Functional Identification of Acetyl-CoA C-Acetyltransferase Gene from Fritillaria unibracteata
Abstract
1. Introduction
2. Materials and Methods
2.1. Materials
2.1.1. Strain and Plasmid
2.1.2. Reagents and Plant Materials
2.1.3. Experimental Apparatus
2.2. Experimental Methods
2.2.1. Cloning and Bioinformatics Analysis of FuAACT
2.2.2. Protein Expression and Purification
2.2.3. Enzymatic Assay of FuAACT
2.2.4. Site Mutagenesis
2.2.5. Subcellular Localization of FuAACT
2.2.6. Expression Pattern of FuAACT Gene
2.2.7. Construction of Transgenic A. thaliana Overexpressing FuAACT
2.2.8. Statistical Analysis
3. Results
3.1. Sequence Analysis of FuAACT Gene
3.2. Conserved Motif Analysis of AACT
3.3. Protein Variability Analysis of AACT
3.4. Homology Modeling and Important Catalytic Sites of FuAACT
3.5. Heterologous Expression, Purification, and Activity Assay of FuAACT
3.6. Analysis on Sucellular Localization of FuAACT
3.7. Expressional Pattern of FuAACT Gene
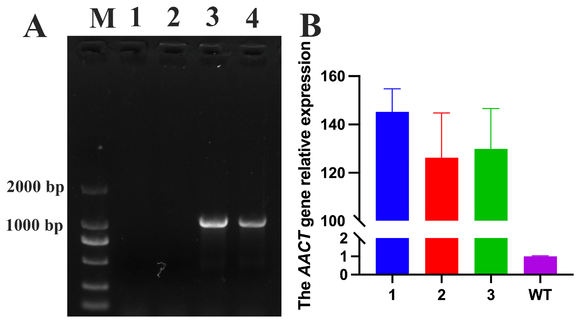
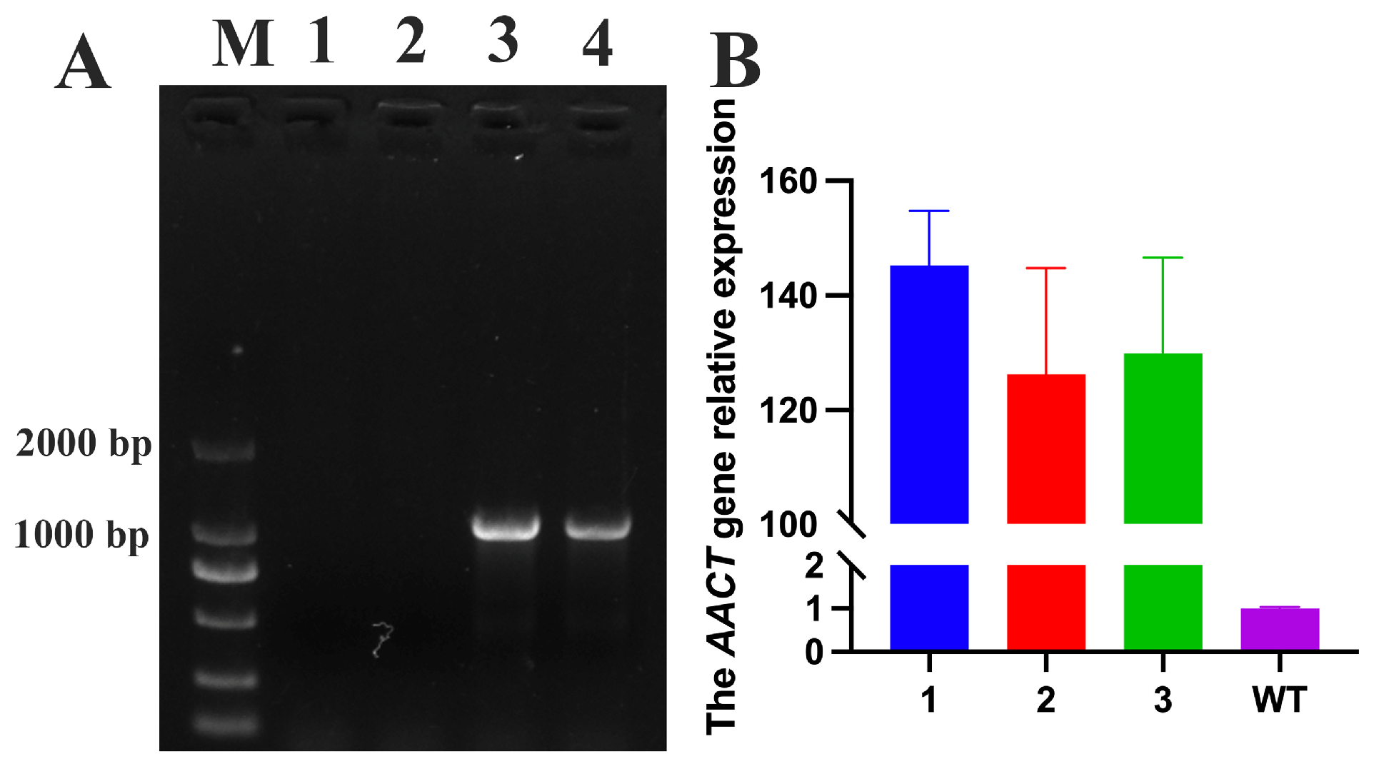
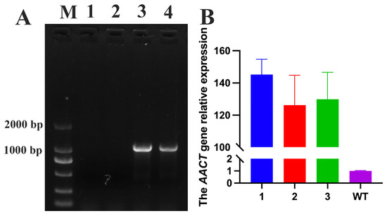
3.8. Phenotypic Analysis of Transgenic FuAACT A. thaliana Under Drought Stress
4. Discussion
5. Conclusions
Supplementary Materials
Author Contributions
Funding
Data Availability Statement
Acknowledgments
Conflicts of Interest
References
- Wang, M.; Wang, D.; Zhang, Q.; Chai, J.; Peng, Y.; Cai, X. Identification and cytochemical immunolocalization of acetyl-CoA acetyltransferase involved in the terpenoid mevalonate pathway in Euphorbia helioscopia laticifers. Bot. Stud. 2017, 58, 62. [Google Scholar] [CrossRef] [PubMed]
- Yu, X.; Chen, J.; Yan, H.; Huang, X.; Chen, J.; Ma, Z.; Zhou, J.; Liao, H. Functional Identification of the Isopentenyl Diphosphate Isomerase Gene from Fritillaria unibracteata. Horticulturae 2024, 10, 887. [Google Scholar] [CrossRef]
- Deng, C.; Li, J.; Tao, S.; Jin, Y.; Peng, F. Identifying Suitable Regions for Fritillaria unibracteata Cultivation Without Damage from the Pest Eospalax baileyi. Plants 2025, 14, 674. [Google Scholar] [CrossRef]
- Jiang, R.; Zou, M.; Qin, Y.; Tan, G.; Huang, S.; Quan, H.; Zhou, J.; Liao, H. Modeling of the Potential Geographical Distribution of Three Fritillaria Species Under Climate Change. Front. Plant Sci. 2021, 12, 749838. [Google Scholar] [CrossRef]
