Seroprevalence of Aspergillus-Specific IgG Antibody among Mozambican Tuberculosis Patients
Abstract
:1. Introduction
2. Material and Methods
2.1. Study Design and Setting
2.2. Population and Inclusion Criteria
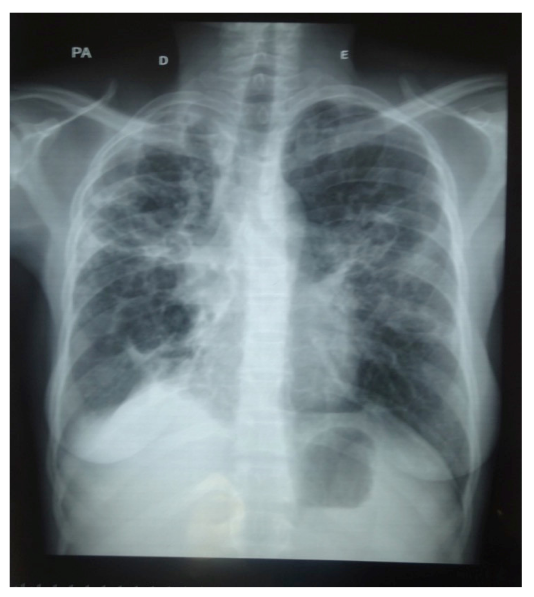
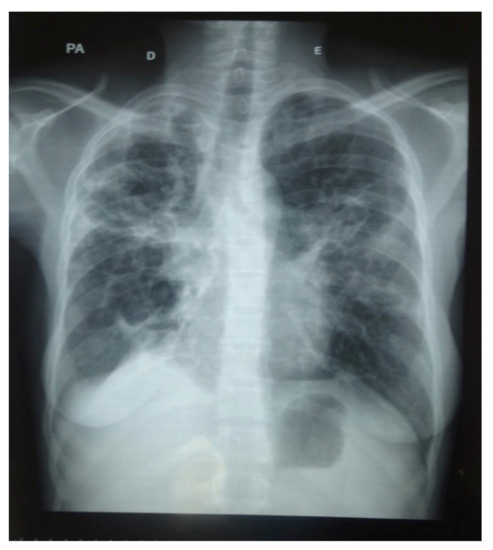
2.3. Study Assay and X-ray
2.4. Probable CPA
2.5. Statistical Analysis
2.6. Ethics
3. Results
4. Discussion
Author Contributions
Funding
Institutional Review Board Statement
Informed Consent Statement
Acknowledgments
Conflicts of Interest
References
- Maitre, T.; Cottenet, J.; Godet, C.; Roussot, A.; Abdoul Carime, N.; Ok, V.; Parrot, A.; Bonniaud, P.; Quantin, C.; Cadranel, J. Chronic Pulmonary Aspergillosis: Prevalence, favouring pulmonary diseases and prognosis. Eur. Respir. J. 2021, 57, 2003345. [Google Scholar]
- Lowes, D.; Al-Shair, K.; Newton, P.J.; Morris, J.; Harris, C.; Rautemaa-Richardson, R.; Denning, D.W. Predictors of mortality in chronic pulmonary aspergillosis. Eur. Respir. J. 2017, 49, 1601062. [Google Scholar] [CrossRef] [PubMed]
- Denning, D.W.; Pleuvry, A.; Cole, D.C. Global burden of chronic pulmonary aspergillosis as a sequel to pulmonary tuberculosis. Bull. World Health Organ. 2011, 89, 864–872. [Google Scholar] [CrossRef] [PubMed]
- WHO Global Tuberculosis Report 2020. Available online: https://www.who.int/publications/i/item/9789240013131 (accessed on 17 April 2021).
