Aspergillus flavus NRRL 35739, a Poor Biocontrol Agent, May Have Increased Relative Expression of Stress Response Genes
Abstract
1. Introduction
2. Materials and Methods
2.1. Fungal Strains, Aflatoxin Biocontrol, and Abiotic Stress Assays
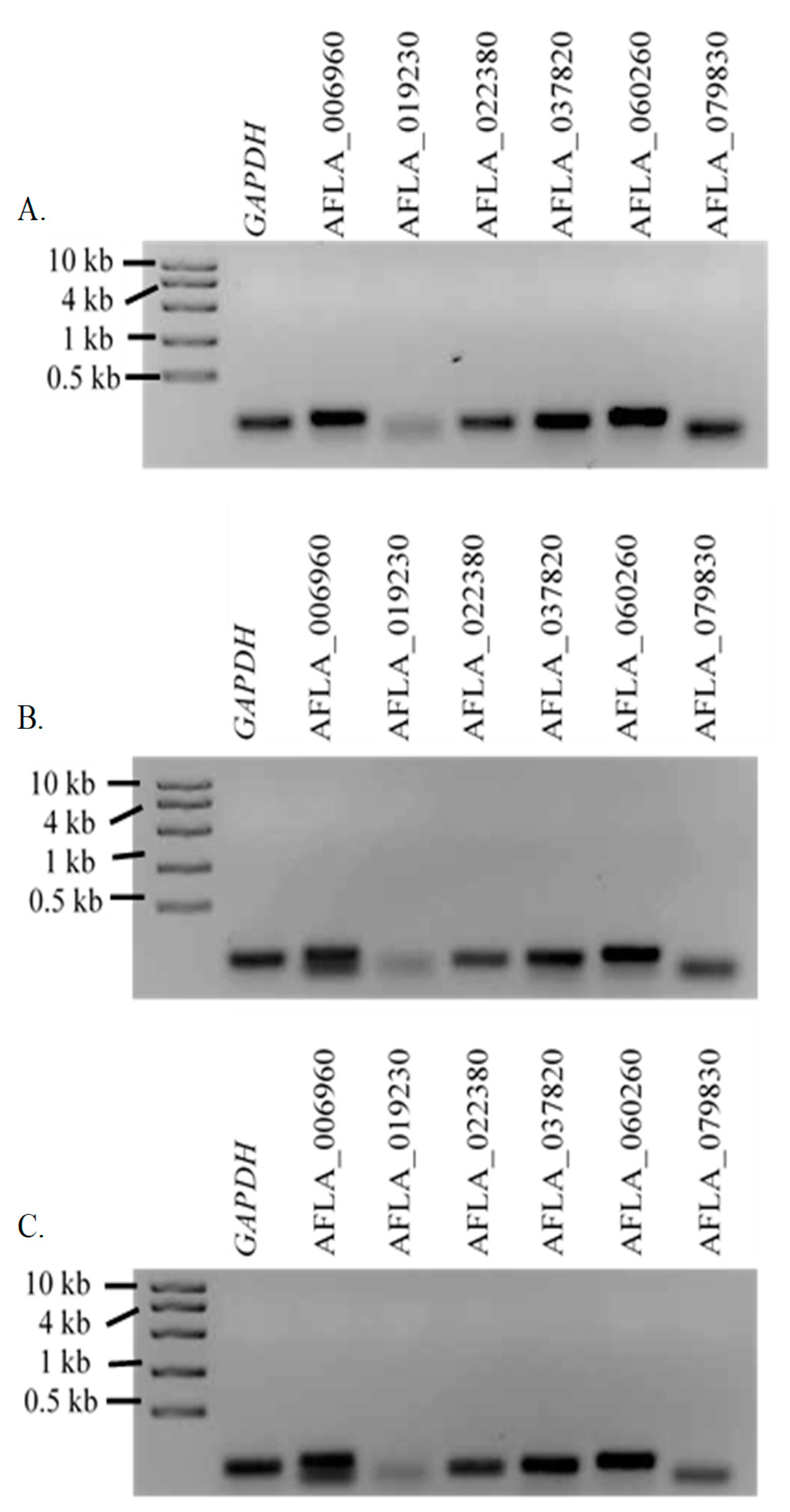
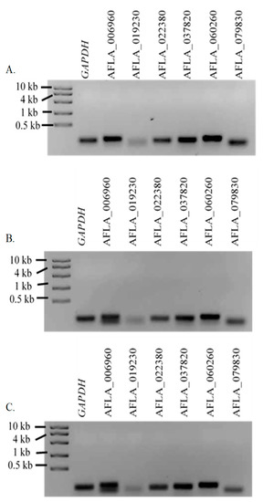
2.2. RT-PCRs and Comparative Transcriptomics
3. Results
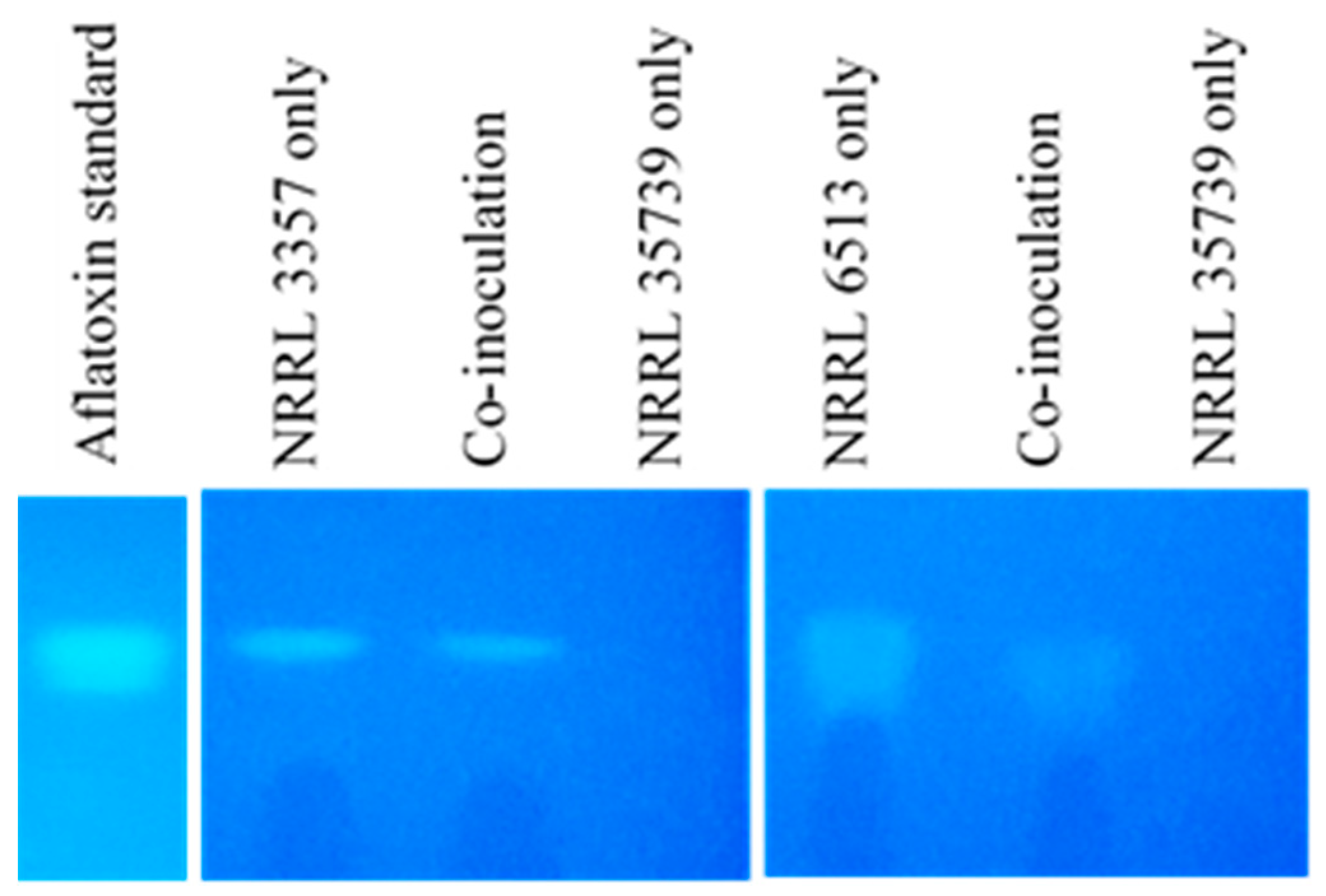
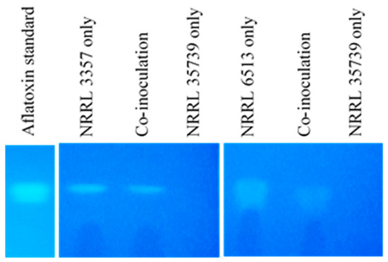
3.1. Strain NRRL 35739 was Poor at Biocontrol and Grew More Slowly
3.2. RNA-Seq Data Revealed Differences in the Transcriptomes of A. flavus Strains
3.3. NRRL 35739 had Higher Relative Expression of Six Stress-Related Genes
4. Discussion
Supplementary Materials
Author Contributions
Funding
Acknowledgments
Conflicts of Interest
References
- Liu, Y.; Wu, F. Global burden of aflatoxin-induced hepatocellular carcinoma: A risk assessment. Environ. Health Perspect. 2010, 118, 818–824. [Google Scholar] [CrossRef]
- Mitchell, N.J.; Bowers, E.; Hurburgh, C.; Wu, F. Potential economic losses to the US corn industry from aflatoxin contamination. Food Addit. Contam. Part A 2016, 33, 540–550. [Google Scholar] [CrossRef]
- Kumar, P.; Mahato, D.K.; Kamle, M.; Mohanta, T.K.; Kang, S.G. Aflatoxins: A global concern for food safety, human health and their management. Front. Microbiol. 2016, 7, 2170. [Google Scholar] [CrossRef]
- Alshannaq, A.; Yu, J.-H. Occurrence, toxicity, and analysis of major mycotoxins in food. Int. J. Environ. Res. Public Health 2017, 14, 632. [Google Scholar] [CrossRef]
- Abbas, H.K.; Accinelli, C.; Shier, W.T. Biological control of aflatoxin contamination in U.S. crops and the use of bioplastic formulations of Aspergillus flavus biocontrol strains to optimize application strategies. J. Agric. Food Chem. 2017, 65, 7081–7087. [Google Scholar] [CrossRef]
- Ojiambo, P.S.; Battilani, P.; Cary, J.W.; Blum, B.H.; Carbone, I. Cultural and genetic approaches to manage aflatoxin contamination: Recent insights provide opportunities for improved control. Phytopathology 2018, 108, 1024–1037. [Google Scholar] [CrossRef]
- Chang, P.-K.; Horn, B.W.; Dorner, J.W. Sequence breakpoints in the aflatoxin biosynthesis gene cluster and flanking regions in nonaflatoxigenic Aspergillus flavus isolates. Fungal Genet. Biol. 2005, 42, 914–923. [Google Scholar] [CrossRef]
- Adhikari, B.N.; Bandyopadhyay, R.; Cotty, P.J. Degeneration of aflatoxin gene clusters in Aspergillus flavus from Africa and North America. AMB Express 2016, 6, 62. [Google Scholar] [CrossRef]
