Abstract
Oligosaccharides, as a wide type of polysaccharide, have a broad antimicrobial spectrum and promote development as plant growth stimulants. To investigate the regulation effects of different oligosaccharides on the dynamic changes of chlorophyll content, leaf fluorescence, root activity and morphology, and chloroplast ultrastructure, as well as the yields and yield components of strawberry and cucumber, typical greenhouse experiments were conducted over two years (2021–2022). The experimental plants were foliar sprayed with tap water (CK), chitosan oligosaccharide (CSOS), and mixed oligosaccharides (MixOS) five times before flowering. The conventional management (CM) was conducted as a conventional control. The findings of the present study suggest that the application of MixOS has the greatest regulation effects on delayed leaf senescence, well-developed roots, and higher fruit productions of strawberry and cucumber. Exogenous MixOS resulted in significant increases in SPAD values, maximum photochemical efficiency (Fv/Fm), and photochemical quenching coefficiency (qP); they were increased by 1.94–28.96%, 5.41–33.89%, and 9.93–62.07%, compared to the CSOS, CM, and CK treatments, respectively. The orderly and steady structure of thylakoids in the chloroplast, and the randomly distributed starch grains, could be clearly observed in the MixOS treatment, while the non-photochemical quenching (NPQ) was correspondingly reduced by 19.04–45.92%. Meanwhile, the remarkable promotion of root activity and root surface morphology indicators (i.e., root length, surface area, average diameter, and volume) could be observed when exposed to the MixOS treatments, and the total yields of strawberry and cucumber were all increased by 12.40–25.57%. These findings suggest that the mixed oligosaccharides mainly promote the coordinated growth of root and shoot, which leads to the improved yields of strawberry and cucumber.
1. Introduction
With the continuous improvement in people’s living standards, high food quality and low pesticide residues are gradually becoming the mainstream direction of facility agriculture development. Cultivating strawberries and cucumbers in greenhouses can create tremendous wealth and resolve the climate resource limitations of traditional cultivation. Facility agriculture has become a pillar of the economy in many regions [,]. In actual production using a facility greenhouse, it is easy to form a high-temperature and high-humidity micro-environment due to the microclimate. Furthermore, the risk of diseases and pests is high, so it is common to use extensive fertilizer and pesticides to ensure high yield and economic benefits [,]. Such strategies can severely affect crop quality and pose a hidden danger to food security and human health, and even to the ecological environment, which is inconsistent with the green and sustainable development demand of facility agriculture []. Based on the existing facility management level, it is particularly important to use simple and easy measures to greatly improve the crops’ resistance to pests and diseases, and any adverse microclimate environment, so as to increase plant production, quality, and profit. This is an urgent problem that needs to be solved in the current management of facility planting.
In recent years, exogenous green ecological preparations have frequently been applied in facility production to alleviate the adverse damage caused by negative conditions through the regulation of plant growth, the increase in disease resistance and immunity, and finally, the enhancement of quality and growth in yield [,,]. This approach is regarded as a primary technical solution to the aforementioned production challenges with relatively minimal investment and rapid outcomes. Oligosaccharides are small molecular compounds that are new bio-stimulants for plants. Compared to polysaccharides, the monosaccharides connected by glucosidic bonds in oligosaccharides are less than 10 units and can be easily dissolved in water, absorbed by plants, and translocated to different tissues or organs []. Many studies have confirmed that oligosaccharides, as plant growth regulators, can regulate physiological and biochemical reactions in plant cells when exposed to biotic or abiotic stresses [,,]. Recently, chitosan, a type of polysaccharide, has been widely used on facility crops due to its antibacterial, non-toxic, and environmentally friendly characteristics [,,]. Chitosan is a polymer composed of several thousand glucosamine units, extracted from chitin (a N-acetylglucosamine polymer) in shrimp and crab shells following deacetylation under alkaline conditions. Thus, the natural substance changes into oligosaccharide derivatives though hydrolysis that have similar bio-functions to the original matter and an even higher creature compatibility []. Correspondingly, as a biopolymer with a moderate price, non-toxicity, and degradability, chitosan and its derivatives can be widely used in forage addition [], food production and preservation [,], and the biomedicine industries [].
Metwaly et al. [] revealed that foliar spray of chitosan could improve strawberry plant growth and yield, resulting in increased plant height, leaf number per plant, leaf area, chlorophyll content, and single fruit weight. Chitosan can also reduce the cold damage to cucumber plants and promote increases in length, mean diameter, surface area, volume, and vitality of roots, and regulate the accumulation of aboveground dry matter []. Research has confirmed that the short-chain glycopolymers exert variable regulation effects on crops, depending on their molecular weight and application concentration, and the corresponding regulating functions are affected by the species and growth stages [,]. Zhang et al. [] suggested that the chitoheptaose could promote the chlorophyll content of wheat leaves and increase photosystem II (PSII) activity via a higher maximum primary yield of the photochemistry (Fv/Fo) and photochemical quenching coefficient (qP), and a reduction in non-photochemical quenching (NPQ). He et al. [] found that foliar spraying tomato seedlings with chitosan oligosaccharide, cello-oligosaccharide, or xylooligosaccharide after a chilling treatment could significantly increase leaf maximum photochemical efficiency (Fv/Fm) and have a positive impact on root morphological development. In fact, the natural functional components of chitosan are affected by their solubility and creature compatibility, which also affect their functional stability []. At present, oligosaccharides are mainly used in the production of cash crops or high value-added agricultural products []. The use of chitosan of high content and low molecular weight is a current focus of research, along with the application of new composite functional oligosaccharides [], which might effectively improve or eliminate the adverse properties of natural functional ingredients, enhancing their functional effects and expanding the application scope.
The oligosaccharide preparations applied in agriculture are mainly extracted from only one raw material, presenting problems of an unstable effect and a single function. A few reports have found that the regulatory effects on crop growth and development, yield, quality, and stress resistance vary with different types of oligosaccharides, with no consistent results []. Moreover, most attention has been paid to the differences in the stress resistance and immune regulation of different oligosaccharides []. Little is known about the internal relationship of the root–shoot growth coordination promotion, photosynthetic physiological characteristics of leaves, as well as quality and yield improvement. In this study, the foliar spray of strawberry and cucumber in greenhouses using a single oligosaccharide (chitosan) and a new mixture of oligosaccharides was conducted to investigate the dynamic regulation of the relative chlorophyll content of the aboveground functional leaves, fluorescence characteristics and microstructure of the leaves, root characteristics and activity, and yield. The regulatory differences and mechanism of the two oligosaccharides were investigated in relation to delayed leaf senescence and coordinated root–shoot development. An additional objective was to provide a theoretical basis for further innovating and suitably applying multifunctional oligosaccharides.
2. Materials and Methods
2.1. Experimental Site
The greenhouse experiments were conducted in 2021–2022 in the experimental station of the Agriculture Bureau, Fang Shan district, Beijing, China (39°37′ N, 115°58′ E). Before planting, 750 kg ha−1 of inorganic fertilizers was applied as the compound fertilizer of N–P2O5–K2O with a ratio of 19:19:19. In the 0–30 cm soil layer in the strawberry greenhouse, organic carbon was 31.4 g kg−1, and the available nitrogen, available phosphorus, and exchangeable potassium were 144.0, 250.0, and 679.0 mg kg−1, respectively. For the cucumber greenhouse, soil organic carbon was 17.6 g kg−1, and the available phosphorus and exchangeable potassium were 35.2 and 641.3 mg kg−1, respectively. Temperature and humidity were monitored at 30 min intervals using a recorder (LR5001 Humidity Logger, Deruikong Electronic Co., Ltd., Suzhou, China) hanging in each greenhouse (Figure 1).

