pH Responsive Hydrogels for the Delivery of Capecitabine: Development, Optimization and Pharmacokinetic Studies
Abstract
1. Introduction
2. Results and Discussion
2.1. CAP Loading
2.2. Swelling Behavior
2.3. Sol-Gel Fraction
2.4. FTIR Spectroscopy
2.5. Scanning Electron Microscopy
2.6. Thermal Analysis
2.7. XRD Analysis
2.8. Elemental Dispersive X-ray Spectroscopy
2.9. In-Vitro CAP Release Studies
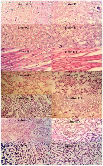
2.10. Toxicity Studies
2.11. In Vivo Pharmacokinetic Studies
3. Conclusions
4. Materials and Methods
4.1. Materials
4.2. Preparation of Fenugreek Seed Mucilage Powder
4.3. Synthesis of Chitosan/Fenugreek-g-poly (MAA) Hydrogels
4.4. Characterization
4.4.1. Loading of CAP
4.4.2. Quantification of CAP
4.4.3. In-Vitro Swelling Studies
4.4.4. Sol-Gel Fraction
4.4.5. Fourier-Transforms Infrared (FTIR) Spectroscopy
4.4.6. Scanning Electron Microscopy (SEM)
4.4.7. Differential Scanning Calorimeter (DSC)
4.4.8. Thermogravimetric Analysis (TGA)
4.4.9. Powder X-ray Diffraction (PXRD) Analysis
4.4.10. Elemental Dispersive X-ray Spectroscopy (EDX)
4.4.11. In-Vitro CAP Release
4.4.12. Kinetic Modeling on CAP Release Data
4.5. Acute Oral Toxicity Studies
4.6. Pharmacokinetics Study
Author Contributions
Funding
Institutional Review Board Statement
Informed Consent Statement
Data Availability Statement
Acknowledgments
Conflicts of Interest
References
- Kelly, C.; Bhuva, N.; Harrison, M.; Buckley, A.; Saunders, M. Use of raltitrexed as an alternative to 5-fluorouracil and CAP in cancer patients with cardiac history. Eur. J. Cancer 2013, 49, 2303–2310. [Google Scholar] [CrossRef]
- Wu, Q.; He, Z.; Wang, X.; Zhang, Q.; Wei, Q.; Ma, S.; Ma, C.; Li, J.; Wang, Q. Cascade enzymes within self-assembled hybrid nanogel mimicked neutrophil lysosomes for singlet oxygen elevated cancer therapy. Nat. Commun. 2019, 10, 240. [Google Scholar] [CrossRef]
- Fang, Y.; Tan, J.; Lim, S.; Soh, S. Rupturing cancer cells by the expansion of functionalized stimuli responsive hydrogels. NPG Asia Mater. 2018, 10, e465. [Google Scholar] [CrossRef]
- Li, J.; Mooney, D.J. Designing hydrogels for controlled drug delivery. Nat. Rev. Mater. 2016, 1, 16071. [Google Scholar] [CrossRef]
- Toh, W.S.; Loh, X.J. Advances in hydrogel delivery systems for tissue regeneration. Mater. Sci. Eng. C 2014, 45, 690–697. [Google Scholar] [CrossRef]
- Lu, Y.; Sturek, M.; Park, K. Microparticles produced by the hydrogel template method for sustained drug delivery. Int. J. Pharm. 2014, 461, 258–269. [Google Scholar] [CrossRef]
- Afshar, M.; Dini, G.; Vaezifar, S.; Mehdikhani, M.; Movahedi, B. Preparation and characterization of sodium alginate/polyvinyl alcohol hydrogel containing drug-loaded chitosan nanoparticles as a drug delivery system. J. Drug Deliv. Sci. Technol. 2020, 56, 101530. [Google Scholar] [CrossRef]
