The Role of Coronary Imaging in Chronic Total Occlusions: Applications and Future Possibilities
Abstract
1. Introduction
Optical Coherence Tomography
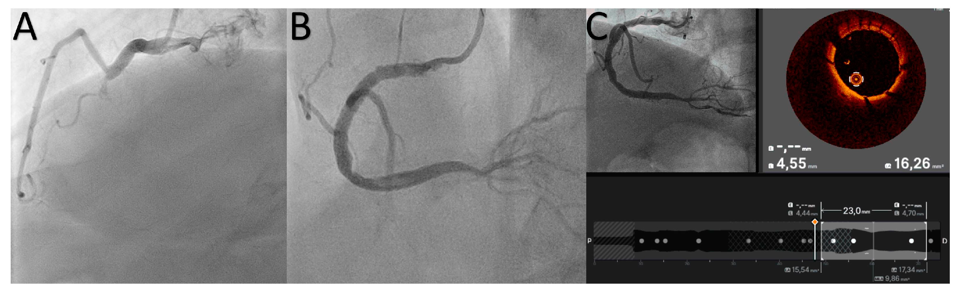
2. Intravascular Ultrasound
2.1. Proximal Cap Ambiguity
2.2. Support in Antegrade Dissection and Re-Entry (ADR)
2.3. Support in Reverse Controlled Antegrade and Retrograde Tracking (CART)
2.4. Stent Deployment and Optimization
2.5. IVUS Limitations
3. Coronary Computed Tomography Angiography (CCTA)
4. Discussion
5. Future Possibilities
6. Conclusions
Author Contributions
Funding
Institutional Review Board Statement
Informed Consent Statement
Data Availability Statement
Conflicts of Interest
References
- Råmunddal, T.; Hoebers, L.P.; Henriques, J.P.S.; Dworeck, C.; Angerås, O.; Odenstedt, J.; Ioanes, D.; Olivecrona, G.; Harnek, J.; Jensen, U.; et al. Prognostic Impact of Chronic Total Occlusions: A Report From SCAAR (Swedish Coronary Angiography and Angioplasty Registry). JACC Cardiovasc. Interv. 2016, 9, 1535–1544. [Google Scholar] [CrossRef] [PubMed]
- Fefer, P.; Knudtson, M.L.; Cheema, A.N.; Galbraith, P.D.; Osherov, A.B.; Yalonetsky, S.; Gannot, S.; Samuel, M.; Weisbrod, M.; Bierstone, D.; et al. Current Perspectives on Coronary Chronic Total Occlusions: The Canadian Multicenter Chronic Total Occlusions Registry. J. Am. Coll. Cardiol. 2012, 59, 991–997. [Google Scholar] [CrossRef] [PubMed]
- Panuccio, G.; Carabetta, N.; Torella, D.; De Rosa, S. Clinical Impact of Coronary Revascularization over Medical Treatment in Chronic Coronary Syndromes: A Systematic Review and Meta-Analysis. Hell. J. Cardiol. HJC Hell. Kardiol. Ep. 2024, 78, 60–71. [Google Scholar] [CrossRef] [PubMed]
- Werner, G.S.; Hildick-Smith, D.; Martin Yuste, V.; Boudou, N.; Sianos, G.; Gelev, V.; Rumoroso, J.R.; Erglis, A.; Christiansen, E.H.; Escaned, J.; et al. Three-Year Outcomes of A Randomized Multicentre Trial Comparing Revascularization and Optimal Medical Therapy for Chronic Total Coronary Occlusions (EuroCTO). EuroIntervention 2023, 19, 571–579. [Google Scholar] [CrossRef] [PubMed]
- Panuccio, G.; Carabetta, N.; Torella, D.; De Rosa, S. Percutaneous Coronary Revascularization versus Medical Therapy in Chronic Coronary Syndromes: An Updated Meta-Analysis of Randomized Controlled Trials. Eur. J. Clin. Investig. 2024, e14303. [Google Scholar] [CrossRef] [PubMed]
- Di Mario, C.; Mashayekhi, K.A.; Garbo, R.; Pyxaras, S.A.; Ciardetti, N.; Werner, G.S. Recanalisation of Coronary Chronic Total Occlusions. EuroIntervention 2022, 18, 535–561. [Google Scholar] [CrossRef] [PubMed]
- Christakopoulos, G.E.; Christopoulos, G.; Carlino, M.; Jeroudi, O.M.; Roesle, M.; Rangan, B.V.; Abdullah, S.; Grodin, J.; Kumbhani, D.J.; Vo, M.; et al. Meta-Analysis of Clinical Outcomes of Patients Who Underwent Percutaneous Coronary Interventions for Chronic Total Occlusions. Am. J. Cardiol. 2015, 115, 1367–1375. [Google Scholar] [CrossRef]