Figure 1.
Temperature and humidity in the strawberry (A) and cucumber (B) greenhouses.
2.2. Experimental Materials and Design
Strawberry plants (cultivar Fenyu) were cultivated in the facility greenhouse from September 2021 to February 2022. The plant densities were about 59,700 plants∙ha−1. The distance between strawberry beds was 0.5 m, with a single bed width of 0.35 m. The distance between strawberry plants was 0.15 m. Strawberry plants were transplanted and flowered on September 30 and November 12, 2021, respectively. The experiment was carried out using a random block design with four treatments and three replicates. The planting plots of each treatment were 25.13 m2 (4.26 m × 5.90 m), and each plot was separated by 1.42 m of protection lines.
Cucumber plants (cultivar Jingyanhanbao 6) were grown in a typical greenhouse from April to September 2022. The plant density was about 9000 plants∙ha−1. The distance between cucumber beds was 0.5 m, with single bed width of 0.35 m. The distance between plants was 0.15 m. The cucumbers were transplanted on April 12, with an early flowering stage on May 11, 2022. The experiment was conducted using a random block design with four treatments and four replicates. The planting plot of each treatment was 69.75 m2 (15.50 m × 4.50 m). There was a distance of 3.60 m between the different plots for protection lines.
The same treatment design was used for both the strawberry and cucumber experiments, which included mixed oligosaccharides (MixOS), chitosan oligosaccharides (CSOS), conventional management (CM), and tap water (CK). The CM treatments used the conventional management of farmers, and the quantities of irrigation, fertilization, pesticides, and fungicides were all completely consistent with those used by local farmers. In MixOS, CSOS, and CK treatments, all the plants were foliar sprayed five times (with a seven-day interval) with diluted KROPICO (RESONAC, Tokyo, Japan), chitosan oligosaccharide (Jingbo Agrochemicals Technology Co., Ltd., Binzhou, Shandong, China), and tap water, respectively, in the seedling stages; each spray was about 1100 kg∙ha−1. All plants in the MixOS, CSOS, and CK treatments were watered and fertilized as with the CM treatment, while the same insecticide treatments were applied, without fungicide treatments, during the whole experimental period. The detailed experimental designs within the greenhouses in 2021–2022 are shown in Table 1.

Table 1.
Experiment designs in the greenhouse (2021–2022).
2.3. Photosynthetic Physiological Characteristics
The relative chlorophyll contents of the leaves were measured as SPAD values, determined using a chlorophyll meter (Konica Minolta Co., Tokyo, Japan). Measurements were taken during the afternoon and recorded as the mean of 10 measurements taken along the leaf blade (five on each side of the leaf rib). Ten leaves of strawberry in each treatment were measured at the flowering (FS; 12 November 2021), fruit setting (FSS; 10 December 2021), full productive (FPS; 10 January 2022), and later harvesting stages (LHS; 18 February 2022), respectively. Similarly, 10 healthy leaves of cucumber in all treatments were measured at the early flowering (EFS; 11 May 2022), early harvesting stages (EHS, 19 May 2022), FPS (19 June 2022), and LHS (26 July 2022). Chlorophyll fluorescence was performed with a FluorCam 700MF imaging system (Photon Systems Instruments, Brno, Czech Republic) at the same day. After dark adaptation for 30 min, three fully expanded leaves of strawberry and cucumber (three replications per treatment) were used to acquire the chlorophyll fluorescence parameters—Fv/Fm, qP, and NPQ.
The leaf ultrastructure samples of strawberry and cucumber were prepared and observed according to Lu et al. [] with some improvements. Three healthy leaves were detached from each plot at the LHS. These fresh leaves without leaf veins were cut into leaf blocks (approximately 1 mm × 3 mm) and fixed with 2.5% glutaraldehyde solution. The fixed leaf samples were dehydrated in propyl alcohol and infiltrated by resin. Then, the samples were sliced into sections using an ultra-microtome (Leica EM UC7, Wetzlar, Germany). The leaf sections were observed with a transmission electron microscope (Hitachi HT7700, Tokyo, Japan) equipped with a digital camera after staining with 2% uranyl acetate.
2.4. Root Activity and Morphology
The sampling dates were similar to those for the measurement of photosynthetic physiology in Section 2.3. Three intact plants from each treatment were harvested (three replications for strawberry, and four replications for cucumber) and then separated to obtain the roots after washing with tap water. Parts of them were used to determine root activity using the 2,3,5-triphenyltetrazolium chloride method [,]. The rest of the root samples were prepared for root imaging and data analysis using the WinRHIZO root analyzer system (Regent Instruments Inc., Quebec, QC, Canada).
2.5. Yield
For strawberries, the total fruits of 10 plants with uniform size were harvested and weighed on the initial harvest date (19 November 2021) to calculate the single fruit weight. At the same time, one row containing 16 plants was randomly marked to measure yield, and fully mature fruits in each treatment were harvested from the beginning of harvest (19 November 2021) to the end (18 February 2022) to record the total number and weight, which were used to assess the total fruit number per plant and total yield. For cucumber, five plants were sampled and marked, and all the fruits were harvested during the reproductive stage to obtain the single fruit weight and total fruit weight per plant. All mature cucumber plants were harvested from 25 June to 16 August 2022.
2.6. Statistical Analysis
Data are presented as the means of all replicates. Figures were plotted using Microsoft Excel 2013 and Microsoft Power Point 2013. One-way analyses of variance (ANOVAs) and correlation analysis were performed using SAS version 9.4. Duncan’s test was used in ANOVAs to detect significant differences among the mean values for different treatments at p < 0.05.
3. Results
3.1. Dynamic Changes of SPAD and Chloroplast Ultrastructure in Plant Leaves
The SPAD values of strawberry and cucumber leaves for CSOS and MixOS treatments vary with growth stages (Figure 2). For strawberry (Figure 2A), SPAD values were significantly higher in the MixOS than the CM treatment by 5.59–17.04%, and they increased by 1.94–28.96% for the CK at each stage after the FS. Compared with CK, the CSOS treatment significantly increased the SPAD values by 7.71–9.39% from the FSS to LHS, but with no significant positive influence compared to the CM treatment. The SPAD values in cucumber leaves significantly increased by 7.04–9.12% compared to CM and 3.64–10.14% compared to CK for the MixOS treatment at EFS, FPS, and LHS (Figure 2B). For the CSOS treatment, SPAD notably increased by 4.38% at the EFS compared to CK, and at FPS by 3.02% compared to CM. The SPAD values of strawberry leaves under MixOS treatment were enhanced by 11.42% compared to CM and 17.48% compared to CK; the corresponding increases for cucumber leaves were 4.26% and 7.15%. The CSOS treatment promoted the SPAD values only in comparison with the CK treatment, by 4.96% in strawberry and 0.81% in cucumber.

Figure 2.
