The Association of Chronic Pulmonary Aspergillosis and Chronic Pulmonary Histoplasmosis with MDR-TB Patients in Indonesia
Abstract
1. Introduction
2. Materials and Methods
- Study design
- Subjects
- Rapid Molecular Test for Mycobacterium Tuberculosis
- M-GIT
- Histoplasma antibody detection
- Aspergillus ICT IgG-IgM
- Diagnosis of CPA and CPH
- Statistical analysis
3. Results
4. Discussion
5. Conclusions
Author Contributions
Funding
Institutional Review Board Statement
Informed Consent Statement
Data Availability Statement
Acknowledgments
Conflicts of Interest
References
- WHO. Global Tuberculosis Report 2022. Geneva: World Health Organization. 2022. Available online: https://www.who.int/teams/global-tuberculosis-programme/tb-reports/global-tuberculosis-report-2022 (accessed on 23 November 2023).
- WHO. Global Tuberkulosis Report 2021; World Health Organization: Geneva, Switzerland, 2021; Available online: https://www.who.int/publications/i/item/9789240037021 (accessed on 23 November 2023).
- Adytia, H.; Destra, E.; Kinantya, N.F. Program intervensi dalam upaya penurunan kasus baru tuberkulosis paru di wilayah kerja Puskesmas Teluknaga. J. Med. Hutama. 2020, 2, 402–406. [Google Scholar]
- Kementrian Kesehatan Republik Indonesia Direktorat Jenderal Pencegahan dan Pengendalian Penyakit Kementerian Kesehatan Republik Indonesia. Petunjuk Teknis Penatalaksanaan Tuberkulosis Resistan Obat di Indonesia; Kementrian Kesehatan Republik Indonesia: Jakarta, Indonesia, 2020; pp. 6–7. Available online: https://tbindonesia.or.id/pustaka_tbc/petunjuk-teknis-penatalaksanaan-tuberkulosis-resistan-obat-di-indonesia/ (accessed on 23 November 2023).
- WHO. WHO Consolidated Guidelines on Tuberculosis. Module 5: Management of Tuberculosis in Children and Adolescents; World Health Organization: Geneva, Switzerland, 2022; Available online: https://www.who.int/publications/i/item/9789240046764 (accessed on 23 November 2023).
- Tiberi, S.; Zumla, A.; Migliori, G.B. Multidrug and extensively drug-resistant tuberculosis: Epidemiology, clinical features, management and treatment. Infect. Dis. Clin. 2019, 33, 1063–1085. [Google Scholar]
- Wheat, L.; Wass, J.; Norton, J.; Kohler, R.; French, M. Cavitary histoplasmosis occurring during two large urban outbreaks. Analysis of clinical, epidemiologic, roentgenographic, and laboratory features. Medicine 1984, 63, 201–209. [Google Scholar] [CrossRef] [PubMed]
- Brown, G.D.; Denning, D.W.; Gow, N.A.R.; Levitz, S.M.; Netea, M.G.; White, T.C. Hidden killers: Human fungal infections. Sci. Transl. Med. 2012, 4, 165rv13. [Google Scholar] [CrossRef] [PubMed]
- Patterson, T.F.; Thompson, G.R., 3rd; Denning, D.W.; Fishman, J.A.; Hadley, S.; Herbrecht, R.; Kontoyiannis, D.P.; Marr, K.A.; Morrison, V.A.; Nguyen, M.H.; et al. Practice guidelines for the diagnosis and management of aspergillosis: 2016 update by the infectious diseases society of America. Clin. Infect. Dis. 2016, 63, e1–e60. [Google Scholar] [CrossRef] [PubMed]
