Importance of Aspergillus-Specific Antibody Screening for Diagnosis of Chronic Pulmonary Aspergillosis after Tuberculosis Treatment: A Prospective Follow-Up Study in Ghana
Abstract
1. Introduction
2. Materials and Methods
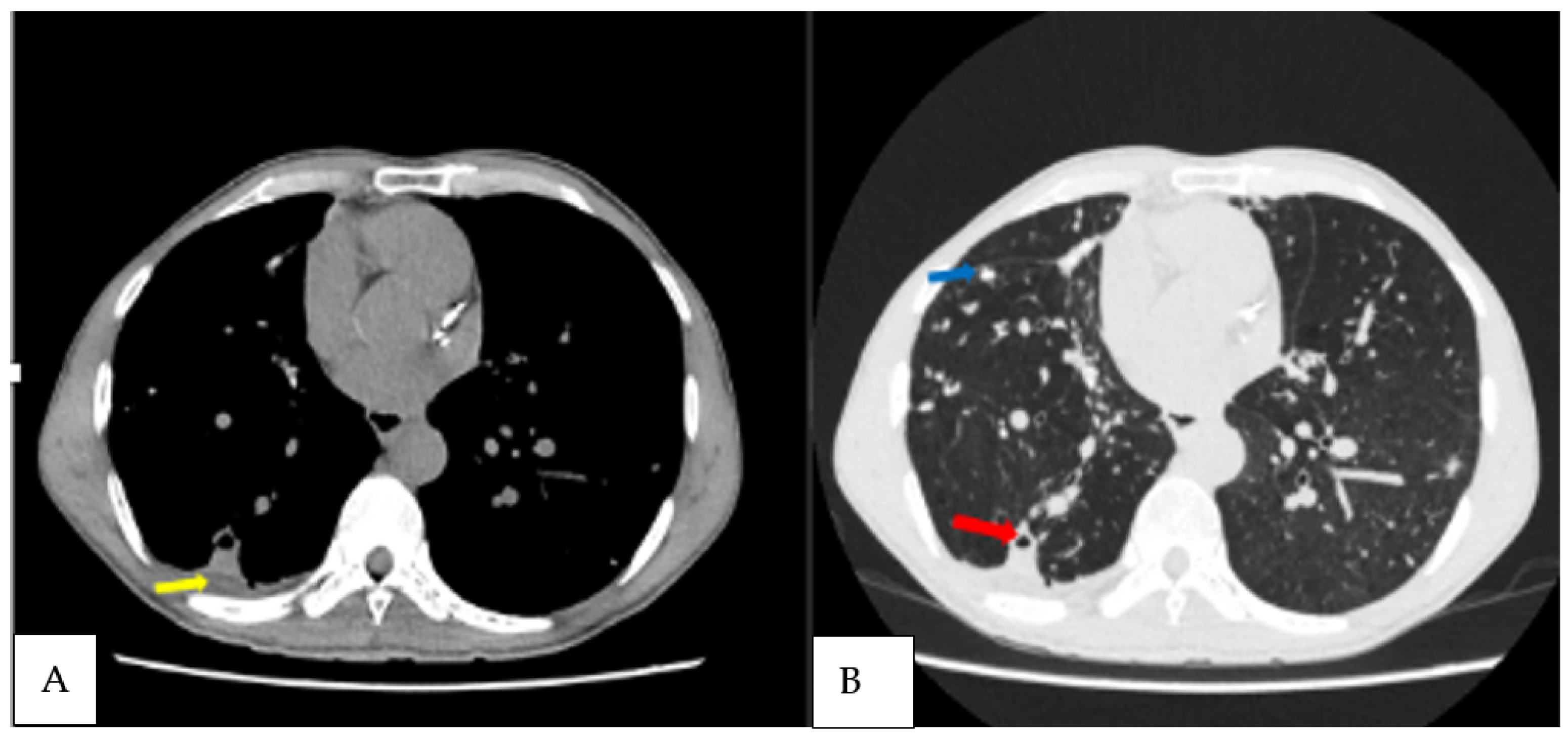
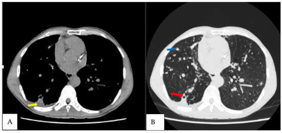
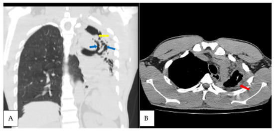
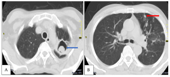
3. Results
4. Discussion
5. Conclusions
Author Contributions
Funding
Institutional Review Board Statement
Informed Consent Statement
Data Availability Statement
Acknowledgments
Conflicts of Interest
References
- World Health Organization. Factsheet Global Tuberculosis Report 2021; WHO: Geneva, Switzerland, 2021.
