Quantitative Evaluation of the Lymph Node Metastases in the Head and Neck Malignancies Using Diffusion-Weighted Imaging and Apparent Diffusion Coefficient Mapping: A Bicentric Study
Abstract
1. Introduction
2. Materials and Methods
2.1. Patients
2.2. MRI Imaging and Protocol
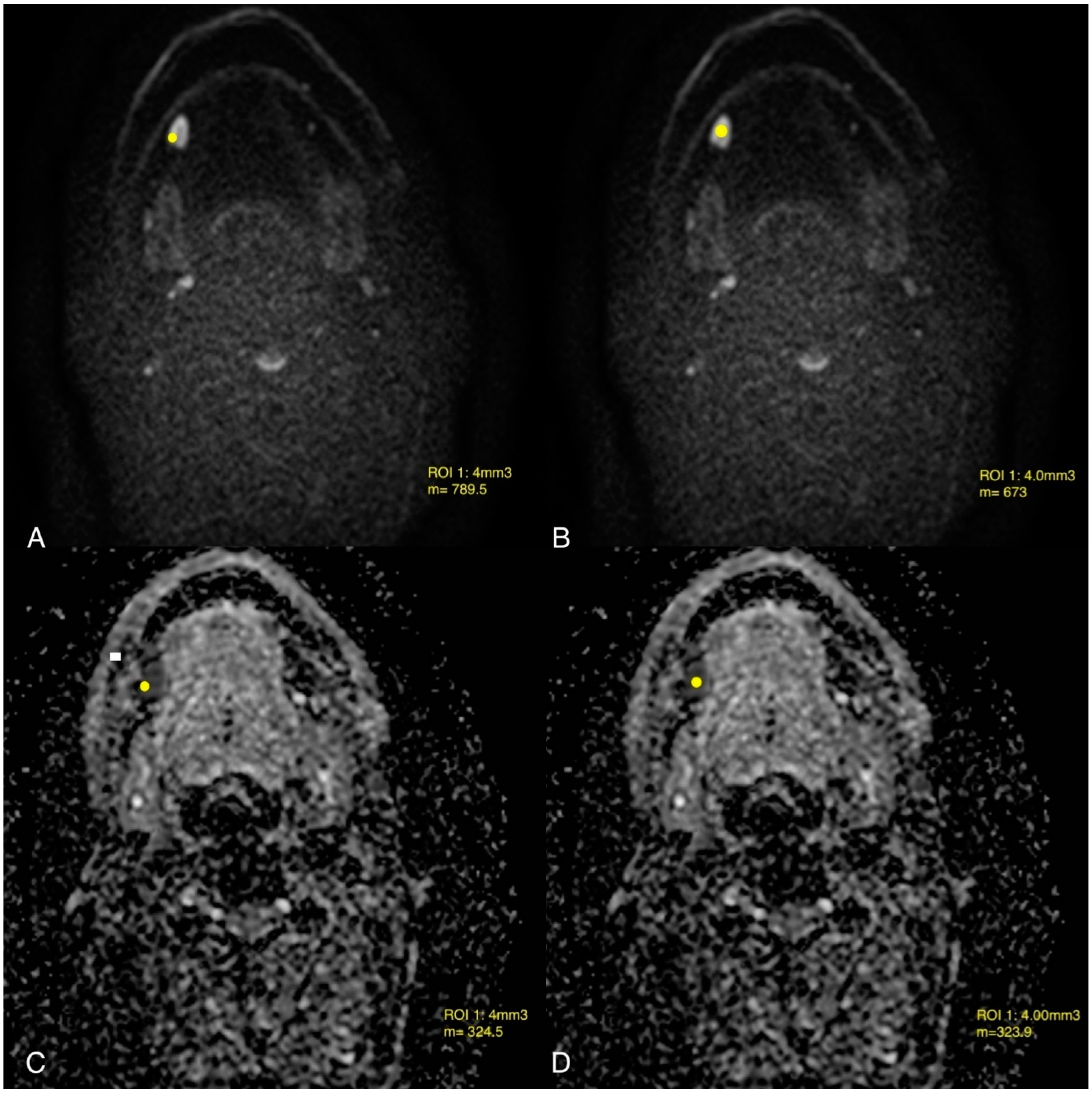
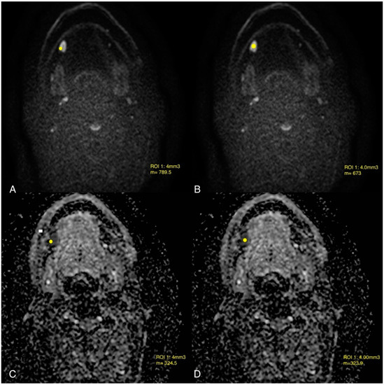
2.3. Image Analysis
2.4. Statistical Analysis
3. Results
3.1. Training Population
3.2. Validation Population
4. Discussion
5. Conclusions
Author Contributions
Funding
Informed Consent Statement
Data Availability Statement
Conflicts of Interest
References
- Barbero, J.P.M.; Jiménez, I.R.; Noguerol, T.M.; Alcalá, A.L. Utility of MRI diffusion techniques in the evaluation of tumors of the head and neck. Cancers 2013, 5, 875–889. [Google Scholar] [CrossRef] [PubMed]
- Belfiore, M.P.; Reginelli, A.; Maggialetti, N.; Carbone, M.; Giovine, S.; LaPorta, A.; Urraro, F.; Nardone, V.; Grassi, R.; Cappabianca, S.; et al. Preliminary results in unresectable cholangiocarcinoma treated by CT percutaneous irreversible electroporation: Feasibility, safety and efficacy. Med. Oncol. 2020, 37, 45. [Google Scholar] [CrossRef] [PubMed]
- Chen, J.; Hagiwara, M.; Givi, B.; Schmidt, B.; Liu, C.; Chen, Q.; Logan, J.; Mikheev, A.; Rusinek, H.; Kim, S.G. Assessment of metastatic lymph nodes in head and neck squamous cell carcinomas using simultaneous 18F-FDG-PET and MRI. Sci. Rep. 2020, 10, 20764. [Google Scholar] [CrossRef] [PubMed]
- Shah, A.H.; Parikh, R.P.J.I.J.O.H.; Surgery, N. Clinicopathological Correlation between Depth of Tumor and Neck Node Metastasis in Oral (Tongue and Buccal Mucosa) Carcinoma. Int. J. Head Neck Surg. 2021, 12, 6–10. [Google Scholar] [CrossRef]
- Reginelli, A.; Rossi, C.; Capasso, R.; Urraro, F.; Cagini, L.; Di Crescenzo, V.; Carbone, M.; D’Andrea, A.; Scialpi, M. Evaluation with multislice CT of the hilar pulmonary nodules for probable infiltration of vascular-bronchial structures. Recent. Progress. Med. 2013, 104, 403–405. [Google Scholar] [CrossRef]
- Ishida, T.; Hijioka, H.; Kume, K.; Yoshimura, T.; Miyawaki, A.; Nozoe, E.; Suenaga, S.; Indo, H.P.; Majima, H.J.; Nakamura, N.J.J.O.O.; et al. A diagnosis system for detecting cervical lymph node metastasis in oral squamous cell carcinoma: Collective consideration of the results of multiple imaging modalities. J. Oral Maxillofac. Surgery, Med. Pathol. 2017, 29, 210–216. [Google Scholar] [CrossRef]
- Torabi, M.; Aquino, S.L.; Harisinghani, M.G. Current concepts in lymph node imaging. J. Nucl. Med. Off. Publ. Soc. Nucl. Med. 2004, 45, 1509–1518. [Google Scholar]