- Ocansey, B.K.; Otoo, B.; Adjei, A.; Gbadamosi, H.; Kotey, F.C.N.; Kosmidis, C.; Afriyie-Mensah, J.S.; Denning, D.W.; Opintan, J.A. Chronic pulmonary aspergillosis is common among patients with presumed tuberculosis relapse in Ghana. Med. Mycol. 2022, 60, myac063. [Google Scholar] [CrossRef] [PubMed]
- Setianingrum, F.; Rozaliyani, A.; Adawiyah, R.; Syam, R.; Tugiran, M.; Sari, C.Y.I.; Nandipinto, F.; Ramnath, J.; Arifin, A.R.; Handayani, D.; et al. A prospective longitudinal study of chronic pulmonary aspergillosis in pulmonary tuberculosis in Indonesia (APICAL). Thorax 2021, 77, 821–828. [Google Scholar] [CrossRef] [PubMed]
- Baker, J.; Setianingrum, F.; Wahyuningsih, R.; Denning, D.W. Mapping histoplasmosis in South East Asia–implications for diagnosis in AIDS. Emerg. Microbes Infect. 2019, 8, 1139–1145. [Google Scholar] [CrossRef] [PubMed]
- Tanjung, A. Prevalensi histoplasmosis pada mahasiswa USU dan hubungan dengan hewan peliharaan. Berkala Ilmu Kedokteran 1997, 29, 139–144. [Google Scholar]
- Furcolow, M.; Brasher, C. Chronic progressive (cavitary) histoplasmosis as a problem in tuberculosis sanatoriums. Am. Rev. Tuberc. Pulm. Dis. 1956, 73, 609–619. [Google Scholar]
- Bollela, V.R.; Puga, F.G.; Moya, M.J.; Andrea, M.; Oliveira, M.L. A decade trend of multidrug resistant tuberculosis in in São Paulo State, Brazil. Rev. Inst. Med. Trop. Sao Paulo 2016, 58, 77. [Google Scholar] [CrossRef] [PubMed]
- Khairunnisa, S.; Soeroso, N.N.; Abdullah, M.; Siahaan, L.; Eyanoer, P.C.; Daulay, E.R.; Wahyuningsih, R.; Denning, D.W. Factors influencing histoplasmosis incidencein multidrug-resistant pulmonary tuberculosis patients: A cross-sectional study in Indonesia. Narra J. 2023, 3, e403. [Google Scholar] [CrossRef] [PubMed]
- Singh, S.K.; Tiwari, K.K. Clinicoradiological profile of lower lung field tuberculosis cases among young adult and elderly people in a Teaching Hospital of Madhya Pradesh, India. J. Trop. Med. 2015, 2015, 230720. [Google Scholar] [CrossRef] [PubMed]
- Migliori, G.B.; Tiberi, S.; Zumla, A.; Petersen, E.; Chakaya, J.M.; Wejse, C.; Muñoz Torrico, M.; Duarte, R.; Alffenaar, J.W.; Schaaf, H.S.; et al. MDR/XDR-TB management of patients and contacts: Challenges facing the new decade. The 2020 clinical update by the Global Tuberculosis Network. Int. J. Infect. Dis. 2020, 92, S15–S25. [Google Scholar] [CrossRef] [PubMed]
- Saeed, M.; Iram, S.; Hussain, S.; Ahmed, A.; Akbar, M.; Aslam, M. GeneXpert: A new tool for the rapid detection of rifampicin resistance in mycobacterium tuberculosis. J. Pak. Med. Assoc. 2017, 67, 270–274. [Google Scholar] [CrossRef] [PubMed]
- Denning, D.W.; Page, I.D.; Chakaya, J.; Jabeen, K.; Jude, C.M.; Cornet, M.; Alastruey-Izquierdo, A.; Bongomin, F.; Bowyer, P.; Chakrabarti, A.; et al. Case definition of chronic pulmonary aspergillosis in resource-constrained settings. Emerg. Infect. Dis. 2018, 24, e171312. [Google Scholar] [CrossRef] [PubMed]
- Baker, J.; Kosmidis, C.; Rozaliyani, A.; Wahyuningsih, R.; Denning, D.W. Chronic pulmonary histoplasmosis-a scoping literature review. Open Forum Infect. Dis. 2020, 7, ofaa119. [Google Scholar] [CrossRef]
- Schwarz, J.; Baum, G.; Straub, M. Cavitary histoplasmosis complicated by fungus ball. Am. J. Med. 1961, 31, 692–700. [Google Scholar] [CrossRef]
