The Pathogenesis and Diagnosis of Pneumocystis jiroveci Pneumonia
Abstract
1. Introduction
2. Phylogeny
3. Pathogenesis
3.1. Pneumocystis Life Cycle and Transmission of Infection
3.2. Primary Infection versus Reactivation of Latent Infection
3.3. Host Risk Factors
4. Diagnosis
4.1. Clinical Presentation
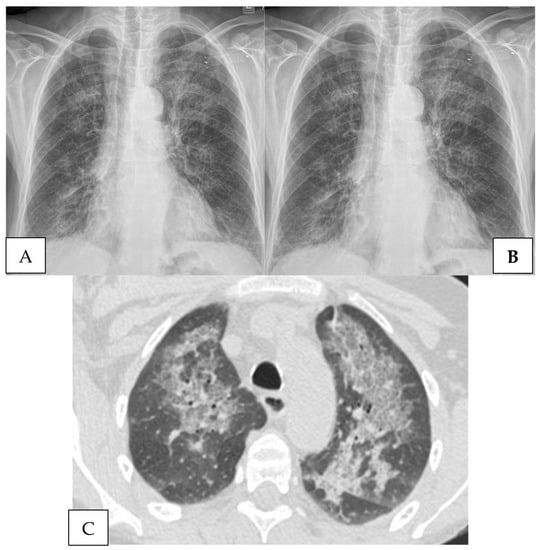
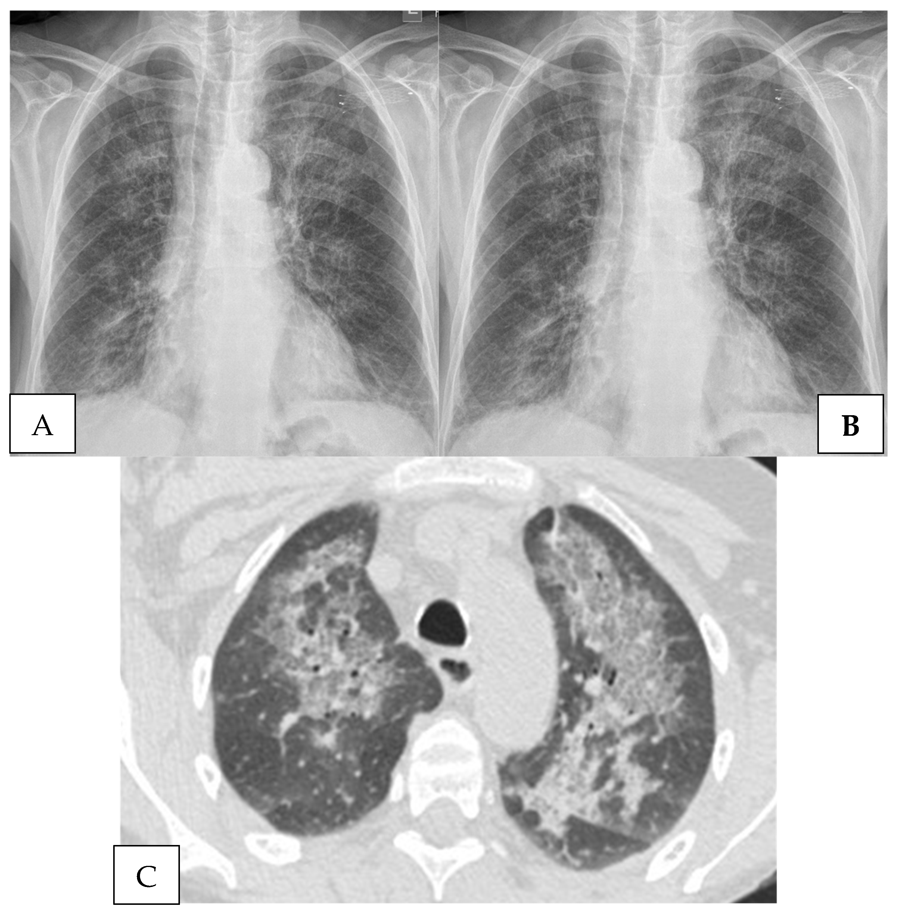
4.2. Radiography
4.3. Microbiology

4.4. Other Laboratory Evaluation
4.5. Histopathology
5. Conclusions and Future Directions
Author Contributions
Funding
Institutional Review Board Statement
Informed Consent Statement
Data Availability Statement
Conflicts of Interest
References
- Stringer, S.L.; Hudson, K.; Blase, M.A.; Walzer, P.D.; Cushion, M.T.; Stringer, J.R. Sequence from ribosomal RNA of Pneumocystis carinii compared to those of four fungi suggests an ascomycetous affinity. J. Protozool 1989, 36, 14s–16s. [Google Scholar] [CrossRef] [PubMed]
- Edman, J.C.; Kovacs, J.A.; Masur, H.; Santi, D.V.; Elwood, H.J.; Sogin, M.L. Ribosomal RNA sequence shows Pneumocystis carinii to be a member of the Fungi. Nature 1988, 334, 519–522. [Google Scholar] [CrossRef] [PubMed]
- van der Meer, M.; Brug, S. Infection à pneumocystis chez l’homme et chez les animaux. Ann. Soc. Belge Méd. Trop. 1942, 22, 301–309. [Google Scholar]
- Vanek, J.; Jirovec, O. Parasitic pneumonia. Interstitial plasma cell pneumonia of premature, caused by Pneumocystis carinii. Zentralbl. Bakteriol. Orig. 1952, 158, 120–127. [Google Scholar] [PubMed]
- Hendry, W.S.; Patrick, R.L. Observations on thirteen cases of Pneumocystis cartnii pneumonia. Am. J. Clin. Pathol. 1962, 38, 401–405. [Google Scholar] [CrossRef][Green Version]
- Kossel, A. Interstitielle plasmazelluläre pneumonie beim älteren kind als folge langdauernder corticosteroidbehandlung1, 2. Dtsch. Med. Wochenschr. 1962, 87, 1133–1139. [Google Scholar] [CrossRef]
- Burke, B.A.; Good, R.A. Pneumocystis carinii infection. Medicine 1973, 52, 23–52. [Google Scholar] [CrossRef]
- Kohout, E.; Post, C.; Azadeh, B.; Dutz, W.; Bandarizadeh, B.; Kadivar, D. Immunoglobulin levels in infantile pneumocystosis. J. Clin. Pathol. 1972, 25, 135–140. [Google Scholar] [CrossRef]
- Available online: https://www.cdc.gov/mmwr/preview/mmwrhtml/00001163.htm (accessed on 26 June 2022).
