Investigation of the Antibacterial Mechanism of the Bacteriocin-like Substance (FC) Produced by Limosilactobacillus fermentum z-6 Against Salmonella enterica Serovar Typhimurium
Abstract
1. Introduction
2. Materials and Methods
2.1. Materials, Preliminary Identification of Strains
2.2. L. fermentum z-6 Whole-Genome Sequencing
2.3. FC Production and Activity Identification
2.4. Antimicrobial Spectrum of z-6
2.5. Growth Curve of z-6
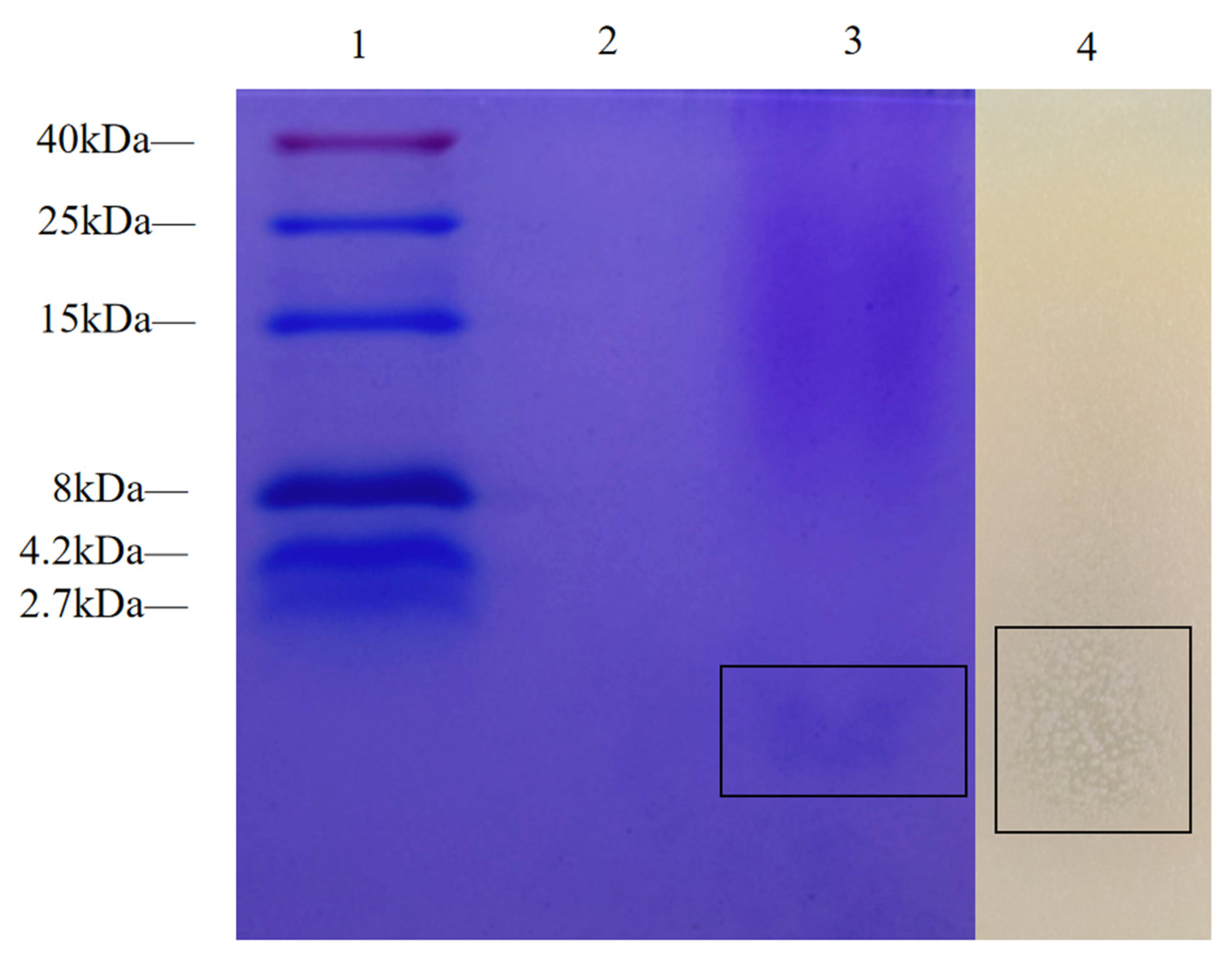
2.6. Estimation of Molecular Mass
2.7. Physicochemical Properties of FC
2.7.1. Temperature Stability
2.7.2. Stability at Various pH
2.7.3. Protease Stability
2.7.4. Ultraviolet Stability
2.8. Live–Dead Staining Assay
2.9. Scanning Electron Microscope (SEM)
2.10. Statistical Analysis
3. Results
3.1. Isolation and Identification of Lactic Acid Bacteria
3.2. Identification of Strains and Their Whole Genome Sequencing
3.3. Evaluation of Antimicrobial Activity

3.4. The Analytics of Bacteriocin Molecular Weight Size
3.5. Antibacterial Spectrum
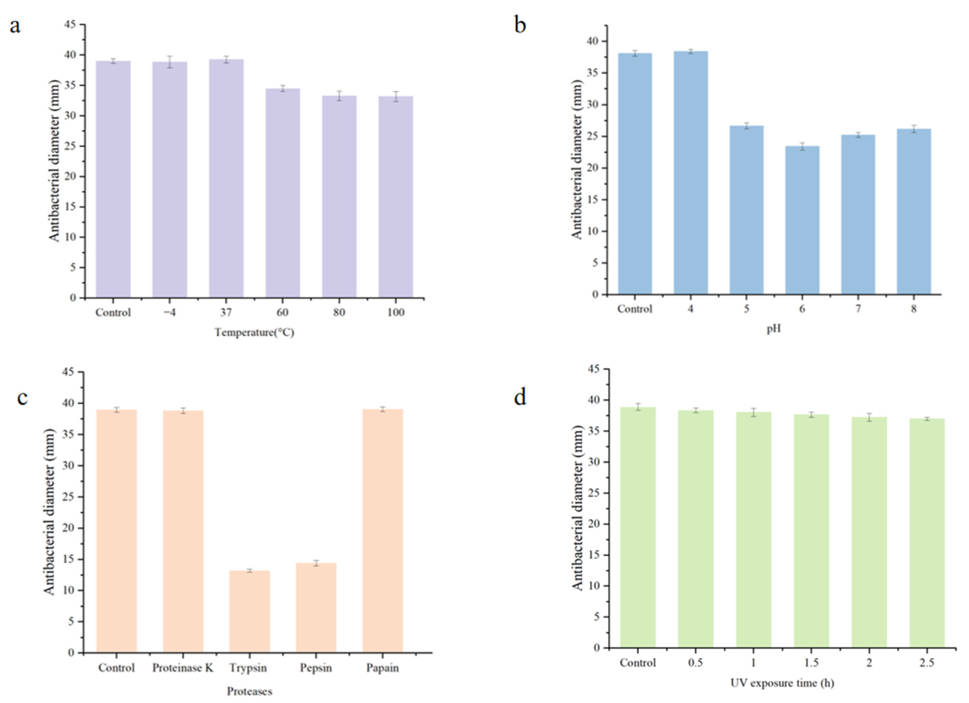
3.6. Effect of pH, Heat, Proteases, and UV Rays on the Antibacterial Activity
3.7. Production Kinetics of z-6
3.8. Bactericidal Effect Observed Using Fluorescence Microscope
3.9. SEM Analysis
4. Discussion
5. Conclusions
Author Contributions
Funding
Institutional Review Board Statement
Informed Consent Statement
Data Availability Statement
Acknowledgments
Conflicts of Interest
References
- Hébrard, M.; Kröger, C.; Sivasankaran, S.K.; Händler, K.; Hinton, J.C. The challenge of relating gene expression to the virulence of Salmonella enterica serovar Typhimurium. Curr. Opin. Biotechnol. 2011, 22, 200–210. [Google Scholar] [CrossRef]
- Marchello, C.S.; Fiorino, F.; Pettini, E.; Crump, J.A.; Martin, L.B.; Breghi, G.; Canals, R.; A Gordon, M.; Hanumunthadu, B.; Jacobs, J.; et al. Incidence of non-typhoidal Salmonella invasive disease: A systematic review and meta-analysis. J. Infect. 2021, 83, 523–532. [Google Scholar] [CrossRef]
- Chen, J.; Huang, L.; An, H.; Wang, Z.; Kang, X.; Yin, R.; Jia, C.; Jin, X.; Yue, M. One Health approach probes zoonotic non-typhoidal Salmonella infections in China: A systematic review and meta-analysis. J. Glob. Health 2024, 14, 04256. [Google Scholar] [CrossRef]
- Helms, M.; Ethelberg, S.; Mølbak, K.; DT104 Study Group. International Salmonella typhimurium DT104 infections, 1992–2001. Emerg. Infect. Dis. 2005, 11, 859. [Google Scholar] [CrossRef]
