Mucormycosis Caused by Apophysomyces elegans—A Case Report and Systematic Review of the Literature of Rhino-Orbito-Cerebral Cases of the Genus Apophysomyces
Abstract
1. Introduction
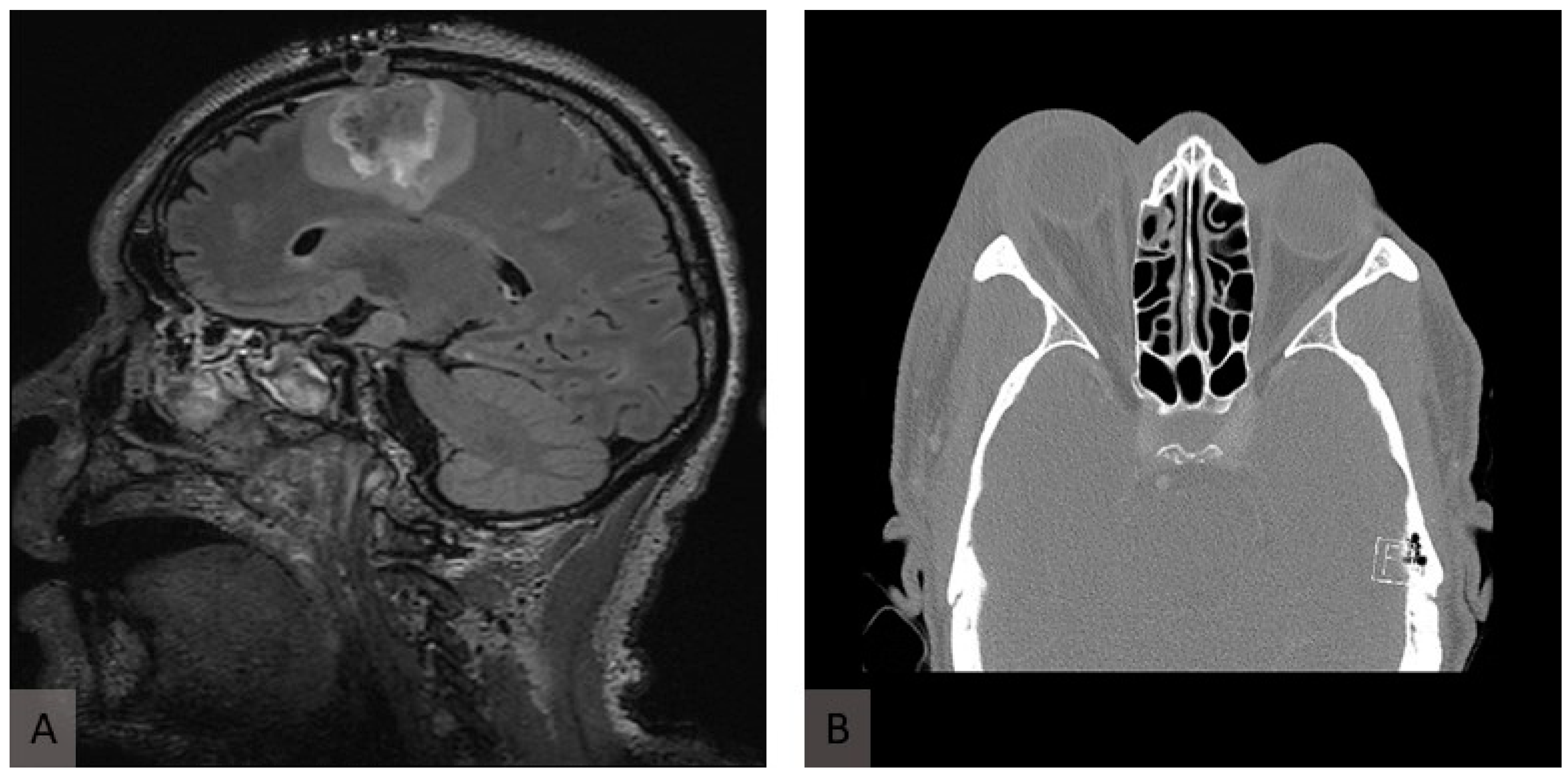
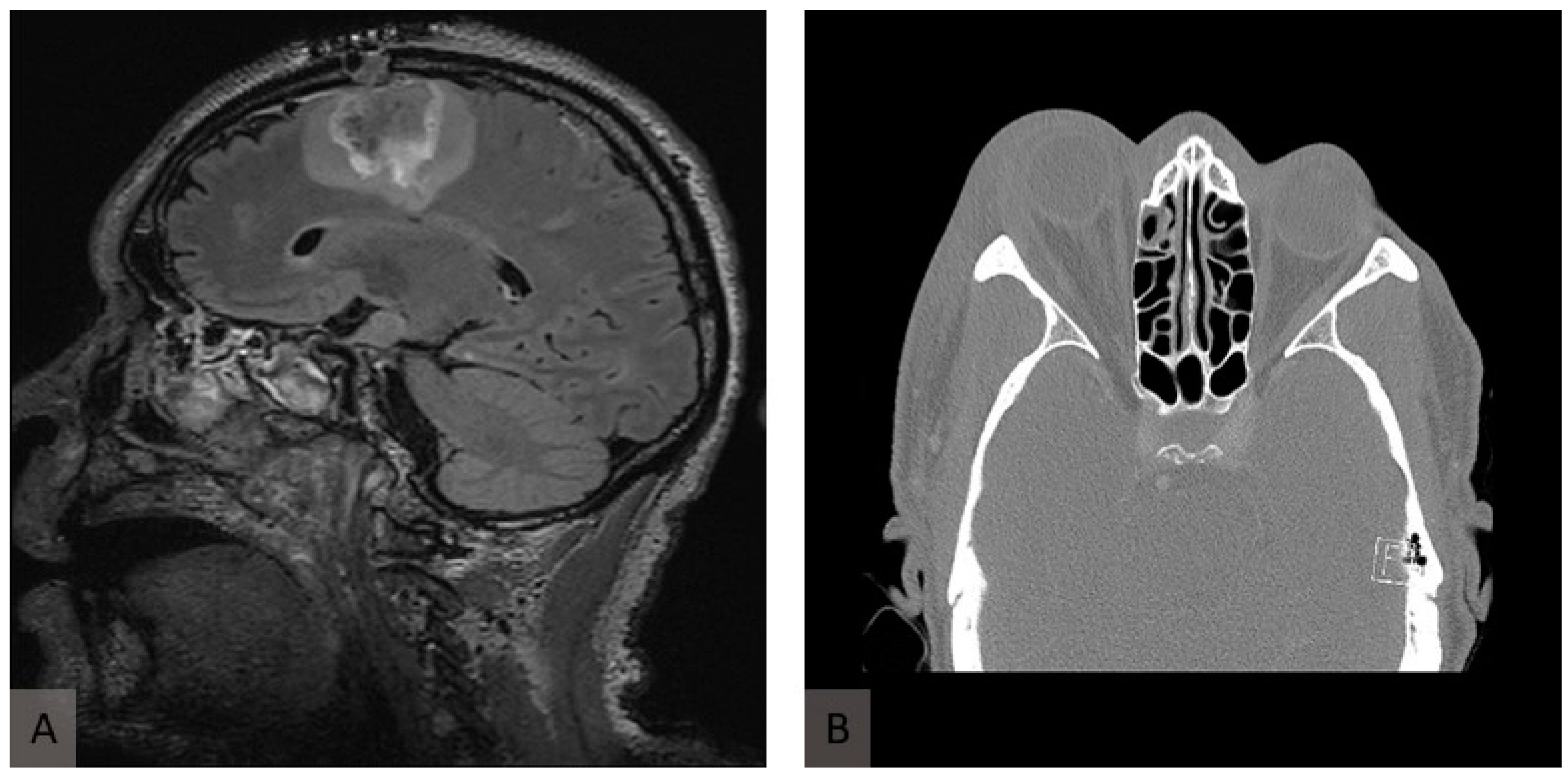
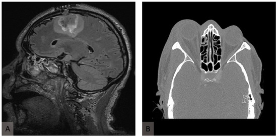
2. Case Report
3. Material and Methods
4. Results
5. Discussion
6. Conclusions
Supplementary Materials
Author Contributions
Funding
Institutional Review Board Statement
Informed Consent Statement
Data Availability Statement
Conflicts of Interest
References
- Guarro, J.; Chander, J.; Alvarez, E.; Stchigel, A.M.; Robin, K.; Dalal, U.; Rani, H.; Punia, R.S.; Cano, J.F. Apophysomyces variabilis infections in humans. Emerg. Infect. Dis. 2011, 17, 134–135. [Google Scholar] [CrossRef] [PubMed]
- Cornely, O.A.; Alastruey-Izquierdo, A.; Arenz, D.; Chen, S.C.A.; Dannaoui, E.; Hochhegger, B.; Hoenigl, M.; Jensen, H.E.; Lagrou, K.; Lewis, R.E.; et al. Global guideline for the diagnosis and management of mucormycosis: An initiative of the European Confederation of Medical Mycology in cooperation with the Mycoses Study Group Education and Research Consortium. Lancet Infect. Dis. 2019, 19, e405–e421. [Google Scholar] [CrossRef] [PubMed]
- Manesh, A.; Rupali, P.; Sullivan, M.O.; Mohanraj, P.; Rupa, V.; George, B.; Michael, J.S. Mucormycosis-A clinicoepidemiological review of cases over 10 years. Mycoses 2019, 62, 391–398. [Google Scholar] [CrossRef]
- Chakrabarti, A.; Ghosh, A.; Prasad, G.S.; David, J.K.; Gupta, S.; Das, A.; Sakhuja, V.; Panda, N.K.; Singh, S.K.; Das, S.; et al. Apophysomyces elegans: An emerging zygomycete in India. J. Clin. Microbiol. 2003, 41, 783–788. [Google Scholar] [CrossRef]
- Misra, P.C.; Srivastava, K.J.; Lata, K. Apophysomyces, a new genus of the Mucorales. Mycotaxon 1979, 8, 377–382. [Google Scholar]
- Ribes, J.A.; Vanover-Sams, C.L.; Baker, D.J. Zygomycetes in human disease. Clin. Microbiol. Rev. 2000, 13, 236–301. [Google Scholar] [CrossRef]
- Carter, J.E.; Ulusarac, O. Widespread cutaneous involvement by invasive Apophysomyces elegans in a gravid patient following trauma. Cutis 2003, 72, 221–224, 227–228. [Google Scholar]