- Fayos, M.; Silva, J.T.; López-Medrano, F.; Aguado, J.M. Non-tuberculous Mycobacteria and aspergillus lung co-infection: Systematic review. J. Clin. Med. 2022, 11, 5619. [Google Scholar] [CrossRef]
- Kumar, A.A.; Shantha, G.P.S.; Jeyachandran, V.; Rajkumar, K.; Natesan, S.; Srinivasan, D.; Joseph, L.D.; Sundaresan, M.; Rajamanickam, D. Multidrug resistant tuberculosis co-existing with aspergilloma and invasive aspergillosis in a 50 year old diabetic woman: A case report. Cases J. 2008, 1, 2–5. [Google Scholar] [CrossRef]
- Linder, K.A.; Kauffman, C.A. Histoplasmosis: Epidemiology, diagnosis, and clinical manifestations. Curr. Fungal Infect. Rep. 2019, 13, 120–128. [Google Scholar] [CrossRef]
- Kauffman, C.A. Histoplasmosis: A clinical and laboratory update. Clin. Microbiol. Rev. 2007, 20, 115–132. [Google Scholar] [CrossRef] [PubMed]
- Denning, D.W. Diagnosing pulmonary aspergillosis is much easier than it used to be: A new diagnostic landscape. Int. J. Tuberc. Lung Dis. 2021, 25, 525–536. [Google Scholar] [CrossRef] [PubMed]
- Anot, K.; Sharma, S.; Gupta, M.; Kaur, D. Disseminated histoplasmosis and tuberculosis: Dual infection in a non-endemic region. BMJ Case Rep. 2020, 13, e235531. [Google Scholar] [CrossRef] [PubMed]
- Baluku, J.; Nuwagira, E.; Bongomin, F.; Denning, D. Pulmonary TB and chronic pulmonary aspergillosis: Clinical differences and similarities. Int. J. Tuberc. Lung Dis. 2021, 25, 537–546. [Google Scholar] [CrossRef] [PubMed]
- Rozaliyani, A.; Rosianawati, H.; Handayani, D.; Agustin, H.; Zaini, J.; Syam, R.; Adawiyah, R.; Tugiran, M.; Setianingrum, F.; Burhan, E.; et al. Chronic pulmonary aspergillosis in post tuberculosis patients in indonesia and the role of ldbio aspergillus ict as part of the diagnosis scheme. J. Fungi 2020, 6, 318. [Google Scholar] [CrossRef]
- Hunter, E.S.; Richardson, M.D.; Denning, D.W. Evaluation of LDBio Aspergillus ICT lateral flow assay for IgG and IgM antibody detection in chronic pulmonary aspergillosis. J. Clin. Microbiol. 2019, 57, 10–1128. [Google Scholar]
- Sehgal, I.S.; Dhooria, S.; Soundappan, K.; Rudramurthy, S.M.; Chakrabarti, A.; Agarwal, R. Comparison of three sample types for performing LDBio Aspergillus immunochromatographic technology lateral flow assay for IgG/IgM antibody detection in chronic aspergillosis. Clin. Microbiol. Infect. 2023, 29, 404–405. [Google Scholar] [CrossRef]
- Piarroux, R.P.; Romain, T.; Martin, A.; Vainqueur, D.; Vitte, J.; Lachaud, L.; Gangneux, J.P.; Gabriel, F.; Fillaux, J.; Ranque, S. Multicenter evaluation of a novel immunochromatographic test for anti-aspergillus IgG detection. Front. Cell. Infect. Microbiol. 2019, 9, 12. [Google Scholar] [CrossRef]
- Ray, A.; Chowdhury, M.; Sachdev, J.; Sethi, P.; Meena, V.P.; Singh, G.; Xess, I.; Vyas, S.; Khan, M.A.; Sinha, S.; et al. Efficacy of LD Bio Aspergillus ICT lateral flow assay for serodiagnosis of chronic pulmonary aspergillosis. J. Fungi 2022, 8, 400. [Google Scholar] [CrossRef]
