Cine MRI-Derived Radiomics for the Detection of Functional Tricuspid Regurgitation in Pulmonary Hypertension: A Proof-of-Concept Study
Abstract
1. Introduction
2. Materials and Methods
2.1. Patient Population
2.2. Cine MRI Protocol
2.3. Cardiac Function and Mass Analysis for LV and RV
2.4. Echocardiography as a Part of “Standard of Care” and Definition of the Existence of FTR
2.5. Right Heart Catheterization (RHC)
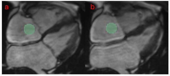
2.6. Radiomic Feature Extraction at Ventricular Systole
2.7. Statistical Analysis
3. Results
4. Discussion
5. Conclusions
Author Contributions
Funding
Institutional Review Board Statement
Informed Consent Statement
Data Availability Statement
Conflicts of Interest
References
- Hung, J. The pathogenesis of functional tricuspid regurgitation. Semin. Thorac. Cardiovasc. Surg. 2010, 22, 76–78. [Google Scholar] [CrossRef] [PubMed]
- Forado-Benatar, I.; Caravaca-Perez, P.; Rodriguez-Espinosa, D.; Guzman-Bofarull, J.; Cuadrado-Payan, E.; Moayedi, Y.; Broseta, J.J.; Farrero, M. Tricuspid regurgitation, right ventricular function, and renal congestion: A cardiorenal triangle. Front. Cardiovasc. Med. 2023, 10, 1255503. [Google Scholar] [CrossRef] [PubMed]
- Zoghbi, W.A.; Adams, D.; Bonow, R.O.; Enriquez-Sarano, M.; Foster, E.; Grayburn, P.A.; Hahn, R.T.; Han, Y.; Hung, J.; Lang, R.M.; et al. Recommendations for Noninvasive Evaluation of Native Valvular Regurgitation: A Report from the American Society of Echocardiography Developed in Collaboration with the Society for Cardiovascular Magnetic Resonance. J. Am. Soc. Echocardiogr. 2017, 30, 303–371. [Google Scholar] [CrossRef] [PubMed]
- Hahn, R.T.; Thomas, J.D.; Khalique, O.K.; Cavalcante, J.L.; Praz, F.; Zoghbi, W.A. Imaging Assessment of Tricuspid Regurgitation Severity. JACC Cardiovasc. Imaging 2019, 12, 469–490. [Google Scholar] [CrossRef] [PubMed]
- Grossmann, G.; Stein, M.; Kochs, M.; Hoher, M.; Koenig, W.; Hombach, V.; Giesler, M. Comparison of the proximal flow convergence method and the jet area method for the assessment of the severity of tricuspid regurgitation. Eur. Heart J. 1998, 19, 652–659. [Google Scholar] [CrossRef] [PubMed]
- Reddy, S.T.; Doyle, M.; Shah, M.; Vido, D.A.; Williams, R.B.; Yamrozik, J.; Biederman, R.W. Evaluation of cardiac valvular regurgitant lesions by cardiac MRI sequences: Comparison of a four valve semi-quantitative vs. quantitative approach. J. Cardiovasc. Magn. Reson. 2013, 15, P112. [Google Scholar] [CrossRef]
- Lin, K.; Sarnari, R.; Carr, J.C.; Markl, M. Cine MRI-Derived Radiomics Features of the Cardiac Blood Pool: Periodicity, Specificity, and Reproducibility. J. Magn. Reson. Imaging 2023, 58, 807–814. [Google Scholar] [CrossRef] [PubMed]