Effects of different treatments on the SPAD in strawberry (A) and cucumber (B). FS: flowering stage, FSS: fruit setting stage, FPS: full productive stage, LHS: later harvesting stage, EFS: early flowering stage, EHS: early harvesting stage. The columns presented different treatments, and the error bars presented standard deviations among replicates. Different letters within the same date indicated statistical significance at p < 0.05.
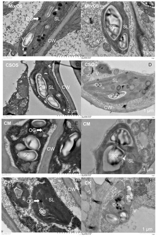
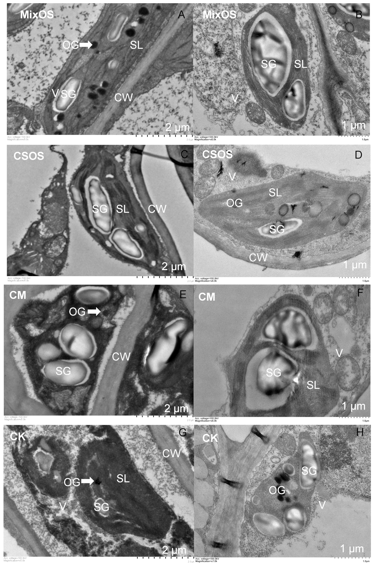
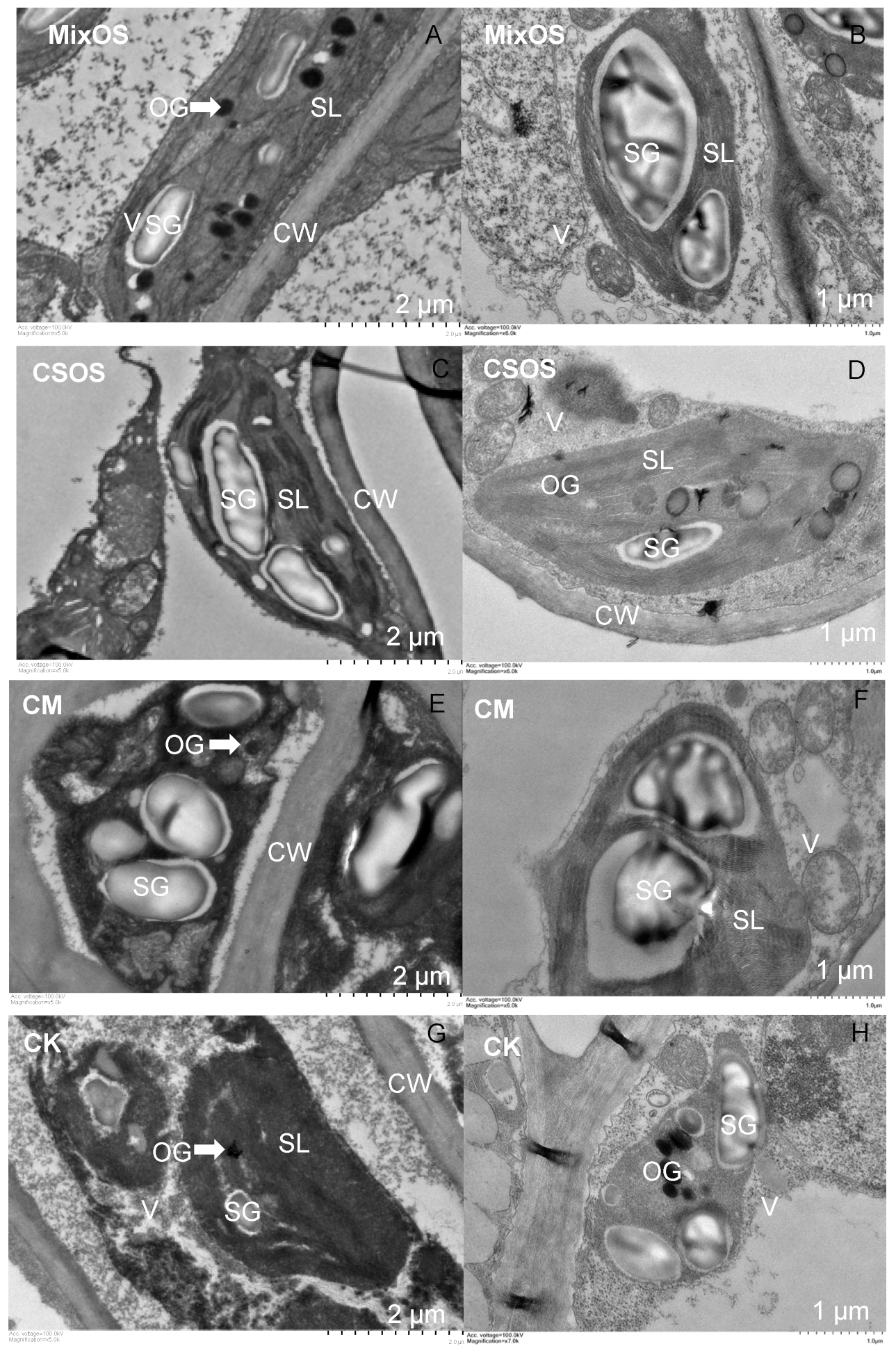
When treated with MixOS and CSOS (Figure 3A,C), the thylakoids inside the strawberry leaf chloroplasts were stacked in an orderly manner, the lamellar structures were clear, and osmiophilic globules and starch grains were observed in chloroplasts. In contrast, the structures of the stroma lamellas were dim, there were abundant membranous residues in the cells for the CM and CK treatments (Figure 3E,F), and the latter showed apparent decreases in starch grains. Correspondingly, similar ultrastructure to strawberry was observed in cucumber leaves for the MixOS and CSOS treatments (Figure 3B,D). This phenomenon was also seen in the CM treatment, with evident lamellar structures embedded in the thylakoids and a lack of osmiophilic globules (Figure 3F), but chloroplasts had started to degrade with evidence of vague margins. In the CK treatment (Figure 3H), a cohesive lamellar in the thylakoids and increasing osmiophilic globules were clearly observed. Therefore, photosynthesis was normally conducted in the leaves of both species as shown by the intact chloroplast structure, which is consistent with the aforementioned statement about high SPAD values at LHS, and particularly when exposed to the MixOS and CSOS treatments (Figure 2).

Figure 3.
Effects of different treatments on the ultrastructure chloroplast of strawberry (A,C,E,G) and cucumber (B,D,F,H). CW: cell wall, OG: osmiophilic globule, SL: stroma lamella, SG: starch grains, V: vacuole.
3.2. Dynamic Changes in Leaf Chlorophyll Fluorescence
The MixOS and CSOS treatments have different regulatory effects on the chlorophyll fluorescence parameters in the strawberry and cucumber at various growth stages (Figure 4). The MixOS treatment showed the different promotional influences of Fv/Fm on both crops, with significant increases of 14.88–33.89% compared to CM, and 12.21–21.72% compared to CK (Figure 4A) during the reproduction period in the strawberry; as well as an elevation of up to 6.06–8.37% compared to the CM at the EHS and LHS, and 5.41–18.36% compared to CK from EFS to LHS for the cucumber (Figure 4B). For the CSOS treatment, Fv/Fm in then strawberry leaves significantly increased by 10.10–18.33% compared to CM and 7.58–7.77% compared to CK at the FSS, FPS, and LHS (Figure 4A); and notably increased by 4.59–13.79% compared to CK during the EFS to FPS in the cucumber (Figure 4B).

