Dual Disseminated Aspergillosis and Mucormycosis Diagnosed at Autopsy: A Report of Two Cases of Coinfection and a Review of the Literature
Abstract
1. Introduction
2. Materials and Methods
3. Cases
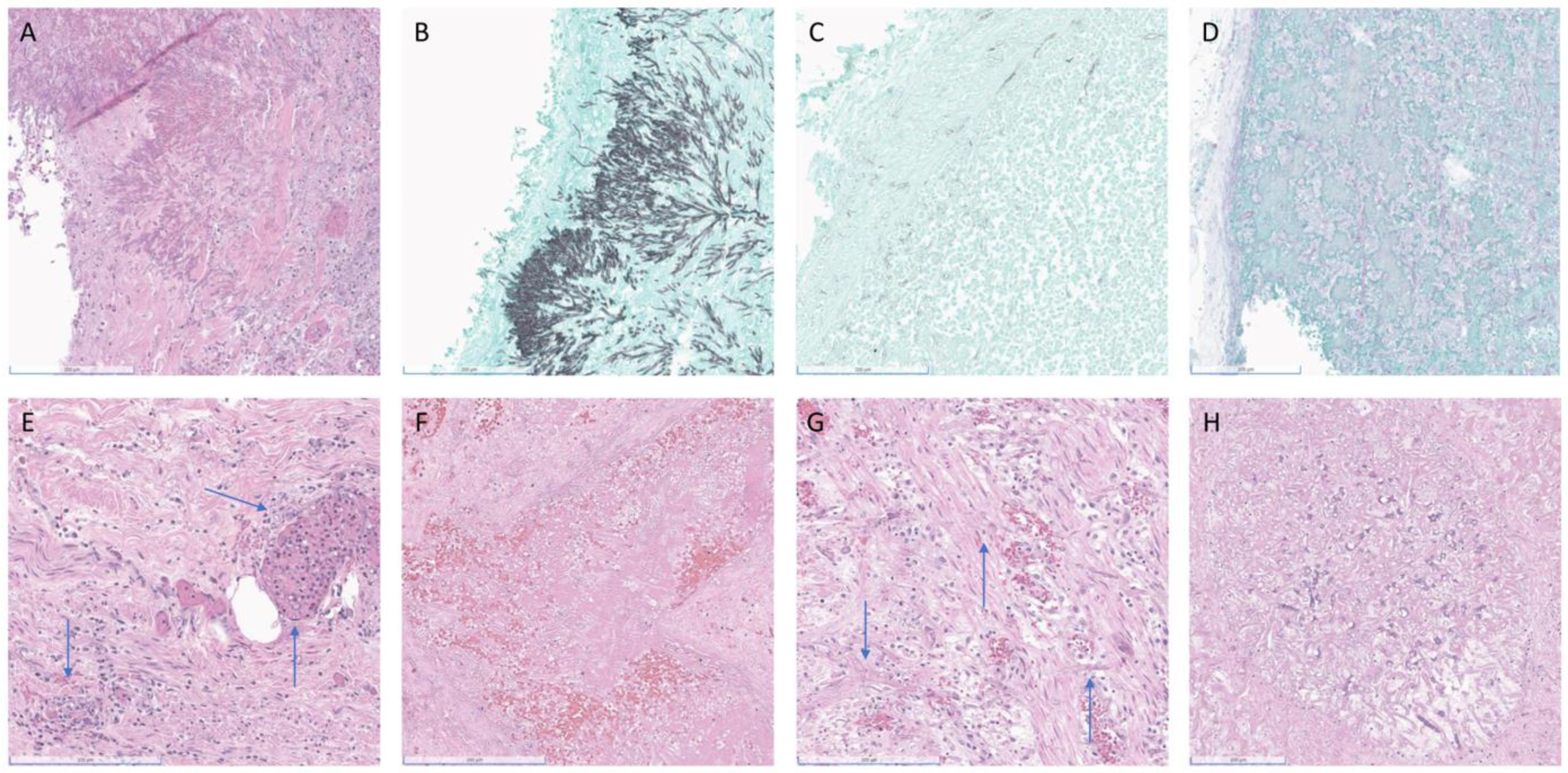
3.1. Case 1
3.2. Case 2
4. Discussion
Author Contributions
Funding
Institutional Review Board Statement
Informed Consent Statement
Data Availability Statement
Acknowledgments
Conflicts of Interest
References
- Low, C.-Y.; Rotstein, C. Emerging fungal infections in immunocompromised patients. F1000 Med. Rep. 2011, 3, 14. [Google Scholar] [CrossRef] [PubMed]
- Haydour, Q.; Hage, C.A.; Carmona-Porquera, E.M.; Epelbaum, O.; Evans, S.E.; Gabe, L.M.; Knox, K.S.; Kolls, J.K.; Wengenack, N.L.; Prokop, L.J.; et al. Diagnosis of Fungal Infections. A Systematic Review and Meta-Analysis Supporting American Thoracic Society Practice Guideline. Ann. ATS 2019, 16, 1179. [Google Scholar] [CrossRef] [PubMed]
- Skiada, A.; Pavleas, I.; Drogari-Apiranthitou, M. Epidemiology and Diagnosis of Mucormycosis: An Update. J. Fungi 2020, 6, 265. [Google Scholar] [CrossRef]
- Tsikala-Vafea, M.; Cao, W.; Olszewski, A.J.; Donahue, J.E.; Farmakiotis, D. Fatal Mucormycosis and Aspergillosis in an Atypical Host: What Do We Know about Mixed Invasive Mold Infections? Case Rep. Infect. Dis. 2020, 2020, 8812528. [Google Scholar] [CrossRef]
- Scheld, W.M.; Royston, D.; Harding, S.A.; Hess, C.E.; Sande, M.A. Simultaneous Disseminated Aspergillosis and Zygomycosis in a Leukemic Patient. South. Med. J. 1979, 72, 1325–1327. [Google Scholar] [CrossRef]
- Mantero, V.; Basilico, P.; Pozzetti, U.; Tonolo, S.; Rossi, G.; Spena, G.; Rigamonti, A.; Salmaggi, A. Concomitant cerebral aspergillosis and mucormycosis in an immunocompetent woman treated with corticosteroids. J. NeuroVirol. 2019, 26, 277–280. [Google Scholar] [CrossRef]
- Webb, B.; Blair, J.; Kusne, S.; Scott, R.; Steidley, D.; Arabia, F.; Vikram, H. Concurrent Pulmonary Aspergillus fumigatus and Mucor Infection in a Cardiac Transplant Recipient: A Case Report. Transplant. Proc. 2013, 45, 792–797. [Google Scholar] [CrossRef]
- Ikehara, S.; Imai, Y.; Adachi, Y.; Kimura, T.; Nakano, C.; Shimizu, T.; Shi, M.; Okigaki, M.; Shimo, T.; Kaneko, K. An autopsy case of pulmonary fissure induced by zygomycosis. Int. J. Gen. Med. 2013, 6, 575–579. [Google Scholar] [CrossRef]
- Itoh, Y.; Segawa, H.; Kito, K.; Hodohara, K.; Ishigaki, H.; Sugihara, H.; Fujiyama, Y.; Ogasawara, K. Lipoid pneumonia with chronic myelomonocytic leukemia. Pathol. Res. Pract. 2009, 205, 143–147. [Google Scholar] [CrossRef]
