High-Level Secretory Production of Recombinant E2-Spy Antigen Protein via Combined Strategy in Pichia pastoris
Abstract
1. Introduction
2. Materials and Methods
2.1. Strains, Plasmids, and Culture Medium
2.2. Construction of Recombinant Plasmids with Various Signal Peptides or Molecular Chaperones
2.3. Generation of Yeast Recombinants and Shake Flask Culture
2.4. Deglycosylation and Semi-Quantitative Analysis
2.5. RNA Extraction and Quantitative Real-Time PCR Analysis
2.6. Construction of the Tandem Multicopy Expression Plasmids and Yeast Transformants
2.7. Obliteration of Resistance toward Zeocin for P. pastoris Transformants
2.8. Generation of Multicopy Recombinants Co-Expressing Molecular Chaperones
2.9. Statistical Analysis
3. Results
3.1. Signal Peptide Optimization of ES
3.2. Comparison of cSP3 with Other Commonly Used Signal Peptides
3.3. Construction of the Tandem Multicopy Expression Plasmids
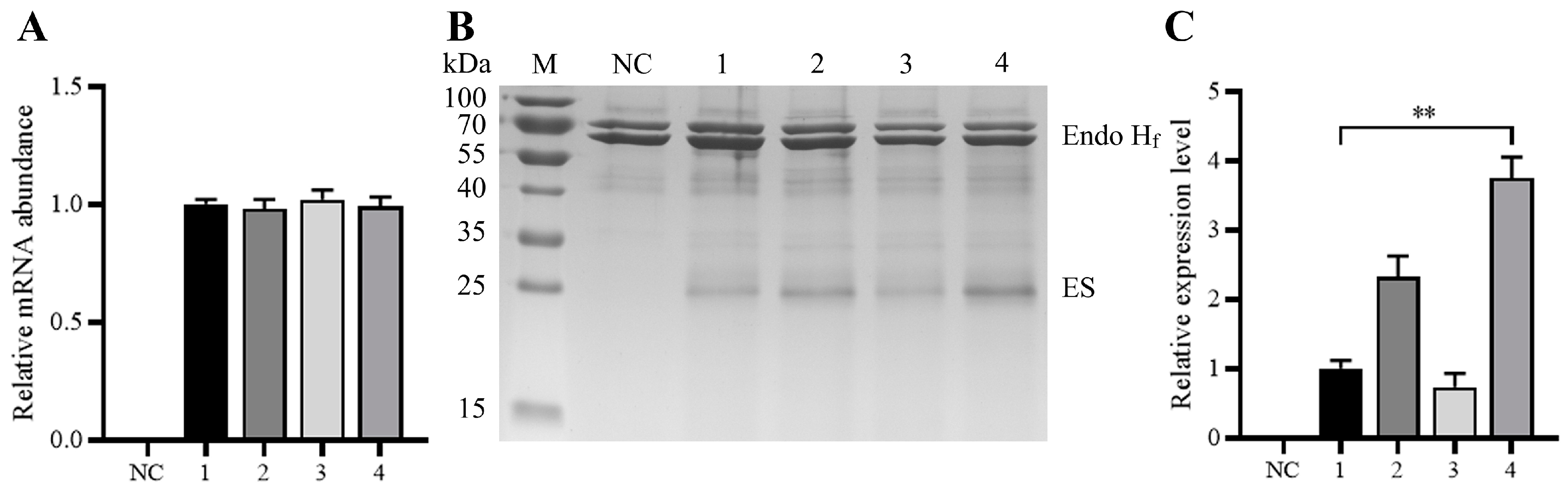
3.4. Generation of Multicopy Transformants and Expression Identification
3.5. Obliteration of Resistance toward Zeocin for P. pastoris Transformants
3.6. Co-Expression of a Single Molecular Chaperone in Multicopy Yeast Strains
3.7. Co-Expression of Molecular Chaperone Combinations in Multicopy Yeast Strains
4. Discussion
5. Conclusions
Supplementary Materials
Author Contributions
Funding
Institutional Review Board Statement
Informed Consent Statement
Data Availability Statement
Conflicts of Interest
References
- Huang, Y.L.; Deng, M.C.; Wang, F.I.; Huang, C.C.; Chang, C.Y. The challenges of classical swine fever control: Modified live and E2 subunit vaccines. Virus Res. 2014, 179, 1–11. [Google Scholar] [CrossRef]
- Lin, G.J.; Liu, T.Y.; Tseng, Y.Y.; Chen, Z.W.; You, C.C.; Hsuan, S.L.; Chien, M.S.; Huang, C. Yeast-expressed classical swine fever virus glycoprotein E2 induces a protective immune response. Vet. Microbiol. 2009, 139, 369. [Google Scholar] [CrossRef] [PubMed]
- Li, D.; Zhang, H.; Yang, L.; Chen, J.; Zhang, Y.; Yu, X.; Zheng, Q.; Hou, J. Surface display of classical swine fever virus E2 glycoprotein on gram-positive enhancer matrix (GEM) particles via the SpyTag/SpyCatcher system. Protein Expr. Purif. 2020, 167, 105526. [Google Scholar] [CrossRef] [PubMed]
- Vadhana, A.K.P.; Samuel, P.; Berin, R.M.; Krishna, J.; Kamatchi, K.; Meenakshisundaram, S. Improved secretion of Candida antarctica lipase B with its native signal peptide in Pichia pastoris. Enzym. Microb. Technol. 2013, 52, 177–183. [Google Scholar] [CrossRef] [PubMed]
- Lin-Cereghino, G.P.; Stark, C.M.; Kim, D.; Chang, J.; Shaheen, N.; Poerwanto, H.; Agari, K.; Moua, P.; Low, L.K.; Tran, N. The effect of α-mating factor secretion signal mutations on recombinant protein expression in Pichia pastoris. Gene 2013, 519, 311–317. [Google Scholar] [CrossRef]
