Therapeutic Challenges in Total Situs Inversus Associated with Sick Sinus Syndrome, Ventricular Arrhythmias, and Heart Failure with Preserved Ejection Fraction: Narrative Review and Case Report
Abstract
1. Introduction
2. Case Report
2.1. Initial Presentation
2.2. Diagnostic of SSS and Pacemaker Implantation
2.3. Evaluation of VA, Antiarrhythmic Therapy with Amiodarone and Secondary Effects
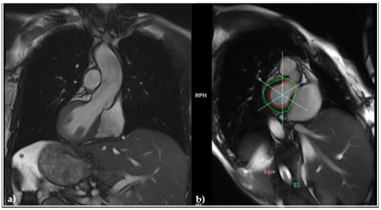
2.4. Diagnosis of Heart Failure, Initiation of Guideline-Guided Therapy, and Evolution
3. Discussion
3.1. Association of TSI with Arrhythmias and Conduction Disturbances
3.2. Challenges of Intracardiac Procedures and Device Implantation in Patients with TSI
3.3. Genetic Considerations
3.4. Risk Assessment for VA
3.5. Heart Failure Therapy and Evolution of VA
4. Conclusions/Learning Points
Author Contributions
Funding
Institutional Review Board Statement
Informed Consent Statement
Data Availability Statement
Conflicts of Interest
Abbreviations
| AF | Atrial fibrillation |
| AVRC | Arrhythmogenic right ventricular cardiomyopathy |
| ACE | Angiotensin-converting enzyme |
| BP | Blood pressure |
| CT | Computed tomography |
| DDDR | Dual-chamber rate-responsive |
| EF | Ejection fraction |
| HF | Heart failure |
| HFpEF | HF with preserved ejection fraction |
| HR | Heart rate |
| ICD | Intraventricular cardioverter-defibrillator |
| ECG | Electrocardiogram |
| LDL | Low-density lipoprotein |
| LVNC | LV noncompaction |
| LV | Left ventricular |
| MRI | Magnetic resonance imaging |
| NT pro-BNP | N-terminal pro-brain natriuretic peptide |
| RV | right ventricle |
| SGLT2i | Sodium-glucose cotransporter-2 inhibitors |
| SH | systemic hypertension |
| SSS | Sick sinus syndrome |
| PVB | Premature ventricular beats |
| T2DM | Type II diabetes mellitus |
| TTE | Transthoracic echocardiography |
| TSI | Total situs inversus |
| VT | Ventricular tachycardia |
References
- Eitler, K.; Bibok, A.; Telkes, G. Situs Inversus Totalis: A Clinical Review. Int. J. Gen. Med. 2022, 15, 2437–2449. [Google Scholar] [CrossRef] [PubMed]
- Vehsemeyer, A. Ein Fall von Congenitaler Detiokardie: Zugleich Ein Beitrag zur Verwerthung der Röntgenstrahlen in Gebiete Der Inner Medizin [A Case of Congenital Dextrocardia and a Contri-Bution to the Utilization of X-Rays in Areas of Internal Medicine]. Dtsch. Med. Woch-Enschrift 1897, 23, 180–181. [Google Scholar]
- Osarenkhoe, J.O. Situs Inversus: A Review of 191 Published Cases. Open J. Intern. Med. 2022, 12, 85–94. [Google Scholar] [CrossRef]
- Wilhelm, A.; Holbert, J.M.; Karani, J. Situs inversus imaging: Practice Essentials, Radiography, Computed Tomography. Available online: https://emedicine.medscape.com/article/413679-overview?form=fpf (accessed on 19 June 2023).
