The Chromatin Modifier Protein FfJMHY Plays an Important Role in Regulating the Rate of Mycelial Growth and Stipe Elongation in Flammulina filiformis
Abstract
:1. Introduction
2. Materials and Methods
2.1. Strains and Culture Conditions
2.2. Gene Sequence and Structure Analysis of FfJmhy in F. filiformis
2.3. Total DNA and RNA Extraction and RT-qPCR
2.4. Bioinformatics Analysis of the FfJMHY
2.5. FfJmhy Overexpression and Silencing Plasmid Construction
2.6. FfJmhy Overexpression and Silencing Strain Construction
2.7. Phenotypic Analysis of the Transformants
2.8. Statistical Analysis
3. Results
3.1. Gene Structure, Protein Structure, and Phylogeny of FfJmhy
3.2. Bioinformatics Analysis of FfJMHY
3.3. FfJmhy Is Significantly Highly Expressed during the Rapid Elongation of the Stipe
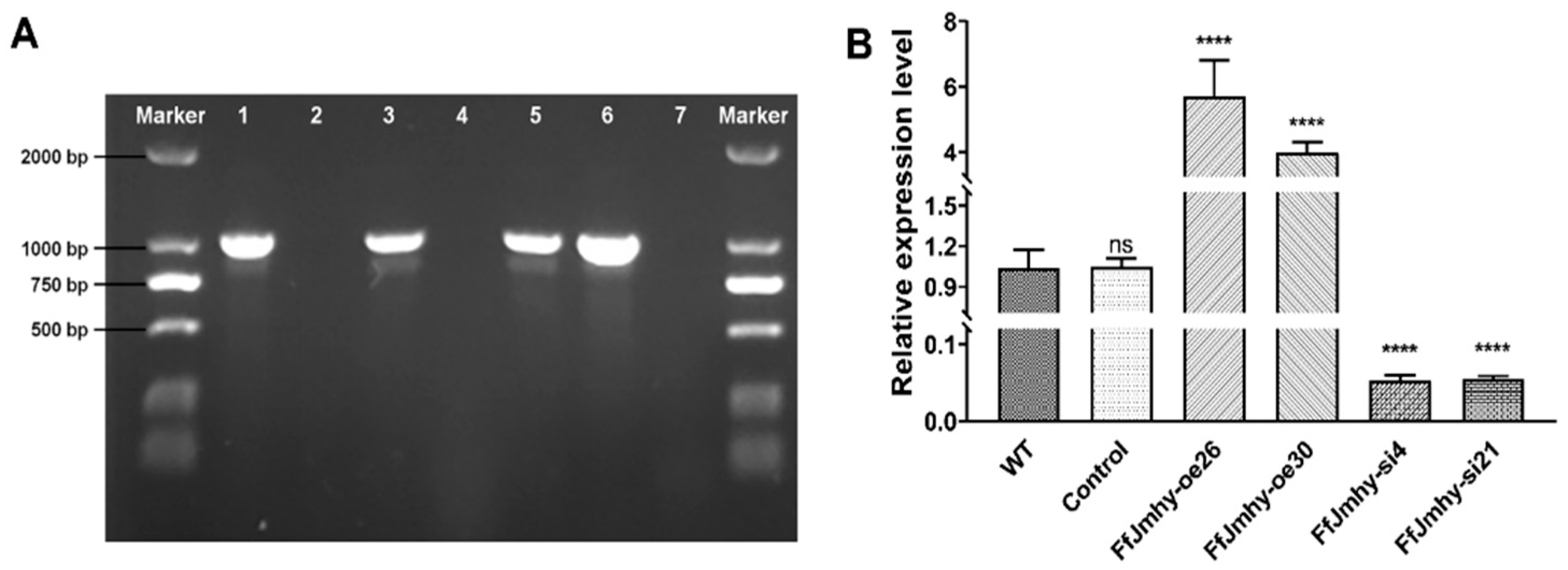
3.4. Obtaining FfJmhy Overexpression and Silencing Mutants
3.5. FfJmhy Silencing Reduces the Normal Growth of Mycelia
3.6. FfJmhy Positively Regulates Stipe Development
3.7. FfJmhy Regulates the Transcription of Glucanase and Glucan Synthase Genes
3.8. FfJmhy Positively Regulates the Transcription of the Chitinase Gene
3.9. FfJmhy Regulates the Transcription of Expansin Protein-Related Genes
4. Discussion
Supplementary Materials
Author Contributions
Funding
Institutional Review Board Statement
Informed Consent Statement
Data Availability Statement
Conflicts of Interest
References
- Dai, Y.C.; Yang, Z.L. Notes on the nomenclature of five important edible fungi in China. Mycosystema 2018, 37, 1572–1577. [Google Scholar] [CrossRef]
- Shao, Y.; Tao, Y.; Duan, J.; Du, H.; Tong, Z.; Zhu, J. Expression Profile of Amylase Family Genes at Different Developmental Stages in Flammulina velutipes. Acta Edulis Fungi 2017, 24, 18–24. [Google Scholar]
- Cox, R.J.; Niederpruem, D.J. Differentiation in Coprinus lagopus III. Expansion of excised fruit-bodies. Arch. Microbiol. 1975, 105, 257–260. [Google Scholar] [CrossRef] [PubMed]
- Craig, G.D.; Gull, K.; Wood, D.A. Stipe Elongation in Agaricus bisporus. J. Gen. Microbiol. 1977, 102, 337–347. [Google Scholar] [CrossRef] [Green Version]
- Moore, D.; Elhiti, M.M.Y.; Butler, R.D. Morphogenesis of the carpophore of Coprinus cinereus. New Phytol. 1979, 83, 695–722. [Google Scholar] [CrossRef]
- Tao, Y.; van Peer, A.F.; Chen, B.; Chen, Z.; Zhu, J.; Deng, Y.; Jiang, Y.; Li, S.; Wu, T.; Xie, B. Gene expression profiling reveals large regulatory switches between succeeding stipe stages in Volvariella volvacea. PLoS ONE 2014, 9, e97789. [Google Scholar] [CrossRef] [Green Version]
