Exclusion of Mucorales Co-Infection in a Patient with Aspergillus flavus Sinusitis by Fluorescence In Situ Hybridization (FISH)
Abstract
1. Introduction
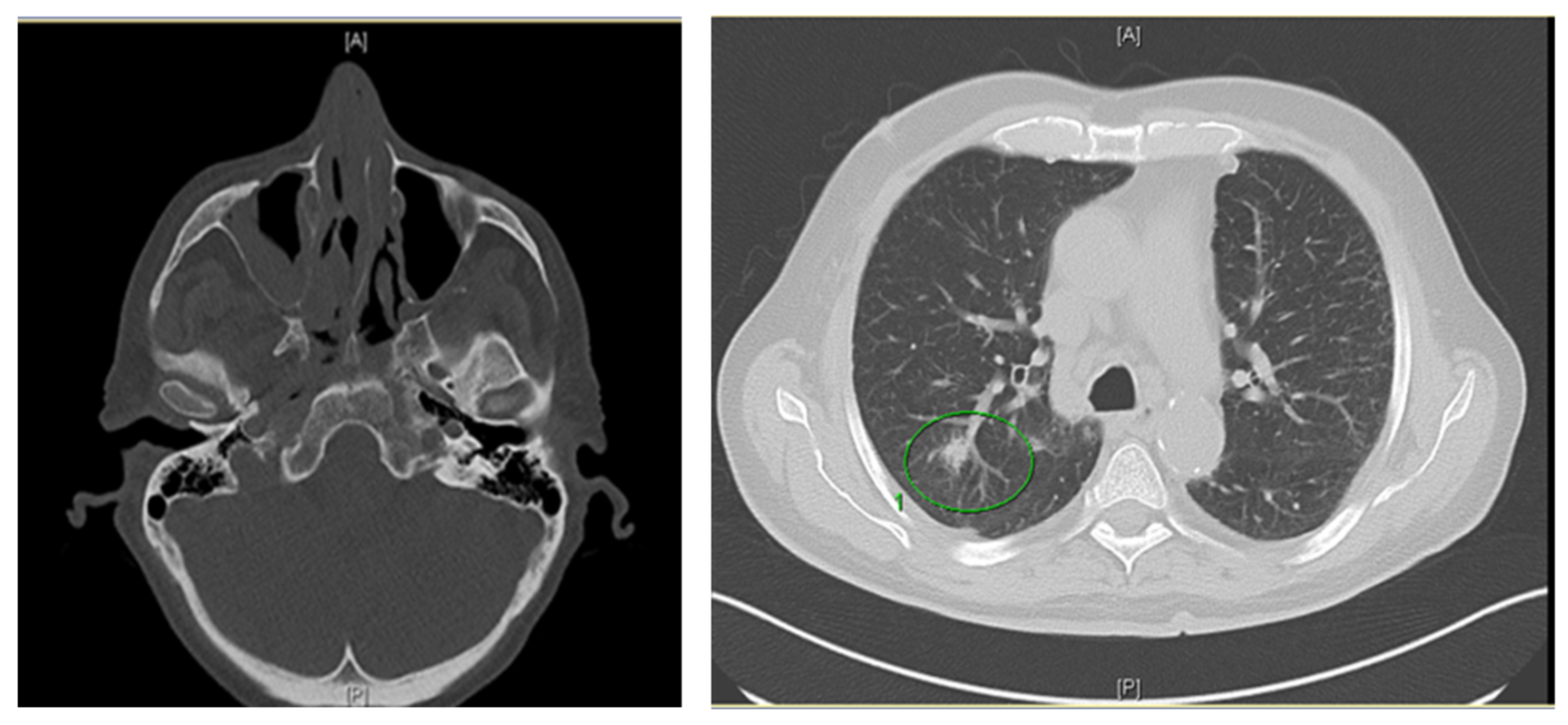
2. Case Report
3. Molecular Diagnostics Applied to the Formalin-Fixed, Paraffin-Embedded (FFPE) Sinus Tissue
4. Discussion
5. Conclusions
Author Contributions
Funding
Informed Consent Statement
Data Availability Statement
Conflicts of Interest
References
- Pagano, L.; Busca, A.; Candoni, A.; Cattaneo, C.; Cesaro, S.; Fanci, R.; Nadali, G.; Potenza, L.; Russo, D.; Tumbarello, M.; et al. Risk stratification for invasive fungal infections in patients with hematological malignancies: SEIFEM recommendations. Blood Rev. 2017, 31, 17–29. [Google Scholar] [CrossRef] [PubMed]
- Petrikkos, G.; Skiada, A.; Lortholary, O.; Roilides, E.; Walsh, T.J.; Kontoyiannis, D.P. Epidemiology and clinical manifestations of mucormycosis. Clin. Infect. Dis. 2012, 54 (Suppl. S1), S23–S34. [Google Scholar] [CrossRef] [PubMed]
- Kontoyiannis, D.P.; Marr, K.A.; Park, B.J.; Alexander, B.D.; Anaissie, E.J.; Walsh, T.J.; Ito, J.; Andes, D.R.; Baddley, J.W.; Brown, J.M.; et al. Prospective surveillance for invasive fungal infections in hematopoietic stem cell transplant recipients, 2001–2006: Overview of the Transplant-Associated Infection Surveillance Network (TRANSNET) Database. Clin. Infect. Dis. 2010, 50, 1091–1100. [Google Scholar] [CrossRef] [PubMed]
- Harrison, N.; Mitterbauer, M.; Tobudic, S.; Kalhs, P.; Rabitsch, W.; Greinix, H.; Burgmann, H.; Willinger, B.; Presterl, E.; Forstner, C. Incidence and characteristics of invasive fungal diseases in allogeneic hematopoietic stem cell transplant recipients: A retrospective cohort study. BMC Infect. Dis. 2015, 15, 584. [Google Scholar] [CrossRef]
- Corzo-León, D.E.; Satlin, M.J.; Soave, R.; Shore, T.B.; Schuetz, A.N.; Jacobs, S.E.; Walsh, T.J. Epidemiology and outcomes of invasive fungal infections in allogeneic haematopoietic stem cell transplant recipients in the era of antifungal prophylaxis: A single-centre study with focus on emerging pathogens. Mycoses 2015, 58, 325–336. [Google Scholar] [CrossRef]
- Heinz, W.J.; Buchheidt, D.; Christopeit, M.; von Lilienfeld-Toal, M.; Cornely, O.A.; Einsele, H.; Karthaus, M.; Link, H.; Mahlberg, R.; Neumann, S.; et al. Diagnosis and empirical treatment of fever of unknown origin (FUO) in adult neutropenic patients: Guidelines of the Infectious Diseases Working Party (AGIHO) of the German Society of Hematology and Medical Oncology (DGHO). Ann. Hematol. 2017, 96, 1775–1792. [Google Scholar] [CrossRef]
- Donnelly, J.P.; Chen, S.C.; Kauffman, C.A.; Steinbach, W.J.; Baddley, J.W.; Verweij, P.E.; Clancy, C.J.; Wingard, J.R.; Lockhart, S.R.; Groll, A.H.; et al. Revision and Update of the Consensus Definitions of Invasive Fungal Disease From the European Organization for Research and Treatment of Cancer and the Mycoses Study Group Education and Research Consortium. Clin. Infect. Dis. 2020, 71, 1367–1376. [Google Scholar] [CrossRef]
