Development of SCAR Markers for Genetic Authentication of Metarhizium acridum
Abstract
1. Introduction
2. Materials and Methods
2.1. Fungal Isolates
2.2. Phenotypic Characterization and Genotypic
2.3. Statistical Analysis
2.4. Selection, Cloning, and Sequencing of RAPD Products
2.4.1. Sequencing of Cloned Markers
2.4.2. SCAR Primers Design
2.5. PCR Conditions for SCAR Primers
2.6. Sensitivity and Specificity of PCR Assays with the SCAR Marker
3. Results
3.1. Phenotypic Characterization
3.2. Genotypic Characterization
3.3. SCAR Marker in M. acridum
3.4. Sequence Data Analysis
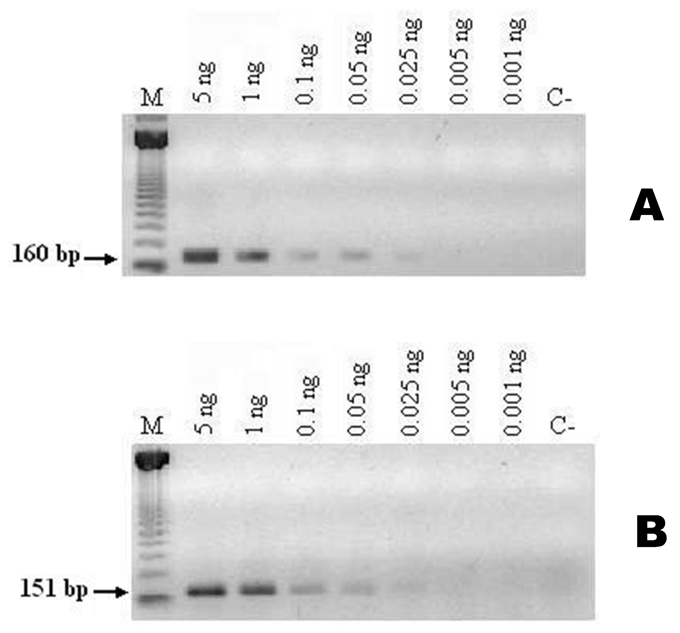
3.5. Sensitivity of SCAR Primers
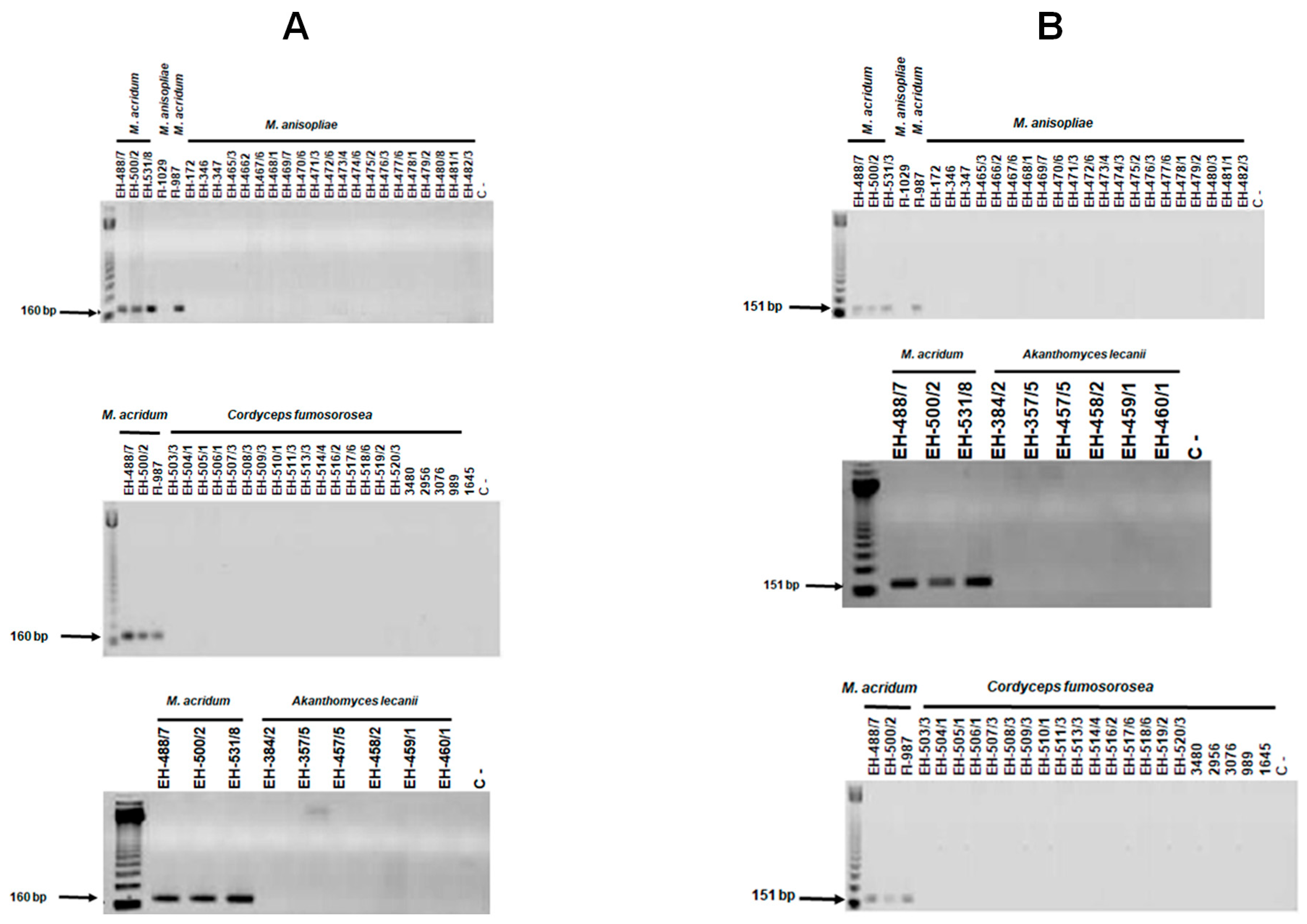
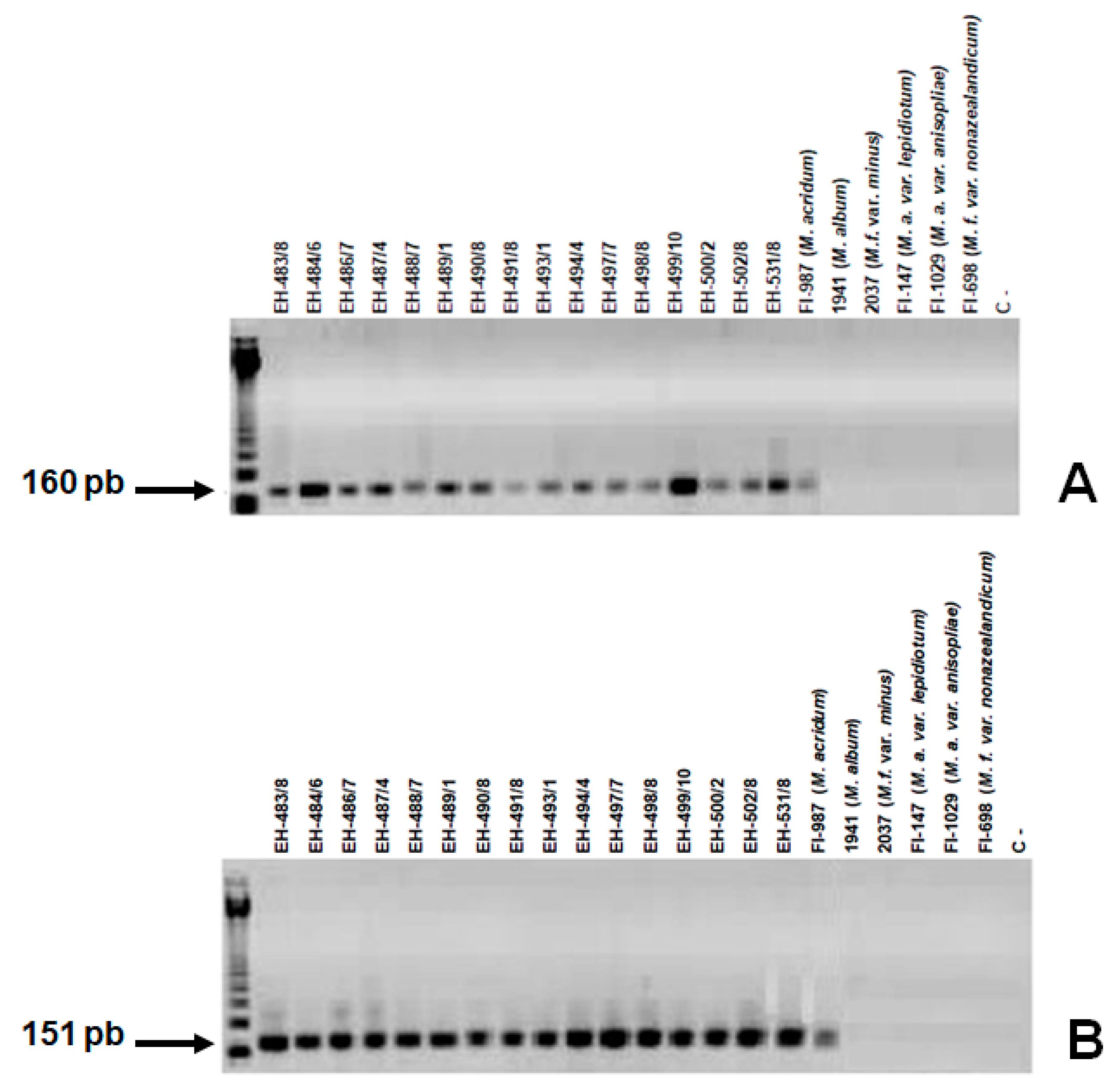
3.6. Specificity of the SCAR Markers
4. Discussion
5. Conclusions
Supplementary Materials
Author Contributions
Funding
Institutional Review Board Statement
Informed Consent Statement
Data Availability Statement
Conflicts of Interest
References
- Butt, T.; Jackson, C.; Magan, N. Fungi as Biocontrol Agents; CAB International: Wallingford, UK, 2001. [Google Scholar]
- Roberts, D.W.; Hajek, A.E. Entomopathogenic fungi as bioinsecticides. In Frontiers of Industrial Mycology; Leatham, G.F., Ed.; Chapman and Hall: New York, NY, USA, 1992; pp. 144–159. [Google Scholar]
- Brunner-Mendoza, C.; Reyes-Montes, M.R.; Moonjely, S.; Bidochka, M.J.; Toriello, C. A review on the genus Metarhizium as an entomopathogenic microbial biocontrol agent with emphasis on its use and utility in Mexico. Biocontrol Sci. Techn. 2019, 29, 83–102. [Google Scholar] [CrossRef]
- Sabbahi, R.; Hock, V.; Azzaoui, K.; Saoiabi, S.; Hammouti, B. A global perspective of entomopathogens as microbial biocontrol agents of insect pests. J. Agric. Food Res. 2022, 10, 100376. [Google Scholar] [CrossRef]
- Lomer, C.J.; Bateman, R.P.; Johnson, D.L.; Langewald, J.; Thomas, M. Biological Control of Locusts and Grasshoppers. Annu. Rev. Entomol. 2001, 46, 667–702. [Google Scholar] [CrossRef] [PubMed]
- Hunter, D.M.; Milner, R.J.; Spurgin, P.A. Aerial treatment of the Australian plague locust, Chortoicetes terminifera (Orthoptera: Acrididae) with Metarhizium anisopliae (Deuteromycotina: Hyphomycetes). Bull. Entomol. Res. 2001, 91, 93–99. [Google Scholar] [CrossRef] [PubMed]