- Liu, C.M.; Kachur, S.; Dwan, M.G.; Abraham, A.G.; Aziz, M.; Hsueh, P.R.; Huang, Y.T.; Busch, J.D.; Lamit, L.J.; Gehring, C.A.; et al. FungiQuant: A broad-coverage fungal quantitative real-time PCR assay. BMC Microbiol. 2012, 12, 255. [Google Scholar] [CrossRef] [PubMed]
- Radner, A.B.; Witt, M.D.; Edwards, J.E., Jr. Acute invasive rhinocerebral zygomycosis in an otherwise healthy patient: Case report and review. Clin. Infect. Dis. 1995, 20, 163–166. [Google Scholar] [CrossRef]
- Chakrabarti, A.; Panda, N.; Varma, S.C.; Singh, K.; Das, A.; Sharma, S.C.; Padhye, A.A. Craniofacial zygomycosis caused by Apophysomyces elegans. Mycoses 1997, 40, 419–421. [Google Scholar] [CrossRef]
- Sdralis, T.; Krishnan, S.; Holland, J. ‘Martini Glass’ Mucormycosis. Apophysomyces Elegans Infection in an Immune Competent Host. Aust. J. Otolaryngol. 1997, 2, 600–602. [Google Scholar]
- Fairley, C.; Sullivan, T.J.; Bartley, P.; Allworth, T.; Lewandowski, R. Survival after rhino-orbital-cerebral mucormycosis in an immunocompetent patient. Ophthalmology 2000, 107, 555–558. [Google Scholar] [CrossRef]
- Garcia-Covarrubias, L.; Bartlett, R.; Barratt, D.M.; Wassermann, R.J. Rhino-orbitocerebral mucormycosis attributable to Apophysomyces elegans in an immunocompetent individual: Case report and review of the literature. J. Trauma 2001, 50, 353–357. [Google Scholar] [CrossRef]
- Liang, K.P.; Tleyjeh, I.M.; Wilson, W.R.; Roberts, G.D.; Temesgen, Z. Rhino-orbitocerebral mucormycosis caused by Apophysomyces elegans. J. Clin. Microbiol. 2006, 44, 892–898. [Google Scholar] [CrossRef] [PubMed]
- Suryanarayan Rao, S.; Panda, N.K.; Pragache, G.; Chakrabarti, A.; Saravanan, K. Sinoorbital mucormycosis due to Apophysomyces elegans in immunocompetent individuals—An increasing trend. Am. J. Otolaryngol. 2006, 27, 366–369. [Google Scholar] [CrossRef]
- Schütz, P.; Behbehani, J.H.; Khan, Z.U.; Ahmad, S.; Kazem, M.A.; Dhar, R.; Eskaf, W.; Hamed, H.H.; Cunningham, L.L., Jr. Fatal rhino-orbito-cerebral zygomycosis caused by Apophysomyces elegans in a healthy patient. J. Oral Maxillofac. Surg. 2006, 64, 1795–1802. [Google Scholar] [CrossRef]
- Ferguson, T.D.; Schniederjan, S.D.; Dionne-Odom, J.; Brandt, M.E.; Rinaldi, M.G.; Nolte, F.S.; Langston, A.; Zimmer, S.M. Posaconazole treatment for Apophysomyces elegans rhino-orbital zygomycosis following trauma for a male with well-controlled diabetes. J. Clin. Microbiol. 2007, 45, 1648–1651. [Google Scholar] [CrossRef] [PubMed]