- Chen, W.; Guo, Z.; Qian, L.; Wang, L. Comorbidities in Situs Inversus Totalis: A Hospital-Based Study. Birth Defects Res. 2020, 112, 418–426. [Google Scholar] [CrossRef]
- Oliver, J.M.; Gallego, P.; Gonzalez, A.E.; Sanchez-Recalde, A.; Brett, M.; Polo, L.; Gutierrez-Larraya, F. Comparison of Outcomes in Adults with Congenitally Corrected Transposition with Situs Inversus versus Situs Solitus. Am. J. Cardiol. 2012, 110, 1687–1691. [Google Scholar] [CrossRef]
- Agirbasli, M.; Hamid, R.; Jennings, H.S.; Tiller, G.E. Situs Inversus with Hypertrophic Cardiomyopathy in Identical Twins. Am. J. Med. Genet. 2000, 91, 327–330. [Google Scholar] [CrossRef]
- Akkaya, E.; Sözener, K.; Rixe, J.; Erkapic, D. Successful Cryoballoon Ablation of a Focal Atrial Tachycardia in a Patient with Situs Inversus and Dextrocardia. Clin. Case Rep. 2019, 7, 1903–1906. [Google Scholar] [CrossRef]
- Luo, J.; Zhou, Z.; Chen, K.; Lin, J.; Cai, C.; Zeng, Z. Implantation of a Dual-Chamber Pacemaker in a Patient with Dextrocardia and Sick Sinus Syndrome: A Case Report. J. Int. Med. Res. 2022, 50, 03000605221088551. [Google Scholar] [CrossRef]
- Lüker, J.; Padala, S.K.; Cano, Ó.; Beiert, T.; Osswald, B.; Koneru, J.N.; Schrickel, J.W.; Kron, J.; Franqui-Rivera, H.; Gonzalez-Cordero, A.; et al. Multicenter Experience of Subcutaneous Implantable Cardioverter-Defibrillator Therapy in Patients with Dextrocardia. JACC Clin. Electrophysiol. 2019, 5, 1226–1228. [Google Scholar] [CrossRef] [PubMed]
- Guo, G.; Yang, L.; Wu, J.; Sun, L. Implantation of VVI Pacemaker in a Patient with Dextrocardia, Persistent Left Superior Vena Cava, and Sick Sinus Syndrome. Medicine 2017, 96, e6028. [Google Scholar] [CrossRef] [PubMed]
- Hayashi, T.; Goya, M.; Amemiya, M.; Sasano, T. Pacemaker Implantation for Sick Sinus Syndrome in a Pregnant Female with Situs Ambiguus and Polysplenia. J. Arrhythm. 2020, 37, 254–256. [Google Scholar] [CrossRef]
- Bakalli, A.; Jashari, I.; Krasniqi, X.; Spahiu, L. A Case of Successfully Implanted Dual Chamber Pacemaker in a Young Patient with Dextrocardia and Sick Sinus Syndrome. Clin. Med. Insights Case Rep. 2021, 14, 11795476211017733. [Google Scholar] [CrossRef] [PubMed]
- Yokoyama, Y.; Aiba, T.; Miyamoto, K.; Kanzaki, H.; Ueda, N.; Nakajima, K.; Kamakura, T.; Wada, M.; Yamagata, K.; Ishibashi, K.; et al. Pulmonary Vein Isolation and Pacemaker Implantation in a Patient with Dextrocardia Situs Inversus. Int. Heart J. 2021, 62, 927–931. [Google Scholar] [CrossRef]
- Leadless Pacemaker Implantation in Dextrocardia with Situs Viscerum Inversus: A Case Report and Literature Review—Bontempi—2023—Pacing and Clinical Electrophysiology—Wiley Online Library. Available online: https://onlinelibrary.wiley.com/doi/abs/10.1111/pace.14579 (accessed on 15 July 2025).
