Phylogenetic Species of Paracoccidioides spp. Isolated from Clinical and Environmental Samples in a Hyperendemic Area of Paracoccidioidomycosis in Southeastern Brazil
Abstract
1. Introduction
2. Materials and Methods
2.1. Samples of Paracoccidioides spp. and Cultivation Conditions
2.2. Genomic DNA Extraction from Paracoccidioides spp.
2.3. Methods and Primers Used in the Molecular Characterization of Paracoccidioides spp.
2.4. Sequencing of ITS1-5.8S-ITS2 rDNA Region, gp43 Exon 2 Loci, and Phylogenetic Analysis
2.5. Epidemiological Data of Patients with Isolation of Paracoccidioides spp.
2.6. Ethics
3. Results
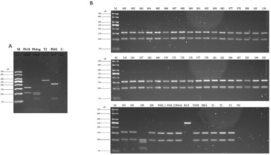
3.1. Molecular Identification of Paracoccidioides spp. Isolates by the PCR-RFLP Technique of the tub1 Gene
3.2. Genotypic Identification and Phylogenetic Analysis Using the gp43 Exon 2 loci Gene Sequencing
3.3. The HCRP 191 Strain was Confirmed as P. lutzii by Sequencing the ITS1-5.8S-ITS2 rDNA Region
3.4. Geographic Origin of Patients and Clinical form of PCM
4. Discussion
Supplementary Materials
Author Contributions
Funding
Acknowledgments
Conflicts of Interest
References
- Martinez, R. New Trends in Paracoccidioidomycosis Epidemiology. J. Fungi 2017, 3, 1. [Google Scholar] [CrossRef]
- Matute, D.R.; McEwen, J.G.; Puccia, R.; Montes, B.A.; San-Blas, G.; Bagagli, E.; Rauscher, J.T.; Restrepo, A.; Morais, F.; Nino-Vega, G.; et al. Cryptic speciation and recombination in the fungus Paracoccidioides brasiliensis as revealed by gene genealogies. Mol. Biol. Evol. 2006, 23, 65–73. [Google Scholar] [CrossRef]
- Munoz, J.F.; Farrer, R.A.; Desjardins, C.A.; Gallo, J.E.; Sykes, S.; Sakthikumar, S.; Misas, E.; Whiston, E.A.; Bagagli, E.; Soares, C.M.; et al. Genome Diversity, Recombination, and Virulence across the Major Lineages of Paracoccidioides. MSphere 2016, 1. [Google Scholar] [CrossRef]
- Teixeira, M.M.; Theodoro, R.C.; de Carvalho, M.J.; Fernandes, L.; Paes, H.C.; Hahn, R.C.; Mendoza, L.; Bagagli, E.; San-Blas, G.; Felipe, M.S. Phylogenetic analysis reveals a high level of speciation in the Paracoccidioides genus. Mol. Phylogenet. Evol. 2009, 52, 273–283. [Google Scholar] [CrossRef]
- Turissini, D.A.; Gomez, O.M.; Teixeira, M.M.; McEwen, J.G.; Matute, D.R. Species boundaries in the human pathogen Paracoccidioides. Fungal Genet. Biol. 2017, 106, 9–25. [Google Scholar] [CrossRef]
- Arantes, T.D.; Theodoro, R.C.; Teixeira Mde, M.; Bosco Sde, M.; Bagagli, E. Environmental Mapping of Paracoccidioides spp. in Brazil Reveals New Clues into Genetic Diversity, Biogeography and Wild Host Association. PLoS Negl. Trop. Dis. 2016, 10, e0004606. [Google Scholar] [CrossRef]
- Shikanai-Yasuda, M.A.; Mendes, R.P.; Colombo, A.L.; Queiroz-Telles, F.; Kono, A.S.G.; Paniago, A.M.M.; Nathan, A.; Valle, A.; Bagagli, E.; Benard, G.; et al. Brazilian guidelines for the clinical management of paracoccidioidomycosis. Rev. Soc. Bras. Med. Trop. 2017, 50, 715–740. [Google Scholar] [CrossRef] [PubMed]