- Moore, G.G.; Singh, R.; Horn, B.W.; Carbone, I. Recombination and lineage-specific gene loss in the aflatoxin gene cluster of Aspergillus flavus. Mol. Ecol. 2009, 18, 4870–4887. [Google Scholar] [CrossRef]
- Yin, G.; Hua, S.; Pennerman, K.K.; Yu, J.; Bu, L.; Sayre, R.T.; Bennett, J.W. Genome sequence and comparative analyses of atoxigenic Aspergillus flavus WRRL 1519. Mycologia 2018, 110, 482–493. [Google Scholar] [CrossRef]
- Chang, P.-K.; Abbas, H.K.; Weaver, M.A.; Ehrlich, K.C.; Scharfenstein, L.L.; Cotty, P.J. Identification of genetic defects in the atoxigenic biocontrol strain Aspergillus flavus K49 reveals the presence of a competitive recombinant group in field populations. Int. J. Food Microbiol. 2012, 154, 192–196. [Google Scholar] [CrossRef]
- Alshannaq, A.F.; Gibbons, J.G.; Lee, M.K.; Han, K.H.; Hong, S.B.; Yu, J.H. Controlling aflatoxin contamination and propagation of Aspergillus flavus by a soy-fermenting Aspergillus oryzae strain. Sci. Rep. 2018, 8, 16871. [Google Scholar] [CrossRef]
- Dorner, J.W. Efficacy of a biopesticide for control of aflatoxins in corn. J. Food Prot. 2010, 73, 495–499. [Google Scholar] [CrossRef]
- Cotty, P.J.; Bhatnagar, D. Variability among atoxigenic Aspergillus flavus strains in ability to prevent aflatoxin contamination and production of aflatoxin biosynthetic pathway enzymes. Appl. Environ. Microbiol. 1994, 60, 2248–2251. [Google Scholar]
- Hruska, Z.; Rajasekaran, K.; Yao, H.; Kincaid, R.; Darlington, D.; Brown, R.L.; Bhatnagar, D.; Cleveland, T.E. Co-inoculation of aflatoxigenic and non-aflatoxigenic strains of Aspergillus flavus to study fungal invasion, colonization, and competition in maize kernels. Front. Microbiol. 2014, 5, 122. [Google Scholar] [CrossRef]
- Fountain, J.C.; Scully, B.T.; Chen, Z.Y.; Gold, S.E.; Glenn, A.E.; Abbas, H.K.; Lee, R.D.; Kemerait, R.C.; Guo, B. Effects of hydrogen peroxide on different toxigenic and atoxigenic isolates of Aspergillus flavus. Toxins (Basel) 2015, 7, 2985–2999. [Google Scholar] [CrossRef]
- Fountain, J.C.; Bajaj, P.; Pandey, M.; Nayak, S.N.; Yang, L.; Kumar, V.; Jayale, A.S.; Chitikineni, A.; Zhuang, W.; Scully, B.T.; et al. Oxidative stress and carbon metabolism influence Aspergillus flavus transcriptome composition and secondary metabolite production. Sci. Rep. 2016, 6, 38747. [Google Scholar] [CrossRef]
- Wicklow, D.T.; Bobell, J.R.; Palmquist, D.E. Effect of intraspecific competition by Aspergillus flavus on aflatoxin formation in suspended disc culture. Mycol. Res. 2003, 107, 617–623. [Google Scholar] [CrossRef]