- Owji, H.; Nezafat, N.; Negahdaripour, M.; Hajiebrahimi, A.; Ghasemi, Y. A comprehensive review of signal peptides: Structure, roles, and applications. Eur. J. Cell Biol. 2018, 97, 422–441. [Google Scholar] [CrossRef]
- Barrero, J.J.; Casler, J.C.; Valero, F.; Ferrer, P.; Glick, B.S. An improved secretion signal enhances the secretion of model proteins from Pichia pastoris. Microb. Cell Fact. 2018, 17, 161. [Google Scholar] [CrossRef] [PubMed]
- Barrero, J.J.; Pagazartaundua, A.; Glick, B.S.; Valero, F.; Ferrer, P. Bioreactor-scale cell performance and protein production can be substantially increased by using a secretion signal that drives co-translational translocation in Pichia pastoris. New Biotechnol. 2021, 60, 85–95. [Google Scholar] [CrossRef]
- Bush, G.L.; Meyer, D.I. The refolding activity of the yeast heat shock proteins Ssa1 and Ssa2 defines their role in protein translocation. J. Cell Biol. 1996, 135, 1229–1237. [Google Scholar] [CrossRef]
- Van Rijn, P.; Bossers, A.; Wensvoort, G.; Moormann, R. Classical swine fever virus (CSFV) envelope glycoprotein E2 containing one structural antigenic unit protects pigs from lethal CSFV challenge. J. Gen. Virol. 1996, 77, 2737–2745. [Google Scholar] [CrossRef]
- Nyathi, Y.; Wilkinson, B.M.; Pool, M.R. Co-translational targeting and translocation of proteins to the endoplasmic reticulum. Biochim. Biophys. Acta (BBA)-Mol. Cell Res. 2013, 1833, 2392–2402. [Google Scholar] [CrossRef] [PubMed]
- Voorhees, R.M.; Hegde, R.S. Toward a structural understanding of co-translational protein translocation. Curr. Opin. Cell Biol. 2016, 41, 91–99. [Google Scholar] [CrossRef] [PubMed]
- Gloge, F.; Becker, A.H.; Kramer, G.; Bukau, B. Co-translational mechanisms of protein maturation. Curr. Opin. Struct. Biol. 2014, 24, 24–33. [Google Scholar] [CrossRef]
- Kramer, G.; Boehringer, D.; Ban, N.; Bukau, B. The ribosome as a platform for co-translational processing, folding and targeting of newly synthesized proteins. Nat. Struct. Mol. Biol. 2009, 16, 589–597. [Google Scholar] [CrossRef] [PubMed]
- Kuroda, S.I.; Otaka, S.; Miyazaki, T.; Nakao, M.; Fujisawa, Y. Hepatitis B virus envelope L protein particles. Synthesis and assembly in Saccharomyces cerevisiae, purification and characterization. J. Biol. Chem. 1992, 267, 1953–1961. [Google Scholar] [CrossRef] [PubMed]
- Forte, G.M.; Pool, M.R.; Stirling, C.J. N-terminal acetylation inhibits protein targeting to the endoplasmic reticulum. PLoS Biol. 2011, 9, e1001073. [Google Scholar] [CrossRef]
- Vassileva, A.; Chugh, D.A.; Swaminathan, S.; Khanna, N. Effect of copy number on the expression levels of hepatitis B surface antigen in the methylotrophic yeast Pichia pastoris. Protein Expr. Purif. 2001, 21, 71–80. [Google Scholar] [CrossRef]
- Clare, J.; Rayment, F.; Ballantine, S.; Sreekrishna, K.; Romanos, M. High-level expression of tetanus toxin fragment C in Pichia pastoris strains containing multiple tandem integrations of the gene. Bio/Technology 1991, 9, 455–460. [Google Scholar] [CrossRef]