Figure 4.
Effects of different treatments on the Fv/Fm (A,B), qP (C,D) and NPQ (E,F) in strawberry (A,C,E) and cucumber (B,D,F). FS: flowering stage, FSS: fruit setting stage, FPS: full productive stage, LHS: later harvesting stage, EFS: early flowering stage, EHS: early harvesting stage. The columns presented different treatments, and the error bars presented standard deviations among replicates. Different letters within the same date indicated statistical significance at p < 0.05.
The qP in strawberry leaves showed significant increases of 24.41–32.77% compared to CM and 30.56–36.63% compared to CK when treated with MixOS at the FSS, FPS, and LHS (Figure 4C). Similarly, the qP of the cucumber leaves was significantly elevated by 11.02–48.18% compared to CM and 14.08–53.66% compared to CK at all stages for the MixOS treatment (Figure 4D). For the CSOS treatment, the remarkable increasing trend of qP was only observed in cucumber leaves by 24.55% compared to CM at the FPS, and 26.85–29.21% at the EHS and FPS compared to CK.
The NPQ of strawberry leaves under the MixOS treatment were significantly lower than CK by 19.04–40.14%, and by 29.02–39.89% compared to CM during the reproduction stages (except FSS; Figure 4E). When treated with CSOS, the NPQ showed a remarkable decreasing trend in the leaves of the strawberry at the FS and the cucumber at the FPS than the CM (Figure 4E,F).
The two species responded differently to the two oligosaccharides. The leaves of the strawberry showed higher Fv/Fm under the MixOS treatment by 26.57% compared to CM and 17.15% compared to CK, with corresponding increases of 5.69% and 12.86% in the cucumber leaves. Additionally, qP increased by 25.31–29.74% in strawberry and 34.41–45.44% in cucumber with exposure to MixOS, as well as decreased by 31.45% and 30.72% only in strawberry compared with CM and CK, respectively. Under the CSOS treatment, the Fv/Fm of leaves increased by 9.13% compared to CM and 1.01% compared to CK in strawberry, and by 6.76% compared to CK in cucumber; the qP was 6.82–15.58% higher compared to the CM and CK treatments only in cucumber. Moreover, the decrease in NPQ was only found in strawberry for MixOS treatment.
3.3. Dynamic Changes in Root Morphology and Activity
The root activity of strawberry showed a declining trend with the growth stages (Figure 5A). For cucumber, root activity followed a single peak change of increase–decrease with the growth process, with a peak at the FPS (Figure 5B). During the whole reproduction stage, the root activity of strawberry was significantly higher for the MixOS than the CM treatment by 9.73–34.45% (Figure 5A); meanwhile, cucumber root activity significantly increased by 3.72–47.85% compared to CM and 15.84–102.79% compared to CK (Figure 5B). However, the improvement influenced by the CSOS treatment on the strawberry root activity of a 22.79% increase compared to CM occurred only at the LHS; however, cucumber showed a significant increase in root activity after the EHS, by 0.74–26.57% compared to CM, and by 11.87–33.02% compared to CK.

Figure 5.
Effects of different treatments on the root activities in strawberry (A) and cucumber (B). FS: flowering stage, FSS: fruit setting stage, FPS: full productive stage, LHS: later harvesting stage, EFS: early flowering stage, EHS: early harvesting stage. The columns presented different treatments, and the error bars presented standard deviations among replicates. Different letters within the same date indicated statistical significance at p < 0.05.
Each species responded differently to the oligosaccharides. Compared with the CM and CK treatments, the root activity of strawberry was elevated by 22.99% and 71.86% for the MixOS treatment and by 1.09% and 41.26% for the CSOS treatment, respectively. Cucumber root activity was increased by 32.92% compared to CM and 45.93% compared to CK, following exposure to MixOS treatment, and by 13.14% and 24.21% for the CSOS treatment. The observations implied that CSOS and MixOS applications showed better regulatory efficiency with strawberry than cucumber.
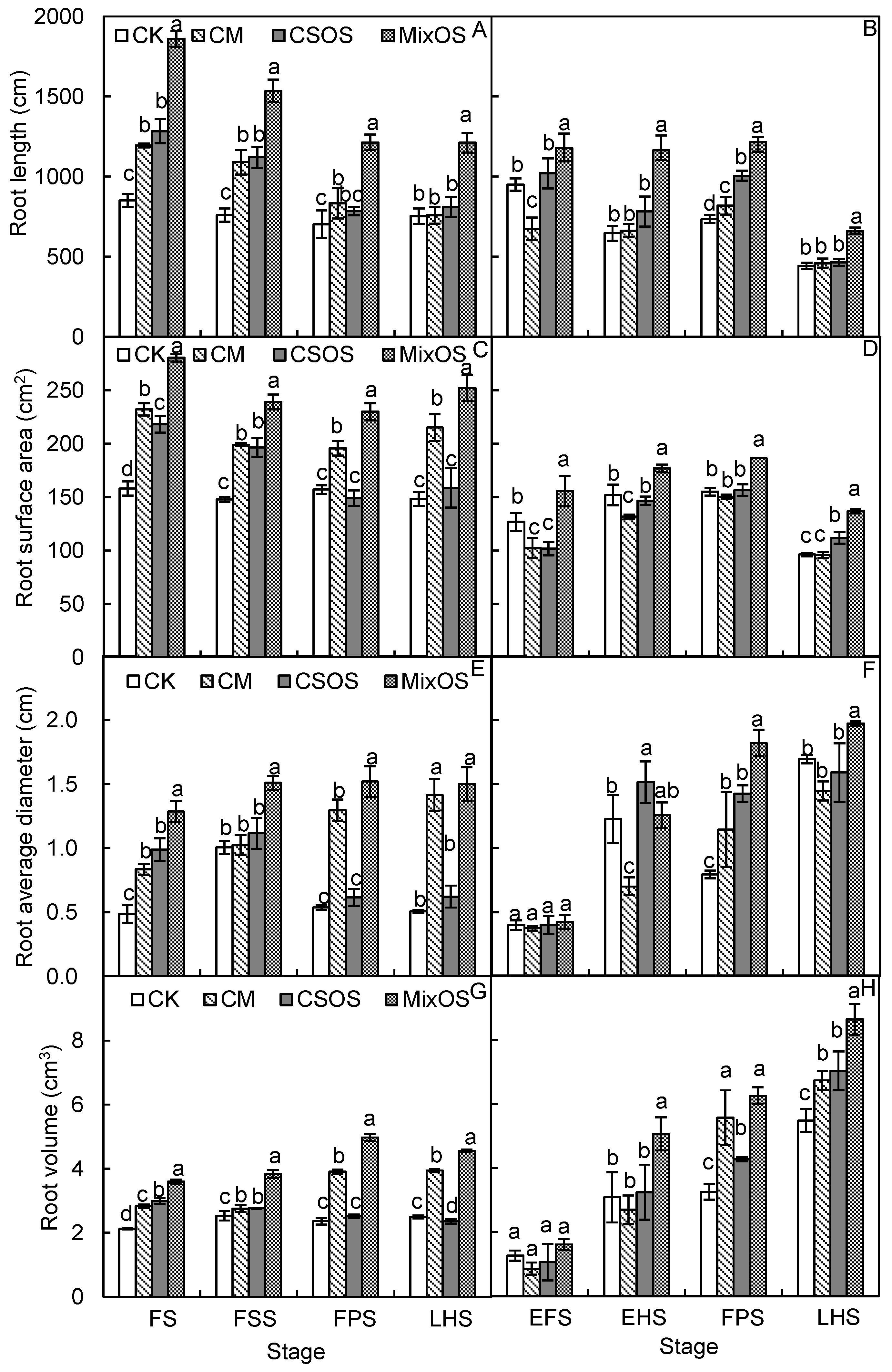
The morphological parameters of strawberry and cucumber (except root average diameter and volume of cucumber) fluctuated slightly during the reproductive stage (Figure 6A–E,G). In the MixOS treatment, root morphological parameters of length, surface area, average diameter, and volume of strawberry at the FS were significantly higher than CM by 20.81–55.78% and by 69.39–163.37% than CK, and increasing trends were observed at the FSS, FPS, and LHS. For cucumber, root length and surface area were remarkably elevated by 24.17–75.48% compared to CM and 16.36–79.88% compared to CK at all sampling stages; the corresponding root average diameter and volume significantly increased by 28.13–87.79% and 16.41–129.40%, respectively. For the CSOS treatment, only the strawberry root volume significantly increased at the FS by 5.82% compared to CM. However, the root length of cucumber was remarkably enhanced at both EFS and FPS by 22.80–51.36%, root surface area at both EHS and LHS by 11.38–16.72%, and root average diameter at EHS by 115.77%, compared to CM treatment. Thus, the root morphological traits responded differently to the same regulators at different growth stages. Moreover, the enhancing effect of MixOS on plant roots was shown by the obvious increases in root length, surface area, average diameter, and volume, which performing better than the CSOS, followed by the CM.