- Huang, C.; Jha, A.; Sweany, R.; DeRobertis, C.; Damann, K.E., Jr. Intraspecific aflatoxin inhibition in Aspergillus flavus is thigmoregulated, independent of vegetative compatibility group and is strain dependent. PLoS ONE 2011, 6, e23470. [Google Scholar] [CrossRef]
- Morales, H.; Sanchis, V.; Coromines, J.; Ramos, A.J.; Marín, S. Inoculum size and intraspecific interactions affects Penicillium expansum growth and patulin accumulation in apples. Food Microbiol. 2008, 25, 378–385. [Google Scholar] [CrossRef]
- Roze, L.V.; Laivenieks, M.; Hong, S.Y.; Wee, J.; Wong, S.S.; Vanos, B.; Awad, D.; Ehrlich, K.C.; Linz, J.E. Aflatoxin biosynthesis is a novel source of reactive oxygen species—A potential redox signal to initiate resistance to oxidative stress? Toxins (Basel) 2015, 7, 1411–1430. [Google Scholar] [CrossRef] [PubMed]
- Grintzalis, K.; Vernardis, S.I.; Klapa, M.I.; Georgiou, C.D. Role of oxidative stress in sclerotial differentiation and aflatoxin B1 biosynthesis in Aspergillus flavus. Appl. Environ. Microbiol. 2014, 80, 5561–5571. [Google Scholar] [CrossRef] [PubMed]
- Probst, C.; Bandyopadhyay, R.; Cotty, P.J. Diversity of aflatoxin-producing fungi and their impact on food safety in sub-Saharan Africa. Int. J. Food Microbiol. 2014, 174, 113–122. [Google Scholar] [CrossRef] [PubMed]
- Mehl, H.L.; Cotty, P.J. Variation in competitive ability among isolates of Aspergillus flavus from different vegetative compatibility groups during maize infection. Phytopathology 2010, 100, 150–159. [Google Scholar] [CrossRef] [PubMed]
- Alaniz Zanon, M.S.; Clemente, M.P.; Chulze, S.N. Characterization and competitive ability of non-aflatoxigenic Aspergillus flavus isolated from the maize agro-ecosystem in Argentina as potential aflatoxin biocontrol agents. Int. J. Food Microbiol. 2018, 277, 58–63. [Google Scholar] [CrossRef] [PubMed]
- Horn, B.; Dorner, J. Evaluation of different genotypes of nontoxigenic Aspergillus flavus for their ability to reduce aflatoxin contamination in peanuts. Biocontrol Sci. Technol. 2011, 21, 865–876. [Google Scholar] [CrossRef]
- Eshelli, M.; Qader, M.M.; Jambi, E.J.; Hursthouse, A.S.; Rateb, M.E. Current status and future opportunities of omics tools in mycotoxin research. Toxins (Basel) 2018, 10, 433. [Google Scholar] [CrossRef] [PubMed]
- Andrews, S. FastQC: A Quality Control Tool for High Throughput Sequence Data. Available online: http://www.bioinformatics.babraham.ac.uk/projects/fastqc/ (accessed on 1 October 2018).