- Rifkind, D.; Starzl, T.; Marchioro, T.; Waddell, W.; Rowland, D.J.; Hill, R.J. Transplantation pneumonia. JAMA 1964, 189, 808–812. [Google Scholar] [CrossRef]
- Furlong, S.T.; Samia, J.A.; Rose, R.M.; Fishman, J.A. Phytosterols are present in Pneumocystis carinii. Antimicrob. Agents Chemother. 1994, 38, 2534–2540. [Google Scholar] [CrossRef][Green Version]
- Fishman, J.A. Cross-reactive antigens of the rat and human Pneumocystis carinii. J. Protozool 1989, 36, 66s–67s. [Google Scholar] [PubMed]
- Fishman, J.A. Molecular cloning of antigens shared by rat- and human-derived Pneumocystis carinii. Biotechnol. Adv. 1995, 14, 467. [Google Scholar]
- Fishman, J.A. Pneumocystis jiroveci. Semin. Respir. Crit. Care Med. 2020, 41, 141–157. [Google Scholar] [CrossRef] [PubMed]
- Gigliotti, F.; Ballou, L.R.; Hughes, W.T.; Mosley, B.D. Purification and initial characterization of a ferret Pneumocystis carinii surface antigen. J. Infect. Dis. 1988, 158, 848–854. [Google Scholar]
- Radding, J.A.; Armstrong, M.Y.; Ullu, E.; Richards, F.F. Identification and isolation of a major cell surface glycoprotein of Pneumocystis carinii. Infect. Immun. 1989, 57, 2149–2157. [Google Scholar]
- Kovacs, J.A.; Powell, F.; Edman, J.C.; Lundgren, B.; Martinez, A.; Drew, B.; Angus, C.W. Multiple genes encode the major surface glycoprotein of Pneumocystis carinii. J. Biol. Chem. 1993, 268, 6034–6040. [Google Scholar] [CrossRef]
- Haidaris, P.J.; Wright, T.W.; Gigliotti, F.; Haidaris, C.G. Expression and characterization of a cDNA clone encoding an immunodominant surface glycoprotein of Pneumocystis carinii. J. Infect. Dis. 1992, 166, 1113–1123. [Google Scholar] [CrossRef]
- Linke, M.J.; Smulian, A.G.; Stringer, J.R.; Walzer, P.D. Characterization of multiple unique cDNAs encoding the major surface glycoprotein of rat-derived Pneumocystis carinii. Parasitol. Res. 1994, 80, 478–486. [Google Scholar] [CrossRef]
- Stringer, J.R.; Keely, S.P. Genetics of surface antigen expression in Pneumocystis carinii. Infect. Immun. 2001, 69, 627–639. [Google Scholar] [CrossRef]
- Bartlett, M.S.; Queener, S.F.; Shaw, M.M.; Richardson, J.D.; Smith, J.W. Pneumocystis carinii is resistant to imidazole antifungal agents. Antimicrob. Agents Chemother. 1994, 38, 1859–1861. [Google Scholar] [CrossRef]
- Kottom, T.J.; Limper, A.H. Cell wall assembly by Pneumocystis carinii. Evidence for a unique gsc-1 subunit mediating beta -1,3-glucan deposition. J. Biol. Chem. 2000, 275, 40628–40634. [Google Scholar] [CrossRef]
- Nollstadt, K.H.; Powles, M.A.; Fujioka, H.; Aikawa, M.; Schmatz, D.M. Use of beta-1,3-glucan-specific antibody to study the cyst wall of Pneumocystis carinii and effects of pneumocandin B0 analog L-733,560. Antimicrob. Agents Chemother. 1994, 38, 2258–2265. [Google Scholar] [CrossRef] [PubMed][Green Version]
- Aliouat-Denis, C.M.; Martinez, A.; Aliouat, E.M.; Pottier, M.; Gantois, N.; Dei-Cas, E. The pneumocystis life cycle. Mem. Inst. Oswaldo Cruz 2009, 104, 419–426. [Google Scholar] [CrossRef] [PubMed]
- Cushion, M.T.; Linke, M.J.; Ashbaugh, A.; Sesterhenn, T.; Collins, M.S.; Lynch, K.; Brubaker, R.; Walzer, P.D. Echinocandin treatment of pneumocystis pneumonia in rodent models depletes cysts leaving trophic burdens that cannot transmit the infection. PLoS ONE 2010, 5, e8524. [Google Scholar] [CrossRef] [PubMed]
- Fishman, J.A.; Queener, S.F.; Roth, R.S.; Bartlett, M.S. Activity of topoisomerase inhibitors against Pneumocystis carinii in vitro and in an inoculated mouse model. Antimicrob. Agents Chemother. 1993, 37, 1543–1546. [Google Scholar] [CrossRef][Green Version]
- Ong, V.; Ashbaugh, A.; Cushion, M.T. Rezafungin prevention of Pneumocystis pneumonia and Pneumocystis reactivation using different doses and durations of prophylaxis in a mouse model. Biol. Blood Marrow Transplant. 2020, 26, S328–S329. [Google Scholar] [CrossRef]
- Miesel, L.; Cushion, M.T.; Ashbaugh, A.; Lopez, S.R.; Ong, V. Efficacy of rezafungin in prophylactic mouse models of invasive candidiasis, aspergillosis, and pneumocystis pneumonia. Antimicrob. Agents Chemother. 2021, 65, e01992-20. [Google Scholar] [CrossRef]
- Hughes, W.T. Natural mode of acquisition for de novo infection with Pneumocystis carinii. J. Infect. Dis. 1982, 145, 842–848. [Google Scholar] [CrossRef]
- Shellito, J.; Suzara, V.; Blumenfeld, W.; Beck, J.; Steger, H.; Ermak, T. A new model of Pneumocystis carinii infection in mice selectively depleted of helper T-lymphocytes. J. Clin. Investig 1990, 85, 1686–1693. [Google Scholar] [CrossRef]