- Hage, C.A.; Ribes, J.A.; Wengenack, N.L.; Baddour, L.M.; Assi, M.; McKinsey, D.S.; Hammoud, K.; Alapat, D.; Babady, N.E.; Parker, M.; et al. A multicenter evaluation of tests for diagnosis of histoplasmosis. Clin. Infect. Dis. 2011, 53, 448–454. [Google Scholar] [CrossRef]
- Rothenburg, L.; Hanzlicek, A.S.; Payton, M.E. A monoclonal antibody-based urine Histoplasma antigen enzyme immunoassay (IMMY®) for the diagnosis of histoplasmosis in cats. J. Vet. Intern. Med. 2019, 33, 603–610. [Google Scholar] [CrossRef]
- Richer, S.M.; Smedema, M.L.; Durkin, M.M.; Herman, K.M.; Hage, C.A.; Fuller, D.; Wheat, L.J. Improved diagnosis of acute pulmonary histoplasmosis by combining antigen and antibody detection. Clin. Infect. Dis. 2016, 62, 896–902. [Google Scholar] [CrossRef] [PubMed]
- Denning, D.W.; Cole, D.C.; Ray, A. New estimation of the prevalence of chronic pulmonary aspergillosis (CPA) related to pulmonary TB—A revised burden for India. IJID Reg. 2023, 6, 7–14. [Google Scholar] [CrossRef]
- Migliori, G.B.; Dheda, K.; Centis, R.; Mwaba, P.; Bates, M.; O’Grady, J.; Hoelscher, M.; Zumla, A. Review of multidrug-resistant and extensively drug-resistant TB: Global perspectives with a focus on sub-Saharan Africa. Trop. Med. Int. Health 2010, 15, 1052–1066. [Google Scholar] [CrossRef] [PubMed]
- Azar, M.M.; Hage, C.A. Clinical perspectives in the diagnosis and management of histoplasmosis. Clin. Chest Med. 2017, 38, 403–415. [Google Scholar] [CrossRef] [PubMed]
- Azar, M.M.; Loyd, J.L.; Relich, R.F.; Wheat, L.J.; Hage, C.A. Current Concepts in the Epidemiology, Diagnosis, and Management of Histoplasmosis Syndromes. Semin. Respir. Crit. Care Med. 2020, 41, 13–30. [Google Scholar] [CrossRef] [PubMed]
- Goodwin, R.A., Jr.; Shapiro, J.L.; Thurman, G.H.; Thurman, S.S.; Des Prez, R.M. Disseminated histoplasmosis: Clinical and pathologic correlations. Medicine 1980, 59, 1–33. [Google Scholar] [CrossRef] [PubMed]
- Wheat, L.J.; Connolly-Stringfield, P.A.; Baker, R.L.; Curfman, M.F.; Eads, M.E.; Israel, K.S.; Norris, S.A.; Webb, D.H.; Zeckel, M.L. Disseminated histoplasmosis in the acquired immune deficiency syndrome: Clinical findings, diagnosis and treatment, and review of the literature. Medicine 1990, 69, 361–374. [Google Scholar] [CrossRef]
- Hernández-Solís, A.; Camerino Guerrero, A.; Colín Muñoz, Y.; Bazán Cuervo, S.; Cícero Sabido, R.; Reding-Bernal, A. Pulmonary mycosis in patients with diabetes mellitus. Clinical characteristics and risk factors. Rev. Iberoam. Micol. 2020, 37, 53–57. [Google Scholar] [CrossRef]
- Wahyuningsih, R.; Adawiyah, R.; Sjam, R.; Prihartono, J.; Ayu Tri Wulandari, E.; Rozaliyani, A.; Ronny, R.; Imran, D.; Tugiran, M.; Siagian, F.E.; et al. Serious fungal disease incidence and prevalence in Indonesia. Mycoses 2021, 64, 1203–1212. [Google Scholar] [CrossRef] [PubMed]
- Menges, R.W.; Furcolow, M.L.; Larsh, H.W.; Hinton, A. Laboratory studies on histoplasmosis the effect of humidity and temperature on the growth of Histoplasma capsulatum. J. Infect. Dis. 1952, 90, 67–70. [Google Scholar] [CrossRef] [PubMed]