- Hsu, D.; Irfan, M.; Jabeen, K.; Iqbal, N.; Hasan, R.; Migliori, G.B.; Tiberi, S. Post tuberculosis treatment infectious complications. Int. J. Infect. Dis. 2020, 92, S41–S45. [Google Scholar] [CrossRef] [PubMed]
- Page, I.D.; Byanyima, R.; Hosmane, S.; Onyachi, N.; Opira, C.; Richardson, M.; Sawyer, R.; Sharman, A.; Denning, D.W. Chronic pulmonary aspergillosis commonly complicates treated pulmonary tuberculosis with residual cavitation. Eur. Respir. J. 2019, 53, 1801184. [Google Scholar] [CrossRef] [PubMed]
- Denning, D.W.; Pleuvry, A.; Cole, D. Global burden of chronic pulmonary aspergillosis as a sequel to pulmonary tuberculosis. Bull. World Health Organ. 2011, 89, 864–872. [Google Scholar] [CrossRef] [PubMed]
- Oladele, R.O.; Irurhe, N.K.; Foden, P.; Akanmu, A.S.; Gbaja-Biamila, T.; Nwosu, A.; Ekundayo, H.A.; Ogunsola, F.T.; Richardson, M.D.; Denning, D.W. Chronic pulmonary aspergillosis as a cause of smear-negative TB and/or TB treatment failure in Nigerians. Int. J. Tuberc. Lung Dis. 2017, 21, 1056–1061. [Google Scholar] [CrossRef]
- Namusobya, M.; Bongomin, F.; Mukisa, J.; Olwit, W.K.; Batte, C.; Mukashyaka, C.; Mande, E.; Kwizera, R.; Denning, D.W.; Rhein, J.; et al. Chronic pulmonary aspergillosis in patients with active pulmonary tuberculosis with persisting symptoms in Uganda. Mycoses 2022, 65, 625–634. [Google Scholar] [CrossRef]
- Hedayati, M.T.; Azimi, Y.; Droudinia, A.; Mousavi, B.; Khalilian, A.; Hedayati, N.; Denning, D.W. Prevalence of chronic pulmonary aspergillosis in patients with tuberculosis from Iran. Eur. J. Clin. Microbiol. 2015, 34, 1759–1765. [Google Scholar] [CrossRef] [PubMed]
- Rozaliyani, A.; Rosianawati, H.; Handayani, D.; Agustin, H.; Zaini, J.; Syam, R.; Adawiyah, R.; Tugiran, M.; Setianingrum, F.; Burhan, E.; et al. Chronic Pulmonary Aspergillosis in Post Tuberculosis Patients in Indonesia and the Role of LDBio Aspergillus ICT as Part of the Diagnosis Scheme. J. Fungi 2020, 6, 318. [Google Scholar] [CrossRef]
- Nguyen, N.T.B.; Le Ngoc, H.; Nguyen, N.V.; Dinh, L.V.; Nguyen, H.V.; Nguyen, H.T.; Denning, D.W. Chronic Pulmonary Aspergillosis Situation among Post Tuberculosis Patients in Vietnam: An Observational Study. J. Fungi 2021, 7, 532. [Google Scholar] [CrossRef]
- Setianingrum, F.; Rozaliyani, A.; Adawiyah, R.; Syam, R.; Tugiran, M.; Sari, C.Y.I.; Nandipinto, F.; Ramnath, J.; Arifin, A.R.; Handayani, D.; et al. A prospective longitudinal study of chronic pulmonary aspergillosis in pulmonary tuberculosis in Indonesia (APICAL). Thorax 2021, 77, 821–828. [Google Scholar] [CrossRef]
- Volpe-Chaves, C.E.; Venturini, J.; Castilho, S.B.; Fonseca, S.S.O.; Nunes, T.F.; Cunha, E.A.T.; Lima, G.M.E.; Nunes, M.O.; Vicentini, A.P.; Oliveira, S.M.V.L.; et al. Prevalence of chronic pulmonary aspergillosis regarding time of tuberculosis diagnosis in Brazil. Mycoses 2022, 65, 715–723. [Google Scholar] [CrossRef]
- Baluku, J.B.; Nuwagira, E.; Bongomin, F.; Denning, D.W. Pulmonary TB and chronic pulmonary aspergillosis: Clinical differences and similarities. Int. J. Tuberc. Lung Dis. 2021, 25, 537–546. [Google Scholar] [CrossRef] [PubMed]