- Hoenigl, M.; Prattes, J.; Spiess, B.; Wagner, J.; Prueller, F.; Raggam, R.B.; Posch, V.; Duettmann, W.; Hoenigl, K.; Wölfler, A.; et al. Performance of galactomannan, beta-d-glucan, Aspergillus lateral-flow device, conventional culture, and PCR tests with bronchoalveolar lavage fluid for diagnosis of invasive pulmonary aspergillosis. J. Clin. Microbiol. 2014, 52, 2039–2045. [Google Scholar] [CrossRef]
- Bassetti, M.; Giacobbe, D.R.; Grecchi, C.; Rebuffi, C.; Zuccaro, V.; Scudeller, L. Performance of existing definitions and tests for the diagnosis of invasive aspergillosis in critically ill, adult patients: A systematic review with qualitative evidence synthesis. J. Infect. 2020, 81, 131–146. [Google Scholar] [CrossRef]
- Schlossberg, D. Clinical Infectious Disease; Cambridge University Press: Cambridge, UK, 2008; ISBN 978-0-521-87112-9. [Google Scholar]
- Welte, T.; Len, O.; Muñoz, P.; Romani, L.; Lewis, R.; Perrella, A. Invasive mould infections in solid organ transplant patients: Modifiers and indicators of disease and treatment response. Infection 2019, 47, 919–927. [Google Scholar] [CrossRef]
- Neofytos, D.; Treadway, S.; Ostrander, D.; Alonso, C.D.; Dierberg, K.L.; Nussenblatt, V.; Durand, C.M.; Thompson, C.B.; Marr, K.A. Epidemiology, outcomes, and mortality predictors of invasive mold infections among transplant recipients: A 10-year, single-center experience. Transpl. Infect. Dis. 2013, 15, 233–242. [Google Scholar] [CrossRef] [PubMed]
- Candoni, A.; Klimko, N.; Busca, A.; Di Blasi, R.; Shadrivova, O.; Cesaro, S.; Zannier, M.E.; Verga, L.; Forghieri, F.; Calore, E.; et al. Fungal infections of the central nervous system and paranasal sinuses in onco-haematologic patients. Epidemiological study reporting the diagnostic-therapeutic approach and outcome in 89 cases. Mycoses 2019, 62, 252–260. [Google Scholar] [CrossRef] [PubMed]
- Nucci, M.; Perfect, J.R. When primary antifungal therapy fails. Clin. Infect. Dis. 2008, 46, 1426–1433. [Google Scholar] [CrossRef] [PubMed]
- Durand, M.L.; Kitt, T.M.; Song, Y.; Marty, F.M. Isavuconazole Treatment of Invasive Fungal Sinusitis: A Post Hoc Analysis of the SECURE and VITAL Trials. Clin. Infect. Dis. 2021, 73, e1380–e1383. [Google Scholar] [CrossRef]
- Lockhart, S.R.; Bialek, R.; Kibbler, C.C.; Cuenca-Estrella, M.; Jensen, H.E.; Kontoyiannis, D.P. Molecular Techniques for Genus and Species Determination of Fungi From Fresh and Paraffin-Embedded Formalin-Fixed Tissue in the Revised EORTC/MSGERC Definitions of Invasive Fungal Infection. Clin. Infect. Dis. 2021, 72, S109–S113. [Google Scholar] [CrossRef]