- Evrard, S.; Caprasse, P.; Gavage, P.; Vasbien, M.; Radermacher, J.; Hayette, M.P.; Sacheli, R.; Van Esbroeck, M.; Cnops, L.; Firre, E.; et al. Disseminated histoplasmosis: Case report and review of the literature. Acta Clin. Belg. 2018, 3, 356–363. [Google Scholar] [CrossRef] [PubMed]
- Menges, R.W.; Furcolow, M.L.; Habermann, R.T.; Weeks, R.J. Epidemiologic studies on histoplasmosis in wildlife. Environ. Res. 1967, 1, 129–144. [Google Scholar] [CrossRef] [PubMed]
- Grehn, C.; Eschenhagen, P.; Temming, S.; Düesberg, U.; Neumann, K.; Schwarz, C. Frequent pet contact as risk factor for allergic bronchopulmonary aspergillosis in cystic fibrosis. Front. Cell. Infect. Microbiol. 2021, 10, 601821. [Google Scholar] [CrossRef]
- Thronicke, A.; Heger, N.; Antweiler, E.; Krannich, A.; Roehmel, J.; Brandt, C.; Staab, D.; Tintelnot, K.; Schwarz, C. Allergic bronchopulmonary aspergillosis is associated with pet ownership in cystic fibrosis. Pediatr. Allergy Immunol. 2016, 27, 597–603. [Google Scholar] [CrossRef]
- Kandi, V.; Vaish, R.; Palange, P.; Bhoomagiri, M.R. Chronic pulmonary histoplasmosis and its clinical significance: An under-reported systemic fungal disease. Cureus 2016, 8, e751. [Google Scholar]


| Variable | Total (n = 50) | % |
|---|---|---|
| Positive Histoplasma IgG | 14 | 28% |
| Negative Histoplasma antibodies | 34 | 68% |
| Indeterminate result of Histoplasma antibodies | 2 | 4% |
| Positive Aspergillus IgG/IgM | 16 | 32% |
| Negative Aspergillus antibodies | 34 | 68% |
| Mixed positive Histoplasma and Aspergillus antibodies | 6 | 6% |
| Both were negative | 24 | 48% |
| Characteristic | Positive Histoplasma Antibody n = 14 | Negative Histoplasma Antibody * n = 36 | Positive Aspergillus Antibody n = 16 | Negative Aspergillus Antibody n = 34 | |
|---|---|---|---|---|---|
| Gender | Male | 10 | 26 | 10 | 26 |
| Female | 4 | 10 | 6 | 8 | |
| Age group | 16–30 years old | 0 | 7 | 0 | 7 |
| 31–45 years old | 3 | 13 | 3 | 14 | |
| 46–60 years old | 8 | 13 | 9 | 12 | |
| >60 years old | 3 | 3 | 4 | 2 | |
| Comorbidity | Diabetes mellitus | 7 | 15 | 10 | 10 |
| HIV | 0 | 2 | 0 | 0 | |
| Hypertension | 2 | 1 | 1 | 2 | |
| Asthma | 0 | 1 | 0 | 1 | |
| Cancer | 0 | 1 | 0 | 1 | |
| No comorbidity | 7 | 18 | 6 | 21 | |
| Smoking history | Smoker | 0 | 0 | 0 | 0 |
| Ex-smoker | 5 | 10 | 2 | 13 | |
| Non-smoker | 9 | 26 | 14 | 21 | |
| History of working | Yes | 3 | 8 | 4 | 7 |
| in a farm or plantation | No | 11 | 28 | 12 | 27 |
| History of having a poultry | Yes | 4 | 11 | 7 | 8 |
| No | 10 | 25 | 9 | 26 | |
| Humid living environment | Yes | 5 | 19 | 6 | 18 |
| No | 9 | 17 | 10 | 16 | |
| History of TB treatment | Yes | 10 | 22 | 11 | 22 |
| No | 4 | 14 | 5 | 12 | |
| MGIT culture ** | Positive | 4 | 13 | 10 | 24 |
| Negative | 10 | 23 | 6 | 10 | |
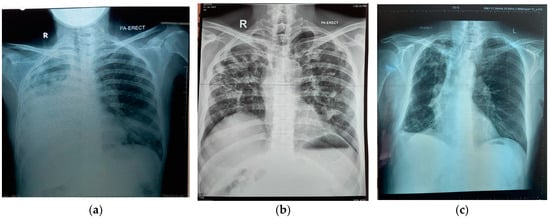
| Lesion area on the chest X-ray | Minimally advanced | 1 | 14 | 4 | 11 |
| Moderately advanced | 5 | 11 | 4 | 12 | |
| Far advanced | 8 | 11 | 8 | 11 |
| Determinants | Prevalence Rate | p Value | 95% C.I. for PR | |
|---|---|---|---|---|
| Lower | Upper | |||
| Plantation/farm | 0.906 | 0.904 | 0.182 | 4.510 |
| Pets | 0.979 | 0.977 | 0.229 | 4.181 |
| Humid houses | 2.797 | 0.226 | 0.530 | 14.762 |
