Efficient In Vitro Regeneration and Genetic Fidelity Assessment Using ISSR of Ficus carica ‘Xinjiang Zaohuang’
Abstract
1. Introduction
2. Materials and Methods
2.1. Plant Materials and Culture Conditions
2.2. Preparation of Sterile Materials
2.3. Effects of Basal Media on Shoot Growth
2.4. Effect of Cytokinin Type and Concentration on Adventitious Buds Induction
2.5. Effects of Different Concentrations of NAA and IBA on Adventitious Shoot Formation
2.6. Effects of PGRs Combinations on Proliferation
2.7. Effect of PGRs Combinations on Shoot Elongation
2.8. Effects of IBA Concentration on Rooting
2.9. Genetic Homogeneity Analysis
2.10. Statistics and Data Analysis
- Computational platform: Microsoft Excel 2020
- Statistical package: IBM SPSS Statistics 27
- Analytical methods: One-way analysis of variance
- Duncan’s multiple comparison test (p < 0.05)
3. Results
3.1. Suitable Basic Media Selection
3.2. Effect of Cytokinin Type and Concentration on Adventitious Bud Induction
3.3. Effect of Auxin on Callus and Adventitious Buds
3.4. Effects of PGRs Combinations on Proliferation
3.5. Effect of PGRs Formulations on Shoots Elongation
3.6. Effects of IBA Concentration Gradient on Roots Induction
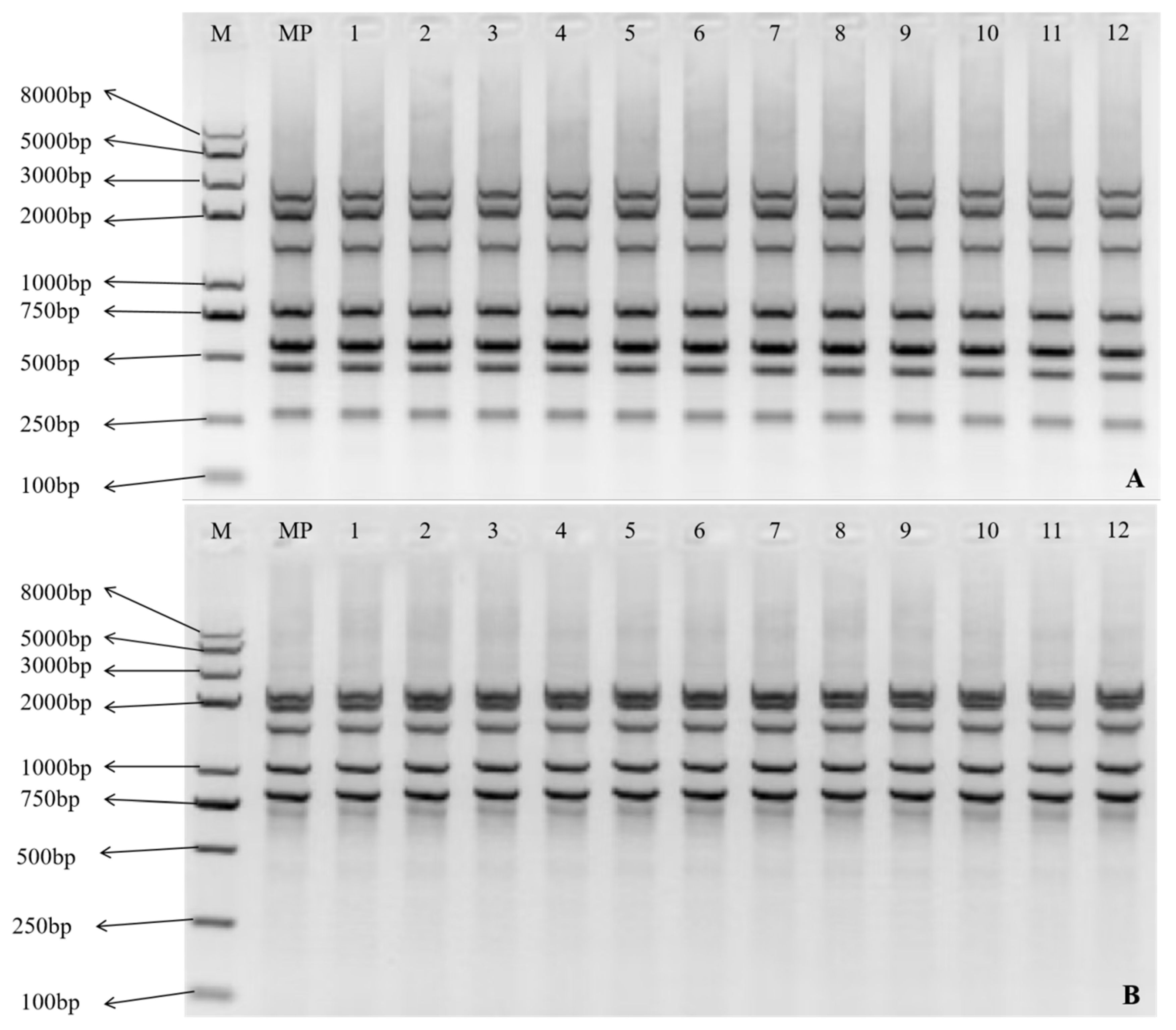
3.7. Genetic Fidelity Assessment
4. Discussion
5. Conclusions
Author Contributions
Funding
Data Availability Statement
Acknowledgments
Conflicts of Interest
Abbreviations
| 6-BA | 6-Benzylaminopurine |
| DCR | Douglas-fir cotyledon revised media |
| IBA | Indole-3-butyric acid |
| ISSR | Inter simple sequence repeat |
| MeJA | Methyl jasmonate |
| MS | Murashige and Skoog media |
| NAA | 1-Naphthaleneacetic acid |
| PGRs | Plant growth regulators |
| TDZ | Thidiazuron |
| TCL | Stem thin cell layer |
| WPM | Woody plant media |
| ZT | Zeatin |
References
- Binnoubah, A.; Hamdy, R.; Ragab, O.; El-Taher, A.; El-Yazied, A.; Safhi, F.; Elzilal, H.; Althobaiti, A.; Alshamrani, S.; Abd, D. Anatomical and molecular identification of ornamental plant Ficus L. species. Phyton-Int. J. Exp. Bot. 2023, 92, 1329–1347. [Google Scholar] [CrossRef]
- Araújo, N.D.; Coelho, V.P.M.; Ventrella, M.C.; Agra, M.D.F. Leaf anatomy and histochemistry of three species of Ficus sect. Microsc. Microanal. 2014, 20, 296–304. [Google Scholar] [CrossRef] [PubMed]