- De Macedo, P.M.; Teixeira, M.M.; Barker, B.M.; Zancope-Oliveira, R.M.; Almeida-Paes, R.; Francesconi do Valle, A.C. Clinical features and genetic background of the sympatric species Paracoccidioides brasiliensis and Paracoccidioides americana. PLoS Negl. Trop. Dis. 2019, 13, e0007309. [Google Scholar] [CrossRef] [PubMed]
- Gegembauer, G.; Araujo, L.M.; Pereira, E.F.; Rodrigues, A.M.; Paniago, A.M.; Hahn, R.C.; de Camargo, Z.P. Serology of paracoccidioidomycosis due to Paracoccidioides lutzii. PLoS Negl. Trop. Dis. 2014, 8, e2986. [Google Scholar] [CrossRef] [PubMed]
- Hrycyk, M.F.; Garcia Garces, H.; Bosco, S.M.G.; de Oliveira, S.L.; Marques, S.A.; Bagagli, E. Ecology of Paracoccidioides brasiliensis, P. lutzii and related species: Infection in armadillos, soil occurrence and mycological aspects. Med. Mycol. 2018, 56, 950–962. [Google Scholar] [CrossRef] [PubMed]
- Cocio, T.A.; Nascimento, E.; Kress, M.R.V.Z.; Bagagli, E.; Martinez, R. Characterization of a Paracoccidioides spp. strain from southeastern Brazil genotyped as Paracoccidioides restrepiensis (PS3) and review of this phylogenetic species. Genet. Mol. Biol. 2020, 43, e20190201. [Google Scholar] [CrossRef]
- Pereira, B.A.S. Pathogenicity and Immunogenicity of Clinical Isolates of the Paracoccidioides brasiliensis Complex; Repositório Institucional Unesp, Faculdade de Medicina de Botucatu, Master Universidade Estadual Paulista: Botucatu, Brazil, 2019. (In Portuguese) [Google Scholar]
- Marques-da-Silva, S.H.; Rodrigues, A.M.; de Hoog, G.S.; Silveira-Gomes, F.; Camargo, Z.P. Occurrence of Paracoccidioides lutzii in the Amazon region: Description of two cases. Am. J. Trop. Med. Hyg. 2012, 87, 710–714. [Google Scholar] [CrossRef] [PubMed]
- Teixeira Mde, M.; Theodoro, R.C.; Oliveira, F.F.; Machado, G.C.; Hahn, R.C.; Bagagli, E.; San-Blas, G.; Soares Felipe, M.S. Paracoccidioides lutzii sp. nov.: Biological and clinical implications. Med. Mycol. 2014, 52, 19–28. [Google Scholar] [CrossRef] [PubMed]
- Silva-Vergara, M.L.; Martinez, R.; Camargo, Z.P.; Malta, M.H.; Maffei, C.M.; Chadu, J.B. Isolation of Paracoccidioides brasiliensis from armadillos (Dasypus novemcinctus) in an area where the fungus was recently isolated from soil. Med. Mycol. 2000, 38, 193–199. [Google Scholar] [CrossRef] [PubMed]
- Silva-Vergara, M.L.; Martinez, R.; Chadu, A.; Madeira, M.; Freitas-Silva, G.; Leite Maffei, C.M. Isolation of a Paracoccidioides brasiliensis strain from the soil of a coffee plantation in Ibia, State of Minas Gerais, Brazil. Med. Mycol. 1998, 36, 37–42. [Google Scholar] [CrossRef] [PubMed]
- De Farias, M.R.; Condas, L.A.; Ribeiro, M.G.; Bosco Sde, M.; Muro, M.D.; Werner, J.; Theodoro, R.C.; Bagagli, E.; Marques, S.A.; Franco, M. Paracoccidioidomycosis in a dog: Case report of generalized lymphadenomegaly. Mycopathologia 2011, 172, 147–152. [Google Scholar] [CrossRef]
- Roberto, T.N.; Rodrigues, A.M.; Hahn, R.C.; de Camargo, Z.P. Identifying Paracoccidioides phylogenetic species by PCR-RFLP of the alpha-tubulin gene. Med. Mycol. 2016, 54, 240–247. [Google Scholar] [CrossRef]
- Restrepo, A.; Jimenez, B.E. Growth of Paracoccidioides brasiliensis yeast phase in a chemically defined culture medium. J. Clin. Microbiol. 1980, 12, 279–281. [Google Scholar] [CrossRef]
