Atypical and Unpredictable Superficial Mycosis Presentations: A Narrative Review
Abstract
1. Introduction
2. Factors Contributing in Atypical Presentations
2.1. Atypical Epidemiological Context
2.1.1. Environmental Factors
2.1.2. Fungal Factors
2.1.3. Host Factors
Trauma
Underlying Diseases
Iatrogenic Factors
Misuse of Treatment
Indigenous Medicines
Medical Drugs
- Corticosteroids
- Deferoxamine
- Antithymocyte globulin
- Immunosuppressive drugs
- Chemotherapy
Medical Procedures
- Bandage/gauze
- Ventilators
- Catheters
- Injection
- Organ Transplantation
3. Atypical Context of Infection
4. Atypical Clinical Features
- -
- Psoriasis-like
- -
- Atopic-like
- -
- Eczema-like
- -
- -
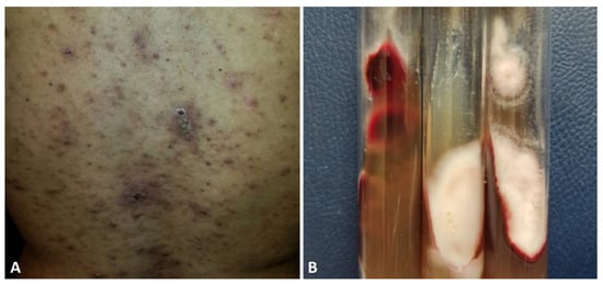
- Acne-like
- -
- Lupus Erythematosus-like
- -
- Sweet’s syndrome-like
- -
- Ichtyosis-like
- -
- Keloid-like
- -
- Leproy-like
- -
- Rosea-like
4.1. Atypical Localization
- -
- Facial involvement
- -
- Flexural involvement
- -
- Ungual involvement
- -
- Genital involvement
- -
- No evident localization
4.2. Atypical Progression and Extension of the Lesions
5. Atypical Clinical Forms
5.1. Atypical Onychomycosis
5.2. Atypical Hair Mycosis
Piedra
5.3. Atypical Skin Mycosis
5.3.1. Atypical Tinea Faciei
5.3.2. Atypical Breast Localization (Tinea Mammae)
5.3.3. Atypical Tinea Manuum and Tinea Pedis
5.3.4. Atypical Tinea Corporis
5.3.5. Tinea Recidivans
6. Atypical Type of Lesions
6.1. Lesions Configuration
6.1.1. Annular Lesions
6.1.2. Nummular Lesions
6.2. Lesions Color
6.2.1. Erythematous Lesions
- -
- Erythematous skin macules on arms and groin areas: this can be caused by Trichophyton species.
- -
- Erythema annulare on the trunk and upper limbs: this can be caused by Trichophyton verrucosum in adult males [121].
- -
- Multiple erythema annulare with slightly scaly plaques on the torso: this presentation can be associated with HIV, as seen in a woman diagnosed with the condition [78].
- -
- Erythema multiforme: this can be attributed to Microsporum canis dermatophytosis, as described by Alteras [124].
6.2.2. Dyschromic Lesions
6.2.3. Black Lesions
6.3. Lesions Morphology
6.3.1. Urticaria
6.3.2. Purpuric Lesions
6.3.3. Papular Lesions
6.3.4. Plaques
6.3.5. Vesicular/Bullous Lesions
6.3.6. Abscesses
6.3.7. Nodular Lesions
Majocchi’s Granuloma
6.3.8. Ulcerative Lesions
6.3.9. Tumoral Lesions
7. Conclusions
Author Contributions
Funding
Conflicts of Interest
References
- Babakoohi, S.; McCall, C.M. Dermatophytosis Incognito Mimicking Cutaneous T-Cell Lymphoma. Cureus 2022, 14, e25809. [Google Scholar] [CrossRef] [PubMed]
- Abraham, A.G.; Kulp-Shorten, C.L.; Callen, J.P. Remember to consider dermatophyte infection when dealing with recalcitrant dermatoses. South Med. J. 1998, 91, 349–353. [Google Scholar] [CrossRef] [PubMed]
- Vest, B.E.; Kraulan, K. Malassezia Furfur; StatPearls: Treasure Island, FL, USA, 2023. [Google Scholar]
- Narang, T.; Dogra, S.; Kaur, I. Co-localization of Pityriasis versicolor and BT Hansen’s disease. Int. J. Lepr. Other Mycobact. Dis. 2005, 73, 206–207. [Google Scholar] [PubMed]
- Dogra, S.; Narang, T. Emerging atypical and unusual presentations of dermatophytosis in India. Clin. Dermatol. Rev. 2017, 1, S12–S18. [Google Scholar] [CrossRef]
- Trčko, K.; Plaznik, J.; Miljković, J. Mycobacterium marinum hand infection masquerading as tinea manuum: A case report and literature review. Acta Dermatovenerol. Alp. Pannonica Adriat. 2021, 30, 91–93. [Google Scholar] [CrossRef] [PubMed]
- Nikitha, S.; Kondraganti, N.; Kandi, V. Total Dystrophic Onychomycosis of All the Nails Caused by Non-dermatophyte Fungal Species: A Case Report. Cureus 2022, 14, e29765. [Google Scholar] [CrossRef] [PubMed]
- Turra, N.; Navarrete, J.; Magliano, J.; Bazzano, C. Follicular tinea faciei incognito: The perfect simulator. An. Bras. Dermatol. 2019, 94, 372–374. [Google Scholar] [CrossRef] [PubMed]
- Nowowiejska, J.; Baran, A.; Flisiak, I. Tinea Incognito-A Great Physician Pitfall. J. Fungi 2022, 8, 312. [Google Scholar] [CrossRef]
- Emilianov, V.; Feldmeyer, L.; Yawalkar, N.; Heidemeyer, K. Tinea corporis with Trichophyton rubrum mimicking a flare-up of psoriasis under treatment with IL17-inhibitor Ixekizumab. Case Rep. Dermatol. 2021, 13, 347–351. [Google Scholar] [CrossRef]
- Gupta, A.K. Uncommon localization or presentation of tinea infection. JEADV 2001, 15, 7–8. [Google Scholar] [CrossRef]
- Szlávicz, E.; Németh, C.; Szepes, É.; Gyömörei, C.; Gyulai, R.; Lengyel, Z. Congenital ichthyosis associated with Trichophyton rubrum tinea, imitating drug hypersensitivity reaction. Med. Mycol. Case Rep. 2020, 29, 15–17. [Google Scholar] [CrossRef] [PubMed]
- Gnat, S.; Lagowski, D.; Nowakiewicz, A. Major challenges and perspectives in the diagnostics and treatment of dermatophyte infections. J. Appl. Microbiol. 2020, 129, 212–232. [Google Scholar] [CrossRef] [PubMed]
- Ahasan, H.N.; Noor, N. Fungal infection: A recent concern for physician. BJM 2022, 33, 235–240. [Google Scholar] [CrossRef]
- Moskaluk, A.E.; VandeWoude, S. Current Topics in Dermatophyte Classification and Clinical Diagnosis. Pathogens 2022, 11, 957. [Google Scholar] [CrossRef] [PubMed]
- Viera, M.H.; Costales, S.M.; Regalado, J.; Alonso-Llamazares, J. Inflammatory Tinea Faciei Mimicking Sweet’s Syndrome. Actas Dermosifiliogr. 2013, 104, 75–76. [Google Scholar] [CrossRef] [PubMed]
- Nicola, A.; Laura, A.; Natalia, A.; Monica, P. A 20-year survey of tineafaciei. Mycoses 2010, 53, 504–508. [Google Scholar] [CrossRef]
- Kruithoff, C.; Gamal, A.; McCormick, T.S.; Ghannoum, M.A. Dermatophyte Infections Worldwide: Increase in Incidence and Associated Antifungal Resistance. Life 2023, 14, 1. [Google Scholar] [CrossRef]
- Akhoundi, M.; Nasrallah, J.; Marteau, A.; Chebbah, D.; Izri, A.; Brun, S. Effect of Household Laundering, Heat Drying, and Freezing on the Survival of Dermatophyte Conidia. J. Fungi 2022, 8, 546. [Google Scholar] [CrossRef]
- Bishnoi, A.; Vinay, K.; Dogra, S. Emergence of recalcitrant dermatophytosis in India. Lancet Infect. Dis. 2018, 18, 250–251. [Google Scholar] [CrossRef]
- Mølenberg, D.; Deleuran, M.; Sommerlund, M. Connubial tinea gladiatorum due to Trichophyton mentagrophytes. Mycoses 2010, 53, 533–534. [Google Scholar] [CrossRef]