- Denning, D.W.; Cadranel, J.; Beigelman-Aubry, C.; Ader, F.; Chakrabarti, A.; Blot, S.; Ullmann, A.J.; Dimopoulos, G.; Lange, C.; Dimopoulos, Christoph Lange on behalf of the European Society for Clinical Microbiology and Infectious Diseases and European Respiratory Society. Chronic pulmonary aspergillosis: Rationale and clinical guidelines for diagnosis and management. Eur. Respir. J. 2016, 47, 45–68. [Google Scholar] [CrossRef] [PubMed]
- Kim, C.; Moon, J.-W.; Park, Y.-B.; Ko, Y. Serological Changes in Anti-Aspergillus IgG Antibody and Development of Chronic Pulmonary Aspergillosis in Patients Treated for Pulmonary Tuberculosis. J. Fungi 2022, 8, 130. [Google Scholar] [CrossRef] [PubMed]
- Russo, A.; Tiseo, G.; Falcone, M.; Menichetti, F. Pulmonary Aspergillosis: An Evolving Challenge for Diagnosis and Treatment. Infect. Dis. Ther. 2020, 9, 511–524. [Google Scholar] [CrossRef]
- Sapienza, L.G.; Gomes, M.J.L.; Maliska, C.; Norberg, A.N. Hemoptysis due to fungus ball after tuberculosis: A series of 21 cases treated with hemostatic radiotherapy. BMC Infect. Dis. 2015, 15, 546. [Google Scholar] [CrossRef]
- Ocansey, B.K.; Otoo, B.; Adjei, A.; Gbadamosi, H.; Kotey, F.C.N.; Kosmidis, C.; Afriyie-Mensah, J.S.; Denning, D.W.; Opintan, J.A. Chronic Pulmonary Aspergillosis is Common among Patients with Presumed Tuberculosis Relapse in Ghana. Med. Mycol. 2022, 60, myac063. [Google Scholar] [CrossRef]
- Al-Shair, K.; Atherton, G.T.; Kennedy, D.; Powell, G.; Denning, D.W.; Caress, A. Validity and reliability of the St. George’s Respiratory Questionnaire in assessing health status in patients with chronic pulmonary aspergillosis. Chest 2013, 144, 623–631. [Google Scholar] [CrossRef]
- Pasipanodya, J.G.; Miller, T.L.; Vecino, M.; Munguia, G.; Bae, S.; Drewyer, G.; Weis, S.E. Using the St. George Respiratory Questionnaire to Ascertain Health Quality in Persons with Treated Pulmonary Tuberculosis. Chest 2007, 132, 1591–1598. [Google Scholar] [CrossRef]
- Denning, D.W.; Page, I.D.; Chakaya, J.; Jabeen, K.; Jude, C.M.; Cornet, M.; Alastruey-Izquierdo, A.; Bongomin, F.; Bowyer, P.; Chakrabarti, A.; et al. Case Definition of Chronic Pulmonary Aspergillosis in Resource-Constrained Settings. Emerg. Infect. Dis. 2018, 24, 8. [Google Scholar] [CrossRef]
- Sprute, R.; Van Braeckel, E.; Flick, H.; Hoenigl, M.; Kosmidis, C.; Agarwal, R.; Seidel, D. EQUAL CPA Score 2022: A tool to measure guideline adherence for chronic pulmonary aspergillosis. J. Antimicrob. Chemother. 2022, dkac378. [Google Scholar] [CrossRef]
- Page, I.D.; Richardson, M.; Denning, D.W. Antibody testing in aspergillosis—Quo vadis? Med. Mycol. 2015, 53, 417–439. [Google Scholar] [CrossRef] [PubMed]
- Volpe Chaves, C.E.; do Valle Leone de Oliveira, S.M.; Venturini, J.; Grande, A.J.; Sylvestre, T.F.; Poncio Mendes, R.; Mello Miranda Paniago, A. Accuracy of serological tests for diagnosis of chronic pulmonary aspergillosis: A systematic review and meta-analysis. PLoS ONE 2020, 15, e0222738. [Google Scholar] [CrossRef] [PubMed]
- Singh, S.; Choudhary, H.; Agnihotri, S.; Sehgal, I.S.; Agarwal, R.; Kaur, H.; Ghosh, A.; Chakrabarti, A.; Rudramurthy, S.M. LDBio Aspergillus immunochromatographic test lateral flow assay for IgG/IgM antibody detection in chronic pulmonary aspergillosis: Single-centre evaluation and meta-analysis. Indian J. Med. Microbiol. 2022, 40, 204–210. [Google Scholar] [CrossRef] [PubMed]
