Sporotrichosis: From KOH to Molecular Biology
Abstract
1. Introduction
2. Clinical Diagnosis
2.1. Acquisition, Transmission and Propagated of Disease
2.2. Clinical Manifestations
2.2.1. Cutaneous Presentation
2.2.2. Extracutaneous Presentation
3. Direct Examination
4. Fungal Culture
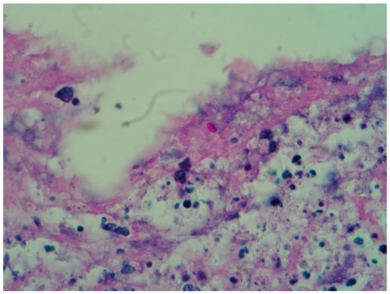
5. Histopathological Study
6. Molecular Biology Diagnosis
7. Immunological Tests
8. Conclusions
Author Contributions
Conflicts of Interest
References
- Arenas, R. Micología Medica Ilustrada, 5th ed.; McGraw-Hill: Mexico City, Mexico, 2014; pp. 160–172. ISBN 978-607-15-1125-6. [Google Scholar]
- Negrini, T.D.; Ferreira, L.S.; Alegranci, P.; Arthur, R.A.; Sundfeld, P.P.; Maia, D.C.; Spolidorio, L.C. Carlos IZ Role of TLR-2 and fungal surface antigens on innate immune response against Sporothrix schenckii. Immunol. Investig. 2013, 42, 36–48. [Google Scholar] [CrossRef] [PubMed]
- De Lima Barros, M.B.; de Almeida Paes, R.; Schubach, A.O. Sporothrix schenckii and Sporotrichosis. Clin. Microbiol. Rev. 2011, 24, 633–654. [Google Scholar] [CrossRef] [PubMed]
- Lacaz, C.; Porto, E.; Martins, J.; Heins-Vaccari, E.; Takashi de Melo, N. Tratado de Micologia Médica, 9th ed.; Sarvier: Sao Paulo, Brazil, 2002; pp. 147–158. [Google Scholar]
- Gezuele, E.; Da Rosa, D. Importance of the sporotrichosis asteroid body for the rapid diagnosis of sporotrichosis. Rev. Iberoam. Micol. 2005, 22, 147–150. [Google Scholar] [CrossRef]
- Orofino, C.; Marques de Macedo, P.; Messias, R.; Bernardes, E. Sporotrichosis: An update on epidemiology, etiopathogenesis, laboratory and clinical therapeutics. An. Brasil. Dermatol. 2017, 92, 606–620. [Google Scholar] [CrossRef] [PubMed]
- Ferreira, C.P.; Nery, J.A.; de Almeida, A.C.; Ferreira, L.C.; Corte-Real, S.; Conceição-Silva, F. Parinaud’s oculoglandular syndrome associated with Sporothrix schenckii. IDCases 2014, 1, 38–39. [Google Scholar] [CrossRef] [PubMed]
- Barba-Rubio, J.; López-Martínez, R. Study of 50 patients with sporotrichosis. Clinical and laboratory assessment. Gac. Med. 2001, 137, 111–116. [Google Scholar]
- Freitas, D.F.; Valle, A.C.; da Silva, M.B.; Campos, D.P.; Lyra, M.R.; de Souza, R.V.; Veloso, V.G.; Zancope-Oliveira, R.M.; Bastos, F.I. Sporotrichosis: An emerging neglected opportunistic infection in HIV-infected patients in Rio de Janeiro, Brazil. PLoS Negl. Trop. Dis. 2014, 8, e3110. [Google Scholar] [CrossRef] [PubMed]
- Aung, A.K.; Spelman, D.W.; Thompson, P.J. Pulmonary Sporotrichosis: An Evolving Clinical Paradigm. Semin. Respir. Crit. Care Med. 2015, 36, 756–766. [Google Scholar] [CrossRef] [PubMed]
- Tirado-Sánchez, A.; Bonifaz, A. Sporotrichosis in Children: An Update. Curr. Fungal Infect. Rep. 2016, 10, 107–116. [Google Scholar] [CrossRef]
- Arenas, R. Sporotricosis. In Microbiology and Microbial Infections, 10th ed.; Merz, W.G., Hay, R., Eds.; Topley & Wilso’s: London, UK; Sydney, Australia; Auckland, New Zealand, 2005; Volume 4, pp. 367–384. [Google Scholar]