- Parsi, K.; Itgampalli, R.K.; Vittal, R.; Kumar, A. Perineural spread of rhino-orbitocerebral mucormycosis caused by Apophysomyces elegans. Ann. Indian Acad. Neurol. 2013, 16, 414–417. [Google Scholar] [CrossRef]
- Biswas, D.; Kotwal, A.; Kakati, B.; Ahmad, S. Amphotericin B Resistant Apophysomyces elegans Causing Rhino-oculo-Cerebral Mucormycosis in an Immunocompetent Host. J. Clin. Diagn. Res. 2015, 9, DD01–DD02. [Google Scholar] [CrossRef]
- Wolkow, N.; Jakobiec, F.A.; Stagner, A.M.; Cunnane, M.E.; Piantadosi, A.L.; Basgoz, N.; Lefebvre, D. Chronic orbital and calvarial fungal infection with Apophysomyces variabilis in an immunocompetent patient. Surv. Ophthalmol. 2017, 62, 70–82. [Google Scholar] [CrossRef]
- Martínez-Herrera, E.; Frías-De-León, M.G.; Julián-Castrejón, A.; Cruz-Benítez, L.; Xicohtencatl-Cortes, J.; Hernández-Castro, R. Rhino-orbital mucormycosis due to Apophysomyces ossiformis in a patient with diabetes mellitus: A case report. BMC Infect. Dis. 2020, 20, 614. [Google Scholar] [CrossRef]
- Erami, M.; Mirhendi, H.; Momen-Heravi, M.; Hezaveh, S.J.H.; Ahsaniarani, A.H.; Sabet, S.S.; Aboutalebian, S. A case of COVID-19-associated rhino-orbito-cerebral mucormycosis caused by Apophysomyces variabilis with a review of the literature. Front. Cell Infect. Microbiol. 2022, 12, 898477. [Google Scholar] [CrossRef] [PubMed]
- Kaur, H.; Kanaujia, R.; Nayak, G.; Ramavat, A.S.; Patro, S.; Ghosh, A.; Chakrabarti, A.; Rudramurthy, S.M. An interesting report of COVID-19 associated mucormycosis (CAM) cases by two different species of Mucorales. Indian J. Med. Microbiol. 2024, 50, 100656. [Google Scholar] [CrossRef]
- Shafran, N.; Atamna, A.; Inbar, E.; Soudry, E.; Sternov, Y.; Saleh, L.; Zvi, H.B.; Shlomai, A.; Bishara, J. Fatal invasive Apophysomyces variabilis infection in a frequent traveler to Mecca, Saudi Arabia. J. Travel. Med. 2025, taaf012. [Google Scholar] [CrossRef] [PubMed]
- Meis, J.F.; Chakrabarti, A. Changing epidemiology of an emerging infection: Zygomycosis. Clin. Microbiol. Infect. 2009, 15 (Suppl. S5), 10–14. [Google Scholar] [CrossRef] [PubMed]
- Wang, J.; Harvey, C.M.; Calhoun, J.H.; Yin, L.Y.; Mader, J.T. Systemic Apophysomyces elegans after trauma: Case report and literature review. Surg. Infect. 2002, 3, 283–289. [Google Scholar] [CrossRef]