- Chang, P.-K.; Ehrlich, K.C.; Hua, S.S. Cladal relatedness among Aspergillus oryzae isolates and Aspergillus flavus S and L morphotype isolates. Int. J. Food Microbiol. 2006, 108, 172–177. [Google Scholar] [CrossRef]
- Ohkura, M.; Cotty, P.J.; Orbach, M.J. Comparative genomics of Aspergillus flavus S and L morphotypes yield insights into niche adaptation. G3 (Bethesda) 2018, 8, 3915–3930. [Google Scholar] [CrossRef]
- Gilbert, M.K.; Mack, B.M.; Moore, G.G.; Downey, D.L.; Lebar, M.D.; Joardar, V.; Losada, L.; Yu, J.; Nierman, W.C.; Bhatnagar, D. Whole genome comparison of Aspergillus flavus L-morphotype strain NRRL 3357 (type) and S-morphotype strain AF70. PLoS ONE 2018, 13, e0199169. [Google Scholar] [CrossRef]
- Dobin, A.; Davis, C.A.; Schlesinger, F.; Drenkow, J.; Zaleski, C.; Jha, S.; Batut, P.; Chaisson, M.; Gingeras, T.R. STAR: Ultrafast universal RNA-seq aligner. Bioinformatics 2013, 29, 15–21. [Google Scholar] [CrossRef] [PubMed]
- Nierman, W.C.; Yu, J.; Fedorova-Abrams, N.D.; Losada, L.; Cleveland, T.E.; Bhatnagar, D.; Bennett, J.W.; Dean, R.; Payne, G.A. Genome sequence of Aspergillus flavus NRRL 3357, a strain that causes aflatoxin contamination of food and feed. Genome Announc. 2015, 3, e00168-15. [Google Scholar] [CrossRef] [PubMed]
- Li, H.; Handsaker, B.; Wysoker, A.; Fennell, T.; Ruan, J.; Homer, N.; Marth, G.; Abecasis, G.; Durbin, R. The sequence alignment/map format and SAMtools. Bioinformatics 2009, 25, 2078–2079. [Google Scholar] [CrossRef] [PubMed]
- Love, M.I.; Huber, W.; Anders, S. Moderated estimation of fold change and dispersion for RNA-seq data with DESeq2. Genome Biol. 2014, 15, 550. [Google Scholar] [CrossRef] [PubMed]
- Pertea, M.; Pertea, G.M.; Antonescu, C.M.; Chang, T.C.; Mendell, J.T.; Salzberg, S.L. StringTie enables improved reconstruction of a transcriptome from RNA-seq reads. Nat. Biotechnol. 2015, 33, 290–295. [Google Scholar] [CrossRef] [PubMed]
- Dusa, A. Package ‘venn’. Available online: https://cran.r-project.org/web/packages/venn/venn.pdf (accessed on 1 October 2018).
- Jones, P.; Binns, D.; Chang, H.Y.; Fraser, M.; Li, W.; McAnulla, C.; McWilliam, H.; Maslen, J.; Mitchell, A.; Nuka, G.; et al. InterProScan 5: Genome-scale protein function classification. Bioinformatics 2014, 30, 1236–1240. [Google Scholar] [CrossRef] [PubMed]
- Altschul, S.F.; Gish, W.; Miller, W.; Myers, E.W.; Lipman, D.J. Basic local alignment search tool. J. Mol. Biol. 1990, 215, 403–410. [Google Scholar] [CrossRef]
- Sievers, F.; Wilm, A.; Dineen, D.; Gibson, T.J.; Karplus, K.; Li, W.; Lopez, R.; McWilliam, H.; Remmert, M.; Söding, J. Fast, scalable generation of high-quality protein multiple sequence alignments using Clustal Omega. Mol. Syst. Biol. 2011, 7, 539. [Google Scholar] [CrossRef]
- Espindola, A.S.; Schneider, W.; Cardwell, K.F.; Carrillo, Y.; Hoyt, P.R.; Marek, S.M.; Melouk, H.A.; Garzon, C.D. Inferring the presence of aflatoxin-producing Aspergillus flavus strains using RNA sequencing and electronic probes as a transcriptomic screening tool. PLoS ONE 2018, 13, e0198575. [Google Scholar] [CrossRef]
- Lin, J.Q.; Zhao, X.X.; Zhi, Q.Q.; Zhao, M.; He, Z.M. Transcriptomic profiling of Aspergillus flavus in response to 5-azacytidine. Fungal Genet. Biol. 2013, 56, 78–86. [Google Scholar] [CrossRef]
- Gao, C.; Jiang, B.; Wang, Y.; Liu, G.; Yang, C. Overexpression of a heat shock protein (ThHSP18.3) from Tamarix hispida confers stress tolerance to yeast. Mol. Biol. Rep. 2012, 39, 4889–4897. [Google Scholar] [CrossRef] [PubMed]
- Whitley, D.; Goldberg, S.P.; Jordan, W.D. Heat shock proteins: A review of the molecular chaperones. J. Vasc. Surg. 1999, 29, 748–751. [Google Scholar] [CrossRef]
- Singh, K.; Nizam, S.; Sinha, M.; Verma, P.K. Comparative transcriptome analysis of the necrotrophic fungus Ascochyta rabiei during oxidative stress: Insight for fungal survival in the host plant. PLoS ONE 2012, 7, e33128. [Google Scholar] [CrossRef] [PubMed]
- Wang, S.; Zhou, H.; Wu, J.; Han, J.; Li, S.; Shao, S. Transcriptomic analysis reveals genes mediating salt tolerance through calcineurin/cchA-independent signaling in Aspergillus nidulans. BioMed Res. Int. 2017, 2017, 4378627. [Google Scholar] [CrossRef] [PubMed]
- Yin, Z.; Stead, D.; Walker, J.; Selway, L.; Smith, D.A.; Brown, A.J.; Quinn, J. A proteomic analysis of the salt, cadmium and peroxide stress responses in Candida albicans and the role of the Hog1 stress-activated MAPK in regulating the stress-induced proteome. Proteomics 2009, 9, 4686–4703. [Google Scholar] [CrossRef]
- Cowen, L.E.; Lindquist, S. Hsp90 potentiates the rapid evolution of new traits: Drug resistance in diverse fungi. Science 2005, 309, 2185–2189. [Google Scholar] [CrossRef] [PubMed]