- Cabib, E.; Arroyo, J. How carbohydrates sculpt cells: Chemical control of morphogenesis in the yeast cell wall. Nat. Rev. Microbiol. 2013, 11, 648–655. [Google Scholar] [CrossRef]
- Kamada, T.; Takemaru, T. Stipe elongation during basidiocarp maturation in Coprinus macrorhizus: Changes in polysaccharide composition of stipe cell wall during elongation. Plant Cell Physiol. 1977, 18, 1291–1300. [Google Scholar] [CrossRef]
- Shioya, T.; Nakamura, H.; Ishii, N.; Takahashi, N.; Sakamoto, Y.; Ozaki, N.; Kobayashi, M.; Okano, K.; Kamada, T.; Muraguchi, H. The Coprinopsis cinerea septin Cc.Cdc3 is involved in stipe cell elongation. Fungal Genet. Biol. 2013, 58–59, 80–90. [Google Scholar] [CrossRef]
- Takashi, K.; Tadashi, F.; Tohru, N.; Tsuneo, T. Changes in (1,3)-β-glucanase activities during stipe elongation in Coprinus cinereus. Curr. Microbiol. 1985, 12, 257–360. [Google Scholar]
- Zhou, J.; Kang, L.; Liu, C.; Niu, X.; Wang, X.; Liu, H.; Zhang, W.; Liu, Z.; Latge, J.P.; Yuan, S. Chitinases Play a Key Role in Stipe Cell Wall Extension in the Mushroom Coprinopsis cinerea. Appl. Environ. Microbiol. 2019, 85, e00532-19. [Google Scholar] [CrossRef] [PubMed] [Green Version]
- Tao, Y.X.; Duan, J.Y.; Tong, Z.J.; Yan, J.J.; Song, H.B.; Xie, B.G. Identification of exo-β-1,3-glucanase family genes and differential expression of the genes at different developmental stages in Flammulina filiformis. Mycosystema 2018, 37, 1661–1670. [Google Scholar] [CrossRef]
- Long, Y.; Yan, J.; Tong, Z.; Liu, Y.; Miao, J. A glucan synthase gene associated with stipe elongation of Flammulina velutipes. J. Fujian Agric. For. Univ. 2018, 47, 668–704. [Google Scholar]
- Tovar-Herrera, O.E.; Batista-Garcia, R.A.; Sanchez-Carbente Mdel, R.; Iracheta-Cardenas, M.M.; Arevalo-Nino, K.; Folch-Mallol, J.L. A novel expansin protein from the white-rot fungus Schizophyllum commune. PLoS ONE 2015, 10, e0122296. [Google Scholar] [CrossRef] [PubMed]
- Huang, Q.; Han, X.; Mukhtar, I.; Gao, L.; Huang, R.; Fu, L.; Yan, J.; Tao, Y.; Chen, B.; Xie, B. Identification and Expression Patterns of fvexpl1, an Expansin-Like Protein-Encoding Gene, Suggest an Auxiliary Role in the Stipe Morphogenesis of Flammulina velutipes. J. Microbiol. Biotechnol. 2018, 28, 622–629. [Google Scholar] [CrossRef] [PubMed]