- Fan, K.-Y.; Bain, A.; Tzeng, H.-Y.; Chiang, Y.-P.; Chou, L.-S.; Kuo-Huang, L.-L.J.B. Comparative anatomy of the fig wall (Ficus, Moraceae). Botany 2019, 97, 417–426. [Google Scholar] [CrossRef]
- Mani, M. Pest management in horticultural crops under protected cultivation. Trends Hortic. Entomol. 2022, 16, 387–417. [Google Scholar] [CrossRef]
- Romeh, A.A. Integrated Pest Management for Sustainable Agriculture; CABI: Wallingford, UK, 2018; pp. 215–234. [Google Scholar] [CrossRef]
- Yuan, Y.; Li, Z.; Aisa, H.A. Targeted characterisation of bioactive prenylated flavonoids from Ficus carica L. fruits. Food Chem. 2025, 483, 144201. [Google Scholar] [CrossRef]
- Amessis-Ouchemoukh, N.; Ouchemoukh, S.; Meziant, N.; Idiri, Y.; Hernanz, D.; Stinco, C.M.; Rodríguez-Pulido, F.J.; Heredia, F.J.; Madani, K.; Luis, J.J.I.C.; et al. Bioactive metabolites involved in the antioxidant, anticancer and anticalpain activities of Ficus carica L., Ceratonia siliqua L. and Quercus ilex L. extracts. Ind. Crops Prod. 2017, 95, 6–17. [Google Scholar] [CrossRef]
- Soltana, H.; Pinon, A.; Limami, Y.; Zaid, Y.; Khalki, L.; Zaid, N.; Salah, D.; Sabitaliyevich, U.Y.; Simon, A.; Liagre, B.J.C.; et al. Antitumoral activity of Ficus carica L. on colorectal cancer cell lines. Cell. Mol. Biol. 2019, 65, 6–11. [Google Scholar] [CrossRef] [PubMed]
- Yang, Q.; Liu, Y.; Guo, Y.; Jiang, Y.; Wen, L.; Yang, B. New insights of fig (Ficus carica L.) as a potential function food. Trends Food Sci. Technol. 2023, 140, 104146. [Google Scholar] [CrossRef]
- Hajam, T.A.; Saleem, H.J.C.-B.I. Phytochemistry, biological activities, industrial and traditional uses of fig (Ficus carica): A review. Chem.-Biol. Interact. 2022, 368, 110237. [Google Scholar] [CrossRef]
- Singh, J.P.; Singh, B.; Kaur, A. Polyphenols in fig: A review on their characterisation, biochemistry during ripening, antioxidant activity and health benefits. Int. J. Food Sci. Technol. 2022, 57, 3333–3342. [Google Scholar] [CrossRef]
- Rasool, I.F.u.; Aziz, A.; Khalid, W.; Koraqi, H.; Siddiqui, S.A.; AL-Farga, A.; Lai, W.-F.; Ali, A. Industrial application and health prospective of fig (Ficus carica) by-products. Molecules 2023, 28, 960. [Google Scholar] [CrossRef]
- Kumar, A.; Thakur, N.; Srivastava, A.; Ingole, A.; Shah, I.; Kumar, P. Exogenous Application of Iba and Naa Improved Rooting and Survival of Hardwood Cuttings of Fig (Ficus carica L.) Cv. Dinkar. Plant Arch. 2025, 25, 354–359. [Google Scholar] [CrossRef]