- Hakimi, M.; Yabumoto, M.; Sun, J.; Rochon-Duck, M.; Donaldson, D. Implantation of a Dual-Chamber Pacemaker in a Patient with Dextrocardia, Situs Inversus, and Sick Sinus Syndrome. J. Innov. Card. Rhythm. Manag. 2022, 13, 4889–4893. [Google Scholar] [CrossRef]
- Khurshid, S.; Nguyen, T.; Yamada, K.; Hanley, A. Looking into the Mirror: Pulmonary Vein Isolation in a Patient with Dextrocardia, Complete Situs Inversus, and Interrupted Inferior Vena Cava. Hear. Case Rep. 2023, 9, 396–400. [Google Scholar] [CrossRef]
- Nomura, A.; Otani, N.; Kokubun, A.; Mizuguchi, S.; Kawamoto, S.; Tomoe, T.; Kitahara, K.; Sugiyama, T.; Horie, Y.; Sugimura, H.; et al. Successful Transvenous Implantation of a Permanent Pacemaker in a Patient with Situs Inversus with Dextrocardia Supported by Preceding Three-Dimensional Computed Tomography. Intern. Med. 2024, 63, 1739–1743. [Google Scholar] [CrossRef]
- Nazarenko, N.; Maliha, M.; Cerna, L.; Abittan, N.; Borkowski, P.; Csecs, I.; Garcia, M. Beyond Convention: Non-Compacted Myocardium, Ventricular Tachycardia, and Systolic Dysfunction in Dextrocardia Patients: A Case Series. Ann. Med. Surg. 2025, 87, 56–61. [Google Scholar] [CrossRef]
- Motallebi, M.; Feizabadi, N. Cardiac Resynchronization Therapy Upgrade in a Patient with Dextrocardia and Situs Inversus Totalis, Facilitated by Coronary Sinus Cannulation with Electrophysiology Catheters from Both Femoral and Axillary Venous Approaches. J. Innov. Card. Rhythm. Manag. 2018, 9, 3084–3089. [Google Scholar] [CrossRef]
- Antony, D.; Gulec Yilmaz, E.; Gezdirici, A.; Slagter, L.; Bakey, Z.; Bornaun, H.; Tanidir, I.C.; Van Dinh, T.; Brunner, H.G.; Walentek, P.; et al. Spectrum of Genetic Variants in a Cohort of 37 Laterality Defect Cases. Front. Genet. 2022, 13, 861236. [Google Scholar] [CrossRef] [PubMed]
- Lei, M.; Salvage, S.C.; Jackson, A.P.; Huang, C.L.-H. Cardiac Arrhythmogenesis: Roles of Ion Channels and Their Functional Modification. Front. Physiol. 2024, 15, 1342761. [Google Scholar] [CrossRef] [PubMed]
- Monteiro, T.; Gutterres, D.B.; Lynch, R.; Carreiro, A.C.; Corvisier, M.; Nishijuka, F.A. Tachycardiomyopathy and Atrial Fibrillation in a Patient with Total Situs Inversus. J. Am. Coll. Cardiol. 2024, 83, 3738. [Google Scholar] [CrossRef]
- Zhao, X.; Su, X.; Long, D.-Y.; Sang, C.-H.; Bai, R.; Tang, R.-B.; Liu, N.; Jiang, C.-X.; Li, S.-N.; Guo, X.-Y.; et al. Catheter Ablation of Atrial Fibrillation in Situs Inversus Dextrocardia: Challenge, Improved Procedure, Outcomes, and Literature Review. Pacing Clin. Electrophysiol. 2021, 44, 293–305. [Google Scholar] [CrossRef]
- Specterman, M.J.; Behr, E.R. Cardiogenetics: The Role of Genetic Testing for Inherited Arrhythmia Syndromes and Sudden Death. Heart 2023, 109, 434–441. [Google Scholar] [CrossRef]
- Venugopal, K.; Chengjie, L.; Wee Tiong, Y. Supraventricular Tachycardia in Situs Inversus Totalis and Congenitally Corrected Transposition of the Great Arteries. JACC Case Rep. 2021, 3, 597–602. [Google Scholar] [CrossRef]