- Liao, H.; Quan, H.; Huang, B.; Ji, H.; Zhang, T.; Chen, J.; Zhou, J. Integrated transcriptomic and metabolomic analysis reveals the molecular basis of tissue-specific accumulation of bioactive steroidal alkaloids in Fritillaria unibracteata. Phytochemistry 2023, 214, 113831. [Google Scholar] [CrossRef]
- Yang, L.; Zhang, M.; Yang, T.; Wai Ming, T.; Wai Gaun, T.K.; Ye, B. LC-MS/MS coupled with chemometric analysis as an approach for the differentiation of bulbus Fritillaria unibracteata and Fritillaria ussuriensis. Phytochem. Anal. 2021, 32, 957–969. [Google Scholar] [CrossRef]
- Zhao, D.; Wang, J.; Dai, W.; Ye, K.; Chen, J.; Lai, Q.; Li, H.; Zhong, B.; Yu, X. Effects of climate warming and human activities on the distribution patterns of Fritillaria unibracteata in eastern Qinghai-Tibetan Plateau. Sci. Rep. 2023, 13, 15770. [Google Scholar] [CrossRef]
- Wang, G.; Wan, X.; Li, X.; Ou, J.; Li, G.; Deng, H. Transcriptome-based analysis of key functional genes in the triterpenoid saponin synthesis pathway of Platycodon grandiflorum. BMC Genomic Data 2024, 25, 83. [Google Scholar] [CrossRef]
- Vishwakarma, R.K.; Ruby; Somesh, S.; Sonawane, P.D.; Srivastava, S.; Kumari, U.; Santosh Kumar, R.J.; Khan, B.M. Molecular cloning, biochemical characterization, and differential expression of an Acetyl-CoA C-Acetyltransferase Gene (AACT) of Brahmi (Bacopa monniera). Plant Mol. Biol. Rep. 2013, 31, 547–557. [Google Scholar] [CrossRef]
- Jin, H.; Song, Z.; Nikolau, B.J. Reverse genetic characterization of two paralogous acetoacetyl CoA thiolase genes in Arabidopsis reveals their importance in plant growth and development. Plant J. Cell Mol. Biol. 2012, 70, 1015–1032. [Google Scholar] [CrossRef]
- Yao, Y.Z.; Li, X.Y.; Wei, L.; Wu, X.J.; Tang, Y.L. Cloning, expression, and bioinformatics analysis of acetyl-CoA C-acetyltransferase gene in Houttuynia cordata. Chin. Tradit. Herbal Drugs 2015, 46, 107–111. [Google Scholar]
- Chen, Q.; Yan, J.; Meng, X.; Xu, F.; Zhang, W.; Liao, Y.; Qu, J. Molecular cloning, characterization, and functional analysis of acetyl-CoA C-acetyltransferase and mevalonate kinase genes involved in terpene trilactone biosynthesis from Ginkgo biloba. Molecules 2017, 22, 74. [Google Scholar] [CrossRef]
- Rohmer, M.; Knani, M.; Simonin, P.; Sutter, B.; Sahm, H. Isoprenoid biosynthesis in bacteria: A novel pathway for the early steps leading to isopentenyl diphosphate. Biochem. J. 1993, 295, 517–524. [Google Scholar] [CrossRef]