- Mongkolsamrit, S.; Khonsanit, A.; Thanakitpipattana, D.; Tasanathai, K.; Noisripoom, W.; Lamlertthon, S.; Himaman, W.; Houbraken, J.; Samson, R.A.; Luangsa-ard, J. Revisiting Metarhizium and the description of new species from Thailand. Stud. Mycol. 2020, 95, 171–251. [Google Scholar] [CrossRef] [PubMed]
- Leal, S.C.; Bertioli, D.J.; Butt, T.M.; Peberdy, J.F. Characterization of isolates of the entomopathogenic fungus Metarhizium anisopliae by RAPD-PCR. Mycol. Res. 1994, 98, 1077–1081. [Google Scholar] [CrossRef]
- Brunner-Mendoza, C.; Navarro-Barranco, H.; León-Mancilla, B.; Pérez-Torres, A.; Toriello, C. Biosafety of an entomopathogenic fungus Isaria fumosorosea in an acute dermal test in rabbits. Cutan. Ocul. Toxicol. 2017, 36, 12–18. [Google Scholar] [CrossRef] [PubMed]
- Lopes, R.B.; Faria, M.; Souza, D.A.; Bloch, C., Jr.; Silva, L.P.; Humber, R.A. MALDI-TOF mass spectrometry applied to identifying species of insect-pathogenic fungi from the Metarhizium anisopliae complex. Mycologia 2014, 106, 865–878. [Google Scholar] [CrossRef] [PubMed]
- Li, Y.; Cai, S.H. Sensitive and rapid detection of the insect pathogenic fungus Metarhizium anisopliae var. anisopliae by loop-mediated isothermal amplification. Curr. Microbiol. 2011, 62, 1400–1404. [Google Scholar] [CrossRef]
- Bidochka, M.J.; McDonald, M.A.; St. Leger, R.J.; Roberts, D.W. Differentiation of species and strains of entomopathogenic fungi by random amplification of polymorphic DNA (RAPD). Curr. Genet. 1994, 25, 107–113. [Google Scholar] [CrossRef]
- Cobb, B.D.; Clarkson, J.M. Detection of molecular variation in the insect pathogenic fungus Metarhizium using RAPD-PCR. FEMS Microbiol. Lett. 1993, 112, 319–324. [Google Scholar] [CrossRef] [PubMed]
- Fegan, M.; Manners, M.; Maclean, D.J.; Irwin, A.G.; Samuels, S.Z. Random amplified polymorphic DNA markers reveal a high degree of genetic diversity in the entomopathogenic fungus Metarhizium anisopliae var. anisopliae. J. Gen. Microbiol. 1993, 13, 2075–2081. [Google Scholar] [CrossRef] [PubMed]
- Tigano–Milani, M.; Honeycutt, R.; Lacey, L.; Assis, R.; McClelland, M.; Sobral, B. Genetic variability of Paecilomyces fumosoroseus isolates revealed by molecular markers. J. Invertebr. Pathol. 1995, 65, 274–282. [Google Scholar] [CrossRef] [PubMed]
