A Novel Medium for Isolating Two Japanese Species in the Fusarium graminearum Species Complex and a Dipstick DNA Chromatography Assay for Species Identification and Trichothecene Typing
Abstract
1. Introduction
2. Materials and Methods
2.1. Media
2.2. Strains and Growth Test
2.3. Fungal Isolation from Plant Source
2.4. DNA Extraction
2.5. Primer Design and Multiplex PCR Conditions
2.6. Dipstick DNA Chromatography Assay
3. Results
3.1. Development of the FG21 Medium
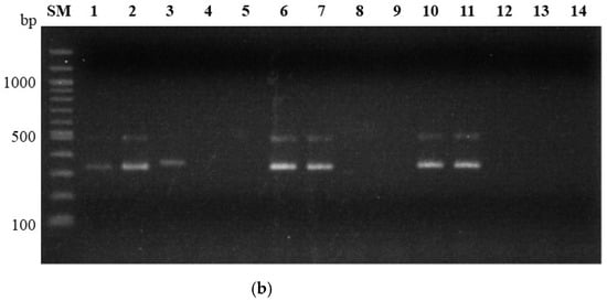
3.2. Development of the Dipstick DNA Chromatography Assay
3.3. Practical Use of the FG21 Medium and the Dipstick DNA Chromatography Assay
4. Discussion
5. Patents
Supplementary Materials
Author Contributions
Funding
Institutional Review Board Statement
Informed Consent Statement
Data Availability Statement
Acknowledgments
Conflicts of Interest
References
- Johnson, D.D.; Flaskerud, G.K.; Taylor, R.D.; Satyanarayana, V. Quantifying economic impacts of Fusarium head blight in wheat. In Fusarium Head Blight of Wheat and Barley; Leonard, K.J., Bushnell, W.R., Eds.; The American Phytopathological Society Press: St. Paul, MN, USA, 2003; pp. 461–483. [Google Scholar]
- O’Donnell, K.; Ward, T.J.; Geiser, D.M.; Kistler, H.C.; Aoki, T. Genealogical concordance between the mating type locus and seven other nuclear genes supports formal recognition of nine phylogenetically distinct species within the Fusarium graminearum clade. Fungal Genet. Biol. 2004, 41, 600–623. [Google Scholar] [CrossRef] [PubMed]
- Starkey, D.E.; Ward, T.J.; Aoki, T.; Gale, L.R.; Kistler, H.C.; Geiser, D.M.; Suga, H.; Tóth, B.; Varga, J.; O’Donnell, K. Global molecular surveillance reveals novel Fusarium head blight species and trichothecene toxin diversity. Fungal Genet. Biol. 2007, 44, 1191–1204. [Google Scholar] [CrossRef] [PubMed]
- O’Donnell, K.; Ward, T.J.; Aberra, D.; Kistler, H.C.; Aoki, T.; Orwig, N.; Kimura, M.; Bjørnstad, A.; Klemsdal, S.S. Multilocus genotyping and molecular phylogenetics resolve a novel head blight pathogen within the Fusarium graminearum species complex from Ethiopia. Fungal Genet. Biol. 2008, 45, 1514–1522. [Google Scholar] [CrossRef] [PubMed]
- Yli-Mattila, T.; Gagkaeva, T.; Ward, T.J.; Aoki, T.; Kistler, H.C.; O’Donnell, K. A novel Asian clade within the Fusarium graminearum species complex includes a newly discovered cereal head blight pathogen from the Russian Far East. Mycologia 2009, 101, 841–852. [Google Scholar] [CrossRef] [PubMed]
- Sarver, B.A.J.; Ward, T.J.; Gale, L.R.; Broz, K.; Kistler, H.C.; Aoki, T.; Nicholson, P.; Carter, J.; O’Donnell, K. Novel Fusarium head blight pathogens from Nepal and Louisiana revealed by multilocus genealogical concordance. Fungal Genet. Biol. 2011, 48, 1096–1107. [Google Scholar] [CrossRef]
- Boutigny, A.-L.; Ward, T.J.; Van Coller, G.J.; Flett, B.; Lamprecht, S.C.; O’Donnell, K.; Viljoen, A. Analysis of the Fusarium graminearum species complex from wheat, barley and maize in South Africa provides evidence of species-specific differences in host preference. Fungal Genet. Biol. 2011, 48, 914–920. [Google Scholar] [CrossRef]