- Robbins, N.; Uppuluri, P.; Nett, J.; Rajendran, R.; Ramage, G.; Lopez-Ribot, J.L.; Andes, D.; Cowen, L.E. Hsp90 governs dispersion and drug resistance of fungal biofilms. PLoS Pathog. 2011, 7, e1002257. [Google Scholar] [CrossRef] [PubMed]
- Cowen, L.E.; Singh, S.D.; Kohler, J.R.; Collins, C.; Zaas, A.K.; Schell, W.A.; Aziz, H.; Mylonakis, E.; Perfect, J.R.; Whitesell, L.; et al. Harnessing Hsp90 function as a powerful, broadly effective therapeutic strategy for fungal infectious disease. Proc. Natl. Acad. Sci. USA 2009, 106, 2818–2823. [Google Scholar] [CrossRef]
- Burnie, J.P.; Matthews, R.C. Heat shock protein 88 and Aspergillus infection. J. Clin. Microbiol. 1991, 29, 2099–2106. [Google Scholar]
- Kumar, A.; Reddy, L.V.; Sochanik, A.; Kurup, V.P. Isolation and characterization of a recombinant heat shock protein of Aspergillus fumigatus. J. Allergy Clin. Immunol. 1993, 91, 1024–1030. [Google Scholar] [CrossRef]
- Blum, G.; Kainzner, B.; Grif, K.; Dietrich, H.; Zeiger, B.; Sonnweber, T.; Lass-Florl, C. In vitro and in vivo role of heat shock protein 90 in amphotericin B resistance of Aspergillus terreus. Clin. Microbiol. Infect. 2013, 19, 50–55. [Google Scholar] [CrossRef] [PubMed]
- Lamoth, F.; Juvvadi, P.R.; Soderblom, E.J.; Moseley, M.A.; Asfaw, Y.G.; Steinbach, W.J. Identification of a key lysine residue in heat shock protein 90 required for azole and echinocandin resistance in Aspergillus fumigatus. Antimicrob. Agents Chemother. 2014, 58, 1889–1896. [Google Scholar] [CrossRef] [PubMed][Green Version]
- Lamoth, F.; Juvvadi, P.R.; Fortwendel, J.R.; Steinbach, W.J. Heat shock protein 90 is required for conidiation and cell wall integrity in Aspergillus fumigatus. Eukaryot. Cell 2012, 11, 1324–1332. [Google Scholar] [CrossRef] [PubMed]
- Pratt, W.B. The Hsp90-based chaperone system: Involvement in signal transduction from a variety of hormone and growth factor receptors. Proc. Soc. Exp. Biol. Med. 1998, 217, 420–434. [Google Scholar] [CrossRef] [PubMed]
- Blatzer, M.; Blum, G.; Jukic, E.; Posch, W.; Gruber, P.; Nagl, M.; Binder, U.; Maurer, E.; Sarg, B.; Lindner, H.; et al. Blocking Hsp70 enhances the efficiency of amphotericin B treatment against resistant Aspergillus terreus strains. Antimicrob. Agents Chemother. 2015, 59, 3778–3788. [Google Scholar] [CrossRef]
- Lamoth, F.; Juvvadi, P.R.; Soderblom, E.J.; Moseley, M.A.; Steinbach, W.J. Hsp70 and the cochaperone StiA (Hop) orchestrate Hsp90-mediated caspofungin tolerance in Aspergillus fumigatus. Antimicrob. Agents Chemother. 2015, 59, 4727–4733. [Google Scholar] [CrossRef] [PubMed]
- Haslbeck, M.; Braun, N.; Stromer, T.; Richter, B.; Model, N.; Weinkauf, S.; Buchner, J. Hsp42 is the general small heat shock protein in the cytosol of Saccharomyces cerevisiae. EMBO J. 2004, 23, 638–649. [Google Scholar] [CrossRef]
- Li, J.; Qian, X.; Sha, B. Heat shock protein 40: Structural studies and their functional implications. Protein Pept. Lett. 2009, 16, 606–612. [Google Scholar] [CrossRef]
- Tiwari, S.; Thakur, R.; Shankar, J. Role of heat-shock proteins in cellular function and in the biology of fungi. Biotechnol. Res. Int. 2015, 2015, 132635. [Google Scholar] [CrossRef]
- Piper, P.W.; Ortiz-Calderon, C.; Holyoak, C.; Coote, P.; Cole, M. Hsp30, the integral plasma membrane heat shock protein of Saccharomyces cerevisiae, is a stress-inducible regulator of plasma membrane H+-ATPase. Cell Stress Chaperones 1997, 2, 12–24. [Google Scholar] [CrossRef]
- Seymour, I.J.; Piper, P.W. Stress induction of HSP30, the plasma membrane heat shock protein gene of Saccharomyces cerevisiae, appears not to use known stress-regulated transcription factors. Microbiology 1999, 145, 231–239. [Google Scholar] [CrossRef] [PubMed]
- Montagna, G.N.; Buscaglia, C.A.; Münter, S.; Goosmann, C.; Frischknecht, F.; Brinkmann, V.; Matuschewski, K. Critical role for heat shock protein 20 (Hsp20) in migration of malarial sporozoites. J. Biol. Chem. 2012, 287, 2410–2422. [Google Scholar] [CrossRef] [PubMed]
- Mayer, F.L.; Wilson, D.; Jacobsen, I.D.; Miramon, P.; Slesiona, S.; Bohovych, I.M.; Brown, A.J.; Hube, B. Small but crucial: The novel small heat shock protein Hsp21 mediates stress adaptation and virulence in Candida albicans. PLoS ONE 2012, 7, e38584. [Google Scholar] [CrossRef] [PubMed]
- Amorós, M.; Estruch, F. Hsf1p and Msn2/4p cooperate in the expression of Saccharomyces cerevisiae genes Hsp26 and Hsp104 in a gene- and stress type-dependent manner. Mol. Microbiol. 2001, 39, 1523–1532. [Google Scholar] [CrossRef] [PubMed]
- Sin, Y.Y.; Martin, T.P.; Wills, L.; Currie, S.; Baillie, G.S. Small heat shock protein 20 (Hsp20) facilitates nuclear import of protein kinase D 1 (PKD1) during cardiac hypertrophy. Cell Commun. Signal. 2015, 13, 16. [Google Scholar] [CrossRef] [PubMed]
