Disseminated Geosmithia argillacea Infection in a Patient with Ph-Positive Acute Lymphoblastic Leukemia. Case Report and Literature Review
Abstract
1. Introduction
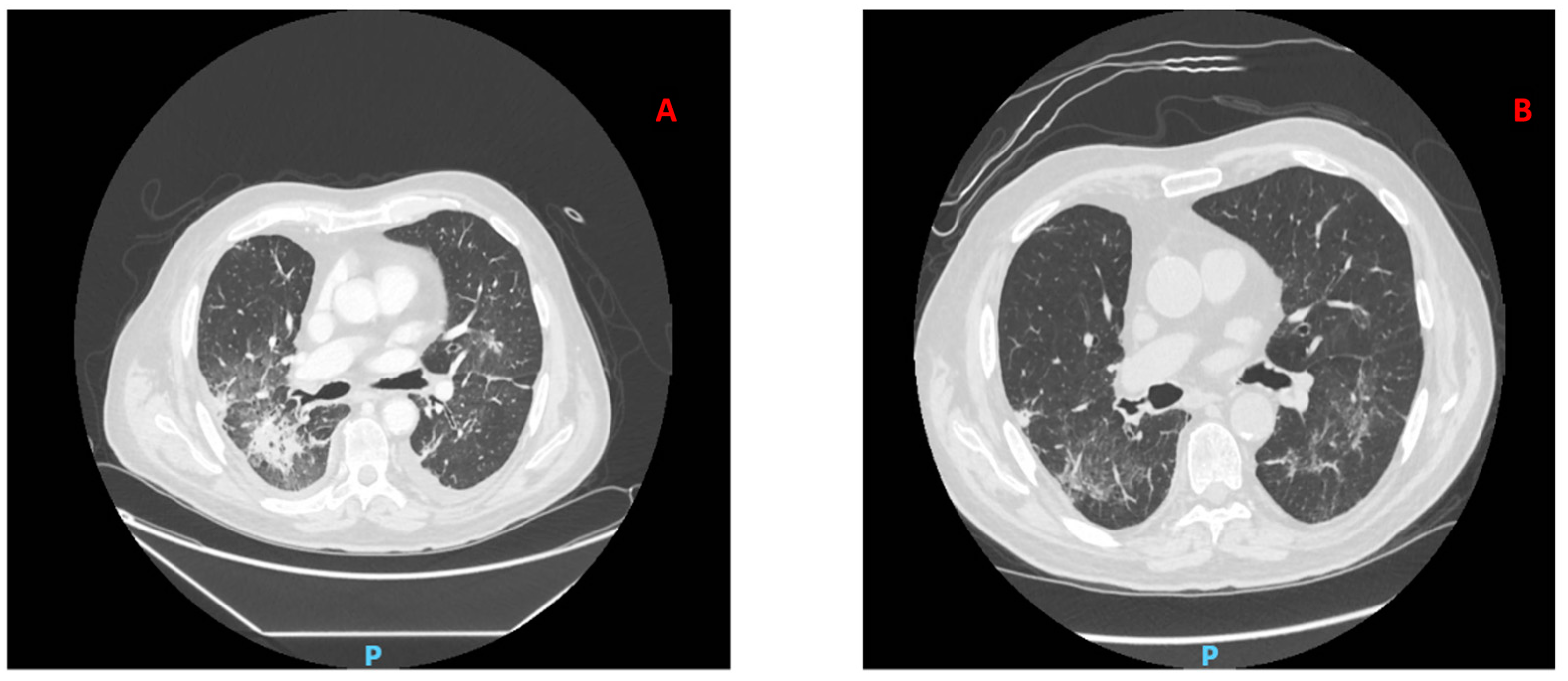
2. Case Report
3. Discussion
Author Contributions
Funding
Institutional Review Board Statement
Informed Consent Statement
Data Availability Statement
Conflicts of Interest
References
- Pagano, L.; Caira, M.; Candoni, A.; Offidani, M.; Fianchi, L.; Martino, B.; Pastore, D.; Picardi, M.; Bonini, A.; Chierichini, A.; et al. The epidemiology of fungal infections in patients with hematologic malignancies: The SEIFEM-2004 study. Haematologica 2006, 91, 1068–1075. [Google Scholar] [PubMed]
- Caira, M.; Candoni, A.; Verga, L.; Busca, A.; Delia, M.; Nosari, A.; Caramatti, C.; Castagnola, C.; Cattaneo, C.; Fanci, R.; et al. Pre-chemotherapy risk factors for invasive fungal diseases: Prospective analysis of 1,192 patients with newly diagnosed acute myeloid leukemia (SEIFEM 2010-a multicenter study). Haematologica 2015, 100, 284–292. [Google Scholar] [CrossRef] [PubMed]
- Viscoli, C.; Girmenia, C.; Marinus, A.; Collette, L.; Martino, P.; Vandercam, B.; Doyen, C.; Lebeau, B.; Spence, D.; Krcmery, V.; et al. Candidemia in cancer patients: A prospective, multicenter surveillance study by the Invasive Fungal Infection Group (IFIG) of the European Organization for Research 1. 2. 3. and Treatment of Cancer (EORTC). Clin. Infect. Dis. 1999, 28, 1071–1079. [Google Scholar] [CrossRef] [PubMed]
- Lin, S.J.; Schranz, J.; Teutsch, S.M. Aspergillosis case-fatality rate: Systematic review of the literature. Clin. Infect. Dis. 2001, 32, 358–366. [Google Scholar] [CrossRef] [PubMed]
- Boutati, E.I.; Anaissie, E.J. Fusarium, a significant emerging pathogen in patients with hematologic malignancy: Ten years’ experience at a cancer center and implications for management. Blood 1997, 90, 999–1008. [Google Scholar] [CrossRef] [PubMed]
- Roden, M.M.; Zaoutis, T.E.; Buchanan, W.L.; Knudsen, T.A.; Sarkisova, T.A.; Schaufele, R.L.; Sein, M.; Sein, T.; Chiou, C.C.; Chi, J.H.; et al. Epidemiology and outcome of zygomycosis: A review of 929 reported cases. Clin. Infect. Dis. 2005, 41, 634–653. [Google Scholar] [CrossRef] [PubMed]
- Cornely, O.A.; Maertens, J.; Winston, D.L.; Perfect, J.; Ullmann, A.J.; Walsh, T.J.; Helfgott, D.; Holowiecki, J.; Stockelberg, D.; Goh, Z.-T.; et al. Posaconazole vs. fluconazole or itraconazole prophylaxis in patients with neutropenia. N. Engl. J. Med. 2007, 356, 348–359. [Google Scholar] [CrossRef] [PubMed]
- Cornely, O.A.; Ullmann, A.J.; Karthaus, M. Evidence-based assessment of primary antifungal prophylaxis in patients with hematologic malignancies. Blood 2003, 101, 3365–3372. [Google Scholar] [CrossRef] [PubMed]