- Aram, H. Sporotrichosis. A historical approach. Int. J. Dermatol. 1986, 25, 203–205. [Google Scholar] [CrossRef] [PubMed]
- Chakrabarti, A.; Bonifaz, A.; Gutiérrez-Galhardo, M.C.; Mochizuki, T. Global Epidemiology of sporotrichosis. Med. Mycol. 2015, 53, 3–14. [Google Scholar] [CrossRef] [PubMed]
- Larone, D. Medically Important Fungi: A Guide to Identification, 4th ed.; American Society for Microbiology: Washington, DC, USA, 2002. [Google Scholar]
- Conti Diaz, I.A. Epidemiology of sporotrichosis in Latin America. Mycopathologia 1989, 108, 113–116. [Google Scholar] [PubMed]
- Mayayo-Artal, E. Histopathological diagnosis of mycoses. Rev. Iberoam. Micol. 2004, 21, 1–9. [Google Scholar] [PubMed]
- Fernández-Flores, A.; Saeb-Lima, M.; Arenas-Guzmán, R. Morphological findings of Deep cutaneous fungal infections. Am. J. Dermatopathol. 2014, 36, 531–553. [Google Scholar] [CrossRef] [PubMed]
- Kauffman, C.; Hobbs, V.; Tahan, S.; Busam, K.; Barnhill, R. Fungal Infections. In Textbook of Dermatopathology, 2nd ed.; Barnhill, R., Ed.; McGraw-Hill: Boston, MA, USA, 1998; pp. 405–426. [Google Scholar]
- Hirsh, B.; Johnson, W. Pathology of granulomatous diseases; mixed inflammatory granulomas. Int. J. Dermatol. 1984, 23, 585–597. [Google Scholar] [CrossRef] [PubMed]
- Rippon, J. Sporotrichosis. In Medical Mycology: The Pathogenic Fungi and the Pathogenic Actinomycetes, 3rd ed.; Rippon, J., Ed.; WB Saunders: Philadelphia, PA, USA, 1988; pp. 325–352. [Google Scholar]
- Mahajan, V. Sporotrichosis: An Overview and Therapeutic Options. Dermatol. Res. Pract. 2014, 2014, 1–13. [Google Scholar] [CrossRef] [PubMed]
- Civila, E.; Bonasse, J.; Conti-Díaz, I.; Vignale, R. Importance of the direct fresh examination in the diagnosis of cutaneous sporotrichosis. Int. J. Dermatol. 2004, 43, 808–810. [Google Scholar] [CrossRef] [PubMed]
- de Melo Teixeira, M.; Rodrigues, A.M.; Tsui, C.K.; de Almeida, L.G.; Van Diepeningen, A.D.; van den Ende, B.G.; Fernandes, G.F.; Kano, R.; Hamelin, R.C.; Lopes-Bezerra, L.M.; et al. Asexual propagation of a virulent clone complex in a human and feline outbreak of sporotrichosis. Eukaryot. Cell 2015, 14, 158–169. [Google Scholar] [CrossRef] [PubMed]
- D’Alessandro, E.; Giosa, D.; Huang, L.; Zhang, J.; Gao, W.; Brankovics, B.; Oliveira, M.M.; Scordino, F.; Passo, C.L.; Criseo, G.; et al. Draft Genome Sequence of the Dimorphic Fungus Sporothrix pallida, a Nonpathogenic Species Belonging to Sporothrix, a Genus Containing Agents of Human and Feline Sporotrichosis. Genome Announc. 2016, 4, e00184-16. [Google Scholar]
- Teixeira, M.M.; de Almeida, L.G.; Kubitschek-Barreira, P.; Alves, F.L.; Kioshima, É.S.; Abadio, A.K.; Fernandes, L.; Derengowski, L.S.; Ferreira, K.S.; Souza, R.C.; et al. Comparative genomics of the major fungal agents of human and animal Sporotrichosis: Sporothrix schenckii and Sporothrix brasiliensis. BMC Genom. 2014, 15, 943. [Google Scholar] [CrossRef] [PubMed]
- Cuomo, C.A.; Rodriguez-Del Valle, N.; Perez-Sanchez, L.; Abouelleil, A.; Goldberg, J.; Young, S.; Zeng, Q.; Birren, B.W. Genome Sequence of the Pathogenic Fungus Sporothrix schenckii (ATCC 58251). Genome Announc. 2014, 2, e00446-14. [Google Scholar] [CrossRef] [PubMed]