- Junior, C.R.; Fernandes, R.D.S.; de Moura, M.R.; Aouada, F.A. On the preparation and physicochemical properties of pH-responsive hydrogel nanocomposite based on poly (acid methacrylic)/laponite RDS. Mater. Today Commun. 2020, 23, 100936. [Google Scholar] [CrossRef]
- Sun, Y.; Cui, F.; Shi, K.; Wang, J.; Niu, M.; Ma, R. The effect of chitosan molecular weight on the characteristics of spray-dried methotrexate-loaded chitosan microspheres for nasal administration. Drug Dev. Ind. Pharm. 2009, 35, 379–386. [Google Scholar] [CrossRef]
- Al-Shammari, B.B.; Al-Ali, R.M.; Al-Sahi, A.A. Electrical, characterization and functional properties of extract gum (Tniqonella Foenumgraecum L.) from Fenugreek seeds. IOP Conf. Ser. Earth Environ. Sci. 2019, 388, 012060. [Google Scholar] [CrossRef]
- Ijaz, H.; Tulain, U.R.; Azam, F.; Qureshi, J. Thiolation of arabinoxylan and its application in the fabrication of pH-sensitive thiolated arabinoxylan grafted acrylic acid copolymer. Drug Dev. Ind. Pharm. 2019, 45, 754–766. [Google Scholar] [CrossRef] [PubMed]
- Batool, N.; Mahmood, A.; Sarfraz, R.M.; Ijaz, H.; Zafar, N.; Hussain, Z. Formulation and evaluation of interpenetrating polymeric network for controlled drug delivery. Drug Dev. Ind. Pharm. 2021, 47, 931–946. [Google Scholar] [CrossRef] [PubMed]
- Samanta, H.S.; Ray, S.K. Controlled release of tinidazole and theophylline from chitosan based composite hydrogels. Carbohydr. Polym. 2014, 106, 109–120. [Google Scholar] [CrossRef] [PubMed]
- Bartil, T.; Bounekhel, M.; Cedric, C.; Jeerome, R. Swelling behavior and release properties of pH-sensitive hydrogels based on methacrylic derivatives. Acta Pharm. 2007, 57, 301–314. [Google Scholar] [CrossRef]
- Malik, N.S.; Ahmad, M.; Minhas, M.U.; Tulain, R.; Barkat, K.; Khalid, I.; Khalid, Q. Chitosan/xanthan gum based hydrogels as potential carrier for an antiviral drug: Fabrication, characterization, and safety evaluation. Front. Chem. 2020, 8, 50. [Google Scholar] [CrossRef]
- Ganguly, S.; Maity, P.P.; Mondal, S.; Das, P.; Bhawal, P.; Dhara, S.; Das, N.C. Polysaccharide and poly (methacrylic acid) based biodegradable elastomeric biocompatible semi-IPN hydrogel for controlled drug delivery. Mater. Sci. Eng. C 2018, 92, 34–51. [Google Scholar] [CrossRef]
- Sampath, U.T.M.; Ching, Y.C.; Chuah, C.H.; Singh, R.; Lin, P.C. Preparation and characterization of nanocellulose reinforced semi-interpenetrating polymer network of chitosan hydrogel. Cellulose 2017, 24, 2215–2228. [Google Scholar] [CrossRef]
- Deng, Y.; Yang, X.; Zhang, X.; Cao, H.; Mao, L.; Yuan, M.; Liao, W. Novel fenugreek gum-cellulose composite hydrogel with wound healing synergism: Facile preparation, characterization and wound healing activity evaluation. Int. J. Biol. Macromol. 2020, 160, 1242–1251. [Google Scholar] [CrossRef]