- Lee, J.; Chang, I.Y.; Kim, H.; Yun, S.H.; Leslie, J.F.; Lee, Y.W. Genetic diversity and fitness of Fusarium graminearum populations from rice in Korea. Appl. Environ. Microbiol. 2009, 75, 3289–3295. [Google Scholar] [CrossRef]
- Suga, H.; Karugia, G.W.; Ward, T.; Gale, L.R.; Tomimura, K.; Nakajima, T.; Miyasaka, A.; Koizumi, S.; Kageyama, K.; Hyakumachi, M. Molecular characterization of the Fusarium graminearum species complex in Japan. Phytopathology 2008, 98, 159–166. [Google Scholar] [CrossRef]
- Feinberg, B.; McLaughlin, C.S. Biochemical mechanism of action of trichothecene mycotoxins. In Trichothecene Mycotoxicoses: Pathophysiologic Effects; Beasley, V.R., Ed.; CRC Press: Boca Raton, FL, USA, 1989; Volume 1, pp. 27–35. [Google Scholar]
- Gale, L.R.; Harrison, S.A.; Ward, T.J.; O’Donnell, K.; Milus, E.A.; Gale, S.W.; Kistler, H.C. Nivalenol-type populations of Fusarium graminearum and F. asiaticum are prevalent on wheat in southern Louisiana. Phytopathology 2011, 101, 124–134. [Google Scholar] [CrossRef]
- Ward, T.; Clear, R.; Rooney, A.; O’Donnell, K.; Gaba, D.; Patrick, S.; Starkey, D.; Gilbert, J.; Geiser, D.; Nowicki, T. An adaptive evolutionary shift in Fusarium head blight pathogen populations is driving the rapid spread of more toxigenic Fusarium graminearum in North America. Fungal Genet. Biol. 2008, 45, 473–484. [Google Scholar] [CrossRef]
- Suzuki, F.; Koba, A.; Nakajima, T. Simultaneous identification of species and trichothecene chemotypes of Fusarium asiaticum and F. graminearum sensu stricto by multiplex PCR. J. Gen. Plant Pathol. 2010, 76, 31–36. [Google Scholar] [CrossRef]
- Hayashi, M.; Natori, T.; Kubota-Hayashi, S.; Miyata, M.; Ohkusu, K.; Kawamoto, K.; Kurazono, H.; Makino, S.; Ezaki, T. A new protocol to detect multiple foodborne pathogens with PCR dipstick DNA chromatography after a six-hour enrichment culture in a broad-range food pathogen enrichment broth. BioMed Res. Int. 2013, 2013, 295050. [Google Scholar] [CrossRef] [PubMed]
- Nagai, S.; Miyamoto, S.; Ino, K.; Tajimi, S.; Nishi, H.; Tomono, J. Easy detection of multiple Alexandrium species using DNA chromatography chip. Harmful Algae 2016, 51, 97–106. [Google Scholar] [CrossRef] [PubMed]
- Komada, H. Development of a selective medium for quantitative isolation of Fusarium oxysporum from natural soil. Rev. Plant Prot. Res. 1975, 8, 114–125. [Google Scholar]
- Nishimura, N. Selective media for Fusarium oxysporum. J. Gen. Plant Pathol. 2007, 73, 342–348. [Google Scholar] [CrossRef]
- Edel-Hermann, V.; Gautheron, N.; Mounier, A.; Steinberg, C. Fusarium diversity in soil using a specific molecular approach and a cultural approach. J. Microbiol. Methods 2015, 111, 64–71. [Google Scholar] [CrossRef]
- Rodríguez-Molina, M.C.; Tello-Marquina, J.C.; Torres-Vila, L.M.; Bielza-Lino, P. Micro-scale systematic sampling of soil: Heterogeneity in populations of Fusarium oxysporum, F. solani, F. roseum and F. moniliforme. J. Phytopathol. 2000, 148, 609–614. [Google Scholar] [CrossRef]
- Togawa, M. Selective medium for isolation of Fusarium graminearum. Soil Microorg. 1994, 44, 77–88. [Google Scholar]