- An, C.L.; Gigliotti, F.; Harmsen, A.G. Exposure of immunocompetent adult mice to Pneumocystis carinii f. sp. muris by cohousing: Growth of P. carinii f. sp. muris and host immune response. Infect. Immun. 2003, 71, 2065–2070. [Google Scholar] [CrossRef]
- Gigliotti, F.; Harmsen, A.G.; Wright, T.W. Characterization of transmission of Pneumocystis carinii f. sp. muris through immunocompetent BALB/c mice. Infect. Immun. 2003, 71, 3852–3856. [Google Scholar] [PubMed]
- Chabé, M.; Dei-Cas, E.; Creusy, C.; Fleurisse, L.; Respaldiza, N.; Camus, D.; Durand-Joly, I. Immunocompetent hosts as a reservoir of pneumocystis organisms: Histological and rt-PCR data demonstrate active replication. Eur. J. Clin. Microbiol. Infect. Dis. 2004, 23, 89–97. [Google Scholar]
- Sassi, M.; Ripamonti, C.; Mueller, N.J.; Yazaki, H.; Kutty, G.; Ma, L.; Huber, C.; Gogineni, E.; Oka, S.; Goto, N.; et al. Outbreaks of Pneumocystis pneumonia in 2 renal transplant centers linked to a single strain of Pneumocystis: Implications for transmission and virulence. Clin. Infect. Dis. 2012, 54, 1437–1444. [Google Scholar] [CrossRef]
- de Boer, M.G.J.; van Coppenraet, L.E.S.B.; Gaasbeek, A.; Berger, S.P.; Gelinck, L.B.S.; van Houwelingen, H.C.; van den Broek, P.; Kuijper, E.J.; Kroon, F.P.; Vandenbroucke, J.P. An outbreak of Pneumocystis jiroveci Pneumonia with 1 predominant genotype among renal transplant recipients: Interhuman transmission or a common environmental source? Clin. Infect. Dis. 2007, 44, 1143–1149. [Google Scholar] [CrossRef] [PubMed]
- Yazaki, H.; Goto, N.; Uchida, K.; Kobayashi, T.; Gatanaga, H.; Oka, S. Outbreak of Pneumocystis jiroveci Pneumonia in renal transplant recipients: P. jiroveci is contagious to the susceptible host. Transplantation 2009, 88, 380–385. [Google Scholar] [CrossRef] [PubMed]
- Rostved, A.A.; Sassi, M.; Kurtzhals, J.A.; Sørensen, S.S.; Rasmussen, A.; Ross, C.; Gogineni, E.; Huber, C.; Kutty, G.; Kovacs, J.A.; et al. Outbreak of Pneumocystis pneumonia in renal and liver transplant patients caused by genotypically distinct strains of Pneumocystis jirovecii. Transplantation 2013, 96, 834–842. [Google Scholar] [CrossRef] [PubMed]
- Le Gal, S.; Toubas, D.; Totet, A.; Dalle, F.; Abou Bacar, A.; Le Meur, Y.; Nevez, G.; Anofel, A. Pneumocystis infection outbreaks in organ transplantation units in France: A nation-wide survey. Clin. Infect. Dis. 2020, 70, 2216–2220. [Google Scholar] [CrossRef]
- Pliquett, R.U.; Asbe-Vollkopf, A.; Hauser, P.M.; Presti, L.L.; Hunfeld, K.P.; Berger, A.; Scheuermann, E.H.; Jung, O.; Geiger, H.; Hauser, I.A. A Pneumocystis jirovecii pneumonia outbreak in a single kidney-transplant center: Role of cytomegalovirus co-infection. Eur. J. Clin. Microbiol. Infect. Dis. 2012, 31, 2429–2437. [Google Scholar] [CrossRef]
- Leigh, T.R.; Millett, M.J.; Jameson, B.; Collins, J.V. Serum titres of Pneumocystis carinii antibody in health care workers caring for patients with AIDS. Thorax 1993, 48, 619–621. [Google Scholar] [CrossRef][Green Version]
- Lundgren, B.; Elvin, K.; Rothman, L.P.; Ljungström, I.; Lidman, C.; Lundgren, J.D. Transmission of Pneumocystis carinii from patients to hospital staff. Thorax 1997, 52, 422–424. [Google Scholar] [CrossRef]
- Pifer, L.L.; Hughes, W.T.; Stagno, S.; Woods, D. Pneumocystis carinii infection: Evidence for high prevalence in normal and immunosuppressed children. Pediatrics 1978, 61, 35–41. [Google Scholar] [CrossRef] [PubMed]
- Vargas, S.L.; Hughes, W.T.; Santolaya, M.E.; Ulloa, A.V.; Ponce, C.A.; Cabrera, C.E.; Cumsille, F.; Gigliotti, F. Search for primary infection by Pneumocystis carinii in a cohort of normal, healthy infants. Clin. Infect. Dis. 2001, 32, 855–861. [Google Scholar] [CrossRef] [PubMed]
- Keely, S.P.; Stringer, J.R.; Baughman, R.P.; Linke, M.J.; Walzer, P.D.; Smulian, A.G. Genetic Variation among Pneumocystis carinii hominis isolates in recurrent pneumocystosis. J. Infect. Dis. 1995, 172, 595–598. [Google Scholar] [CrossRef] [PubMed]
- Tsolaki, A.G.; Miller, R.F.; Underwood, A.P.; Banerji, S.; Wakefield, A.E. Genetic diversity at the internal transcribed spacer regions of the rRNA operon among isolates of Pneumocystis carinii from AIDS patients with recurrent pneumonia. J. Infect. Dis. 1996, 174, 141–156. [Google Scholar] [CrossRef] [PubMed]
- Sone, K.; Muramatsu, H.; Nakao, M.; Kagawa, Y.; Kurokawa, R.; Sato, H.; Niimi, A. Pneumocystis pneumonia secondary to idiopathic CD4+ T-lymphocytopenia: A comparison of AIDS and Non-AIDS patients. Intern. Med. 2018, 57, 383–386. [Google Scholar] [CrossRef] [PubMed]