- Barsottini, M.R.; Oliveira, J.F.; Adamoski, D.; Teixeira, P.J.; Prado, P.F.; Tiezzi, H.O.; Sforca, M.L.; Cassago, A.; Portugal, R.V.; Oliveira, P.S.; et al. Functional diversification of cerato-platanins in Moniliophthora perniciosa as seen by differential expression and protein function specialization. Mol. Plant Microbe Interact. 2013, 26, 1281–1293. [Google Scholar] [CrossRef] [Green Version]
- Sakamoto, Y.; Nakade, K.; Konno, N.; Sato, T. Senescence of the Lentinula edodes fruiting. Food Qual. 2012, 134, 83–110. [Google Scholar]
- Pearson, G.; Robinson, F.; Gibson, T.B.; Xu, B.E.; Karandikar, M.; Berman, K.; Cobb, M.H. Mitogen-Activated Protein (MAP) Kinase Pathways: Regulation and Physiological Functions. Endocr. Soc. 2001, 22, 153–183. [Google Scholar]
- Tsukada, Y.; Fang, J.; Erdjument-Bromage, H.; Warren, M.E.; Borchers, C.H.; Tempst, P.; Zhang, Y. Histone demethylation by a family of JmjC domain-containing proteins. Nature 2006, 439, 811–816. [Google Scholar] [CrossRef]
- Rivenbark, A.G.; Strahl, B.D. Molecular biology. Unlocking cell fate. Science 2007, 318, 403–404. [Google Scholar] [CrossRef]
- De Jong, J.F.; Ohm, R.A.; de Bekker, C.; Wosten, H.A.; Lugones, L.G. Inactivation of ku80 in the mushroom-forming fungus Schizophyllum commune increases the relative incidence of homologous recombination. FEMS Microbiol. Lett. 2010, 310, 91–95. [Google Scholar] [CrossRef] [PubMed]
- Separovich, R.J.; Wilkins, M.R. Ready, SET, Go: Post-translational regulation of the histone lysine methylation network in budding yeast. J. Biol. Chem. 2021, 297, 100939. [Google Scholar] [CrossRef] [PubMed]
- Saze, H.; Shiraishi, A.; Miura, A.; Kakutani, T. Control of Genic DNA Methylation by a jmjC Domain-Containing Protein in Arabidopsis thaliana. Science 2008, 319, 462–465. [Google Scholar] [CrossRef] [PubMed]
- Tang, C.; Hoo, P.C.; Tan, L.T.; Pusparajah, P.; Khan, T.M.; Lee, L.H.; Goh, B.H.; Chan, K.G. Golden Needle Mushroom: A Culinary Medicine with Evidenced-Based Biological Activities and Health Promoting Properties. Front. Pharmacol. 2016, 7, 474. [Google Scholar] [CrossRef]
- Tao, Y.; Chen, R.; Yan, J.; Long, Y.; Tong, Z.; Song, H.; Xie, B. A hydrophobin gene, Hyd9, plays an important role in the formation of aerial hyphae and primordia in Flammulina filiformis. Gene 2019, 706, 84–90. [Google Scholar] [CrossRef]
- Porebski, S.; Bailey, L.G.; Baum, B.R. Modification of a CTAB DNA extraction protocol for plants containing high polysaccharide and polyphenol components. Plant Mol. Biol. Report. 1997, 15, 8–15. [Google Scholar] [CrossRef]