- Mirsoleimani, A.; Zinati, Z.; Abbasi, S. New insights into the identification of biochemical traits linked to rooting percentage in fig (Ficus carica L.) cuttings. J. Berry Res. 2024, 14, 227–245. [Google Scholar] [CrossRef]
- Pontikis, C.; Melas, P. Micropropagation of Ficus carica L. HortScience 1986, 21, 153. [Google Scholar] [CrossRef]
- Kilinc, S.S.; Ertan, E.; Seferoglu, S. Effects of different nutrient solution formulations on morphological and biochemical characteristics of nursery fig trees grown in substrate culture. Sci. Hortic. 2007, 113, 20–27. [Google Scholar] [CrossRef]
- Moniruzzaman, M.; Yaakob, Z.; Anuar, N. Factors affecting in vitro regeneration of Ficus carica L. and genetic fidelity studies using molecular marker. J. Plant Biochem. Biotechnol. 2021, 30, 304–316. [Google Scholar] [CrossRef]
- Al-Aizari, A.A.; Dewir, Y.H.; Ghazy, A.-H.; Al-Doss, A.; Al-Obeed, R.S. Micropropagation and genetic fidelity of fegra fig (Ficus palmata Forssk.) and grafting compatibility of the regenerated plants with Ficus carica. Plants 2024, 13, 1278. [Google Scholar] [CrossRef]
- Amani, S.; Mohebodini, M.; Khademvatan, S.; Jafari, M.; Kumar, V. Modifications in gene expression and phenolic compounds content by methyl jasmonate and fungal elicitors in Ficus carica. Cv. Siah hairy root cultures. BMC Plant Biol. 2024, 24, 520. [Google Scholar] [CrossRef]
- Gu, X.; He, J.; He, H.; Wang, Y.; Fan, Z.; Zhao, D.; Sun, K.; Zheng, C.; Ma, H. Efficient regeneration and genetic transformation of fig (Ficus carica) from stem thin cell layer explants. Hortic. Plant J. 2025; in press. [Google Scholar] [CrossRef]
- Murashige, T.; Skoog, F. A revised medium for rapid growth and bio assays with tobacco tissue cultures. Physiol. Plant. 1962, 15, 473–497. [Google Scholar] [CrossRef]
- Lloyd, G.; McCown, B. Commercially-feasible micropropagation of mountain laurel, Kalmia latifolia, by use of shoot-tip culture. Plant Prop 1980, 30, 421–427. [Google Scholar]
- Gupta, P.K.; Durzan, D.J. Shoot multiplication from mature trees of Douglas-fir (Pseudotsuga menziesii) and sugar pine (Pinus lambertiana). Plant Cell Rep. 1985, 4, 177–179. [Google Scholar] [CrossRef]
- Geiss, G.; Gutierrez, L.; Bellini, C. Adventitious root formation: New insights and perspectives. Annu. Plant (Rev.) 2009, 37, 127–156. [Google Scholar] [CrossRef]