- Zhu, T.; Guo, M.; Tang, Z.; Zhang, M.; Zhuang, Y.; Chu, J.; Zhang, S. Efficient generation of multi-copy strains for optimizing secretory expression of porcine insulin precursor in yeast Pichia pastoris. J. Appl. Microbiol. 2009, 107, 954–963. [Google Scholar] [CrossRef]
- Delic, M.; Valli, M.; Graf, A.B.; Pfeffer, M.; Mattanovich, D.; Gasser, B. The secretory pathway: Exploring yeast diversity. FEMS Microbiol. Rev. 2013, 37, 872–914. [Google Scholar] [CrossRef]
- Ahmad, M.; Hirz, M.; Pichler, H.; Schwab, H. Protein expression in Pichia pastoris: Recent achievements and perspectives for heterologous protein production. Appl. Microbiol. Biotechnol. 2014, 98, 5301–5317. [Google Scholar] [CrossRef]
- Zahrl, R.J.; Prielhofer, R.; Ata, Ö.; Baumann, K.; Mattanovich, D.; Gasser, B. Pushing and pulling proteins into the yeast secretory pathway enhances recombinant protein secretion. Metab. Eng. 2022, 74, 36–48. [Google Scholar] [CrossRef]
- Puxbaum, V.; Mattanovich, D.; Gasser, B. Quo vadis? The challenges of recombinant protein folding and secretion in Pichia pastoris. Appl. Microbiol. Biotechnol. 2015, 99, 2925–2938. [Google Scholar] [CrossRef] [PubMed]
- Massahi, A.; Çalık, P. In-silico determination of Pichia pastoris signal peptides for extracellular recombinant protein production. J. Theor. Biol. 2015, 364, 179–188. [Google Scholar] [CrossRef] [PubMed]
- Nolan, T.; Hands, R.E.; Bustin, S.A. Quantification of mRNA using real-time RT-PCR. Nat. Protoc. 2006, 1, 1559–1582. [Google Scholar] [CrossRef] [PubMed]
- Li, D.; Wu, J.; Chen, J.; Zhang, D.; Zhang, Y.; Qiao, X.; Yu, X.; Zheng, Q.; Hou, J. Optimized expression of classical swine fever virus E2 protein via combined strategy in Pichia pastoris. Protein Expr. Purif. 2020, 167, 105527. [Google Scholar] [CrossRef] [PubMed]
- Li, D.; Zhang, B.; Li, S.; Zhou, J.; Cao, H.; Huang, Y.; Cui, Z. A novel vector for construction of markerless multicopy overexpression transformants in Pichia pastoris. Front. Microbiol. 2017, 8, 1698. [Google Scholar] [CrossRef] [PubMed]
- Cox, H.; Mead, D.; Sudbery, P.; Eland, R.M.; Mannazzu, I.; Evans, L. Constitutive expression of recombinant proteins in the methylotrophic yeast Hansenula polymorpha using the PMA1 promoter. Yeast 2000, 16, 1191–1203. [Google Scholar] [CrossRef] [PubMed]
- Massahi, A.; Çalık, P. Endogenous signal peptides in recombinant protein production by Pichia pastoris: From in-silico analysis to fermentation. J. Theor. Biol. 2016, 408, 22–33. [Google Scholar] [CrossRef]
- Besada-Lombana, P.B.; Da Silva, N.A. Engineering the early secretory pathway for increased protein secretion in Saccharomyces cerevisiae. Metab. Eng. 2019, 55, 142–151. [Google Scholar] [CrossRef]
- Donelan, W.; Li, S.; Dominguez-Gutierrez, P.R.; Anderson, I.V.A.; Yang, L.-J.; Nguyen, C.; Canales, B.K. Expression and secretion of glycosylated barley oxalate oxidase in Pichia pastoris. PLoS ONE 2023, 18, e0285556. [Google Scholar] [CrossRef]