- Tao, Y.; van Peer, A.F.; Huang, Q.; Shao, Y.; Zhang, L.; Xie, B.; Jiang, Y.; Zhu, J.; Xie, B. Identification of novel and robust internal control genes from Volvariella volvacea that are suitable for RT-qPCR in filamentous fungi. Sci. Rep. 2016, 6, 29236. [Google Scholar] [CrossRef] [Green Version]
- Vandesompele, J.; Preter, K.D.; Pattyn, F.; Poppe, B.; Roy, N.V.; Paepe, A.D.; Speleman, F. Accurate normalization of real-time quantitative RT-PCR data by geometric averaging of multiple internal control genes. Genome Biol. 2002, 3, Rsesarch0034. [Google Scholar] [CrossRef] [Green Version]
- Bustin, S.A.; Benes, V.; Garson, J.A.; Hellemans, J.; Huggett, J.; Kubista, M.; Mueller, R.; Nolan, T.; Pfaffl, M.W.; Shipley, G.L.; et al. The MIQE guidelines: Minimum information for publication of quantitative real-time PCR experiments. Clin. Chem. 2009, 55, 611–622. [Google Scholar] [CrossRef] [Green Version]
- Bustin, S.A.; Wittwer, C.T. MIQE: A Step toward More Robust and Reproducible Quantitative PCR. Clin. Chem. 2017, 63, 1537–1538. [Google Scholar] [CrossRef] [Green Version]
- Livak, K.J.; Schmittgen, T.D. Analysis of relative gene expression data using real-time quantitative PCR and the 2(−ΔΔC(T)) Method. Methods 2001, 25, 402–408. [Google Scholar] [CrossRef] [PubMed]
- Gasteiger, E.; Hoogland, C.; Gattiker, A.; Duvaud, S.e.; Wilkins, M.R.; Appel, R.D.; Bairoch, A. Protein Identification and Analysis Tools on the ExPASy Server; Walker, J.M., Ed.; Humana Press: New York, NY, USA, 2005; pp. 571–607. [Google Scholar]
- Letunic, I.; Khedkar, S.; Bork, P. SMART: Recent updates, new developments and status in 2020. Nucleic Acids Res. 2021, 49, D458–D460. [Google Scholar] [CrossRef] [PubMed]
- Kosugi, S.; Hasebe, M.; Tomita, M.; Yanagawa, H. Systematic identification of cell cycle-dependent yeast nucleocytoplasmic shuttling proteins by prediction of composite motifs. Proc. Natl. Acad. Sci. USA 2009, 106, 10171–10176. [Google Scholar] [CrossRef] [PubMed] [Green Version]
- Thompson, J.D.; Higgins, D.G.; Gibson, T.J. CLUSTAL W: Improving the sensitivity of progressive multiple sequence alignment through sequence weighting, position-specific gap penalties and weight matrix choice. Nucleic Acids Res. 1994, 22, 4673–4680. [Google Scholar] [CrossRef] [Green Version]
- Kumar, S.; Stecher, G.; Tamura, K. MEGA7: Molecular Evolutionary Genetics Analysis Version 7.0 for Bigger Datasets. Mol. Biol. Evol. 2016, 33, 1870–1874. [Google Scholar] [CrossRef] [Green Version]
- Softberry ProtComp 9.0. Available online: http://linux1.softberry.com/berry.phtml?topic=protcompan&group=programs&subgroup=proloc (accessed on 26 March 2022).