- Souma, J.; Kozawa, T. Chemical control of Fusarium head blight in wheat in Hokkaido. Mycotoxins 2006, 56, 25–30. [Google Scholar] [CrossRef]
- White, T.J.; Bruns, T.; Lee, S.; Taylor, J.W. Amplification and direct sequencing of fungal ribosomal RNA genes for phylogenetics. In PCR Protocols: A Guide to Methods and Applications; Innis, M.A., Gelfand, D.H., Sninsky, J.J., White, T.J., Eds.; Academic Press Inc.: New York, NY, USA, 1990; pp. 315–322. [Google Scholar]
- Ward, T.J.; Bielawski, J.P.; Kistler, H.C.; Sullivan, E.; O’Donnell, K. Ancestral polymorphism and adaptive evolution in the trichothecene mycotoxin gene cluster of phytopathogenic Fusarium. Proc. Natl. Acad. Sci. USA 2002, 99, 9278–9283. [Google Scholar] [CrossRef] [PubMed]
- Suga, H.; Kitajima, M.; Nagumo, R.; Tsukiboshi, T.; Uegaki, R.; Nakajima, T.; Kushiro, M.; Nakagawa, H.; Shimizu, M.; Kageyama, K.; et al. A single nucleotide polymorphism in the translation elongation factor 1α gene correlates with the ability to produce fumonisin in Japanese Fusarium fujikuroi. Fungal Biol. 2014, 118, 402–412. [Google Scholar] [CrossRef] [PubMed]
- Suga, H.; Arai, M.; Fukasawa, E.; Motohashi, K.; Nakagawa, H.; Tateishi, H.; Fuji, S.-I.; Shimizu, M.; Kageyama, K.; Hyakumachi, M. Genetic differentiation associated with fumonisin and gibberellin production in Japanese Fusarium fujikuroi. Appl. Environ. Microbiol. 2019, 85, e02414-18. [Google Scholar] [CrossRef] [PubMed]
- Walkowiak, S.; Rowland, O.; Rodrigue, N.; Subramaniam, R. Whole genome sequencing and comparative genomics of closely related Fusarium head blight fungi: Fusarium graminearum, F. meridionale and F. asiaticum. BMC Genom. 2016, 17, 1014. [Google Scholar] [CrossRef] [PubMed]
- Van der Lee, T.; Zhang, H.; van Diepeningen, A.; Waalwijk, C. Biogeography of Fusarium graminearum species complex and chemotypes: A review. Food Addit. Contam. Part A Chem. Anal. Control Expo. Risk Assess. 2015, 32, 453–460. [Google Scholar] [CrossRef]
- De Nijs, M.; Larsen, J.S.; Gams, W.; Rombouts, F.M.; Wernars, K.; Thrane, U.; Notermans, S.H.W. Variations in random amplified polymorphic DNA patterns and secondary metabolite profiles within Fusarium species from cereals from various parts of the Netherlands. Food Microbiol. 1997, 14, 449–457. [Google Scholar] [CrossRef]
- Waalwijk, C.; Kastelein, P.; De Vries, I.; Kerényi, Z.; van der Lee, T.; Hesselink, T.; Köhl, J.; Kema, G. Major change in Fusarium spp. in wheat in the Netherlands. Eur. J. Plant Pathol. 2003, 109, 743–754. [Google Scholar] [CrossRef]
- Zhang, H.; van der Lee, T.; Waalwijk, C.; Chen, W.; Xu, J.; Xu, J.; Zhang, Y.; Feng, J. Population analysis of the Fusarium graminearum species complex from wheat in China show a shift to more aggressive isolates. PLoS ONE 2012, 7, e31722. [Google Scholar]
- Jennings, P.; Coates, M.E.; Walsh, J.A.; Nicholson, P. Determination of deoxynivalenol- and nivalenol-producing chemotypes of Fusarium graminearum isolates from wheat crops in England and Wales. Plant Pathol. 2004, 53, 643–652. [Google Scholar] [CrossRef]
