Overcoming Pre-Fertilization Barriers in Intertribal Crosses between Anemone coronaria L. and Ranunculus asiaticus L.
Abstract
:1. Introduction
2. Materials and Methods
2.1. Plant Material and Growth Conditions
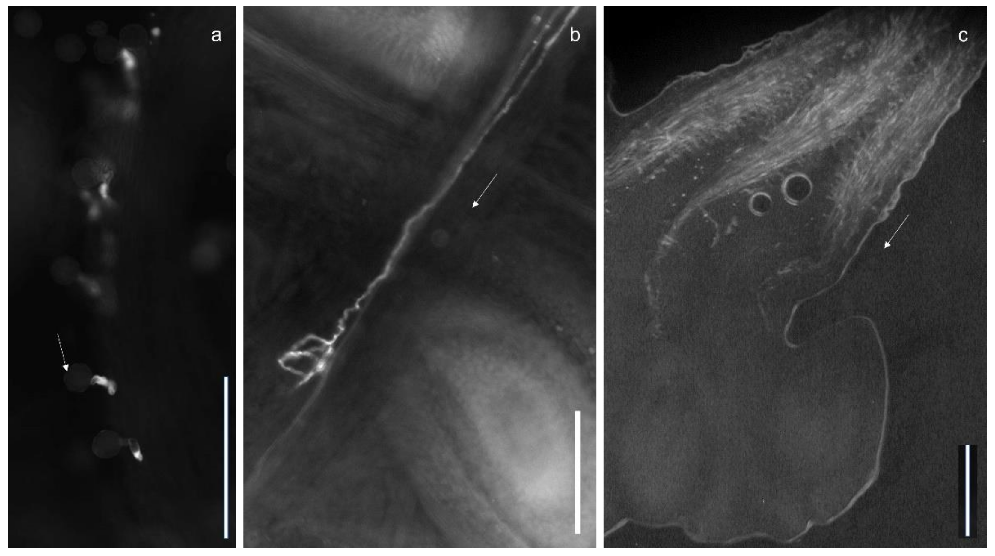
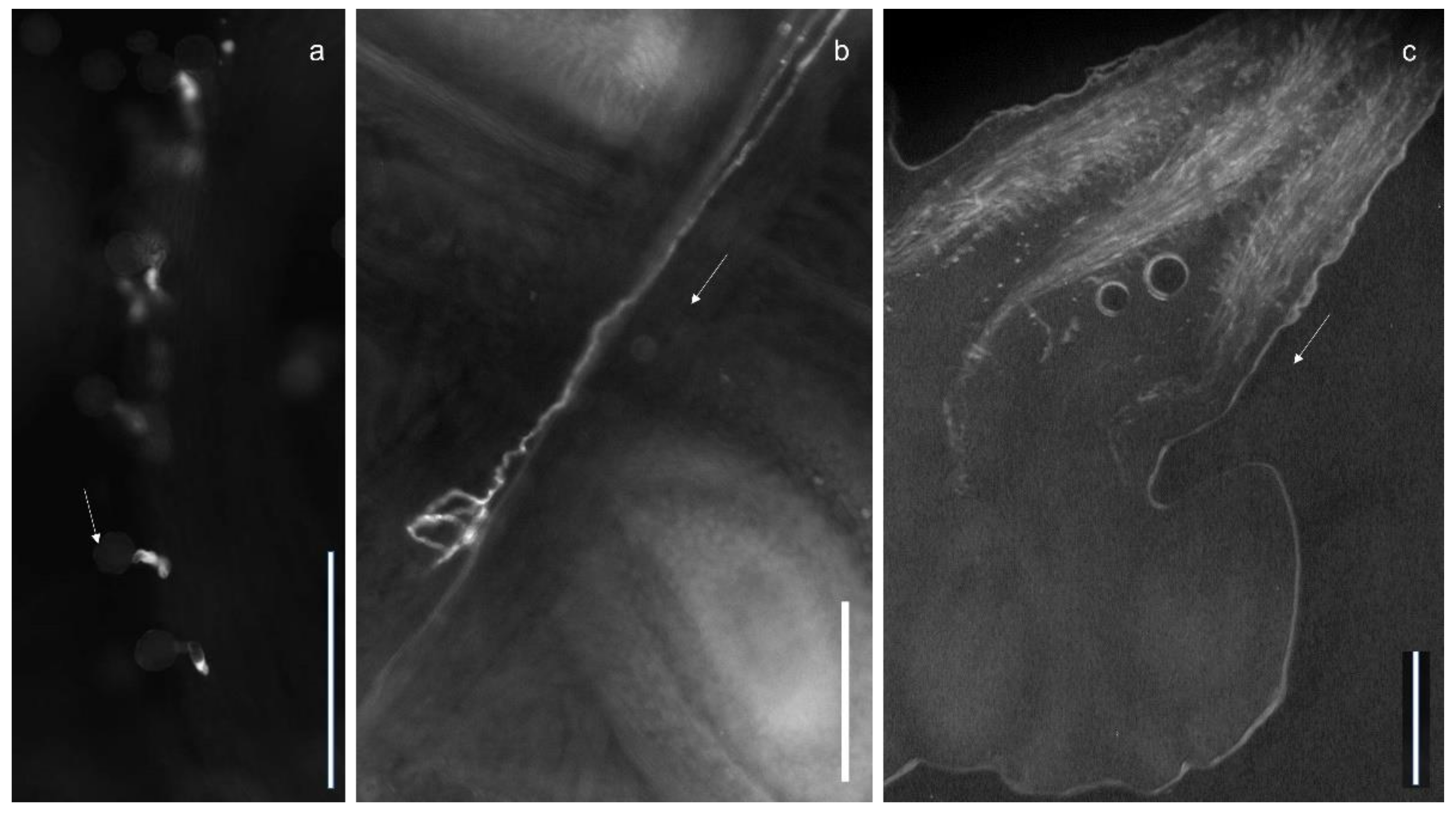
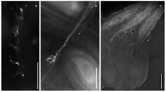
2.2. Crosses and Observation of Pre-Fertilization Barriers
2.3. Techniques to Bypass Pre-Fertilization Barriers
- pollen germination medium (PM) (100 mg·L−1 H3BO3, 700 mg·L−1 Ca(NO3)2·4H2O, 200 mg·L−1 MgSO4·7H2O, 100 mg·L−1 KNO3, 150 g·L−1 PEG 6000, 740 mg·L−1 L-glutamic acid and 100 g·L−1 sucrose, pH 6.0), just before pollination;
- sucrose solutions (5% (w/v), sucrose), just before pollination;
- salt solution (0.5 M NaCl, salt), just before pollination;
- olive oil (oil), just before pollination;
- auxin 2,4-dichlorophenoxyacetic acid (2,4-D, 1 mg·mL−1), 24 h after pollination;
- auxin 1-naphtaleneacetic acid (NAA, 1 mg·mL−1), 24 h after pollination;
- gibberellic acid (GA3, 1 mg·mL−1), 24 h after pollination;
- cytokinin kinetin (KIN, 1 mg·mL−1), 24 h after pollination; or
- the combination of 2,4-D (1 mg·mL−1) and KIN (0.5 mg·mL−1) together (Comb), 24 h after pollination.
- cut-style pollination (SC): 3/4 of the stylar tissue was cut where after the wound was pollinated;
- mentor pollination (mentor): plants were pollinated with a mix of intrageneric pollen (congruent, i.e., R. asiaticus ‘Alfa’ pollen for Ranunculus × Anemone) and intertribal pollen but the congruent pollen was irradiated with 2000 Gy to prevent the formation of viable sperm nuclei;
- mixed pollination (mix): carpels were pollinated with the pollen of the other genus and one to two days later with compatible pollen (of the same cultivar for Anemone or with ‘Bianco Strié’ for Ranunculus);
- use of rehydrated pollen (2 h in a fog tunnel prior to pollination) (RV);
- pollination of old, emasculated flowers (old, carpels 3–6 days after anthesis for Anemone and 4–10 days after anthesis for Ranunculus); and
- pollination of young, emasculated flowers (young, 5 to 8 days before anthesis).