- Veraldi, S.; Giorgi, R.; Pontini, P.; Tadini, G.; Nazzaro, G. Tinea Imbricata in an Italian Child and Review of the Literature. Mycopathologia 2015, 180, 353–357. [Google Scholar] [CrossRef] [PubMed]
- Keshwania, P.; Kaur, N.; Chauhan, J.; Sharma, G.; Afzal, O.; Alfawaz Altamimi, A.S.; Almalki, W.H. Superficial Dermatophytosis across the World’s Populations: Potential Benefits from Nanocarrier-Based Therapies and Rising Challenges. ACS Omega 2023, 8, 31575–31599. [Google Scholar] [CrossRef] [PubMed]
- Uhrlaß, S.; Verma, S.B.; Gräser, Y.; Rezaei-Matehkolaei, A.; Hatami, M.; Schaller, M.; Nenoff, P. Trichophyton indotineae—An Emerging Pathogen Causing Recalcitrant Dermatophytoses in India and Worldwide—A Multidimensional Perspective. J. Fungi 2022, 8, 757. [Google Scholar] [CrossRef] [PubMed]
- Ramonda, S.; Salerni, G.; Macia, A.; Cella, G.; Fritschy, M.; Fernandez Bussy, R. Micosis superficiales más frecuentes en pacientes infectados por HIV. Rev. Argent. Dermatol. 1994, 75, 34–35. [Google Scholar]
- Giudice, M.C.; Szeszs, M.W.; Scarpini, R.L.; Ninomyia, A.; O Trifilio, M.; Pinto, W.P.; Melhem, M.S. Clinical and epidemiological study in an AIDS patient with Microsporum gypseum infection. Rev. Iberoam. Micol. 1997, 14, 184–187. [Google Scholar] [PubMed]
- Tsang, P.; Hopkins, T.; Jimenez-Lucho, V. Deep dermatophytosis caused by Trichophyton rubrum in a patient with AIDS. J. Am. Acad. Dermatol. 1996, 34, 1090–1091. [Google Scholar] [CrossRef] [PubMed]
- Hryncewicz-Gwóźdź, A.; Beck-Jendroschek, V.; Brasch, J.; Kalinowska, K.; Jagielski, T. Tinea capitis and tinea corporis with a severe inflammatory response due to Trichophyton tonsurans. Acta Derm. Venereol. 2011, 91, 708–710. [Google Scholar] [CrossRef] [PubMed]
- Ouchi TNagao, K.; Otuka, T.; Inazumi, T. Trichophyton tonsurans infection manifesting as multiple concentric annular erythema. J. Dermatol. 2005, 32, 565–568. [Google Scholar] [CrossRef] [PubMed]
- Suzuki, T.; Sato, T.; Horikawa, H.; Kasuya, A.; Yaguchi, T. A Case of Tinea Pseudoimbricata Due to Trichophyton tonsurans Induced by Topical Steroid Application. Med. Mycol. J. 2021, 62, 67–70. [Google Scholar] [CrossRef] [PubMed]
- Garrido, P.M.; Ferreira, J.; Filipe, P. Disseminated tinea pseudoimbricata as the early warning sign of adult T-cell leukaemia/lymphoma. Clin. Exp. Dermatol. 2022, 47, 410–412. [Google Scholar] [CrossRef]
- Gorani, A.; Schiera, A.; Oriani, A. Case report. Rosacea-like tinea incognito. Mycoses 2002, 45, 135–137. [Google Scholar] [CrossRef] [PubMed]
- Chowdhary, A.; Singh, A.; Kaur, A.; Khurana, A. The emergence and worldwide spread of the species Trichophyton indotineae causing difficult-to-treat dermatophytosis: A new challenge in the management of dermatophytosis. PLoS Pathog. 2022, 18, e1010795. [Google Scholar] [CrossRef]
- Hainer, B.L. Dermatophytes infections. Am. Fam. Physician 2003, 67, 101–108. [Google Scholar] [PubMed]
- Noble, S.L.; Forbes, R.C.; Stamm, P.L. Diagnosis and Management of Common Tinea Infections. Am. Fam. Physician 1998, 58, 163–174. [Google Scholar]
- Turkal, N.W.; Baumgardner, D.J. Candida parapsilosis infection in a rose thorn wound. J. Am. Board Fam. Pract. 1995, 8, 484–485. [Google Scholar]
- Saunders, C.W.; Scheynius, A.; Heitman, J. Malassezia Fungi Are Specialized to Live on Skin and Associated with Dandruff, Eczema, and Other Skin Diseases. PLoS Pathog. 2012, 8, e1002701. [Google Scholar] [CrossRef] [PubMed]
- Pfaller, M.A.; Diekema, D.J. Unusual Fungal and Pseudofungal Infections of Humans. J. Clin. Microbiol. 2005, 43, 1495–1504. [Google Scholar] [CrossRef] [PubMed][Green Version]
- McBride, J.A.; Sterkel, A.K.; Matkovic, E.; Broman, A.T.; Gibbons-Burgener, S.N.; Gauthier, G.M. Clinical Manifestations and Outcomes in Immunocompetent and Immunocompromised Patients with Blastomycosis. Clin. Infect. Dis. 2021, 72, 1594–1602. [Google Scholar] [CrossRef]
- Salci, T.P.; Salci, M.A.; Marcon, S.S.; Salineiro, P.H.B.; Svidzinski, T.I.E. Trichophyton tonsurans in a family microepidemic. An. Bras. Dermatol. 2011, 86, 1003–1006. [Google Scholar] [CrossRef]
- Xia, X.; Zhi, H.; Liu, Z.; Shen, H. Adult kerion caused by Trichophyton rubrum in a vegetarian woman with onychomycosis. Clin. Microbiol. Infect. 2022, 29, 188–189. [Google Scholar] [CrossRef]
- Cuétara, M.S.; Palacio, A.; Pereiro, M.; Noriega, A.R. Prevalence of undetected tinea capitis in a prospective school survey in Madrid: Emergence of new causative fungi. Br. J. Dermatol. 1998, 138, 658–660. [Google Scholar] [CrossRef]
- Dogra, S.; Uprety, S. The menace of chronic and recurrent dermatophytosis in India: Is the problem deeper than we perceive? Indian Dermatol. Online J. 2016, 7, 73–76. [Google Scholar] [CrossRef] [PubMed]
- Sahoo, A.K.; Mahajan, R. Management of tinea corporis, tinea cruris, and tinea pedis: A comprehensive review. Indian Dermatol. Online J. 2016, 7, 77–86. [Google Scholar] [PubMed]
- Gilaberte, Y.; Rezusta, A.; Coscojuela, C. Tinea capitis in a newborn infected by Microsporum audouinii in Spain. J. Eur. Acad. Dermatol. Venereol. 2003, 17, 239–240. [Google Scholar] [CrossRef] [PubMed]
- Jacobs, A.H.; O’Connell, B.M. Tinea in tiny tots. Am. J. Dis. Child. 1986, 140, 1034–1038. [Google Scholar] [CrossRef] [PubMed]
- Offidani, A.; Simonchini, C.; Arzeni, D.; Cellini, A.; Amerio, P.; Scalise, G. Tinea capitis due to Microsporum gypseum in an adult. Mycoses 1998, 41, 239–241. [Google Scholar] [CrossRef]
- Gupta, A.K.; Sibbald, R.G.; Lynde, C.W.; Hull, P.R.; Prussick, R.; Shear, N.H.; De Doncker, P.; Daniel, C.R.; Elewski, B.E. Onychomycosis in children: Prevalence and treatment strategies. J. Am. Acad. Dermatol. 1997, 36, 395–402. [Google Scholar] [CrossRef] [PubMed]
- Geary, R.J.; Lucky, A.W. Tinea pedis in children presenting as unilateral inflammatory lesions of the sole. Pediatr. Dermatol. 1999, 16, 255–258. [Google Scholar] [CrossRef] [PubMed]
- Sweeney, S.M. Inflammatory tinea pedis/manuum masquerading as bacterial cellulitis. Arch. Pediatr. Adolesc. Med. 2002, 156, 1149–1152. [Google Scholar] [CrossRef]
- Carvalho, V.O.; Vicente, V.A.; Werner, B.; Gomes, R.R.; Fornari, G.; Herkert, P.F.; Rodrigues, C.O.; Abagge, K.T.; Robl, R.; Camiña, R.H. Onychomycosis by Fusarium oxysporum probably acquired in utero. Med. Mycol. Case Rep. 2014, 6, 58–61. [Google Scholar] [CrossRef]