- Jundt, M.C.; Ayalew, A.M.; Hartman, T.E.; Roden, A.C.; Koo, C.W. Idiopathic CD4 lymphocytopenia with fulminant Pneumocystis jirovecii pneumonia. Am. J. Respir. Crit. Care Med. 2019, 199, e35–e36. [Google Scholar] [CrossRef]
- Schürmann, M.; Schürmann, D.; Schindler, R.; Meisel, C.; Liman, P.; Kruse, J.; Enghard, P.; König, J.; Schmidt, D.; Reinke, P.; et al. Impaired thymic function and CD4+ T lymphopenia, but not mannose-binding lectin deficiency, are risk factors for Pneumocystis jirovecii pneumonia in kidney transplant recipients. Transpl. Immunol. 2013, 28, 159–163. [Google Scholar] [CrossRef]
- Duncan, R.A.; von Reyn, C.F.; Alliegro, G.M.; Toossi, Z.; Sugar, A.M.; Levitz, S.M. Idiopathic CD4+ T-lymphocytopenia--four patients with opportunistic infections and no evidence of HIV infection. N. Engl. J. Med. 1993, 328, 393–398. [Google Scholar] [CrossRef]
- Kaczmarski, R.S.; Webster, A.D.; Moxham, J.; Davison, F.; Sutherland, S.; Mufti, G.J. CD4+ lymphocytopenia due to common variable immunodeficiency mimicking AIDS. J. Clin. Pathol. 1994, 47, 364–366. [Google Scholar] [CrossRef]
- Chumpitazi, B.F.F.; Flori, P.; Kern, J.B.; Brenier-Pinchart, M.P.; Larrat, S.; Minet, C.; Bouillet, L.; Maubon, D.; Pelloux, H. Severe Pneumocystis jirovecii pneumonia in an idiopathic CD4(+) lymphocytopenia patient: Case report and review of the literature. JMM Case Rep. 2014, 1, e003434. [Google Scholar] [CrossRef]
- Palella, F.J.J.; Delaney, K.M.; Moorman, A.C.; Loveless, M.O.; Fuhrer, J.; Satten, G.A.; Aschman, D.J.; Holmberg, S.D. Declining morbidity and mortality among patients with advanced human immunodeficiency virus infection. HIV Outpatient Study Investigators. N. Engl. J. Med. 1998, 338, 853–860. [Google Scholar] [CrossRef] [PubMed]
- Schwarcz, L.; Chen, M.J.; Vittinghoff, E.; Hsu, L.; Schwarcz, S. Declining incidence of AIDS-defining opportunistic illnesses: Results from 16 years of population-based AIDS surveillance. Aids 2013, 27, 597–605. [Google Scholar] [CrossRef] [PubMed]
- Panel on Guidelines for the Prevention and Treatment of Opportunistic Infections in Adults and Adolescents with HIV. Guidelines for the Prevention and Treatment of Opportunistic Infections in Adults and Adolescents with HIV. National Institutes of Health, Centers for Disease Control and Prevention, and the HIV Medicine Association of the Infectious Disease Society of America. Available online: https://clinicalinfo.hiv.gov/en/guidelines/adult-and-adolescent-opportunistic-infection (accessed on 4 November 2022).
- Atkinson, A.; Miro, J.M.; Mocroft, A.; Reiss, P.; Kirk, O.; Morlat, P.; Ghosn, J.; Stephan, C.; Mussini, C.; Antoniadou, A.; et al. No need for secondary Pneumocystis jirovecii pneumonia prophylaxis in adult people living with HIV from Europe on ART with suppressed viraemia and a CD4 cell count greater than 100 cells/µL. J. Int. AIDS Soc. 2021, 24, e25726. [Google Scholar] [CrossRef]
- Atkinson, A.; Zwahlen, M.; Barger, D.; d’Arminio Monforte, A.; De Wit, S.; Ghosn, J.; Girardi, E.; Svedhem, V.; Morlat, P.; Mussini, C.; et al. Withholding primary Pneumocystis pneumonia prophylaxis in virologically suppressed patients with human immunodeficiency virus: An emulation of a pragmatic trial in COHERE. Clin. Infect. Dis. 2021, 73, 195–202. [Google Scholar] [CrossRef]
- Roux, A.; Canet, E.; Valade, S.; Gangneux-Robert, F.; Hamane, S.; Lafabrie, A.; Maubon, D.; Debourgogne, A.; Le Gal, S.; Dalle, F.; et al. Pneumocystis jirovecii pneumonia in patients with or without AIDS, France. Emerg. Infect. Dis. 2014, 20, 1490–1497. [Google Scholar] [CrossRef] [PubMed]
- Bartlett, M.S.; Fishman, J.A.; Durkin, M.M.; Queener, S.F.; Smith, J.W. Pneumocystis carinii: Improved models to study efficacy of drugs for treatment or prophylaxis of Pneumocystis pneumonia in the rat (Rattus spp.). Exp. Parasitol. 1990, 70, 100–106. [Google Scholar] [CrossRef]
- Park, J.W.; Curtis, J.R.; Kim, M.J.; Lee, H.; Song, Y.W.; Lee, E.B. Pneumocystis pneumonia in patients with rheumatic diseases receiving prolonged, non-high-dose steroids-clinical implication of primary prophylaxis using trimethoprim-sulfamethoxazole. Arthritis Res. Ther. 2019, 21, 207. [Google Scholar] [CrossRef] [PubMed]
- Yale, S.H.; Limper, A.H. Pneumocystis carinii pneumonia in patients without acquired immunodeficiency syndrome: Associated illness and prior corticosteroid therapy. Mayo Clin. Proc. 1996, 71, 5–13. [Google Scholar] [CrossRef]