- Kwiatkowski, N.P.; Babiker, W.M.; Merz, W.G.; Carroll, K.C.; Zhang, S.X. Evaluation of Nucleic Acid Sequencing of the D1/D2 Region of the Large Subunit of the 28S rDNA and the Internal Transcribed Spacer Region Using SmartGene IDNS Software for Identification of Filamentous Fungi in a Clinical Laboratory. J. Mol. Diagn. 2012, 14, 393–401, Erratum in J. Mol. Diagn. 2012, 14, 634. [Google Scholar] [CrossRef] [PubMed]
- Ravindra, C.M.; Rajaram, M.; Madhusmita, M.; ChToi, P.; Sneha, L. Pulmonary aspergillus and mucor co-infection. Sultan Qaboos Univ. Med. J. 2021, 21, 495. [Google Scholar] [CrossRef] [PubMed]
- Maiorano, E.; Favia, G.; Capodiferro, S.; Montagna, M.T.; Muzio, L.L. Combined mucormycosis and aspergillosis of the oro-sinonasal region in a patient affected by Castleman disease. Virchows Arch. Int. J. Pathol. 2005, 446, 28–33. [Google Scholar] [CrossRef] [PubMed]
- Kim, J.H.; Kim, M.; Lim, S.; Park, S.Y.; Jegal, Y.; Lee, T.; Kang, B.J. A fatal case report of invasive pulmonary aspergillosis and mucormycosis coinfection in an immunocompetent patient with coronavirus disease 2019 in Korea. Acute Crit. Care 2022. [Google Scholar] [CrossRef] [PubMed]
- Dantas, K.C.; Mauad, T.; de André, C.D.S.; Bierrenbach, A.L.; Saldiva, P.H.N. A single-centre, retrospective study of the incidence of invasive fungal infections during 85 years of autopsy service in Brazil. Sci. Rep. 2021, 11, 3943. [Google Scholar] [CrossRef] [PubMed]
- Ruangritchankul, K.; Chindamporn, A.; Worasilchai, N.; Poumsuk, U.; Keelawat, S.; Bychkov, A. Invasive fungal disease in university hospital: A PCR-based study of autopsy cases. Int. J. Clin. Exp. Pathol. 2015, 8, 14840. [Google Scholar] [PubMed]

| Patient | Age | Gender | Underlying Condition | Immunosuppressive Treatment | Antifungal Treatment | Autopsy Evidence of Dual Invasive Fungal Infections | Fungal Identification (Genus/Species) | Fungal Biomarkers | |||
|---|---|---|---|---|---|---|---|---|---|---|---|
| Aspergillosis | Mucormycosis | By Tissue Culture | By DNA Sequencing on FFPE Block | GM | BDG | ||||||
| 1 | 41 | F | B-ALL, sirolimus related pericardial effusion | chemotherapy, radiation, and steroids | none | lungs | lungs, brain, stomach, small bowel, large bowel, kidney, bladder, uterus, pancreas | ND | A. fumigatus (Lung), C. bertholleitiae (lung, brain, small bowel, pancreas, stomach) | neg (8 d prior to death); 1.47 (serum; 1 d prior to death) | neg (<31 pg/mL, 8 d prior to death); 148 pg/mL (1 d prior to death) |
| 2 | 63 | F | AML, small bowel obstruction | clinical trial of FLT3 inhibitor | none | lungs | lungs, small bowel, liver, spleen | ND | A. fumigatus (lung), M. indicus (small bowel) | ND | ND |
| 3 | 79 | M4 | CLL | chlorambucil and obinutuzumab; corticosteroids | none | lungs | heart, lymph node, thyroid, kidney, brain | A. fumigatus (lungs) from autopsy tissue | L. corymbifera (heart) | neg (~8 weeks prior to death), >9.3 immediately prior to death | neg (~8 weeks prior to death), neg (immediately prior to death) |