- Tahir, C.; Garbati, M.; Nggada, H.A.; Terna Yawe, E.H.; Auwal, A.M. Primary Cutaneous Aspergillosis in an Immunocompetent Patient. J. Surg. Tech. Case Rep. 2011, 3, 75347. [Google Scholar] [CrossRef] [PubMed]
- Yassine, M.; Haiet, A.H. Self-injury in schizophrenia as predisposing factor for otomycosis. Med. Mycol. Case Rep. 2018, 21, 52–53. [Google Scholar] [CrossRef] [PubMed]
- Merad, Y.; Derrar, H.; Belmokhtar, Z.; Belkacemi, M. Aspergillus genus and its various human superficial and cutaneous features. Pathogens 2021, 10, 643. [Google Scholar] [CrossRef] [PubMed]
- Anh-Tram, Q. Infection of burn wound by Aspergillus fumigatus with gross appearance of fungal colonies. Med. Mycol. Case Rep. 2019, 24, 30–32. [Google Scholar]
- Ozer, B.; Kalaci, A.; Duran, N.; Dogramaci, Y.; Yanat, A.N. Cutaneous infection caused by Aspergillus terreus. J. Med. Microbiol. 2009, 58, 968–970. [Google Scholar] [CrossRef] [PubMed]
- Vitrat-Hincky, V.; Lebeau, B.; Bozonnet, E.; Falcon, D.; Pradel, P.; Faure, O.; Aubert, A.; Piolat, C.; Grillot, R.; Pelloux, H. Severe filamentous fungal infections after widespread tissue damage due to traumatic injury: Six cases and review of literature. Scand. J. Infect. Dis. 2009, 41, 491–500. [Google Scholar] [CrossRef] [PubMed]
- Nascimento, M.D.D.S.B.; Leitão, V.M.S.; Neto, M.A.C.D.S.; Maciel, L.B.; Filho, W.E.M.; Viana, G.M.D.C.; Bezerra, G.F.D.B.; Da Silva, M.A.C.N. Eco-epidemiologic study of emerging fungi related to the work of babacu coconut breakers in the State of Maranhao, Brazil. Rev. Soc. Bras. Med. Trop. 2014, 47, 74–78. [Google Scholar] [CrossRef] [PubMed]
- Panke, T.W.; McManus, A.T.J.; McLeod, C.G.J. “Fruiting bodies” of Aspergillus on the skin of a burned patient. Am. J. Clin. Pathol. 1978, 69, 188–189. [Google Scholar] [CrossRef]
- Hubert, J.N.; Callen, J.P. Recalcitrant tinea corporis as the presenting manifestation of patch-stage mycosis fungoides. Cutis 2003, 71, 59–61. [Google Scholar]
- Hay, R.J.; Baran, R.; Moore, M.K.; Wilkinson, J.D. Candida onychomycosis—An evaluation of the role of Candida species in nail disease. Br. J. Dermatol. 1988, 118, 47–58. [Google Scholar] [CrossRef]
- Jones, H.E.; Reinhardt, J.H.; Rinaldi, M.G. Acquired immunity to dermatophytes. Arch. Dermatol. 1974, 109, 840–848. [Google Scholar] [CrossRef] [PubMed]
- Freitas, C.F.; Mulinari-Brenner, F.; Fontana, H.R.; Gentili, A.C.; Hammerschmidt, M. Ichthyosis associated with widespread tinea corporis: Report of three cases. An. Bras. Dermatol. 2013, 88, 627–630. [Google Scholar] [CrossRef] [PubMed]
- Thammahong, A.; Kiatsurayanon, C.; Edwards, S.W.; Rerknimitr, P.; Chiewchengchol, D. The clinical significance of fungi in atopic dermatitis. Int. J. Dermatol. 2020, 59, 926–935. [Google Scholar] [CrossRef] [PubMed]
- Ludwig, R.J.; Woodfolk, J.A.; Grundmann-Kollmann, M.; Enzensberger, R.; Runne, U.; Platts-Mills, T.A.E.; Kaufmann, R.; Zollner, T.M. Chronic dermatophytosis in lamellar ichthyosis: Relevance of a T-helper 2-type immune response to Trichophyton rubrum. Br. J. Dermatol. 2001, 145, 518–521. [Google Scholar] [CrossRef] [PubMed]
- Gehrmann, U.; Rqazi, K.R.; Johansson, C.; Hultenby, K.; Karlsson, M.; Lundeberg, L.; Gabrielsson, S.; Scheynius, A. Nanovesicles from Malassezia sympodialis and host exosomes induce cytokine responses—Novel mechanisms for host-microbe interactions in atopic eczema. PLoS ONE 2011, 6, e21480. [Google Scholar] [CrossRef] [PubMed]
- Jankovic, A.; Binic, I.; Glgorijevic, J.; Jankovic, D.; Ljubenovic, M.; Jancic, S. Mimicking each other psoriasis wit tinea incognito. Dermatol. Sin. 2011, 29, 149–150. [Google Scholar] [CrossRef]
- Zawar, V.; Kumavat, S.; Rathi, S. Dermatophytosis mimicking psoriasis: A classic presentation of steroid treated tinea. Images Dermatl. 2022, 113, 622–623. [Google Scholar] [CrossRef] [PubMed]
- Adel, F.W.M.; Bellamkonda, V. Atypical Fungal Rash. Clin. Pract. Cases Emerg. Med. 2019, 3, 166–167. [Google Scholar] [CrossRef] [PubMed]
- Ziemer, M.; Seyfarth, F.; Elsner, P.; Hipler, U.C. Atypical manifestations of tinea corporis. Mycoses 2007, 50 (Suppl. S2), 31–35. [Google Scholar] [CrossRef]
- Lanternier, F.; Cypowyj, S.; Picard, C.; Bustamante, J.; Lortholary, O.; Casanova, J.-L.; Puel, A. Primary immunodeficiencies underlying fungal infections. Curr. Opin. Pediatr. 2013, 25, 736–747. [Google Scholar] [CrossRef]
- Lowinger-Seoane, M.; Torres-Rodriguez, J.M.; MadrenysBrunet, N.; Aregall-Fuste, S.; Saballs, P. Extensive dermatophytoses caused by Trichophyton mentagrophytes and Microsporum canis in a patient with AIDS. Mycopathologia 1992, 120, 143–146. [Google Scholar] [CrossRef] [PubMed]
- Munoz-Perez, M.A.; Rodriguez-Pichardo, A.; Camacho, F.; Rios, J.J. Extensive and deep dermatophytosis caused by Trichophyton mentagrophytes var. interdigitalis in an HIV-1 positive patient. J. Eur. Acad. Dermatol. Venereol. 2000, 14, 61–63. [Google Scholar] [CrossRef]
- Durand-Joly, I.; Alfandari, S.; Benchikh, Z.; Rodrigue, M.; Espinel-Ingroff, A.; Catteau, B.; Cordevant, C.; Camus, D.; Dei-Cas, E.; Bauters, F.; et al. Successful outcome of disseminated Fusarium infection with skin localization treated with voriconazole and amphotericin B-lipid complex in a patient with acute leukemia. J. Clin. Microbiol. 2003, 41, 4898–4900. [Google Scholar] [CrossRef] [PubMed]
- Aly, R.; Berger, T. Common superficial fungal infections in patients with AIDS. Clin. Infect. Dis. 1996, 22, S128–S132. [Google Scholar] [CrossRef]
- Crosby, D.L.; Berger, T.G.; Woosley, J.T.; Resnick, S.D. Dermatophytosis mimicking Kaposi’s sarcoma in human immunodeficiency virus disease. Dermatologica 1991, 182, 135–137. [Google Scholar] [CrossRef] [PubMed]
- Kwon, K.S.; Jang, H.S.; Son, H.S.; Oh, C.K.; Kwon, Y.W.; Kim, K.H.; Suh, S.B. Widespread and invasive Trichophyton rubrum infection mimicking Kaposi’s sarcoma in a patient with AIDS. J. Dermatol. 2004, 31, 839–843. [Google Scholar] [CrossRef]
- Brown, J.; Carvey, M.; Beiu, C.; Hage, R. Atypical Tinea Corporis Revealing a Human Immunodeficiency Virus Infection. Cureus 2020, 12, e6551. [Google Scholar] [CrossRef]
- Sun, J.; Zhu, Y.Z.; Shao, P.P.; Ke, J.; Wang, W.; Sun, Q.-L.; Li, J.-B.; Cheng, J. Malignant melanoma mimic fungal infection a case report. Diagn. Pathol. 2022, 17, 33. [Google Scholar] [CrossRef]