- Huang, L.; Gao, W.; Giosa, D.; Criseo, G.; Zhang, J.; He, T.; Huang, X.; Sun, J.; Sun, Y.; Huang, J.; et al. Whole-Genome Sequencing and In Silico Analysis of Two Strains of Sporothrix globosa. Genome Biol. Evol. 2016, 8, 3292–3296. [Google Scholar] [CrossRef] [PubMed]
- Nigg, M.; Laroche, J.; Landry, C.; Bernier, L. RNAseq Analysis Highlights Specific Transcriptome Signatures of Yeast and Mycelial Growth Phases in the Dutch Elm Disease Fungus Ophiostoma novo-ulmi. G3 2015, 5, 2487–2495. [Google Scholar] [CrossRef] [PubMed]
- Morris-Jones, R. Sporotrichosis. Clin. Exp. Dermatol. 2002, 27, 427–431. [Google Scholar] [CrossRef] [PubMed]
- De Araujo, T.; Marques, A.; Kerdel, F. Sporotrichosis. Int. J. Dermatol. 2001, 40, 737–742. [Google Scholar] [CrossRef] [PubMed]
- Estrada, B.; Vite, G.; Navarro, B.; De la Torre, A.; Pérez, M.; Rodríguez, A.; Ramírez, J.; Sahaza, J.; Taylor, M.; Toriello, C. Genetic diversity of Histoplasma and Sporothrix complexes based on sequences of their ITS1-5.8S-ITS2 regions from the BOLD System. Rev. Iberoam. Micol. 2014, 31, 90–94. [Google Scholar]
- Rangel-Gamboa, L.; Martinez-Hernandez, F.; Maravilla, P.; Arenas-Guzmán, R.; Flisser, A. Update of phylogenetic and genetic diversity of Sporothrix schenckii sensu lato. Med. Mycol. 2016, 54, 248–255. [Google Scholar] [CrossRef] [PubMed]
- Watanabe, S.; Kawasaki, M.; Mochizuki, T.; Ishizaki, H. RFLP analysis of the internal transcribed spacer regions of Sporothrix schenckii. Jpn. J. Med. Mycol. 2004, 45, 165–175. [Google Scholar] [CrossRef]
- Camacho, E.; León, I.; Rodríguez, R.; Mendoza, M.; Niño, V. Molecular epidemiology of human sporotrichosis in Venezuela reveals high frequency of Sporothrix globosa. BMC Infect. Dis. 2015, 15, 94. [Google Scholar] [CrossRef] [PubMed]
- Marimon, R.; Gené, J.; Cano, J.; Trilles, L.; Dos Santos Lazera, M.; Guarro, J. Molecular phylogeny of Sporothrix schenckii. J. Clin. Microbiol. 2006, 44, 3251–3256. [Google Scholar] [CrossRef] [PubMed]
- Arenas, R.; Miller, D.; Campos, P. Epidemiological data and molecular characterization (mtDNA) of Sporothrix schenckii in 13 cases from de Mexican Republic. Int. J. Dermatol. 2006, 33, 295. [Google Scholar]
- Ishizaki, H.; Kawasaki, M.; Aoki, M.; Vismer, H.; Muir, D. Mitochondrial DNA analysis of Sporothrix schenckii in South Africa and Australia. Med. Mycol. 2000, 38, 433–436. [Google Scholar] [CrossRef] [PubMed]
- Evangelista, O.; Santos, C.; Sampaio, P.; Romeo, O.; Almeida, R.; Pais, C.; Lima, N.; Zancopé, R. Development and optimization of a new MALDI-TOF protocol for identification of the Sporothrix species complex. Res. Microbiol. 2015, 166, 102–110. [Google Scholar]
- Croxatto, A.; Prod’hom, G.; Greub, G. Applications of MALDI-TOF mass spectrometry in clinical diagnostic microbiology. FEMS Microbiol. Rev. 2012, 36, 380–407. [Google Scholar] [CrossRef] [PubMed]
