Retinal Imaging as a Window into Cardiovascular Health: Towards Harnessing Retinal Analytics for Precision Cardiovascular Medicine
Abstract
1. Introduction
2. Retinal Imaging Modalities
2.1. Color Fundus Photography
2.2. Optical Coherence Tomography
2.3. Optical Coherence Tomography Angiography
3. Retinal Diseases Associated with Cardiovascular Risk
3.1. Retinal Artery Occlusion
3.2. Retinal Vein Occlusion
4. Overview of the Known Retinal Vasculature Biomarkers
4.1. Color Fundus Photography Metrics
4.1.1. Arteriovenous Nicking
4.1.2. Retinal Vessel Caliber, Arteriovenous Ratio, Central Retinal Arteriole Equivalent, and Central Retinal Venular Equivalent
4.1.3. Retinal Arteriolar and Venule Diameter
4.2. Color Fundus Photography Abnormalities
4.2.1. Retinal Hemorrhage
4.2.2. Cotton Wool Spots
4.3. Optical Coherence Tomography Metrics
4.3.1. Retinal Nerve Fiber Layer Thickness
4.3.2. Subfoveal Choroidal Thickness
4.4. Optical Coherence Tomography Abnormalities
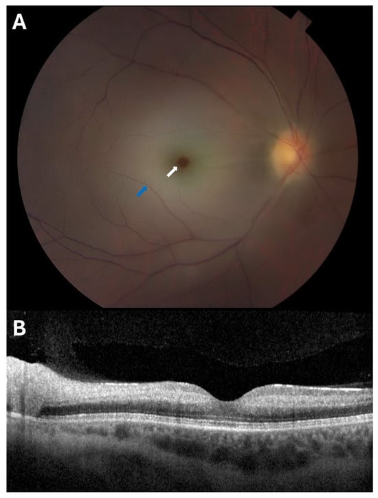
4.4.1. Paracentral Acute Middle Maculopathy Lesions
4.4.2. Retinal Ischemic Perivascular Lesions
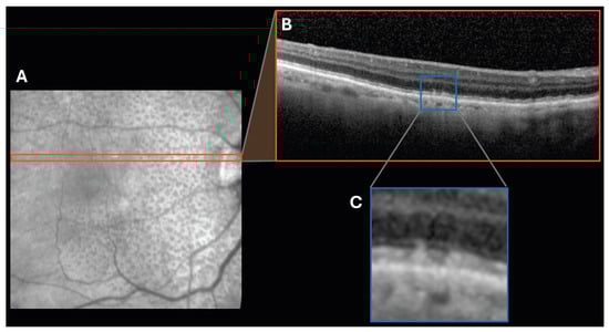
4.4.3. Subretinal Drusenoid Deposits
4.5. Optical Coherence Tomography Angiography Metrics
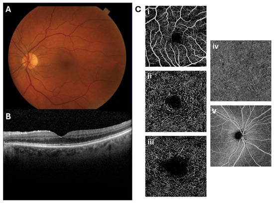
4.5.1. Foveal Avascular Zone
4.5.2. Vessel Area Density
4.5.3. Vessel Length Density
5. Association of Retinal Biomarkers with Cardiovascular Diseases
5.1. Hypertension
5.2. Coronary Artery Disease and Atherosclerotic Disease
5.3. Valvular Heart Disease
5.4. Cerebral Infarctions
5.5. Atrial Fibrillation
5.6. Carotid Artery Disease
5.7. Heart Failure
5.8. CVD Risk Scores and Generalized Risk Factors
6. Artificial Intelligence in Retinal Imaging for CVD Risk Prediction
Role of AI in Analyzing Retinal Images
7. Clinical Implications of Retinal Imaging in Cardiovascular Disease
7.1. Integration into Routine CVD Risk Assessment
7.1.1. Feasibility of Retinal Imaging in Clinical Practice
7.1.2. Accessibility in Lower Resource Settings
7.2. Personalized Medicine and Patient Management
Stratification of CVD Risk and Assessing Cardiovascular Status to Monitor Disease Evolution
8. Challenges and Limitations
8.1. Technical and Methodological Challenges
8.1.1. Variability in Imaging Techniques
8.1.2. Interpretation and Training
8.2. AI-Related Challenges and Ethical Limitations
9. Conclusions
Author Contributions
Funding
Institutional Review Board Statement
Informed Consent Statement
Data Availability Statement
Acknowledgments
Conflicts of Interest
Abbreviations
| ADHF | Acute Decompensated Heart Failure |
| AHA | American Heart Association |
| AI | Artificial Intelligence |
| AMD | Age-related Macular Degeneration |
| AMN | Acute Macular Neuroretinopathy |
| AR | Aortic Regurgitation |
| ASCVD | Atherosclerotic Cardiovascular Disease |
| AV | Arteriovenous |
| BM | Bruch’s Membrane |
| BMI | Body Mass Index |
| BRAO | Branch Retinal Artery Occlusion |
| BRVO | Branch Retinal Vein Occlusion |
| CAC | Coronary Artery Calcium |
| CAD | Coronary Artery Disease |
| CAS | Carotid Artery Stenosis |
| CC | Choriocapillaris |
| CFP | Color Fundus Imaging |
| CHF | Congestive Heart Failure |
| CNN | Convolutional Neural Network |
| CRAE | Central Retinal Arteriolar Equivalent |
| CRAO | Central Retinal Artery Occlusion |
| CRVE | Central Retinal Venous Equivalent |
| CRVO | Central Retinal Vein Occlusion |
| CVD | Cardiovascular Disease |
| CWS | Cotton Wool Spot |
| DCP | Deep Capillary Plexus |
| DL | Deep Learning |
| DR | Diabetic Retinopathy |
| EF | Ejection Fraction |
| FA | Fluorescein Angiography |
| FAZ | Foveal Avascular Zone |
| GRACE | Global Registry of Acute Coronary Events |
| HF | Heart Failure |
| HFpEF | Heart Failure with Preserved Ejection Fraction |
| HFrEF | Heart Failure with Reduced Ejection Fraction |
| ICA | Internal Carotid Artery |
| ICGA | Indocyanine Green Angiography |
| ICP | Intermediate Capillary Plexus |
| INL | Inner Nuclear Layer |
| IV | Intravenous |
| LCX | Left Circumflex Coronary Artery |
| LMCA | Left Main Coronary Artery |
| MI | Myocardial Infarction |
| MRI | Magnetic Resonance Imaging |
| OCT | Optical Coherence Tomography |
| OCTA | Optical Coherence Tomography Angiography |
| ONL | Outer Nuclear Layer |
| OPL | Outer Plexiform Layer |
| PAMM | Paracentral Acute Middle Maculopathy |
| PET/CT | Positron Emission Tomography/Computed Tomography |
| PREVENT | Predicting Risk of Cardiovascular Disease Events |
| RAO | Retinal Artery Occlusion |
| RCA | Right Coronary Artery |
| REACH | Reduction of Atherothrombosis for Continued Health |
| RIPL | Retinal Ischemic Perivascular Lesion |
| RNFL | Retinal Nerve Fiber Layer |
| RPCP | Radical Peripapillary Capillary Plexus |
| RPE | Retinal Pigment Epithelium |
| RVA | Retinal Vessel Analysis |
| RVO | Retinal Vein Occlusion |
| SCP | Superficial Capillary Plexus |
| SD-OCT | Spectral Domain-Optical Coherence Tomography |
| SDD | Subretinal Drusenoid Deposit |
| SFCT | Sub-foveal Choroidal Thickness |
| SRVA | Static Retinal Vessel Analysis |
| SS-OCT | Swept Source-Optical Coherence Tomography |
| TIMI | Thrombolysis of Myocardial Infarction |
| VAD | Vessel Area Density |
| VLD | Vessel Length Density |
References
- Tajeu, G.S.; Ruiz-Negrón, N.; Moran, A.E.; Zhang, Z.; Kolm, P.; Weintraub, W.S.; Bress, A.P.; Bellows, B.K. Cost of Cardiovascular Disease Event and Cardiovascular Disease Treatment-Related Complication Hospitalizations in the United States. Circ. Cardiovasc. Qual. Outcomes 2024, 17, e009999. [Google Scholar] [CrossRef] [PubMed]
- Andersson, C.; Nayor, M.; Tsao, C.W.; Levy, D.; Vasan, R.S. Framingham Heart Study: JACC Focus Seminar, 1/8. J. Am. Coll. Cardiol. 2021, 77, 2680–2692. [Google Scholar] [CrossRef] [PubMed]
- Ghazi, L.; Oparil, S. Impact of the SPRINT Trial on Hypertension Management. Annu. Rev. Med. 2018, 69, 81–95. [Google Scholar] [CrossRef] [PubMed]
- Chou, R.; Cantor, A.; Dana, T.; Wagner, J.; Ahmed, A.Y.; Fu, R.; Ferencik, M. Statin Use for the Primary Prevention of Cardiovascular Disease in Adults: Updated Evidence Report and Systematic Review for the US Preventive Services Task Force. JAMA 2022, 328, 754–771. [Google Scholar] [CrossRef]
- Marx, N.; Husain, M.; Lehrke, M.; Verma, S.; Sattar, N. GLP-1 Receptor Agonists for the Reduction of Atherosclerotic Cardiovascular Risk in Patients with Type 2 Diabetes. Circulation 2022, 146, 1882–1894. [Google Scholar] [CrossRef]
- Khan, S.S.; Matsushita, K.; Sang, Y.; Ballew, S.H.; Grams, M.E.; Surapaneni, A.; Blaha, M.J.; Carson, A.P.; Chang, A.R.; Ciemins, E.; et al. Development and Validation of the American Heart Association’s PREVENT Equations. Circulation 2024, 149, 430–449. [Google Scholar] [CrossRef]
- Khan, S.S.; Coresh, J.; Pencina, M.J.; Ndumele, C.E.; Rangaswami, J.; Chow, S.L.; Palaniappan, L.P.; Sperling, L.S.; Virani, S.S.; Ho, J.E.; et al. Novel Prediction Equations for Absolute Risk Assessment of Total Cardiovascular Disease Incorporating Cardiovascular-Kidney-Metabolic Health: A Scientific Statement From the American Heart Association. Circulation 2023, 148, 1982–2004. [Google Scholar] [CrossRef]
- Øygarden, H. Carotid Intima-Media Thickness and Prediction of Cardiovascular Disease. J. Am. Heart Assoc. 2017, 6, e005313. [Google Scholar] [CrossRef]
- Wagner, S.K.; Fu, D.J.; Faes, L.; Liu, X.; Huemer, J.; Khalid, H.; Ferraz, D.; Korot, E.; Kelly, C.; Balaskas, K.; et al. Insights into Systemic Disease through Retinal Imaging-Based Oculomics. Transl. Vis. Sci. Technol. 2020, 9, 6. [Google Scholar] [CrossRef]
- Colcombe, J.; Mundae, R.; Kaiser, A.; Bijon, J.; Modi, Y. Retinal Findings and Cardiovascular Risk: Prognostic Conditions, Novel Biomarkers, and Emerging Image Analysis Techniques. J. Pers. Med. 2023, 13, 1564. [Google Scholar] [CrossRef]
- Abtahi, S.-H.; Nourinia, R.; Mazloumi, M.; Nouri, H.; Arevalo, J.F.; Ahmadieh, H. Retinal ischemic cascade: New insights into the pathophysiology and imaging findings. Surv. Ophthalmol. 2023, 68, 380–387. [Google Scholar] [CrossRef] [PubMed]
- Salz, D.A.; Witkin, A.J. Imaging in diabetic retinopathy. Middle East. Afr. J. Ophthalmol. 2015, 22, 145–150. [Google Scholar] [CrossRef] [PubMed]
- Ebrahimi, B.; Le, D.; Abtahi, M.; Dadzie, A.K.; Rossi, A.; Rahimi, M.; Son, T.; Ostmo, S.; Campbell, J.P.; Paul Chan, R.V.; et al. Assessing spectral effectiveness in color fundus photography for deep learning classification of retinopathy of prematurity. J. Biomed. Opt. 2024, 29, 076001. [Google Scholar] [CrossRef] [PubMed]