- Lescot, M.; Déhais, P.; Thijs, G.; Marchal, K.; Moreau, Y.; Peer, Y.V.d.; Rouzé, P.; Rombauts, S. PlantCARE, a database of plant cis-acting regulatory elements and a portal to tools for in silico analysis of promoter sequences. Nucleic Acids Res. 2002, 30, 325–327. [Google Scholar] [CrossRef]
- Lu, Y.P.; Chen, R.L.; Long, Y.; Li, X.; Jiang, Y.J.; Xie, B.G. A Jacalin-Related Lectin Regulated the Formation of Aerial Mycelium and Fruiting Body in Flammulina velutipes. Int. J. Mol. Sci. 2016, 17, 1884. [Google Scholar] [CrossRef] [Green Version]
- Chen, X.; Stone, M.; Schlagnhaufer, C.; Romaine, C.P. A fruiting body tissue method for efficient Agrobacterium-mediated transformation of Agaricus bisporus. Appl. Environ. Microbiol. 2000, 66, 4510–4513. [Google Scholar] [CrossRef] [Green Version]
- Lin, Y.J.; Huang, L.H.; Huang, C.T. Enhancement of heterologous gene expression in Flammulina velutipes using polycistronic vectors containing a viral 2A cleavage sequence. PLoS ONE 2013, 8, e59099. [Google Scholar] [CrossRef]
- Shin, S.; Janknecht, R. Diversity within the JMJD2 histone demethylase family. Biochem. Biophys. Res. Commun. 2007, 353, 973–977. [Google Scholar] [CrossRef]
- Cloos, P.A.; Christensen, J.; Agger, K.; Maiolica, A.; Rappsilber, J.; Antal, T.; Hansen, K.H.; Helin, K. The putative oncogene GASC1 demethylates tri- and dimethylated lysine 9 on histone H3. Nature 2006, 442, 307–311. [Google Scholar] [CrossRef] [PubMed]
- Klose, R.J.; Kallin, E.M.; Zhang, Y. JmjC-domain-containing proteins and histone demethylation. Nat. Rev. Genet. 2006, 7, 715–727. [Google Scholar] [CrossRef] [PubMed]
- Liu, F.; Jin, F.; Zhai, X.; Jia, F. Development of histone methylation and demethylation. Chin. Agric. Sci. Bull. 2007, 23, 56–59. [Google Scholar]
- Wen, D.; Wu, X.; Huang, Q.; Chen, Y.; Xie, B.; Wen, Z. Identification and Expression Patterns Analysis of Expansin Fvexpl2 in Flammulina filiformis. North Hortic. 2020, 12, 135–141. [Google Scholar]
- Liu, C.; Bi, J.; Kang, L.; Zhou, J.; Liu, X.; Liu, Z.; Yuan, S. The molecular mechanism of stipe cell wall extension for mushroom stipe elongation growth. Fungal Biol. Rev. 2021, 35, 14–26. [Google Scholar] [CrossRef]
- Klose, R.J.; Yamane, K.; Bae, Y.; Zhang, D.; Erdjument-Bromage, H.; Tempst, P.; Wong, J.; Zhang, Y. The transcriptional repressor JHDM3A demethylates trimethyl histone H3 lysine 9 and lysine 36. Nature 2006, 442, 312–316. [Google Scholar] [CrossRef]
- Whetstine, J.R.; Nottke, A.; Lan, F.; Huarte, M.; Smolikov, S.; Chen, Z.; Spooner, E.; Li, E.; Zhang, G.; Colaiacovo, M.; et al. Reversal of histone lysine trimethylation by the JMJD2 family of histone demethylases. Cell 2006, 125, 467–481. [Google Scholar] [CrossRef] [Green Version]
- Jiang, Z.W.; Liu, X.G.; Zhou, Z.J. The Regulation of Histone Modifications. Prog. Biochem. Biophys. 2009, 2009, 1252–1259. [Google Scholar] [CrossRef]
- Tian, X.Q.; Fang, J.Y. Advance in The Studies on Histone Methylation. Prog. Biochem. Biophys. 2006, 33, 511–516. [Google Scholar]