- Driver, F.; Milner, R.J.; Trueman, J.W.H. A taxonomic revision of Metarhizium based on a phylogenetic analysis of rDNA sequence data. Mycol. Res. 2000, 104, 134–150. [Google Scholar] [CrossRef]
- Paran, I.; Michelmore, R.W. Development of reliable PCR-based markers linked to downy mildew resistance genes in lettuce. Theor. Appl. Genet. 1993, 85, 985–993. [Google Scholar] [CrossRef]
- Schilling, A.G.; Moller, E.M.; Geiger, H.H. Polymerase chain reaction based assays for species-specific detection of Fusarium culmorum, F. graminearum, and F. avenaceum. Phytopathology 1996, 86, 515–522. [Google Scholar] [CrossRef]
- Abbasi, P.A.; Miller, S.A.; Meulia, T.; Hoitink, H.A.; Kim, J. Precise detection and tracing of Trichoderma hamatum 382 in compost-amended potting mixes using molecular markers. Appl. Environ. Microbiol. 1999, 65, 5421–5426. [Google Scholar] [CrossRef]
- Li, K.N.; Rouse, D.I.; Eyestone, E.J.; German, T.L. The generation of specific DNA primers using random amplified polymorphic DNA and its application to Verticillium dahliae. Mycol. Res. 1999, 103, 1361–1368. [Google Scholar] [CrossRef]
- Hernández, P.; Martin, A.; Dorado, G. Development of SCARs by direct sequencing of RAPD products: A practical tool for the introgression and marker-assisted selection of wheat. Mol. Breed. 1999, 5, 245–253. [Google Scholar] [CrossRef]
- Leconte, P.; Peros, J.P.; Blancard, D.; Bastien, N.; Delye, C. PCR-assays that identify the grapevine dieback fungus Eutypa lata. Appl. Environ. Microbiol. 2000, 66, 4475–4480. [Google Scholar] [CrossRef]
- Elizabeth, A.S.; Michael, D.C.; Geunhwa, J. Development of species-specific SCAR markers in Bentgrass. Crop. Sci. 2003, 43, 345–349. [Google Scholar]
- Castrillo, L.; Vandenberg, J.; Wraight, S. Strain-specific detection of introduced Beauveria bassiana in agricultural fields by use of sequence-characterized amplified region markers. J. Invertebr. Pathol. 2003, 82, 75–83. [Google Scholar] [CrossRef] [PubMed]
- Ayala-Zermeño, M.A.; Reyes-Montes, M.R.; Arroyo-Vázquez, E.; Calderón Ezquerro, M.C.; Mier, T.; Robledo-Retana, T.; Toriello, C. An Isaria fumosorosea SCAR marker for evaluation of soil, insect, and airborne samples. Biocontrol Sci. Technol. 2011, 21, 1091–1102. [Google Scholar] [CrossRef]