- Chien, M.-L.; Yu, C.-F.; Huang, C.-T. Extracellular Production of the Taiwan-Native Norovirus P Domain Overexpressed in Pichia pastoris. Fermentation 2023, 9, 498. [Google Scholar] [CrossRef]
- Fitzgerald, I.; Glick, B.S. Secretion of a foreign protein from budding yeasts is enhanced by cotranslational translocation and by suppression of vacuolar targeting. Microb. Cell Fact. 2014, 13, 125. [Google Scholar] [CrossRef]
- Boisramé, A.; Kabani, M.; Beckerich, J.-M.; Hartmann, E.; Gaillardin, C. Interaction of Kar2p and Sls1p Is Required for Efficient Co-translational Translocation of Secreted Proteins in the Yeast Yarrowia lipolytica. J. Biol. Chem. 1998, 273, 30903–30908. [Google Scholar] [CrossRef]
- Celińska, E.; Nicaud, J.-M. Filamentous fungi-like secretory pathway strayed in a yeast system: Peculiarities of Yarrowia lipolytica secretory pathway underlying its extraordinary performance. Appl. Microbiol. Biotechnol. 2019, 103, 39–52. [Google Scholar] [CrossRef]
- He, F.; Yaver, D.; Beckerich, J.-M.; Ogrydziak, D.; Gaillardin, C. The yeast Yarrowia lipolytica has two, functional, signal recognition particle 7S RNA genes. Curr. Genet. 1990, 17, 289–292. [Google Scholar] [CrossRef] [PubMed]
- Lee, I.H.; Ogrydziak, D.M. Yarrowia lipolytica SRP54 homolog and translocation of Kar2p. Yeast 1997, 13, 499–513. [Google Scholar] [CrossRef]
- Stirling, C.J.; Hewitt, E.W. The S. cerevisiae SEC65 gene encodes a component of yeast signal recognition particle with homology to human SRP19. Nature 1992, 356, 534–537. [Google Scholar] [CrossRef]
- Ito, Y.; Terai, G.; Ishigami, M.; Hashiba, N.; Nakamura, Y.; Bamba, T.; Kumokita, R.; Hasunuma, T.; Asai, K.; Ishii, J. Exchange of endogenous and heterogeneous yeast terminators in Pichia pastoris to tune mRNA stability and gene expression. Nucleic Acids Res. 2020, 48, 13000–13012. [Google Scholar] [CrossRef] [PubMed]
- Vogl, T.; Sturmberger, L.; Kickenweiz, T.; Wasmayer, R.; Schmid, C.; Hatzl, A.-M.; Gerstmann, M.A.; Pitzer, J.; Wagner, M.; Thallinger, G.G. A toolbox of diverse promoters related to methanol utilization: Functionally verified parts for heterologous pathway expression in Pichia pastoris. ACS Synth. Biol. 2016, 5, 172–186. [Google Scholar] [CrossRef] [PubMed]
- Chartron, J.W.; Hunt, K.C.; Frydman, J. Cotranslational signal-independent SRP preloading during membrane targeting. Nature 2016, 536, 224–228. [Google Scholar] [CrossRef]
- Loya, A.; Pnueli, L.; Yosefzon, Y.; Wexler, Y.; Ziv-Ukelson, M.; Arava, Y. The 3′-UTR mediates the cellular localization of an mRNA encoding a short plasma membrane protein. RNA 2008, 14, 1352–1365. [Google Scholar] [CrossRef]
- Mogk, A.; Mayer, M.P.; Deuerling, E. Mechanisms of protein folding: Molecular chaperones and their application in biotechnology. Chembiochem 2002, 3, 807–814. [Google Scholar] [CrossRef] [PubMed]