- Brunese, L.; Mercaldo, F.; Reginelli, A.; Santone, A. A novel methodology for head and neck carcinoma treatment stage detection by means of model checking. Artif. Intell. Med. 2022, 127, 102263. [Google Scholar] [CrossRef]
- Vandecaveye, V.; De Keyzer, F. Diffusion-weighted MRI in head and neck cancer: Experience to date and future potential. Imaging Med. 2013, 5, 319–331. [Google Scholar] [CrossRef]
- Cappabianca, S.; Iaselli, F.; Negro, A.; Basile, A.; Reginelli, A.; Grassi, R.; Rotondo, A. Magnetic resonance imaging in the evaluation of anatomical risk factors for pediatric obstructive sleep apnoea-hypopnoea: A pilot study. Int. J. Pediatr. Otorhinolaryngol. 2013, 77, 69–75. [Google Scholar] [CrossRef]
- El Beltagi, A.H.; Elsotouhy, A.H.; Own, A.M.; Abdelfattah, W.; Nair, K.; Vattoth, S. Functional magnetic resonance imaging of head and neck cancer: Performance and potential. Neuroradiol. J. 2019, 32, 36–52. [Google Scholar] [CrossRef] [PubMed]
- Chawla, S.; Kim, S.; Dougherty, L.; Wang, S.; Loevner, L.A.; Quon, H.; Poptani, H. Pretreatment diffusion-weighted and dynamic contrast-enhanced MRI for prediction of local treatment response in squamous cell carcinomas of the head and neck. AJR Am. J. Roentgenol. 2013, 200, 35–43. [Google Scholar] [CrossRef] [PubMed]
- Reginelli, A.; D’Andrea, A.; Clemente, A.; Izzo, A.; Urraro, F.; Scala, F.; Nardone, V.; Guida, C.; Scialpi, M.; Cappabianca, S. Does multiparametric US improve diagnostic accuracy in the characterization of small testicular masses? Gland Surg. 2019, 8, S136–S141. [Google Scholar] [CrossRef] [PubMed]
- De Bernardi, I.C.; Floridi, C.; Muollo, A.; Giacchero, R.; Dionigi, G.L.; Reginelli, A.; Gatta, G.; Cantisani, V.; Grassi, R.; Brunese, L.; et al. Vascular and interventional radiology radiofrequency ablation of benign thyroid nodules and recurrent thyroid cancers: Literature review. La Radiol. Med. 2014, 119, 512–520. [Google Scholar] [CrossRef] [PubMed]
- Bhatt, N.; Gupta, N.; Soni, N.; Hooda, K.; Sapire, J.M.; Kumar, Y. Role of diffusion-weighted imaging in head and neck lesions: Pictorial review. Neuroradiol. J. 2017, 30, 356–369. [Google Scholar] [CrossRef] [PubMed]
- Jović, A.; Fila, J.; Gršić, K.; Ivkić, M.; Ozretić, D. Diffusion-weighted MRI: Impact of the size of the ROI in detecting metastases in subcentimeter lymph nodes in head and neck squamous cell carcinoma. Neuroradiology 2020, 62, 987–994. [Google Scholar] [CrossRef] [PubMed]
- Brunese, L.; Mercaldo, F.; Reginelli, A.; Santone, A. Radiomics for Gleason Score Detection through Deep Learning. Sensors 2020, 20, 5411. [Google Scholar] [CrossRef]