- Lee, C.M.; Lee, M.S.; Yang, T.L.; Lee, K.L.; Yen, T.Y.; Lu, C.Y.; Hsueh, P.R.; Lee, P.I.; Chen, J.M.; Huang, L.M.; et al. Clinical features and risk factors associated with bacteremia of nontyphoidal salmonellosis in pediatric patients, 2010–2018. J. Formos. Med. Assoc. 2021, 120, 196–203. [Google Scholar] [CrossRef]
- Vesković-Moračanin, S.M.; Đukić, D.A.; Memiši, N.R. Bacteriocins produced by lactic acid bacteria: A review. Acta Period. Technol. 2014, 45, 271–283. [Google Scholar] [CrossRef]
- Riley, M.A.; Wertz, J.E. Bacteriocins: Evolution, ecology, and application. Annu. Rev. Microbiol. 2002, 56, 117–137. [Google Scholar] [CrossRef] [PubMed]
- Perez, R.H.; Zendo, T.; Sonomoto, K. Novel bacteriocins from lactic acid bacteria (LAB): Various structures and applications. Microb. Cell Factories 2014, 13, S3. [Google Scholar] [CrossRef]
- Yang, S.C.; Lin, C.H.; Sung, C.T.; Fang, J.Y. Antibacterial activities of bacteriocins: Application in foods and pharmaceuticals. Front. Microbiol 2014, 5, 241. [Google Scholar]
- Cotter, P.D.; Hill, C.; Ross, R.P. Bacteriocins: Developing innate immunity for food. Nat. Rev. Microbiol. 2005, 3, 777–788. [Google Scholar] [CrossRef] [PubMed]
- Halder, D.; Mandal, S. The in vitro studies combined with molecular docking and MM-GBSA binding free energy calculations reveal broad-spectrum antibacterial activity of bacteriocin from curd-derived Limosilactobacillus fermentum with probiotic attributes. Silico Res. Biomed. 2025, 1, 100009. [Google Scholar] [CrossRef]
- Uebanso, T.; Kano, S.; Yoshimoto, A.; Naito, C.; Shimohata, T.; Mawatari, K.; Takahashi, A. Effects of consuming xylitol on gut microbiota and lipid metabolism in mice. Nutrients 2017, 9, 756. [Google Scholar] [CrossRef]
- Leite, A.M.O.; Miguel, M.A.L.; Peixoto, R.S.; Ruas-Madiedo, P.; Paschoalin, V.M.F.; Mayo, B.; Delgado, S. Probiotic potential of selected lactic acid bacteria strains isolated from Brazilian kefir grains. Dairy Sci. 2015, 98, 3622–3632. [Google Scholar] [CrossRef]
- Zeng, Y.; He, W.; Li, K.; Zeng, X.; Wu, Z.; Guo, Y.; Bao, W.; Pan, D. The potential mechanism and key genes of bacteriocin production in Lactiplantibacillus plantarum ZY-1 induced by co-cultivation with Limosilactobacillus fermentum RC4. LWT 2025, 228, 118059. [Google Scholar] [CrossRef]
- Schägger, H. Tricine–sds-page. Nat. Protoc. 2006, 1, 16–22. [Google Scholar] [CrossRef] [PubMed]