- Pagano, L.; Fianchi, L.; Mele, L.; Girmenia, C.; Offidani, M.; Ricci, P.; Mitra, M.E.; Picardi, M.; Caramatti, C.; Piccaluga, P.; et al. Pneumocystis carinii pneumonia in patients with malignant haematological diseases: 10 years’ experience of infection in GIMEMA centres. Br. J. Haematol. 2002, 117, 379–386. [Google Scholar] [CrossRef]
- Neumann, S.; Krause, S.W.; Maschmeyer, G.; Schiel, X.; von Lilienfeld-Toal, M. Primary prophylaxis of bacterial infections and Pneumocystis jirovecii pneumonia in patients with hematological malignancies and solid tumors. Ann. Hematol. 2013, 92, 433–442. [Google Scholar] [CrossRef]
- Evernden, C.; Dowhan, M.; Dabas, R.; Chaudhry, A.; Kalra, A.; Dharmani-Khan, P.; Gregson, D.; Johnson, A.; Jupp, J.; Jimenez-Zepeda, V.; et al. High incidence of Pneumocystis jirovecii pneumonia in allogeneic hematopoietic cell transplant recipients in the modern era. Cytotherapy 2020, 22, 27–34. [Google Scholar] [CrossRef] [PubMed]
- Maertens, J.; Cesaro, S.; Maschmeyer, G.; Einsele, H.; Donnelly, J.P.; Alanio, A.; Hauser, P.M.; Lagrou, K.; Melchers, W.J.G.; Helweg-Larsen, J.; et al. ECIL guidelines for preventing Pneumocystis jirovecii pneumonia in patients with haematological malignancies and stem cell transplant recipients. J. Antimicrob. Chemother. 2016, 71, 2397–2404. [Google Scholar] [CrossRef] [PubMed]
- Taplitz, R.A.; Kennedy, E.B.; Bow, E.J.; Crews, J.; Gleason, C.; Hawley, D.K.; Langston, A.A.; Nastoupil, L.J.; Rajotte, M.; Rolston, K.V.; et al. Antimicrobial prophylaxis for adult patients with cancer-related immunosuppression: ASCO and IDSA clinical practice guideline update. J. Clin. Oncol. 2018, 36, 3043–3054. [Google Scholar] [CrossRef] [PubMed]
- Fishman, J.A. Infection in solid-organ transplant recipients. N. Engl. J. Med. 2007, 357, 2601–2614. [Google Scholar] [CrossRef] [PubMed]
- Zalmanovich, A.; Ben-Ami, R.; Rahav, G.; Alon, D.; Moses, A.; Olshtain-Pops, K.; Weinberger, M.; Shitrit, P.; Katzir, M.; Gottesman, B.-S.; et al. Rituximab identified as an independent risk factor for severe PJP: A case-control study. PLoS ONE 2020, 15, e0239042. [Google Scholar] [CrossRef] [PubMed]
- Martin-Garrido, I.; Carmona, E.M.; Specks, U.; Limper, A.H. Pneumocystis pneumonia in patients treated with rituximab. CHEST 2013, 144, 258–265. [Google Scholar] [CrossRef]
- Laros-van Gorkom, B.; Huisman, C.; Wijermans, P.; Schipperus, M. Experience with alemtuzumab in treatment of chronic lymphocytic leukaemia in the Netherlands. Neth. J. Med. 2007, 65, 333–338. [Google Scholar]
- Arne, K.; Harald, H.; Alexander, F.; Grete Fossum, L.; Peter, G.; Dag, T. Pneumocystis jirovecii pneumonia in B-cell lymphoma patients treated with the rituximab-CHOEP-14 regimen. Haematologica 2007, 92, 139–140. [Google Scholar]
- Cerny, T.; Borisch, B.; Introna, M.; Johnson, P.; Rose, A.L. Mechanism of action of rituximab. Anticancer Drugs 2002, 13 (Suppl. 2), S3–S10. [Google Scholar] [CrossRef]
- Nitta, E.; Izutsu, K.; Sato, T.; Ota, Y.; Takeuchi, K.; Kamijo, A.; Takahashi, K.; Oshima, K.; Kanda, Y.; Chiba, S.; et al. A high incidence of late-onset neutropenia following rituximab-containing chemotherapy as a primary treatment of CD20-positive B-cell lymphoma: A single-institution study. Ann. Oncol. 2007, 18, 364–369. [Google Scholar] [CrossRef]
- Lemieux, B.; Tartas, S.; Traulle, C.; Espinouse, D.; Thieblemont, C.; Bouafia, F.; Alhusein, Q.; Antal, D.; Salles, G.; Coiffier, B. Rituximab-related late-onset neutropenia after autologous stem cell transplantation for aggressive non-Hodgkin’s lymphoma. Bone Marrow Transpl. 2004, 33, 921–923. [Google Scholar] [CrossRef] [PubMed][Green Version]
- Charles, P.; Bienvenu, B.; Bonnotte, B.; Gobert, P.; Godmer, P.; Hachulla, É.; Hamidou, M.; Harlé, J.-R.; Karras, A.; Lega, J.-C.; et al. Rituximab: Recommendations of the French vasculitis study group (FVSG) for induction and maintenance treatments of adult, antineutrophil cytoplasm antibody-associated necrotizing vasculitides. La Presse Médicale 2013, 42, 1317–1330. [Google Scholar] [CrossRef] [PubMed]
- Hill, J.A.; Li, D.; Hay, K.A.; Green, M.L.; Cherian, S.; Chen, X.; Riddell, S.R.; Maloney, D.G.; Boeckh, M.; Turtle, C.J. Infectious complications of CD19-targeted chimeric antigen receptor-modified T-cell immunotherapy. Blood 2018, 131, 121–130. [Google Scholar] [CrossRef]
- Fishman, J.A.; Hogan, J.I.; Maus, M.V. Inflammatory and infectious syndromes associated with cancer immunotherapies. Clin. Infect. Dis. 2019, 69, 909–920. [Google Scholar] [CrossRef] [PubMed]