- Vozza, A.; Fiorentini, E.; Cutr, F.T.; Di Girolamo, F.; Satriano, R.A. Tinea capitis in two young women: Possible favouring role of hair styling products. JEADV 2001, 15, 357–377. [Google Scholar]
- Kumar, M.; Sarma, D.K.; Shubham, S.; Kumawat, M.; Verma, V.; Singh, B.; Nagpal, R.; Tiwari, R.R. Mucormycosis in COVID-19 pandemic: Risk factors and linkages. Curr. Res. Microb. Sci. 2021, 2, 100057. [Google Scholar] [CrossRef]
- Young, M.; Keane, C.; English, L. Misdiagnosed dermatophytosis. J. Infect. 1982, 4, 127–129. [Google Scholar] [CrossRef] [PubMed]
- Dauden, E.; Bartolome, B.; Pascual, M.; Fraga, J.; Garcia-Diez, A. Autoinvolutive Photoexacerbated Tinea Corporis Mimicking a Subacute Cutaneous Lupus Erythematosus. Acta Derm. Venereol. 2001, 81, 141–142. [Google Scholar] [PubMed]
- Zawar, V.; Chuh, A. Case report on Malassezia infection of palms and fingernails—Speculations on cause for therapeutic failure in pityriasis versicolor. J. Eur. Acad. Dermatol. Venereol. 2009, 23, 171–172. [Google Scholar] [CrossRef] [PubMed]
- Bornkessel, A.; Ziemer, M.; Yu, S.; Hipler, C.; Elsner, P. Fulminant papulopustular tinea corporis caused by Trichophyton mentagrophytes. Acta Derm. Venereol. 2005, 85, 92. [Google Scholar] [CrossRef] [PubMed]
- Serarslan, G. Pustular psoriasis-like tinea incognito due to Trichophyton rubrum. Mycoses 2007, 50, 523–524. [Google Scholar] [CrossRef] [PubMed]
- Boelaert, J.R.; de Locht, M.; Van Cutsem, J.; Kerrels Vm Cantinieaux, B.; Verdonck, A.; Van Landuyt, H.W.; Schneider, Y.J. Mucormycosis during deferoxamine therapy is a siderophore-mediated infection in vitro and in vivo animal studies. J. Clin. Investig. 1993, 91, 1979–1986. [Google Scholar] [CrossRef] [PubMed]
- Daly, A.L.; Velazquez, L.A.; Bradley, S.G.; Kauffman, C.A. Mucormycosis: Association with Deferoxamine therapy. Am. J. Med. 1989, 87, 468–471. [Google Scholar] [CrossRef]
- Van Burik, J.-A.; Colven, R.; Spach, D.H. Cutaneous Aspergillosis. J. Clin. Microbiol. 1998, 36, 3115–3121. [Google Scholar] [CrossRef] [PubMed]
- Kim, W.-J.; Kim, T.-W.; Mun, J.-H.; Song, M.; Kim, H.-S.; Ko, H.-C.; Kim, B.-S.; Park, C.W.; Lee, S.-J.; Lee, M.H.; et al. Tinea incognito in Korea and its risk factors: Nine-year multicenter survey. J. Korean Med. Sci. 2013, 28, 145–151. [Google Scholar] [CrossRef]
- Merad, Y.; Derrar, H.; Tabouri, S.; Berexi-Reguig, F. Candida guilliermondii Onychomycosis Involving Fingernails in a Breast Cancer Patient under Docetaxel Chemotherapy. Case Rep. Oncol. 2022, 14, 1530–1535. [Google Scholar] [CrossRef]
- Torrelo, A.; Hernández-Martín, A.; Scaglione, C.; Madero, L.; Colmenero, I.; Zambrano, A. Primary Cutaneous Aspergillosis in a Leukemic Child. Actas Dermosifilogr. 2007, 98, 276–278. [Google Scholar] [CrossRef]
- Lin, C.-Y.; Liu, W.-L.; Chang, C.-C.; Chang, H.-T.; Hu, H.-C.; Kao, K.-C.; Chen, N.-H.; Chen, Y.-J.; Yang, C.-T.; Huang, C.-C.; et al. Invasive fungal tracheobronchitis in mechanically ventilated critically ill patients: Underlying conditions, diagnosis, and outcomes. Ann. Intensive Care 2017, 7, 9. [Google Scholar] [CrossRef] [PubMed]
- Kumar, A.; Kumar, A.; Kumar, N.; Kumar, A.; Sinha, C.; Singh, P.K. Does Long-term Oxygen Therapy and Noninvasive Ventilation Predispose Rhino-orbital-cerebral Mucormycosis in COVID-19 Patients? Indian J. Crit. Care Med. 2022, 26, 1063–1064. [Google Scholar] [CrossRef]
- Smith, W.F.; Wallace, M.R. Cutaneous aspergillosis. Cutis 1997, 59, 138–140. [Google Scholar] [PubMed]
- Kerr, O.A.; Bong, C.; Wallis, C.; Tidman, M.J. Primary cutaneous mucormycosis masquerading as pyoderma gangrenosum. Br. J. Dermatol. 2004, 150, 1212–1213. [Google Scholar] [CrossRef]
- Liu, J.; Xin, W.Q.; Liu, L.T.; Chen, C.F.; Wu, L.; Hu, X.P. Majocchi’s granuloma caused by Trichophyton rubrum after facial injection with hyaluronic acid: A case report. World J. Clin. Cases 2020, 8, 3853–3858. [Google Scholar] [CrossRef]
- Langlois, R.P.; Flegel, K.M.; Meakins, J.L.; Morehouse, D.D.; Robson, H.G.; Guttmann, R.D. Cutaneous aspergillosis with fatal dissemination in a renal transplant recipient. Can. Med. Assoc. J. 1980, 122, 673–676. [Google Scholar]
- Merad, Y.; Adjmi-Hamoudi, H.; Tabet-Derraz, N. Tinea corporis caused by Microsporum canis in HIV patient treated for neuromeningeal cryptococcis: Report of a nosocomial outbreak. J. Curr. Med. Res. Opin. 2018, 1, 16–18. [Google Scholar]
- Merad, Y.; Adjmi-Hamoudi, H.; Lahmer, K.; Saadaoui, E.; Cassaing, S.; Berry, A. Les otomycoses chez les porteurs d’aides auditives: Etude retrospective de 2010 a 2015. J. Mycol. Med. 2016, 26, 71. [Google Scholar] [CrossRef]
- Oanţă, A.; Irimie, M. Tinea on a Tattoo. Acta Dermatovenerol. Croat. 2016, 24, 223–224. [Google Scholar]
- Cohen, R.R.; Shurman, J. Fungal melanochya as a solitary black linea vertical nail plate treak: Case report and literature review of Candida-associated longitudinal melanonychia Striata. Cureus 2021, 13, e14248. [Google Scholar] [PubMed]
- Bardazzi, F.; Neri, I.; Marzaduri, S.; Landi, C.; D’Antuono, A. Microsporum canis infection of the penis. Genitourin Med. 1997, 73, 579–581. [Google Scholar] [CrossRef] [PubMed][Green Version]
- Torres, C.S.; Granoble, K.G.; Pazmiño, J.E.U.; Parra Vera, H.J. Presentación clínica inusual de tiña corporis en un adolescente causada por Trichophyton mentagrophytes. Centro Dermatológico Dr. Úraga 2022, 4, 40–47. [Google Scholar]
- Leung, A.K.; Lam, J.M.; Leong, K.F.; Hon, K.L. Tinea corporis: An updated review. Drugs Context. 2020, 9, 2020-5-6. [Google Scholar] [CrossRef] [PubMed]
- del Boz, J.; Crespo, V.; Rivas-Ruiz, F.; de Troya, M. Tinea incognito in children: 54 cases. Mycoses 2011, 54, 254–258. [Google Scholar] [CrossRef]
- Salecha, A.J.; Sridevi, K.; Senthil, K.A.L.; Sravani, G.; Rama Murthy, D.V.S.B. The menace of tinea incognito: Clinic-epidemiological study with microbiological correlation from south India. JPAD 2023, 33, 1378–1384. [Google Scholar]
- Dyrholm, M.; Rubenstain, E. Tinea incognito: Majocchi granuloma masquerading as psoriasis. Consultant360 2017, 57. Available online: https://www.consultant360.com/articles/tinea-incognito-majocchi-granuloma-masquerading-psoriasis (accessed on 11 April 2024).