- Welker, S.; Rudolph, B.; Frenzel, E.; Hagn, F.; Liebisch, G.; Schmitz, G.; Scheuring, J.; Kerth, A.; Blume, A.; Weinkauf, S.; et al. Hsp12 is an intrinsically unstructured stress protein that folds upon membrane association and modulates membrane function. Mol. Cell 2010, 39, 507–520. [Google Scholar] [CrossRef] [PubMed]
- Varela, J.C.; Praekelt, U.M.; Meacock, P.A.; Planta, R.J.; Mager, W.H. The Saccharomyces cerevisiae Hsp12 gene is activated by the high-osmolarity glycerol pathway and negatively regulated by protein kinase A. Mol. Cell. Biol. 1995, 15, 6232–6245. [Google Scholar] [CrossRef] [PubMed]
- Ahn, J.; Won, M.; Choi, J.H.; Kyun, M.L.; Cho, H.S.; Park, H.M.; Kang, C.M.; Chung, K.S. Small heat-shock protein Hsp9 has dual functions in stress adaptation and stress-induced G2-M checkpoint regulation via Cdc25 inactivation in Schizosaccharomyces pombe. Biochem. Biophys. Res. Commun. 2012, 417, 613–618. [Google Scholar] [CrossRef] [PubMed]
- Orlandi, I.; Cavadini, P.; Popolo, L.; Vai, M. Cloning, sequencing and regulation of a cDNA encoding a small heat-shock protein from Schizosaccharomyces pombe. Biochim. Biophys. Acta 1996, 1307, 129–131. [Google Scholar] [CrossRef]
- Akbar, S.; Lee, S.Y.; Boylan, S.A.; Price, C.W. Two genes from Bacillus subtilis under the sole control of the general stress transcription factor σB. Microbiology 1999, 145 Pt 5, 1069–1078. [Google Scholar] [CrossRef]
- Gourion, B.; Francez-Charlot, A.; Vorholt, J.A. PhyR is involved in the general stress response of Methylobacterium extorquens AM1. J. Bacteriol. 2008, 190, 1027–1035. [Google Scholar] [CrossRef] [PubMed]
- Han, D.; Link, H.; Liesack, W. Response of Methylocystis sp. strain SC2 to salt stress: Physiology, global transcriptome, and amino acid profiles. Appl. Environ. Microbiol. 2017, 83, e00866-17. [Google Scholar] [CrossRef] [PubMed]
- Prágai, Z.; Harwood, C.R. Regulatory interactions between the Pho and σB-dependent general stress regulons of Bacillus subtilis. Microbiology 2002, 148, 1593–1602. [Google Scholar] [CrossRef] [PubMed]
- Morsy, M.R.; Almutairi, A.M.; Gibbons, J.; Yun, S.J.; de Los Reyes, B.G. The OsLti6 genes encoding low-molecular-weight membrane proteins are differentially expressed in rice cultivars with contrasting sensitivity to low temperature. Gene 2005, 344, 171–180. [Google Scholar] [CrossRef] [PubMed]
- Medina, J.; Ballesteros, M.L.; Salinas, J. Phylogenetic and functional analysis of Arabidopsis RCI2 genes. J. Exp. Bot. 2007, 58, 4333–4346. [Google Scholar] [CrossRef]
- Navarre, C.; Goffeau, A. Membrane hyperpolarization and salt sensitivity induced by deletion of PMP3, a highly conserved small protein of yeast plasma membrane. EMBO J. 2000, 19, 2515–2524. [Google Scholar] [CrossRef]
- Wang, H.; Lei, Y.; Yan, L.; Cheng, K.; Dai, X.; Wan, L.; Guo, W.; Cheng, L.; Liao, B. Deep sequencing analysis of transcriptomes in Aspergillus flavus in response to resveratrol. BMC Microbiol. 2015, 15, 182. [Google Scholar] [CrossRef]
- Bai, Y.; Wang, S.; Zhong, H.; Yang, Q.; Zhang, F.; Zhuang, Z.; Yuan, J.; Nie, X.; Wang, S. Integrative analyses reveal transcriptome-proteome correlation in biological pathways and secondary metabolism clusters in A. flavus in response to temperature. Sci. Rep. 2015, 5, 14582. [Google Scholar] [CrossRef]
- Szilágyi, M.; Miskei, M.; Karányi, Z.; Lenkey, B.; Pócsi, I.; Emri, T. Transcriptome changes initiated by carbon starvation in Aspergillus nidulans. Microbiology 2013, 159, 176–190. [Google Scholar] [CrossRef]
- Rockabrand, D.; Livers, K.; Austin, T.; Kaiser, R.; Jensen, D.; Burgess, R.; Blum, P. Roles of DnaK and RpoS in starvation-induced thermotolerance of Escherichia coli. J. Bacteriol. 1998, 180, 846–854. [Google Scholar]
- Jenkins, D.E.; Auger, E.A.; Matin, A. Role of RpoH, a heat shock regulator protein, in Escherichia coli carbon starvation protein synthesis and survival. J. Bacteriol. 1991, 173, 1992–1996. [Google Scholar] [CrossRef] [PubMed]
- Spence, J.; Cegielska, A.; Georgopoulos, C. Role of Escherichia coli heat shock proteins DnaK and HtpG (C62.5) in response to nutritional deprivation. J. Bacteriol. 1990, 172, 7157–7166. [Google Scholar] [CrossRef] [PubMed]
- Hahn, J.S.; Thiele, D.J. Activation of the Saccharomyces cerevisiae heat shock transcription factor under glucose starvation conditions by Snf1 protein kinase. J. Biol. Chem. 2004, 279, 5169–5176. [Google Scholar] [CrossRef] [PubMed]
- Boender, L.G.; Almering, M.J.; Dijk, M.; van Maris, A.J.; de Winde, J.H.; Pronk, J.T.; Daran-Lapujade, P. Extreme calorie restriction and energy source starvation in Saccharomyces cerevisiae represent distinct physiological states. Biochim. Biophys. Acta 2011, 1813, 2133–2144. [Google Scholar] [CrossRef] [PubMed]