- Stojkovic, S.; Juricic, S.; Dobric, M.; Nedeljkovic, M.A.; Vukcevic, V.; Orlic, D.; Stankovic, G.; Tomasevic, M.; Aleksandric, S.; Dikic, M.; et al. Improved Propensity-Score Matched Long-Term Clinical Outcomes in Patients with Successful Percutaneous Coronary Interventions of Coronary Chronic Total Occlusion. Int. Heart J. 2018, 59, 719–726. [Google Scholar] [CrossRef]
- Teramoto, T.; Tsuchikane, E.; Yamamoto, M.; Matsuo, H.; Kawase, Y.; Suzuki, Y.; Kanou, S.; Shimura, T.; Sato, H.; Habara, M.; et al. Successful Revascularization Improves Long-Term Clinical Outcome in Patients with Chronic Coronary Total Occlusion. Int. J. Cardiol. Heart Vasc. 2017, 14, 28–32. [Google Scholar] [CrossRef][Green Version]
- Melotti, E.; Belmonte, M.; Gigante, C.; Mallia, V.; Mushtaq, S.; Conte, E.; Neglia, D.; Pontone, G.; Collet, C.; Sonck, J.; et al. The Role of Multimodality Imaging for Percutaneous Coronary Intervention in Patients with Chronic Total Occlusions. Front. Cardiovasc. Med. 2022, 9, 823091. [Google Scholar] [CrossRef]
- Xenogiannis, I.; Pavlidis, A.N.; Kaier, T.E.; Rigopoulos, A.G.; Karamasis, G.V.; Triantafyllis, A.S.; Vardas, P.; Brilakis, E.S.; Kalogeropoulos, A.S. The Role of Intravascular Imaging in Chronic Total Occlusion Percutaneous Coronary Intervention. Front. Cardiovasc. Med. 2023, 10, 1199067. [Google Scholar] [CrossRef] [PubMed]
- Prati, F.; Jenkins, M.W.; Di Giorgio, A.; Rollins, A.M. Intracoronary Optical Coherence Tomography, Basic Theory and Image Acquisition Techniques. Int. J. Cardiovasc. Imaging 2011, 27, 251–258. [Google Scholar] [CrossRef] [PubMed]
- Engel, L.-C.; Landmesser, U.; Abdelwahed, Y.S.; Jaguszewski, M.; Gigengack, K.; Wurster, T.-H.; Skurk, C.; Manes, C.; Schuster, A.; Noutsias, M.; et al. Comprehensive Multimodality Characterization of Hemodynamically Significant and Non-Significant Coronary Lesions Using Invasive and Noninvasive Measures. PLoS ONE 2020, 15, e0228292. [Google Scholar] [CrossRef] [PubMed]
- Schultz, C.; van der Ent, M.; Serruys, P.W.; Regar, E. Optical Coherence Tomography to Guide Treatment of Chronic Occlusions? JACC Cardiovasc. Interv. 2009, 2, 366–367. [Google Scholar] [CrossRef][Green Version]
- Sandesara, P.B.; Robertson, G.C.; Chan, K.F.; Rowe, D.; Ebner, A.; Minarsch, L.; Lombardi, W.; Kandzari, D.E.; Hinohara, T.; Simpson, J.B. Clinical Experience of a Novel Optical Coherence Tomography-Guided Coronary Chronic Total Occlusion Re-Entry Device. JACC Case Rep. 2023, 26, 102041. [Google Scholar] [CrossRef]
- Teijeiro Mestre, R.; Alegría-Barrero, E.; Di Mario, C. Microchannels in Recent Chronic Total Occlusions Assessed with Frequency-Domain Optical Coherence Tomography. Rev. Esp. Cardiol. Engl. Ed. 2013, 66, 907. [Google Scholar] [CrossRef]