2.4. Flow Cytometry of Fruitlets
2.5. Statistics
3. Results
4. Discussion
5. Conclusions
Author Contributions
Funding
Institutional Review Board Statement
Data Availability Statement
Acknowledgments
Conflicts of Interest
References
- Hogenboom, N.G. A model for incongruity in intimate partner relationships. Euphytica 1973, 22, 219–233. [Google Scholar] [CrossRef]
- Takayama, S.; Isogai, A. Self-Incompatibility in Plants. Annu. Rev. Plant Biol. 2005, 56, 467–489. [Google Scholar] [CrossRef] [Green Version]
- Bhojwani, S.S.; Raste, A.P. In Vitro pollination and fertilization. In In Vitro Haploid Production in Higher Plants; Springer: Dordrecht, The Netherlands, 1996; pp. 237–262. [Google Scholar]
- Orr, H.A.; Presgraves, D.C. Speciation by postzygotic isolation: Forces, genes and molecules. BioEssays 2000, 22, 1085–1094. [Google Scholar] [CrossRef]
- Bino, R.J.; Van Creij, M.G.M.; Van Der Leede-Plegt, L.M.; Van Tunen, A.J.; Van Tuyl, J.M. Application of in Vitro Pollination and Fertilization Techniques for Breeding and Genetic Manipulation of Lilium. In Sexual Plant Reproduction; Springer: Singapore, 1992; pp. 127–134. [Google Scholar]
- Rieseberg, L.H.; Carney, S.E. Plant hybridization. New Phytol. 1998, 140, 599–624. [Google Scholar] [CrossRef] [PubMed]
- van Tuyl, J.M.; de Jeu, M.J. Methods for overcoming interspecific crossing barriers. Pollen Biotechnol. Crop Prod. Improv. 1997, 273–292. [Google Scholar] [CrossRef]
- Hiscock, S.J.; Allen, A.M. Diverse cell signalling pathways regulate pollen-stigma interactions: The search for consensus. New Phytol. 2008, 179, 286–317. [Google Scholar] [CrossRef]
- Heslop-Harrison, Y.; Shivanna, K.R. The Receptive Surface of the Angiosperm Stigma. Ann. Bot. 1977, 41, 1233–1258. [Google Scholar] [CrossRef] [Green Version]
- Broz, A.K.; Bedinger, P.A. Pollen-Pistil Interactions as Reproductive Barriers. Annu. Rev. Plant Biol. 2021, 72, 615–639. [Google Scholar] [CrossRef]
- Sharma, H.C. How wide can a wide cross be? Euphytica 1995, 82, 43–64. [Google Scholar] [CrossRef]
- Jansky, S. Overcoming hybridization barriers in potato. Plant Breed. 2006, 125, 1–12. [Google Scholar] [CrossRef]
- Van Tuyl, J.; Lim, K.-B. Interspecific hybridisation and polyploidisation as tools in ornamental plant breeding. Acta Hortic. 2003, 612, 13–22. [Google Scholar] [CrossRef]
- Sedgley, M.; Wirthensohn, M.; Delaporte, K.L. Interspecific Hybridization between Banksia hookeriana Meisn. and Banksia prionotes Lindl. (Proteaceae). Int. J. Plant Sci. 1996, 157, 638–643. [Google Scholar] [CrossRef]
- Sarmah, B.K.; Sarla, N. Overcoming prefertilization barriers in the cross Diplotaxis siettiana × Brassica juncea using irradiated mentor pollen. Biol. Plant. 1995, 37, 329–334. [Google Scholar]