- Solimene, F.; Schillaci, V.; Guerrera, L.; Colavita, A.R.; Romano, C.; Maddaluno, F.; Stabile, G. High-density Mapping and Ablation of an Incessant Ventricular Tachycardia with Endo-epicardial Involvement in a Patient with Situs Inversus Totalis and Left Ventricular Noncompaction. J. Arrhythm. 2021, 37, 452–454. [Google Scholar] [CrossRef]
- Towbin, J.A.; McKenna, W.J.; Abrams, D.J.; Ackerman, M.J.; Calkins, H.; Darrieux, F.C.C.; Daubert, J.P.; de Chillou, C.; DePasquale, E.C.; Desai, M.Y.; et al. 2019 HRS Expert Consensus Statement on Evaluation, Risk Stratification, and Management of Arrhythmogenic Cardiomyopathy. Heart Rhythm 2019, 16, e301–e372. [Google Scholar] [CrossRef] [PubMed]
- Zeppenfeld, K.; Tfelt-Hansen, J.; De Riva, M.; Winkel, B.G.; Behr, E.R.; Blom, N.A.; Charron, P.; Corrado, D.; Dagres, N.; De Chillou, C.; et al. 2022 ESC Guidelines for the Management of Patients with Ventricular Arrhythmias and the Prevention of Sudden Cardiac Death. Eur. Heart J. 2022, 43, 3997–4126. [Google Scholar] [CrossRef]
- Tudoran, C. Echocardiographic Evolution of Pulmonary Hypertension in Female Patients with Hyperthyroidism. Anatol. J. Cardiol. 2018, 20, 174. [Google Scholar] [CrossRef] [PubMed]
- Lim, V.G.; He, H.; Lachlan, T.; Ng, G.A.; Kyrou, I.; Randeva, H.S.; Osman, F. Impact of Sodium-Glucose Co-Transporter Inhibitors on Cardiac Autonomic Function and Mortality: No Time to Die. EP Eur. 2022, 24, 1052–1057. [Google Scholar] [CrossRef] [PubMed]
- Fawzy, A.M.; Rivera-Caravaca, J.M.; Underhill, P.; Fauchier, L.; Lip, G.Y.H. Incident Heart Failure, Arrhythmias and Cardiovascular Outcomes with Sodium-glucose Cotransporter 2 (SGLT2) Inhibitor Use in Patients with Diabetes: Insights from a Global Federated Electronic Medical Record Database. Diabetes Obes. Metab. 2023, 25, 602–610. [Google Scholar] [CrossRef]
- Tudoran, C.; Tudoran, M.; Giurgi-Oncu, C.; Abu-Awwad, A.; Abu-Awwad, S.-A.; Voiţă-Mekereş, F. Associations between Oral Glucose-Lowering Agents and Increased Risk for Life-Threatening Arrhythmias in Patients with Type 2 Diabetes Mellitus-A Literature Review. Medicina 2023, 59, 1760. [Google Scholar] [CrossRef] [PubMed]
- Oates, C.P.; Santos-Gallego, C.G.; Smith, A.; Basyal, B.; Moss, N.; Kawamura, I.; Musikantow, D.R.; Turagam, M.K.; Miller, M.A.; Whang, W.; et al. SGLT2 Inhibitors Reduce Sudden Cardiac Death Risk in Heart Failure: Meta-analysis of Randomized Clinical Trials. Cardiovasc. Electrophysiol. 2023, 34, 1277–1285. [Google Scholar] [CrossRef] [PubMed]





| No | Author/ Year | No of Patients/Gender/age | SSS Form | Particularities | Treatment |
|---|---|---|---|---|---|
| 1. | Guo et al., 2017 [11] | 1/female/50 | Bradycardia, sinus pauses, paroxysmal AF | Persistent left superior vena cava | VVI pacemaker |
| 2. | Hayashi et al., 2020 [12] | 1/female/32 | Bradycardia, sinus pauses | Pregnancy | DDD |
| 3. | Bakalli et al., 2021 [13] | 1/female/38 | Bradycardia, sinus pauses, paroxysmal AF, junctional escape rhythm | - | DDD |
| 4. | Yokoyama et al., 2021 [14] | 1/female/70 | Paroxysmal AF, bradycardia, junctional bradycardia | Inferior vena cava occlusion Catheter ablation of AF | DDD |