- Cuneo, A.; Barosi, G.; Danesi, R.; Fagiuoli, S.; Ghia, P.; Marzano, A.; Montillo, M.; Poletti, V.; Viale, P.; Zinzani, P.L. Management of adverse events associated with idelalisib treatment in chronic lymphocytic leukemia and follicular lymphoma: A multidisciplinary position paper. Hematol. Oncol. 2019, 37, 3–14. [Google Scholar] [CrossRef] [PubMed]
- Zelenetz, A.D.; Barrientos, J.C.; Brown, J.R.; Coiffier, B.; Delgado, J.; Egyed, M.; Ghia, P.; Illés, Á.; Jurczak, W.; Marlton, P.; et al. Idelalisib or placebo in combination with bendamustine and rituximab in patients with relapsed or refractory chronic lymphocytic leukaemia: Interim results from a phase 3, randomised, double-blind, placebo-controlled trial. Lancet Oncol. 2017, 18, 297–311. [Google Scholar] [CrossRef]
- Davids, M.S.; Hallek, M.; Wierda, W.; Roberts, A.W.; Stilgenbauer, S.; Jones, J.A.; Gerecitano, J.F.; Kim, S.Y.; Potluri, J.; Busman, T.; et al. Comprehensive safety analysis of venetoclax monotherapy for patients with relapsed/refractory chronic lymphocytic leukemia. Clin. Cancer Res. 2018, 24, 4371–4379. [Google Scholar] [CrossRef]
- Marchesini, G.; Nadali, G.; Facchinelli, D.; Candoni, A.; Cattaneo, C.; Laurenti, L.; Fanci, R.; Farina, F.; Lessi, F.; Visentin, A.; et al. Infections in patients with lymphoproliferative diseases treated with targeted agents: SEIFEM multicentric retrospective study. Br. J. Haematol. 2021, 193, 316–324. [Google Scholar] [CrossRef]
- Ahn, I.E.; Jerussi, T.; Farooqui, M.; Tian, X.; Wiestner, A.; Gea-Banacloche, J. Atypical Pneumocystis jirovecii pneumonia in previously untreated patients with CLL on single-agent ibrutinib. Blood 2016, 128, 1940–1943. [Google Scholar] [CrossRef]
- Varughese, T.; Taur, Y.; Cohen, N.; Palomba, M.L.; Seo, S.K.; Hohl, T.M.; Redelman-Sidi, G. Serious infections in patients receiving ibrutinib for treatment of lymphoid cancer. Clin. Infect. Dis. 2018, 67, 687–692. [Google Scholar] [CrossRef]
- Iriart, X.; Challan Belval, T.; Fillaux, J.; Esposito, L.; Lavergne, R.A.; Cardeau-Desangles, I.; Roques, O.; Del Bello, A.; Cointault, O.; Lavayssière, L.; et al. Risk factors of Pneumocystis pneumonia in solid organ recipients in the era of the common use of posttransplantation prophylaxis. Am. J. Transpl. 2015, 15, 190–199. [Google Scholar] [CrossRef] [PubMed]
- de Boer, M.G.; Kroon, F.P.; le Cessie, S.; de Fijter, J.W.; van Dissel, J.T. Risk factors for Pneumocystis jirovecii pneumonia in kidney transplant recipients and appraisal of strategies for selective use of chemoprophylaxis. Transpl. Infect. Dis. 2011, 13, 559–569. [Google Scholar] [CrossRef] [PubMed]
- Park, S.Y.; Jung, J.H.; Kwon, H.; Shin, S.; Kim, Y.H.; Chong, Y.P.; Lee, S.O.; Choi, S.H.; Kim, Y.S.; Woo, J.H.; et al. Epidemiology and risk factors associated with Pneumocystis jirovecii pneumonia in kidney transplant recipients after 6-month trimethoprim-sulfamethoxazole prophylaxis: A case-control study. Transpl. Infect. Dis. 2020, 22, e13245. [Google Scholar] [CrossRef] [PubMed]
- Borstnar, S.; Lindic, J.; Tomazic, J.; Kandus, A.; Pikelj, A.; Prah, J.; Skvarc, M.; Godnov, U.; Kovac, D. Pneumocystis jirovecii pneumonia in renal transplant recipients: A national center experience. Transplant Proc. 2013, 45, 1614–1617. [Google Scholar] [CrossRef] [PubMed]
- Arend, S.M.; Westendorp, R.G.J.; Kroon, F.P.; van’t Wout, J.W.; Vandenbroucke, J.P.; van Es, L.A.; van der Woude, F.J. Rejection treatment and cytomegalovirus infection as risk factors for Pneumocystis carinii pneumonia in renal transplant recipients. Clin. Infect. Dis. 1996, 22, 920–925. [Google Scholar] [CrossRef]
- Neofytos, D.; Hirzel, C.; Boely, E.; Lecompte, T.; Khanna, N.; Mueller, N.J.; Boggian, K.; Cusini, A.; Manuel, O.; van Delden, C. Pneumocystis jirovecii pneumonia in solid organ transplant recipients: A descriptive analysis for the Swiss Transplant Cohort. Transpl. Infect. Dis. 2018, 20, e12984. [Google Scholar] [CrossRef] [PubMed]
- Lecuyer, R.; Issa, N.; Tessoulin, B.; Lavergne, R.A.; Morio, F.; Gabriel, F.; Canet, E.; Bressollette-Bodin, C.; Guillouzouic, A.; Boutoille, D.; et al. Epidemiology and clinical impact of respiratory coinfections at diagnosis of Pneumocystis jirovecii pneumonia. J. Infect. Dis. 2022, 225, 868–880. [Google Scholar] [CrossRef]
- Azar, M.M.; Cohen, E.; Ma, L.; Cissé, O.H.; Gan, G.; Deng, Y.; Belfield, K.; Asch, W.; Grant, M.; Gleeson, S.; et al. Genetic and Epidemiologic analyses of an outbreak of Pneumocystis jirovecii pneumonia among kidney transplant recipients in the United States. Clin. Infect. Dis. 2022, 74, 639–647. [Google Scholar] [CrossRef]