- Dyer, J.H.; Maina, A.; Gomez, I.D.; Cadet, M.; Oeljeklaus, S.; Schiedel, A.C. Cloning, expression and purification of an acetoacetyl CoA thiolase from sunflower cotyledon. Int. J. Biol. Sci. 2009, 5, 736–744. [Google Scholar] [CrossRef] [PubMed]
- Van Moerkercke, A.; Schauvinhold, I.; Pichersky, E.; Haring, M.A.; Schuurink, R.C. A plant thiolase involved in benzoic acid biosynthesis and volatile benzenoid production. Plant J. 2009, 60, 292–302. [Google Scholar] [CrossRef]
- Liu, M.; Yu, H.; Li, J.; Dong, N.; Chen, B.; Xu, R.; Wu, J.; Chang, X.; Wang, J.; Peng, H.; et al. Cloning, Expression, and Functional Analysis of the Full-Length cDNA of Acetyl-CoA C-acetyltransferase (AACT) Genes Related to Terpenoid Synthesis in Platycodon grandiflorus. Protein Pept. Lett. 2022, 29, 1061–1071. [Google Scholar] [CrossRef] [PubMed]
- Kang, J.N.; Han, J.W.; Yang, S.H.; Lee, S.M. Co-Expression Analysis Reveals Differential Expression of Homologous Genes Associated with Specific Terpenoid Biosynthesis in Rehmannia glutinosa. Genes 2022, 13, 1092. [Google Scholar] [CrossRef] [PubMed]
- Fang, X.; Shi, L.; Xu, Y.J.; Zhao, M.W. Cloning of a sterol 14α-demethylase gene and the effects of over-expression of the gene on biological synthesis of triterpenes in Ganoderma lucidum. Mycosystema 2011, 30, 7. [Google Scholar]
- Sando, T.; Takaoka, C.; Mukai, Y.; Yamashita, A.; Hattori, M.; Ogasawara, N.; Fukusaki, E.; Kobayashi, A. Cloning and characterization of mevalonate pathway genes in a natural rubber producing plant, Hevea brasiliensis. Biosci. Biotechnol. Biochem. 2008, 72, 2049–2060. [Google Scholar] [CrossRef]
- Soto, G.; Stritzler, M.; Lisi, C.; Alleva, K.; Pagano, M.E.; Ardila, F.; Mozzicafreddo, M.; Cuccioloni, M.; Angeletti, M.; Ayub, N.D. Acetoacetyl-CoA thiolase regulates the mevalonate pathway during abiotic stress adaptation. J. Exp. Bot. 2011, 62, 5699–5711. [Google Scholar] [CrossRef]
- Zhang, C.; Ji, Z.; Xu, N.; Yuan, J.; Zeng, W.; Wang, Y.; He, Q.; Dong, J.; Zhang, X.; Yang, D.; et al. Integrating network pharmacology and experimental validation to decipher the pharmacological mechanism of DXXK in treating diabetic kidney injury. Sci. Rep. 2024, 14, 22319. [Google Scholar] [CrossRef] [PubMed]