- Hunter, E.S.; Richardson, M.D.; Denning, D.W. Evaluation of LD Bio Aspergillus ICT lateral flow assay for IgG and IgM antibody detection in chronic pulmonary aspergillosis. J. Clin. Microbiol. 2019, 57, e00538-19. [Google Scholar]
- Ray, A.; Chowdhury, M.; Sachdev, J.; Sethi, P.; Meena, V.P.; Singh, G.; Xess, I.; Vyas, S.; Khan, M.A.; Sinha, S.; et al. Efficacy of LD Bio Aspergillus ICT Lateral Flow Assay for Serodiagnosis of Chronic Pulmonary Aspergillosis. J. Fungi 2022, 8, 400. [Google Scholar] [CrossRef]
- Kwizera, R.; Katende, A.; Teu, A.; Apolot, D.; Worodria, W.; Kirenga, B.J.; Bongomin, F. Algorithm-aided diagnosis of chronic pulmonary aspergillosis in low- and middle-income countries by use of a lateral flow device. Eur. J. Clin. Microbiol. 2019, 39, 1–3. [Google Scholar] [CrossRef]
- Rozaliyani, A.; Setianingrum, F.; Azahra, S.; Abdullah, A.; Fatril, A.; Rosianawati, H.; Burhan, E.; Handayani, D.; Arifin, A.; Zaini, J.; et al. Performance of LDBio Aspergillus WB and ICT Antibody Detection in Chronic Pulmonary Aspergillosis. J. Fungi 2021, 7, 311. [Google Scholar] [CrossRef]
- Hunter, E.S.; Wilopo, B.; Richardson, M.D.; Kosmidis, C.; Denning, D.W. Effect of patient immunodeficiencies on the diagnostic performance of serological assays to detect Aspergillus-specific antibodies in chronic pulmonary aspergillosis. Respir. Med. 2021, 178, 106290. [Google Scholar] [CrossRef]
- Singla, R.; Singhal, R.; Rathore, R.; Gupta, A.; Sethi, P.; Myneedu, V.P.; Kumar, V. Risk factors for chronic pulmonary aspergillosis in post-TB patients. Int. J. Tuberc. Lung Dis. 2021, 25, 324–326. [Google Scholar] [CrossRef]




| Features | Baseline (n = 41) | End of PTB Rx (n = 33) | 6-Month Post-PTB Rx (n = 28) | p-Value |
|---|---|---|---|---|
| Demographics | ||||
| Male | 32 (78%) | 27 (81.8%) | 23 (82.1%) | |
| Female | 9 (22%) | 6 (18.2%) | 5 (17.9%) | <0.001 |
| Age (mean/range) | 40.2 (18–75) | 41.2 (18–75) | 39.7 (18–75) | 0.962 |
| Symptoms | ||||
| Haemoptysis | 9 (22%) | 2 (6.1%) | 2 (7.1%) | <0.001 |
| Chest pain | 19 (46.3%) | 4 (12.1%) | 6 (21.4%) | 0.253 |
| Dyspnea | 16 (39%) | 1 (3%) | 1 (3.6%) | 0.071 |
| Fatigue | 33 (80.5%) | 6 (18.2%) | 2 (7.1%) | <0.001 |
| Weight loss | 36 (87.8%) | 6 (18.2%) | 3 (10.7%) | <0.001 |
| Laboratory | ||||
| MTB load distribution | ||||
| Trace | 2 (4.9%) | - | - | |
| Very low | 3 (7.3%) | - | - | |
| Low | 4 (9.8%) | - | - | |
| Medium | 9 (22%) | - | 1 (3.6%) | |
| High | 23 (56.1%) | - | - | <0.001 |
| +Aspergillus serology | 0 | 1 (3%) | 3 (10.7%) | <0.001 |
| +Aspergillus culture | 10 (24.4%) | 9 (27.3%) | 8 (28.6%) | <0.001 |
| Aspergillus spp. distribution | ||||
| A. fumigatus | 8 (16%) | 6 (18.2%) | 4 (14.3%) | |
| A. flavus | 1 (2.4%) | 0 | 1 (3.6%) | |
| A. niger | 4 (9.7%) | 5 (15.1%) | 4 (14.3%) | |
| A. terreus | 0 | 1 (3%) | 0 | <0.001 |
| +HIV serology | 12 (24%) | 8 (23.5%) | 6 (21.4%) | 0.003 |
| +AFB smear | - | 3 (9.1%) | 0 | <0.001 |
| Imaging | ||||
| Cavity | 9 (22%) | 6 18.2%) | 4 (14.3%) | <0.001 |