- Kaur, N.; Mahl, T.C. Pneumocystis jiroveci (carinii) pneumonia after infliximab therapy: A review of 84 cases. Dig. Dis. Sci. 2007, 52, 1481–1484. [Google Scholar] [CrossRef]
- Estrada, S.; García-Campos, F.; Calderón, R.; Delgado, E.; Bengoa, R.; Enciso, C. Pneumocystis jiroveci (carinii) Pneumonia following a second infusion of infliximab in a patient with ulcerative colitis. Inflamm. Bowel Dis. 2008, 15, 315–316. [Google Scholar] [CrossRef]
- Velayos, F.S.; Sandborn, W.J. Pneumocystis carinii pneumonia during maintenance anti-tumor necrosis factor-alpha therapy with infliximab for Crohn’s disease. Inflamm. Bowel Dis. 2004, 10, 657–660. [Google Scholar] [CrossRef] [PubMed]
- Tai, T.L.; O’Rourke, K.P.; McWeeney, M.; Burke, C.M.; Sheehan, K.; Barry, M. Pneumocystis carinii pneumonia following a second infusion of infliximab. Rheumatology 2002, 41, 951–952. [Google Scholar] [CrossRef] [PubMed]
- Kalisz, K.R.; Ramaiya, N.H.; Laukamp, K.R.; Gupta, A. Immune checkpoint inhibitor therapy–related pneumonitis: Patterns and management. Radiographics 2019, 39, 1923–1937. [Google Scholar] [CrossRef] [PubMed]
- Chakraborty, R.; Hill, B.T.; Majeed, A.; Majhail, N.S. Late effects after chimeric antigen receptor T cell therapy for lymphoid malignancies. Transpl. Cell 2021, 27, 222–229. [Google Scholar] [CrossRef] [PubMed]
- Mirovsky, P.; Fishman, J.A. An improved method for the prolonged maintenance of Pneumocystis carinii in vitro. J. Infect. Dis. 1993, 167, 1470–1473. [Google Scholar] [CrossRef] [PubMed]
- Bateman, M.; Oladele, R.; Kolls, J.K. Diagnosing Pneumocystis jirovecii pneumonia: A review of current methods and novel approaches. Med. Mycol. 2020, 58, 1015–1028. [Google Scholar] [CrossRef]
- Limper, A.H.; Offord, K.P.; Smith, T.F.; Martin, W.J., II. Pneumocystis carinii pneumonia. Differences in lung parasite number and inflammation in patients with and without AIDS. Am. Rev. Respir. Dis. 1989, 140, 1204–1209. [Google Scholar] [CrossRef]
- Procop, G.W.; Haddad, S.; Quinn, J.; Wilson, M.L.; Henshaw, N.G.; Reller, L.B.; Artymyshyn, R.L.; Katanik, M.T.; Weinstein, M.P. Detection of Pneumocystis jiroveci in respiratory specimens by four staining methods. J. Clin. Microbiol. 2004, 42, 3333–3335. [Google Scholar] [CrossRef]
- Lipschik, G.Y.; Gill, V.J.; Lundgren, J.D.; Andrawis, V.A.; Nelson, N.A.; Nielsen, J.O.; Ognibene, F.P.; Kovacs, J.A. Improved diagnosis of Pneumocystis carinii infection by polymerase chain reaction on induced sputum and blood. Lancet 1992, 340, 203–206. [Google Scholar] [CrossRef]
- Cartwright, C.P.; Nelson, N.A.; Gill, V.J. Development and evaluation of a rapid and simple procedure for detection of Pneumocystis carinii by PCR. J. Clin. Microbiol. 1994, 32, 1634–1638. [Google Scholar] [CrossRef]
- Ribes, J.A.; Limper, A.H.; Espy, M.J.; Smith, T.F. PCR detection of Pneumocystis carinii in bronchoalveolar lavage specimens: Analysis of sensitivity and specificity. J. Clin. Microbiol. 1997, 35, 830–835. [Google Scholar] [CrossRef] [PubMed]
- Caliendo, A.M.; Hewitt, P.L.; Allega, J.M.; Keen, A.; Ruoff, K.L.; Ferraro, M.J. Performance of a PCR assay for detection of Pneumocystis carinii from respiratory specimens. J. Clin. Microbiol. 1998, 36, 979–982. [Google Scholar] [CrossRef] [PubMed]
- Chouaid, C.; Roux, P.; Lavard, I.; Poirot, J.L.; Housset, B. Use of the polymerase chain reaction technique on induced-sputum samples for the diagnosis of Pneumocystis carinii pneumonia in HIV-infected patients. A clinical and cost-analysis study. Am. J. Clin. Pathol. 1995, 104, 72–75. [Google Scholar] [CrossRef] [PubMed]
- Jayaratne, P.; Dalle Vedove, L.; Yamamura, D. Molecular detection of Pneumocystis jirovecii by real-time PCR: Sensitivity depends on the target selection. Int. J. Infect. Dis. 2014, 21, 372. [Google Scholar] [CrossRef][Green Version]
- Larsen, H.H.; Masur, H.; Kovacs, J.A.; Gill, V.J.; Silcott, V.A.; Kogulan, P.; Maenza, J.; Smith, M.; Lucey, D.R.; Fischer, S.H. Development and evaluation of a quantitative, touch-down, real-time PCR assay for diagnosing Pneumocystis carinii Pneumonia. J. Clin. Microbiol. 2002, 40, 490–494. [Google Scholar] [CrossRef] [PubMed]
- Mühlethaler, K.; Bögli-Stuber, K.; Wasmer, S.; von Garnier, C.; Dumont, P.; Rauch, A.; Mühlemann, K.; Garzoni, C. Quantitative PCR to diagnose Pneumocystis pneumonia in immunocompromised non-HIV patients. Eur. Respir. J. 2012, 39, 971–978. [Google Scholar] [CrossRef]