- Elsharkawy, M.; Elrazzaz, M.; Sharafeldeen, A.; Alhalabi, M.; Khalifa, F.; Soliman, A.; Elnakib, A.; Mahmoud, A.; Ghazal, M.; El-Daydamony, E.; et al. The Role of Different Retinal Imaging Modalities in Predicting Progression of Diabetic Retinopathy: A Survey. Sensors 2022, 22, 3490. [Google Scholar] [CrossRef]
- Le, P.H.; Patel, B.C. Optical Coherence Tomography Angiography. In StatPearls; StatPearls Publishing: Treasure Island, FL, USA, 2024. [Google Scholar]
- Hayreh, S.S.; Zimmerman, M.B. Central retinal artery occlusion: Visual outcome. Am. J. Ophthalmol. 2005, 140, 376–391. [Google Scholar] [CrossRef]
- Mac Grory, B.; Schrag, M.; Biousse, V.; Furie, K.L.; Gerhard-Herman, M.; Lavin, P.J.; Sobrin, L.; Tjoumakaris, S.I.; Weyand, C.M.; Yaghi, S. Management of Central Retinal Artery Occlusion: A Scientific Statement From the American Heart Association. Stroke 2021, 52, e282–e294. [Google Scholar] [CrossRef]
- Lavin, P.; Patrylo, M.; Hollar, M.; Espaillat, K.B.; Kirshner, H.; Schrag, M. Stroke Risk and Risk Factors in Patients with Central Retinal Artery Occlusion. Am. J. Ophthalmol. 2018, 196, 96–100. [Google Scholar] [CrossRef]
- Callizo, J.; Feltgen, N.; Pantenburg, S.; Wolf, A.; Neubauer, A.S.; Jurklies, B.; Wachter, R.; Schmoor, C.; Schumacher, M.; Junker, B.; et al. Cardiovascular Risk Factors in Central Retinal Artery Occlusion: Results of a Prospective and Standardized Medical Examination. Ophthalmology 2015, 122, 1881–1888. [Google Scholar] [CrossRef]
- Kewcharoen, J.; Tom, E.S.; Wiboonchutikula, C.; Trongtorsak, A.; Wittayalikit, C.; Vutthikraivit, W.; Prasitlumkum, N.; Rattanawong, P. Prevalence of Atrial Fibrillation in Patients with Retinal Vessel Occlusion and Its Association: A Systematic Review and Meta-Analysis. Curr. Eye Res. 2019, 44, 1337–1344. [Google Scholar] [CrossRef]
- Roskal-Wałek, J.; Wałek, P.; Biskup, M.; Odrobina, D.; Mackiewicz, J.; Głuszek, S.; Wożakowska-Kapłon, B. Central and Branch Retinal Artery Occlusion-Do They Harbor the Same Risk of Further Ischemic Events? J. Clin. Med. 2021, 10, 3093. [Google Scholar] [CrossRef]
- Mir, T.A.; Arham, A.Z.; Fang, W.; Alqahtani, F.; Alkhouli, M.; Gallo, J.; Hinkle, D.M. Acute Vascular Ischemic Events in Patients with Central Retinal Artery Occlusion in the United States: A Nationwide Study 2003–2014. Am. J. Ophthalmol. 2019, 200, 179–186. [Google Scholar] [CrossRef] [PubMed]
- Bradley, S.M.; Borgerding, J.A.; Wood, G.B.; Maynard, C.; Fihn, S.D. Incidence, Risk Factors, and Outcomes Associated with In-Hospital Acute Myocardial Infarction. JAMA Netw. Open 2019, 2, e187348. [Google Scholar] [CrossRef] [PubMed]
- Mac Grory, B.; Landman, S.R.; Ziegler, P.D.; Boisvert, C.J.; Flood, S.P.; Stretz, C.; Madsen, T.E.; Reznik, M.E.; Cutting, S.; Moore, E.E.; et al. Detection of Atrial Fibrillation After Central Retinal Artery Occlusion. Stroke 2021, 52, 2773–2781. [Google Scholar] [CrossRef]
- Risk factors for central retinal vein occlusion. The Eye Disease Case-Control Study Group. Arch. Ophthalmol. 1996, 114, 545–554. [Google Scholar]
- Frederiksen, K.H.; Stokholm, L.; Frederiksen, P.H.; Jørgensen, C.M.; Möller, S.; Kawasaki, R.; Peto, T.; Grauslund, J. Cardiovascular morbidity and all-cause mortality in patients with retinal vein occlusion: A Danish nationwide cohort study. Br. J. Ophthalmol. 2023, 107, 1324–1330. [Google Scholar] [CrossRef]
- Chen, Y.Y.; Sheu, S.J.; Hu, H.Y.; Chu, D.; Chou, P. Association between retinal vein occlusion and an increased risk of acute myocardial infarction: A nationwide population-based follow-up study. PLoS ONE 2017, 12, e0184016. [Google Scholar] [CrossRef]
- Wu, C.Y.; Riangwiwat, T.; Limpruttidham, N.; Rattanawong, P.; Rosen, R.B.; Deobhakta, A. Association of Retinal Vein Occlusion with Cardiovascular Events and Mortality: A Systematic Review and Meta-analysis. Retina 2019, 39, 1635–1645. [Google Scholar] [CrossRef]
- Bakhoum, C.Y.; Madala, S.; Long, C.K.; Adabifirouzjaei, F.; Freeman, W.R.; Goldbaum, M.H.; DeMaria, A.N.; Bakhoum, M.F. Retinal vein occlusion is associated with stroke independent of underlying cardiovascular disease. Eye 2023, 37, 764–767. [Google Scholar] [CrossRef]
- Yoo, J.; Shin, J.Y.; Jeon, J.; Kim, J. Impact of statin treatment on cardiovascular events in patients with retinal vein occlusion: A nested case-control study in Korea. Epidemiol. Health 2023, 45, e2023035. [Google Scholar] [CrossRef]
- Allon, R.; Aronov, M.; Belkin, M.; Maor, E.; Shechter, M.; Fabian, I.D. Retinal Microvascular Signs as Screening and Prognostic Factors for Cardiac Disease: A Systematic Review of Current Evidence. Am. J. Med. 2021, 134, 36–47.e7. [Google Scholar] [CrossRef]
- Monteiro-Henriques, I.; Rocha-Sousa, A.; Barbosa-Breda, J. Optical coherence tomography angiography changes in cardiovascular systemic diseases and risk factors: A Review. Acta Ophthalmol. 2022, 100, e1–e15. [Google Scholar] [CrossRef] [PubMed]
- Sun, C.; Ladores, C.; Hong, J.; Nguyen, D.Q.; Chua, J.; Ting, D.; Schmetterer, L.; Wong, T.Y.; Cheng, C.Y.; Tan, A.C.S. Systemic hypertension associated retinal microvascular changes can be detected with optical coherence tomography angiography. Sci. Rep. 2020, 10, 9580. [Google Scholar] [CrossRef] [PubMed]
- Peng, Q.; Hu, Y.; Huang, M.; Wu, Y.; Zhong, P.; Dong, X.; Wu, Q.; Liu, B.; Li, C.; Xie, J.; et al. Retinal Neurovascular Impairment in Patients with Essential Hypertension: An Optical Coherence Tomography Angiography Study. Investig. Ophthalmol. Vis. Sci. 2020, 61, 42. [Google Scholar] [CrossRef] [PubMed]
- Hanssen, H.; Streese, L.; Vilser, W. Retinal vessel diameters and function in cardiovascular risk and disease. Prog. Retin. Eye Res. 2022, 91, 101095. [Google Scholar] [CrossRef]
- Kanukollu, V.M.; Ahmad, S.S. Retinal Hemorrhage. In StatPearls; StatPearls Publishing: Treasure Island, FL, USA, 2024. [Google Scholar]
- Gerstenblith, A.T.; Rabinowitz, M.P. The Wills Eye Manual: Office and Emergency Room Diagnosis and Treatment of Eye Disease; Wolters Kluwer Health: Philadelphia, PA, USA, 2012. [Google Scholar]
- Gomez, M.L.; Mojana, F.; Bartsch, D.U.; Freeman, W.R. Imaging of long-term retinal damage after resolved cotton wool spots. Ophthalmology 2009, 116, 2407–2414. [Google Scholar] [CrossRef]
- Schuman, J.S.; Hee, M.R.; Puliafito, C.A.; Wong, C.; Pedut-Kloizman, T.; Lin, C.P.; Hertzmark, E.; Izatt, J.A.; Swanson, E.A.; Fujimoto, J.G. Quantification of nerve fiber layer thickness in normal and glaucomatous eyes using optical coherence tomography. Arch. Ophthalmol. 1995, 113, 586–596. [Google Scholar] [CrossRef]
- Schuman, J.S.; Pedut-Kloizman, T.; Hertzmark, E.; Hee, M.R.; Wilkins, J.R.; Coker, J.G.; Puliafito, C.A.; Fujimoto, J.G.; Swanson, E.A. Reproducibility of nerve fiber layer thickness measurements using optical coherence tomography. Ophthalmology 1996, 103, 1889–1898. [Google Scholar] [CrossRef]
- Sommer, A.; Katz, J.; Quigley, H.A.; Miller, N.R.; Robin, A.L.; Richter, R.C.; Witt, K.A. Clinically detectable nerve fiber atrophy precedes the onset of glaucomatous field loss. Arch. Ophthalmol. 1991, 109, 77–83. [Google Scholar] [CrossRef]
- Quigley, H.A.; Addicks, E.M.; Green, W.R. Optic nerve damage in human glaucoma. III. Quantitative correlation of nerve fiber loss and visual field defect in glaucoma, ischemic neuropathy, papilledema, and toxic neuropathy. Arch. Ophthalmol. 1982, 100, 135–146. [Google Scholar] [CrossRef]
- Quigley, H.A.; Dunkelberger, G.R.; Green, W.R. Retinal ganglion cell atrophy correlated with automated perimetry in human eyes with glaucoma. Am. J. Ophthalmol. 1989, 107, 453–464. [Google Scholar] [CrossRef]
- Quigley, H.A.; Enger, C.; Katz, J.; Sommer, A.; Scott, R.; Gilbert, D. Risk factors for the development of glaucomatous visual field loss in ocular hypertension. Arch. Ophthalmol. 1994, 112, 644–649. [Google Scholar] [CrossRef] [PubMed]
- Sommer, A.; Miller, N.R.; Pollack, I.; Maumenee, A.E.; George, T. The nerve fiber layer in the diagnosis of glaucoma. Arch. Ophthalmol. 1977, 95, 2149–2156. [Google Scholar] [CrossRef] [PubMed]
- Airaksinen, P.J.; Alanko, H.I. Effect of retinal nerve fibre loss on the optic nerve head configuration in early glaucoma. Graefes Arch. Clin. Exp. Ophthalmol. 1983, 220, 193–196. [Google Scholar] [CrossRef] [PubMed]
- Kim, J.S.; Ishikawa, H.; Gabriele, M.L.; Wollstein, G.; Bilonick, R.A.; Kagemann, L.; Fujimoto, J.G.; Schuman, J.S. Retinal nerve fiber layer thickness measurement comparability between time domain optical coherence tomography (OCT) and spectral domain OCT. Investig. Ophthalmol. Vis. Sci. 2010, 51, 896–902. [Google Scholar] [CrossRef]