- Allwood, B.W.; Byrne, A.; Meghji, J.; Rachow, A.; van der Zalm, M.M.; Schoch, O.D. Post-Tuberculosis Lung Disease: Clinical Review of an Under-Recognised Global Challenge. Respiration 2021, 1–13. [Google Scholar] [CrossRef] [PubMed]
- Hosseini, M.; Shakerimoghaddam, A.; Ghazalibina, M.; Khaledi, A. Aspergillus coinfection among patients with pulmonary tuberculosis in Asia and Africa countries; A systematic review and meta-analysis of cross-sectional studies. Microb. Pathog. 2020, 141, 104018. [Google Scholar] [CrossRef] [PubMed]
- Denning, D.W.; Cadranel, J.; Beigelman-Aubry, C.; Ader, F.; Chakrabarti, A.; Blot, S.; Ullmann, A.J.; Dimopoulos, G.; Lange, C. European Society for Clinical Microbiology and Infectious Diseases and European Respiratory Society Chronic pulmonary aspergillosis: Rationale and clinical guidelines for diagnosis and management. Eur. Respir. J. 2016, 47, 45–68. [Google Scholar] [CrossRef] [PubMed]
- Patterson, T.F.; Thompson, G.R., 3rd; Denning, D.W.; Fishman, J.A.; Hadley, S.; Herbrecht, R.; Kontoyiannis, D.P.; Marr, K.A.; Morrison, V.A.; Nguyen, M.H.; et al. Practice Guidelines for the Diagnosis and Management of Aspergillosis: 2016 Update by the Infectious Diseases Society of America. Clin. Infect. Dis. 2016, 63, e1–e60. [Google Scholar] [CrossRef] [PubMed]
- Salzer, H.J.; Heyckendorf, J.; Kalsdorf, B.; Rolling, T.; Lange, C. Characterization of patients with chronic pulmonary aspergillosis according to the new ESCMID/ERS/ECMM and IDSA guidelines. Mycoses 2017, 60, 136–142. [Google Scholar] [CrossRef] [PubMed]
- Bongomin, F.; Asio, L.G.; Baluku, J.B.; Kwizera, R.; Denning, D.W. Chronic Pulmonary Aspergillosis: Notes for a Clinician in a Resource-Limited Setting Where There Is No Mycologist. J. Fungi 2020, 6, 75. [Google Scholar] [CrossRef] [PubMed]
- Volpe Chaves, C.E.; do Valle Leone de Oliveira, S.M.; Venturini, J.; Grande, A.J.; Sylvestre, T.F.; Poncio Mendes, R.; Mello Miranda Paniago, A. Accuracy of serological tests for diagnosis of chronic pulmonary aspergillosis: A systematic review and meta-analysis. PLoS ONE 2020, 15, e0222738. [Google Scholar] [CrossRef] [PubMed] [Green Version]
- Page, I.D.; Richardson, M.D.; Denning, D.W. Comparison of six Aspergillus-specific IgG assays for the diagnosis of chronic pulmonary aspergillosis (CPA). J. Infect. 2016, 72, 240–249. [Google Scholar] [CrossRef] [PubMed]
- Page, I.D.; Baxter, C.; Hennequin, C.; Richardson, M.D.; van Hoeyveld, E.; van Toorenenbergen, A.W.; Denning, D.W. Receiver operating characteristic curve analysis of four Aspergillus-specific IgG assays for the diagnosis of chronic pulmonary aspergillosis. Diagn. Microbiol. Infect. Dis. 2018, 91, 47–51. [Google Scholar] [CrossRef] [PubMed]
- Khosa, C.; Bhatt, N.; Massango, I.; Azam, K.; Saathoff, E.; Bakuli, A.; Riess, F.; Ivanova, O.; Hoelscher, M.; Rachow, A. Development of chronic lung impairment in Mozambican TB patients and associated risks. BMC Pulm. Med. 2020, 20, 127. [Google Scholar] [CrossRef] [PubMed]
- Denning, D.W.; Page, I.D.; Chakaya, J.; Jabeen, K.; Jude, C.M.; Cornet, M.; Alastruey-Izquierdo, A.; Bongomin, F.; Bowyer, P.; Chakrabarti, A.; et al. Case Definition of Chronic Pulmonary Aspergillosis in Resource-Constrained Settings. Emerg. Infect. Dis. 2018, 24, e1–e13. [Google Scholar] [CrossRef] [PubMed]
- Kwizera, R.; Parkes-Ratanshi, R.; Page, I.D.; Sekaggya-Wiltshire, C.; Musaazi, J.; Fehr, J.; Castelnuovo, B.; Kambugu, A.; Denning, D.W. Elevated Aspergillus-specific antibody levels among HIV infected Ugandans with pulmonary tuberculosis. BMC Pulm. Med. 2017, 17, 1–9. [Google Scholar] [CrossRef] [PubMed]