- Dordevic Betetto, L.; Zgavec, B.; Bergant Suhodolcan, A. Psoriasis-like tinea incognita: A case report and literature review. Acta Dermatovenerol Alp. Pannonica Adriat. 2020, 29, 43–45. [Google Scholar]
- Eichhoff, G. Tinea incognito Mimicking pustular psoriasis in a patient with psoriasis and cushing syndrome. Cutis 2021, 107, E30–E32. [Google Scholar] [CrossRef] [PubMed]
- Surya, S.P.; Dewi, K.P.; Regina, R. Cutaneous candidiasis mimicking inverse psoriasis lesion in a type 2 diabetes mellitus patient. J. Gen. Proced. Dermatol. Venereol. Indones. 2020, 5, 7. [Google Scholar] [CrossRef]
- Dutta, B.; Rasul, E.S.; Boro, B. Clinico-epidemiological study of tinea incognito with microbiological correlation. India J. Dematol. Venerol. Leprol. 2017, 83, 326–331. [Google Scholar] [CrossRef] [PubMed]
- Keller, M.C.; French, L.E.; Hofbauer, G.F.L.; Bosshard, P.P. Erythematous skin macules with isolation of Trichophyton eboreum—Infection or colonisation? Mycoses 2012, 56, 373–375. [Google Scholar] [CrossRef] [PubMed]
- Romano, C.; Mariatiti, E.; Gianni, C. Tinea incognito in Italy: A 15-year survey. Mycoses 2006, 49, 383–387. [Google Scholar] [CrossRef] [PubMed]
- Nakagawa, T.; Nakashima, K.; Takaiwa, T.; Negayama, K. Trichosporon cutaneum (Trichosporon asahii) infection mimicking hand eczema in a patient with leukemia. J. Am. Acad. Dermatol. 2000, 42, 929–931. [Google Scholar] [CrossRef] [PubMed]
- Xie, W.; Chen, Y.; Liu, W.; Li, X.; Liang, G. Seborrheic dermatitis-like adult tinea capitis due to Trichophyton rubrum in an elderly man. Med. Mycol. Case Rep. 2023, 41, 16–19. [Google Scholar] [CrossRef] [PubMed]
- Singh, R.; Bharu, K.; Ghazali, W.; Nor, M.; Kerian, K. Tinea faciei mimicking lupus erythematosus. Cutis 1994, 53, 297–298. [Google Scholar] [PubMed]
- Merad, Y.; Belkacemi, M.; Derrar, H.; Belkessem, N.; Djaroud, S. Trichophyton rubrum skin folliculitis in Behcet’s disease. Cureus 2021, 13, e20349. [Google Scholar] [CrossRef] [PubMed]
- Quinones, C.; Hasbun, P.; Gubelin, W. Tinea incognito due to Trichophyton mentagrophytes: Case report. Medwave 2016, 16, e6598. [Google Scholar] [CrossRef] [PubMed]
- Shimoyama, H.; Nakashima, C.; Hase, M.; Sei, Y. A case of tinea corporis due to Trichophyton tonsurans that manifested as impetigo. Med. Mycol. J. 2016, 57, E59–E61. [Google Scholar] [CrossRef][Green Version]
- Liu, X.; Li, R.; Song, Y.; Wang, A. Generalized tinea corporis caused by Trichophyton verrucosum misdiagnosed as allergic dermatitis and erythema annulare in an adult. Med. Imag. 2021, 113, 339–340. [Google Scholar] [CrossRef]
- Darling, M.J.; Lambiase, M.C.; Young, R.J. Tinea versicolor mimicking pityriasis rubra pilaris. Cutis 2005, 75, 265–267. [Google Scholar] [PubMed]
- Verma, S.B.; Panda, S.; Nenoff, P.; Singal, A.; Rudramurthy, S.M.; Uhrlass, S.; Das, A.; Bisherwal, K.; Shaw, D.; Vasani, R. The unprecedented epidemic-like scenario of dermatophytosis in India: I. Epidemiology, risk factors and clinical features. Indian J. Dermatol. Venereol. Leprol. 2021, 87, 154–175. [Google Scholar] [CrossRef] [PubMed]
- Alteras, I.; Feuerman, E.J.; David, M.; Segal, R. The increasing role of Microsporum canis in the variety of dermatophytic manifestations reported from Israel. Mycopathologia 1986, 95, 105–107. [Google Scholar] [CrossRef] [PubMed]
- Virgili, A.; Corazza, M.; Zampino, M.R. Atypical features of tinea in newborns. Pediatr. Dermatol. 1993, 10, 92. [Google Scholar] [CrossRef]
- Alteras, I.; Feuerman, E.J. Atypical cases of Microsporum canis infection in the adult. Mycopathologia 1981, 74, 181–185. [Google Scholar] [CrossRef] [PubMed]
- Agarwal, M.; Gupta, C.; Gujral, G.S.; Mittal, M. Tinea corporis infection manifestating as retinochoroiditis—An unusual presentation. J. Ophthal. Inflamm. Infect. 2019, 9, 8. [Google Scholar] [CrossRef] [PubMed]
- Yang, Z.; Chen, W.; Wan, Z.; Song, Y.; Li, R. Tinea Capitis by Microsporum canis in an Elderly Female with Extensive Dermatophyte Infection. Mycopathologia 2021, 186, 299–305. [Google Scholar] [CrossRef] [PubMed]
- Tamer, F.; Yuksel, M.E. Tinea manuum misdiagnosed as psoriasis vulgaris: A case of tinea incognito. Our Dermatol. Online 2017, 8, 60–62. [Google Scholar] [CrossRef][Green Version]
- Klein, P.A.; Clark, R.A.; Nicol, N.H. Acute infection with Trichophyton rubrum associated with flares of atopic dermatitis. Cutis 1999, 63, 171–172. [Google Scholar]
- Wilson, B.B.; Deuell, B.; Mills, T.A. Atopic dermatitis associated with dermatophyte infection and Trichophyton hypersensitivity. Cutis 1993, 51, 191–192. [Google Scholar]
- Atzori, L.; Pau, M.; Aste, N.; Aste, N. Dermatophyte infections mimicking other skin diseases: A 154-person case survey of tinea atypica in the district of Cagliari (Italy). Int. J. Dermatol. 2012, 51, 410–415. [Google Scholar] [CrossRef] [PubMed]
- Greywal, T.; Friedlander, S.F. Dermatophytes and Other Superficial Fungi. In Principles and Practices of Pediatric Infectious Diseases, 5th ed.; Elsevier: Amsterdam, The Netherlands, 2018; pp. 1282–1287.e2. [Google Scholar]
- Weksberg, F.; Fisher, B.K. Unusual tinea corporis caused by Trichophyton verrucosum. Int. J. Dermatol 1986, 25, 653–655. [Google Scholar] [CrossRef] [PubMed]
- Almeida, L.; Grossman, M. Wide spread dermatophyte infections that mimic collagen vascular disease. J. Am. Acad. Dermatol. 1990, 23, 855–857. [Google Scholar] [CrossRef] [PubMed]
- Molina-Leyva, A.; Perez-Parra, S.; Garcia-Garcia, F. Nodular plaque on the forearm. An. Bras. Dermatol. 2014, 89, 839–840. [Google Scholar] [CrossRef] [PubMed]
- Dias, M.F.; Quaresma-Santos, M.V.; Bernardes-Filho, F.; Amorim, A.G.; Schechtman, R.C.; Azulay, D.R. Update on therapy for superficial mycoses: Review article part I. An. Bras. Dermatol. 2013, 88, 764–774. [Google Scholar] [CrossRef] [PubMed]
- Aljabre, S.H.; Sheikh, Y.H. Penile involvement in pityriasis versicolor. Trop. Geogr. Med. 1994, 46, 184–185. [Google Scholar] [PubMed]
- Ferry, M.; Shedlofsky, L.; Newman, A.; Mengesha, Y.; Blumetti, B. Tinea Versicolor: A Rare Distribution of a Common Eruption. Cureus 2020, 12, e6689. [Google Scholar] [PubMed]
- Noyan, A.; Sahin, S.; Karaduman, A.; Kölemen, F. Tinea of the scalp and eyebrows caused by Trichophyton violaceum in a 62-year-old diabetic woman. JEADV 2001, 15, 88–89. [Google Scholar] [CrossRef] [PubMed]
- Zeng, J.; Shan, B.; Guo, L.; Li, F. Tinea of the Scalp and Left Eyebrow Due to Microsporum canis. Mycopathologia 2022, 188, 577–579. [Google Scholar] [CrossRef]
- John, D.; Selvin, S.S.T.; Irodi, A. Disseminated Rhinosporidiosis with comjunctival involvement in an immunocompromissed patient. Middle East Afr. J. Ophtalmol. 2017, 24, 51–53. [Google Scholar]