- Niessen, L.; Vogel, R.F. Detection of Fusarium graminearum DNA using a loop-mediated isothermal amplification (LAMP) assay. Int. J. Food Microbiol. 2010, 140, 183–191. [Google Scholar] [CrossRef]
- Knoll, S.; Vogel, R.F.; Niessen, L. Identification of Fusarium graminearum in cereal samples by DNA detection test stripsTM. Lett. Appl. Microbiol. 2002, 34, 144–148. [Google Scholar] [CrossRef]
- Cuomo, C.A.; Guldener, U.; Xu, J.-R.; Trail, F.; Turgeon, B.G.; Di Pietro, A.; Walton, J.D.; Ma, L.-J.; Baker, S.E.; Rep, M.; et al. The Fusarium graminearum genome reveals a link between localized polymorphism and pathogen specialization. Science 2007, 317, 1400–1402. [Google Scholar] [CrossRef] [PubMed]
- Kelly, A.C.; Ward, T.J. Population genomics of Fusarium graminearum reveals signatures of divergent evolution within a major cereal pathogen. PLoS ONE 2018, 13, e0194616. [Google Scholar] [CrossRef] [PubMed]
- Kulik, T.; Molcan, T.; Fiedorowicz, G.; van Diepeningen, A.; Stakheev, A.; Treder, K.; Olszewski, J.; Bilska, K.; Beyer, M.; Pasquali, M.; et al. Whole-genome single nucleotide polymorphism analysis for typing the pandemic pathogen Fusarium graminearum sensu stricto. Front. Microbiol. 2022, 13, 885978. [Google Scholar] [CrossRef] [PubMed]






| Species | Strain a | Application | Trichothecene Type b | Reference |
|---|---|---|---|---|
| Fusarium graminearum sensu stricto | Fg0101020 | FG21 medium, Multiplex PCR, dipstick DNA chromatography assay | 3ADON | [9] |
| Fg0201201 | FG21 medium, Multiplex PCR, dipstick DNA chromatography assay | 15ADON | [9] | |
| Fusarium asiaticum | Fa0244004 | FG21 medium, Multiplex PCR, dipstick DNA chromatography assay | 3ADON | [9] |
| Fa0239005 | FG21 medium, Multiplex PCR, dipstick DNA chromatography assay | NIV | [9] | |
| Fa0343747 | FG21 medium, Multiplex PCR, dipstick DNA chromatography assay | 15ADON | [9] | |
| Fusarium vorosii | Fv0301112 c | FG21 medium, Multiplex PCR, dipstick DNA chromatography assay | 15ADON | [3,9] |
| Fv0301831 d | FG21 medium | |||
| Fusarium acaciae-mearnsii | NRRL26755 | Multiplex PCR | NIV * | |
| NRRL34207 | Multiplex PCR | NIV * | ||
| Fusarium boothii | NRRL26916 | Multiplex PCR | 15ADON | [23] |
| NRRL29105 | Multiplex PCR | 15ADON | [23] | |
| Fusarium meridonale | NRRL29010 | Multiplex PCR | NIV | [23] |
| NRRL28721 | Multiplex PCR | NIV | [23] | |
| Fusarium cerealis | NRRL25805 | FG21 medium | ||
| Fusarium culmorum | MAFF101144 | FG21 medium | ||
| NRRL3288 | FG21 medium, Multiplex PCR | 3ADON | [23] | |
| NRRL25475 | Multiplex PCR | 3ADON | [23] | |
| Fusarium fujikuroi | Gfc0801001 | FG21 medium | [24,25] | |
| Gfc0825009 | FG21 medium | [24,25] | ||
| Fusarium lunulosporum | NRRL13393 | Multiplex PCR | NIV | [23] |
| Fusarium poae | MAFF236500 | FG21 medium | ||
| MAFF236648 | FG21 medium | |||
| Fusarium pseudograminearum | NRRL28062 | Multiplex PCR | 3ADON | [23] |
| NRRL28334 | Multiplex PCR | 3ADON * | ||
| Fusarium sporotrichioides | MAFF236638 | FG21 medium | ||
| MAFF236639 | FG21 medium | |||
| Microdochium nivale | MAFF235834 | FG21 medium | ||
| MAFF236681 | FG21 medium | |||
| Fusarium sp. e | F1904008 | FG21 medium | ||
| Pestalotiopsis sp. e | P1904014 | FG21 medium | ||