- EUCAST. European Committee on Antimicrobial Susceptibility Testing: Breakpoint Tables for Interpretation of MICs for Antifungal Agents Version 10.0. Available online: https://www.eucast.org/fileadmin/src/media/PDFs/EUCAST_files/AFST/Clinical_breakpoints/AFST_BP_v10.0_200204_updatd_links_200924.pdf (accessed on 4 February 2020).
- Rickerts, V.; McCormick Smith, I.; Mousset, S.; Kommedal, O.; Fredricks, D.N. Deciphering the aetiology of a mixed fungal infection by broad-range PCR with sequencing and fluorescence in situ hybridisation. Mycoses 2013, 56, 681–686. [Google Scholar] [CrossRef]
- Rooms, I.; Mugisha, P.; Gambichler, T.; Hadaschik, E.; Esser, S.; Rath, P.-M.; Haase, G.; Wilmes, D.; McCormick-Smith, I.; Rickerts, V. Disseminated Emergomycosis in a Person with HIV Infection, Uganda. Emerg. Infect. Dis. 2019, 25, 1750–1751. [Google Scholar] [CrossRef]
- Springer, J.; McCormick Smith, I.; Hartmann, S.; Winkelmann, R.; Wilmes, D.; Cornely, O.; Kessel, J.; Löffler, J.; Rickerts, V. Identification of Aspergillus and Mucorales in formalin-fixed, paraffin-embedded tissue samples: Comparison of specific and broad-range fungal qPCR assays. Med. Mycol. 2019, 57, 308–313. [Google Scholar] [CrossRef]
- Denning, D.W.; Marinus, A.; Cohen, J.; Spence, D.; Herbrecht, R.; Pagano, L.; Kibbler, C.; Kermery, V.; Offner, F.; Cordonnier, C.; et al. An EORTC multicentre prospective survey of invasive aspergillosis in haematological patients: Diagnosis and therapeutic outcome. J. Infect. 1998, 37, 173–180. [Google Scholar] [CrossRef]
- Skiada, A.; Pavleas, I.; Drogari-Apiranthitou, M. Rare fungal infectious agents: A lurking enemy. F1000Research 2017, 6, 1917. [Google Scholar] [CrossRef]
- Lamoth, F.; Kontoyiannis, D.P. Therapeutic Challenges of Non-Aspergillus Invasive Mold Infections in Immunosuppressed Patients. Antimicrob. Agents Chemother. 2019, 63, e01244-19. [Google Scholar] [CrossRef] [PubMed]
- Rabagliati, B.R.; Fuentes, L.G.; Guzmán, D.A.M.; Orellana, U.E.; Oporto, C.J.; Aedo, C.I.; Garrido, S.M.; Nervi, N.B. Enfermedad fúngica invasora en pacientes hemato-oncológicos y receptores de trasplante de precursores hematopoyéticos bajo la perspectiva de los criterios diagnósticos EORTC/MSG. Rev. Chil. Infectol. 2009, 26, 212–219. [Google Scholar] [CrossRef][Green Version]
- Rickerts, V.; Khot, P.D.; Myerson, D.; Ko, D.L.; Lambrecht, E.; Fredricks, D.N. Comparison of quantitative real time PCR with Sequencing and ribosomal RNA-FISH for the identification of fungi in formalin fixed, paraffin-embedded tissue specimens. BMC Infect. Dis. 2011, 11, 202. [Google Scholar] [CrossRef] [PubMed]
- Dalimot, J.J.; McGormick Smith, I.; Gerkrath, J.; Hartmann, S.; Cornely, O.A.; Chan Lee, S.; Heitman, J.; Rickerts, V. Identification of mucormycosis by fluorescence in situ hybridazation targeting ribosomal RNA in tissue samples. J. Fungi 2022. submitted. [Google Scholar] [CrossRef]