- Wannun, P.; Piwat, S.; Teanpaisan, R. Purification, characterization, and optimum conditions of fermencin SD11, a bacteriocin produced by human orally Lactobacillus fermentum SD11. Appl. Biochem. Biotechnol. 2016, 179, 572–582. [Google Scholar] [CrossRef]
- Mkangara, M. Prevention and control of human Salmonella enterica infections: An implication in food safety. Int. J. Food Sci. 2023, 2023, 8899596. [Google Scholar] [CrossRef] [PubMed]
- Snyder, A.B.; Worobo, R.W. Chemical and genetic characterization of bacteriocins: Antimicrobial peptides for food safety. J. Sci. Food Agric. 2014, 94, 28–44. [Google Scholar] [CrossRef]
- Johnson, E.M.; Jung, Y.-G.; Jin, Y.-Y.; Jayabalan, R.; Yang, S.H.; Suh, J.W. Bacteriocins as food preservatives: Challenges and emerging horizons. Crit. Rev. Food Sci. Nutr. 2018, 58, 2743–2767. [Google Scholar] [CrossRef]
- Heredia-Castro, P.Y.; Reyes-Díaz, R.; Rendón-Rosales, M.Á.; Beltrán-Barrientos, L.M.; Torres-Llanez, M.J.; Estrada-Montoya, M.C.; Hernández-Mendoza, A.; González-Córdova, A.F.; Vallejo-Cordoba, B. Novel bacteriocins produced by Lactobacillus fermentum strains with bacteriostatic effects in milk against selected indicator microorganisms. J. Dairy Sci. 2021, 104, 4033–4043. [Google Scholar] [CrossRef] [PubMed]
- Abramov, V.M.; Kosarev, I.V.; Machulin, A.V.; Priputnevich, T.V.; Deryusheva, E.I.; Nemashkalova, E.L.; Chikileva, I.O.; Abashina, T.N.; Panin, A.N.; Melnikov, V.G.; et al. Limosilactobacillus fermentum 3872 That Produces Class III Bacteriocin Forms Co-Aggregates with the Antibiotic-Resistant Staphylococcus aureus Strains and Induces Their Lethal Damage. Antibiotics 2023, 12, 471. [Google Scholar] [CrossRef]
- Zhang, Q.T.; Liu, Z.D.; Wang, Z.; Wang, T.; Wang, N.; Wang, N.; Zhang, B.; Zhao, Y.F. Recent advances in small peptides of marine origin in cancer therapy. Mar. Drugs 2021, 19, 115. [Google Scholar] [CrossRef] [PubMed]
- Rabbani-Chadegani, A.; Abdossamadi, S.; Bargahi, A.; Yousef-Masboogh, M. Identification of low-molecular-weight protein (SCP1) from shark cartilage with anti-angiogenesis activity and sequence similarity to parvalbumin. J. Pharm. Biomed. Anal. 2008, 46, 563–567. [Google Scholar] [CrossRef]
- Li, J.F.; Zhang, J.X.; Li, G.; Xu, Y.Y.; Lu, K.; Wang, Z.G.; Liu, J.P. Antimicrobial activity and mechanism of peptide CM4 against Pseudomonas aeruginosa. Food Funct. 2020, 11, 7245–7254. [Google Scholar] [CrossRef] [PubMed]