- Ocansey, S.; Abu, E.K.; Owusu-Ansah, A.; Mensah, S.; Oduro-Boateng, J.; Kojo, R.A.; Kyei, S.; Boadi-Kusi, S.B.; Amoah-Smith, O.; Morny, E.K.A.; et al. Normative Values of Retinal Nerve Fibre Layer Thickness and Optic Nerve Head Parameters and Their Association with Visual Function in an African Population. J. Ophthalmol. 2020, 2020, 7150673. [Google Scholar] [CrossRef]
- Pierro, L.; Gagliardi, M.; Iuliano, L.; Ambrosi, A.; Bandello, F. Retinal nerve fiber layer thickness reproducibility using seven different OCT instruments. Investig. Ophthalmol. Vis. Sci. 2012, 53, 5912–5920. [Google Scholar] [CrossRef]
- Gupta, P.; Sidhartha, E.; Girard, M.J.; Mari, J.M.; Wong, T.Y.; Cheng, C.Y. A simplified method to measure choroidal thickness using adaptive compensation in enhanced depth imaging optical coherence tomography. PLoS ONE 2014, 9, e96661. [Google Scholar] [CrossRef]
- Barteselli, G.; Chhablani, J.; El-Emam, S.; Wang, H.; Chuang, J.; Kozak, I.; Cheng, L.; Bartsch, D.U.; Freeman, W.R. Choroidal volume variations with age, axial length, and sex in healthy subjects: A three-dimensional analysis. Ophthalmology 2012, 119, 2572–2578. [Google Scholar] [CrossRef]
- Chhablani, J.; Barteselli, G.; Wang, H.; El-Emam, S.; Kozak, I.; Doede, A.L.; Bartsch, D.U.; Cheng, L.; Freeman, W.R. Repeatability and reproducibility of manual choroidal volume measurements using enhanced depth imaging optical coherence tomography. Investig. Ophthalmol. Vis. Sci. 2012, 53, 2274–2280. [Google Scholar] [CrossRef]
- Hirata, M.; Tsujikawa, A.; Matsumoto, A.; Hangai, M.; Ooto, S.; Yamashiro, K.; Akiba, M.; Yoshimura, N. Macular choroidal thickness and volume in normal subjects measured by swept-source optical coherence tomography. Investig. Ophthalmol. Vis. Sci. 2011, 52, 4971–4978. [Google Scholar] [CrossRef]
- Spaide, R.F.; Koizumi, H.; Pozzoni, M.C. Enhanced depth imaging spectral-domain optical coherence tomography. Am. J. Ophthalmol. 2008, 146, 496–500. [Google Scholar] [CrossRef] [PubMed]
- Hayreh, S.S. Segmental nature of the choroidal vasculature. Br. J. Ophthalmol. 1975, 59, 631–648. [Google Scholar] [CrossRef] [PubMed]
- Kubota, T.; Jonas, J.B.; Naumann, G.O. Decreased choroidal thickness in eyes with secondary angle closure glaucoma. An aetiological factor for deep retinal changes in glaucoma? Br. J. Ophthalmol. 1993, 77, 430–432. [Google Scholar] [CrossRef] [PubMed]
- Wei, W.B.; Xu, L.; Jonas, J.B.; Shao, L.; Du, K.F.; Wang, S.; Chen, C.X.; Xu, J.; Wang, Y.X.; Zhou, J.Q.; et al. Subfoveal choroidal thickness: The Beijing Eye Study. Ophthalmology 2013, 120, 175–180. [Google Scholar] [CrossRef]
- Fujiwara, T.; Imamura, Y.; Margolis, R.; Slakter, J.S.; Spaide, R.F. Enhanced depth imaging optical coherence tomography of the choroid in highly myopic eyes. Am. J. Ophthalmol. 2009, 148, 445–450. [Google Scholar] [CrossRef]
- Imamura, Y.; Fujiwara, T.; Margolis, R.; Spaide, R.F. Enhanced depth imaging optical coherence tomography of the choroid in central serous chorioretinopathy. Retina 2009, 29, 1469–1473. [Google Scholar] [CrossRef]
- Ikuno, Y.; Tano, Y. Retinal and choroidal biometry in highly myopic eyes with spectral-domain optical coherence tomography. Investig. Ophthalmol. Vis. Sci. 2009, 50, 3876–3880. [Google Scholar] [CrossRef]
- Grover, S.; Murthy, R.K.; Brar, V.S.; Chalam, K.V. Normative data for macular thickness by high-definition spectral-domain optical coherence tomography (spectralis). Am. J. Ophthalmol. 2009, 148, 266–271. [Google Scholar] [CrossRef]
- Ikuno, Y.; Kawaguchi, K.; Nouchi, T.; Yasuno, Y. Choroidal thickness in healthy Japanese subjects. Investig. Ophthalmol. Vis. Sci. 2010, 51, 2173–2176. [Google Scholar] [CrossRef]
- Mwanza, J.C.; Hochberg, J.T.; Banitt, M.R.; Feuer, W.J.; Budenz, D.L. Lack of association between glaucoma and macular choroidal thickness measured with enhanced depth-imaging optical coherence tomography. Investig. Ophthalmol. Vis. Sci. 2011, 52, 3430–3435. [Google Scholar] [CrossRef]
- Rahman, W.; Chen, F.K.; Yeoh, J.; Patel, P.; Tufail, A.; Da Cruz, L. Repeatability of manual subfoveal choroidal thickness measurements in healthy subjects using the technique of enhanced depth imaging optical coherence tomography. Investig. Ophthalmol. Vis. Sci. 2011, 52, 2267–2271. [Google Scholar] [CrossRef] [PubMed]
- Ikuno, Y.; Maruko, I.; Yasuno, Y.; Miura, M.; Sekiryu, T.; Nishida, K.; Iida, T. Reproducibility of retinal and choroidal thickness measurements in enhanced depth imaging and high-penetration optical coherence tomography. Investig. Ophthalmol. Vis. Sci. 2011, 52, 5536–5540. [Google Scholar] [CrossRef] [PubMed]
- Wood, A.; Binns, A.; Margrain, T.; Drexler, W.; Považay, B.; Esmaeelpour, M.; Sheen, N. Retinal and choroidal thickness in early age-related macular degeneration. Am. J. Ophthalmol. 2011, 152, 1030–1038. [Google Scholar] [CrossRef] [PubMed]
- Usui, S.; Ikuno, Y.; Miki, A.; Matsushita, K.; Yasuno, Y.; Nishida, K. Evaluation of the choroidal thickness using high-penetration optical coherence tomography with long wavelength in highly myopic normal-tension glaucoma. Am. J. Ophthalmol. 2012, 153, 10–16. [Google Scholar] [CrossRef]
- Branchini, L.; Regatieri, C.V.; Flores-Moreno, I.; Baumann, B.; Fujimoto, J.G.; Duker, J.S. Reproducibility of choroidal thickness measurements across three spectral domain optical coherence tomography systems. Ophthalmology 2012, 119, 119–123. [Google Scholar] [CrossRef]
- Zhao, P.Y.; Johnson, M.W.; McDonald, H.R.; Sarraf, D. Paracentral Acute Middle Maculopathy and the Ischemic Cascade: Toward Interventional Management. Am. J. Ophthalmol. 2022, 234, 15–19. [Google Scholar] [CrossRef]
- Sarraf, D.; Rahimy, E.; Fawzi, A.A.; Sohn, E.; Barbazetto, I.; Zacks, D.N.; Mittra, R.A.; Klancnik, J.M., Jr.; Mrejen, S.; Goldberg, N.R.; et al. Paracentral acute middle maculopathy: A new variant of acute macular neuroretinopathy associated with retinal capillary ischemia. JAMA Ophthalmol. 2013, 131, 1275–1287. [Google Scholar] [CrossRef]
- Scharf, J.; Freund, K.B.; Sadda, S.; Sarraf, D. Paracentral acute middle maculopathy and the organization of the retinal capillary plexuses. Prog. Retin. Eye Res. 2021, 81, 100884. [Google Scholar] [CrossRef]
- Madala, S.; Adabifirouzjaei, F.; Lando, L.; Yarmohammadi, A.; Long, C.P.; Bakhoum, C.Y.; Goldbaum, M.H.; Sarraf, D.; DeMaria, A.N.; Bakhoum, M.F. Retinal Ischemic Perivascular Lesions, a Biomarker of Cardiovascular Disease. Ophthalmol. Retin. 2022, 6, 865–867. [Google Scholar] [CrossRef]
- Long, C.P.; Chan, A.X.; Bakhoum, C.Y.; Toomey, C.B.; Madala, S.; Garg, A.K.; Freeman, W.R.; Goldbaum, M.H.; DeMaria, A.N.; Bakhoum, M.F. Prevalence of subclinical retinal ischemia in patients with cardiovascular disease—A hypothesis driven study. EClinicalMedicine 2021, 33, 100775. [Google Scholar] [CrossRef]
- Rein, D.B.; Wittenborn, J.S.; Burke-Conte, Z.; Gulia, R.; Robalik, T.; Ehrlich, J.R.; Lundeen, E.A.; Flaxman, A.D. Prevalence of Age-Related Macular Degeneration in the US in 2019. JAMA Ophthalmol. 2022, 140, 1202–1208. [Google Scholar] [CrossRef] [PubMed]
- Wightman, A.J.; Guymer, R.H. Reticular pseudodrusen: Current understanding. Clin. Exp. Optom. 2019, 102, 455–462. [Google Scholar] [CrossRef] [PubMed]
- Wu, Z.; Fletcher, E.L.; Kumar, H.; Greferath, U.; Guymer, R.H. Reticular pseudodrusen: A critical phenotype in age-related macular degeneration. Prog. Retin. Eye Res. 2022, 88, 101017. [Google Scholar] [CrossRef] [PubMed]
- Lally, D.R.; Baumal, C. Subretinal drusenoid deposits associated with complement-mediated IgA nephropathy. JAMA Ophthalmol. 2014, 132, 775–777. [Google Scholar] [CrossRef][Green Version]
- Aleman, T.S.; Garrity, S.T.; Brucker, A.J. Retinal structure in vitamin A deficiency as explored with multimodal imaging. Doc. Ophthalmol. 2013, 127, 239–243. [Google Scholar] [CrossRef]
- Hamel, C.P.; Meunier, I.; Arndt, C.; Ben Salah, S.; Lopez, S.; Bazalgette, C.; Bazalgette, C.; Zanlonghi, X.; Arnaud, B.; Defoort-Dellhemmes, S.; et al. Extensive macular atrophy with pseudodrusen-like appearance: A new clinical entity. Am. J. Ophthalmol. 2009, 147, 609–620. [Google Scholar] [CrossRef]
- Xue, C.C.; Li, C.; Hu, J.F.; Wei, C.C.; Wang, H.; Ahemaitijiang, K.; Zhang, Q.; Chen, D.N.; Zhang, C.; Li, F.; et al. Retinal vessel caliber and tortuosity and prediction of 5-year incidence of hypertension. J. Hypertens. 2023, 41, 830–837. [Google Scholar] [CrossRef]
- Seidelmann, S.B.; Claggett, B.; Bravo, P.E.; Gupta, A.; Farhad, H.; Klein, B.E.; Klein, R.; Di Carli, M.; Solomon, S.D. Retinal Vessel Calibers in Predicting Long-Term Cardiovascular Outcomes: The Atherosclerosis Risk in Communities Study. Circulation 2016, 134, 1328–1338. [Google Scholar] [CrossRef]