- Swali, R.; Ramos-Rojas, E.; Tyring, S. Majocchi granuloma presenting as a verrucous nodule of the lip. Proc. Bayl. Univ. Med. Cent. 2018, 31, 115–116. [Google Scholar] [CrossRef][Green Version]
- Bell, S.A.; Röcken, M.; Korting, H.C. Tinea axillaris, a variant of intertriginous tinea, due to non-occupational infection with Trichophyton verrucosum. Mycoses 1996, 39, 471–474. [Google Scholar] [CrossRef] [PubMed]
- Banu, A.; Anand, M.; Eswari, L. A rare case of onychomycosis in all 10 fingers of an immunocompetent patient. Indian Dermatol. Online J. 2013, 4, 302–304. [Google Scholar] [CrossRef] [PubMed]
- Varada, S.; Dabade, T.; Loo, D.S. Uncommon presentations of tinea versicolor. Dermatol. Pract. Concept. 2014, 4, 93–96. [Google Scholar] [CrossRef] [PubMed]
- Aljabre, S.H. Intertriginous lesions in pityriasis versicolor. J. Eur. Acad. Dermatol. Venereol. 2003, 17, 659–662. [Google Scholar] [CrossRef]
- Metkar, A.; Joshi, A.; Vishalakshi, V.; Miskeen, A.K.; Torsekar, R.G. Extensive neonatal dermatophytoses. Pediatr. Dermatol. 2010, 27, 189–191. [Google Scholar] [CrossRef] [PubMed]
- King, D.; Cheever, W.; Hood, A.; Horn, T.D.; Rinaldi, M.G.; Merz, W.G. Primary invasive cutaneous Microsporum canis infections in immunocompromised patients. J. Clin. Microbiol. 1996, 34, 460–462. [Google Scholar] [CrossRef] [PubMed]
- Godse, K.V.; Zawarb, V. Chronic urticaria associated with tinea infection and success with antifungal therapy—A report of four cases. Int. J. Infect. Dis. 2010, 14S, e364–e365. [Google Scholar] [CrossRef] [PubMed][Green Version]
- Aspiroz, C.; Ara, M.; Varea, M.; Rezusta, A.; Rubio, C. Isolation of Malassezia globosa and M. sympodialis from patients with pityriasis versicolor in Spain. Mycopathologia 2002, 154, 111–117. [Google Scholar] [CrossRef]
- Mansouri, P.; Farshi, S.; Khosravi, A.R.; Naraghi, Z.S.; Chalangari, R. Trichophyton schoenleinii-induced widespread tinea corporis mimicking parapsoriasis. J. Mycol. Med. 2012, 22, 201–205. [Google Scholar] [CrossRef]
- Subramanya, S.H.; Subedi, S.; Metok, Y.; Kumar, A.; Prakash, P.Y.; Nayak, N. Distal and lateral subungual onychomycosis of the finger nail in a neonate: A rare case. BMC Pediatr. 2019, 19, 168. [Google Scholar] [CrossRef] [PubMed]
- Koklu, E.; Gunes, T.; Kurtoglu, S.; Gokoglu, S.; Koklu, S. Onychomycosis in a premature infant caused by Candida parapsilosis. Pediatr. Dermatol. 2007, 24, 155–156. [Google Scholar] [CrossRef] [PubMed]
- Ely, J.W.; Rosenfeld, S.; Seabury Stone, M. Diagnosis and management of tinea infections. Am. Fam. Physician 2014, 90, 702–710. [Google Scholar] [PubMed]
- Finch, J.; Arena, R.; Baran, R. Fungal melanonychia. J. Acad. Dermatol. 2012, 66, 830–841. [Google Scholar] [CrossRef] [PubMed]
- Álvarez-Salafranca, M.; HernándezOstiz, S.; Salvo Gonzalo, S.; Ara Martín, M. Onicomicosis subungueal proximal por Aspergillus niger: Un simulador de melanoma maligno subungueal. Actas Dermosifiliogr. 2017, 108, 481–484. [Google Scholar] [CrossRef] [PubMed]
- Merad, Y.; Moulay, A.A.; Derrar, H.; Belkacemi, M.; Larbi-cherrak, N.A.; Ramdani, F.Z.; Belmokhtar, Z.; Messafeur, A.; Drici, A.; Ghomari, O.; et al. Aspergillus flavus onychomycosis in the right fourth fingernail related to phalynx fracture and traumatic inoculation of plants: A vegetable vendor case report. Am. Res. J. Dermatol. 2020, 2, 1–4. [Google Scholar]
- Merad, Y.; Thorayya, L.; Belkacemi, M.; Benlazar, F. Tinea unguium, tinea cruris and tinea corporis caused by Trichophyton rubrum in HIV patient: A case report. J. Clin. Cases Rep. 2021, 4, 89–92. [Google Scholar]
- Merad, Y.M.; Belkacemi, M.; Bessaid, A.; Matmour, D.; Merad, Z.; Medjber, M.; Bouroumi, F.; Abeidallah, K.; Benyelles, D.; Ziani, H.; et al. Onychogryphosis due to Aspergillus niger in a poorly controlled type 2 diabetes mellitus. CMRO 2022, 5, 1380–1385. [Google Scholar] [CrossRef]
- Kim, D.M.; Suh, M.K.; Ha, G.Y.; Sohng, S.H. Fingernail onychomycosis due to Aspergillus niger. Ann. Dermatol. 2012, 24, 459–463. [Google Scholar] [CrossRef]
- Matsuyama, Y.; Nakamura, T.; Hagi, T.; Asanuma, K.; Sudo, A. Subungual onychomycosis due to Aspergillus niger mimicking a glomus tumor: A case report. Biomed. Rep. 2017, 7, 532–534. [Google Scholar] [CrossRef][Green Version]
- Abhinay, K.P.A.; Rao, S.K. Blackening of Nails with Pits—A Combination of Nail Psoriasis and Onychomycosis. Indian J. Pediatr. 2021, 88, 933–934. [Google Scholar]
- Noriegaa, L.F.; Di Chiacchioa, N.G.; Figueira de Melloc, C.D.B.; Suareza, M.V.; Bet, D.L.; Di Chiacchio, N. Prevalence of Onychomycosis among Patients with Transverse Overcurvature of the Nail: Results of a Cross-Sectional Study. Skin Appendage Disord 2020, 6, 351–354. [Google Scholar] [CrossRef] [PubMed]
- Singal, A.; Bisherwal, K. Melanonychia: Etiology, diagnosis, and treatment. Indian Dermatol. Online J. 2020, 11, 1–11. [Google Scholar] [CrossRef] [PubMed]
- Martinez-Herrera, E.O.; Arroyo-Camarena, S.; Porras-Lopez, C.F.; Arenas, R. Onychomycosis due to opportunistic molds. An. Bras. Dermatol. 2015, 90, 334–337. [Google Scholar] [CrossRef] [PubMed]
- Ge, G.; Yang, Z.; Li, D.; G de Hoog, S.; Shi, D. Onychomycosis with greenish-black discolorations and recurrent onycholysis caused by Candida parapsilosis. Med. Mycol. Case Rep. 2019, 24, 48–50. [Google Scholar] [CrossRef] [PubMed]
- Dell’Antonia, M.; Mugheddu, C.; Ala, L.; Lai, D.; Pilloni, L.; Ferreli, C.; Atzori, L. Dermoscopy of tinea incognito. Mycopathologia 2023, 188, 417–418. [Google Scholar] [CrossRef]
- Bonifaz, A.; Gomez-Daza, F.; Paredes, V.; Ponce, R.M. Tinea versicolor, tinea nigra, white piedra, and black piedra. Clin. Dermatol. 2010, 28, 140–145. [Google Scholar] [CrossRef]
- Xavier, M.H.; Torturella, D.M.; Rehfeldt, F.V.; Alvariño, C.R.; Gaspar, N.N.; Rochael, M.C.; Cunha, F.d.S. Sycosiform tinea barbae caused by Trichophyton rubrum. Dermatol. Online J. 2008, 14, 10. [Google Scholar] [CrossRef]
- Merad, Y.; Derrar, H.; Habib, M.H.; Belkacemi, M.; Talha, K.; Sekouhi, M.; Belmokhtar, Z.; Adjmi-Hamoudi, H. Trichophyton mentagrophytes tinea faciei in acromegaly patient: Case report. J. Clin. Transl. Endocrinol. Case Rep. 2021, 19, 100079. [Google Scholar] [CrossRef]
- Bohmer, U.; Gottlober, P.; Korting, H.C. Tinea mammae mimicking atopic eczema. Mycoses 1998, 41, 345–347. [Google Scholar] [CrossRef]
- Merad, Y.; Derrar, H.; Belkacemi, M.; Drici, A.; Belmokhtar, Z.; Drici, A.E.M. Candida albicans mastitis in breastfeeding woman: An under recognized diagnosis. Cureus 2020, 12, e12026. [Google Scholar] [CrossRef] [PubMed]
- Yilmaz, M.; Kavak, A.; Yamaner, N.J. Bilateral and symmetrical tinea mammae. Dermatol. Online J. 2013, 19, 19625. [Google Scholar] [CrossRef] [PubMed]
- Khanna, U.; Dhali, T.K.; D’Souza, P.; Chowdhry, S. Majocchi Granuloma of the Breast: A Rare Clinical Entity. Case Res. Lett. 2016, 107, 610–612. [Google Scholar]
