50 | ||
| CO2 | 0.51 | ||||
| Drying | 24 | - | - | ||
| Peaks | Extracted Product Using Water Acidified with CO2 under Supercritical Condition | ASC from the Skin of Pangasius sp. [31,32] | Peak Assignments | ||
|---|---|---|---|---|---|
| Type I Collagen Standard (cm−1) | Skin (cm−1) | Bone (cm−1) | |||
| Amide A | 3293–3319 | 3256–3309 (3282) | 3264–3316 (3290) | 3286.7 | mainly N–H stretching coupled with hydrogen bond |
| Amide B | 2914–2941 | 2918–2931 (2924) | 2922–2927 (2924) | 2947.23 | CH2–asymmetric stretching |
| Amide I | 1626–1631 | 1625–1642 (1633) | 1626–1636 (1631) | 1651.07 | C=O stretching hydrogen bond coupled with COO– |
| Amide II | 1548–1553 | 1536–1545 (1540) | 1540–1545 (1542) | - | N–H bend coupled with C–N stretching |
| 1451–1456 | 1450–1455 (1452) | 1453–1455 (1454) | 1450.47 | Glycine CH2 bending vibration | |
| 1371–1409 | 1405–1387 (1396) | 1398–1397 (1397) | - | COO–symmetrical stretch | |
| Amide III | 1332–1343 | 1334–1342 (1338) | 1332–1343 (1337) | - | CH2 wagging of proline |
| 1231–1240 | 1238–1240 (1239) | 1236–1241 (1238) | 1246.02 | N–H bending (deformation) coupled with C–N stretching | |
| 1075–1084 | 1077–1085 (1081) | 1078–1084 (1081) | - | C–O stretching | |
| Independent Variables | Symbol | Range and Levels | ||
|---|---|---|---|---|
| −1 | 0 | +1 | ||
| Extraction time (h) | A | 3 | 13.5 | 24 |
| Temperature (°C) | B | 30 | 33.5 | 37 |
| CO2 pressure (bar) | C | 10 | 42.5 | 75 |
Disclaimer/Publisher’s Note: The statements, opinions and data contained in all publications are solely those of the individual author(s) and contributor(s) and not of MDPI and/or the editor(s). MDPI and/or the editor(s) disclaim responsibility for any injury to people or property resulting from any ideas, methods, instructions or products referred to in the content. |
© 2023 by the authors. Licensee MDPI, Basel, Switzerland. This article is an open access article distributed under the terms and conditions of the Creative Commons Attribution (CC BY) license (https://creativecommons.org/licenses/by/4.0/).
Share and Cite
Phon, S.; Pradana, A.L.; Thanasupsin, S.P. Recovery of Collagen/Gelatin from Fish Waste with Carbon Dioxide as a Green Solvent: An Optimization and Characterization. Recycling 2023, 8, 30. https://doi.org/10.3390/recycling8020030
Phon S, Pradana AL, Thanasupsin SP. Recovery of Collagen/Gelatin from Fish Waste with Carbon Dioxide as a Green Solvent: An Optimization and Characterization. Recycling. 2023; 8(2):30. https://doi.org/10.3390/recycling8020030
Chicago/Turabian StylePhon, Sophat, Adit Ludfi Pradana, and Sudtida Pliankarom Thanasupsin. 2023. "Recovery of Collagen/Gelatin from Fish Waste with Carbon Dioxide as a Green Solvent: An Optimization and Characterization" Recycling 8, no. 2: 30. https://doi.org/10.3390/recycling8020030
APA StylePhon, S., Pradana, A. L., & Thanasupsin, S. P. (2023). Recovery of Collagen/Gelatin from Fish Waste with Carbon Dioxide as a Green Solvent: An Optimization and Characterization. Recycling, 8(2), 30. https://doi.org/10.3390/recycling8020030