| Alternaria sp. e | A1904015 | FG21 medium | ||
| Epicoccum sp. e | E1904019 | FG21 medium |
| Application | Primer | 5′- -3′ | Target Gene | Function | Expected Amplification Size (bp) | Reference |
|---|---|---|---|---|---|---|
| Multiplex PCR for trichothecene typing | 3CON | Biotin-TGGCAAAGACTGGTTCAC | Tri3 | Reverse for all three trichothecene types | [3] | |
| 3D15A | TagX-ACTGACCCAAGCTGCCATC | Tri3 | 15-acetyl deoxynivalenol (15ADON) type specific forward | 610 | [3] | |
| 3D3A | TagY-CGCATTGGCTAACACATG | Tri3 | 3-acetyl deoxynivalenol (3ADON) type specific forward | 243 | [3] | |
| 3NA | TagZ-GTGCACAGAATATACGAGC | Tri3 | Nivalenol (NIV) type specific forward | 840 | [3] | |
| Multiplex PCR for species identification | HS974 | TagV-GCTGGCATGGTTGATATGGG | APS1 | Fusarium asiaticum specific forward | 332 | |
| HS1035 | Biotin-GTGGGCCCGTACATGTTGA | APS1 | F. asiaticum specific reverse | |||
| HS976 | TagW-CAAGTCAAGTCTTCCACCGT | FGSG_17538 | Fusarium graminearum sensu stricto specific forward | 317 | ||
| HS1039 | Biotin-GCACCCAGGCCATATTCAGT | FGSG_17538 | F. graminearum sensu stricto specific reverse |
Publisher’s Note: MDPI stays neutral with regard to jurisdictional claims in published maps and institutional affiliations. |
© 2022 by the authors. Licensee MDPI, Basel, Switzerland. This article is an open access article distributed under the terms and conditions of the Creative Commons Attribution (CC BY) license (https://creativecommons.org/licenses/by/4.0/).
Share and Cite
Suga, H.; Hayashi, M.; Kushiro, M.; Miyano, N.; Inoue, H.; Nakajima, K.; Kawakami, T.; Tonooka, T.; Nakajima, T.; Shimizu, M.; et al. A Novel Medium for Isolating Two Japanese Species in the Fusarium graminearum Species Complex and a Dipstick DNA Chromatography Assay for Species Identification and Trichothecene Typing. J. Fungi 2022, 8, 1048. https://doi.org/10.3390/jof8101048
Suga H, Hayashi M, Kushiro M, Miyano N, Inoue H, Nakajima K, Kawakami T, Tonooka T, Nakajima T, Shimizu M, et al. A Novel Medium for Isolating Two Japanese Species in the Fusarium graminearum Species Complex and a Dipstick DNA Chromatography Assay for Species Identification and Trichothecene Typing. Journal of Fungi. 2022; 8(10):1048. https://doi.org/10.3390/jof8101048
Chicago/Turabian StyleSuga, Haruhisa, Masahiro Hayashi, Masayo Kushiro, Norichika Miyano, Hiroyoshi Inoue, Kaori Nakajima, Taku Kawakami, Takuji Tonooka, Takashi Nakajima, Masafumi Shimizu, and et al. 2022. "A Novel Medium for Isolating Two Japanese Species in the Fusarium graminearum Species Complex and a Dipstick DNA Chromatography Assay for Species Identification and Trichothecene Typing" Journal of Fungi 8, no. 10: 1048. https://doi.org/10.3390/jof8101048
APA StyleSuga, H., Hayashi, M., Kushiro, M., Miyano, N., Inoue, H., Nakajima, K., Kawakami, T., Tonooka, T., Nakajima, T., Shimizu, M., & Kageyama, K. (2022). A Novel Medium for Isolating Two Japanese Species in the Fusarium graminearum Species Complex and a Dipstick DNA Chromatography Assay for Species Identification and Trichothecene Typing. Journal of Fungi, 8(10), 1048. https://doi.org/10.3390/jof8101048