- Smith, B.L.; Koestenblatt, E.K.; Weinberg, J.M. Areolar and periareolar pityriasis versicolor. J. Eur. Acad. Dermatol. Venereol. 2004, 18, 740–741. [Google Scholar] [CrossRef] [PubMed]
- Sardy, M.; Korting, H.C.; Ruzicka, T.; Wolff, H. Bilateral areolar and periareolar pityriasis versicolor. J. Dtsch. Dermatol. Ges. 2010, 8, 617–618. [Google Scholar] [CrossRef] [PubMed]
- O’Grady, T.C.; Sahn, E.E. Investigation of asymptomatic tinea pedis in children. J. Am. Acad. Dermatol. 1991, 24, 660–661. [Google Scholar] [CrossRef]
- Al Hasan, M.; Fitzgerald, S.M.; Saoudian, M.; Krishnaswamy, G. Dermatology for the practicing allergist: Tinea pedis and its complications. Clin. Mol. Allergy 2004, 2, 5. [Google Scholar] [CrossRef] [PubMed]
- Flores, C.R.; Martín Díaz, M.A.; Prats Caelles, I.; de Lucas Laguna, R. Tinea manuum inflamatoria. An. Pediatr. 2004, 61, 345–346. [Google Scholar] [CrossRef] [PubMed]
- Balighi, K.; Lajevardi, V.; Barzegar, M.; Sadri, M. Extensive tinea corporis with photosensivity. Indian J. Dermatol. 2009, 54, 57–59. [Google Scholar] [CrossRef]
- Dai, Y.; Xia, X.; Shen, H. Multiple abscesses in the lower extremities caused by Trichophyton rubrum. BMC Infect. Dis. 2019, 19, 271. [Google Scholar] [CrossRef]
- Heibel, H.D.; Ibad, S.; Chao, Y.; Patel, K.K.; Hutto, J.; Redd, L.E.; Nussenzveig, D.R.; Laborde, K.H.; Cockerell, C.J.; Shwin, K. Scurvy and Tinea Corporis Simulating Leukocytoclastic Vasculitis. Am. J. Dermatopathol. 2021, 43, e230–e233. [Google Scholar] [CrossRef] [PubMed]
- Sarojini, P.A.; Dharmaratnam, A.D.; Pavithran, K.; Gangadharan, C. Concentric rings simulating tinea imbricata in secondary syphilis. A case report. Br. J. Vener. Dis. 1980, 56, 302–303. [Google Scholar] [CrossRef] [PubMed]
- Hong, J.S.; Lee, D.W.; Suh, M.K.; Ha, G.Y.; Jang, T.J.; Choi, J.S. Tinea Corporis Caused by Trichophyton verrucosum Mimicking Nummular Dermatitis. J. Mycol. Infect. 2019, 24, 32–34. [Google Scholar] [CrossRef]
- Gupta, A.K.; Bluhm, R.; Summerbell, R. Pityriasis versicolor. J. Eur. Acad. Dermatol. Venereol. 2002, 16, 19–33. [Google Scholar] [CrossRef] [PubMed]
- Merad, Y.; Merad, S.; Belkacemi, M.; Belmokhtar, Z.; Merad, Z.; Metmour, D. Extensive Pityriasis Versicolor Lesions in an Immunocompetent Parking Attendant: An Occupational Disorder? CMOR 2022, 5, 1327–1331. [Google Scholar]
- Rehamnia, Y.; Senhadji, L.; Matmour, D.; Boumelik, M.A.; Belmokhtar, Z.; Merad, Z.; Guellil, B.; Bassaid, A.; Chadli, M.; Merad, Y. Tinea Versicolor Disguised as Pityriasis Alba: How to Deal with Confusing Skin Hypopigmentation. J. Curr. Med. Res. Opin. 2023, 6, 1962–1968. [Google Scholar] [CrossRef]
- Nakabayashi, A.; Sei, Y.; Guillot, J. Identification of Malassezia species isolated from patients with seborrheic dermatitis, atopic dermatitis, pityriasis versicolor and normal subjects. Med. Mycol. 2000, 38, 337–341. [Google Scholar] [CrossRef] [PubMed]
- Akaberi AAAmini, S.S.; Hajihosseini, H. An Unusual Form of Tinea Versicolor: A Case Report. Iran. J. Dermatol. 2009, 12, S30–S31. [Google Scholar]
- Hall, J.; Perry, V.E. Tinea nigra palmaris: Differentiation from malignant melanoma or junctional nevi. Cutis 1998, 62, 45–46. [Google Scholar]
- Haliasos, E.C.; Kerner, M.; Jaimes-Lopez, N.; Rudnicka, L.; Zalaudek, I.; Malvehy, J.; Hofmann-Wellenhof, R.; Braun, R.P.; Marghoob, A.A. Dermoscopy for the pediatric dermatologist. Part I: Dermoscopy of pediatric infectious and inflammatory skin lesions and hair disorders. Pediatr. Dermatol. 2013, 30, 163–171. [Google Scholar] [CrossRef]
- Nazzaro, G.; Ponziani, A.; Cavicchini, S. Tinea nigra: A diagnostic pitfall. J. Am. Acad. Dermatol. 2016, 75, e219–e220. [Google Scholar] [CrossRef] [PubMed]
- Mendez, J.; Sanchez, A.; Martinez, J.C. Urticaria associated with dermatophytosis. Allergol. Immunopathol. 2002, 30, 344–345. [Google Scholar] [CrossRef] [PubMed]
- Veraldi, S.; Gorani, A.; Schmitt, E.; Gianotti, R. Case report. Tinea corporis purpurea. Mycoses 1999, 42, 587–589. [Google Scholar] [CrossRef] [PubMed]
- Hsu, S.; Le, E.H.; Khoshevis, M.R. Differential Diagnosis of Annular Lesions. Am. Fam. Physician 2001, 64, 289–297. [Google Scholar] [PubMed]
- Kalkan, G.; Demirseren, D.D.; Güney, C.A.; Aktaş, A. A case of tinea incognito mimicking subcorneal pustular dermatosis. Dermatol. Online J. 2020, 26, 13. [Google Scholar] [CrossRef]
- Terragni, L.; Marelli, M.A.; Oriani, A.; Cecca, E. Tinea corporis bullosa. Mycoses 1993, 36, 135–137. [Google Scholar] [CrossRef] [PubMed]
- Veraldi, S.; Scarabelli, G.; Oriani, A.; Vigo, G.P. Tinea corporis bullosa anularis. Dermatology 1996, 192, 349–350. [Google Scholar] [CrossRef] [PubMed]
- Karakoca, Y.; Endoğru, E.; Erdemir, A.T.; Kiremitçi, U.; Gürel, M.S.; Güçin, Z. Generalized Inflammatory Tinea Corporis. J. Turk. Acad. Dermatol. 2010, 4, 04402c. [Google Scholar]
- Barbé, J.; Clerc, G.; Bonhomme, A. Granulome de Majocchi pubien: Une entité clinique de localisation inhabituelle. Ann. De Dermatol. Vénérologie 2018, 145, S287–S288. [Google Scholar] [CrossRef]
- Inaoki, M.; Nishijima, C.; Miyake, M.; Asaka, T.; Hasegawa, Y.; Anzawa, K.; Mochizuki, T. Case of dermatophyte abscess caused by Trichophyton rubrum: A case report and review of the literature. Mycoses 2015, 58, 318–3232. [Google Scholar] [CrossRef]
- Yonebayashi, K.; Yasuda, E.; Sakatani, S.; Kusakabe, H.; Kiyokane, K. A case of granuloma trichophyticum associated with relapsing polychondritis. Ski. Res. 1998, 40, 394–398. [Google Scholar]
- Matsuzaki, Y.; Ota, K.; Sato, K.; Nara, S.; Yagushi, T.; Nakano, H.; Sawamura, D. Deep pseudocystic dermatophytosis caused by Trichophyton rubrum in a patient with myasthenia gravis. Acta Derm. Venereol. 2023, 93, 358–359. [Google Scholar] [CrossRef] [PubMed][Green Version]
- Colwell, A.S.; Kwaan, M.R.; Orgill, D.P. Dermatophytic pseudomycetoma of the scalp. Plast. Reconstr. Surg. 2004, 113, 1072–1073. [Google Scholar] [CrossRef] [PubMed]
- Toussaint, F.; Sticherling, M. Multiple Dermal Abscesses by Trichophyton rubrum in an Immunocompromised Patient. Front. Med. 2019, 6, 97. [Google Scholar] [CrossRef] [PubMed]
- Kim, S.H.; Jo, I.H.; Kang, J.; Joo, S.Y.; Choi, J.H. Dermatophyte abscesses caused by Trichophyton rubrum in a patient without pre-existing superficial dermatophytosis: A case report. BMC Infect. Dis. 2016, 16, 298. [Google Scholar] [CrossRef] [PubMed]
- Schlesinger, P.; Rottman, A. Trichophyton species as the Cause of A Diabetic Deep Plantar Foot Abscess: A Case Report. Podiatry Today 2021, 37. Available online: https://www.hmpgloballearningnetwork.com/site/podiatry/trichophyton-species-cause-diabetic-deep-plantar-foot-abscess-case-report (accessed on 11 April 2024).