- Vardakas, K.Z.; Michalopoulos, A.; Falagas, M.E. Fluconazole versus itraconazole for antifungal prophylaxis in neutropenic patients with haematological malignancies: A meta-analysis of randomised-controlled trials. Br. J. Haematol. 2006, 132, 665. [Google Scholar] [CrossRef] [PubMed]
- Busca, A.; Pagano, L. Prophylaxis for aspergillosis in patients with haematological malignancies: Pros and cons. Expert Rev. Anti. Infect. Ther. 2018, 16, 531–542. [Google Scholar] [CrossRef] [PubMed]
- Glass, N.L.; Donaldson, G.C. Development of primer sets designed for use with the PCR to amplify conserved genes from filamentous ascomycetes. Appl. Environ. Microbiol. 1995, 61, 1323–1330. [Google Scholar] [CrossRef] [PubMed]
- Kumar, S.; Stecher, G.; Tamura, K. MEGA7: Molecular Evolutionary Genetics Analysis version 7.0 for bigger datasets. Mol. Biol. Evol. 2016, 33, 1870–1874. [Google Scholar] [CrossRef] [PubMed]
- Grant, D.C.; Sutton, D.A.; Sandberg, C.A.; Tyler, R.D., Jr.; Thompson, E.H.; Romanelli, A.M.; Wickes, B.L. Disseminated Geosmithia argillacea infection in a German shepherd dog. Med. Mycol. 2009, 47, 221–226. [Google Scholar] [CrossRef] [PubMed]
- Giraud, S.; Pihet, M.; Razafimandimby, B.; Carrère, J.; Degand, N.; Mely, L.; Favennec, L.; Dannaoui, E.; Bouchara, J.-P.; Calenda, A. Geosmithia argillacea: An Emerging Pathogen in Patients with Cystic Fibrosis. J. Clin. Microbiol. 2010, 48, 2381–2386. [Google Scholar] [CrossRef] [PubMed][Green Version]
- Barton, R.C.; Borman, A.M.; Johnson, E.M.; Houbraken, J.; Hobson, R.P.; Denton, M.; Conway, S.P.; Brwonlee, K.G.; Peckham, D.; Lee, T.W.R. Isolation of the Fungus Geosmithia argillacea in Sputum of People with Cystic Fibrosis. J. Clin. Microbiol. 2010, 48, 2615–2617. [Google Scholar] [CrossRef] [PubMed][Green Version]
- De Ravin, S.S.; Challipalli, M.; Anderson, V.; Shea, Y.R.; Marciano, B.; Hilligoss, D.; Marquesen, M.; DeCastro, R.; Liu, Y.-c.; Sutton, D.A.; et al. Geosmithia argillacea: An Emerging Cause of Invasive Mycosis in Human Chronic Granulomatous Disease. Clin. Infect. Dis. 2011, 52, e136–e143. [Google Scholar] [CrossRef] [PubMed]
- Sohn, J.Y.; Jang, M.A.; Lee, J.H.; Park, K.S.; Ki, C.S.; Lee, N.Y. Isolation and Identification of Geosmithia argillacea from a Fungal Ball in the Lung of a Tuberculosis Patient. Ann. Lab. Med. 2013, 33, 136–140. [Google Scholar] [CrossRef] [PubMed]
- Valentin, T.; Neumeister, P.; Pichler, M.; Rohn, A.; Koidl, C.; Haas, D.; Asslaber, M.; Yollner-Schwetz, I.; Hoenigl, M.; Salzer, H.J.F.; et al. Disseminated Geosmithia argillacea infection in a patient with gastrointestinal GvHD. Bone Marrow Transplant. 2012, 47, 734–736. [Google Scholar] [CrossRef] [PubMed][Green Version]
- Machouart, M.; Garcia-Hermoso, D.; Rivier, A.; Hassouni, N.; Catherinot, E.; Salmon, A.; Debourgogne, A.; Coignar, H.; Lecuit, M.; Bougnoux, M.-E.; et al. Emergence of Disseminated Infections Due to Geosmithia argillacea in Patients with Chronic Granulomatous Disease Receiving Long-Term Azole Antifungal Prophylaxis. J. Clin. Microbiol. 2011, 49, 1681–1683. [Google Scholar] [CrossRef] [PubMed]