- Chew, S.K.; Xie, J.; Wang, J.J. Retinal arteriolar diameter and the prevalence and incidence of hypertension: A systematic review and meta-analysis of their association. Curr. Hypertens. Rep. 2012, 14, 144–151. [Google Scholar] [CrossRef]
- Klein, R.; Klein, B.E.; Moss, S.E.; Wang, Q. Hypertension and retinopathy, arteriolar narrowing, and arteriovenous nicking in a population. Arch. Ophthalmol. 1994, 112, 92–98. [Google Scholar] [CrossRef]
- Burnasheva, M.A.; Maltsev, D.S.; Kulikov, A.N.; Sherbakova, K.A.; Barsukov, A.V. Association of Chronic Paracentral Acute Middle Maculopathy Lesions with Hypertension. Ophthalmol. Retin. 2020, 4, 504–509. [Google Scholar] [CrossRef] [PubMed]
- Donati, S.; Maresca, A.M.; Cattaneo, J.; Grossi, A.; Mazzola, M.; Caprani, S.M.; Premoli, L.; Docchio, F.; Rizzoni, D.; Guasti, L.; et al. Optical coherence tomography angiography and arterial hypertension: A role in identifying subclinical microvascular damage? Eur. J. Ophthalmol. 2021, 31, 158–165. [Google Scholar] [CrossRef] [PubMed]
- Chua, J.; Chin, C.W.L.; Hong, J.; Chee, M.L.; Le, T.T.; Ting, D.S.W.; Wong, T.Y.; Schmetterer, L. Impact of hypertension on retinal capillary microvasculature using optical coherence tomographic angiography. J. Hypertens. 2019, 37, 572–580. [Google Scholar] [CrossRef] [PubMed]
- Chua, J.; Chin, C.W.L.; Tan, B.; Wong, S.H.; Devarajan, K.; Le, T.T.; Ang, M.; Wong, T.Y.; Schmetterer, L. Impact of systemic vascular risk factors on the choriocapillaris using optical coherence tomography angiography in patients with systemic hypertension. Sci. Rep. 2019, 9, 5819. [Google Scholar] [CrossRef]
- Lee, W.H.; Park, J.H.; Won, Y.; Lee, M.W.; Shin, Y.I.; Jo, Y.J.; Kim, J.Y. Retinal Microvascular Change in Hypertension as measured by Optical Coherence Tomography Angiography. Sci. Rep. 2019, 9, 156. [Google Scholar] [CrossRef]
- Lim, H.B.; Lee, M.W.; Park, J.H.; Kim, K.; Jo, Y.J.; Kim, J.Y. Changes in Ganglion Cell-Inner Plexiform Layer Thickness and Retinal Microvasculature in Hypertension: An Optical Coherence Tomography Angiography Study. Am. J. Ophthalmol. 2019, 199, 167–176. [Google Scholar] [CrossRef]
- Pascual-Prieto, J.; Burgos-Blasco, B.; Ávila Sánchez-Torija, M.; Fernández-Vigo, J.I.; Arriola-Villalobos, P.; Barbero Pedraz, M.A.; García-Feijoo, J.; Martínez-de-la-Casa, J.M. Utility of optical coherence tomography angiography in detecting vascular retinal damage caused by arterial hypertension. Eur. J. Ophthalmol. 2020, 30, 579–585. [Google Scholar] [CrossRef]
- Terheyden, J.H.; Wintergerst, M.W.M.; Pizarro, C.; Pfau, M.; Turski, G.N.; Holz, F.G.; Finger, R.P. Retinal and Choroidal Capillary Perfusion Are Reduced in Hypertensive Crisis Irrespective of Retinopathy. Transl. Vis. Sci. Technol. 2020, 9, 42. [Google Scholar] [CrossRef]
- Hua, D.; Xu, Y.; Zeng, X.; Yang, N.; Jiang, M.; Zhang, X.; Yang, J.; He, T.; Xing, Y. Use of optical coherence tomography angiography for assessment of microvascular changes in the macula and optic nerve head in hypertensive patients without hypertensive retinopathy. Microvasc. Res. 2020, 129, 103969. [Google Scholar] [CrossRef]
- Terelak-Borys, B.; Skonieczna, K.; Grabska-Liberek, I. Ocular ischemic syndrome—A systematic review. Med. Sci. Monit. 2012, 18, 38–144. [Google Scholar] [CrossRef]
- Bousquet, E.; Santina, A.; Au, A.; Somisetty, S.; Abraham, N.; Voichanski, S.; Estawro, R.; Fouad, Y.A.; Romero-Morales, V.; Bakhoum, M.F.; et al. Retinal Ischemic Perivascular Lesions Are Associated with Myocardial Infarction in Patients with Coronary Artery Disease. Am. J. Ophthalmol. 2024, 264, 224–228. [Google Scholar] [CrossRef] [PubMed]
- Cymerman, R.M.; Skolnick, A.H.; Cole, W.J.; Nabati, C.; Curcio, C.A.; Smith, R.T. Coronary Artery Disease and Reticular Macular Disease, a Subphenotype of Early Age-Related Macular Degeneration. Curr. Eye Res. 2016, 41, 1482–1488. [Google Scholar] [CrossRef] [PubMed]
- Wang, J.; Jiang, J.; Zhang, Y.; Qian, Y.W.; Zhang, J.F.; Wang, Z.L. Retinal and choroidal vascular changes in coronary heart disease: An optical coherence tomography angiography study. Biomed. Opt. Express 2019, 10, 1532–1544. [Google Scholar] [CrossRef] [PubMed]
- Ahmad, M.; Kaszubski, P.A.; Cobbs, L.; Reynolds, H.; Smith, R.T. Choroidal thickness in patients with coronary artery disease. PLoS ONE 2017, 12, e0175691. [Google Scholar] [CrossRef]
- Abu-Qamar, O.; Biery, D.W.; Mendonça, L.S.M.; Barrett, L.; Martell, L.; Freire, C.V.S.; Brown, J.M.; Divakaran, S.; Wilson, E.; Werner, A.; et al. Association between abnormal retinal perfusion indices by optical coherence tomography angiography and myocardial flow reserve by positron emission tomography/computed tomography. J. Nucl. Cardiol. 2024, 36, 101852. [Google Scholar] [CrossRef]
- Weinberg, R.L.; Sperry, B.W. A window into the microvasculature: Retinal vascularity and myocardial blood flow. J. Nucl. Cardiol. 2024, 36, 101879. [Google Scholar] [CrossRef]
- Aschauer, J.; Aschauer, S.; Pollreisz, A.; Datlinger, F.; Gatterer, C.; Mylonas, G.; Egner, B.; Hofer, D.; Steiner, I.; Hengstenberg, C.; et al. Identification of Subclinical Microvascular Biomarkers in Coronary Heart Disease in Retinal Imaging. Transl. Vis. Sci. Technol. 2021, 10, 24. [Google Scholar] [CrossRef]
- Matulevičiūtė, I.; Sidaraitė, A.; Tatarūnas, V.; Veikutienė, A.; Dobilienė, O.; Žaliūnienė, D. Retinal and Choroidal Thinning-A Predictor of Coronary Artery Occlusion? Diagnostics 2022, 12, 2016. [Google Scholar] [CrossRef]
- Arnould, L.; Guenancia, C.; Azemar, A.; Alan, G.; Pitois, S.; Bichat, F.; Zeller, M.; Gabrielle, P.H.; Bron, A.M.; Creuzot-Garcher, C.; et al. The EYE-MI Pilot Study: A Prospective Acute Coronary Syndrome Cohort Evaluated with Retinal Optical Coherence Tomography Angiography. Investig. Ophthalmol. Vis. Sci. 2018, 59, 4299–4306. [Google Scholar] [CrossRef]
- Sideri, A.M.; Kanakis, M.; Katsimpris, A.; Karamaounas, A.; Brouzas, D.; Petrou, P.; Papakonstaninou, E.; Droutsas, K.; Kandarakis, S.; Giannopoulos, G.; et al. Correlation Between Coronary and Retinal Microangiopathy in Patients with STEMI. Transl. Vis. Sci. Technol. 2023, 12, 8. [Google Scholar] [CrossRef]
- Fei, Y.; Jo, J.J.; Chen, S.; Ledesma-Gil, G.; Otero-Marquez, O.; Mordechaev, E.; Le, B.; Tong, Y.; Tai, K.; Lema, G.; et al. Quantifying cardiac dysfunction and valvular heart disease associated with subretinal drusenoid deposits in age-related macular degeneration. Eur. J. Ophthalmol. 2024, 34, 2038–2044. [Google Scholar] [CrossRef] [PubMed]
- Topaloglu, C.; Bilgin, S. Retinal Vascular Density Change in Patients with Aortic Valve Regurgitation. Cardiol. Res. 2023, 14, 309–314. [Google Scholar] [CrossRef] [PubMed]
- Maltsev, D.S.; Kulikov, A.N.; Burnasheva, M.A.; Chhablani, J. Prevalence of resolved paracentral acute middle maculopathy lesions in fellow eyes of patients with unilateral retinal vein occlusion. Acta Ophthalmol. 2020, 98, e22–e28. [Google Scholar] [CrossRef] [PubMed]
- Kwapong, W.R.; Yan, Y.; Cao, L.; Wang, H.; Ye, C.; Jiang, S.; Tao, W.; Wu, B. Retinal Ischemic Perivascular Lesion Reflects Cerebral Small Vessel Disease Burden in Single Subcortical Infarction. J. Am. Heart Assoc. 2024, 13, e033081. [Google Scholar] [CrossRef]
- Bakhoum, C.Y.; Au, A.; Bousquet, E.; Matesva, M.; Singer, M.B.; Jayaraj, C.; Romero-Morales, V.A.; Somisetty, S.; Santina, A.; Bajar, B.; et al. Retinal Ischemic Perivascular Lesions Are Associated with Stroke in Individuals with Atrial Fibrillation. J. Am. Heart Assoc. 2024, 13, e035079. [Google Scholar] [CrossRef]
- Debourdeau, E.; Chamard, C.; Ayrignac, X.; Varnier, Q.; Crowdy, H.; Villain, M.; Arquizan, C.; Daien, V.; Schiphorst, A.T. Evaluation of Retinal Capillary Density using OCT Angiography according to Acute Ischemic Stroke Etiologies—A Matched Case -Control Study. Retina 2025, 45, 915–927. [Google Scholar] [CrossRef]
- Liang, Y.; Liu, B.; Xiao, Y.; Zeng, X.; Wu, G.; Du, Z.; Fang, Y.; Hu, Y.; Yang, X.; Yu, H. Retinal Neurovascular Changes in Patients with Ischemic Stroke Investigated by Optical Coherence Tomography Angiography. Front. Aging Neurosci. 2022, 14, 834560. [Google Scholar] [CrossRef]
- Duan, H.; Xie, J.; Zhou, Y.; Zhang, H.; Liu, Y.; Tang, C.; Zhao, Y.; Qi, H. Characterization of the Retinal Microvasculature and FAZ Changes in Ischemic Stroke and Its Different Types. Transl. Vis. Sci. Technol. 2022, 11, 21. [Google Scholar] [CrossRef]
- Marquié, M.; Valero, S.; Martínez, J.; Alarcón-Martín, E.; García-Sánchez, A.; de Rojas, I.; Castilla-Martí, M.; Castilla-Martí, L.; Hernández, I.; Rosende-Roca, M.; et al. Differences in macular vessel density in the superficial plexus across cognitive impairment: The NORFACE cohort. Sci. Rep. 2022, 12, 16938. [Google Scholar] [CrossRef]