- Mascarin, G.M.; Dunlap, C.A.; Barrigossi, J.A.; Quintela, E.D.; de Noronha, N.C., Jr. First record of epizootics in the ocola skipper, Panoquina ocola (Lepidopera: Hesperiidae), caused by Isaria tenuipes in flooded rice fields of entral Brazil. J. Appl. Microbiol. 2017, 122, 1020–1028. [Google Scholar] [CrossRef] [PubMed]
- Devi, P.G.; Thangavelu, R. Development of species specific SCAR based molecular marker for the detection of Pseudocercospora eumusae, the causal agent of eumusae leaf spot disease in banana. J. Plant Pathol. 2019, 101, 295–305. [Google Scholar] [CrossRef]
- Yang, Y.; Hu, J.; Chen, F.; Ding, D.; Zhou, C. Development of a SCAR marker-based diagnostic method for the detection of the citrus target spot pathogen Pseudofabraea citricarpa. Biomed. Res. Int. 2018, 3, 7128903. [Google Scholar] [CrossRef] [PubMed]
- Gao, L.; Yu, H.; Han, W.; Gao, F.; Liu, T.; Liu, B.; Kang, X.; Gao, J.; Chen, W. Development of a SCAR marker for molecular detection and diagnosis of Tilletia controversa Kühn, the causal fungus of wheat dwarf bunt. World J. Microbiol. Biotechnol. 2014, 30, 3185–3195. [Google Scholar] [CrossRef] [PubMed]
- Goettel, M.S.; Inglis, S.D. Fungi: Hyphomycetes. In Manual of Techniques in Insect Pathology; Lacey, L.A., Ed.; Academic Press: London, UK, 1997; pp. 213–248. [Google Scholar]
- Vos, P.; Hogers, R.; Bleeker, M.; Reijans, M.; van de Lee, T.; Hornes, M.; Frijters, A.; Pot, J.; Peleman, J.; Kuiper, M.; et al. AFLP: A new technique for DNA fingerprinting. Nucleic Acids Res. 1995, 23, 4407–4414. [Google Scholar] [CrossRef] [PubMed]
- Real, R.; Vargas, J.M. The probabilistic basis of Jaccard’s index of similarity. Syst Biol. 1996, 45, 380–385. [Google Scholar] [CrossRef]
- Legendre, P.; Legendre, L. Numerical Ecology; Elsevier: Amsterdam, The Netherlands, 1998. [Google Scholar]
- Lewontin, R.C. The apportionment of human diversity. Evol. Biol. 1972, 6, 381–398. [Google Scholar]
- Manly, B.F.J. Randomization, Bootstrap and Monte Carlo Methods in Biology; Chapman and Hall: New York, NY, USA, 1997. [Google Scholar]
- Rholf, F. NTSYS-pc Numerical Taxonomy and Multivariate Analysis System Versión 2.1 Manual; Applied Biostatistics: New York, NY, USA, 2000. [Google Scholar]