Figure 6.
Effects of different treatments on the root length (A,B), root surface area (C,D), root average diameter (E,F), and root volume (G,H) in strawberry (A,C,E,G) and cucumber (B,D,F,H). FS: flowering stage, FSS: fruit setting stage, FPS: full productive stage, LHS: later harvesting stage, EFS: early flowering stage, EHS: early harvesting stage. The columns present different treatments, and the error bars present standard deviations among replicates. Different letters within the same date indicate statistical significance at p < 0.05.
The two species responded differently to the oligosaccharides in terms of various root morphology traits. The length, surface area, average diameter, and volume of roots in strawberry were higher than the CM by 50.15%, 18.98%, 27.19%, and 26.27% for the MixOS treatment, respectively, while the corresponding values for cucumber roots were 61.21%, 36.62%, 49.23%, and 35.85%. When treated with CSOS, root length was increased by 3.19% in strawberry, but in cucumber root length, surface area and average diameter were elevated by 25.13%, 7.59%, and 34.39%, respectively.
3.4. Regulation of Strawberry and Cucumber Yield by Spraying Oligosaccharides
In the strawberry experiment, the MixOS treatment significantly increased individual fruit weight by 13.82% and 40.00%, compared with the CM and CK, respectively, and increased total fruit number per plant by 66.00% and 88.64%, and total yield by 15.25% and 24.77% (Table 2). In contrast, the CSOS treatment did not significantly differ from the CM treatment but was remarkably higher than the CK by 22.00% for individual fruit weight, 65.91% for total fruit number per plant, and 11.01% for total yield. In the cucumber experiment, individual fruit weight, total fruit weight per plant, and total yield were notably higher than the CM and CK for the MixOS treatment, with increases of 22.93–30.25%, 23.63–24.96%, and 24.35–25.57%, respectively. Notably, CSOS application had no significant effect on yield compared to the CM and CK treatments.

Table 2.
The yield and yield components of strawberry and cucumber under different treatments.
4. Discussion
Chloroplasts are responsible for converting light energy and producing organic products; unbroken chloroplast structure and adequate chlorophyll content are important for plant growth and reproduction due to abundant dry matter accumulation with high photosynthetic activity [,,]. When entering reproductive growth, the chlorophyll molecules in the leaves are the first to be degraded after receiving the senescence signal. Subsequently, the upregulated expression of the relevant hydrolase eventually leads to the disintegration of the chloroplast structure [,]. In this study, the SPAD values of strawberry leaves from the FSS to FPS, and for cucumber from the EFS to LHS, showed decreasing trends with growth stages (Figure 2). Additionally, chloroplasts of the leaf samples at the LHS tended to have vague boundaries and adhered to the inner side of the cell wall (Figure 3). These changes in the cells can be regarded as part of the normal aging process []. Notably, the SPAD values of strawberry among all measures (except for CK) at the LHS had a remarkable increasing trend compared to the FS (Figure 2A), which was not only opposite to the normal leaf senescence process, but also against the previous results in which the SPAD values were higher at the earlier rather than the later stages []; the differences in planting environment and experimental variety, as well as regulatory effects of applying preparations, might explain this inconsistency.
Chemical techniques can affect the relevant gene expression in the regulation of the plant growth process in agriculture []. For example, exogenous oligosaccharides have been used as plant growth regulators for regulating physiology and promoting growth in cereal [,]. Choudhary et al. [] proposed that the growth-promoting effects of copper–chitosan nanoparticles could boost maize resistance to Curvularia leaf spot by increasing leaf chlorophyll content and maintaining normal physiological processes, and even facing abiotic stress. Similarly, CSOS and MixOS treatments significantly increased the leaf SPAD of both crops (Figure 2), where the increases in strawberry leaves were consistent with Metwaly et al. [], and the increases in cucumber leaves were consistent with Tan et al. [] and Wang et al. [], when exposed to oligosaccharides. Additionally, the SPAD values were positively correlated with the total yield of strawberry and individual fruit weight of cucumber (Table 3), indicating that spraying the two tested oligosaccharides had a promotional effect on yield through increasing chlorophyll content. Meanwhile, intact chloroplast structures were observed in the leaves under oligosaccharide treatments (Figure 3), providing further evidence that the application of oligosaccharide biopolymers can improve cellular physiology by alleviating leaf structure disintegration. These findings were consistent with Yang et al. [], who proposed that the foliar application of alginate oligosaccharides was beneficial to rice leaf blade tissue after experiencing acid stress with weakened expansion of necrotic areas in the mesophyll, under microscopic observation. The influences on alleviating natural senescence confirmed by the increasing SPAD under both CSOS and MixOS treatments for strawberry were better than for cucumber, suggesting that strawberry growth is more compatible with exogenous oligosaccharides (Figure 2). Much research has been devoted to the influence of biopolymer materials on strawberry, with chitosan confirmed to defend against external damage via regulating the physiology (e.g., photosystem and antioxidant capacity) in seedlings [], showing improved strawberry quality and economic value [,].

Table 3.
Correlation analysis of relevant indices of strawberry and cucumber in different treatments.