- Wiseman, S.J.; Zhang, J.F.; Gray, C.; Hamid, C.; Valdés Hernández, M.D.C.; Ballerini, L.; Thrippleton, M.J.; Manning, C.; Stringer, M.; Sleight, E.; et al. Retinal capillary microvessel morphology changes are associated with vascular damage and dysfunction in cerebral small vessel disease. J. Cereb. Blood Flow. Metab. 2023, 43, 231–240. [Google Scholar] [CrossRef]
- Bakhoum, C.Y.; Madala, S.; Lando, L.; Yarmohammadi, A.; Long, C.P.; Miguez, S.; Chan, A.X.; Singer, M.; Jin, A.; Steren, B.J.; et al. Retinal Ischemic Perivascular Lesions in Individuals with Atrial Fibrillation. J. Am. Heart Assoc. 2023, 12, e028853. [Google Scholar] [CrossRef] [PubMed]
- Zhang, D.L.; Zhang, K.X.; Cheng, B.T.; Heisel, C.J.; Nadel, A.; Eskandari, M.K.; Mirza, R.G. Retinal Ischemic Perivascular Lesions are Increased in Carotid Artery Stenosis. Ophthalmol. Retin. 2023, 7, 1020–1022. [Google Scholar] [CrossRef] [PubMed]
- Drakopoulos, M.; Zhang, D.L.; Cheng, B.T.; Sadiq, S.A.; Nadel, A.; Marchese, A.; Eskandari, M.; Mirza, R.G. Swept-source optical coherence tomography angiography metrics of retinal ischaemic perivascular lesions in patients being evaluated for carotid artery stenosis and controls. BMJ Open Ophthalmol. 2023, 8, e001226. [Google Scholar] [CrossRef] [PubMed]
- Mordechaev, E.; Jo, J.J.; Mordechaev, S.; Govindaiah, A.; Fei, Y.; Tai, K.; Tong, Y.; Bhuiyan, A.; Weinberger, J.; Deobhakta, A.; et al. Internal Carotid Artery Stenosis and Ipsilateral Subretinal Drusenoid Deposits. Investig. Ophthalmol. Vis. Sci. 2024, 65, 37. [Google Scholar] [CrossRef]
- Ghasemi Falavarjani, K.; Phasukkijwatana, N.; Freund, K.B.; Cunningham, E.T., Jr.; Kalevar, A.; McDonald, H.R.; Dolz-Marco, R.; Roberts, P.K.; Tsui, I.; Rosen, R.; et al. En Face Optical Coherence Tomography Analysis to Assess the Spectrum of Perivenular Ischemia and Paracentral Acute Middle Maculopathy in Retinal Vein Occlusion. Am. J. Ophthalmol. 2017, 177, 131–138. [Google Scholar] [CrossRef]
- Antaki, F.; Milad, D.; Hamel, T. Acute retinal ischaemia associated with paracentral acute middle maculopathy detected on multimodal imaging: A premonitory sign of severe carotid occlusive disease. BMJ Case Rep. 2022, 15, e252266. [Google Scholar] [CrossRef]
- Chen, X.; Rahimy, E.; Sergott, R.C.; Nunes, R.P.; Souza, E.C.; Choudhry, N.; Cutler, N.E.; Houston, S.K.; Munk, M.R.; Fawzi, A.A.; et al. Spectrum of Retinal Vascular Diseases Associated with Paracentral Acute Middle Maculopathy. Am. J. Ophthalmol. 2015, 160, 26–34.e1. [Google Scholar] [CrossRef]
- Mairot, K.; Sené, T.; Lecler, A.; Philibert, M.; Clavel, G.; Hemmendinger, A.; Denis, D.; Vignal-Clermont, C.; Mauget-Faÿsse, M.; Hage, R. Paracentral Acute Middle Maculopathy in Giant Cell Arteritis. Retina 2022, 42, 476–484. [Google Scholar] [CrossRef]
- Mishra, P.; Mohanty, S.; Palanisamy, S.; Moharana, B.; Das, D. Paracentral Acute Middle Maculopathy As the Presenting Sign of Ischemic Cardiomyopathy. Cureus 2023, 15, e35418. [Google Scholar] [CrossRef]
- Lahme, L.; Marchiori, E.; Panuccio, G.; Nelis, P.; Schubert, F.; Mihailovic, N.; Torsello, G.; Eter, N.; Alnawaiseh, M. Changes in retinal flow density measured by optical coherence tomography angiography in patients with carotid artery stenosis after carotid endarterectomy. Sci. Rep. 2018, 8, 17161. [Google Scholar] [CrossRef]
- İncekalan, T.K.; Taktakoğlu, D.; Şimdivar, G.H.N.; Öztürk, İ. Optical cohorence tomography angiography findings in carotid artery stenosis. Int. Ophthalmol. 2022, 42, 2501–2509. [Google Scholar] [CrossRef] [PubMed]
- Jiang, J.; Wang, J.; Wang, Y.; Wang, L.; Qian, Y.; Wang, Z. Associations between the retinal/choroidal microvasculature and carotid plaque in patients with CAD: An OCTA study. Heliyon 2024, 10, e29107. [Google Scholar] [CrossRef] [PubMed]
- Karapapak, M.; Ermis, S.; Aksöz Bolat, P.; Cingöz, M.; Erdim, Ç.; Özal, E.; Özal, S.A. Changes in retinal vascular density measured by optical coherence tomography angiography in patients with carotid artery stenosis after carotid artery stenting and angioplasty. Int. Ophthalmol. 2024, 44, 128. [Google Scholar] [CrossRef] [PubMed]
- Chaikijurajai, T.; Ehlers, J.P.; Tang, W.H.W. Retinal Microvasculature: A Potential Window Into Heart Failure Prevention. JACC Heart Fail. 2022, 10, 785–791. [Google Scholar] [CrossRef]
- Seferović, P.M.; Polovina, M. The eyes are the mirror of the heart: Role of retinal microvascular abnormalities in predicting long-term risk of heart failure. Eur. J. Heart Fail. 2019, 21, 1216–1218. [Google Scholar] [CrossRef]
- Grassi, G.; Mancia, G. ‘Keep an eye’ on the heart: Retinal microcirculation disarray in congestive heart failure. Eur. Heart J. 2018, 39, 57–59. [Google Scholar] [CrossRef]
- Chandra, A.; Seidelmann, S.B.; Claggett, B.L.; Klein, B.E.; Klein, R.; Shah, A.M.; Solomon, S.D. The association of retinal vessel calibres with heart failure and long-term alterations in cardiac structure and function: The Atherosclerosis Risk in Communities (ARIC) Study. Eur. J. Heart Fail. 2019, 21, 1207–1215. [Google Scholar] [CrossRef]
- Guo, S.; Yin, S.; Song, W.; Tse, G.; Liu, J.; Hei, K.; Chen, K.; Su, L.; Liu, T. Retinal Microvascular Abnormalities Predict Clinical Outcomes in Patients with Heart Failure. Diagnostics 2022, 12, 2078. [Google Scholar] [CrossRef]
- Phan, K.; Mitchell, P.; Liew, G.; Plant, A.J.; Wang, S.B.; Au, C.; Chiha, J.; Kovoor, P.; Thiagalingam, A.; Burlutsky, G.; et al. Association between Retinal Arteriolar and Venule Calibre with Prevalent Heart Failure: A Cross-Sectional Study. PLoS ONE 2015, 10, e0144850. [Google Scholar] [CrossRef]
- Wong, T.Y.; Rosamond, W.; Chang, P.P.; Couper, D.J.; Sharrett, A.R.; Hubbard, L.D.; Folsom, A.R.; Klein, R. Retinopathy and risk of congestive heart failure. JAMA 2005, 293, 63–69. [Google Scholar] [CrossRef]
- Noonan, J.E.; Dusting, G.J.; Nguyen, T.T.; Man, R.E.; Best, W.J.; Lamoureux, E.L. Flicker-induced retinal arteriole dilation is reduced by ambient lighting. Investig. Ophthalmol. Vis. Sci. 2014, 55, 5476–5481. [Google Scholar] [CrossRef] [PubMed]
- Nägele, M.P.; Barthelmes, J.; Ludovici, V.; Cantatore, S.; von Eckardstein, A.; Enseleit, F.; Lüscher, T.F.; Ruschitzka, F.; Sudano, I.; Flammer, A.J. Retinal microvascular dysfunction in heart failure. Eur. Heart J. 2018, 39, 47–56. [Google Scholar] [CrossRef] [PubMed]
- Barthelmes, J.; Nägele, M.P.; Cantatore, S.; Novruzov, E.; Ludovici, V.; von Eckardstein, A.; Frank, M.; Ruschitzka, F.; Sudano, I.; Flammer, A.J. Retinal microvascular dysfunction in patients with coronary artery disease with and without heart failure: A continuum? Eur. J. Heart Fail. 2019, 21, 988–997. [Google Scholar] [CrossRef] [PubMed]
- Weerts, J.; Raafs, A.G.; Sandhoefner, B.; van der Heide, F.C.T.; Mourmans, S.G.J.; Wolff, N.; Finger, R.P.; Falahat, P.; Wintergerst, M.W.M.; van Empel, V.P.M.; et al. Retinal Vascular Changes in Heart Failure with Preserved Ejection Fraction Using Optical Coherence Tomography Angiography. J. Clin. Med. 2024, 13, 1892. [Google Scholar] [CrossRef]
- Khalilipur, E.; Mahdizad, Z.; Molazadeh, N.; Faghihi, H.; Naderi, N.; Mehrabi Bahar, M.; Firouzi, A.; Sadeghipour, P.; Maleki, M.; Soltani Shahgoli, S.; et al. Microvascular and structural analysis of the retina and choroid in heart failure patients with reduced ejection fraction. Sci. Rep. 2023, 13, 5467. [Google Scholar] [CrossRef]
- Topaloglu, C.; Bekmez, S. Retinal vascular density change in patients with heart failure. Photodiagnosis Photodyn. Ther. 2023, 42, 103621. [Google Scholar] [CrossRef]
- Kanar, H.S.; Penbe, A.; Kanar, B.G. Subfoveal choroidal thickness and retinal nerve fiber layer alterations in chronic heart failure patients. Arq. Bras. Oftalmol. 2021, 84, 467–473. [Google Scholar] [CrossRef]
- Abdin, A.; Abdin, A.D.; Merone, G.; Aljundi, W.; Haring, B.; Abu Dail, Y.; Mahfoud, F.; Emrich, I.; Al Ghorani, H.; Böhm, E.W.; et al. Cardio-ocular syndrome: Retinal microvascular changes in acutely decompensated heart failure. Eur. J. Heart Fail. 2024, 26, 2421–2430. [Google Scholar] [CrossRef]
- Rakusiewicz, K.; Kanigowska, K.; Hautz, W.; Ziółkowska, L. Investigating Ganglion Cell Complex Thickness in Children with Chronic Heart Failure due to Dilated Cardiomyopathy. J. Clin. Med. 2020, 9, 2882. [Google Scholar] [CrossRef]
- Rim, T.H.; Oh, J.; Kang, S.M.; Kim, S.S. Association between retinal vein occlusion and risk of heart failure: A 12-year nationwide cohort study. Int. J. Cardiol. 2016, 217, 122–127. [Google Scholar] [CrossRef]