- Pekçevik, Y.; Çukurova, İ.; Arslan, İ.B. Apparent diffusion coefficient for discriminating metastatic lymph nodes in patients with squamous cell carcinoma of the head and neck. Diagn. Interv. Radiol. 2015, 21, 397–402. [Google Scholar] [CrossRef]
- Kelly, H.R.; Curtin, H.D. Chapter 2 Squamous Cell Carcinoma of the Head and Neck—Imaging Evaluation of Regional Lymph Nodes and Implications for Management. Semin. Ultrasound CT MRI 2017, 38, 466–478. [Google Scholar] [CrossRef]
- Caranci, F.; Tedeschi, E.; Leone, G.; Reginelli, A.; Gatta, G.; Pinto, A.; Squillaci, E.; Briganti, F.; Brunese, L. Errors in neuroradiology. La Radiol. Med. 2015, 120, 795–801. [Google Scholar] [CrossRef]
- Xue, H.D.; Li, S.; Sun, H.Y.; Jin, Z.Y.; Sun, F. Experimental study of inflammatory and metastatic lymph nodes with diffusion weighted imaging on animal model: Comparison with conventional methods. Chin. Med. Sci. J. 2008, 23, 166–171. [Google Scholar] [CrossRef] [PubMed]
- Belfiore, M.P.; Sciandra, M.; Romano, F.; Tartaglione, T.; De Lucia, G.; Della Volpe, T.; Buonomo, C.; Cappabianca, S.; Rotondo, A.; Belfiore, G. Preliminary Results in Unresectable Head and Neck Cancer Treated by Radiofrequency and Microwave Ablation: Feasibility, Efficacy, and Safety. J. Vasc. Interv. Radiol. JVIR 2015, 26, 1189–1196. [Google Scholar] [CrossRef]
- Nardone, V.; Reginelli, A.; Guida, C.; Belfiore, M.P.; Biondi, M.; Mormile, M.; Buonamici, F.B.; Di Giorgio, E.; Spadafora, M.; Tini, P.; et al. Delta-radiomics increases multicentre reproducibility: A phantom study. Med. Oncol. 2020, 37, 38. [Google Scholar] [CrossRef] [PubMed]
- Cappabianca, S.; Colella, G.; Russo, A.; Pezzullo, M.; Reginelli, A.; Iaselli, F.; Rotondo, A. Maxillofacial fibrous dysplasia: Personal experience with gadoliniumenhanced magnetic resonance imaging. La Radiol. Med. 2008, 113, 1198–1210. [Google Scholar] [CrossRef] [PubMed]
- Baba, A.; Kurokawa, R.; Rawie, E.; Kurokawa, M.; Ota, Y.; Srinivasan, A. Normalized Parameters of Dynamic Contrast-Enhanced Perfusion MRI and DWI-ADC for Differentiation between Posttreatment Changes and Recurrence in Head and Neck Cancer. AJNR Am. J. Neuroradiol. 2022, 43, 1184–1189. [Google Scholar] [CrossRef] [PubMed]
- Burkett, B.J. Normalized Dynamic Contrast-enhanced Perfusion and Diffusion-weighted MRI Parameters Distinguish Head and Neck Cancer Recurrence from Posttreatment Changes. Radiol. Imaging Cancer 2022, 4, e229024. [Google Scholar] [CrossRef]
- Anzai, Y. Editorial for “Influence of Different Measurement Methods of Arterial Input Function on Quantitative Dynamic Contrast-Enhanced MRI Parameters in Head and Neck Cancer”. J. Magn. Reson. Imaging JMRI 2022. [Google Scholar] [CrossRef] [PubMed]