- Yousef, E.A.A.; Nasef, I.N. Exogenous Application Effect of Indole 3-Butyric Acid and Myo-inositol on Improving Growth, Productivity and Bulb Quality of Garlic. Egypt. J. Hortic. 2021, 48, 111–122. [Google Scholar] [CrossRef]
- Wozniak, E.; Blaszczak, A.; Wiatrak, P.; Canady, M. Biostimulant mode of action: Impact of biostimulant on whole-plant level. Chem. Biol. Plant Biostimulants 2020, 205–227. [Google Scholar] [CrossRef]
- Sehgal, H.; Joshi, M. The journey and new breakthroughs of plant growth regulators in tissue culture. In Advances in Plant Tissue Culture; Elsevier: Amsterdam, The Netherlands, 2022; pp. 85–108. [Google Scholar] [CrossRef]
- Qurbanova, Q.; Babayeva, S.; Abbasov, M. Analysis of the genetic diversity of Azerbaijani fig accessions (Ficus carica L.) using pomological traits and inter simple sequence repeat (ISSR) markers. Genet. Resour. Crop Evol. 2024, 72, 1985–1998. [Google Scholar] [CrossRef]
- Rajendra, P.A.; Bee, L.C.; Sreeramanan, S. Assessment of genetic stability on in vitro and ex vitro plants of Ficus carica var. black jack using ISSR and DAMD markers. Mol. Biol. Rep. 2021, 48, 7223–7231. [Google Scholar] [CrossRef] [PubMed]
- Ait, H.L.; Jamal, C.; Abdelali, B.; Zerhoune, M.; Hakim, O. Molecular Characterization and Study of Genetic Relationships among local Cultivars of the Moroccan fig (Ficus carica L.) using Microsatellite and ISSR Markers. Int. J. Environ. Agric. Biotechnol. 2018, 3, 18–27. [Google Scholar] [CrossRef]
- Dessoky, E.-D.S.; Attia, A.O.; Mohamed, E.-A.A.M. An efficient protocol for in vitro propagation of Fig (Ficus carica sp.) and evaluation of genetic fidelity using RAPD and ISSR markers. J. Appl. Biol. Biotechnol. 2016, 4, 57–63. [Google Scholar] [CrossRef]
- Stepan-Sarkissian, G.J.P.C. Selection of media for tissue and cell culture. In Plant Cell and Tissue Culture; Humana Press: Totowa, NJ, USA, 1990; pp. 1–12. [Google Scholar] [CrossRef]
- Phillips, G.C.; Garda, M. Plant tissue culture media and practices: An overview. Vitr. Cell. Dev. Biol.-Plant 2019, 55, 242–257. [Google Scholar] [CrossRef]
- Sriskanda, D.; Chew, X.J.; Chew, B.L. Callus induction of fig (Ficus carica cv. Violette de Soillès) via thin cell layer technique. J. Trop. Plant Physiol. 2022, 14, 9. [Google Scholar] [CrossRef]
- Yan, X.; Zheng, K.; Li, P.; Zhong, X.; Zhu, Z.; Zhou, H.; Zhu, M. An efficient in vitro organogenesis protocol for the endangered relic tree species Bretschneidera sinensis and genetic fidelity assessment using DNA markers. Front. Plant Sci. 2024, 15, 1259925. [Google Scholar] [CrossRef] [PubMed]