- Larkin, P.M.K.; Lawson, K.L.; Contreras, D.A.; Le, C.Q.; Trejo, M.; Realegeno, S.; Hilt, E.E.; Chandrasekaran, S.; Garner, O.B.; Fishbein, G.A.; et al. Amplicon-Based Next-Generation Sequencing for Detection of Fungi in Formalin-Fixed, Paraffin-Embedded Tissues: Correlation with Histopathology and Clinical Applications. J. Mol. Diagn. 2020, 22, 1287–1293. [Google Scholar] [CrossRef]
- Choi, S.; Song, J.S.; Kim, J.Y.; Cha, H.H.; Yun, J.H.; Park, J.W.; Jung, K.H.; Jo, K.M.; Jung, J.; Kim, M.J.; et al. Diagnostic performance of immunohistochemistry for the aspergillosis and mucormycosis. Mycoses 2019, 62, 1006–1014. [Google Scholar] [CrossRef] [PubMed]



| Probe Name | Target | Use | Sequence (5′->3′) | Dye | Tm (°C) |
|---|---|---|---|---|---|
| mucor | 18S | Muc | CACGTACTTTTTCACTCTC | 5′-Cy5 | 52.4 |
| Lichtheimia | 18S | Muc | GCTTTAAACACTCTGATTTG | 5′-Cy5 | 51.5 |
| AspF | 28S | Asp | TGACGGCCCGTTCCAG | 5′-Cy3 | 56.9 |
| EUK516 | 18S | pos | ACCAGACTTGCCCTCC | 5′-AF488 | 54,3 |
| nonEUB | - | neg | ACTCCTACGGGAGGCAGC | 5′-AF488 | 60.5 |
| 5′-Cy3 | 60.5 | ||||
| 5′-Cy5 | 60.5 |
Publisher’s Note: MDPI stays neutral with regard to jurisdictional claims in published maps and institutional affiliations. |
© 2022 by the authors. Licensee MDPI, Basel, Switzerland. This article is an open access article distributed under the terms and conditions of the Creative Commons Attribution (CC BY) license (https://creativecommons.org/licenses/by/4.0/).
Share and Cite
Kessel, J.; Hogardt, M.; Aspacher, L.; Wichelhaus, T.A.; Gerkrath, J.; Rosenow, E.; Springer, J.; Rickerts, V. Exclusion of Mucorales Co-Infection in a Patient with Aspergillus flavus Sinusitis by Fluorescence In Situ Hybridization (FISH). J. Fungi 2022, 8, 306. https://doi.org/10.3390/jof8030306
Kessel J, Hogardt M, Aspacher L, Wichelhaus TA, Gerkrath J, Rosenow E, Springer J, Rickerts V. Exclusion of Mucorales Co-Infection in a Patient with Aspergillus flavus Sinusitis by Fluorescence In Situ Hybridization (FISH). Journal of Fungi. 2022; 8(3):306. https://doi.org/10.3390/jof8030306
Chicago/Turabian StyleKessel, Johanna, Michael Hogardt, Lukas Aspacher, Thomas A. Wichelhaus, Jasmin Gerkrath, Emely Rosenow, Jan Springer, and Volker Rickerts. 2022. "Exclusion of Mucorales Co-Infection in a Patient with Aspergillus flavus Sinusitis by Fluorescence In Situ Hybridization (FISH)" Journal of Fungi 8, no. 3: 306. https://doi.org/10.3390/jof8030306
APA StyleKessel, J., Hogardt, M., Aspacher, L., Wichelhaus, T. A., Gerkrath, J., Rosenow, E., Springer, J., & Rickerts, V. (2022). Exclusion of Mucorales Co-Infection in a Patient with Aspergillus flavus Sinusitis by Fluorescence In Situ Hybridization (FISH). Journal of Fungi, 8(3), 306. https://doi.org/10.3390/jof8030306