- Luo, Y.H.; Mei, X.L.; Liu, Q.R.; Jiang, B.; Zhang, S.; Zhang, K.; Wu, X.; Luo, Y.M.; Li, Y.J. Diagnosing cervical lymph node metastasis in oral squamous cell carcinoma based on third-generation dual-source, dual-energy computed tomography. Eur. Radiol. 2023, 33, 162–171. [Google Scholar] [CrossRef] [PubMed]
- Brunese, L. Neural Networks for Lung Cancer Detection through Radiomic Features. In Proceedings of the 2019 International Joint Conference on Neural Networks (IJCNN), Budapest, Hungary, 14–19 July 2019. [Google Scholar]
- Moen, G.; Biermann, M. Diagnostic Hybrid PET/CT and PET/MR with 18F-FDG Perform Similarly in Recurrent Differentiated Thyroid Cancer. Clin. Thyroid. 2021, 33, 32–37. [Google Scholar] [CrossRef]
- Russo, S.; Lo Re, G.; Galia, M.; Reginelli, A.; Lo Greco, V.; D’Agostino, T.; La Tona, G.; Coppolino, F.; Grassi, R.; Midiri, M.; et al. Videofluorography swallow study of patients with systemic sclerosis. La Radiol. Med. 2009, 114, 948–959. [Google Scholar] [CrossRef]
- Moen, G.; Biermann, M. Hybrid 18F-FDG-PET/MR Outperforms PET/CT for the Detection of Neck Recurrences of Differentiated Thyroid Cancer. Clin. Thyroid. 2022, 34, 81–84. [Google Scholar] [CrossRef] [PubMed]
- Mahmood, S.; Mair, M.; Fagiry, R.; Ahmed, M.M.; Menon, I.; Ibrahim, N.; Baker, A.; Vaidhyanath, R. Diagnostic efficacy of combined CT and MRI in detecting nodal metastasis in patients with oral cancer. Oral Surg. Oral Med. Oral Pathol. Oral Radiol. 2022, 133, 343–348. [Google Scholar] [CrossRef] [PubMed]
- de Souza Figueiredo, P.T.; Leite, A.F.; Barra, F.R.; Dos Anjos, R.F.; Freitas, A.C.; Nascimento, L.A.; Melo, N.S.; Guerra, E.N. Contrast-enhanced CT and MRI for detecting neck metastasis of oral cancer: Comparison between analyses performed by oral and medical radiologists. Dentomaxillofacial Radiol. 2012, 41, 396–404. [Google Scholar] [CrossRef] [PubMed]
- Maremonti, P.; Califano, L.; Longo, F.; Zupi, A.; Ciccarelli, R.; Vallone, G. Detection of latero-cervical metastases from oral cancer. J. Cranio-Maxillo-Facial Surg. Off. Publ. Eur. Assoc. Cranio-Maxillo-Facial Surg. 1997, 25, 149–152. [Google Scholar] [CrossRef]
- Cappabianca, S.; Reginelli, A.; Monaco, L.; Del Vecchio, L.; Di Martino, N.; Grassi, R. Combined videofluoroscopy and manometry in the diagnosis of oropharyngeal dysphagia: Examination technique and preliminary experience. La Radiol. Med. 2008, 113, 923–940. [Google Scholar] [CrossRef]