- Zhou, H.; Sun, J.; Zheng, K.; Zhang, X.; Yao, Y.; Zhu, M. Efficient Plantlet Regeneration from Branches in Mangifera indica L. Plants 2024, 13, 2595. [Google Scholar] [CrossRef] [PubMed]
- Davies, F.T., Jr.; Davis, T.D.; Kester, D.E. Commercial importance of adventitious rooting to horticulture. In Biology of Adventitious Root Formation; Springer: Berlin/Heidelberg, Germany, 1994; pp. 53–59. [Google Scholar] [CrossRef]
- Gish, T.; Jury, W.A. Effect of plant roots and root channels on solute transport. Trans. ASAE 1983, 26, 440–444. [Google Scholar] [CrossRef]
- Pohare, M.; Suryawanshi, P.; Rathod, H.P. In vitro Micropropagation of Banyan Tree (Ficus benghalensis L.) through Shoot Tip Culture. Res. J. Agric. Sci. 2012, 3, 880–882. [Google Scholar]
- Dewir, Y.H.; Nurmansyah; Naidoo, Y.; Teixeira da Silva, J.A. Thidiazuron-induced abnormalities in plant tissue cultures. Plant Cell Rep. 2018, 37, 1451–1470. [Google Scholar] [CrossRef]
- Bidabadi, S.S.; Meon, S.; Wahab, Z.; Mahmood, M. Study of genetic and phenotypic variability among somaclones induced by BAP and TDZ in micropropagated shoot tips of banana (Musa spp.) using RAPD markers. J. Agric. Sci. 2010, 2, 49. [Google Scholar] [CrossRef]
- Roy, A.; Sajeev, S.; Pattanayak, A.; Deka, B.C. TDZ induced micropropagation in Cymbidium giganteum Wall. Ex Lindl. and assessment of genetic variation in the regenerated plants. Plant Growth Regul. 2012, 68, 435–445. [Google Scholar] [CrossRef]
- Wang, Z.; Li, F.; Feng, C.; Zheng, D.; Pang, Z.; Ma, Y.; Xu, Y.; Yang, C.; Li, X.; Peng, S. 1-Naphthaleneacetic Acid Improved the In Vitro Cell Culturing by Inhibiting Apoptosis. Adv. Biol. 2024, 8, 2300593. [Google Scholar] [CrossRef]








| Basic Medium | Average Number of Leaves (Leaves) | Average Fresh Weight of the Leaves was Increased (g/leaves) |
|---|---|---|
| MS | 3.12 ± 0.05 a | 0.85 ± 0.04 a |
| WPM | 2.40 ± 0.26 b | 0.73 ± 0.03 b |
| DCR | 2.10 ± 0.07 b | 0.51 ± 0.05 c |
| Species and Concentrations of Cytokinins (mg/L) | Percentage of Adventitious Bud Induction (%) | The Average Number of Adventitious Buds | |
|---|---|---|---|
| 6-BA | 0 | 12.67 ± 4.27 h | 1.83 ± 0.16 j |
| 0.50 | 46.67 ± 5.03 e | 2.98 ± 0.26 fg | |
| 0.75 | 66.67 ± 3.05 bc | 4.49 ± 0.23 c | |