- Van Burik, J.A.; Schreckhise, R.W.; White, T.C.; Bowden, R.A.; Myerson, D. Comparison of six extraction techniques for isolation of DNA from filamentous fungi. Med. Mycol. 1998, 36, 299–303. [Google Scholar] [CrossRef]
- White, T.J. Amplification and direct sequencing of fungal ribosomal RNA genes for phylogenetics. In PCR Protocols: A Guide to Methods and Applications; Academic Press: Cambridge, MA, USA, 1990; pp. 315–322. [Google Scholar]
- Altschul, S.F.; Gish, W.; Miller, W.; Myers, E.W.; Lipman, D.J. Basic local alignment search tool. J. Mol. Biol. 1990, 215, 403–410. [Google Scholar] [CrossRef]
- Tamura, K.; Stecher, G.; Peterson, D.; Filipski, A.; Kumar, S. MEGA6: Molecular Evolutionary Genetics Analysis version 6.0. Mol. Biol. Evol. 2013, 30, 2725–2729. [Google Scholar] [CrossRef] [PubMed]
- Theodoro, R.C.; Teixeira Mde, M.; Felipe, M.S.; Paduan Kdos, S.; Ribolla, P.M.; San-Blas, G.; Bagagli, E. Genus paracoccidioides: Species recognition and biogeographic aspects. PLoS ONE 2012, 7, e37694. [Google Scholar] [CrossRef] [PubMed]
- Bellissimo-Rodrigues, F.; Machado, A.A.; Martinez, R. Paracoccidioidomycosis epidemiological features of a 1,000-cases series from a hyperendemic area on the southeast of Brazil. Am. J. Trop. Med. Hyg. 2011, 85, 546–550. [Google Scholar] [CrossRef] [PubMed]
- Teixeira, M.M.; Cattana, M.E.; Matute, D.R.; Munoz, J.F.; Arechavala, A.; Isbell, K.; Schipper, R.; Santiso, G.; Tracogna, F.; Sosa, M.L.A.; et al. Genomic diversity of the human pathogen Paracoccidioides across the South American continent. Fungal Genet. Biol. 2020, 140, 103395. [Google Scholar] [CrossRef]
- Calcagno, A.M.; Nino-Vega, G.; San-Blas, F.; San-Blas, G. Geographic discrimination of Paracoccidioides brasiliensis strains by randomly amplified polymorphic DNA analysis. J. Clin. Microbiol. 1998, 36, 1733–1736. [Google Scholar] [CrossRef]
- Nino-Vega, G.A.; Calcagno, A.M.; San-Blas, G.; San-Blas, F.; Gooday, G.W.; Gow, N.A. RFLP analysis reveals marked geographical isolation between strains of Paracoccidioides brasiliensis. Med. Mycol. 2000, 38, 437–441. [Google Scholar] [CrossRef][Green Version]
- Hahn, R.C.; Rodrigues, A.M.; Della Terra, P.P.; Nery, A.F.; Hoffmann-Santos, H.D.; Gois, H.M.; Fontes, C.J.F.; de Camargo, Z.P. Clinical and epidemiological features of paracoccidioidomycosis due to Paracoccidioides lutzii. PLoS Negl. Trop. Dis. 2019, 13, e0007437. [Google Scholar] [CrossRef]
- Takayama, A.; Itano, E.N.; Sano, A.; Ono, M.A.; Kamei, K. An atypical Paracoccidioides brasiliensis clinical isolate based on multiple gene analysis. Med. Mycol. 2010, 48, 64–72. [Google Scholar] [CrossRef]
- Arantes, T.D.; Theodoro, R.C.; Da Graca Macoris, S.A.; Bagagli, E. Detection of Paracoccidioides spp. in environmental aerosol samples. Med. Mycol. 2013, 51, 83–92. [Google Scholar] [CrossRef]



), where most patients lived; the migration of some patients who acquired the infection by Paracoccidioides spp. in other regions (
); and the collection site of the environmental isolates (
).