- Chaves, L.L.; Silveri, A.; Vieira, A.C.; Ferreira, D.; Cristiano, M.C.; Paolino, D.; Marzio, L.D.; Lima, S.C.; Reis, S.; Sarmento, B.; et al. pH-responsive chitosan based hydrogels affect the release of dapsone: Design, setup, and physicochemical characterization. Int. J. Biol. Macromol. 2019, 133, 1268–1279. [Google Scholar] [CrossRef]
- Lino, M.E.; Ruela, A.L.; Trevisan, M.G.; Pereira, G.R. Influence of hydration and cross-linking in transdermal delivery of nicotine from chitosan-based gels by thermal analysis. J. Therm. Anal. Calorim. 2017, 130, 1455–1461. [Google Scholar] [CrossRef]
- Bal, T.; Swain, S. Microwave assisted synthesis of polyacrylamide grafted polymeric blend of fenugreek seed mucilage-Polyvinyl alcohol (FSM-PVA-g-PAM) and its characterizations as tissue engineered scaffold and as a drug delivery device. DARU J. Pharm. Sci. 2020, 28, 33–44. [Google Scholar] [CrossRef] [PubMed]
- Khan, S.; Ranjha, N.M. Effect of degree of cross-linking on swelling and on drug release of low viscous chitosan/poly (vinyl alcohol) hydrogels. Polym. Bull. 2014, 71, 2133–2158. [Google Scholar] [CrossRef]
- Abdullah, O.; Minhas, M.U.; Ahmad, M.; Ahmad, S.; Barkat, K.; Ahmad, A. Synthesis, optimization, and evaluation of polyvinyl alcohol-based hydrogels as controlled combinatorial drug delivery system for colon cancer. Adv. Polym. Technol. 2018, 37, 3348–3363. [Google Scholar] [CrossRef]
- Batool, N.; Sarfraz, R.M.; Mahmood, A.; Zaman, M.; Zafar, N.; Salawi, A.; Almoshari, Y.; Alshamrani, M. Orally Administered, Biodegradable and Biocompatible Hydroxypropyl–β–Cyclodextrin Grafted Poly (methacrylic acid) Hydrogel for pH Sensitive Sustained Anticancer Drug Delivery. Gels 2022, 8, 190. [Google Scholar] [CrossRef] [PubMed]
- Hassan, R.H.; Gad, H.A.; El-Din, S.B.; Shaker, D.S.; Ishak, R.A. Chitosan Nanoparticles for Intranasal Delivery of Olmesartan Medoxomil: Pharmacokinetic and Pharmacodynamic Perspectives. Int. J. Pharm. 2022, 628, 122278. [Google Scholar] [CrossRef]
- Olad, A.; Zebhi, H.; Salari, D.; Mirmohseni, A.; Reyhanitabar, A. A promising porous polymer-nanoclay hydrogel nanocomposite as water reservoir material: Synthesis and kinetic study. J. Porous Mater. 2018, 25, 665–675. [Google Scholar] [CrossRef]
- Che, Y.; Li, D.; Liu, Y.; Ma, Q.; Tan, Y.; Yue, Q.; Meng, F. Physically cross-linked pH-responsive chitosan-based hydrogels with enhanced mechanical performance for controlled drug delivery. RSC Adv. 2016, 6, 106035–106045. [Google Scholar] [CrossRef]
- Liang, Y.; Zhao, X.; Ma, P.X.; Guo, B.; Du, Y.; Han, X. pH-responsive injectable hydrogels with mucosal adhesiveness based on chitosan-grafteddihydrocaffeic acid and oxidized pullulan for localized drug delivery. J. Colloid Interface Sci. 2019, 536, 224–234. [Google Scholar] [CrossRef]