Chlorophyll fluorescence can accurately reflect changes in photosynthesis, such as light absorption, excitation energy, and electron transfer []. Moreover, the involved parameters are not only used to evaluate the PSII intensity of reaction [], e.g., both Fv/Fm and qP are positively correlated with photosynthetic efficiency, while NPQ represents surplus excitation energy and has the opposite relationship, but also implies the leaf senescence condition by a significant decrease in photosynthetic efficiency. The increases in Fv/Fm observed in strawberry and cucumber leaves under the oligosaccharide treatments (Figure 4) were consistent with those of He et al. [], who found that spraying oligosaccharides effectively promoted Fv/Fm in chilled tomato leaves. The increasing qP in plant leaves (Figure 4) were consistent with a previous report that chitoheptaose application could promote photosynthetic ability by improving qP in wheat seedling leaves []. Overall, the photosynthetic efficiency of leaves could be increased by raising the Fv/Fm and qP when exposed to both oligosaccharides, with the exception of the decreasing qP of strawberry under the CSOS treatment. Therefore, spraying oligosaccharides elevated both strawberry and cucumber productions by increasing the PSII vigor of leaves, which is shown by the positive correlations of Fv/Fm and qP total yield (Table 3). For the comparison of genetic variations, the promotional influences of MixOS and CSOS on Fv/Fm were superior in strawberry to cucumber, while the opposite impact was observed for qP, with the latter greater than the former (Figure 4). It is noteworthy that the MixOS treatment exhibited a slight increasing trend on NPQ for cucumber (Figure 4F), and a decreasing trend for strawberry; the former was opposite to while the latter was consistent with a previous study [], in which chitooligomers significantly decreased NPQ in wheat seedling leaves. According to Sang et al. [], the genotypes of highly fludioxonil-resistant isolates of Botrytis cinerea from strawberry and cucumber totally differed from each other after applying the same fungicides. Therefore, the different physiological responses to the homogeneous preparation might be due to genetic diversity. Although both MixOS and CSOS are polysaccharides, they had different regulatory influences on the same crops in terms of photosynthetic system, which were confirmed by the increases in qP and NPQ for cucumber at MixOS treatment but decreases in qP and NPQ for the same crop at CSOS treatment. The structure of the polymer material played a key role in the altered photosynthetic activity of plants, consistent with results of Zhang et al. [].
The roots not only anchor the whole plant to support normal growth, but also determine aboveground morphogenesis based on the absorption of nutrients and water as the important organ of absorption and metabolism []. In our study, root activity was positively correlated with individual fruit weight and total yield of strawberry, as well as total fruit weight per plant and total yield of cucumber (Table 3). Root activity showed a decreasing trend with the natural senescence process [], which was consistent with our results (Figure 5). Significantly, the root activity of strawberry was close to zero at the LHS for CK treatment, suggesting that strawberry plants had no fundamental nutrient absorption ability without the presence of any regulators (e.g., oligosaccharides or bactericides) until the LHS. The beneficial regulation of treatments was in the following order: MixOS > CSOS > CM (Figure 5). Therefore, it is recommended for the application of bactericide at the seedling stage to be replaced by spraying either CSOS or MixOS. The measure could not only reduce environmental contamination but increase yield via the promotion of root activity.
The main root morphological traits are root length, surface area, volume, and average diameter [], which directly limit development and growth of above ground organs. Fan et al. [] proposed that root morphological parameters altered by salt stress significantly influenced strawberry plant growth. In the study, total yield of both crops was positively correlated with root length (Table 3). Slight changes in the root morphological traits indicated that root structure was mainly formed during the vegetative period and remained substantially unchanged (according to the measured growth characteristics) at later growth stages. Many studies on the influence of oligosaccharides on plant roots have focused on seedlings but have not included uninterrupted determination during the growth stages [,]. Considering the relatively long duration of the reproductive stage of strawberry and cucumber, it was reasonable to measure the dynamic changes in root morphological traits at each stage after the FS and EFS, and to investigate whether the oligosaccharide preparations had a positive impact on root–shoot interactions. The improving root morphological parameters, such as root length, surface area, average diameter, and volume under oligosaccharide treatments are consistent with those of He et al. [], in which the application of various oligosaccharides on tomato seedlings promoted the same root morphological characteristics as measured in our experiment. Additionally, Winkler et al. [] determined that application of low-molecular-weight chitin could improve radicle length, as well be a direct source of carbon and nitrogen for root metabolism. In our study, increased root growth probably resulted from the CSOS and MixOS being accidentally sprayed onto soil and then becoming an energy source for utilization and metabolism. Therefore, spraying CSOS and MixOS is beneficial to optimize root structures, and should be considered for the replacement of the conventional treatment such as bactericides. Moreover, cucumber roots showed greater regulatory responses to the preparations than the strawberry roots.
Chitosan promoted individual fruit weight and total fruit weight per plant, and ultimately elevated total yield by 42% when sprayed on strawberry []. Wang et al. [] observed an increase in the total yield of cucumber in the MixOS group. As demonstrated in our study (Table 2), MixOS spraying significantly increased the individual fruit weight and total fruit number per plant of the strawberry and elevate the single fruit weight and total fruit weight per plant of the cucumber, ultimately promoting the total yield of both crops. However, CSOS application for both crops had no significant effect to the CM treatment. The difference in chemical structure and molecule amount among CSOS and various oligosaccharides in the MixOS might have had varied effects on plants. Winkler et al. [] and He et al. [] also found that the evidently different growth regulation of polysaccharides was due to the various chemical structures. Above all, the MixOS consisting of abundant single oligosaccharides had synthetic functions [,], and the addition of KH2PO4 provided the necessary mineral elements, such as phosphorus and potassium [], all of which improved the functionality and stability of plant growth and development.
Overall, the root length of strawberry was positively correlated with SPAD; meanwhile, the volume was also positively correlated with SPAD, Fv/Fm, and qP of cucumber leaves (Table 3). Moreover, higher SPAD (Figure 2), Fv/Fm, and qP (Figure 4A–D); more integrated chloroplast structure of leaves (Figure 3); and enhanced root activity (Figure 5) and morphological traits (Figure 6) were observed in both crops for the CSOS and MixOS treatments. These results suggest that oligosaccharides application can effectively coordinate aboveground and belowground growth, as shown by the close relationship between leaf senescence and optimized root structure, and that the root growth was enhanced by the abundant dry matter allocation transferred from leaves due to high photosynthetic efficiency, ultimately promoting crop yield (Table 2 and Table 3).
5. Conclusions
Compared to the conventional management and tap water treatments, foliar spraying with chitosan oligosaccharide and mixed oligosaccharides effectively promoted the root growth and alleviated leaf senescence of strawberry and cucumber. In detail, the influence of oligosaccharides was mainly on alleviating senescence via increased chlorophyll content and integrated chloroplast structure, elevating photosynthetic efficiency through increases in maximum photochemical efficiency and photochemical quenching coefficiency, and optimizing belowground growth via enhanced root activity and morphological traits (i.e., root length, surface area, average diameter, and volume), all of which coordinates aboveground and belowground growth. Moreover, the application of mixed oligosaccharides had a greater effect than chitosan oligosaccharide in terms of various physiological indexes, and significantly increased the total yield by increasing the individual fruit weight and total fruit number per plant of strawberry, and individual fruit weight and total fruit weight per plant of cucumber. Comparison between the two crops showed that both oligosaccharide treatments performed better on increasing chlorophyll content, root activity, and maximum photochemical efficiency of strawberry, while for cucumber, they had more effect on photochemical quenching coefficiency and root morphology. We hypothesize that the exogenous application of oligosaccharides by foliar spraying contributes to physiological regulation, including the coordination of root growth and leaf senescence, while the involvement of a mixture of components needs to be clarified. Further work is needed to compare the various single oligosaccharide components, and test other crops to further understand the mechanism of action of oligosaccharides applied by foliar spraying.