- Hernández, J.L.; Buckley, C.J. Mucormycosis. In StatPearls; StatPearls Publishing Copyright © 2024; StatPearls Publishing LLC: Treasure Island, FL, USA, 2024. [Google Scholar]
- Chakrabarti, A.; Shivaprakash, M.R.; Curfs-Breuker, I.; Baghela, A.; Klaassen, C.H.; Meis, J.F. Apophysomyces elegans: Epidemiology, amplified fragment length polymorphism typing, and in vitro antifungal susceptibility pattern. J. Clin. Microbiol. 2010, 48, 4580–4585. [Google Scholar] [CrossRef]
- Katragkou, A.; Walsh, T.J.; Roilides, E. Why is mucormycosis more difficult to cure than more common mycoses? Clin. Microbiol. Infect. 2014, 20 (Suppl. S6), 74–81. [Google Scholar] [CrossRef]
- Lee, A.S.; Lee, P.W.Y.; Allworth, A.; Smith, T.; Sullivan, T.J. Orbital mycoses in an adult subtropical population. Eye 2020, 34, 1640–1647. [Google Scholar] [CrossRef]
- Egge, S.; Wei, E.; Clements, E.; Chandranesan, A.S.J. Post-traumatic fatal disseminated Apophysomyces elegans infection. Med. Mycol. Case Rep. 2018, 22, 45–47. [Google Scholar] [CrossRef]
- Safiia, J.; Díaz, M.A.; Alshaker, H.; Atallah, C.J.; Sakr, P.; Moshovitis, D.G.; Nawlo, A.; Franceschi, A.E.; Liakos, A.; Koo, S. Recent Advances in Diagnostic Approaches for Mucormycosis. J. Fungi 2024, 10, 727. [Google Scholar] [CrossRef] [PubMed]
- Roy, R.; Singh, G.; Dahiya, U.R.; Pandey, M.; Xess, I.; Kalyanasundaram, D. Rapid detection of Mucorales in human blood and urine samples by functionalized Heusler magnetic nanoparticle assisted customized loop-mediated isothermal amplification. Med. Mycol. 2024, 62, myae007. [Google Scholar] [CrossRef] [PubMed]
- Kontoyiannis, D.P.; Wessel, V.C.; Bodey, G.P.; Rolston, K.V. Zygomycosis in the 1990s in a tertiary-care cancer center. Clin. Infect. Dis. 2000, 30, 851–856. [Google Scholar] [CrossRef] [PubMed]
- Pagano, L.; Offidani, M.; Fianchi, L.; Nosari, A.; Candoni, A.; Picardi, M.; Corvatta, L.; D’Antonio, D.; Girmenia, C.; Martino, P.; et al. Mucormycosis in hematologic patients. Haematologica 2004, 89, 207–214. [Google Scholar]
- Bala, K.; Chander, J.; Handa, U.; Punia, R.S.; Attri, A.K. A prospective study of mucormycosis in north India: Experience from a tertiary care hospital. Med. Mycol. 2015, 53, 248–257. [Google Scholar] [CrossRef]