- Hironaga, M.; Okazaki, N.; Saito, K.; Watanabe, S. Trichophyton mentagrophytes granulomas. Unique systemic dissemination to lymph nodes, testes, vertebrae, and brain. Arch. Dermatol. 1983, 119, 482–490. [Google Scholar] [CrossRef] [PubMed]
- Parmar, N.V.; Asir, G.J.; Rudramurthy, S.M. Atypical Presentation of Majocchi’s Granuloma in an Immunocompetent Host. Am. J. Trop. Med. Hyg. 2017, 96, 1–2. [Google Scholar] [CrossRef]
- Fukushiro, R. Dermatophytes abscess. In Color Atlas of Dermatophytoses; Fukushiro, R., Ed.; Kanehara Co.: Tokyo, Japan, 1999; pp. 89–95. [Google Scholar]
- Marconi, V.C.; Kradin, R.; Marty, F.M.; Hospenthal, D.R.; Kotton, C.N. Dessiminated dermatophytosis in a patient with hereditary hemochromatosis and hepatic cirrhosis: Case report and review of the literature. Med. Mycol. 2010, 48, 518–527. [Google Scholar] [CrossRef]
- Zheng, Y.Y.; Li, Y.; Chen, M.Y.; Mei, Q.Y.; Zhang, R.Z. Majocchi’s granuloma on the forearm caused by Trichophyton tonsurans in an immunocompetent patient. Ann. Clin. Microbiol. Antimicrob. 2020, 19, 39. [Google Scholar] [CrossRef]
- Drivenes, J.L.; Ramsing, M.; Bygum, A. Majocchi’s Granuloma—The Great Mimicker: A Case Report. Case Rep. Dermatol. 2023, 15, 190–193. [Google Scholar] [CrossRef] [PubMed]
- Toyoki, M.; Hase, M.; Hirasawa, Y.; Umeyama, T.; Miyazaki, Y.; Kano, R.; Sugita, T.; Hiruma, M.; Kodama, Y.; Ikeda, S. A giant dermatophyte abscess caused by Trichophyton rubrum in an immunocompromised patient. Med. Mycol. J. 2017, 58, E63–E66. [Google Scholar] [CrossRef] [PubMed]
- Ribes, J.A.; Vanover-Sams, C.L.; Baker, D.J. Zygomycetes in human disease. Clin. Microbiol. 2000, 13, 236–301. [Google Scholar] [CrossRef] [PubMed]
- Martínez-Ortega, J.I.; Fernández-Reyna, I.; Ramirez Cibrian, A.G.; Dieguez, C.E.A. Ulcerative Unilateral Tinea Manuum Caused by Nannizzia gypsea. Cureus 2024, 16, e55576. [Google Scholar] [CrossRef] [PubMed]
- Kyung-Ran, K.; Hwanhee, P.; Door-Ri, K.; Yoonsunn, Y.; Chiman, J.; Saanghoon, L.; So-Young, L.; Ji-Hye, K.; Yae-Jean, K. Kerion Celsi caused by Trichophyton verrucosum mimicking a hypervascular tumor in a pediatric patient: A case report. Pediatr. Infect. Vaccine 2022, 29, 118–123. [Google Scholar]
- Yun, S.K.; Lee, S.K.; Park, J.; Nam, K.H. Deeper Dermal Dermatophytosis by Trichophyton rubrum Infection Mimicking Kaposi Sarcoma. Mycopathologia 2022, 187, 611–612. [Google Scholar] [CrossRef]
- Tookey, P.; Gale, J.; Kazmi, A.; Ligaj, M.; Hawthorne, M.; Jeetle, S.; Fhogartaigh, C.N.; MStodell Moir, G.; Khurram, M.; Harwood, C. Melanized (dematiaceous) fungal infections simulating skin cancer in African organ transplant recipients. Br. J. Dermatol. 2021, 185, 142–143. [Google Scholar]












| Description | S/Age | Localization | Fungi | Country | Reference |
|---|---|---|---|---|---|
| psoriasis-like | - | Body Palms Flexures | T. rubrum T. mentagrophytes M. gypseum | India | [107] |
| Trunk, groin, buttocks | T. rubrum | India | [68] | ||
| Lower extremities | T. rubrum | USA | [108] | ||
| M/68 | - | - | Slovenia | [109] | |
| Legs | M. canis | Serbia | [62] | ||
| Body All Nails | T. rubrum | Switzerland | [10] | ||
| Trunk, lower extremities, toenails | T. rubrum | New Zealand | [110] | ||
| Inverse psoriasis-like | Intertriginous areas | Candida sp. | India | [111] | |
| Eczema-like | - | T. mentagrophytes T. rubrum | Korea | [90] | |
| Face | T. rubrum | India | [112] | ||
| M/36 | Arms Inguinal region | Trichophyton eboreum | Switzerland | [113] | |
| F/64 | Hand | Trichosporon asahii | Japan | [114,115] | |
| Seborrheic dermatitis-like | - | Face Scalp | T. rubrum T. mentagrophytes T. tonsurans M. gypseum | India | [107] |
| M/77 | Scalp Nails | T. rubrum | China | [116] | |
| Face Neck | India | [5] | |||
| Erythema-like | Torso | - | Grenada | [78] | |
| lupus erythematosus-like | - | Face | [83,117] | ||
| Furoncle-like | - | Body | T. tonsurans | [107] | |
| Acne-like | M/29 | Back | T. rubrum | Algeria | [118] |
| Prurigo-like | - | T. rubrum | India | [107] | |
| Ichthyosis-like | Body | T. menta | India | [107] | |
| Contact dermatitis-like | M/12 | Right eyebrow | T. menta | Chile | [119] |
| Impetigo-like | M/41 | Right forearm | T. tonsurans | Japan | [120] |
| Allergic-like dermatitis | M/31 | Trunk, upper limbs | T. verrucosum | [121] | |
| Cellulite-like | 4 cases | - | USA | [50] | |
| Pityriasis rubra pilaris | M/54 | Trunk, shoulders, upper arms | Malassezia sp. | USA | [122] |
| Mycosis fungoides-like | F/62 | Right chin, Right elbow | - | USA | [1] |
| Infection Location | Presentation/Context | Agent | Reference |
|---|---|---|---|
| palms and fingernails | Achromic lesions | Malassezia sp. | [84] |
| Penis | Malassezia sp. | [138] | |
| Axilla | Eryth and papular rash | Malassezia sp. | [139] |
| Eyebrows | Tinea of the scalps and eyebrows in diabetic elderly | T. violaceum | [140] |
| Right eyebrow | Erythematous lesion | T. mentagrophytes | [119] |
| Scalp and eyebrow | Tinea of the scalp and left eyebrow | M. canis | [141] |
| Eyelid and skin | Upper eyelid swelling for 6 monthsHIV patient with disseminated lesions | Rhinosporidium sp. | [142] |
| Lip | Dermatophyte presenting as a verrucous nodule of the lip | T. rubrum | [143] |
| Penis | Infection of the penis/after wearing penile clothe | M. canis | [103] |
| Clinical Presentation | Clinical Details | Causative Agent | Reference |
|---|---|---|---|
| Brown pigmentation | Usually, diffuse lesions | Aspergillus niger Alternaria alternata Scytalidium dimidiatum | [156,160] |
| Longitudinal melanonychia | Distal lesions | Trichophyton rubrum Candida humicola Candida albicans Candida parapsilosis Scytalidium dimidiatum Alternaris sp. Exophiala sp. Aspergillus niger | [102,156,165] |
| Distal and lateral subungual onychomycosis | Alternaria alternate Scytalidium sp. | [166] | |
| Black pigmentation | Superficial coloration Periungual inflammation Proximal nail | Aspergillus niger | [157] |
| Onychodystrophy | Nail discoloration | [160] | |
| Onycholysis | Greenish–black discolorations | Candida parapsilosis | [167] |
| Subungual onychomycosis | Mimicking a glomus tumor | Aspergillus niger | [162] |
| Onychodystrophy | All fingernails and toenails involved | Cladosporium sp. | [7] |
| Localization | Sex/Age | Culture | Underlying Disease | Country | References |
|---|---|---|---|---|---|
| Lip | F/40 | T. rubrum | - | India | [143] |
| Hand | F/52 | T. rubrum | Polychondritis | Japan | [203] |
| Extremities, trunk, face | F/44 | T. rubrum | Myasthenia gravis | Japan | [204] |
| Leg | M/54 | T. rubrum | None | Japan | [202] |
| Thigh | F/24 | T. mentagrophytes | None | USA | [95] |
| Scalp | F/19 | M. canis | None | [205] | |
| Upper extremities | M/52 | T. rubrum | Immunosuppressive therapy | France | [206] |
| Malleolus | F/68 | T. rubrum | - | Korea | [207] |
| Foot | M/39 | Trichophyton sp. | Type-2 diabetes | USA | [208] |
| Localization | Sex/Age | Culture | Underlying Disease | Country | References |
|---|---|---|---|---|---|
| Leg, trunk | M/28 | T. verrucosum | Nephrotic syndrome | Japan | [209] |
| Groin | M/58 | T. rubrum | Nephrotic syndrome | Japan | [211] |
| Extremities, truck, face | M/45 | T. rubrum | Haemochromatosis | USA | [212] |
| Forearm | F/62 | T. tonsurans | - | China | [213] |
| Breast | F/28 | T. violaceum | India | [169] | |
| Genitoinguinal | M/54 | - | - | Danemark | [214] |
| Forearm | M/53 | T. rubrum | Spain | [136] | |
| Buttock | M/73 | T. rubrum | Suppressive drugs | Japan | [215] |
Disclaimer/Publisher’s Note: The statements, opinions and data contained in all publications are solely those of the individual author(s) and contributor(s) and not of MDPI and/or the editor(s). MDPI and/or the editor(s) disclaim responsibility for any injury to people or property resulting from any ideas, methods, instructions or products referred to in the content. |
© 2024 by the authors. Licensee MDPI, Basel, Switzerland. This article is an open access article distributed under the terms and conditions of the Creative Commons Attribution (CC BY) license (https://creativecommons.org/licenses/by/4.0/).
Share and Cite
Belmokhtar, Z.; Djaroud, S.; Matmour, D.; Merad, Y. Atypical and Unpredictable Superficial Mycosis Presentations: A Narrative Review. J. Fungi 2024, 10, 295. https://doi.org/10.3390/jof10040295
Belmokhtar Z, Djaroud S, Matmour D, Merad Y. Atypical and Unpredictable Superficial Mycosis Presentations: A Narrative Review. Journal of Fungi. 2024; 10(4):295. https://doi.org/10.3390/jof10040295
Chicago/Turabian StyleBelmokhtar, Zoubir, Samira Djaroud, Derouicha Matmour, and Yassine Merad. 2024. "Atypical and Unpredictable Superficial Mycosis Presentations: A Narrative Review" Journal of Fungi 10, no. 4: 295. https://doi.org/10.3390/jof10040295
APA StyleBelmokhtar, Z., Djaroud, S., Matmour, D., & Merad, Y. (2024). Atypical and Unpredictable Superficial Mycosis Presentations: A Narrative Review. Journal of Fungi, 10(4), 295. https://doi.org/10.3390/jof10040295