- Abrashev, R.I.; Pashova, S.B.; Stefanova, L.N.; Vassilev, S.V.; Dolashka-Angelova, P.A.; Angelova, M.B. Heat-shock-induced oxidative stress and antioxidant response in Aspergillus niger 26. Can. J. Microbiol. 2008, 54, 977–983. [Google Scholar] [CrossRef]
- Sugiyama, K.; Izawa, S.; Inoue, Y. The Yap1p-dependent induction of glutathione synthesis in heat shock response of Saccharomyces cerevisiae. J. Biol. Chem. 2000, 275, 15535–15540. [Google Scholar] [CrossRef] [PubMed]
- Albrecht, D.; Guthke, R.; Brakhage, A.A.; Kniemeyer, O. Integrative analysis of the heat shock response in Aspergillus fumigatus. BMC Genom. 2010, 11, 32. [Google Scholar] [CrossRef]
- Ogundero, V.W. Temperature and aflatoxin production by Aspergillus flavus and A. parasiticus strains from Nigerian groundnuts. J. Basic Microbiol. 1987, 27, 511–514. [Google Scholar]
- Scheidegger, K.; Payne, G.A. Unlocking the secrets behind secondary metabolism: A review of Aspergillus flavus from pathogenicity to functional genomics. J. Toxicol. 2003, 22, 423–459. [Google Scholar] [CrossRef]
- Lahouar, A.; Marin, S.; Crespo-Sempere, A.; Said, S.; Sanchis, V. Effects of temperature, water activity and incubation time on fungal growth and aflatoxin B1 production by toxinogenic Aspergillus flavus isolates on sorghum seeds. Rev. Argent. Microbiol. 2016, 48, 78–85. [Google Scholar] [CrossRef]
- Staves, P.A.; Knell, R.J. Virulence and competitiveness: Testing the relationship during inter- and intraspecific mixed infections. Evolution 2010, 64, 2643–2652. [Google Scholar] [CrossRef] [PubMed]
- Adler, P.B.; Smull, D.; Beard, K.H.; Choi, R.T.; Furniss, T.; Kulmatiski, A.; Meiners, J.M.; Tredennick, A.T.; Veblen, K.E. Competition and coexistence in plant communities: Intraspecific competition is stronger than interspecific competition. Ecol. Lett. 2018, 21, 1319–1329. [Google Scholar] [CrossRef] [PubMed]







| Target | Sequences (5′-3′) | Amplicon (bp) |
|---|---|---|
| GAPDH | F- CACCTACGAGGACATCAAGAAG R- GATCAGGTCAGTGGAGACAATG | 104 |
| AFLA_006960 | F- CAGACCGACTACCTCAACGA R- GCCTTCCTCTTCCTTGGTCT | 147 |
| AFLA_019230 | F- AGGGTGGTCTTGGAAAGGTC R- TCTGCTTAACCTTGCCCTCA | 93 |
| AFLA_022380 | F- CAAGCGCAACACCACAATTC R- CACGTTCACCCTCGTAAACC | 101 |
| AFLA_037820 | F- CATCAAGCATACCGCCCAAA R- GCTTGGTTAACGCCAGGTAG | 122 |
| AFLA_060260 | F- GAGGGTGAGAGCAAGGAAGT R- AGGATGCCGTTCTTAAGGCT | 152 |
| AFLA_079830 | F- CGGTGCTGATCTCCTCATCA R- ACAGAGCGTGAATGATACCAG | 71 |
| Strain | SRA Run Accession | No. Reads | Read Length | Growth Condition a | Reference |
|---|---|---|---|---|---|
| AF70 | SRR7962692 | 20,657,024 | 1 × 99 bp | 50 mL PDB, 31 °C, 10 days | [41] |
| NRRL 18543 | SRR7962690 | 22,495,368 | 1 × 99 bp | 50 mL PDB, 31 °C, 10 days | [41] |
| NRRL 3357 | SRR544871 | 13,919,842 | 2 × 115 bp | 100 mL PDB, 30 °C, shaking 200 rpm | [42] |
| WRRL 1519 | SRR5907168 | 36,768,097 | 1 × 150 bp | 20 mL PDB, 28 °C, shaking 150 rpm, 48 h | [10] |
| Strain | Reads Aligned to AF70 Genome (%) | No. Genes Expressed a | Reads Aligned to NRRL 3357 Genome (%) | No. Genes Expressed |
|---|---|---|---|---|
| AF70 | 98.04 | 11,932 | 76.81 | 11,730 |
| NRRL 18543 | 97.86 | 11,324 | 54.55 | 11,511 |
| NRRL 3357 | 65.98 | 11,708 | 65.79 | 12,180 |
| NRRL 35739 | 84.24 | 12,512 | 78.54 | 12,911 |
| WRRL 1519 | 95.32 | 11,941 | 89.84 | 12,291 |
| Gene Name | Putative Description | NRRL 35739 Relative FPKM | Average Fold Difference |
|---|---|---|---|
| AFLA70_147g002360 | alternative oxidase | 27 | 202 |
| AFLA70_21g004231 | isocitrate lyase AcuD | 35 | 64 |
| AFLA70_263g001160 | phosphoenolpyruvate carboxykinase AcuF | 14 | 38 |
| AFLA70_286g001550 | chitin synthesis regulation RCR superfamily | 16 | 40 |
| AFLA70_30g004530 | membrane associated proteins in eicosanoid and glutathione metabolism family protein | 11 | 17 |
| AFLA70_338g001370 | 4-carboxymuconolactone decarboxylase | 33 | 407 |
| AFLA70_502g000700 | heat shock protein, Hsp20-like | 12 | 619 |
| AFLA70_52g003980 | domain of unknown function superfamily DUF1857 | 15 | 39 |
| AFLA70_535g000630 | molecular chaperone Hsp70 | 15 | 10 |
| AFLA70_560g000680 | heat shock protein, Hsp20-like | 100 | 280 |
| AFLA70_570g000531 | domain of unknown function superfamily DUF4436; metal-dependent hydrolase | 14 | 59 |
| AFLA70_6g007820 | hypothetical protein AFLA70_6g007820 | 14 | 36 |
| AFLA70_73g004291 | mitochondrial hypoxia responsive domain protein | 16 | 16 |
| AFLA70_89g003151 | CsbD-like general stress response protein | 40 | 274 |
| Gene Name | Putative Description | NRRL 35739 Relative FPKM | Average Fold Difference |
|---|---|---|---|
| AFLA_006100 | domain of unknown function superfamily DUF4243 | 7 | 20 |
| AFLA_019230 | CsbD-like general stress response protein | 28 | 143 |