| 4 | 19 | M5 | ALL | presumed chemotherapy for ALL | oral AmB | lung, brain | lung, liver, spleen | A. fumigatus (lung, brain), Rhizopus spp. (lung, liver, spleen) from autopsy tissue | ND | ND | ND |
| 5 | 55 | F6 | dermatomyositis | prednisone | voriconazole, L-AmB | brain | brain | ND | ND | pos (blood, 11-months before death), pos (BAL, 10-month before death), pos (CSF, 5 month before death) | ND |
| 6 | 52 | M7 | heart transplant | transplant immunosuppression | none | lung | lung | A. fumigatus (lung biopsy 60 d post-transplant); A. fumigatus and Mucor spp. (15 w post-transplant) | ND | 3.3 (60 days post-transplant) | ND |
| 7 | 70’s | F8 | p-ANCA vasculitis | steroids and azathioprine | fluconazole, micafungin, L-AmB | lungs | lungs, heart | ND | ND | ND | pos (7 days prior to death) |
| 8 | 61 | M9 | hematologic malignancy | prednisolone | unknown | lung | lung | ND | ND | ND | ND |
Disclaimer/Publisher’s Note: The statements, opinions and data contained in all publications are solely those of the individual author(s) and contributor(s) and not of MDPI and/or the editor(s). MDPI and/or the editor(s) disclaim responsibility for any injury to people or property resulting from any ideas, methods, instructions or products referred to in the content. |
© 2023 by the authors. Licensee MDPI, Basel, Switzerland. This article is an open access article distributed under the terms and conditions of the Creative Commons Attribution (CC BY) license (https://creativecommons.org/licenses/by/4.0/).
Share and Cite
Murray, J.; Lu, Z.A.; Miller, K.; Meadows, A.; Totten, M.; Zhang, S.X. Dual Disseminated Aspergillosis and Mucormycosis Diagnosed at Autopsy: A Report of Two Cases of Coinfection and a Review of the Literature. J. Fungi 2023, 9, 357. https://doi.org/10.3390/jof9030357
Murray J, Lu ZA, Miller K, Meadows A, Totten M, Zhang SX. Dual Disseminated Aspergillosis and Mucormycosis Diagnosed at Autopsy: A Report of Two Cases of Coinfection and a Review of the Literature. Journal of Fungi. 2023; 9(3):357. https://doi.org/10.3390/jof9030357
Chicago/Turabian StyleMurray, Jason, Zhen A. Lu, Karin Miller, Alex Meadows, Marissa Totten, and Sean X. Zhang. 2023. "Dual Disseminated Aspergillosis and Mucormycosis Diagnosed at Autopsy: A Report of Two Cases of Coinfection and a Review of the Literature" Journal of Fungi 9, no. 3: 357. https://doi.org/10.3390/jof9030357
APA StyleMurray, J., Lu, Z. A., Miller, K., Meadows, A., Totten, M., & Zhang, S. X. (2023). Dual Disseminated Aspergillosis and Mucormycosis Diagnosed at Autopsy: A Report of Two Cases of Coinfection and a Review of the Literature. Journal of Fungi, 9(3), 357. https://doi.org/10.3390/jof9030357