- Wenslaff, T.F.; Lyrene, P.M. The Use of Mentor Pollination to Facilitate Wide Hybridization in Blueberry. HortScience 2000, 35, 114–115. [Google Scholar] [CrossRef] [Green Version]
- Van Tuyl, J.; Van Diën, M.; Van Creij, M.; Van Kleinwee, T.; Franken, J.; Bino, R. Application of in vitro pollination, ovary culture, ovule culture and embryo rescue for overcoming incongruity barriers in interspecific Lilium crosses. Plant Sci. 1991, 74, 115–126. [Google Scholar] [CrossRef]
- Carafa, A.M.; Carratù, G. Stigma treatment with saline solutions: A new method to overcome self-incompatibility in Brassica oleracea L. J. Hortic. Sci. 1997, 72, 531–535. [Google Scholar] [CrossRef]
- Dhooghe, E.; Grunewald, W.; Reheul, D.; Goetghebeur, P.; Van Labeke, M.-C. Floral characteristics and gametophyte development of Anemone coronaria L. and Ranunculus asiaticus L. (Ranunculaceae). Sci. Hortic. 2012, 138, 73–80. [Google Scholar] [CrossRef]
- Wolters-Arts, M.; Lush, W.M.; Mariani, C. Lipids are required for directional pollen-tube growth. Nat. Cell Biol. 1998, 392, 818–821. [Google Scholar] [CrossRef]
- Matzk, F. A novel approach to differentiated embryos in the absence of endosperm. Sex. Plant Reprod. 1991, 4, 88–94. [Google Scholar] [CrossRef]
- Ram, S.G.; Ramakrishnan, S.H.; Thiruvengadam, V.; Bapu, J.R.K. Prefertilization barriers to interspecific hybridization involving Gossypium hirsutum and four diploid wild species. Plant Breed. 2008, 127, 295–300. [Google Scholar] [CrossRef]
- Langlet, O.F.J. Uber Chromosomen Verhaltnisse und Systematik der Ranunculaceae. Sven. Bot. Tidskr. 1932, 26, 318–400. [Google Scholar]
- Beruto, M.; Fibiani, M.; Rinino, S.; Scalzo, R.L.; Curir, P. Plant development of Ranunculus asiaticus L. tuberous roots is affected by different temperature and oxygen conditions during storage period. Isr. J. Plant Sci. 2009, 57, 377–388. [Google Scholar] [CrossRef]
- Meynet, J. Anemone. In The Physiology of Flower Bulbs; De Hertogh, A., Le Nard, M., Eds.; Elsevier: Amsterdam, The Netherlands, 1993; pp. 211–218. [Google Scholar]
- Meynet, J. Ranunculus. In The Physiology of Flower Bulbs; De Hertogh, A., Le Nard, M., Eds.; Elsevier: Amsterdam, The Netherlands, 1993; pp. 603–610. [Google Scholar]
- Galbraith, D.W.; Harkins, K.R.; Maddox, J.M.; Ayres, N.M.; Sharma, D.P.; Firoozabady, E. Rapid Flow Cytometric Analysis of the Cell Cycle in Intact Plant Tissues. Science 1983, 220, 1049–1051. [Google Scholar] [CrossRef] [PubMed]
- Otto, F. Chapter 11 DAPI Staining of Fixed Cells for High-Resolution Flow Cytometry of Nuclear DNA. In Methods in Cell Biology; Elsevier: Amsterdam, The Netherlands, 1990; Volume 33, pp. 105–110. [Google Scholar]