- Alanio, A.; Desoubeaux, G.; Sarfati, C.; Hamane, S.; Bergeron, A.; Azoulay, E.; Molina, J.M.; Derouin, F.; Menotti, J. Real-time PCR assay-based strategy for differentiation between active Pneumocystis jirovecii pneumonia and colonization in immunocompromised patients. Clin. Microbiol. Infect. 2011, 17, 1531–1537. [Google Scholar] [CrossRef]
- Alanio, A.; Hauser, P.M.; Lagrou, K.; Melchers, W.J.; Helweg-Larsen, J.; Matos, O.; Cesaro, S.; Maschmeyer, G.; Einsele, H.; Donnelly, J.P.; et al. ECIL guidelines for the diagnosis of Pneumocystis jirovecii pneumonia in patients with haematological malignancies and stem cell transplant recipients. J. Antimicrob. Chemother. 2016, 71, 2386–2396. [Google Scholar] [CrossRef]
- Fishman, J.A.; Gans, H.; AST Infectious Diseases Community of Practice. Pneumocystis jiroveci in solid organ transplantation: Guidelines from the American society of transplantation infectious diseases community of practice. Clin. Transplant. 2019, 33, e13587. [Google Scholar] [CrossRef]
- Duan, J.; Gao, J.; Liu, Q.; Sun, M.; Liu, Y.; Tan, Y.; Xing, L. Characteristics and prognostic factors of non-HIV immunocompromised patients with Pneumocystis pneumonia diagnosed by metagenomics next-generation sequencing. Front. Med. 2022, 9, 812698. [Google Scholar] [CrossRef]
- Jiang, J.; Bai, L.; Yang, W.; Peng, W.; An, J.; Wu, Y.; Pan, P.; Li, Y. Metagenomic next-generation sequencing for the diagnosis of Pneumocystis jirovecii pneumonia in non-HIV-infected patients: A retrospective study. Infect. Dis. Ther. 2021, 10, 1733–1745. [Google Scholar] [CrossRef] [PubMed]
- Liu, L.; Yuan, M.; Shi, Y.; Su, X. Clinical performance of BAL metagenomic next-generation sequence and serum (1,3)-β-D-glucan for differential diagnosis of Pneumocystis jirovecii pneumonia and Pneumocystis jirovecii Colonisation. Front. Cell Infect. Microbiol. 2021, 11, 784236. [Google Scholar] [CrossRef] [PubMed]
- Camargo, J.F.; Ahmed, A.A.; Lindner, M.S.; Morris, M.I.; Anjan, S.; Anderson, A.D.; Prado, C.E.; Dalai, S.C.; Martinez, O.V.; Komanduri, K.V. Next-generation sequencing of microbial cell-free DNA for rapid noninvasive diagnosis of infectious diseases in immunocompromised hosts. F1000Res 2019, 8, 1194. [Google Scholar] [CrossRef] [PubMed]
- Wang, J.; Han, Y.; Feng, J. Metagenomic next-generation sequencing for mixed pulmonary infection diagnosis. BMC Pulm. Med. 2019, 19, 252. [Google Scholar] [CrossRef]
- Moreno, A.; Epstein, D.; Budvytiene, I.; Banaei, N. Accuracy of Pneumocystis jirovecii plasma cell-free DNA PCR for noninvasive diagnosis of Pneumocystis pneumonia. J. Clin. Microbiol. 2022, 60, e0010122. [Google Scholar] [CrossRef]
- Del Corpo, O.; Butler-Laporte, G.; Sheppard, D.C.; Cheng, M.P.; McDonald, E.G.; Lee, T.C. Diagnostic accuracy of serum (1-3)-β-D-glucan for Pneumocystis jirovecii pneumonia: A systematic review and meta-analysis. Clin. Microbiol. Infect. 2020, 26, 1137–1143. [Google Scholar] [CrossRef]
- Morjaria, S.; Frame, J.; Franco-Garcia, A.; Geyer, A.; Kamboj, M.; Babady, N.E. Clinical performance of (1,3) beta-D glucan for the diagnosis of Pneumocystis pneumonia (PCP) in cancer patients tested with PCP polymerase chain reaction. Clin. Infect. Dis. 2018, 69, 1303–1309. [Google Scholar] [CrossRef]
- Hartel, P.H.; Shilo, K.; Klassen-Fischer, M.; Neafie, R.C.; Ozbudak, I.H.; Galvin, J.R.; Franks, T.J. Granulomatous reaction to Pneumocystis jirovecii: Clinicopathologic review of 20 cases. Am. J. Surg. Pathol. 2010, 34, 730–734. [Google Scholar] [CrossRef]

Publisher’s Note: MDPI stays neutral with regard to jurisdictional claims in published maps and institutional affiliations. |
© 2022 by the authors. Licensee MDPI, Basel, Switzerland. This article is an open access article distributed under the terms and conditions of the Creative Commons Attribution (CC BY) license (https://creativecommons.org/licenses/by/4.0/).
Share and Cite
Apostolopoulou, A.; Fishman, J.A. The Pathogenesis and Diagnosis of Pneumocystis jiroveci Pneumonia. J. Fungi 2022, 8, 1167. https://doi.org/10.3390/jof8111167
Apostolopoulou A, Fishman JA. The Pathogenesis and Diagnosis of Pneumocystis jiroveci Pneumonia. Journal of Fungi. 2022; 8(11):1167. https://doi.org/10.3390/jof8111167
Chicago/Turabian StyleApostolopoulou, Anna, and Jay A. Fishman. 2022. "The Pathogenesis and Diagnosis of Pneumocystis jiroveci Pneumonia" Journal of Fungi 8, no. 11: 1167. https://doi.org/10.3390/jof8111167
APA StyleApostolopoulou, A., & Fishman, J. A. (2022). The Pathogenesis and Diagnosis of Pneumocystis jiroveci Pneumonia. Journal of Fungi, 8(11), 1167. https://doi.org/10.3390/jof8111167