| 1.00 | 89.33 ± 1.16 a | 6.21 ± 0.22 a | |
| 1.25 | 57.33 ± 2.31 cd | 4.85 ± 0.15 b | |
| 1.50 | 39.33 ± 5.29 ef | 3.07 ± 0.17 fg | |
| TDZ | 0 | 12.67 ± 6.11 h | 1.98 ± 0.27 ij |
| 0.30 | 33.33 ± 3.05 f | 2.24 ± 0.07 ij | |
| 0.50 | 46.67 ± 4.16 e | 3.51 ± 0.30 ef | |
| 0.70 | 76.00 ± 3.16 b | 4.20 ± 0.31 cd | |
| 1.00 | 55.33 ± 6.43 d | 3.85 ± 0.35 de | |
| 1.50 | 16.00 ± 2.14 gh | 2.21 ± 0.18 ij | |
| ZT | 0 | 9.33 ± 3.06 h | 1.82 ± 0.20 j |
| 0.50 | 21.33 ± 2.31 g | 2.29 ± 0.36 ij | |
| 1.00 | 59.33 ± 4.84 cd | 2.81 ± 0.17 gh | |
| 1.50 | 59.33 ± 6.42 cd | 3.14 ± 0.78 fg | |
| 2.00 | 44.00 ± 2.00 e | 3.29 ± 0.19 fg | |
| 2.50 | 9.33 ± 7.57 h | 2.38 ± 0.18 hi | |
| Concentration of NAA(mg/L) | Days to Initiation of Basal Callus | Average Fresh Weight of Basal Callus(g) | The Average Number of Adventitious Buds |
|---|---|---|---|
| 0 | 14.00 ± 0 a | 0.09 ± 0.03 f | 4.82 ± 0.09 c |
| 0.01 | 7.06 ± 0.33 d | 0.53 ± 0.04 d | 5.12 ± 0.10 c |
| 0.05 | 4.20 ± 0.31 f | 0.76 ± 0.06 b | 3.33 ± 0.24 d |
| 0.10 | 3.55 ± 0.42 g | 0.81 ± 0.04 b | 2.26 ± 0.18 e |
| 0.15 | 3.36 ± 0.53 gh | 1.36 ± 0.03 a | 1.47 ± 0.20 f |
| 0.20 | 3.18 ± 0.52 h | 1.38 ± 0.05 a | 1.21 ± 0.25 f |
| 0 | 14.00 ± 0 a | 0.09 ± 0.03 f | 4.79 ± 0.30 c |
| 0.01 | 11.72 ± 0.55 b | 0.14 ± 0.04 f | 4.89 ± 0.19 c |
| 0.05 | 10.03 ± 0.50 c | 0.46 ± 0.02 e | 5.70 ± 0.18 b |
| 0.10 | 7.26 ± 0.87 d | 0.63 ± 0.04 c | 6.56 ± 0.34 a |
| 0.15 | 5.84 ± 0.41 e | 0.77 ± 0.03 b | 5.97 ± 0.08 b |
| 0.20 | 5.54 ± 0.53 e | 0.81 ± 0.04 b | 5.00 ± 0.20 c |
| PGRs Combination (mg/L) | Percentage of Adventitious Bud Induction (%) | The Average Number of Adventitious Buds |
|---|---|---|
| 6-BA 1+ IBA 0.15 | 83.33 ± 6.43 b | 4.87 ± 0.19 f |
| TDZ 0.7 + IBA 0.15 | 80.00 ± 5.29 b | 5.30 ± 0.23 d |
| ZT 1.5 + IBA 0.15 | 68.67 ± 5.03 d | 5.53 ± 0.15 c |
| 6-BA 1+ IBA 0.1 | 89.67 ± 4.51 a | 6.29 ± 0.17 a |
| TDZ 0.7 + IBA 0.1 | 81.33 ± 6.42 b | 6.02 ± 0.13 b |
| ZT1.5 + IBA 0.1 | 74.00 ± 2.00 c | 5.02 ± 0.18 e |
| PGRs Combination (mg/L) | Average Elongation Length (cm) | Average Elongation (%) |
|---|---|---|
| MS + 6-BA0.05 + IBA0.01 | 2.82 ± 0.07 d | 77.33 ± 5.03 cd |
| MS + 6-BA0.05 + IBA0.05 | 2.36 ± 0.08 c | 71.33 ± 4.16 d |
| MS + 6-BA0.10 + IBA0.01 | 4.16 ± 0.09 a | 96.67 ± 1.16 a |
| MS + 6-BA0.10 + IBA0.05 | 3.78 ± 0.11 b | 88.67 ± 4.13 b |
| MS + 6-BA0.20 + IBA0.01 | 3.44 ± 0.09 c | 82.00 ± 4.00 bc |