- Sambrook, J.; Fritsch, E.F.; Maniatis, T. Molecular Cloning: A Laboratory Manual; Cold Spring Harbor Laboratory Press: New York, NY, USA, 1989. [Google Scholar]
- Güssow, D.; Clackson, T. Direct clone characterization from plaques and colonies by the polymerase reaction. Nucleic Acids Res. 1989, 17, 400. [Google Scholar]
- Altschul, S.; Madden, T.; Shäffer, A.; Zhang, J.; Zhang, Z.; Miller, W.; Lipman, A. Gapped BLAST and PSI-BLAST: A new generation of protein database search programs. Nucleic Acids Res. 1997, 25, 3389–3402. [Google Scholar] [CrossRef]
- Bischoff, J.F.; Rehner, S.A.; Humber, R.A. A multilocus phylogeny of the Metarhizium anisopliae lineage. Mycologia 2009, 101, 512–530. [Google Scholar] [CrossRef] [PubMed]
- Kepler, R.M.; Humber, R.A.; Bischoff, J.F.; Rehner, S.A. Clarification of generic and species boundaries for Metarhizium and related fungi through multigene phylogenetics. Mycologia 2014, 106, 811–829. [Google Scholar] [CrossRef] [PubMed]
- Brancini, G.T.P.; Ferreira, M.E.S.; Rangel, D.E.N.; Braga, G.Ú.L. Combining transcriptomics and proteomics reveals potential post-transcriptional control of gene expression after light exposure in Metarhizium acridum. G3 Genes Genomes Genet. 2019, 9, 2951–2961. [Google Scholar] [CrossRef]
- Fernandes, Ã.K.K.; Keyser, C.A.; Chong, J.P.; Rangel, D.E.N.; Miller, M.P.; Roberts, D.W. Characterization of Metarhizium species and varieties based on molecular analysis, heat tolerance and cold activity. J. Appl. Microbiol. 2010, 108, 115–128. [Google Scholar] [CrossRef]
- Kamga, S.F.; Ndjomatchoua, F.T.; Guimapi, R.A.; Klingen, I.C.; Hjelkrem, A.-G.R.; Thunes, K.H.; Kakmeni, F.M. The effect of climate variability in the efficacy of the entomopathogenic fungus Metarhizium acridum against the desert locust Schistocerca gregaria. Sci. Rep. 2022, 12, 7535. [Google Scholar] [CrossRef] [PubMed]
- Guerrero-Guerra, C.; Reyes-Montes, M.R.; Toriello, C.; Hernández-Velázquez, V.; Santiago-López, I.; Mora-Palomino, L.; MarÍa Elena Calderón-Segura, M.E.; Docampo Fernández, S.; Calderón-Ezquerro, C. Study of the persistence and viability of Metarhizium acridum in Mexico’s agricultural area. Aerobiologia 2013, 29, 249–261. [Google Scholar] [CrossRef]