- Wong, T.Y.; McIntosh, R. Hypertensive retinopathy signs as risk indicators of cardiovascular morbidity and mortality. Br. Med. Bull. 2005, 73–74, 57–70. [Google Scholar] [CrossRef] [PubMed]
- Wong, T.Y.; McIntosh, R. Systemic associations of retinal microvascular signs: A review of recent population-based studies. Ophthalmic Physiol. Opt. 2005, 25, 195–204. [Google Scholar] [CrossRef] [PubMed]
- Wong, T.Y.; Hubbard, L.D.; Klein, R.; Marino, E.K.; Kronmal, R.; Sharrett, A.R.; Siscovick, D.S.; Burke, G.; Tielsch, J.M. Retinal microvascular abnormalities and blood pressure in older people: The Cardiovascular Health Study. Br. J. Ophthalmol. 2002, 86, 1007. [Google Scholar] [CrossRef] [PubMed]
- Yu, S.; Wang, F.; Pang, C.E.; Yannuzzi, L.A.; Freund, K.B. Multimodal imaging findings in retinal deep capillary ischemia. Retina 2014, 34, 636–646. [Google Scholar] [CrossRef]
- Bakhoum, M.F.; Freund, K.B.; Dolz-Marco, R.; Leong, B.C.S.; Baumal, C.R.; Duker, J.S.; Sarraf, D. Paracentral Acute Middle Maculopathy and the Ischemic Cascade Associated with Retinal Vascular Occlusion. Am. J. Ophthalmol. 2018, 195, 143–153. [Google Scholar] [CrossRef]
- Chen, Y.; Yuan, Y.; Zhang, S.; Yang, S.; Zhang, J.; Guo, X.; Huang, W.; Zhu, Z.; He, M.; Wang, W. Retinal nerve fiber layer thinning as a novel fingerprint for cardiovascular events: Results from the prospective cohorts in UK and China. BMC Med. 2023, 21, 24. [Google Scholar] [CrossRef]
- Kim, J.H.; Kim, S.E.; Kim, S.H.; Choi, B.W.; Rim, T.H.; Byeon, S.H.; Kim, S.S. Relationship between Coronary Artery Calcification and Central Chorioretinal Thickness in Patients with Subclinical Atherosclerosis. Ophthalmologica 2020, 244, 18–26. [Google Scholar] [CrossRef]
- Schuster, A.K.; Leuschner, A.; Feretos, C.; Blumenstein, P.; Troebs, S.O.; Schwuchow, S.; Schulz, A.; Nickels, S.; Mirshahi, A.; Blettner, M.; et al. Choroidal thickness is associated with cardiovascular risk factors and cardiac health: The Gutenberg Health Study. Clin. Res. Cardiol. 2020, 109, 172–182. [Google Scholar] [CrossRef]
- Abbey, A.M.; Kuriyan, A.E.; Modi, Y.S.; Thorell, M.R.; Nunes, R.P.; Goldhardt, R.; Yehoshua, Z.; Gregori, G.; Feuer, W.; Rosenfeld, P.J. Optical coherence tomography measurements of choroidal thickness in healthy eyes: Correlation with age and axial length. Ophthalmic Surg. Lasers Imaging Retin. 2015, 46, 18–24. [Google Scholar] [CrossRef]
- Arnould, L.; Seydou, A.; Gabrielle, P.H.; Guenancia, C.; Tzourio, C.; Bourredjem, A.; El Alami, Y.; Daien, V.; Binquet, C.; Bron, A.M.; et al. Subfoveal Choroidal Thickness, Cardiovascular History, and Risk Factors in the Elderly: The Montrachet Study. Investig. Ophthalmol. Vis. Sci. 2019, 60, 2431–2437. [Google Scholar] [CrossRef]
- Rastogi, N.; Smith, R.T. Association of age-related macular degeneration and reticular macular disease with cardiovascular disease. Surv. Ophthalmol. 2016, 61, 422–433. [Google Scholar] [CrossRef] [PubMed]
- Aydin, E.; Kazanci, L.; Balikoglu Yilmaz, M.; Akyildiz Akcay, F.; Bayata, S. Analysis of central macular thickness and choroidal thickness changes in patients with cardiovascular risk factors. Eye 2020, 34, 2068–2075. [Google Scholar] [CrossRef] [PubMed]
- Ledesma-Gil, G.; Otero-Marquez, O.; Alauddin, S.; Tong, Y.; Tai, K.; Lloyd, H.; Koci, M.; Scolaro, M.; Pillai, C.; Ye, C.; et al. Subretinal drusenoid deposits are strongly associated with coexistent high-risk vascular diseases. BMJ Open Ophthalmol. 2022, 7, e001154. [Google Scholar] [CrossRef]
- Kim, D.S.; Kim, B.S.; Cho, H.; Shin, J.H.; Shin, Y.U. Associations between Choriocapillaris Flow on Optical Coherence Tomography Angiography and Cardiovascular Risk Profiles of Patients with Acute Myocardial Infarction. J. Pers. Med. 2022, 12, 839. [Google Scholar] [CrossRef]
- Arnould, L.; Meriaudeau, F.; Guenancia, C.; Germanese, C.; Delcourt, C.; Kawasaki, R.; Cheung, C.Y.; Creuzot-Garcher, C.; Grzybowski, A. Using Artificial Intelligence to Analyse the Retinal Vascular Network: The Future of Cardiovascular Risk Assessment Based on Oculomics? A Narrative Review. Ophthalmol. Ther. 2023, 12, 657–674. [Google Scholar] [CrossRef]
- Khan, S.M.; Liu, X.; Nath, S.; Korot, E.; Faes, L.; Wagner, S.K.; Keane, P.A.; Sebire, N.J.; Burton, M.J.; Denniston, A.K. A global review of publicly available datasets for ophthalmological imaging: Barriers to access, usability, and generalisability. Lancet Digit. Health 2021, 3, e51–e66. [Google Scholar] [CrossRef]
- Lauermann, J.L.; Treder, M.; Alnawaiseh, M.; Clemens, C.R.; Eter, N.; Alten, F. Automated OCT angiography image quality assessment using a deep learning algorithm. Graefes Arch. Clin. Exp. Ophthalmol. 2019, 257, 1641–1648. [Google Scholar] [CrossRef]
- Kim, G.; Kim, J.; Choi, W.J.; Kim, C.; Lee, S. Integrated deep learning framework for accelerated optical coherence tomography angiography. Sci. Rep. 2022, 12, 1289. [Google Scholar] [CrossRef]
- Guo, S.; Wang, K.; Kang, H.; Zhang, Y.; Gao, Y.; Li, T. BTS-DSN: Deeply supervised neural network with short connections for retinal vessel segmentation. Int. J. Med. Inf. Inform. 2019, 126, 105–113. [Google Scholar] [CrossRef]
- Kubíček, J.; Krestanova, A.; Penhaker, M. Recent Techniques and Trends for Retinal Blood Vessel Extraction and Tortuosity Evaluation: A Comprehensive Review. IEEE Access 2020, 8, 197787–197816. [Google Scholar] [CrossRef]
- Cheung, C.Y.; Xu, D.; Cheng, C.Y.; Sabanayagam, C.; Tham, Y.C.; Yu, M.; Rim, T.H.; Chai, C.Y.; Gopinath, B.; Mitchell, P.; et al. A deep-learning system for the assessment of cardiovascular disease risk via the measurement of retinal-vessel calibre. Nat. Biomed. Eng. 2021, 5, 498–508. [Google Scholar] [CrossRef] [PubMed]
- Lu, J.; Cheng, Y.; Hiya, F.E.; Shen, M.; Herrera, G.; Zhang, Q.; Gregori, G.; Rosenfeld, P.J.; Wang, R.K. Deep-learning-based automated measurement of outer retinal layer thickness for use in the assessment of age-related macular degeneration, applicable to both swept-source and spectral-domain OCT imaging. Biomed. Opt. Express 2024, 15, 413–427. [Google Scholar] [CrossRef] [PubMed]
- Bagci, A.M.; Shahidi, M.; Ansari, R.; Blair, M.; Blair, N.P.; Zelkha, R. Thickness profiles of retinal layers by optical coherence tomography image segmentation. Am. J. Ophthalmol. 2008, 146, 679–687. [Google Scholar] [CrossRef] [PubMed]
- Díaz-Aljaro, P.; Valldeperas, X.; Broc-Iturralde, L.; Romanic-Bubalo, N.; Díaz-Aljaro, I.; Chu, Z.; Wang, R.K.; Zarranz-Ventura, J. Correction: Díaz-Aljaro et al. Quantitative Microvascular Change Analysis Using a Semi-Automated Algorithm in Macula-on Rhegmatogenous Retinal Detachment Assessed by Swept-Source Optical Coherence Tomography Angiography. Diagnostics 2024, 14, 750. Diagnostics 2024, 14. [Google Scholar] [CrossRef]
- Untracht, G.R.; Matos, R.S.; Dikaios, N.; Bapir, M.; Durrani, A.K.; Butsabong, T.; Campagnolo, P.; Sampson, D.D.; Heiss, C.; Sampson, D.M. OCTAVA: An open-source toolbox for quantitative analysis of optical coherence tomography angiography images. PLoS ONE 2021, 16, e0261052. [Google Scholar] [CrossRef]
- Untracht, G.R.; Durkee, M.S.; Zhao, M.; Kwok-Cheung Lam, A.; Sikorski, B.L.; Sarunic, M.V.; Andersen, P.E.; Sampson, D.D.; Chen, F.K.; Sampson, D.M. Towards standardising retinal OCT angiography image analysis with open-source toolbox OCTAVA. Sci. Rep. 2024, 14, 5979. [Google Scholar] [CrossRef]
- Poplin, R.; Varadarajan, A.V.; Blumer, K.; Liu, Y.; McConnell, M.V.; Corrado, G.S.; Peng, L.; Webster, D.R. Prediction of cardiovascular risk factors from retinal fundus photographs via deep learning. Nat. Biomed. Eng. 2018, 2, 158–164. [Google Scholar] [CrossRef]
- Zhang, L.; Yuan, M.; An, Z.; Zhao, X.; Wu, H.; Li, H.; Wang, Y.; Sun, B.; Li, H.; Ding, S.; et al. Prediction of hypertension, hyperglycemia and dyslipidemia from retinal fundus photographs via deep learning: A cross-sectional study of chronic diseases in central China. PLoS ONE 2020, 15, e0233166. [Google Scholar] [CrossRef]
- Chang, J.; Ko, A.; Park, S.M.; Choi, S.; Kim, K.; Kim, S.M.; Yun, J.M.; Kang, U.; Shin, I.H.; Shin, J.Y.; et al. Association of Cardiovascular Mortality and Deep Learning-Funduscopic Atherosclerosis Score derived from Retinal Fundus Images. Am. J. Ophthalmol. 2020, 217, 121–130. [Google Scholar] [CrossRef]
- Tseng, R.; Rim, T.H.; Shantsila, E.; Yi, J.K.; Park, S.; Kim, S.S.; Lee, C.J.; Thakur, S.; Nusinovici, S.; Peng, Q.; et al. Validation of a deep-learning-based retinal biomarker (Reti-CVD) in the prediction of cardiovascular disease: Data from UK Biobank. BMC Med. 2023, 21, 28. [Google Scholar] [CrossRef]
