“Never Trust to General Impressions, My Boy, but Concentrate Yourself upon Details”: An Unusual and Challenging Presentation of Pheochromocytoma
Abstract
1. Introduction
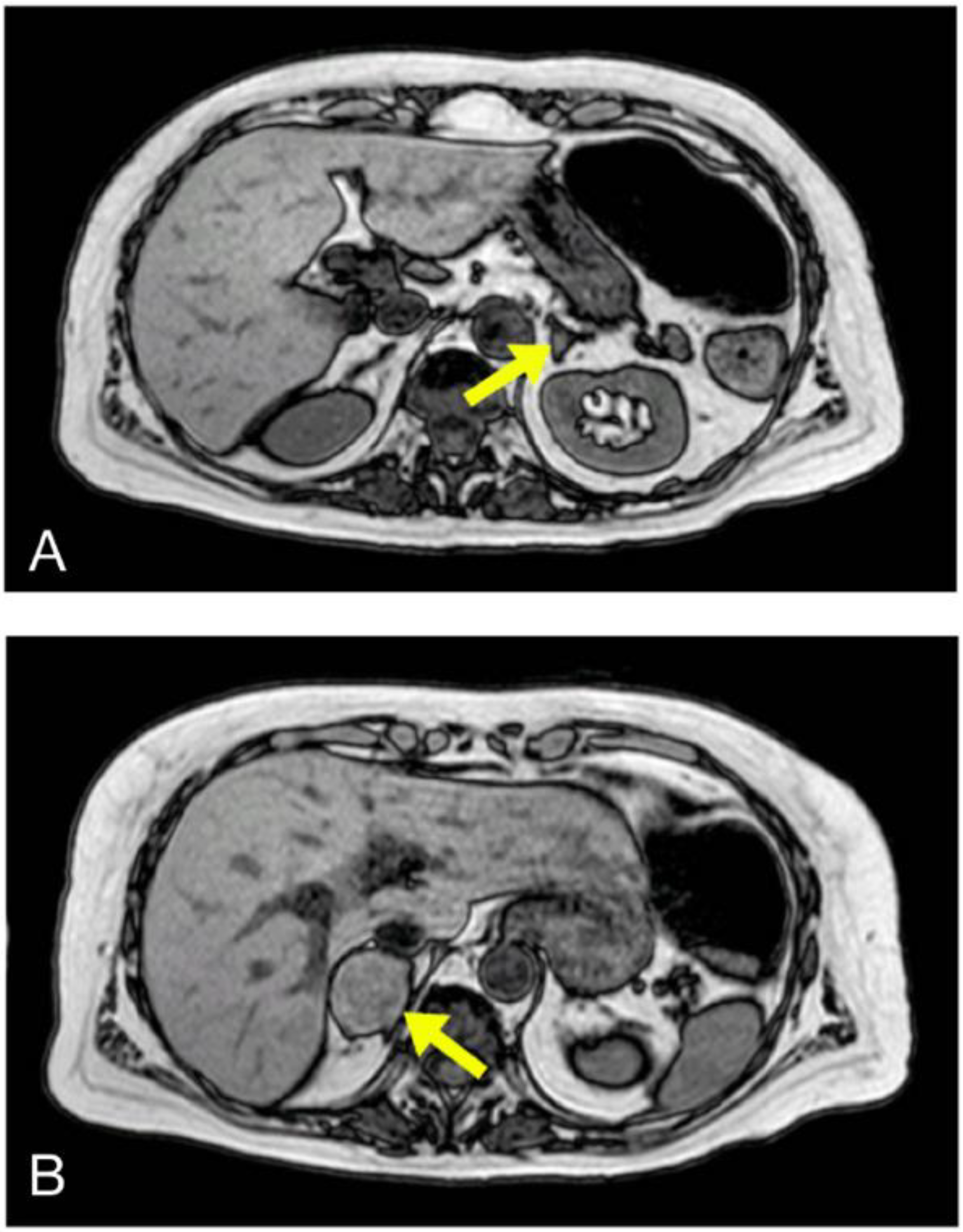
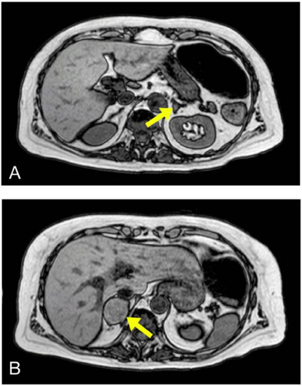
2. Case Report
3. Discussion
4. Conclusions
Author Contributions
Funding
Conflicts of Interest
References
- Lassnig, E.; Weber, T.; Auer, J.; Nömeyer, R.; Eber, B. Pheochromocytoma Crisis Presenting with Shock and Tako-Tsubo-Like Cardiomyopathy. Int. J. Cardiol. 2009, 134, e138–e140. [Google Scholar] [CrossRef] [PubMed]
- Steppan, J.; Shields, J.; Lebron, R. Pheochromocytoma Presenting as Acute Heart Failure Leading to Cardiogenic Shock and Multiorgan Failure. Case Rep. Med. 2011, 2011, 596354. [Google Scholar] [CrossRef] [PubMed]
- Di Palma, G.; Daniele, G.P.; Antonini-Canterin, F.; Piazza, R.; Nicolosi, G.L. Cardiogenic Shock with Basal Transient Left Ventricular Ballooning (Takotsubo-Like Cardiomyopathy) sa First Presentation of Pheochromocytoma. J. Cardiovasc. Med. 2010, 11, 507–510. [Google Scholar] [CrossRef] [PubMed]
- Lopes, A.; Sousa, C.; Correia, M.J.; Junior, C.; Rocha, J.; Pinto, F. Cardiomyopathy: First Clinical Manifestation of a Pheochromocytoma—Case Report. Rev. Port. Cardiol. 2010, 29, 1065–1069. [Google Scholar] [PubMed]
- Tanriver, Y.; Betz, M.J.; Nibbe, L.; Pfluger, T.; Beuschlein, F.; Strowski, M.Z. Sepsis and Cardiomyopathy as Rare Clinical Manifestations of Pheochromocytoma—Two Case Report Studies. Exp. Clin. Endocrinol. Diabetes 2010, 118, 747–753. [Google Scholar] [CrossRef] [PubMed]
- Brukamp, K.; Goral, S.; Townsend, R.R.; Silvestry, F.E.; Torigian, D.A. Rapidly Reversible Cardiogenic Shock as a Pheochromocytoma Presentation. Am. J. Med. 2007, 120, e1–e2. [Google Scholar] [CrossRef] [PubMed]
- Nef, H.M.; Mollmann, H.; Kostin, S.; Troidl, C.; Voss, S.; Weber, M.; Dill, T.; Rolf, A.; Brandt, R.; Hamm, C.W.; et al. Tako-Tsubo Cardiomyopathy: Intraindividual Structural Analysis in the Acute Phase and After Functional Recovery. Eur. Heart J. 2007, 28, 2456–2464. [Google Scholar] [CrossRef] [PubMed]
- Maisch, B.; Ruppert, V.; Pankuweit, S. Management of Fulminant Myocarditis: A Diagnosis in Search of Its Etiology but with Therapeutic Options. Curr. Heart Fail. Rep. 2014, 11, 166–177. [Google Scholar] [CrossRef] [PubMed]