- Peng, G.; Wang, Z.; Yin, Y.; Zeng, D.; Xia, Y. Field trials of Metarhizium anisopliae var. acridum (Ascomycota: Hypocreales) against oriental migratory locusts, Locusta migratoria manilensis (Meyen) in Northern China. Crop Prot. 2008, 27, 1244–1250. [Google Scholar] [CrossRef]
- Zheng, K.; Cai, Y.; Chen, W.; Gao, Y.; Jin, J.; Wang, H.; Feng, S.; Lu, J. Development, Identification, and Application of a Germplasm Specific SCAR Marker for Dendrobium officinale Kimura et Migo. Front. Plant Sci. 2021, 12, 669458. [Google Scholar] [CrossRef]
- Kiran, U.; Khan, S.; Mirza, K.J.; Ram, M.; Abdin, M.Z. SCAR markers: A potential tool for authentication of herbal drugs. Fitoterapia 2010, 81, 969–976. [Google Scholar] [CrossRef] [PubMed]





| Isolates | |||
|---|---|---|---|
| CNRCB a Original Isolates Source Codes | UNAM b Monospore Cultures | ||
| México | |||
| MaPL5 | EH-483/8 | ||
| MaPL8 | EH-484/6 | ||
| MaPL13 | EH-486/7 | ||
| MaPL14 | EH-487/4 | ||
| MaPL15 | EH-488/7 | ||
| MaPL16 | EH-489/1 | ||
| MaPL18 | EH-490/1 | ||
| MaPL20 | EH-491/8 | ||
| MaPL22 | EH-493/1 | ||
| MaPL26 | EH-494/4 | ||
| MaPL29 | EH-497/7 | ||
| MaPL31 | EH-498/8 | ||
| MaPL37 | EH-499/10 | ||
| MaPL38 | EH-500/2 | ||
| MaPL40 | EH-502/8 | ||
| MaPL32 | EH-531/8 | ||
| Reference Strains | |||
| ARSEF c CSIRO d | Host | Country | Clade/Species |
| 1941 c | Nephotettix virescens (Homoptera) | Philippines | 1/M. album |
| 2948 c | Homoptera | Brasil | 2/M. flavoviride |
| FI-698 d | Lepidoptera | New Zealand | 3/M. novozealandicum |
| FI-72 d | Pemphigus treherni (Homoptera) | Britain | 4/M. pemphigi |
| 2037 c | Niliparvata lugens (Homoptera) | Philippines | 5/M. minus |
| 1184 c | Otiorhynchus sulcatus (Coleoptera) | France | 6/M. flavoviride |
| FI-987 d | Otiorhynchus cavroisi (Orthoptera) | Niger | 7/M. acridum |
| FI-985 d | Austracris guttulosa | Australia | 7/M. acridum |
| FI-147 d | Lepidiota consobrina (Coleoptera) | Australia | 8/M. lepidiotae |
| FI-1029 d | S. gregária (Orthoptera) | Eritrea | 9/M. anisopliae |
| 1914 c | Oryctes rhinoceros (Coleoptera) | Philippines | 10/M. majus |
| Primer | Sequence | Reference |
|---|---|---|
| OPF06 | 5′-GGGAATTCGG-3′ | Driver et al. [16] |
| OPF07 | 5′-CCGATATCCC-3′ | |
| OPF08 | 5′-GGGATATCGG-3′ | |
| OPF10 | 5′-GGAAGCTTGG-3′ | |
| OPF01 | 5′-GGTCGGAGAA-3′ | |
| OPF02 | 5′-TCGGACGTGA-3′ | |