- Akalin, G.O.; Pulat, M. Preparation and characterization of κ-carrageenan hydrogel for controlled release of copper and manganese micronutrients. Polym. Bull. 2020, 77, 1359–1375. [Google Scholar] [CrossRef]
- Gomathi, A.C.; Rajarathinam, S.X.; Sadiq, A.M.; Rajeshkumar, S. Anticancer activity of silver nanoparticles synthesized using aqueous fruit shell extract of Tamarindus indica on MCF-7 human breast cancer cell line. J. Drug Deliv. Sci. Technol. 2020, 55, 101376. [Google Scholar] [CrossRef]
- Kanmaz, N.; Saloglu, D.; Hizal, J. Humic acid embedded chitosan/poly (vinyl alcohol) pH-sensitive hydrogel: Synthesis, characterization, swelling kinetic and diffusion coefficient. Chem. Eng. Commun. 2019, 206, 1168–1180. [Google Scholar] [CrossRef]
- Wang, Y.H.; Zhong, M.; Wang, L.; Liu, Y.L.; Wang, B.; Li, Y. Chelerythrine loaded composite magnetic thermosensitive hydrogels as a novel anticancer drug-delivery system. J. Drug Deliv. Sci. Technol. 2019, 54, 101293. [Google Scholar] [CrossRef]
- Farhadnejad, H.; Mortazavi, S.A.; Erfan, M.; Darbasizadeh, B.; Motasadizadeh, H.; Fatahi, Y. Facile preparation and characterization of pH sensitive Mt/CMC nanocomposite hydrogel beads for propranolol controlled release. Int. J. Biol. Macromol. 2018, 111, 696–705. [Google Scholar] [CrossRef]
- Zou, C.; Liu, Y.; Yan, X.; Qin, Y.; Wang, M.; Zhou, L. Synthesis of bridged β-cyclodextrin–polyethylene glycol and evaluation of its inhibition performance in oilfield waste water. Mater. Chem. Phys. 2014, 147, 521–527. [Google Scholar] [CrossRef]
- Pal, P.; Singh, S.K.; Mishra, S.; Pandey, J.P.; Sen, G. Gumghatti based hydrogel: Microwave synthesis, characterization, 5-Fluorouracil encapsulation and ‘in-vitro’ drug release evaluation. Carbohydr. Polym. 2019, 222, 114979. [Google Scholar] [CrossRef]
- Qu, J.; Zhao, X.; Ma, P.X.; Guo, B. Injectable antibacterial conductive hydrogels with dual response to an electric field and pH for localized “smart” drug release. Acta Biomater. 2018, 72, 55–69. [Google Scholar] [CrossRef]
- Saqib, M.; Ali Bhatti, A.S.; Ahmad, N.M.; Ahmed, N.; Shahnaz, G.; Lebaz, N.; Elaissari, A. Amphotericin B loaded polymeric nanoparticles for treatment of Leishmania infections. Nanomaterials 2020, 10, 1152. [Google Scholar] [CrossRef]
- Gong, C.Y.; Shi, S.; Dong, P.; Yang, W.B.; Qi, X.R.; Guo, G.; Gu, Y.C.; Zhao, X.; Wei, Y.Q.; Qian, Z.Y. Biodegradable in situ gel-forming controlled drug delivery system based on thermosensitive PCL-PEG-PCL hydrogel: Part 1-Synthesis, characterization, and acute toxicity evaluation. J. Pharm. Sci. 2009, 98, 4684–4694. [Google Scholar] [CrossRef]