- Peng, S.; Song, J.; Zeng, W.; Wang, H.; Zhang, Y.; Xin, J.; Suo, H. A broad-spectrum novel bacteriocin produced by Lactobacillus plantarum SHY 21–2 from yak yogurt: Purification, antimicrobial characteristics and antibacterial mechanism. LWT 2021, 142, 110955. [Google Scholar] [CrossRef]
- Alvarez-Sieiro, P.; Montalbán-López, M.; Mu, D.; Kuipers, O.P. Bacteriocins of lactic acid bacteria: Extending the family. Appl. Microbiol. Biotechnol. 2016, 100, 2939–2951. [Google Scholar] [CrossRef]
- Bin Hafeez, A.; Jiang, X.; Bergen, P.J.; Zhu, Y. Antimicrobial peptides: An update on classifications and databases. Int. J. Mol. Sci. 2021, 22, 11691. [Google Scholar] [CrossRef]
- Zhou, L.; Liu, Z.; Guo, Y.; Liu, S.; Zhao, H.; Zhao, S.; Xiao, C.; Feng, S.; Yang, X.; Wang, F. Ultraviolet photodissociation reveals the molecular mechanism of crown ether microsolvation effect on the gas-phase native-like protein structure. J. Am. Chem. Soc. 2022, 145, 1285–1291. [Google Scholar] [CrossRef]
- Bosshard, H.R.; Marti, D.N.; Jelesarov, I. Protein stabilization by salt bridges: Concepts, experimental approaches and clarification of some misunderstandings. J. Mol. Recognit. 2004, 17, 1–16. [Google Scholar] [CrossRef]
- Wang, L.; Ding, B.; Hu, X.; Li, G.; Deng, Y. Rationally Engineering pH Adaptation of Acid-Induced Arginine Decarboxylase from Escherichia coli to Alkaline Environments to Efficiently Biosynthesize Putrescine. Adv. Sci. 2024, 11, 2307779. [Google Scholar] [CrossRef]
- Li, Z.; Cheng, B.; Zeng, W.; Zhang, X.; Peng, Y. Proteomic and metabolomic profilings reveal crucial functions of γ-aminobutyric acid in regulating Ionic, water, and metabolic homeostasis in creeping bentgrass under salt stress. J. Proteome Res. 2020, 19, 769–780. [Google Scholar] [CrossRef]
- Liu, Z.; Lemmonds, S.; Huang, J.; Tyagi, M.; Hong, L.; Jain, N. Entropic contribution to enhanced thermal stability in the thermostable P450 CYP119. Proc. Natl. Acad. Sci. USA 2018, 115, E10049–E10058. [Google Scholar] [CrossRef] [PubMed]
- Liu, Y.; Xu, J.; Ma, M.; You, T.; Ye, S.; Liu, S. Computational design towards a boiling-resistant single-chain sweet protein monellin. Food Chem. 2024, 440, 138279. [Google Scholar] [CrossRef] [PubMed]