| Infiltration | 14 (34.1%) | 3 (9.1%) | 2 (7.1%) | 0.020 |
| Fibrosis | 25 (60.9%) | 4 (12.1%) | 6 (21.4%) | <0.001 |
| Pleural thickening | 20 (48.8%) | 4 (12.1%) | 4 (14.3%) | 0.333 |
| Bronchiectasis | 19 (46.3%) | 2 (6.1%) | 3 (10.7%) | 0.252 |
| Fungal ball | 0 | 0 | 1 (3.7%) | <0.001 |
| Quality of Life | ||||
| SGRQ (mean ± SD) | 43.1 ± 9.127 | 9.3 ± 6.848 | 13.1 ± 18.064 | 0.124 |
| Age | Sex | Symptoms | ASPG Ab | Culture | CT Scan at T1 /T2 | SGRQ at Baseline, T1, and T2 |
|---|---|---|---|---|---|---|
| 30 | M | Cough, haemoptysis, chest pain, weight loss | Positive | A. fumigatus, A. niger | Cavities, intracavitary material, pericavitary infiltration, pleural thickening adjacent cavity, bronchiectasis, pleural effusion | 45, 29, 83 |
| 49 | M | Cough, dyspnoea, weight loss | Positive | A. fumigatus | Cavities, fungal ball, pleural thickening adjacent cavity, pericavitary fibrosis, bronchiectasis | 46, 14, 23 |
| 50 | M | Haemoptysis, cough, fatigue | Positive | A. fumigatus | Cavities, intracavitary material, pleural thickening adjacent cavity, pericavitary fibrosis, nodules, bronchiectasis | 30, 15, 49 |
Disclaimer/Publisher’s Note: The statements, opinions and data contained in all publications are solely those of the individual author(s) and contributor(s) and not of MDPI and/or the editor(s). MDPI and/or the editor(s) disclaim responsibility for any injury to people or property resulting from any ideas, methods, instructions or products referred to in the content. |
© 2022 by the authors. Licensee MDPI, Basel, Switzerland. This article is an open access article distributed under the terms and conditions of the Creative Commons Attribution (CC BY) license (https://creativecommons.org/licenses/by/4.0/).
Share and Cite
Ocansey, B.K.; Otoo, B.; Gbadamosi, H.; Afriyie-Mensah, J.S.; Opintan, J.A.; Kosmidis, C.; Denning, D.W. Importance of Aspergillus-Specific Antibody Screening for Diagnosis of Chronic Pulmonary Aspergillosis after Tuberculosis Treatment: A Prospective Follow-Up Study in Ghana. J. Fungi 2023, 9, 26. https://doi.org/10.3390/jof9010026
Ocansey BK, Otoo B, Gbadamosi H, Afriyie-Mensah JS, Opintan JA, Kosmidis C, Denning DW. Importance of Aspergillus-Specific Antibody Screening for Diagnosis of Chronic Pulmonary Aspergillosis after Tuberculosis Treatment: A Prospective Follow-Up Study in Ghana. Journal of Fungi. 2023; 9(1):26. https://doi.org/10.3390/jof9010026
Chicago/Turabian StyleOcansey, Bright K., Benjamin Otoo, Hafisatu Gbadamosi, Jane S. Afriyie-Mensah, Japheth A. Opintan, Chris Kosmidis, and David W. Denning. 2023. "Importance of Aspergillus-Specific Antibody Screening for Diagnosis of Chronic Pulmonary Aspergillosis after Tuberculosis Treatment: A Prospective Follow-Up Study in Ghana" Journal of Fungi 9, no. 1: 26. https://doi.org/10.3390/jof9010026
APA StyleOcansey, B. K., Otoo, B., Gbadamosi, H., Afriyie-Mensah, J. S., Opintan, J. A., Kosmidis, C., & Denning, D. W. (2023). Importance of Aspergillus-Specific Antibody Screening for Diagnosis of Chronic Pulmonary Aspergillosis after Tuberculosis Treatment: A Prospective Follow-Up Study in Ghana. Journal of Fungi, 9(1), 26. https://doi.org/10.3390/jof9010026