- Wide, J.M.; White, D.W.; Woolgar, J.A.; Brown, J.S.; Vaughan, E.D.; Lewis-Jones, H.G. Magnetic resonance imaging in the assessment of cervical nodal metastasis in oral squamous cell carcinoma. Clin. Radiol. 1999, 54, 90–94. [Google Scholar] [CrossRef]
- Reginelli, A.; Grassi, R.; Feragalli, B.; Belfiore, M.P.; Montanelli, A.; Patelli, G.; La Porta, M.; Urraro, F.; Fusco, R.; Granata, V.; et al. Coronavirus Disease 2019 (COVID-19) in Italy: Double Reading of Chest CT Examination. Biology 2021, 10, 89. [Google Scholar] [CrossRef]
- Sun, J.; Li, B.; Li, C.J.; Li, Y.; Su, F.; Gao, Q.H.; Wu, F.L.; Yu, T.; Wu, L.; Li, L.J. Computed tomography versus magnetic resonance imaging for diagnosing cervical lymph node metastasis of head and neck cancer: A systematic review and meta-analysis. OncoTargets Ther. 2015, 8, 1291–1313. [Google Scholar] [CrossRef]
- Troost, E.G.; Vogel, W.V.; Merkx, M.A.; Slootweg, P.J.; Marres, H.A.; Peeters, W.J.; Bussink, J.; van der Kogel, A.J.; Oyen, W.J.; Kaanders, J.H. 18F-FLT PET does not discriminate between reactive and metastatic lymph nodes in primary head and neck cancer patients. J. Nucl. Med. Off. Publ. Soc. Nucl. Med. 2007, 48, 726–735. [Google Scholar] [CrossRef]
- Reginelli, A.; Russo, A.; Maresca, D.; Martiniello, C.; Cappabianca, S.; Brunese, L. Imaging assessment of gunshot wounds. Semin. Ultrasound CT MRI 2015, 36, 57–67. [Google Scholar] [CrossRef]
- Lwin, C.T.; Hanlon, R.; Lowe, D.; Brown, J.S.; Woolgar, J.A.; Triantafyllou, A.; Rogers, S.N.; Bekiroglu, F.; Lewis-Jones, H.; Wieshmann, H.; et al. Accuracy of MRI in prediction of tumour thickness and nodal stage in oral squamous cell carcinoma. Oral Oncol. 2012, 48, 149–154. [Google Scholar] [CrossRef] [PubMed]
- Schinagl, D.A.; Hoffmann, A.L.; Vogel, W.V.; van Dalen, J.A.; Verstappen, S.M.; Oyen, W.J.; Kaanders, J.H. Can FDG-PET assist in radiotherapy target volume definition of metastatic lymph nodes in head-and-neck cancer? Radiother. Oncol. J. Eur. Soc. Ther. Radiol. Oncol. 2009, 91, 95–100. [Google Scholar] [CrossRef] [PubMed]
- Klerkx, W.M.; Bax, L.; Veldhuis, W.B.; Heintz, A.P.; Mali, W.P.; Peeters, P.H.; Moons, K.G. Detection of lymph node metastases by gadolinium-enhanced magnetic resonance imaging: Systematic review and meta-analysis. J. Natl. Cancer Inst. 2010, 102, 244–253. [Google Scholar] [CrossRef] [PubMed]
- Asthana, S.; Deo, S.S.; Shukla, N.K.; Jain, P.; Anand, M.; Kumar, R. Intraoperative neck staging using sentinel node biopsy and imprint cytology in oral cancer. Head Neck 2003, 25, 368–372. [Google Scholar] [CrossRef] [PubMed]
- Wunderbaldinger, P. Problems and prospects of modern lymph node imaging. Eur. J. Radiol. 2006, 58, 325–337. [Google Scholar] [CrossRef]