- Lee, C.B.; Page, L.E.; McClure, B.A.; Holtsford, T.P. Post-pollination hybridization barriers in Nicotiana section Alatae. Sex. Plant Reprod. 2008, 21, 183–195. [Google Scholar] [CrossRef]
- Wheeler, M.J.; Franklin-Tong, V.E.; Franklin-Tong, N. The molecular and genetic basis of pollen–pistil interactions. New Phytol. 2001, 151, 565–584. [Google Scholar] [CrossRef] [PubMed]
- Zenkteler, M.; Nitzsche, W. Wide hybridization experiments in cereals. Theor. Appl. Genet. 1984, 68, 311–315. [Google Scholar] [CrossRef]
- Ram, S.G.; Thiruvengadam, V.; Ramakrishnan, S.H.; Bapu, J.R.K. Investigation on pre-zygotic barriers in the interspecific crosses involving Gossypium barbadense and four diploid wild species. Euphytica 2007, 159, 241–248. [Google Scholar] [CrossRef]
- Parton, E. Flower Biology and Crossing Barriers in Bromeliaceae. Ph.D. Thesis, Katholieke Universiteit Leuven, Leuven, Belgium, 2001. [Google Scholar]
- Zinkl, G.; Zwiebel, B.; Grier, D.; Preuss, D. Pollen-stigma adhesion in Arabidopsis: A species-specific interaction mediated by lipophilic molecules in the pollen exine. Development 1999, 126, 5431–5440. [Google Scholar] [CrossRef] [PubMed]
- Edlund, A.F.; Swanson, R.; Preuss, D. Pollen and Stigma Structure and Function: The Role of Diversity in Pollination. Plant Cell 2004, 16, S84–S97. [Google Scholar] [CrossRef] [PubMed] [Green Version]
- Dinesh, M.; Rekha, A.; Ravishankar, K.; Praveen, K.; Santosh, L. Breaking the intergeneric crossing barrier in papaya using sucrose treatment. Sci. Hortic. 2007, 114, 33–36. [Google Scholar] [CrossRef]
- Wolters-Arts, M.; van der Weerd, L.; Van Aelst, A.C.; Van As, H.; Mariani, C. Water-conducting properties of lipids during pollen hydration. Plant Cell Environ. 2002, 25, 513–519. [Google Scholar] [CrossRef]
- Boavida, L.C.; McCormick, S. Temperature as a determinant factor for increased and reproducible in vitro pollen germination in Arabidopsis thaliana. Plant J. 2007, 52, 570–582. [Google Scholar] [CrossRef]
- Ma, J.-F.; Liu, Z.-H.; Chu, C.-P.; Hu, Z.-Y.; Wang, X.-L.; Zhang, X.S. Different regulatory processes control pollen hydration and germination in Arabidopsis. Sex. Plant Reprod. 2011, 25, 77–82. [Google Scholar] [CrossRef] [PubMed]
- Fratini, R.; Ruiz, M.L. Interspecific Hybridization in the Genus Lens Applying In Vitro Embryo Rescue. Euphytica 2006, 150, 271–280. [Google Scholar] [CrossRef]
- Matzk, F. Hybrids of Crosses between Oat and Andropogoneae or Paniceae Species. Crop. Sci. 1996, 36, 17–21. [Google Scholar] [CrossRef]
- Sidhu, P.K.; Howes, N.K.; Aung, T.; Zwer, P.K.; Davies, P.A. Factors affecting oat haploid production following oat × maize hybridization. Plant Breed. 2006, 125, 243–247. [Google Scholar] [CrossRef]