- Chakrabarti, A.; Chatterjee, S.S.; Das, A.; Panda, N.; Shivaprakash, M.R.; Kaur, A.; Varma, S.C.; Singhi, S.; Bhansali, A.; Sakhuja, V. Invasive zygomycosis in India: Experience in a tertiary care hospital. Postgrad. Med. J. 2009, 85, 573–581. [Google Scholar] [CrossRef]
- Freifeld, A.G.; Iwen, P.C. Zygomycosis. Semin. Respir. Crit. Care Med. 2004, 25, 221–231. [Google Scholar] [CrossRef]
- Kaushik, R. Primary cutaneous zygomycosis in India. Indian J. Surg. 2012, 74, 468–475. [Google Scholar] [CrossRef]
- Coutinho, A.E.; Chapman, K.E. The anti-inflammatory and immunosuppressive effects of glucocorticoids, recent developments and mechanistic insights. Mol. Cell Endocrinol. 2011, 335, 2–13. [Google Scholar] [CrossRef]
- Cáceres, A.M.; Sardiñas, C.; Marcano, C.; Guevara, R.; Barros, J.; Bianchi, G.; Rosario, V.; Balza, R.; Silva, M.; Redondo, M.C.; et al. Apophysomyces elegans limb infection with a favorable outcome: Case report and review. Clin. Infect. Dis. 1997, 25, 331–332. [Google Scholar] [CrossRef][Green Version]
- Moreira, J.; Varon, A.; Galhardo, M.C.; Santos, F.; Lyra, M.; Castro, R.; Oliveira, R.; Lamas, C.C. The burden of mucormycosis in HIV-infected patients: A systematic review. J. Infect. 2016, 73, 181–188. [Google Scholar] [CrossRef] [PubMed]
- Chakrabarti, A.; Das, A.; Mandal, J.; Shivaprakash, M.R.; George, V.K.; Tarai, B.; Rao, P.; Panda, N.; Verma, S.C.; Sakhuja, V. The rising trend of invasive zygomycosis in patients with uncontrolled diabetes mellitus. Med. Mycol. 2006, 44, 335–342. [Google Scholar] [CrossRef] [PubMed]
- Dannaoui, E.; Rijs, A.J.; Verweij, P.E. Invasive infections due to Apophysomyces elegans. Mayo Clin. Proc. 2003, 78, 252–253. [Google Scholar] [CrossRef] [PubMed]
- Eaton, M.E.; Padhye, A.A.; Schwartz, D.A.; Steinberg, J.P. Osteomyelitis of the sternum caused by Apophysomyces elegans. J. Clin. Microbiol. 1994, 32, 2827–2828. [Google Scholar] [CrossRef]



| Year | First Author et al. (REF) | Age | Sex | Country | Trauma | Symptom Duration Before Presentation | Comorbidities | AMB | Surgical Debridement | Orbital Enucleation | Focal Irrigation | Further Treatment | Outcome |
|---|---|---|---|---|---|---|---|---|---|---|---|---|---|
| 1995 | Radner [9] | 19 | Male | Mexico | Tractor Accident | 6 days | Healthy | Yes | Yes | Yes | No | No | Survived |