- Zhou, Y.; Chia, M.A.; Wagner, S.K.; Ayhan, M.S.; Williamson, D.J.; Struyven, R.R.; Liu, T.; Xu, M.; Lozano, M.G.; Woodward-Court, P.; et al. A foundation model for generalizable disease detection from retinal images. Nature 2023, 622, 156–163. [Google Scholar] [CrossRef] [PubMed]
- Liu, S.L.; Mahon, L.W.; Klar, N.S.; Schulz, D.C.; Gonder, J.R.; Hramiak, I.M.; Mahon, J.L. A randomised trial of non-mydriatic ultra-wide field retinal imaging versus usual care to screen for diabetic eye disease: Rationale and protocol for the Clearsight trial. BMJ Open 2017, 7, e015382. [Google Scholar] [CrossRef] [PubMed]
- Jacoba, C.M.P.; Cavallerano, J.D.; Tolston, A.M.; Silva, P.S. Effect of Accessible Nonmydriatic Retinal Imaging on Diabetic Retinopathy Surveillance Rates. Telemed. J. e-Health 2023, 29, 1667–1672. [Google Scholar] [CrossRef] [PubMed]
- Borrelli, E.; Querques, L.; Lattanzio, R.; Cavalleri, M.; Grazioli Moretti, A.; Di Biase, C.; Signorino, A.; Gelormini, F.; Sacconi, R.; Bandello, F.; et al. Nonmydriatic widefield retinal imaging with an automatic white LED confocal imaging system compared with dilated ophthalmoscopy in screening for diabetic retinopathy. Acta Diabetol. 2020, 57, 1043–1047. [Google Scholar] [CrossRef]
- Borrelli, E.; Berni, A.; Mastropasqua, L.; Querques, G.; Sadda, S.R.; Sarraf, D.; Bandello, F. Pushing Retinal Imaging Forward: Innovations and Their Clinical Meaning—The 2022 Ophthalmologica Lecture. Ophthalmologica 2023, 246, 278–294. [Google Scholar] [CrossRef]
- Sharma, A. Emerging Simplified Retinal Imaging. Dev. Ophthalmol. 2017, 60, 56–62. [Google Scholar] [CrossRef]
- Micheletti, J.M.; Hendrick, A.M.; Khan, F.N.; Ziemer, D.C.; Pasquel, F.J. Current and Next Generation Portable Screening Devices for Diabetic Retinopathy. J. Diabetes Sci. Technol. 2016, 10, 295–300. [Google Scholar] [CrossRef]
- Vishwanath; Swamy, D.T.; Gaddi, D.S. Smartphone for retinal imaging—Case series in resource-limited rural settings. Indian. J. Ophthalmol. 2023, 71, 2008–2013. [Google Scholar] [CrossRef]
- Jansen, L.G.; Schultz, T.; Holz, F.G.; Finger, R.P.; Wintergerst, M.W.M. [Smartphone-based fundus imaging: Applications and adapters]. Ophthalmologe 2022, 119, 112–126. [Google Scholar] [CrossRef]
- Rim, T.H.; Lee, C.J.; Tham, Y.C.; Cheung, N.; Yu, M.; Lee, G.; Kim, Y.; Ting, D.S.W.; Chong, C.C.Y.; Choi, Y.S.; et al. Deep-learning-based cardiovascular risk stratification using coronary artery calcium scores predicted from retinal photographs. Lancet Digit. Health 2021, 3, e306–e316. [Google Scholar] [CrossRef]
- Ahn, S.J.; Kim, Y.H. Clinical Applications and Future Directions of Smartphone Fundus Imaging. Diagnostics 2024, 14, 1395. [Google Scholar] [CrossRef] [PubMed]
- Song, G.; Jelly, E.T.; Chu, K.K.; Kendall, W.Y.; Wax, A. A review of low-cost and portable optical coherence tomography. Prog. Biomed. Eng. 2021, 3, 32002. [Google Scholar] [CrossRef] [PubMed]
- Chang, A.; Mieler, W.F.; Ohno-Matsui, K.; Lai, C.C. Retina Update: Entering an Era of Personalized Medicine in Ophthalmology. Asia Pac. J. Ophthalmol. 2023, 12, 111–112. [Google Scholar] [CrossRef] [PubMed]
- Jin, K.; Zhang, C. Personalized Medicine in Ophthalmic Diseases: Challenges and Opportunities. J. Pers. Med. 2023, 13, 893. [Google Scholar] [CrossRef]
- Thom, S.; Stettler, C.; Stanton, A.; Witt, N.; Tapp, R.; Chaturvedi, N.; Allemann, S.; Mayet, J.; Sever, P.; Poulter, N.; et al. Differential Effects of Antihypertensive Treatment on the Retinal Microcirculation. Hypertension 2009, 54, 405–408. [Google Scholar] [CrossRef]
- Hughes, A.D.; Stanton, A.V.; Jabbar, A.S.; Chapman, N.; Martinez-Perez, M.E.; Mc, G.T.S.A. Effect of antihypertensive treatment on retinal microvascular changes in hypertension. J. Hypertens. 2008, 26, 1703–1707. [Google Scholar] [CrossRef]
- Dahlöf, B.; Stenkula, S.; Hansson, L. Hypertensive retinal vascular changes: Relationship to left ventricular hypertrophy and arteriolar changes before and after treatment. Blood Press. 1992, 1, 35–44. [Google Scholar] [CrossRef]
- Li, X.X.; Wu, W.; Zhou, H.; Deng, J.J.; Zhao, M.Y.; Qian, T.W.; Yan, C.; Xu, X.; Yu, S.Q. A quantitative comparison of five optical coherence tomography angiography systems in clinical performance. Int. J. Ophthalmol. 2018, 11, 1784–1795. [Google Scholar] [CrossRef]
- Brandao, L.M.; Ledolter, A.A.; Schötzau, A.; Palmowski-Wolfe, A.M. Comparison of Two Different OCT Systems: Retina Layer Segmentation and Impact on Structure-Function Analysis in Glaucoma. J. Ophthalmol. 2016, 2016, 8307639. [Google Scholar] [CrossRef]
- Kee, A.R.; Yip, V.C.H.; Tay, E.L.T.; Lim, C.W.; Cheng, J.; Teo, H.Y.; Chua, C.H.; Yip, L.W.L. Comparison of two different optical coherence tomography angiography devices in detecting healthy versus glaucomatous eyes—An observational cross-sectional study. BMC Ophthalmol. 2020, 20, 440. [Google Scholar] [CrossRef]
- Evans, N.G.; Wenner, D.M.; Cohen, I.G.; Purves, D.; Chiang, M.F.; Ting, D.S.W.; Lee, A.Y. Emerging Ethical Considerations for the Use of Artificial Intelligence in Ophthalmology. Ophthalmol. Sci. 2022, 2, 100141. [Google Scholar] [CrossRef] [PubMed]
- Sjoding, M.W.; Dickson, R.P.; Iwashyna, T.J.; Gay, S.E.; Valley, T.S. Racial Bias in Pulse Oximetry Measurement. N. Engl. J. Med. 2020, 383, 2477–2478. [Google Scholar] [CrossRef] [PubMed]
- Larrazabal, A.J.; Nieto, N.; Peterson, V.; Milone, D.H.; Ferrante, E. Gender imbalance in medical imaging datasets produces biased classifiers for computer-aided diagnosis. Proc. Natl. Acad. Sci. USA 2020, 117, 12592–12594. [Google Scholar] [CrossRef] [PubMed]
- Rim, T.H.; Lee, G.; Kim, Y.; Tham, Y.C.; Lee, C.J.; Baik, S.J.; Kim, Y.A.; Yu, M.; Deshmukh, M.; Lee, B.K.; et al. Prediction of systemic biomarkers from retinal photographs: Development and validation of deep-learning algorithms. Lancet Digit. Health 2020, 2, e526–e536. [Google Scholar] [CrossRef]
- Guan, H.; Yap, P.T.; Bozoki, A.; Liu, M. Federated learning for medical image analysis: A survey. Pattern Recognit. 2024, 151, 110424. [Google Scholar] [CrossRef]
- Darzidehkalani, E.; Ghasemi-Rad, M.; van Ooijen, P.M.A. Federated Learning in Medical Imaging: Part I: Toward Multicentral Health Care Ecosystems. J. Am. Coll. Radiol. 2022, 19, 969–974. [Google Scholar] [CrossRef]
- Linardos, A.; Kushibar, K.; Walsh, S.; Gkontra, P.; Lekadir, K. Federated learning for multi-center imaging diagnostics: A simulation study in cardiovascular disease. Sci. Rep. 2022, 12, 3551. [Google Scholar] [CrossRef]








| Biomarker | Significance | Associated Cardiovascular Disease |
|---|---|---|
| Arteriovenous Nicking | Indentation and compression of a venule when an arteriole crosses over it | Hypertension |
| Retinal Vessel Caliber | The cross-sectional width of retinal arterioles and venules | Hypertension |
| A/V Ratio | A ratio between the relative caliber of retinal arteries in comparison to retinal veins | Hypertension |
| Central Retinal Arteriole Equivalent | The average diameter of the arterioles within the retina | Hypertension |
| Central Retinal Venular Equivalent | The average diameter of the venules within the retina | Hypertension |
| Retinal Arteriolar and Venule Diameter | The diameter of the column of blood cells present within the lumen of a vessel that indicates widening or narrowing at the time of capture | Myocardial infarction/coronary artery disease Heart failure |
| Retinal Hemorrhage | Bleeding that occurs within the retina | Hypertension Myocardial infarction/coronary artery disease |
| Cotton Wool Spots | Discrete white lesions that lie within the retinal nerve fiber layer | Myocardial infarction/coronary artery disease Cerebral infarction Heart failure |
| Biomarker | Significance | Associated Cardiovascular Disease |
|---|---|---|
| Retinal Nerve Fiber Layer Thickness | A measurement of the thickness of the layer of the retina consisting of the axons of the retinal ganglion cells | Myocardial infarction/coronary artery disease Cerebral Infarction Heart failure |
| Paracentral Acute Middle Maculopathy Lesions | Retinal abnormalities occurring in the inner nuclear layer of the retina that manifest as hyperreflective bands | Hypertension Carotid artery disease |
| Retinal Ischemic Perivascular Lesions | Focal areas of ischemic thinning occurring along the retinal blood vessels in the inner retina | Hypertension Myocardial infarction/coronary artery disease Cerebral infarction Carotid artery disease Atrial fibrillation |
| Subretinal Drusenoid Deposits | Extracellular protein deposits located above the retinal pigment epithelium but below the photoreceptor layer | Hypertension Myocardial infarction/coronary artery disease Carotid artery disease Valvular heart disease Angina |