- Hassan, M.U.; Nayab, H.; Rehman, T.U.; Williamson, M.P.; Haq, K.U.; Shafi, N.; Shafique, F. Characterisation of bacteriocins produced by Lactobacillus spp. isolated from the traditional Pakistani yoghurt and their antimicrobial activity against common foodborne pathogens. BioMed Res. Int. 2020, 2020, 8281623. [Google Scholar] [CrossRef] [PubMed]
- Jaenicke, R. Protein stability and molecular adaptation to extreme conditons. Eur. J. Biochem. 1991, 202, 715–728. [Google Scholar] [CrossRef]
- Bérdy, J. Thoughts and facts about antibiotics: Where we are now and where we are heading. J. Antibiot. 2012, 65, 385–395. [Google Scholar] [CrossRef]
- Li, Y.; Yu, S.; Weng, P.; Wu, Z.; Liu, Y. Purification and antimicrobial mechanism of a novel bacteriocin produced by Lactiplantibacillus plantarum FB-2. LWT 2023, 185, 115123. [Google Scholar] [CrossRef]
- Xu, Z.; Wang, J.; Zheng, W.; Zhao, S.; Yang, Q.; Yu, D.; Zhu, Y. Antibacterial activity and mechanism of a novel bacteriocin produced by Lactiplantibacillus plantarum against Escherichia coli and Staphylococcus aureus. Int. J. Food Sci. Technol. 2023, 58, 181–193. [Google Scholar] [CrossRef]
- Jin, X.; Zhang, X.; Ding, X.; Tian, T.; Tseng, C.K.; Luo, X.; Chen, X.; Lo, C.J.; Leake, M.C.; Bai, F. Sensitive bacterial Vm sensors revealed the excitability of bacterial Vm and its role in antibiotic tolerance. Proc. Natl. Acad. Sci. USA 2023, 120, e2208348120. [Google Scholar] [CrossRef]
- Whittle, E.E.; Orababa, O.; Osgerby, A.; Siasat, P.; Element, S.J.; Blair, J.M.A.; Overton, T.W. Efflux pumps mediate changes to fundamental bacterial physiology via membrane potential. Mbio 2024, 15, e02370-24. [Google Scholar] [CrossRef]
- Bauer, R.; Dicks, L.M.T. Mode of action of lipid II-targeting lantibiotics. Int. J. Food Microbiol. 2005, 101, 201–216. [Google Scholar] [CrossRef]
- Cleveland, J.; Montville, T.J.; Nes, I.F.; Chikindas, M.L. Bacteriocins: Safe, natural antimicrobials for food preservation. Int. J. Food Microbiol. 2001, 71, e0037425. [Google Scholar] [CrossRef] [PubMed]
- Oshiro, M.; Nakamura, K.; Sk, R.; Tashiro, Y.; Shiwa, Y. Complete genome sequence of Levilactobacillus acidifarinae type strain JCM 15949 (DSM 19394). Microbiol. Resour. Announc. 2025, 14, e00374-25. [Google Scholar] [CrossRef] [PubMed]
- Wen, Y.; Zhang, G.; Bahadur, A.; Xu, Y.; Liu, Y.; Tian, M.; Ding, W.; Chen, T.; Zhang, W.; Liu, G. Genomic investigation of desert Streptomyces huasconensis D23 reveals its environmental adaptability and antimicrobial activity. Microorganisms 2022, 10, 2408. [Google Scholar] [CrossRef] [PubMed]