- Park, J.K.; Kim, S.E.; Trieman, G.S.; Parker, D.; Jeong, E.K. High-resolution diffusion-weighted imaging of neck lymph nodes using 2D-single-shot interleaved multiple inner volume imaging diffusion-weighted echo-planar imaging at 3T. AJNR Am. J. Neuroradiol. 2011, 32, 1173–1177. [Google Scholar] [CrossRef]
- Prestwich, R.J.; Sykes, J.; Carey, B.; Sen, M.; Dyker, K.E.; Scarsbrook, A.F. Improving target definition for head and neck radiotherapy: A place for magnetic resonance imaging and 18-fluoride fluorodeoxyglucose positron emission tomography? Clin. Oncol. 2012, 24, 577–589. [Google Scholar] [CrossRef]
- Bi, Q.; Chen, Y.; Wu, K.; Wang, J.; Zhao, Y.; Wang, B.; Du, J. The Diagnostic Value of MRI for Preoperative Staging in Patients with Endometrial Cancer: A Meta-Analysis. Acad. Radiol. 2020, 27, 960–968. [Google Scholar] [CrossRef]
- Kim, S.G.; Friedman, K.; Patel, S.; Hagiwara, M. Potential Role of PET/MRI for Imaging Metastatic Lymph Nodes in Head and Neck Cancer. AJR Am. J. Roentgenol. 2016, 207, 248–256. [Google Scholar] [CrossRef]
- Galgano, S.J.; Marshall, R.V.; Middlebrooks, E.H.; McConathy, J.E.; Bhambhvani, P. PET/MR Imaging in Head and Neck Cancer: Current Applications and Future Directions. Magn. Reson. Imaging Clin. N. Am. 2018, 26, 167–178. [Google Scholar] [CrossRef]
- Szyszko, T.A.; Cook, G.J.R. PET/CT and PET/MRI in head and neck malignancy. Clin. Radiol. 2018, 73, 60–69. [Google Scholar] [CrossRef] [PubMed]
- Samolyk-Kogaczewska, N.; Sierko, E.; Dziemianczyk-Pakiela, D.; Nowaszewska, K.B.; Lukasik, M.; Reszec, J. Usefulness of Hybrid PET/MRI in Clinical Evaluation of Head and Neck Cancer Patients. Cancers 2020, 12, 511. [Google Scholar] [CrossRef] [PubMed]
- Herneth, A.M.; Mayerhoefer, M.; Schernthaner, R.; Ba-Ssalamah, A.; Czerny, C.; Fruehwald-Pallamar, J. Diffusion weighted imaging: Lymph nodes. Eur. J. Radiol. 2010, 76, 398–406. [Google Scholar] [CrossRef]
- Sun, Q.; Ma, C.; Dong, M.; Jiang, M.; Tao, X. Effects of region of interest sizes on apparent diffusion coefficient measurements of pleomorphic adenoma, Warthin tumor, and normal parotid parenchyma. Quant. Imaging Med. Surg. 2019, 9, 681–690. [Google Scholar] [CrossRef]
- Song, Y.; Liu, F.; Ruan, W.; Hu, F.; Younis, M.H.; Gao, Z.; Ming, J.; Huang, T.; Cai, W.; Lan, X. Head-to-Head Comparison of Neck 18F-FDG PET/MR and PET/CT in the Diagnosis of Differentiated Thyroid Carcinoma Patients after Comprehensive Treatment. Cancers 2021, 13, 3436. [Google Scholar] [CrossRef] [PubMed]