), where most patients lived; the migration of some patients who acquired the infection by Paracoccidioides spp. in other regions (
); and the collection site of the environmental isolates (
).
| Paracoccidoides Species | Total Number | Clinical Form—n (%) | Brazilian State of Residence—n (%) | Brazilian Region of Paracoccidioides spp. Infection—n (%) | |||||||
|---|---|---|---|---|---|---|---|---|---|---|---|
| AC/Subacute | Chronic | SP | MG | PR | MA | SE | S | NE | CW | ||
| P. brasiliensis sensu stricto (S1b) | 38 | 13(34.2) | 25(65.8) | 31(81.6) | 4(10.5) | 2(5.3) | 1(2.6) | 35(92.1) | 2(5.3) | 1(2.6) | - |
| P. brasiliensis sensu stricto (S1a) | 5 | 2(40) | 3(60) | 5(100) | - | - | - | 5(100) | - | - | - |
| P. americana (PS2) | 1 | - | 1(100) | 1(100) | - | - | - | - | 1(100) | - | - |
| P. restrepiensis (PS3) | 1 | 1(100) | - | 1(100) | - | - | - | 1(100) | - | - | - |
| P. lutzii | 1 | - | 1(100) | 1(100) | - | - | - | - | - | - | 1(100) |
| P. brasiliensis sensu stricto (S1b) * | 4 | - | - | 4(100) | 4(100) | - | - | - | |||
© 2020 by the authors. Licensee MDPI, Basel, Switzerland. This article is an open access article distributed under the terms and conditions of the Creative Commons Attribution (CC BY) license (http://creativecommons.org/licenses/by/4.0/).
Share and Cite
Cocio, T.A.; Nascimento, E.; von Zeska Kress, M.R.; Bagagli, E.; Martinez, R. Phylogenetic Species of Paracoccidioides spp. Isolated from Clinical and Environmental Samples in a Hyperendemic Area of Paracoccidioidomycosis in Southeastern Brazil. J. Fungi 2020, 6, 132. https://doi.org/10.3390/jof6030132
Cocio TA, Nascimento E, von Zeska Kress MR, Bagagli E, Martinez R. Phylogenetic Species of Paracoccidioides spp. Isolated from Clinical and Environmental Samples in a Hyperendemic Area of Paracoccidioidomycosis in Southeastern Brazil. Journal of Fungi. 2020; 6(3):132. https://doi.org/10.3390/jof6030132
Chicago/Turabian StyleCocio, Tiago A., Erika Nascimento, Marcia R. von Zeska Kress, Eduardo Bagagli, and Roberto Martinez. 2020. "Phylogenetic Species of Paracoccidioides spp. Isolated from Clinical and Environmental Samples in a Hyperendemic Area of Paracoccidioidomycosis in Southeastern Brazil" Journal of Fungi 6, no. 3: 132. https://doi.org/10.3390/jof6030132
APA StyleCocio, T. A., Nascimento, E., von Zeska Kress, M. R., Bagagli, E., & Martinez, R. (2020). Phylogenetic Species of Paracoccidioides spp. Isolated from Clinical and Environmental Samples in a Hyperendemic Area of Paracoccidioidomycosis in Southeastern Brazil. Journal of Fungi, 6(3), 132. https://doi.org/10.3390/jof6030132