- Hong, D.; Kim, S.M.; Lee, S.Y.; Choi, K.H.; Song, Y.B.; Lee, J.-Y.; Lee, S.-J.; Yun, K.H.; Cho, J.Y.; Kim, C.J.; et al. Prognostic Impact of Intravascular Imaging-Guided Percutaneous Coronary Intervention in Chronic Total Occlusion. Circulation 2023, 148, 903–905. [Google Scholar] [CrossRef]
- Koskinas, K.C. IVUS for Guidance of Coronary Interventions: Applying Optimisation Targets to Improve Clinical Outcomes. EuroIntervention 2020, 16, e448–e450. [Google Scholar] [CrossRef]
- Panuccio, G.; De Rosa, S.; Landmesser, U.; Leistner, D.M.; Abdelwahed, Y.S. Role of Integrated Intracoronary Imaging to Identify Surgical Clip as a Trigger for ACS-NSTE. JACC Case Rep. 2024, 29, 102152. [Google Scholar] [CrossRef]
- Bourantas, C.V.; Tenekecioglu, E.; Radu, M.; Räber, L.; Serruys, P.W. State of the Art: Role of Intravascular Imaging in the Evolution of Percutaneous Coronary Intervention—a 30-Year Review. EuroIntervention 2017, 13, 644–653. [Google Scholar] [CrossRef]
- Karatasakis, A.; Danek, B.A.; Karmpaliotis, D.; Alaswad, K.; Jaffer, F.A.; Yeh, R.W.; Patel, M.P.; Bahadorani, J.N.; Wyman, R.M.; Lombardi, W.L.; et al. Impact of Proximal Cap Ambiguity on Outcomes of Chronic Total Occlusion Percutaneous Coronary Intervention: Insights From a Multicenter US Registry. J. Invasive Cardiol. 2016, 28, 391–396. [Google Scholar] [PubMed]
- Galassi, A.R.; Sumitsuji, S.; Boukhris, M.; Brilakis, E.S.; Di Mario, C.; Garbo, R.; Spratt, J.C.; Christiansen, E.H.; Gagnor, A.; Avran, A.; et al. Utility of Intravascular Ultrasound in Percutaneous Revascularization of Chronic Total Occlusions: An Overview. JACC Cardiovasc. Interv. 2016, 9, 1979–1991. [Google Scholar] [CrossRef]
- Tanaka, K.; Okamura, A.; Tsuchikane, E.; Matsuda, H.; Kawahira, M.; Sumiyoshi, A.; Watanabe, S.; Iwamoto, M.; Tanaka, N.; Koyama, Y.; et al. New Antegrade Dissection Re-Entry Technique with Tip Detection Method and New Puncture Wire in CTO-PCI. JACC Cardiovasc. Interv. 2023, 16, 1546–1548. [Google Scholar] [CrossRef] [PubMed]
- Sakakura, K. Tip Detection-Antegrade Dissection and Re-Entry: Is This the Beginning of a New Era? JACC Asia 2024, 4, 373–374. [Google Scholar] [CrossRef]
- Tanaka, K.; Okamura, A.; Yoshikawa, R.; Tsuchikane, E.; Ishikawa, M.; Suzuki, S.; Nagai, H.; Sumiyoshi, A.; Kawahira, M.; Yamasaki, T.; et al. Tip Detection-Antegrade Dissection and Re-Entry with New Puncture Wire in CTO Intervention: Revolution Through 3D-Wiring. JACC Asia 2024, 4, 359–372. [Google Scholar] [CrossRef] [PubMed]
- Megaly, M.; Xenogiannis, I.; Abi Rafeh, N.; Karmpaliotis, D.; Rinfret, S.; Yamane, M.; Burke, M.N.; Brilakis, E.S. Retrograde Approach to Chronic Total Occlusion Percutaneous Coronary Intervention. Circ. Cardiovasc. Interv. 2020, 13, e008900. [Google Scholar] [CrossRef]