- Song, S.; Chen, A.; Zhu, J.; Yan, Z.; An, Q.; Zhou, J.; Liao, H.; Yu, Y. Structure basis of the caffeic acid O-methyltransferase from Ligusiticum chuanxiong to understand its selective mechanism. Int. J. Biol. Macromol. 2022, 194, 317–330. [Google Scholar] [CrossRef] [PubMed]
- Horton, P.; Park, K.J.; Obayashi, T.; Fujita, N.; Harada, H.; Adams-Collier, C.J.; Nakai, K. WoLF PSORT: Protein localization predictor. Nucleic Acids Res. 2007, 35, W585–W587. [Google Scholar] [CrossRef] [PubMed]
- Zeng, R.; Gao, S.; Xu, L.; Liu, X.; Dai, F. Prediction of pathogenesis-related secreted proteins from Stemphylium lycopersici. BMC Microbiol. 2018, 18, 191. [Google Scholar] [CrossRef]
- Qin, Y.; Li, Q.; An, Q.; Li, D.; Huang, S.; Zhao, Y.; Chen, W.; Zhou, J.; Liao, H. A phenylalanine ammonia lyase from Fritillaria unibracteata promotes drought tolerance by regulating lignin biosynthesis and SA signaling pathway. Int. J. Biol. Macromol. 2022, 213, 574–588. [Google Scholar] [CrossRef]
- Arakawa, H.; Takiguchi, M.; Amaya, Y.; Nagata, S.; Hayashi, H.; Mori, M. cDNA-derived amino acid sequence of rat mitochondrial 3-oxoacyl-CoA thiolase with no transient presequence: Structural relationship with peroxisomal isozyme. EMBO J. 1987, 6, 1361–1366. [Google Scholar] [CrossRef]
- Sun, S.; Kang, X.P.; Tian, Y.S.; Zheng, S.W.; Xing, G.M. Cloning and bioinformatic analysis of a novel Thiolase II Gene (BPLTHI2) from Betula platyphylla. Biotechnol. Biotechnol. Equip. 2013, 27, 4167–4171. [Google Scholar] [CrossRef]
- Zeng, J.; Li, D. Expression and purification of His-tagged rat mitochondrial 3-ketoacyl-CoA thiolase wild-type and His352 mutant proteins. Protein Expr. Purif. 2004, 35, 320–326. [Google Scholar] [CrossRef]
- Bhaskar, S.; Steer, D.L.; Anand, R.; Panjikar, S. Structural basis for differentiation between two classes of thiolase: Degradative vs biosynthetic thiolase. J. Struct. Biol. X 2020, 4, 100018. [Google Scholar] [CrossRef]
- Wiesenborn, D.P.; Rudolph, F.B.; Papoutsakis, E.T. Thiolase from Clostridium acetobutylicum ATCC 824 and its role in the synthesis of acids and solvents. Appl. Environ. Microbiol. 1988, 54, 2717–2722. [Google Scholar] [CrossRef]
- Vollack, K.U.; Bach, T.J. Cloning of a cDNA encoding cytosolic acetoacetyl-coenzyme A thiolase from radish by functional expression in Saccharomyces cerevisiae. Plant Physiol. 1996, 111, 1097–1107. [Google Scholar] [CrossRef]