- Vidiri, A.; Gangemi, E.; Ruberto, E.; Pasqualoni, R.; Sciuto, R.; Sanguineti, G.; Farneti, A.; Benevolo, M.; Rollo, F.; Sperati, F.; et al. Correlation between histogram-based DCE-MRI parameters and 18F-FDG PET values in oropharyngeal squamous cell carcinoma: Evaluation in primary tumors and metastatic nodes. PLoS ONE 2020, 15, e0229611. [Google Scholar] [CrossRef]
- Scherrer, B.; Warfield, S. Parametric Representation of Multiple White Matter Fascicles from Cube and Sphere Diffusion MRI. PLoS ONE 2012, 7, e48232. [Google Scholar] [CrossRef]
- Bammer, R.; Markl, M.; Barnett, A.; Acar, B.; Alley, M.T.; Pelc, N.J.; Glover, G.H.; Moseley, M.E. Analysis and generalized correction of the effect of spatial gradient field distortions in diffusion-weighted imaging. Magn. Reson. Med. 2003, 50, 560–569. [Google Scholar] [CrossRef]
- Borkowski, K.; Kłodowski, K.; Figiel, H.; Krzyżak, A.T. A theoretical validation of the B-matrix spatial distribution approach to diffusion tensor imaging. Magn. Reson. Imaging 2017, 36, 1–6. [Google Scholar] [CrossRef]
- Baliyan, V.; Das, C.J.; Sharma, R.; Gupta, A.K. Diffusion weighted imaging: Technique and applications. World J. Radiol. 2016, 8, 785–798. [Google Scholar] [CrossRef]
- Alghamdi, A.J. The Value of Various Post-Processing Modalities of Diffusion Weighted Imaging in the Detection of Multiple Sclerosis. Brain Sci. 2023, 13, 622. [Google Scholar] [CrossRef]
- Le Bihan, D.; Mangin, J.F.; Poupon, C.; Clark, C.A.; Pappata, S.; Molko, N.; Chabriat, H. Diffusion tensor imaging: Concepts and applications. J. Magn. Reson. Imaging JMRI 2001, 13, 534–546. [Google Scholar] [CrossRef] [PubMed]
- Tax, C.M.; Otte, W.M.; Viergever, M.A.; Dijkhuizen, R.M.; Leemans, A. REKINDLE: Robust extraction of kurtosis INDices with linear estimation. Magn. Reson. Med. 2015, 73, 794–808. [Google Scholar] [CrossRef] [PubMed]
- Bogdanov, A., Jr.; Mazzanti, M.L. Molecular magnetic resonance contrast agents for the detection of cancer: Past and present. Semin. Oncol. 2011, 38, 42–54. [Google Scholar] [CrossRef] [PubMed]
- Maeda, M.; Kato, H.; Sakuma, H.; Maier, S.E.; Takeda, K. Usefulness of the apparent diffusion coefficient in line scan diffusion-weighted imaging for distinguishing between squamous cell carcinomas and malignant lymphomas of the head and neck. AJNR Am. J. Neuroradiol. 2005, 26, 1186–1192. [Google Scholar]
- Yun, T.J.; Kim, J.H.; Kim, K.H.; Sohn, C.H.; Park, S.W. Head and neck squamous cell carcinoma: Differentiation of histologic grade with standard- and high-b-value diffusion-weighted MRI. Head Neck 2013, 35, 626–631. [Google Scholar] [CrossRef]




| Total number of enrolled patients | 55 |