- Lin, K.; Sarnari, R.; Gordon, D.Z.; Markl, M.; Carr, J.C. Radiomics features of the cardiac blood pool to indicate hemodynamic changes in pulmonary hypertension (PH) due to heart failure with preserved ejection fraction (PH-HFpEF). Int. J. Cardiovasc. Imaging 2024, 40, 1501–1509. [Google Scholar] [CrossRef] [PubMed]
- Lin, K.; Sarnari, R.; Gordon, D.Z.; Markl, M.; Carr, J.C. Cine MRI-derived radiomics features indicate hemodynamic changes in the pulmonary artery. Int. J. Cardiovasc. Imaging 2024, 40, 287–294. [Google Scholar] [CrossRef] [PubMed]
- Simonneau, G.; Montani, D.; Celermajer, D.S.; Denton, C.P.; Gatzoulis, M.A.; Krowka, M.; Williams, P.G.; Souza, R. Haemodynamic definitions and updated clinical classification of pulmonary hypertension. Eur. Respir. J. 2019, 53, 1801913. [Google Scholar] [CrossRef] [PubMed]
- Vinnakota, K.C.; Bassingthwaighte, J.B. Myocardial density and composition: A basis for calculating intracellular metabolite concentrations. Am. J. Physiol. Heart Circ. Physiol. 2004, 286, H1742–H1749. [Google Scholar] [CrossRef] [PubMed]
- Lin, K.; Sarnari, R.; Pathrose, A.; Gordon, D.Z.; Markl, M.; Carr, J.C. Cine magnetic resonance imaging detects shorter cardiac rest periods in postcapillary pulmonary hypertension. Eur. Heart J. Cardiovasc. Imaging 2023, 24, 446–453. [Google Scholar] [CrossRef] [PubMed]
- Cassady, S.J.; Ramani, G.V. Right Heart Failure in Pulmonary Hypertension. Cardiol. Clin. 2020, 38, 243–255. [Google Scholar] [CrossRef] [PubMed]
- Gelfand, E.V.; Hughes, S.; Hauser, T.H.; Yeon, S.B.; Goepfert, L.; Kissinger, K.V.; Rofsky, N.M.; Manning, W.J. Severity of mitral and aortic regurgitation as assessed by cardiovascular magnetic resonance: Optimizing correlation with Doppler echocardiography. J. Cardiovasc. Magn. Reson. 2006, 8, 503–507. [Google Scholar] [CrossRef] [PubMed]
- Uretsky, S.; Gillam, L.; Lang, R.; Chaudhry, F.A.; Argulian, E.; Supariwala, A.; Gurram, S.; Jain, K.; Subero, M.; Jang, J.J.; et al. Discordance between echocardiography and MRI in the assessment of mitral regurgitation severity: A prospective multicenter trial. J. Am. Coll. Cardiol. 2015, 65, 1078–1088. [Google Scholar] [CrossRef] [PubMed]
- Driessen, M.M.P.; Schings, M.A.; Sieswerda, G.T.; Doevendans, P.A.; Hulzebos, E.H.; Post, M.C.; Snijder, R.J.; Westenberg, J.J.M.; van Dijk, A.P.J.; Meijboom, F.J.; et al. Tricuspid flow and regurgitation in congenital heart disease and pulmonary hypertension: Comparison of 4D flow cardiovascular magnetic resonance and echocardiography. J. Cardiovasc. Magn. Reson. 2018, 20, 5. [Google Scholar] [CrossRef] [PubMed]



| With FTR (n = 33) | Without FTR (n = 20) | p Values | |
|---|---|---|---|
| Age (years) | 60.5 ± 13.1 | 56. 6 ± 14.6 | 0.324 |
| Male (%) | 16 (49) | 7 (35) | 0.4 |
| Postcapillary PH (%) | 15 (42) | 11 (55) | 0.577 |
| Height (cm) | 179.4 ± 10.5 | 166.2 ± 7.2 | 0.128 |
| Weight (Kg) | 94.8 ± 25.1 | 87 ± 19.7 | 0.245 |
| BMI | 32.3 ± 7 | 31.5 ± 7 | 0.664 |