| Subfoveal Choroidal Thickness | The thickness of the vasculature bed between the retinal pigment epithelium and the sclera | Myocardial infarction/coronary artery disease Heart failure |
| Biomarker. | Significance | Associated Cardiovascular Disease |
|---|---|---|
| Foveal Avascular Zone | The central area of the retina that is devoid of blood vessels from which several measurements can be derived, including the area, circularity, and the length of the capillary ring surrounding the region | Hypertension Carotid artery disease |
| Vessel Area Density | The ratio of the retinal area covered by binarized blood vessels to the total retinal area | Hypertension Myocardial infarction/coronary artery disease Cerebral infarction Carotid artery disease |
| Vessel Length Density | The ratio of the total length of 1-pixel-wide skeletonized blood vessels to the total retinal area | Hypertension Carotid artery disease Valvular heart disease |
| Challenge/Limitations | Impact | Future Directions/Proposed Solutions | |
|---|---|---|---|
| Technical Challenges (Retinal Imaging) | Variability in retinal imaging techniques (e.g., differences in hardware specifications, software algorithms, and operator expertise) | 1. Differences in size, area, and resolution of images obtained 2. Significant variance in image interpretation 3. Difficulty in constructing an algorithm to apply to a broader patient population | 1. Standardization of image acquisition protocols to aid in consistency of size, area, and resolution 2. Regular calibration of imaging devices and cross-validation of images 3. Implementation of training certification programs and qualifying examinations to ensure a certain level of expertise in image acquisition and interpretation 4. Utilization of a diverse patient cohort when testing new imaging protocols to better prepare for patient characteristics (anatomy, unexpected movement) deviating from “normal” in a routine clinical setting |
| AI-Related Challenges | Black Box Algorithms—inability for humans to interpret how an algorithm reached a certain conclusion | 1. Lack of model transparency 2. Lack of trust by providers in AI-based machinery 3. Perpetuation of errors without correction | 1. Incorporation of explainable AI to build provider trust, as this addition would enable AI models to explain the reasoning behind a certain conclusion 2. Implementation of class activation mapping to allow for transparent and consistent biomarker and feature identification |
| Attribution of responsibility | 1. Legal and ethical dilemmas over whether healthcare providers should be held responsible for utilizing an algorithm’s incorrect result | 1. Extensive validation of AI models through clinical trials before implementation in a broader patient population | |
| Bias in AI models | 1. Disproportionate misdiagnosis of conditions amongst disadvantaged groups 2. Widening of existing inequality in healthcare if an algorithm infiltrated with bias is implemented in standard clinical practice | 1. Representation of an extensive variety of patient demographics in AI training sets 2. Train highly specific models to allow for personalized risk identification catered to sub-populations | |
| Continuous Learning | 1. Unsupervised algorithms can become dysfunctional after making multiple adjustments based on few errors 2. Potential for harm to patients through compromised clinical decision-making | 1. Regular quality control tests to avoid dysfunction of AI models | |
| Health Data Privacy | 1. Potential for patient health data misuse 2. Infringement of patient privacy | 1. Use of privacy-preserving technologies such as federated learning and blockchain 2. Developing standardized models for collaboration between health care entities and AI companies to maximize patient safety and efficient use of data for the benefit of future patients |
| Further Areas of Study | Potential Research Questions/Proposed Future Studies |
|---|---|
| Retinal Artery/Vein Occlusion | What is the efficacy of incorporating further cardiovascular evaluation and pharmacological intervention (e.g., statins) after diagnosis of an RAO or RVO for the prevention of future cardiovascular events? Given the association CRAO has with atrial fibrillation, is there an association between CRAO and retinal biomarkers typically seen in the event of atrial fibrillation (e.g., RIPLs)? |
| Hypertension | Is there a difference in the distribution and number of RIPLs associated with different stages of hypertension? Perform a meta-analysis to evaluate the relationship between hypertension and SCP/DCP VAD and VLD, using existing data in the literature. |
| Coronary Artery Disease, Myocardial Infarctions, and Atherosclerotic Disease | Assess what role multimodal retinal imaging could play in the emergency room workflow for evaluation of patients with chest pain. Could retinal imaging assist in determining the root cause and subsequent treatment (STEMI, NSTEMI, stable angina, etc.)? Are any alterations in the foveal avascular zone observed with these disease states? |
| Valvular Heart Disease | What specific findings on CFP, OCT, and OCTA are correlated with increased prevalence of aortic valve regurgitation? |
| Heart Failure | Is there an increase in the presence of RIPLs and SDDs in the HF population, and if so, after administration of GDMT, are there any changes in the number and severity of retinal biomarkers observed? |
| Cerebral Infarctions | Are there differences in retinal manifestations that can help distinguish between a transient ischemic attack and a stroke? |
| Atrial Fibrillation | What other retinal biomarkers of ischemia observed on OCT/OCTA are correlated with atrial fibrillation? |
| Cardiovascular Disease Risk Scores | Does incorporation of CFP-retinal biomarkers into existing cardiovascular prediction algorithms such as the ASCVD risk calculator and the PREVENT risk calculator aid in capturing a greater number of patients earlier on in their disease course for more effective treatment? Assess the clinical utility of using multimodal retinal imaging in the primary care setting to see how it further assists CVD risk assessments and alters treatment initiation, disease monitoring, and treatment efficacy. |
| Incorporation of retinal biomarkers into standard clinical workflow | Can retinal imaging be successfully incorporated in primary care offices in underserved and rural areas as an alternative strategy to more costly screening methods such as CAC? What is the cost-effectiveness analysis comparison between multimodal retinal imaging and standard methods for cardiovascular disease evaluation? |
Disclaimer/Publisher’s Note: The statements, opinions and data contained in all publications are solely those of the individual author(s) and contributor(s) and not of MDPI and/or the editor(s). MDPI and/or the editor(s) disclaim responsibility for any injury to people or property resulting from any ideas, methods, instructions or products referred to in the content. |
© 2025 by the authors. Licensee MDPI, Basel, Switzerland. This article is an open access article distributed under the terms and conditions of the Creative Commons Attribution (CC BY) license (https://creativecommons.org/licenses/by/4.0/).
Share and Cite
Bisen, J.B.; Sikora, H.; Aneja, A.; Shah, S.J.; Mirza, R.G. Retinal Imaging as a Window into Cardiovascular Health: Towards Harnessing Retinal Analytics for Precision Cardiovascular Medicine. J. Cardiovasc. Dev. Dis. 2025, 12, 230. https://doi.org/10.3390/jcdd12060230
Bisen JB, Sikora H, Aneja A, Shah SJ, Mirza RG. Retinal Imaging as a Window into Cardiovascular Health: Towards Harnessing Retinal Analytics for Precision Cardiovascular Medicine. Journal of Cardiovascular Development and Disease. 2025; 12(6):230. https://doi.org/10.3390/jcdd12060230
Chicago/Turabian StyleBisen, Jay Bharatsingh, Hayden Sikora, Anushree Aneja, Sanjiv J. Shah, and Rukhsana G. Mirza. 2025. "Retinal Imaging as a Window into Cardiovascular Health: Towards Harnessing Retinal Analytics for Precision Cardiovascular Medicine" Journal of Cardiovascular Development and Disease 12, no. 6: 230. https://doi.org/10.3390/jcdd12060230
APA StyleBisen, J. B., Sikora, H., Aneja, A., Shah, S. J., & Mirza, R. G. (2025). Retinal Imaging as a Window into Cardiovascular Health: Towards Harnessing Retinal Analytics for Precision Cardiovascular Medicine. Journal of Cardiovascular Development and Disease, 12(6), 230. https://doi.org/10.3390/jcdd12060230