| 1997 | Chakrabarti [10] | 52 | Male | India | No | 5 days | Myelofibrosis | Yes | Yes | Yes | No | No | Died |
| 1997 | Sdralis [11] | 60 | Male | Australia | No | 21 days | Healthy | Yes | Yes | Yes | No | Hyperbaric therapy | Survived |
| 2000 | Fairley [12] | 59 | Male | Australia | Eyetrauma | 3 days | Healthy | Yes | Yes | Yes | Yes | No | Survived |
| 2001 | Garcia-Covarrubias [13] | 24 | Male | USA | Motorcycle Accident | 10 days | Healthy | Yes | Yes | Yes | No | Hyperbaric therapy | Survived |
| 2003 | Chakrabarti [4] | 20 | Female | India | No | 7 days | Healthy | Yes | Yes | Yes | No | No | Survived |
| 2006 | Liang [14] | 50 | Male | USA | No | 14 days | Diabetic | Yes | Yes | Yes | No | No | Survived |
| 2006 | Rao [15] | 45 | Male | India | No | 15 to 28 days | Healthy | Yes | Yes | Yes | No | No | Survived |
| 2006 | Rao [15] | 26 | Female | India | No | 15 to 28 days | Healthy | Yes | Yes | Yes | No | No | Survived |
| 2006 | Rao [15] | 26 | Male | India | No | 15 to 28 days | Healthy | Yes | Yes | Yes | No | No | Survived |
| 2006 | Rao [15] | 16 | Female | India | No | 15 to 28 days | Healthy | Yes | Yes | Yes | No | No | Survived |
| 2006 | Rao [15] | 55 | Male | India | No | 15 to 28 days | Healthy | Yes | Yes | Yes | No | No | Died |
| 2007 | Schütz [16] | 30 | Male | India | No | 28 days | Healthy | Yes | Yes | Yes | Yes | No | Died |
| 2007 | Ferguson [17] | 43 | Male | USA | Automobile Accident | 14 days | Diabetic | Yes | Yes | Yes | Yes | Posaconazole | Survived |
| 2013 | Parsi [18] | 25 | Male | India | Nose Operation | 28 days | Healthy | Yes | Yes | No | No | No | Survived |
| 2015 | Biswas [19] | 45 | Female | India | No | Unknown | Diabetic | Yes | No | No | No | No | Survived |
| 2016 | Wolkow [20] | 74 | Female | USA | No | 14 days | Healthy | Yes | No | No | No | Isavuconazole | Survived |
| 2020 | Martinez-Herrera [21] | 46 | Male | Mexico | No | Unknown | Diabetic | Yes | No | No | No | No | Died |
| 2022 | Erami [22] | 40 | Female | Iran | No | 5 days | SARS-CoV-2 | Yes | No | No | No | No | Died |
| 2024 | Kaur [23] | 32 | Male | India | No | 2 days | SARS-CoV-2 | Yes | Yes | Yes | No | Maxillectomy | Died |
| 2025 | Shafran [24] | 54 | Male | Israel | No | Unknown | Healthy | Yes | No | No | No | Itraconazole | Died |