- Mo, C.E.; Chai, M.H.; Zhang, L.P.; Ran, R.X.; Huang, Y.P.; Liu, Z.S. Floating molecularly imprinted polymers based on liquid crystalline and polyhedral oligomeric silsesquioxanes for CAP sustained release. Int. J. Pharm. 2019, 557, 293–303. [Google Scholar] [CrossRef]













| Materials | Elements | Weight % |
|---|---|---|
| CAP | C | 56.06 |
| N | 10.52 | |
| O | 29.54 | |
| F | 3.87 | |
| Unloaded chitosan/fenugreek-g-poly(MAA) hydrogels | C | 47.88 |
| N | 4.14 | |
| O | 47.99 | |
| Loaded chitosan/fenugreek-g-poly(MAA) hydrogels | C | 51.40 |
| N | 1.24 | |
| O | 38.04 | |
| F | 9.32 |
| Formulation | Zero Order | 1st Order | Higuchi | Korsmeyer-Peppas | |
|---|---|---|---|---|---|
| R2 | R2 | R2 | R2 | n | |
| CHF1 | 0.9847 | 0.9349 | 0.8149 | 0.9887 | 1.133 |
| CHF2 | 0.9821 | 0.9571 | 0.8849 | 0.9812 | 0.875 |
| CHF3 | 0.9746 | 0.9478 | 0.8928 | 0.9828 | 0.851 |
| CHF4 | 0.9772 | 0.9277 | 0.8118 | 0.9804 | 1.132 |
| CHF5 | 0.9852 | 0.9557 | 0.8690 | 0.9858 | 0.934 |
| CHF6 | 0.9813 | 0.9527 | 0.8832 | 0.9855 | 0.887 |
| CHF7 | 0.9903 | 0.9412 | 0.8439 | 0.9899 | 1.027 |
| CHF8 | 0.9789 | 0.9397 | 0.8748 | 0.9811 | 0.904 |
| CHF9 | 0.9700 | 0.9373 | 0.8910 | 0.9788 | 0.846 |
| CHF10 | 0.9843 | 0.9516 | 0.8746 | 0.9862 | 0.915 |
| CHF11 | 0.9936 | 0.9484 | 0.8359 | 0.9943 | 1.059 |
| CHF12 | 0.9884 | 0.9372 | 0.8014 | 0.9971 | 1.186 |
| Observations | Group A (Control) | Group B (Treated) |
|---|---|---|
| Signs of Illness | Not Observed | Not Observed |
| Body weight (Kg) | ||
| Pretreatment | 1.84 ± 0.03 | 1.96 ± 0.02 |
| Day 1 | 1.84 ± 0.02 | 1.96 ± 0.03 |
| Day 7 | 1.86 ± 0.04 | 1.97 ± 0.04 |
| Day 14 | 1.87 ± 0.05 | 2.02 ± 0.02 |
| Water intake (ml) | ||
| Pretreatment | 166.18 ± 1.14 | 179.15 ± 0.22 |
| Day 1 | 174.85 ± 1.14 | 186.22 ± 1.44 |
| Day 7 | 192.17 ± 3.21 | 200.43 ± 1.17 |
| Day 14 | 202.43 ± 3.53 | 205.2 ± 3.64 |
| Food intake (g) | ||
| Pretreatment | 72.25 ± 1.51 | 71.67 ± 1.08 |
| Day 1 | 73.45 ± 1.10 | 74.31 ± 1.17 |
| Day 7 | 75.31 ± 1.62 | 73.61 ± 1.43 |
| Day 14 | 77.55 ± 1.19 | 75.28 ± 1.02 |
| Dermal toxicity | Not seen | Not seen |
| Ocular toxicity | Absent | Absent |
| Mortality | Nil | Nil |
| Parameters | Group A (Control) | Group B (Treated) |
|---|---|---|
| Hemoglobin (g/dL) | 11.25 | 12.50 |
| pH | 7.13 ± 0.23 | 7.17 ± 0.22 |
| White blood cells (×109 L−1) | 5.4 ± 0.42 | 6.5 ± 0.45 |
| Red blood cells (×106/µL) | 4.94 ± 1.05 | 4.99 ± 1.35 |
| Platelets (×109 L−1) | 4.72 ± 0.15 | 4.68 ± 0.41 |
| Monocytes (%) | 3.63 ± 0.30 | 3.67 ± 0.49 |
| Neutrophils (%) | 51.33 ± 2.11 | 50.68 ± 2.12 |
| Lymphocytes (%) | 44.45 ± 3.55 | 43.21 ± 3.34 |
| Mean corpuscular volume (%) | 64.65 ± 2.23 | 66.14 ± 2.11 |
| Mean corpuscular hemoglobin (pg/cell) | 23.72 ± 0.56 | 24.65 ± 0.68 |
| Mean corpuscular hemoglobin conc. (%) | 32.51 ± 1.36 | 34.35 ± 1.12 |