| AFLA_035070 | alternative oxidase | 16 | 113 |
| AFLA_036370 | phosphoenolpyruvate carboxykinase AcuF | 9 | 17 |
| AFLA_037820 | heat shock protein Hsp20 or Hsp30-like | 7 | 300 |
| AFLA_050290 | amidohydrolase family protein | 6 | 36 |
| AFLA_052400 | isocitrate lyase AcuD | 20 | 30 |
| AFLA_057980 | conserved hypothetical protein | 12 | 16 |
| AFLA_060260 | heat shock protein Hsp20 or Hsp30 | 58 | 130 |
| AFLA_097370 | chitin synthesis regulation RCR superfamily | 9 | 17 |
| AFLA_097530 | domain of unknown function superfamily DUF1857 | 9 | 19 |
| AFLA_124980 | 4-carboxymuconolactone decarboxylase | 24 | 166 |
| AF70 ID | Annotation a | NRRL 3357 ID | Annotation |
|---|---|---|---|
| AFLA70_128g002760 | heat shock protein | AFLA_005950 | stress response RCI peptide |
| AFLA70_132g002240 | stress responsive A/B barrel domain protein | AFLA_006960 | molecular chaperone and allergen Mod-E/Hsp90/Hsp1 |
| AFLA70_135g002041 | ATP-dependent chaperone | AFLA_007740 | heat shock protein Hsp20/Hsp26 |
| AFLA70_166g001980 | molecular chaperone and allergen Mod-E/Hsp90/Hsp1 | AFLA_012200 | Hsp70 chaperone (HscA) |
| AFLA70_211g002041 | Ca-activated chloride channel; membrane stress response protein | AFLA_019230 | CsbD-like general stress response protein |
| AFLA70_23g004591 | Hsp70 chaperone BiP/Kar2 | AFLA_022380 | molecular chaperone Hsp70 |
| AFLA70_264g001290 | Hsp70 nucleotide exchange factor (Fes1) | AFLA_025980 | Hsp90 co-chaperone Cdc37 |
| AFLA70_26g004611 | Hsp70 chaperone (BiP) | AFLA_026660 | stress responsive A/B barrel domain protein |
| AFLA70_275g001630 | Hsp40 co-chaperone Jid1 | AFLA_031070 | Hsp40 co-chaperone Jid1 |
| AFLA70_29g004401 | stress response RCI peptide | AFLA_035620 | Hsp70 chaperone BiP/Kar2 |
| AFLA70_2g008980 | stress response RCI peptide | AFLA_037820 | heat shock protein Hsp20 or Hsp30-like |
| AFLA70_302g001550 | Hsp90 co-chaperone Cdc37 | AFLA_043390 | Hsp70 chaperone |
| AFLA70_312g001481 | Hsp70 chaperone (HscA) | AFLA_044620 | mitochondrial Hsp70 chaperone (Ssc70) |
| AFLA70_33g004191 | stress responsive A/B barrel domain protein | AFLA_045750 | GroEL_like type I chaperonin |
| AFLA70_367g000950 | oxidative stress protein Svf1 | AFLA_052860 | chaperone/heat shock protein Hsp9/Hsp12 |
| AFLA70_46g003420 | mitochondrial Hsp70 chaperone (Ssc70) | AFLA_055220 | Hsp70 nucleotide exchange factor (Fes1) |
| AFLA70_502g000700 | heat shock protein, Hsp20-like | AFLA_060260 | heat shock protein Hsp20 or Hsp30 |
| AFLA70_535g000630 | molecular chaperone Hsp70 | AFLA_068370 | ATP-dependent chaperone |
| AFLA70_560g000680 | heat shock protein, Hsp20-like | AFLA_071010 | heat shock protein (Sti1) |
| AFLA70_57g003661 | domain of unknown function superfamily 3759 | AFLA_079830 | stress response RCI peptide |
| AFLA70_640g000430 | heat shock protein Hsp20/Hsp26 | AFLA_084380 | Hsp70 family protein |
| AFLA70_71g003911 | chaperone, heat shock protein Hsp9/12 | AFLA_084460 | heat shock protein Hsp98/Hsp104/ClpA |
| AFLA70_793g000140 | stress response RCI peptide | AFLA_092900 | oxidative stress protein Svf1 |
| AFLA70_80g002640 | ATP-dependent chaperone ClipB | AFLA_095590 | Hsp90 binding co-chaperone (Sba1) |
| AFLA70_83g002970 | Hsp70 family protein | AFLA_095970 | Hsp70 chaperone |
| AFLA70_89g003151 | CsbD-like general stress response protein | AFLA_117640 | domain of unknown function superfamily 3759 |
| AFLA70_9g006590 | heat shock protein, Hsp20-like | AFLA_119610 | stress response RCI peptide |
© 2019 by the authors. Licensee MDPI, Basel, Switzerland. This article is an open access article distributed under the terms and conditions of the Creative Commons Attribution (CC BY) license (http://creativecommons.org/licenses/by/4.0/).
Share and Cite
Pennerman, K.K.; Yin, G.; Bennett, J.W.; Hua, S.-S.T. Aspergillus flavus NRRL 35739, a Poor Biocontrol Agent, May Have Increased Relative Expression of Stress Response Genes. J. Fungi 2019, 5, 53. https://doi.org/10.3390/jof5020053
Pennerman KK, Yin G, Bennett JW, Hua S-ST. Aspergillus flavus NRRL 35739, a Poor Biocontrol Agent, May Have Increased Relative Expression of Stress Response Genes. Journal of Fungi. 2019; 5(2):53. https://doi.org/10.3390/jof5020053
Chicago/Turabian StylePennerman, Kayla K., Guohua Yin, Joan W. Bennett, and Sui-Sheng T. Hua. 2019. "Aspergillus flavus NRRL 35739, a Poor Biocontrol Agent, May Have Increased Relative Expression of Stress Response Genes" Journal of Fungi 5, no. 2: 53. https://doi.org/10.3390/jof5020053
APA StylePennerman, K. K., Yin, G., Bennett, J. W., & Hua, S.-S. T. (2019). Aspergillus flavus NRRL 35739, a Poor Biocontrol Agent, May Have Increased Relative Expression of Stress Response Genes. Journal of Fungi, 5(2), 53. https://doi.org/10.3390/jof5020053