| Number of excluded patients | 12 |
| Age range | 55–81 years old (21 male and 22 female) |
| Tumor biology | 43 squamous cell carcinoma; 7 Non-Hodgkin lymphoma; 3 adenocarcinoma; 1 carcinoma ex pleomorphic adenoma; myoepithelial carcinoma |
Disclaimer/Publisher’s Note: The statements, opinions and data contained in all publications are solely those of the individual author(s) and contributor(s) and not of MDPI and/or the editor(s). MDPI and/or the editor(s) disclaim responsibility for any injury to people or property resulting from any ideas, methods, instructions or products referred to in the content. |
© 2023 by the authors. Licensee MDPI, Basel, Switzerland. This article is an open access article distributed under the terms and conditions of the Creative Commons Attribution (CC BY) license (https://creativecommons.org/licenses/by/4.0/).
Share and Cite
Belfiore, M.P.; Gallo, L.; Reginelli, A.; Parrella, P.M.; Russo, G.M.; Caliendo, V.; Fasano, M.; Ciani, G.; Zeccolini, R.; Liguori, C.; et al. Quantitative Evaluation of the Lymph Node Metastases in the Head and Neck Malignancies Using Diffusion-Weighted Imaging and Apparent Diffusion Coefficient Mapping: A Bicentric Study. Magnetochemistry 2023, 9, 124. https://doi.org/10.3390/magnetochemistry9050124
Belfiore MP, Gallo L, Reginelli A, Parrella PM, Russo GM, Caliendo V, Fasano M, Ciani G, Zeccolini R, Liguori C, et al. Quantitative Evaluation of the Lymph Node Metastases in the Head and Neck Malignancies Using Diffusion-Weighted Imaging and Apparent Diffusion Coefficient Mapping: A Bicentric Study. Magnetochemistry. 2023; 9(5):124. https://doi.org/10.3390/magnetochemistry9050124
Chicago/Turabian StyleBelfiore, Maria Paola, Luigi Gallo, Alfonso Reginelli, Pasquale Maria Parrella, Gaetano Maria Russo, Valentina Caliendo, Morena Fasano, Giovanni Ciani, Raffaele Zeccolini, Carlo Liguori, and et al. 2023. "Quantitative Evaluation of the Lymph Node Metastases in the Head and Neck Malignancies Using Diffusion-Weighted Imaging and Apparent Diffusion Coefficient Mapping: A Bicentric Study" Magnetochemistry 9, no. 5: 124. https://doi.org/10.3390/magnetochemistry9050124
APA StyleBelfiore, M. P., Gallo, L., Reginelli, A., Parrella, P. M., Russo, G. M., Caliendo, V., Fasano, M., Ciani, G., Zeccolini, R., Liguori, C., Nardone, V., & Cappabianca, S. (2023). Quantitative Evaluation of the Lymph Node Metastases in the Head and Neck Malignancies Using Diffusion-Weighted Imaging and Apparent Diffusion Coefficient Mapping: A Bicentric Study. Magnetochemistry, 9(5), 124. https://doi.org/10.3390/magnetochemistry9050124