- Rozaliyani, A.; Rosianawati, H.; Handayani, D.; Agustin, H.; Zaini, J.; Syam, R.; Adawiyah, R.; Tugiran, M.; Setianingrum, F.; Burhan, E.; et al. Chronic Pulmonary Aspergillosis in Post Tuberculosis Patients in Indonesia and the Role of LDBio Aspergillus ICT as Part of the Diagnosis Scheme. J. Fungi 2020, 6, 318. [Google Scholar] [CrossRef] [PubMed]
- Oladele, R.O.; Irurhe, N.K.; Foden, P.; Akanmu, A.S.; Gbaja-Biamila, T.; Nwosu, A.; Ekundayo, H.A.; Ogunsola, F.T.; Richardson, M.D.; Denning, D.W. Chronic pulmonary aspergillosis as a cause of smear-negative TB and/or TB treatment failure in Nigerians. Int. J. Tuberc. Lung Dis. 2017, 21, 1056–1061. [Google Scholar] [CrossRef] [PubMed]
- Hedayati, M.T.; Azimi, Y.; Droudinia, A.; Mousavi, B.; Khalilian, A.; Hedayati, N.; Denning, D.W. Prevalence of chronic pulmonary aspergillosis in patients with tuberculosis from Iran. Eur. J. Clin. Microbiol. Infect. Dis. 2015, 34, 1759–1765. [Google Scholar] [CrossRef] [PubMed]
- Page, I.D.; Byanyima, R.; Hosmane, S.; Onyachi, N.; Opira, C.; Richardson, M.; Sawyer, R.; Sharman, A.; Denning, D.W. Chronic pulmonary aspergillosis commonly complicates treated pulmonary tuberculosis with residual cavitation. Eur. Respir. J. 2019, 53, 1801184. [Google Scholar] [CrossRef] [PubMed]





| Characteristics | TB Patients in Final Analysis (n = 61) |
|---|---|
| Sex | |
| Female, % (n/N) | 36.1 (22/61) |
| Age | |
| Median (IQR) | 30.0 (18, 56) |
| <40 years old, % (n/N) | 75.4 (46/61) |
| Body mass index | |
| Median (IQR) | 18.8 (13.3, 26.6) |
| <18.5, % (n/N) | 45.9 (28/61) |
| HIV-status | |
| Positive, % (n/N) | 65.6 (40/61) |
| CD4-cell count < 200/μL, % (n/N) | 42.5 (17/40 *) |
| CD4-cell count 200–500/μL, % (n/N) | 40.0 (16/40 *) |
| CD4-cell count ≥ 500/μL, % (n/N) | 6.6 (4/40 *) |
| History of tuberculosis | |
| Yes, % (n/N) | 6.6 (4/61) |
| Rifampicin resistance | |
| Present, % (n/N) | 6.6 (4/61) |
| Unknown, % (n/N) | 19.7 (12/61) |
| Culture conversion | |
| Until week 8, % (n/N) | 54.1 (33/61) |
| Until week 26, % (n/N) | 91.7 (55/60 #) |
| Haemoglobin | |
| Median, g/dL (IQR) | 10.9 (5.1, 15.7) |
| C-reactive protein | |
| Median, mg/dL (IQR) | 77.3 (2.2, 322.3) |
Publisher’s Note: MDPI stays neutral with regard to jurisdictional claims in published maps and institutional affiliations. |
© 2021 by the authors. Licensee MDPI, Basel, Switzerland. This article is an open access article distributed under the terms and conditions of the Creative Commons Attribution (CC BY) license (https://creativecommons.org/licenses/by/4.0/).
Share and Cite
Salzer, H.J.F.; Massango, I.; Bhatt, N.; Machonisse, E.; Reimann, M.; Heldt, S.; Lange, C.; Hoelscher, M.; Khosa, C.; Rachow, A. Seroprevalence of Aspergillus-Specific IgG Antibody among Mozambican Tuberculosis Patients. J. Fungi 2021, 7, 595. https://doi.org/10.3390/jof7080595
Salzer HJF, Massango I, Bhatt N, Machonisse E, Reimann M, Heldt S, Lange C, Hoelscher M, Khosa C, Rachow A. Seroprevalence of Aspergillus-Specific IgG Antibody among Mozambican Tuberculosis Patients. Journal of Fungi. 2021; 7(8):595. https://doi.org/10.3390/jof7080595
Chicago/Turabian StyleSalzer, Helmut J. F., Isabel Massango, Nilesh Bhatt, Emelva Machonisse, Maja Reimann, Sven Heldt, Christoph Lange, Michael Hoelscher, Celso Khosa, and Andrea Rachow. 2021. "Seroprevalence of Aspergillus-Specific IgG Antibody among Mozambican Tuberculosis Patients" Journal of Fungi 7, no. 8: 595. https://doi.org/10.3390/jof7080595
APA StyleSalzer, H. J. F., Massango, I., Bhatt, N., Machonisse, E., Reimann, M., Heldt, S., Lange, C., Hoelscher, M., Khosa, C., & Rachow, A. (2021). Seroprevalence of Aspergillus-Specific IgG Antibody among Mozambican Tuberculosis Patients. Journal of Fungi, 7(8), 595. https://doi.org/10.3390/jof7080595