- Brilakis, E.S.; Mashayekhi, K.; Tsuchikane, E.; Abi Rafeh, N.; Alaswad, K.; Araya, M.; Avran, A.; Azzalini, L.; Babunashvili, A.M.; Bayani, B.; et al. Guiding Principles for Chronic Total Occlusion Percutaneous Coronary Intervention. Circulation 2019, 140, 420–433. [Google Scholar] [CrossRef]
- Matsuno, S.; Tsuchikane, E.; Harding, S.A.; Wu, E.B.; Kao, H.-L.; Brilakis, E.S.; Mashayekhi, K.; Werner, G.S. Overview and Proposed Terminology for the Reverse Controlled Antegrade and Retrograde Tracking (Reverse CART) Techniques. EuroIntervention 2018, 14, 94–101. [Google Scholar] [CrossRef]
- Rathore, S.; Katoh, O.; Tuschikane, E.; Oida, A.; Suzuki, T.; Takase, S. A Novel Modification of the Retrograde Approach for the Recanalization of Chronic Total Occlusion of the Coronary Arteries Intravascular Ultrasound-Guided Reverse Controlled Antegrade and Retrograde Tracking. JACC Cardiovasc. Interv. 2010, 3, 155–164. [Google Scholar] [CrossRef]
- Ullrich, H.; Münzel, T.; Gori, T. Coronary Stent Thrombosis—Predictors and Prevention. Dtsch. Arztebl. Int. 2020, 117, 320–326. [Google Scholar] [CrossRef]
- Choi, S.-Y.; Witzenbichler, B.; Maehara, A.; Lansky, A.J.; Guagliumi, G.; Brodie, B.; Kellett, M.A.; Dressler, O.; Parise, H.; Mehran, R.; et al. Intravascular Ultrasound Findings of Early Stent Thrombosis after Primary Percutaneous Intervention in Acute Myocardial Infarction: A Harmonizing Outcomes with Revascularization and Stents in Acute Myocardial Infarction (HORIZONS-AMI) Substudy. Circ. Cardiovasc. Interv. 2011, 4, 239–247. [Google Scholar] [CrossRef] [PubMed]
- Calvert, P.A.; Brown, A.J.; Hoole, S.P.; Obaid, D.R.; West, N.E.J.; Bennett, M.R. Geographical Miss Is Associated with Vulnerable Plaque and Increased Major Adverse Cardiovascular Events in Patients with Myocardial Infarction. Catheter. Cardiovasc. Interv. Off. J. Soc. Card. Angiogr. Interv. 2016, 88, 340–347. [Google Scholar] [CrossRef] [PubMed]
- Räber, L.; Mintz, G.S.; Koskinas, K.C.; Johnson, T.W.; Holm, N.R.; Onuma, Y.; Radu, M.D.; Joner, M.; Yu, B.; Jia, H.; et al. Clinical Use of Intracoronary Imaging. Part 1: Guidance and Optimization of Coronary Interventions. An Expert Consensus Document of the European Association of Percutaneous Cardiovascular Interventions. Eur. Heart J. 2018, 39, 3281–3300. [Google Scholar] [CrossRef] [PubMed]
- Hong, S.-J.; Kim, B.-K.; Shin, D.-H.; Kim, J.-S.; Hong, M.-K.; Gwon, H.-C.; Kim, H.-S.; Yu, C.W.; Park, H.S.; Chae, I.-H.; et al. Usefulness of Intravascular Ultrasound Guidance in Percutaneous Coronary Intervention with Second-Generation Drug-Eluting Stents for Chronic Total Occlusions (from the Multicenter Korean-Chronic Total Occlusion Registry). Am. J. Cardiol. 2014, 114, 534–540. [Google Scholar] [CrossRef]