- Wędzony, M.; Van Lammeren, A.A.M. Pollen tube growth and early embryogenesis in wheat × maize crosses influenced by 2, 4-D. Ann. Bot. 1996, 77, 639–647. [Google Scholar] [CrossRef]
- Koltunow, A.M.; Grossniklaus, U. Apomixis: A Developmental Perspective. Annu. Rev. Plant Biol. 2003, 54, 547–574. [Google Scholar] [CrossRef] [PubMed] [Green Version]
- Mulcahy, G.B.; Mulcahy, D.L. A comparison of pollen tube growth in bi-and trinucleate pollen. Pollen Biol. Implic. Plant Breed. 1983, 29–33. [Google Scholar]





| Mother Plant | Male Plant | Pollen Tube Length/ Total Style Length (n) |
|---|---|---|
| A. ‘Mistral Fucsia’ | R. ‘Alfa’ | 0.229 ± 0.064 (27) |
| R. ‘Krisma’ | 0.649 ± 0.141 (10) | |
| R. ‘Bianco Strié’ | 0.175 ± 0.035 (20) | |
| A. ‘Mistral Wine’ | R. ‘Alfa’ | 0.194 ± 0.044 (27) |
| R. ‘Krisma’ | 0.385 ± 0.068 (10) | |
| R. ‘Bianco Strié’ | 0.391 ± 0.081 (11) | |
| A. ‘Wicabri Blue’ | R. ‘Alfa’ | 0.203 ± 0.040 (19) |
| R. ‘Krisma’ | 0.133 ± 0.021 (20) | |
| R. ‘Bianco Strié’ | 0.118 ± 0.017 (20) | |
| R. ‘Alfa’ | A. ‘Mistral Fucsia’ | 0.168 ± 0.026 (37) |
| A. ‘Mistral Wine’ | 0.261 ± 0.041 (15) | |
| A. ‘Wicabri Blue’ | 0.159 ± 0.029 (35) | |
| R. ‘Krisma’ | A. ‘Mistral Fucsia’ | 0.182 ± 0.032 (27) |
| A. ‘Mistral Wine’ | 0.068 ± 0.012 (19) | |
| A. ‘Wicabri Blue’ | 0.036 ± 0.005 (19) | |
| R. ‘Bianco Strié’ | A. ‘Mistral Fucsia’ | 0.042 ± 0.005 (19) |
| A. ‘Mistral Wine’ | 0.057 ± 0.009 (19) | |
| A. ‘Wicabri Blue’ | 0.046 ± 0.006 (19) |
| Treatment/ Technique | Ranunculus × Anemone | Anemone × Ranunculus | ||||
|---|---|---|---|---|---|---|
| n | Pollen Tube Length/Total Style Length | Test Cross | n | Pollen Tube Length/Total Style Length | Test Cross | |
| PM | 11 | 0.026 ± 0.005 *y | ‘Alfa’ × ‘Mistral Wine’ | 9 | 0.302 ± 0.064 | ‘Wicabri Blue’ × ‘Alfa’ |
| sucrose | 8 | 0.136 ± 0.029 | ‘Alfa’ × ‘Mistral Wine’ | 5 | 0.559 ± 0.096 | ‘Mistral Fucsia’ × ‘Alfa’ |
| salt | 12 | 0.159 ± 0.028 | ‘Alfa’ × ‘Mistral Wine’ | 5 | 0.143 ± 0.035 | ‘Mistral Fucsia’ × ‘Bianco Strié’ |
| oil | 20 | 0.292 ± 0.054 | ‘Alfa’ × ‘Mistral Wine’ | 10 | 0.000 ± 0.000 *y | ‘Mistral Wine’ × ‘Bianco Strié’ |
| 2,4-D | 6 | 0.078 ± 0.008 | ‘Alfa’ × ‘Mistral Fucsia’ | 7 | 0.529 ± 0.164 * | ‘Wicabri Blue’ × ‘Alfa’ |
| NAA | 4 | 0.112 ± 0.062 | ‘Alfa’ × ‘Mistral Fucsia’ | 5 | 0.681 ± 0.155 * | ‘Mistral Fucsia’ × ‘Alfa’ |
| GA3 | 10 | 0.200 ± 0.055 | ‘Alfa’ × ‘Mistral Fucsia’ | 4 | 0.490 ± 0.135 | ‘Mistral Fucsia’ × ‘Alfa’ |
| KIN | 7 | 0.169 ± 0.060 | ‘Alfa’ × ‘Mistral Fucsia’ | 6 | 0.258 ± 0.106 | ‘Mistral Wine’ × ‘Bianco Strié’ |
| comb | 9 | 0.423 ± 0.121 * | ‘Alfa’ × ‘Mistral Fucsia’ | 4 | 0.505 ± 0.096 * | ‘Mistral Fucsia’ × ‘Bianco Strié’ |