| References | Setting | N. Patients | Signs and Symptoms | Diagnosis | Antifungal Susceptibilities | Treatment | Outcome |
|---|---|---|---|---|---|---|---|
| Giraud et al. J Clin Microbiol, 2010 [14] | Cystic Fibrosis | 17 | Hemoptysis Cough Fever | Lung secretions | L-Amb, Posaconazole, Caspofungin | posaconazole | 100% alive |
| Barton et al. J Clin Microbiol, 2010 [15] | Cystic Fibrosis | Not reported | Cough Sputum | Sputum samples | L-Amb, Itraconazole, Caspofungin, Posaconazole | Not Reported | Not Reported |
| De Ravin et al. Clin Infect Dis, 2011 [16] | Chronic Granulomatous Disease | 7 | Cough Fever | Lung secretions | L-Amb, Posaconazole, Micafungin | Voriconazole | Failure in 6 of 7 patients |
| Sohn et al. Ann Lab Med, 2013 [17] | Tuberculosis | 1 | Hemoptysis Fever | BAL | NT | Not reported | Not reported |
| Valentin et al. BMT, 2012 [18] | GVHD in HSCT | 1 | Hemoptysis Diarrhea | BAL | L-Amb, Posaconazole, Caspofungin | Voriconazole | Failure |
Publisher’s Note: MDPI stays neutral with regard to jurisdictional claims in published maps and institutional affiliations. |
© 2021 by the authors. Licensee MDPI, Basel, Switzerland. This article is an open access article distributed under the terms and conditions of the Creative Commons Attribution (CC BY) license (https://creativecommons.org/licenses/by/4.0/).
Share and Cite
Giordano, A.; Di Landro, F.; De Carolis, E.; Criscuolo, M.; Dragonetti, G.; Fianchi, L.; Pagano, L. Disseminated Geosmithia argillacea Infection in a Patient with Ph-Positive Acute Lymphoblastic Leukemia. Case Report and Literature Review. J. Fungi 2021, 7, 778. https://doi.org/10.3390/jof7090778
Giordano A, Di Landro F, De Carolis E, Criscuolo M, Dragonetti G, Fianchi L, Pagano L. Disseminated Geosmithia argillacea Infection in a Patient with Ph-Positive Acute Lymphoblastic Leukemia. Case Report and Literature Review. Journal of Fungi. 2021; 7(9):778. https://doi.org/10.3390/jof7090778
Chicago/Turabian StyleGiordano, Antonio, Francesca Di Landro, Elena De Carolis, Marianna Criscuolo, Giulia Dragonetti, Luana Fianchi, and Livio Pagano. 2021. "Disseminated Geosmithia argillacea Infection in a Patient with Ph-Positive Acute Lymphoblastic Leukemia. Case Report and Literature Review" Journal of Fungi 7, no. 9: 778. https://doi.org/10.3390/jof7090778
APA StyleGiordano, A., Di Landro, F., De Carolis, E., Criscuolo, M., Dragonetti, G., Fianchi, L., & Pagano, L. (2021). Disseminated Geosmithia argillacea Infection in a Patient with Ph-Positive Acute Lymphoblastic Leukemia. Case Report and Literature Review. Journal of Fungi, 7(9), 778. https://doi.org/10.3390/jof7090778