Author Contributions
Y.X., Y.H. and W.B. designed the experiments. Y.X., Y.H. and Y.Y. performed the experiments. W.H., M.S., G.L. and J.S. guided the experiments and provided research ideas. Y.X. and Y.H. analyzed the data. Y.X. wrote the manuscript. W.B. revised the manuscript. All authors contributed to the article and approved the submitted version. All authors have read and agreed to the published version of the manuscript.
Funding
This study was supported by the National Key Research and Development Program of China (2019YFE0197100) and the Agricultural Science and Technology Innovation Project of the Chinese Academy of Agricultural Sciences.
Data Availability Statement
Data are contained within the article.
Conflicts of Interest
Author MS is employed by the RESONAC corporation. The remaining authors declare that the research was conducted in the absence of any commercial or financial relationships that could be construed as a potential conflict of interest.
References
- Galli, V.; Da Silva Messias, R.; Perin, E.C.; Borowski, J.M.; Bamberg, A.L.; Rombaldi, C.V. Mild salt stress improves strawberry fruit quality. Food Sci. Technol. 2016, 73, 693–699. [Google Scholar] [CrossRef]
- Zhang, S.G.; Li, J.Y.; Li, J.F.; Du, N.; Li, D.H.; Li, F.Y.; Man, J. Application status and technical analysis of chitosan-based medical dressings: A review. RSC Adv. 2020, 10, 34308–34322. [Google Scholar] [CrossRef] [PubMed]
- Dong, F.S.; Li, J.; Chankvetadze, B.; Cheng, Y.P.; Xu, J.; Liu, X.G.; Li, Y.B.; Chen, X.; Bertucci, C.; Tedesco, D.; et al. Chiral triazole fungicide difenoconazole: Absolute stereochemistry, stereoselective bioactivity, aquatic toxicity, and environmental behavior in vegetables and soil. Environ. Sci. Technol. 2013, 47, 3386–3394. [Google Scholar] [CrossRef] [PubMed]
- Xu, F.; Xu, D.; Hu, M.Q.; Chen, L.Y.; Xu, C.L. Chromatographic analysis and residue degradation of phenamacril and difenoconazole on strawberries. Food Addit. Contam. Part A 2021, 38, 2012–2115. [Google Scholar] [CrossRef] [PubMed]
- Rehman, A.; Farooq, M.; Lee, D.J.; Siddique, K.H.M. Sustainable agricultural practices for food security and ecosystem services. Environ. Sci. Pollut. Res. 2022, 29, 84076–84095. [Google Scholar] [CrossRef] [PubMed]
- Rahman, M.; Mukta, J.A.; Sabir, A.A.; Gupta, D.R.; Mohi-Ud-Din, M.; Hasanuzzaman, M.; Miah, M.G.; Rahman, M.; Islam, M.T. Chitosan biopolymer promotes yield and stimulates accumulation of antioxidants in strawberry fruit. PLoS ONE 2018, 13, e0203769. [Google Scholar] [CrossRef]
- Metwaly, E.E.; AL-Huqail, A.A.; Farouk, S.; Omar, G.F. Effect of chitosan and micro-carbon-based phosphorus fertilizer on strawberry growth and productivity. Horticulturae 2023, 9, 368. [Google Scholar] [CrossRef]
- Wang, Q.S.; Zhou, X.; Liu, Y.; Han, Y.; Zuo, J.; Deng, J.; Yuan, L.Y.; Gao, L.J.; Bai, W.B. Mixed oligosaccharides-induced changes in bacterial assembly during cucumber (Cucumis Sativus L.) growth. Front Microbiol 2023, 14, 1195096. [Google Scholar] [CrossRef] [PubMed]
- He, J.X.; Han, W.; Wang, J.; Qian, Y.C.; Saito, M.; Bai, W.B.; Song, J.Q.; Lv, G.H. Functions of oligosaccharides in improving tomato seeding growth and chilling resistance. J. Plant Growth Regul. 2022, 41, 1394–1395. [Google Scholar] [CrossRef]
- Ru, L.; Jiang, L.F.; Wills, R.B.H.; Golding, J.B.; Huo, Y.R.; Yang, H.Q.; Li, Y.X. Chitosan oligosaccharides induced chilling resistance in cucumber fruit and associated stimulation of antioxidant and HSP gene expression. Sci. Hortic. 2020, 264, 109187. [Google Scholar] [CrossRef]
- Tan, C.; Li, N.; Wang, Y.D.; Yu, X.J.; Yang, L.; Cao, R.F.; Ye, X.L. Integrated physiological and transcriptomic analyses revealed improved cold tolerance in cucumber (Cucumis sativus L.) by exogenous chitosan oligosaccharide. Int. J. Mol. Sci. 2023, 24, 6202. [Google Scholar] [CrossRef]
- Abd-Elrahman, S.H.; El-Gabry, Y.A.E.G.; Hashem, F.A.; Ibrahim, M.F.M.; El-Hallous, E.I.; Abbas, Z.K.; Darwish, D.B.E.; Al-Harbi, N.A.; Al-Qahtani, S.M.; Taha, N.M. Influence of nano-chitosan loaded with potassium on potassium fractionation in sandy soil and strawberry productivity and quality. Agronomy 2023, 13, 1126. [Google Scholar] [CrossRef]
- Rabea, E.I.; Badawy, M.E.T.; Stevens, C.V.; Smagghe, G.; Steurbaut, W. Chitosan as antimicrobial agent: Applications and mode of action. Biomacromolecules 2003, 4, 1457–1465. [Google Scholar] [CrossRef]
- Del Valle, T.A.; Zenatti, T.F.; Antonio, G.; Campana, M.; Gandra, J.R.; Zilio, E.M.C.; de Mattos, L.F.A.; de Morais, J.G.P. Effect of chitosan on the preservation quality of sugarcane silage. Grass Forage Sci. 2018, 73, 630–638. [Google Scholar] [CrossRef]
- Liu, Y.W.; Wang, S.Y.; Lan, W.T.; Qin, W. Fabrication and testing of PVA/chitosan bilayer films for strawberry packaging. Coatings 2017, 7, 109. [Google Scholar] [CrossRef]
- He, Y.Q.; Bose, S.K.; Wang, M.Y.; Liu, T.M.; Wang, W.X.; Lu, H.; Yin, H. Effects of chitosan oligosaccharides postharvest treatment on the quality and ripening related gene expression of cultivated strawberry fruits. J. Berry Res. 2019, 9, 11–25. [Google Scholar] [CrossRef]
- Zhang, T.G.; Shi, Z.F.; Zhang, X.H.; Zheng, S.; Wang, J.; Mo, J.N. Alleviating effects of exogenous melatonin on salt stress in cucumber. Sci. Hortic. 2020, 262, 109070. [Google Scholar] [CrossRef]
- Winkler, A.J.; Dominguez-Nunez, J.A.; Aranaz, I.; Poza-Carrion, C.; Ramonell, K.; Somerville, S.; Berrocal-Lobo, M. Short-chain chitin oligomers: Promoters of plant growth. Mar. Drugs 2017, 15, 40. [Google Scholar] [CrossRef]