- Niu, M.; Yan, H.; Xiong, Y.; Zhang, Y.; Zhang, X.; Li, Y.; Da Silva, J.a.T.; Ma, G. Cloning, characterization, and functional analysis of acetyl-CoA C-acetyltransferase and 3-hydroxy-3-methylglutaryl-CoA synthase genes in Santalum album. Sci. Rep. 2021, 11, 1082. [Google Scholar] [CrossRef] [PubMed]
- Xiong, F.; Zhu, X.; Luo, C.; Liu, Z.; Zhang, Z. The cytosolic acetoacetyl-CoA thiolase TaAACT1 is required for defense against Fusarium pseudograminearum in wheat. Int. J. Mol. Sci. 2023, 24, 6165. [Google Scholar] [CrossRef] [PubMed]
- Harijan, R.K.; Dalwani, S.; Kiema, T.R.; Venkatesan, R.; Wierenga, R.K. Thiolase: A versatile biocatalyst employing coenzyme A–thioester chemistry for making and breaking C–C bonds. Annu. Rev. Biochem. 2023, 92, 351–384. [Google Scholar] [CrossRef] [PubMed]
- Wang, M.; Zheng, Z.; Tian, Z.; Zhang, H.; Zhu, C.; Yao, X.; Yang, Y.; Cai, X. Molecular Cloning and Analysis of an Acetyl-CoA C-acetyltransferase Gene (EkAACT) from Euphorbia kansui Liou. Plants 2022, 11, 1539. [Google Scholar] [CrossRef]
- Wu, J.; Liu, W.; Lu, J.; Xu, R.; Xie, J.; Zha, L. Cloning, Prokaryotic Expression, and Purification of Acetyl-CoA C-Acetyltransferase from Atractylodes lancea. Protein Pept. Lett. 2022, 29, 156–165. [Google Scholar] [CrossRef]
- Guo, J.S.; Wang, J.Y.; Chen, S.H.; Deng, Y.P.; Gao, Q.Y.; Liu, Z.X.; Liu, J.; Lv, K.; Liu, N.; Bai, G.Y.; et al. The natural product micheliolide promotes the nuclear translocation of GAPDH via binding to Cys247 and induces glioblastoma cell death in combination with temozolomide. Biochem. Pharmacol. 2025, 233, 116759. [Google Scholar] [CrossRef]
- Scofield, S.R.; Jones, D.A.; Harrison, K.; Jones, J.D. Chloroplast targeting of spectinomycin adenyltransferase provides a cell-autonomous marker for monitoring transposon excision in tomato and tobacco. Mol. Gen. Genet. 1994, 244, 189–196. [Google Scholar] [CrossRef]
- Zhu, Y.H.; Su, X.H.; Dong, C.M.; Chen, S.Q.; Shao, Y.Y.; Zhang, F.B. Cloning and expression analysis of acetyl-COA C-acetyltransferase gene in Isodon rubescens. J. Chin. Med. Mater. 2016, 39, 37–41. [Google Scholar]
- Andersen, T.B.; Llorente, B.; Morelli, L.; Torres-Montilla, S.; Bordanaba-Florit, G.; Espinosa, F.A.; Rodriguez-Goberna, M.R.; Campos, N.; Olmedilla-Alonso, B.; Llansola-Portoles, M.J.; et al. An engineered extraplastidial pathway for carotenoid biofortification of leaves. Plant Biotechnol. J. 2021, 19, 1008–1021. [Google Scholar] [CrossRef]