| OPA01 | 5′-CAGGCCCTTC-3′ | Cobb and Clarkson [13] |
| OPA04 | 5′-AATCGGGCTG-3′ | |
| OPA05 | 5′-AGGGGTCTTG-3′ | |
| OPA08 | 5′-GTGACGTAGG-3′ | |
| OPA09 | 5′-GGGTAACGCC-3′ | |
| OPA10 | 5′-GTGATCGCAG-3′ | |
| OPA16 | 5′-AGCCAGCGAA-3′ | |
| OPA19 | 5′-CAAACGTCGG-3′ |
| SCAR | Primers | Sequence (5′-3′) |
|---|---|---|
| Ma-151OPA-04 | Ma-151OPA-04-a | TGGTCAGAGCTCACGTCCAC |
| Ma-151OPA-04-b | TGAAGACATTCAGAGGCCAGT | |
| Ma-160OPA-05 | Ma-160OPA-05-a | TGCGCCTAGGATGCTTGTTA |
| Ma-160OPA-05-b | GGCGACGCTCATATTCAACT |
Disclaimer/Publisher’s Note: The statements, opinions and data contained in all publications are solely those of the individual author(s) and contributor(s) and not of MDPI and/or the editor(s). MDPI and/or the editor(s) disclaim responsibility for any injury to people or property resulting from any ideas, methods, instructions or products referred to in the content. |
© 2024 by the authors. Licensee MDPI, Basel, Switzerland. This article is an open access article distributed under the terms and conditions of the Creative Commons Attribution (CC BY) license (https://creativecommons.org/licenses/by/4.0/).
Share and Cite
Toriello, C.; Duarte-Escalante, E.; Frías-De-León, M.G.; Brunner-Mendoza, C.; Navarro-Barranco, H.; Reyes-Montes, M.d.R. Development of SCAR Markers for Genetic Authentication of Metarhizium acridum. J. Fungi 2024, 10, 269. https://doi.org/10.3390/jof10040269
Toriello C, Duarte-Escalante E, Frías-De-León MG, Brunner-Mendoza C, Navarro-Barranco H, Reyes-Montes MdR. Development of SCAR Markers for Genetic Authentication of Metarhizium acridum. Journal of Fungi. 2024; 10(4):269. https://doi.org/10.3390/jof10040269
Chicago/Turabian StyleToriello, Conchita, Esperanza Duarte-Escalante, María Guadalupe Frías-De-León, Carolina Brunner-Mendoza, Hortensia Navarro-Barranco, and María del Rocío Reyes-Montes. 2024. "Development of SCAR Markers for Genetic Authentication of Metarhizium acridum" Journal of Fungi 10, no. 4: 269. https://doi.org/10.3390/jof10040269
APA StyleToriello, C., Duarte-Escalante, E., Frías-De-León, M. G., Brunner-Mendoza, C., Navarro-Barranco, H., & Reyes-Montes, M. d. R. (2024). Development of SCAR Markers for Genetic Authentication of Metarhizium acridum. Journal of Fungi, 10(4), 269. https://doi.org/10.3390/jof10040269