- Delic, M.; Göngrich, R.; Mattanovich, D.; Gasser, B. Engineering of protein folding and secretion—Strategies to overcome bottlenecks for efficient production of recombinant proteins. Antioxid. Redox Signal. 2014, 21, 414–437. [Google Scholar] [CrossRef] [PubMed]
- Staudacher, J.; Rebnegger, C.; Dohnal, T.; Landes, N.; Mattanovich, D.; Gasser, B. Going beyond the limit: Increasing global translation activity leads to increased productivity of recombinant secreted proteins in Pichia pastoris. Metab. Eng. 2022, 70, 181–195. [Google Scholar] [CrossRef] [PubMed]
- de Ruijter, J.C.; Koskela, E.V.; Frey, A.D. Enhancing antibody folding and secretion by tailoring the Saccharomyces cerevisiae endoplasmic reticulum. Microb. Cell Fact. 2016, 15, 87. [Google Scholar] [CrossRef] [PubMed]
- Feizi, A.; Österlund, T.; Petranovic, D.; Bordel, S.; Nielsen, J. Genome-scale modeling of the protein secretory machinery in yeast. PLoS ONE 2013, 8, e63284. [Google Scholar] [CrossRef] [PubMed]
- Marx, H.; Mecklenbräuker, A.; Gasser, B.; Sauer, M.; Mattanovich, D. Directed gene copy number amplification in Pichia pastoris by vector integration into the ribosomal DNA locus. FEMS Yeast Res. 2009, 9, 1260–1270. [Google Scholar] [CrossRef] [PubMed]
- De Schutter, K.; Lin, Y.-C.; Tiels, P.; Van Hecke, A.; Glinka, S.; Weber-Lehmann, J.; Rouzé, P.; Van de Peer, Y.; Callewaert, N. Genome sequence of the recombinant protein production host Pichia pastoris. Nat. Biotechnol. 2009, 27, 561–566. [Google Scholar] [CrossRef] [PubMed]
- Prielhofer, R.; Maurer, M.; Klein, J.; Wenger, J.; Kiziak, C.; Gasser, B.; Mattanovich, D. Induction without methanol: Novel regulated promoters enable high-level expression in Pichia pastoris. Microb. Cell Fact. 2013, 12, 5. [Google Scholar] [CrossRef]
- Hartner, F.S.; Ruth, C.; Langenegger, D.; Johnson, S.N.; Hyka, P.; Lin-Cereghino, G.P.; Lin-Cereghino, J.; Kovar, K.; Cregg, J.M.; Glieder, A. Promoter library designed for fine-tuned gene expression in Pichia pastoris. Nucleic Acids Res. 2008, 36, e76. [Google Scholar] [CrossRef] [PubMed]
- Liu, W.; Jiang, H.; Zhou, J.; Yang, X.; Tang, Y.; Fang, D.; Jiang, L. Recombinant dengue virus-like particles from Pichia pastoris: Efficient production and immunological properties. Virus Genes 2010, 40, 53–59. [Google Scholar] [CrossRef] [PubMed]
- Cai, W.; Su, L.; Liao, Q.; Ye, L.; Wu, Y.; Wu, Z.; She, Y. Expression, purification and immunogenic characterization of hepatitis C virus recombinant E1E2 protein expressed by Pichia pastoris yeast. Antivir. Res. 2010, 88, 80–85. [Google Scholar] [CrossRef] [PubMed]










| Abbreviated Name | Full Name | Sequence | Plasmid Name | Yeast Strain Name | 
|---|---|---|---|---|
| α | α-factor | MRFPSIFTAVLFAASSALAAPVNTTTEDETAQIPAEAVIGYSDLEGDFDVAVLPFSNSTNNGLLFINTTIASIAAKEEGVSLEKR | pMCO- α-ES | 1-α-ES | 
| αd14 | α-factor Δ57-70 | MRFPSIFTAVLFAASSALAAPVNTTTEDETAQIPAEAVIGYSDLEGDFDVAVLPFSASIAAKEEGVSLEKR | pMCO- αd14-ES | 1-αd14-ES | 