- Tan, H.; Wu, S.; Wang, J.; Zhao, Z.K. The JMJD2 members of histone demethylase revisited. Mol. Biol. Rep. 2008, 35, 551–556. [Google Scholar] [CrossRef]
- Kim, J.; Kim, H. Recruitment and biological consequences of histone modification of H3K27me3 and H3K9me3. Northem Ariz. Univ. 2012, 53, 232–239. [Google Scholar] [CrossRef] [PubMed] [Green Version]
- Kschonsak, M.; Haering, C.H. Shaping mitotic chromosomes: From classical concepts to molecular mechanisms. BioEssays 2015, 37, 755–766. [Google Scholar] [CrossRef] [PubMed]
- Sun, Q.; Zhou, D. RICE jmjC domain-containing gene JMJ706. Proc. Natl. Acad. Sci. USA 2008, 105, 13679–13684. [Google Scholar] [CrossRef] [PubMed] [Green Version]
- Arroyo, J.; Farkas, V.; Sanz, A.B.; Cabib, E. Strengthening the fungal cell wall through chitin-glucan cross-links: Effects on morphogenesis and cell integrity. Cell Microbiol. 2016, 18, 1239–1250. [Google Scholar] [CrossRef] [PubMed]
- Patel, P.K.; Free, S.J. The Genetics and Biochemistry of Cell Wall Structure and Synthesis in Neurospora crassa, a Model Filamentous Fungus. Front. Microbiol. 2019, 10, 2294. [Google Scholar] [CrossRef]
- Ruiz-Herrera, J.; Elorza, M.V.; Valentin, E.; Sentandreu, R. Molecular organization of the cell wall of Candida albicans and its relation to pathogenicity. FEMS Yeast Res. 2006, 6, 14–29. [Google Scholar] [CrossRef] [Green Version]
- Gao, Y.; Wang, X. The Review of the Development of Researches on Expansin. Chin. Agric. Sci. Bull. 2005, 21, 82–86. [Google Scholar]










Publisher’s Note: MDPI stays neutral with regard to jurisdictional claims in published maps and institutional affiliations. |
© 2022 by the authors. Licensee MDPI, Basel, Switzerland. This article is an open access article distributed under the terms and conditions of the Creative Commons Attribution (CC BY) license (https://creativecommons.org/licenses/by/4.0/).
Share and Cite
Li, J.; Shao, Y.; Yang, Y.; Xu, C.; Jing, Z.; Li, H.; Xie, B.; Tao, Y. The Chromatin Modifier Protein FfJMHY Plays an Important Role in Regulating the Rate of Mycelial Growth and Stipe Elongation in Flammulina filiformis. J. Fungi 2022, 8, 477. https://doi.org/10.3390/jof8050477
Li J, Shao Y, Yang Y, Xu C, Jing Z, Li H, Xie B, Tao Y. The Chromatin Modifier Protein FfJMHY Plays an Important Role in Regulating the Rate of Mycelial Growth and Stipe Elongation in Flammulina filiformis. Journal of Fungi. 2022; 8(5):477. https://doi.org/10.3390/jof8050477
Chicago/Turabian StyleLi, Jian, Yanping Shao, Yayong Yang, Chang Xu, Zhuohan Jing, Hui Li, Baogui Xie, and Yongxin Tao. 2022. "The Chromatin Modifier Protein FfJMHY Plays an Important Role in Regulating the Rate of Mycelial Growth and Stipe Elongation in Flammulina filiformis" Journal of Fungi 8, no. 5: 477. https://doi.org/10.3390/jof8050477
APA StyleLi, J., Shao, Y., Yang, Y., Xu, C., Jing, Z., Li, H., Xie, B., & Tao, Y. (2022). The Chromatin Modifier Protein FfJMHY Plays an Important Role in Regulating the Rate of Mycelial Growth and Stipe Elongation in Flammulina filiformis. Journal of Fungi, 8(5), 477. https://doi.org/10.3390/jof8050477