| SC | 10 | 0.000 ± 0.000 * | ‘Alfa’ × ‘Mistral Wine’ | 6 | 0.199 ± 0.025 | ‘Wicabri Blue’ × ‘Alfa’ |
| mentor | 9 | 0.038± 0.018 * | ‘Krisma’ × ‘Mistral Fucsia’ | 0 | - | - |
| mix | 0 z | - | - | 0 z | - | - |
| RV | 16 | 0.189 ± 0.044 | ‘Alfa’ × ‘Mistral Wine’ | 5 | 0.439 ± 0.212 | ‘Mistral Wine’ × ‘Alfa’ |
| old | 7 | 0.070 ± 0.012 | ‘Alfa’ × ‘Mistral Fucsia’ | 6 | 0.066 ± 0.018 | ‘Mistral Fucsia’ × ‘Alfa’ |
| young | 7 | 0.103 ± 0.029 | ‘Alfa’ × ‘Mistral Fucsia’ | 5 | 0.439 ± 0.069 | ‘Mistral Wine’ × ‘Alfa’ |
| Treatment/ Technique | Ranunculus × Anemone | Anemone × Ranunculus | ||||
|---|---|---|---|---|---|---|
| # Crosses | # Fruitlets | # Fruitlets/# Cross | # Crosses | # Fruitlets | # Fruitlets/# Cross | |
| control | 149 | 96 | 0.6 | 44 | 136 | 3.1 |
| PM | 58 | 9 | 0.2 | 1 | 0 | 0.0 |
| sugar | 43 | 10 | 0.2 | 0 | - | - |
| salt | 43 | 9 | 0.2 | 0 | - | - |
| oil | 60 | 19 | 0.3 | 4 | 1 | 0.3 |
| 2,4-D | 75 | 3760 | 50.1 | 8 | 630 | 78.8 |
| NAA | 43 | 2657 | 61.8 | 6 | 210 | 35.0 |
| GA3 | 45 | 57 | 1.3 | 7 | 4 | 0.6 |
| KIN | 48 | 118 | 2.5 | 3 | 1 | 0.3 |
| comb | 42 | 2697 | 64.2 | 12 | 588 | 49.0 |
| SC | 20 | 4 | 0.2 | 3 | 3 | 1.0 |
| mentor | 5 | 8 | 1.6 | 0 | - | - |
| mix | 20 | 858 | 42.9 | 15 | 582 | 38.8 |
| RV | 30 | 15 | 0.5 | 9 | 31 | 3.4 |
| old | 64 | 4 | 0.1 | 5 | 2 | 0.4 |
| young | 6 | 4 | 0.7 | 0 | - | - |
Publisher’s Note: MDPI stays neutral with regard to jurisdictional claims in published maps and institutional affiliations. |
© 2021 by the authors. Licensee MDPI, Basel, Switzerland. This article is an open access article distributed under the terms and conditions of the Creative Commons Attribution (CC BY) license (https://creativecommons.org/licenses/by/4.0/).
Share and Cite
Dhooghe, E.; Reheul, D.; Van Labeke, M.-C. Overcoming Pre-Fertilization Barriers in Intertribal Crosses between Anemone coronaria L. and Ranunculus asiaticus L. Horticulturae 2021, 7, 529. https://doi.org/10.3390/horticulturae7120529
Dhooghe E, Reheul D, Van Labeke M-C. Overcoming Pre-Fertilization Barriers in Intertribal Crosses between Anemone coronaria L. and Ranunculus asiaticus L. Horticulturae. 2021; 7(12):529. https://doi.org/10.3390/horticulturae7120529
Chicago/Turabian StyleDhooghe, Emmy, Dirk Reheul, and Marie-Christine Van Labeke. 2021. "Overcoming Pre-Fertilization Barriers in Intertribal Crosses between Anemone coronaria L. and Ranunculus asiaticus L." Horticulturae 7, no. 12: 529. https://doi.org/10.3390/horticulturae7120529
APA StyleDhooghe, E., Reheul, D., & Van Labeke, M.-C. (2021). Overcoming Pre-Fertilization Barriers in Intertribal Crosses between Anemone coronaria L. and Ranunculus asiaticus L. Horticulturae, 7(12), 529. https://doi.org/10.3390/horticulturae7120529