| MS + 6-BA0.20 + IBA0.05 | 2.42 ± 0.05 e | 75.33 ± 6.11 cd |
| Concentration of IBA (mg/L) | Induction Rate (%) | Average Number of Roots |
|---|---|---|
| 0 | 6.00 ± 2.00 e | 1.85 ± 0.11 e |
| 0.5 | 78.67 ± 6.11 b | 7.76 ± 0.26 b |
| 1.0 | 96.67 ± 3.06 a | 9.29 ± 0.18 a |
| 1.5 | 68.67 ± 2.31 c | 3.00 ± 0.16 c |
| 2.0 | 24.00 ± 3.46 d | 2.48 ± 0.17 d |
| Primer Code | Primer Code (5′–3′) | Annealing Temperature (°C) | No. of Scorable Bands | Size Range of Bands (bp) |
|---|---|---|---|---|
| UBC809 | AGAGAGAGAGAGAGAGG | 47 | 11 | 250–3000 |
| UBC810 | GAGAGAGAGAGAGAGAT | 45 | 5 | 750–2000 |
| UBC811 | GAGAGAGAGAGAGAGAC | 57 | 7 | 250–3000 |
| UBC812 | GAGAGAGAGAGAGAGAA | 45 | 6 | 250–3000 |
| UBC813 | CTCTCTCTCTCTCTCTT | 45 | 5 | 500–3000 |
| UBC823 | TCTCTCTCTCTCTCTCC | 47 | 9 | 250–3000 |
Disclaimer/Publisher’s Note: The statements, opinions and data contained in all publications are solely those of the individual author(s) and contributor(s) and not of MDPI and/or the editor(s). MDPI and/or the editor(s) disclaim responsibility for any injury to people or property resulting from any ideas, methods, instructions or products referred to in the content. |
© 2026 by the authors. Licensee MDPI, Basel, Switzerland. This article is an open access article distributed under the terms and conditions of the Creative Commons Attribution (CC BY) license.
Share and Cite
Tang, H.; Wang, X.; Xie, Y.; Wang, X.; Zhou, Q.; Zhu, M. Efficient In Vitro Regeneration and Genetic Fidelity Assessment Using ISSR of Ficus carica ‘Xinjiang Zaohuang’. Horticulturae 2026, 12, 70. https://doi.org/10.3390/horticulturae12010070
Tang H, Wang X, Xie Y, Wang X, Zhou Q, Zhu M. Efficient In Vitro Regeneration and Genetic Fidelity Assessment Using ISSR of Ficus carica ‘Xinjiang Zaohuang’. Horticulturae. 2026; 12(1):70. https://doi.org/10.3390/horticulturae12010070
Chicago/Turabian StyleTang, Haipeng, Xinyuan Wang, Yumei Xie, Xin Wang, Qiang Zhou, and Mulan Zhu. 2026. "Efficient In Vitro Regeneration and Genetic Fidelity Assessment Using ISSR of Ficus carica ‘Xinjiang Zaohuang’" Horticulturae 12, no. 1: 70. https://doi.org/10.3390/horticulturae12010070
APA StyleTang, H., Wang, X., Xie, Y., Wang, X., Zhou, Q., & Zhu, M. (2026). Efficient In Vitro Regeneration and Genetic Fidelity Assessment Using ISSR of Ficus carica ‘Xinjiang Zaohuang’. Horticulturae, 12(1), 70. https://doi.org/10.3390/horticulturae12010070