| 5. | Luo et al., 2022 [9] | 1/female/65 | Bradycardia, sinus block, PVB, PAB, junctional escape beats | SH | DDD |
| 6. | Bontempi et al., 2022 [15] | 1/male/73 | Bradycardia, paroxysmal AF with slow and fast ventricular rate, sinus pauses | Non-ST elevation MI, bivascular coronary artery disease with PTCA | Leadless pacemaker |
| 7. | Hakimi et al., 2022 [16] | 1/female/43 | Bradycardia, junctional bradycardia, Paroxysmal AF | Surgery for severe rheumatic mitral and aortic stenosis | DDD |
| 8. | Khurshid et al., 2023 [17] | 1/female/73 | Paroxysmal AF, sinus bradycardia | Catheter ablation of AF, interrupted inferior vena cava | DDD |
| 9. | Nomura et al., 2024 [18] | 1/woman/75 | Bradycardia, sinus pauses, paroxysmal AF | HFpEF | DDD |
Disclaimer/Publisher’s Note: The statements, opinions and data contained in all publications are solely those of the individual author(s) and contributor(s) and not of MDPI and/or the editor(s). MDPI and/or the editor(s) disclaim responsibility for any injury to people or property resulting from any ideas, methods, instructions or products referred to in the content. |
© 2025 by the authors. Licensee MDPI, Basel, Switzerland. This article is an open access article distributed under the terms and conditions of the Creative Commons Attribution (CC BY) license (https://creativecommons.org/licenses/by/4.0/).
Share and Cite
Tudoran, C.; Tudoran, M.; Cozma, D.; Văcărescu, C.; Abu-Awwad, A.; Abu-Awwad, S.-A.; Jianu, D.C.; Voitță-Mekereș, F. Therapeutic Challenges in Total Situs Inversus Associated with Sick Sinus Syndrome, Ventricular Arrhythmias, and Heart Failure with Preserved Ejection Fraction: Narrative Review and Case Report. J. Cardiovasc. Dev. Dis. 2025, 12, 419. https://doi.org/10.3390/jcdd12110419
Tudoran C, Tudoran M, Cozma D, Văcărescu C, Abu-Awwad A, Abu-Awwad S-A, Jianu DC, Voitță-Mekereș F. Therapeutic Challenges in Total Situs Inversus Associated with Sick Sinus Syndrome, Ventricular Arrhythmias, and Heart Failure with Preserved Ejection Fraction: Narrative Review and Case Report. Journal of Cardiovascular Development and Disease. 2025; 12(11):419. https://doi.org/10.3390/jcdd12110419
Chicago/Turabian StyleTudoran, Cristina, Mariana Tudoran, Dragos Cozma, Cristina Văcărescu, Ahmed Abu-Awwad, Simona-Alina Abu-Awwad, Dragos Cătălin Jianu, and Florica Voitță-Mekereș. 2025. "Therapeutic Challenges in Total Situs Inversus Associated with Sick Sinus Syndrome, Ventricular Arrhythmias, and Heart Failure with Preserved Ejection Fraction: Narrative Review and Case Report" Journal of Cardiovascular Development and Disease 12, no. 11: 419. https://doi.org/10.3390/jcdd12110419
APA StyleTudoran, C., Tudoran, M., Cozma, D., Văcărescu, C., Abu-Awwad, A., Abu-Awwad, S.-A., Jianu, D. C., & Voitță-Mekereș, F. (2025). Therapeutic Challenges in Total Situs Inversus Associated with Sick Sinus Syndrome, Ventricular Arrhythmias, and Heart Failure with Preserved Ejection Fraction: Narrative Review and Case Report. Journal of Cardiovascular Development and Disease, 12(11), 419. https://doi.org/10.3390/jcdd12110419