| Biochemical Analysis | Group A (Control) | Group B (Treated) |
|---|---|---|
| ALT (IU/L) | 137.14 ± 1.31 | 145.35 ± 1.46 |
| AST (IU/L) | 37.60 ± 3.21 | 39.27 ± 2.46 |
| Urea (mmol/L) | 15.87 ± 0.31 | 17.40 ± 1.22 |
| Creatinine (mg/dL) | 1.21 ± 0.20 | 1.28 ± 0.31 |
| Uric acid (mg/dL) | 4.04 ± 1.24 | 3.64 ± 1.71 |
| Cholesterol (mg/dL) | 64.50 ± 2.32 | 62.23 ± 2.10 |
| Triglycerides (mg/dL) | 61.55 ± 2.45 | 59.35 ± 3.70 |
| Formulations | pK Parameters | |||||
|---|---|---|---|---|---|---|
| Cmax (µg/mL) | tmax (h) | t1/2 (h) | AUC0-∞ (µg h/mL) | Vd | MRT (h) | |
| CAP oral solution | 4.44 | 2 | 1.27 | 10.87 | 1.68 | 3.02 |
| Drug-loaded hydrogels | 3.64 | 3 | 13 | 42.88 | 4.62 | 16.09 |
| Code | Chitosan (g) | Fenugreek (g) | MAA (g) | MBA (g) | APS (g) |
|---|---|---|---|---|---|
| CHF1 | 1 | 0.3 | 15 | 0.18 | 0.15 |
| CHF2 | 2 | 0.3 | 15 | 0.18 | 0.15 |
| CHF3 | 3 | 0.3 | 15 | 0.18 | 0.15 |
| CHF4 | 1 | 0.5 | 15 | 0.18 | 0.15 |
| CHF5 | 1 | 0.7 | 15 | 0.18 | 0.15 |
| CHF6 | 1 | 0.9 | 15 | 0.18 | 0.15 |
| CHF7 | 1 | 0.3 | 20 | 0.18 | 0.15 |
| CHF8 | 1 | 0.3 | 25 | 0.18 | 0.15 |
| CHF9 | 1 | 0.3 | 30 | 0.18 | 0.15 |
| CHF10 | 1 | 0.3 | 15 | 0.2 | 0.15 |
| CHF11 | 1 | 0.3 | 15 | 0.22 | 0.15 |
| CHF12 | 1 | 0.3 | 15 | 0.24 | 0.15 |
Publisher’s Note: MDPI stays neutral with regard to jurisdictional claims in published maps and institutional affiliations. |
© 2022 by the authors. Licensee MDPI, Basel, Switzerland. This article is an open access article distributed under the terms and conditions of the Creative Commons Attribution (CC BY) license (https://creativecommons.org/licenses/by/4.0/).
Share and Cite
Rehman, U.; Sarfraz, R.M.; Mahmood, A.; Akbar, S.; E. Altyar, A.; Khinkar, R.M.; Gad, H.A. pH Responsive Hydrogels for the Delivery of Capecitabine: Development, Optimization and Pharmacokinetic Studies. Gels 2022, 8, 775. https://doi.org/10.3390/gels8120775
Rehman U, Sarfraz RM, Mahmood A, Akbar S, E. Altyar A, Khinkar RM, Gad HA. pH Responsive Hydrogels for the Delivery of Capecitabine: Development, Optimization and Pharmacokinetic Studies. Gels. 2022; 8(12):775. https://doi.org/10.3390/gels8120775
Chicago/Turabian StyleRehman, Umaira, Rai Muhammad Sarfraz, Asif Mahmood, Shehla Akbar, Ahmed E. Altyar, Roaa M. Khinkar, and Heba A. Gad. 2022. "pH Responsive Hydrogels for the Delivery of Capecitabine: Development, Optimization and Pharmacokinetic Studies" Gels 8, no. 12: 775. https://doi.org/10.3390/gels8120775
APA StyleRehman, U., Sarfraz, R. M., Mahmood, A., Akbar, S., E. Altyar, A., Khinkar, R. M., & Gad, H. A. (2022). pH Responsive Hydrogels for the Delivery of Capecitabine: Development, Optimization and Pharmacokinetic Studies. Gels, 8(12), 775. https://doi.org/10.3390/gels8120775