- Ferner, R.E.; Huson, S.M.; Thomas, N.; Moss, C.; Willshaw, H.; Evans, D.G.; Upadhyaya, M.; Towers, R.; Gleeson, M.; Steiger, C.; et al. Guidelines for the Diagnosis and Management of Individuals with Neurofibromatosis 1. J. Med. Genet. 2007, 44, 81–88. [Google Scholar] [CrossRef] [PubMed]
- Bausch, B.; Borozdin, W.; Neumann, H.P. European-American Pheochromocytoma Study Group. Clinical and Genetic Characteristics of Patients with Neurofibro-Matosis Type 1 and Pheochromocytoma. N. Engl. J. Med. 2006, 354, 2729–2731. [Google Scholar] [CrossRef] [PubMed]


Publisher’s Note: MDPI stays neutral with regard to jurisdictional claims in published maps and institutional affiliations. |
© 2021 by the authors. Licensee MDPI, Basel, Switzerland. This article is an open access article distributed under the terms and conditions of the Creative Commons Attribution (CC BY) license (https://creativecommons.org/licenses/by/4.0/).
Share and Cite
Barbero, U.; Matta, M.; Caprino, M.P.; Maletta, F.; Giraudo, G.; Frea, S.; De Benedictis, M.; Maccario, M. “Never Trust to General Impressions, My Boy, but Concentrate Yourself upon Details”: An Unusual and Challenging Presentation of Pheochromocytoma. J. Cardiovasc. Dev. Dis. 2021, 8, 71. https://doi.org/10.3390/jcdd8060071
Barbero U, Matta M, Caprino MP, Maletta F, Giraudo G, Frea S, De Benedictis M, Maccario M. “Never Trust to General Impressions, My Boy, but Concentrate Yourself upon Details”: An Unusual and Challenging Presentation of Pheochromocytoma. Journal of Cardiovascular Development and Disease. 2021; 8(6):71. https://doi.org/10.3390/jcdd8060071
Chicago/Turabian StyleBarbero, Umberto, Mario Matta, Mirko Parasiliti Caprino, Francesca Maletta, Giuseppe Giraudo, Simone Frea, Michele De Benedictis, and Mauro Maccario. 2021. "“Never Trust to General Impressions, My Boy, but Concentrate Yourself upon Details”: An Unusual and Challenging Presentation of Pheochromocytoma" Journal of Cardiovascular Development and Disease 8, no. 6: 71. https://doi.org/10.3390/jcdd8060071
APA StyleBarbero, U., Matta, M., Caprino, M. P., Maletta, F., Giraudo, G., Frea, S., De Benedictis, M., & Maccario, M. (2021). “Never Trust to General Impressions, My Boy, but Concentrate Yourself upon Details”: An Unusual and Challenging Presentation of Pheochromocytoma. Journal of Cardiovascular Development and Disease, 8(6), 71. https://doi.org/10.3390/jcdd8060071