- Suarez, S.; Ferroni, A.; Lotz, A.; Jolley, K.A.; Guérin, P.; Leto, J.; Dauphin, B.; Jamet, A.; Maiden, M.C.; Nassif, X. Ribo- somal proteins as biomarkers for bacterial identification by mass spec-trometry in the clinical microbiology laboratory. J. Microbiol. Methods 2013, 94, 390–396. [Google Scholar] [CrossRef] [PubMed]
- Cassagne, C.; Cella, A.L.; Suchon, P.; Normand, A.C.; Ranque, S.; Piarroux, R. Evaluation of four pretreatment procedures for MALDI-TOF MS yeast identification in the routine clinical laboratory. Med. Mycol. 2013, 51, 371–377. [Google Scholar] [CrossRef] [PubMed]
- Vásquez-del-Mercado, E.; Arenas, R.; Padilla-Desgarenes, C. Sporotrichosis. Clin. Dermatol. 2012, 30, 437–443. [Google Scholar] [CrossRef] [PubMed]
- Bonifaz, A. Micología Médica Básica, 5th ed.; McGraw-Hill: Mexico City, Mexico, 2015; pp. 179–196. [Google Scholar]
- Lurie, H.I. Histopathology of sporotrichosis. Notes on the nature of the asteroid body. Arch. Pathol. Lab. Med. 1963, 75, 421–437. [Google Scholar]
- Madrid, H.; Cano, J.; Gené, J.; Bonifaz, A.; Toriello, C.; Guarro, J. Sporothrix globosa, a pathogenic fungus with widespread geographical distribution. Rev. Iberoam. Micol. 2009, 26, 218–222. [Google Scholar] [CrossRef] [PubMed]
- Schell, W.; Salkin, I.; Pasarell, L.; McGinnis, M. Bipolaris, Exophiala, Scedosporium, Sporothrix and other dematiaceous fungi. In Manual of Clinical Microbiology, 7th ed.; Murray, P., Baron, E., Pfaller, M., Tenover, F., Yolken, R., Eds.; ASM Press: Washington, DC, USA, 1999. [Google Scholar]





| Inmunology and Clinical Parameters | Group I | Group II |
|---|---|---|
| Immune Response | Normal/Augmented | Decreased/None |
| Clinical presentations | Lymphangitic Fixed | Cutaneous disseminated Cutaneous superficial Pulmonary/visceral Osteoarticular |
| Parameters | Skin test positive (+) Scarce yeasts or asteroid bodies. | Skin test negative (−) Plenty of yeasts or asteroid bodies. |
© 2018 by the authors. Licensee MDPI, Basel, Switzerland. This article is an open access article distributed under the terms and conditions of the Creative Commons Attribution (CC BY) license (http://creativecommons.org/licenses/by/4.0/).
Share and Cite
Arenas, R.; Sánchez-Cardenas, C.D.; Ramirez-Hobak, L.; Ruíz Arriaga, L.F.; Vega Memije, M.E. Sporotrichosis: From KOH to Molecular Biology. J. Fungi 2018, 4, 62. https://doi.org/10.3390/jof4020062
Arenas R, Sánchez-Cardenas CD, Ramirez-Hobak L, Ruíz Arriaga LF, Vega Memije ME. Sporotrichosis: From KOH to Molecular Biology. Journal of Fungi. 2018; 4(2):62. https://doi.org/10.3390/jof4020062
Chicago/Turabian StyleArenas, Roberto, Carlos D. Sánchez-Cardenas, Lourdes Ramirez-Hobak, Leon Felipe Ruíz Arriaga, and Ma. Elisa Vega Memije. 2018. "Sporotrichosis: From KOH to Molecular Biology" Journal of Fungi 4, no. 2: 62. https://doi.org/10.3390/jof4020062
APA StyleArenas, R., Sánchez-Cardenas, C. D., Ramirez-Hobak, L., Ruíz Arriaga, L. F., & Vega Memije, M. E. (2018). Sporotrichosis: From KOH to Molecular Biology. Journal of Fungi, 4(2), 62. https://doi.org/10.3390/jof4020062