| Indicator Strain | Source | Gram | Inhibition Zone (mm) |
|---|---|---|---|
| Salmonella enterica serovar Typhimurium | ATCC 14028 | G− | 33.36 ± 0.67 |
| E. coli | ATCC 25922 | G− | 23.85 ± 0.2 |
| A. baumannii | wyy-5 | G− | 22.28 ± 0.27 |
| P. mirabilis | SH-8 | G− | 28.59 ± 0.51 |
| S. aureus | ATCC 25923 | G+ | 27.08 ± 0.4 |
| L. monocytogenes | ATCC 19115 | G+ | 25.6 ± 0.25 |
Disclaimer/Publisher’s Note: The statements, opinions and data contained in all publications are solely those of the individual author(s) and contributor(s) and not of MDPI and/or the editor(s). MDPI and/or the editor(s) disclaim responsibility for any injury to people or property resulting from any ideas, methods, instructions or products referred to in the content. |
© 2025 by the authors. Licensee MDPI, Basel, Switzerland. This article is an open access article distributed under the terms and conditions of the Creative Commons Attribution (CC BY) license (https://creativecommons.org/licenses/by/4.0/).
Share and Cite
Zheng, Y.; Wang, X.; Li, H.; Xu, N.; Wang, J.; Yin, B.; Dong, W.; Sha, W. Investigation of the Antibacterial Mechanism of the Bacteriocin-like Substance (FC) Produced by Limosilactobacillus fermentum z-6 Against Salmonella enterica Serovar Typhimurium. Fermentation 2025, 11, 656. https://doi.org/10.3390/fermentation11120656
Zheng Y, Wang X, Li H, Xu N, Wang J, Yin B, Dong W, Sha W. Investigation of the Antibacterial Mechanism of the Bacteriocin-like Substance (FC) Produced by Limosilactobacillus fermentum z-6 Against Salmonella enterica Serovar Typhimurium. Fermentation. 2025; 11(12):656. https://doi.org/10.3390/fermentation11120656
Chicago/Turabian StyleZheng, Yuhang, Xinyue Wang, Hannuo Li, Nuo Xu, Jiayue Wang, Baishuang Yin, Wenlong Dong, and Wanli Sha. 2025. "Investigation of the Antibacterial Mechanism of the Bacteriocin-like Substance (FC) Produced by Limosilactobacillus fermentum z-6 Against Salmonella enterica Serovar Typhimurium" Fermentation 11, no. 12: 656. https://doi.org/10.3390/fermentation11120656
APA StyleZheng, Y., Wang, X., Li, H., Xu, N., Wang, J., Yin, B., Dong, W., & Sha, W. (2025). Investigation of the Antibacterial Mechanism of the Bacteriocin-like Substance (FC) Produced by Limosilactobacillus fermentum z-6 Against Salmonella enterica Serovar Typhimurium. Fermentation, 11(12), 656. https://doi.org/10.3390/fermentation11120656