| OP | pre-Ost1-pro-α-factor | MRQVWFSWIVGLFLCFFNVSSAAPVNTTTEDETAQIPAEAVIGYSDLEGDFDVAVLPFSNSTNNGLLFINTTIASIAAKEEGVSLEKR | pMCO- OP-ES | 1-OP-ES | 
| SP1 | nSB | MKLLSLTGVAGVLATCVAATPLVKR | pMCO- SP1-ES | 1-SP1-ES | 
| SP2 | 254570357 | MKLSTNLILAIAAASAVVSAAPVAPAEEAANHLHKR | pMCO- SP2-ES | 1-SP2-ES | 
| SP3 | 254565023 | MINLNSFLILTVTLLSPALALPKNVLEEQQAKDDLAKR | pMCO- SP3-ES | 1-SP3-ES | 
| SP4 | 254572688 | MKSQLIFMALASLVASAPLEHQQQHHKHEKR | pMCO- SP4-ES | 1-SP4-ES | 
| SP5 | 254570078 | MKISALTACAVTLAGLAIAAPAPKPEDCTTTVQKRHQHKR | pMCO- SP5-ES | 1-SP5-ES | 
| SP6 | 254573224 | MQLQYLAVLCALLLNVQSKNVVDFSRFGDAKISPDDTDLESRERKR | pMCO- SP6-ES | 1-SP6-ES | 
| cSP1 | pre-cSIG-pro-SP1 | MRSLLILVLCFLPLAALGKVATPLVKR | pMCO- cSP1-ES | 1-cSP1-ES | 
| cSP2 | pre-cSIG-pro-SP2 | MRSLLILVLCFLPLAALGKVAPVAPAEEAANHLHKR | pMCO- cSP2-ES | 1-cSP2-ES | 
| cSP3 | pre-cSIG-pro-SP3 | MRSLLILVLCFLPLAALGKVLPKNVLEEQQAKDDLAKR | pMCO- cSP3-ES | 1-cSP3-ES | 
| cSP4 | pre-cSIG-pro-SP4 | MRSLLILVLCFLPLAALGKVAPLEHQQQHHKHEKR | pMCO- cSP4-ES | 1-cSP4-ES | 
| cSP5 | pre-cSIG-pro-SP5 | MRSLLILVLCFLPLAALGKVAPAPKPEDCTTTVQKRHQHKR | pMCO- cSP5-ES | 1-cSP5-ES | 
| cSP6 | pre-cSIG-pro-SP6 | MRSLLILVLCFLPLAALGKVKNVVDFSRFGDAKISPDDTDLESRERKR | pMCO- cSP6-ES | 1-cSP6-ES | 
| Disclaimer/Publisher’s Note: The statements, opinions and data contained in all publications are solely those of the individual author(s) and contributor(s) and not of MDPI and/or the editor(s). MDPI and/or the editor(s) disclaim responsibility for any injury to people or property resulting from any ideas, methods, instructions or products referred to in the content. | 
© 2024 by the authors. Licensee MDPI, Basel, Switzerland. This article is an open access article distributed under the terms and conditions of the Creative Commons Attribution (CC BY) license (https://creativecommons.org/licenses/by/4.0/).
Share and Cite
Li, B.; Zheng, Y.; Zhao, S.; Zhang, Y.; Li, D. High-Level Secretory Production of Recombinant E2-Spy Antigen Protein via Combined Strategy in Pichia pastoris. Fermentation 2024, 10, 99. https://doi.org/10.3390/fermentation10020099
Li B, Zheng Y, Zhao S, Zhang Y, Li D. High-Level Secretory Production of Recombinant E2-Spy Antigen Protein via Combined Strategy in Pichia pastoris. Fermentation. 2024; 10(2):99. https://doi.org/10.3390/fermentation10020099
Chicago/Turabian StyleLi, Bingkun, Yiheng Zheng, Shida Zhao, Yaohan Zhang, and Ding Li. 2024. "High-Level Secretory Production of Recombinant E2-Spy Antigen Protein via Combined Strategy in Pichia pastoris" Fermentation 10, no. 2: 99. https://doi.org/10.3390/fermentation10020099
APA StyleLi, B., Zheng, Y., Zhao, S., Zhang, Y., & Li, D. (2024). High-Level Secretory Production of Recombinant E2-Spy Antigen Protein via Combined Strategy in Pichia pastoris. Fermentation, 10(2), 99. https://doi.org/10.3390/fermentation10020099
 
        

 
       