| No | Start | End | Sequence | Average Shannon Entropy |
|---|---|---|---|---|
| 1 | 373 | 393 | TLLGVLRQRNGKTGVASVCNG | 0.034 |
| 2 | 92 | 111 | CTTINKVCASGMKATMLAAQ | 0.085 |
| 3 | 146 | 165 | GHDTIVDGMLKDGLWDAYND | 0.085 |
| 4 | 205 | 217 | AFSWEIVPVEVSA | 0.150 |
| 5 | 254 | 273 | PALAIPKALSNADLE | 0.157 |
| Vmax (μmol/(min·mg)) | Km (μM) | Kcat (min−1) | Kcat/Km (μM−1·min−1) | |
|---|---|---|---|---|
| FuAACT | 0.128 ± 0.0058 | 3.035 ± 0.215 | 1.275 ± 0.0575 | 0.421 ± 0.0109 |
| FuAACT-H361A | 0.006 ± 0.00496 *** | 2.41 ± 1.95398 | 0.064 ± 0.0496 *** | 0.029 ± 0.00251 *** |
Disclaimer/Publisher’s Note: The statements, opinions and data contained in all publications are solely those of the individual author(s) and contributor(s) and not of MDPI and/or the editor(s). MDPI and/or the editor(s) disclaim responsibility for any injury to people or property resulting from any ideas, methods, instructions or products referred to in the content. |
© 2025 by the authors. Licensee MDPI, Basel, Switzerland. This article is an open access article distributed under the terms and conditions of the Creative Commons Attribution (CC BY) license (https://creativecommons.org/licenses/by/4.0/).
Share and Cite
Ma, Z.; An, Q.; Huang, X.; Liu, H.; Guo, F.; Yan, H.; Zhou, J.; Liao, H. Functional Identification of Acetyl-CoA C-Acetyltransferase Gene from Fritillaria unibracteata. Horticulturae 2025, 11, 913. https://doi.org/10.3390/horticulturae11080913
Ma Z, An Q, Huang X, Liu H, Guo F, Yan H, Zhou J, Liao H. Functional Identification of Acetyl-CoA C-Acetyltransferase Gene from Fritillaria unibracteata. Horticulturae. 2025; 11(8):913. https://doi.org/10.3390/horticulturae11080913
Chicago/Turabian StyleMa, Zichun, Qiuju An, Xue Huang, Hongting Liu, Feiying Guo, Han Yan, Jiayu Zhou, and Hai Liao. 2025. "Functional Identification of Acetyl-CoA C-Acetyltransferase Gene from Fritillaria unibracteata" Horticulturae 11, no. 8: 913. https://doi.org/10.3390/horticulturae11080913
APA StyleMa, Z., An, Q., Huang, X., Liu, H., Guo, F., Yan, H., Zhou, J., & Liao, H. (2025). Functional Identification of Acetyl-CoA C-Acetyltransferase Gene from Fritillaria unibracteata. Horticulturae, 11(8), 913. https://doi.org/10.3390/horticulturae11080913