| 2025 | This publication | 54 | Male | Nigeria | Automobile Accident | 4 days | HIV | Yes | Yes | Yes | Yes | Isavuconazole | Died |
Disclaimer/Publisher’s Note: The statements, opinions and data contained in all publications are solely those of the individual author(s) and contributor(s) and not of MDPI and/or the editor(s). MDPI and/or the editor(s) disclaim responsibility for any injury to people or property resulting from any ideas, methods, instructions or products referred to in the content. |
© 2025 by the authors. Licensee MDPI, Basel, Switzerland. This article is an open access article distributed under the terms and conditions of the Creative Commons Attribution (CC BY) license (https://creativecommons.org/licenses/by/4.0/).
Share and Cite
Landré, V.; Klingebiel, F.K.-L.; van Niftrik, C.H.B.; Goetze, E.; Speck, R.F.; Hübner, C.T.; Pape, H.-C.; Schäfer, F.P. Mucormycosis Caused by Apophysomyces elegans—A Case Report and Systematic Review of the Literature of Rhino-Orbito-Cerebral Cases of the Genus Apophysomyces. J. Fungi 2025, 11, 368. https://doi.org/10.3390/jof11050368
Landré V, Klingebiel FK-L, van Niftrik CHB, Goetze E, Speck RF, Hübner CT, Pape H-C, Schäfer FP. Mucormycosis Caused by Apophysomyces elegans—A Case Report and Systematic Review of the Literature of Rhino-Orbito-Cerebral Cases of the Genus Apophysomyces. Journal of Fungi. 2025; 11(5):368. https://doi.org/10.3390/jof11050368
Chicago/Turabian StyleLandré, Vincent, Felix Karl-Ludwig Klingebiel, Christiaan Hendrik Bas van Niftrik, Elisabeth Goetze, Roberto F. Speck, Christian Thomas Hübner, Hans-Christoph Pape, and Frank Peter Schäfer. 2025. "Mucormycosis Caused by Apophysomyces elegans—A Case Report and Systematic Review of the Literature of Rhino-Orbito-Cerebral Cases of the Genus Apophysomyces" Journal of Fungi 11, no. 5: 368. https://doi.org/10.3390/jof11050368
APA StyleLandré, V., Klingebiel, F. K.-L., van Niftrik, C. H. B., Goetze, E., Speck, R. F., Hübner, C. T., Pape, H.-C., & Schäfer, F. P. (2025). Mucormycosis Caused by Apophysomyces elegans—A Case Report and Systematic Review of the Literature of Rhino-Orbito-Cerebral Cases of the Genus Apophysomyces. Journal of Fungi, 11(5), 368. https://doi.org/10.3390/jof11050368