- Kim, B.-K.; Shin, D.-H.; Hong, M.-K.; Park, H.S.; Rha, S.-W.; Mintz, G.S.; Kim, J.-S.; Kim, J.S.; Lee, S.-J.; Kim, H.-Y.; et al. Clinical Impact of Intravascular Ultrasound-Guided Chronic Total Occlusion Intervention with Zotarolimus-Eluting Versus Biolimus-Eluting Stent Implantation: Randomized Study. Circ. Cardiovasc. Interv. 2015, 8, e002592. [Google Scholar] [CrossRef]
- Tian, N.-L.; Gami, S.-K.; Ye, F.; Zhang, J.-J.; Liu, Z.-Z.; Lin, S.; Ge, Z.; Shan, S.-J.; You, W.; Chen, L.; et al. Angiographic and Clinical Comparisons of Intravascular Ultrasound- versus Angiography-Guided Drug-Eluting Stent Implantation for Patients with Chronic Total Occlusion Lesions: Two-Year Results from a Randomised AIR-CTO Study. EuroIntervention 2015, 10, 1409–1417. [Google Scholar] [CrossRef]
- Vemmou, E.; Khatri, J.; Doing, A.H.; Dattilo, P.; Toma, C.; Sheikh, A.; Alaswad, K.; Jefferson, B.K.; Patel, T.N.; Chandwaney, R.H.; et al. Impact of Intravascular Ultrasound Utilization for Stent Optimization on 1-Year Outcomes After Chronic Total Occlusion Percutaneous Coronary Intervention. J. Invasive Cardiol. 2020, 32, 392–399. [Google Scholar] [PubMed]
- Kalogeropoulos, A.S.; Alsanjari, O.; Davies, J.R.; Keeble, T.R.; Tang, K.H.; Konstantinou, K.; Vardas, P.; Werner, G.S.; Kelly, P.A.; Karamasis, G.V. Impact of Intravascular Ultrasound on Chronic Total Occlusion Percutaneous Revascularization. Cardiovasc. Revascularization Med. Mol. Interv. 2021, 33, 32–40. [Google Scholar] [CrossRef]
- Panuccio, G.; Abdelwahed, Y.S.; Carabetta, N.; Salerno, N.; Leistner, D.M.; Landmesser, U.; De Rosa, S.; Torella, D.; Werner, G.S. Clinical and Procedural Outcomes of IVUS-Guided vs. Angiography-Guided CTO-PCI: A Systematic Review and Meta-Analysis. J. Clin. Med. 2023, 12, 4947. [Google Scholar] [CrossRef]
- Carabetta, N.; Siller-Matula, J.M.; Boccuto, F.; Panuccio, G.; Indolfi, C.; Torella, D.; De Rosa, S. Commissural Alignment during TAVR Reduces the Risk of Overlap to Coronary Ostia. Int. J. Cardiol. 2024, 395, 131572. [Google Scholar] [CrossRef]
- El Merhi, F.; Bou-Fakhredin, R.; El Ashkar, B.; Ghieh, D.; Ghosn, Y.; Saade, C. State of the Art of Coronary Computed Tomography Angiography. Radiography 2020, 26, 174–182. [Google Scholar] [CrossRef] [PubMed]
- Zheng, Y.; Tek, H.; Funka-Lea, G. Robust and Accurate Coronary Artery Centerline Extraction in CTA by Combining Model-Driven and Data-Driven Approaches. In Proceedings of the International Conference on Medical Image Computing and Computer Assisted Intervention, Nagoya, Japan, 22–26 September 2013; Volume 16, pp. 74–81. [Google Scholar] [CrossRef]
- Rivest-Hénault, D.; Sundar, H.; Cheriet, M. Nonrigid 2D/3D Registration of Coronary Artery Models with Live Fluoroscopy for Guidance of Cardiac Interventions. IEEE Trans. Med. Imaging 2012, 31, 1557–1572. [Google Scholar] [CrossRef] [PubMed]