| Smoking history | 0.403 | 0.304 | 0.071 | 2.284 |
| Previous TB | 1.070 | 0.924 | 0.266 | 4.308 |
| Gender | 1.366 | 0.709 | 0.266 | 7.012 |
| Determinants | Prevalence Rate | p Value | 95% C.I. for PR | |
|---|---|---|---|---|
| Lower | Upper | |||
| Pets at home | 18.024 | 0.019 | 1.594 | 203.744 |
| Gender | 2.994 | 0.222 | 0.515 | 17.426 |
| Previous TB | 1.273 | 0.795 | 0.207 | 7.816 |
| Plantation/farm | 1.335 | 0.786 | 0.165 | 10.810 |
| Humid houses | 0.748 | 0.756 | 0.120 | 4.672 |
| Acid fast result | 0.063 | 0.064 | 0.003 | 1.178 |
| Positive MGIT culture * | 0.826 | 0.851 | 0.113 | 6.062 |
| History of disease | 4.180 | 0.135 | 0.641 | 27.237 |
| Chest X-ray | 4.545 | 0.028 | 1.180 | 17.514 |
| Chest X-ray | Histoplasma Antibody + | Aspergillus Antibody + | Both Antibody + | |||
|---|---|---|---|---|---|---|
| Findings | Male | Female | Male | Female | Male | Female |
| Minor changes | 1 | 1 | 2 | 2 | 2 | 2 |
| Moderately advanced | 3 | 2 | 2 | 2 | 2 | |
| Far advanced | 5 | 1 | 5 | 3 | 5 | 3 |
Disclaimer/Publisher’s Note: The statements, opinions and data contained in all publications are solely those of the individual author(s) and contributor(s) and not of MDPI and/or the editor(s). MDPI and/or the editor(s) disclaim responsibility for any injury to people or property resulting from any ideas, methods, instructions or products referred to in the content. |
© 2024 by the authors. Licensee MDPI, Basel, Switzerland. This article is an open access article distributed under the terms and conditions of the Creative Commons Attribution (CC BY) license (https://creativecommons.org/licenses/by/4.0/).
Share and Cite
Soeroso, N.N.; Siahaan, L.; Khairunnisa, S.; Anggriani, R.A.H.; Aida, A.; Eyanoer, P.C.; Daulay, E.R.; Burhan, E.; Rozaliyani, A.; Ronny, R.; et al. The Association of Chronic Pulmonary Aspergillosis and Chronic Pulmonary Histoplasmosis with MDR-TB Patients in Indonesia. J. Fungi 2024, 10, 529. https://doi.org/10.3390/jof10080529
Soeroso NN, Siahaan L, Khairunnisa S, Anggriani RAH, Aida A, Eyanoer PC, Daulay ER, Burhan E, Rozaliyani A, Ronny R, et al. The Association of Chronic Pulmonary Aspergillosis and Chronic Pulmonary Histoplasmosis with MDR-TB Patients in Indonesia. Journal of Fungi. 2024; 10(8):529. https://doi.org/10.3390/jof10080529
Chicago/Turabian StyleSoeroso, Noni N., Lambok Siahaan, Selfi Khairunnisa, Raden Ajeng Henny Anggriani, Aida Aida, Putri C. Eyanoer, Elvita R. Daulay, Erlina Burhan, Anna Rozaliyani, Ronny Ronny, and et al. 2024. "The Association of Chronic Pulmonary Aspergillosis and Chronic Pulmonary Histoplasmosis with MDR-TB Patients in Indonesia" Journal of Fungi 10, no. 8: 529. https://doi.org/10.3390/jof10080529
APA StyleSoeroso, N. N., Siahaan, L., Khairunnisa, S., Anggriani, R. A. H., Aida, A., Eyanoer, P. C., Daulay, E. R., Burhan, E., Rozaliyani, A., Ronny, R., Adawiyah, R., Denning, D. W., & Wahyuningsih, R. (2024). The Association of Chronic Pulmonary Aspergillosis and Chronic Pulmonary Histoplasmosis with MDR-TB Patients in Indonesia. Journal of Fungi, 10(8), 529. https://doi.org/10.3390/jof10080529