- Zhang, X.Q.; Li, K.C.; Liu, S.; Xing, R.G.; Yu, H.H.; Chen, X.L.; Li, P.C. Size effects of chitooligomers on the growth and photosynthetic characteristics of wheat seedlings. Carbohydr. Polym. 2016, 138, 27–33. [Google Scholar] [CrossRef]
- Liu, X.W.; Li, X.F.; Bai, Y.X.; Zhou, X.; Chen, L.; Qiu, C.; Lu, C.; Jin, Z.Y.; Long, J.; Xie, Z.J. Natural antimicrobial oligosaccharides in the food industry. Int. J. Food Microbiol. 2023, 386, 110021. [Google Scholar] [CrossRef]
- He, J.X.; Kong, M.; Qian, Y.C.; Gong, M.; Lv, G.H.; Song, J.Q. Cellobiose elicits immunity in lettuce conferring resistance to Botrytis cinerea. J. Exp. Bot. 2023, 74, 1022–1038. [Google Scholar] [CrossRef] [PubMed]
- Lu, F.; Hu, P.P.; Lin, M.L.; Ye, X.; Chen, L.S.; Huang, Z.R. Photosynthetic characteristics and chloroplast ultrastructure responses of citrus leaves to copper toxicity induced by bordeaux mixture in greenhouse. Int. J. Mol. Sci. 2022, 23, 9835. [Google Scholar] [CrossRef] [PubMed]
- Li, X.F.; Zhang, Z.L. Experimental Supervision of Plant Physiology; Higher Education Press: Beijing, China, 2016. [Google Scholar]
- Zhang, Y.; Guo, R.Y.; Li, S.H.; Chen, Y.; Li, Z.D.; He, P.Y.; Huang, X.Y.; Huang, K.F. Effects of continuous cropping on soil, senescence, and yield of Tartary buckwheat. Agron. J. 2021, 113, 5102–5113. [Google Scholar] [CrossRef]
- Song, H.X.; Li, Y.L.; Xu, X.Y.; Zhang, J.; Zheng, S.W.; Hou, L.P.; Xing, G.M.; Li, M.L. Analysis of genes related to chlorophyll metabolism under elevated CO2 in cucumber (Cucurnis sativus L.). Sci. Hortic. 2020, 261, 108988. [Google Scholar] [CrossRef]
- Siddique, M.I.; Han, K.; Lee, J.U.; Lee, E.S.; Lee, Y.R.; Lee, H.E.; Lee, S.Y.; Kim, D. QTL Analysis for chlorophyll content in strawberry (Fragaria x ananassa Duch.) leaves. Agriculture 2021, 11, 1163. [Google Scholar] [CrossRef]
- Wang, F.B.; Liu, J.C.; Chen, M.X.; Zhou, L.J.; Li, Z.W.; Zhao, Q.; Pan, G.; Zaidi, S.H.R.; Cheng, F.M. Involvement of abscisic acid in PSII photodamage and D1 protein turnover for light-induced premature senescence of rice flag leaves. PLoS ONE 2016, 11, e0161203. [Google Scholar] [CrossRef] [PubMed]
- Lee, S.; Masclaux-Daubresse, C. Current understanding of leaf senescence in rice. Int. J. Mol. Sci. 2021, 22, 4515. [Google Scholar] [CrossRef] [PubMed]
- Palencia, P.; Martinez, F.; Vazquez, M.A. Oxyfertigation and transplanting conditions of strawberries. Agronomy 2022, 11, 2513. [Google Scholar] [CrossRef]
- Liu, X.S.; An, R.H.; Li, G.F.; Luo, S.F.; Hu, H.L.; Li, P.X. Melatonin delays leaf senescence in pak choi (Brassica rapa subsp. chinensis) by regulating biosynthesis of the second messenger cGMP. Hortic. Plant J. 2024, 10, 145–155. [Google Scholar] [CrossRef]
- Sathiyabama, M.; Manikandan, A. Chitosan nanoparticle induced defense responses in finger millet plants against blast disease caused by Pyricularia grisea (Cke.) Sacc. Carbohydr. Polym. 2016, 154, 241–246. [Google Scholar] [CrossRef]
- Choudhary, R.C.; Kumaraswamy, R.V.; Kumari, S.; Sharma, S.S.; Pal, A.; Raliya, R.; Biswas, P.; Saharan, V. Cu-chitosan nanoparticle boost defense responses and plant growth in maize (Zea mays L.). Sci. Rep. 2017, 7, 9754. [Google Scholar] [CrossRef] [PubMed]
- Yang, X.J.; Chen, Y.Q.; Hu, Z.C.; Ma, S.; Zhang, J.E.; Shen, H. Alginate oligosaccharides alleviate the damage of rice leaves caused by acid rain and high temperature. Agronomy 2021, 11, 500. [Google Scholar] [CrossRef]
- Fu, E.R.; Zhang, Y.Z.; Li, H.L.; Wang, X.Z.; Zhang, H.X.; Xiao, W.; Chen, X.D.; Li, L. Chitosan reduces damages of strawberry seedlings under high-temperature and high-light stress. Agronomy 2023, 13, 517. [Google Scholar] [CrossRef]
- Valkama, E.; Kivimaenpaa, M.; Hartikainen, H.; Wulff, A. The combined effects of enhanced UV-B radiation and selenium on growth, chlorophyll fluorescence and ultrastructure in strawberry (Fragaria × ananassa) and barley (Hordeum vulgare) treated in the field. Agric. For. Meteorol. 2003, 120, 267–278. [Google Scholar] [CrossRef]
- Sang, C.W.; Ren, W.C.; Wang, J.J.; Xu, H.; Zhang, Z.H.; Zhou, M.G.; Chen, C.J.; Wang, K. Detection and fitness comparison of target-based highly fludioxonil-resistant isolates of Botrytis cinerea from strawberry and cucumber in China. Pestic. Biochem. Physiol. 2018, 147, 110–118. [Google Scholar] [CrossRef] [PubMed]
- Fanello, D.D.; Kelly, S.J.; Bartoli, C.G.; Cano, M.G.; Alonso, S.M.; Guiamet, J.J. Plasticity of root growth and respiratory activity: Root responses to above-ground senescence, fruit removal or partial root pruning in soybean. Plant Sci. 2020, 290, 110296. [Google Scholar] [CrossRef] [PubMed]
- Fan, L.; Dalpe, Y.; Fang, C.Q.; Dube, C.; Khanizadeh, S. Influence of arbuscular mycorrhizae on biomass and root morphology of selected strawberry cultivars under salt stress. Botany 2011, 89, 397–403. [Google Scholar] [CrossRef]
- Kaya, C.; Kirnak, H.; Higgs, D. Effects of supplementary potassium and phosphorus on physiological development and mineral nutrition of cucumber and pepper cultivars grown at high salinity (NaCl). J. Plant Nutr. 2001, 24, 1457–1471. [Google Scholar] [CrossRef]
Disclaimer/Publisher’s Note: The statements, opinions and data contained in all publications are solely those of the individual author(s) and contributor(s) and not of MDPI and/or the editor(s). MDPI and/or the editor(s) disclaim responsibility for any injury to people or property resulting from any ideas, methods, instructions or products referred to in the content. |
© 2024 by the authors. Licensee MDPI, Basel, Switzerland. This article is an open access article distributed under the terms and conditions of the Creative Commons Attribution (CC BY) license (https://creativecommons.org/licenses/by/4.0/).