| LVEDV (mL) | 146.1 ± 58.4 | 150.8 ± 53.2 | 0.77 |
| LVESV (mL) | 64.8 ± 39.4 | 76.8 ± 50.7 | 0.349 |
| LVSV (mL) | 81.3 ± 28.8 | 74.1 ± 18.1 | 0.323 |
| LVCO (L/min) | 5.6 ± 2 | 5.1 ± 1.4 | 0.375 |
| LVEF (%) | 57.5 ± 11.2 | 53 ± 14.7 | 0.225 |
| LVM (g) | 104.5 ± 25.7 | 101.7 ± 37.8 | 0.758 |
| LVCI (L/min/m2) | 2.7 ± 0.8 | 2.6 ± 0.7 | 0.654 |
| RVEDV (mL) | 179 ± 55.7 | 141.8 ± 28.5 | 0.008 * |
| RVESV (mL) | 100.5 ± 45.8 | 71.8 ± 25 | 0.013 * |
| RVSV (mL) | 78.4 ± 25.8 | 70 ± 20 | 0.22 |
| RVCO (L/min) | 5.4 ± 1.8 | 4.8 ± 1.3 | 0.237 |
| RVEF (%) | 45.6 ± 12.4 | 49.9 ± 11.4 | 0.218 |
| RVCI (L/min/m2) | 2.6 ± 0.8 | 2.4 ± 0.6 | 0.405 |
| sPAP (mmHg) | 62.8 ± 18.6 | 54.6 ± 18.1 | 0.122 |
| dPAP (mmHg) | 25.2 ± 9 | 22.8 ± 7.5 | 0.31 |
| mPAP (mmHg) | 38.7 ± 10.1 | 34.1 ± 10.5 | 0.119 |
| PCWP (mmHg) | 15.4 ± 6.4 | 16.9 ± 6 | 0.395 |
| RAP (mmHg) | 10.4 ± 4.1 | 9 ± 4.6 | 0.222 |
| RVP (mmHg) | 11.8 ± 4.3 | 12.6 ± 4.6 | 0.522 |
| PVR (wood unit) | 5.2 ± 2.9 | 3.8 ± 2.8 | 0.089 |
Disclaimer/Publisher’s Note: The statements, opinions and data contained in all publications are solely those of the individual author(s) and contributor(s) and not of MDPI and/or the editor(s). MDPI and/or the editor(s) disclaim responsibility for any injury to people or property resulting from any ideas, methods, instructions or products referred to in the content. |
© 2025 by the authors. Licensee MDPI, Basel, Switzerland. This article is an open access article distributed under the terms and conditions of the Creative Commons Attribution (CC BY) license (https://creativecommons.org/licenses/by/4.0/).
Share and Cite
Lin, K.; Sarnari, R.; Gordon, D.Z.; Markl, M.; Carr, J.C. Cine MRI-Derived Radiomics for the Detection of Functional Tricuspid Regurgitation in Pulmonary Hypertension: A Proof-of-Concept Study. J. Cardiovasc. Dev. Dis. 2025, 12, 353. https://doi.org/10.3390/jcdd12090353
Lin K, Sarnari R, Gordon DZ, Markl M, Carr JC. Cine MRI-Derived Radiomics for the Detection of Functional Tricuspid Regurgitation in Pulmonary Hypertension: A Proof-of-Concept Study. Journal of Cardiovascular Development and Disease. 2025; 12(9):353. https://doi.org/10.3390/jcdd12090353
Chicago/Turabian StyleLin, Kai, Roberto Sarnari, Daniel Z. Gordon, Michael Markl, and James C. Carr. 2025. "Cine MRI-Derived Radiomics for the Detection of Functional Tricuspid Regurgitation in Pulmonary Hypertension: A Proof-of-Concept Study" Journal of Cardiovascular Development and Disease 12, no. 9: 353. https://doi.org/10.3390/jcdd12090353
APA StyleLin, K., Sarnari, R., Gordon, D. Z., Markl, M., & Carr, J. C. (2025). Cine MRI-Derived Radiomics for the Detection of Functional Tricuspid Regurgitation in Pulmonary Hypertension: A Proof-of-Concept Study. Journal of Cardiovascular Development and Disease, 12(9), 353. https://doi.org/10.3390/jcdd12090353