- Napel, S.; Rubin, G.D.; Jeffrey, R.B. STS-MIP: A New Reconstruction Technique for CT of the Chest. J. Comput. Assist. Tomogr. 1993, 17, 832–838. [Google Scholar] [CrossRef]
- Yamamoto, M.H.; Maehara, A.; Poon, M.; Guo, J.; Yamashita, K.; Yakushiji, T.; Saito, S.; Koyama, K.; Mintz, G.S.; Ochiai, M. Morphological Assessment of Chronic Total Occlusions by Combined Coronary Computed Tomographic Angiography and Intravascular Ultrasound Imaging. Eur. Heart J. Cardiovasc. Imaging 2017, 18, 315–322. [Google Scholar] [CrossRef]
- La Scala, E.; Peyre, J.-P.; Maupas, E.; ReSurg; CT-CTO PCI Study Group. Effect of Preoperative Coronary CT for Planning of Percutaneous Coronary Intervention for Complex Chronic Total Occlusion (CTS-C-CTOPCI): Study Protocol for an Open-Label Randomised Controlled Trial. Trials 2023, 24, 560. [Google Scholar] [CrossRef] [PubMed]
- Magro, M.; Schultz, C.; Simsek, C.; Garcia-Garcia, H.M.; Regar, E.; Nieman, K.; Mollet, N.; Serruys, P.W.; van Geuns, R.-J. Computed Tomography as a Tool for Percutaneous Coronary Intervention of Chronic Total Occlusions. EuroIntervention 2010, 6 (Suppl. G), G123–G131. [Google Scholar]
- Danad, I.; Szymonifka, J.; Schulman-Marcus, J.; Min, J.K. Static and Dynamic Assessment of Myocardial Perfusion by Computed Tomography. Eur. Heart J. Cardiovasc. Imaging 2016, 17, 836–844. [Google Scholar] [CrossRef]
- Ehara, M.; Terashima, M.; Kawai, M.; Matsushita, S.; Tsuchikane, E.; Kinoshita, Y.; Kimura, M.; Nasu, K.; Tanaka, N.; Fujita, H.; et al. Impact of Multislice Computed Tomography to Estimate Difficulty in Wire Crossing in Percutaneous Coronary Intervention for Chronic Total Occlusion. J. Invasive Cardiol. 2009, 21, 575–582. [Google Scholar]
- Mollet, N.R.; Hoye, A.; Lemos, P.A.; Cademartiri, F.; Sianos, G.; McFadden, E.P.; Krestin, G.P.; Serruys, P.W.; de Feyter, P.J. Value of Preprocedure Multislice Computed Tomographic Coronary Angiography to Predict the Outcome of Percutaneous Recanalization of Chronic Total Occlusions. Am. J. Cardiol. 2005, 95, 240–243. [Google Scholar] [CrossRef]
- Soon, K.H.; Cox, N.; Wong, A.; Chaitowitz, I.; Macgregor, L.; Santos, P.T.; Selvanayagam, J.B.; Farouque, H.M.O.; Rametta, S.; Bell, K.W.; et al. CT Coronary Angiography Predicts the Outcome of Percutaneous Coronary Intervention of Chronic Total Occlusion. J. Intervent. Cardiol. 2007, 20, 359–366. [Google Scholar] [CrossRef]
- Brilakis, E.S.; Banerjee, S. Dancing with the “STAR”: The Role of Subintimal Dissection/Re-Entry Strategies in Coronary Chronic Total Occlusion Interventions. Catheter. Cardiovasc. Interv. Off. J. Soc. Card. Angiogr. Interv. 2012, 79, 28–29. [Google Scholar] [CrossRef] [PubMed]
- Panuccio, G.; Werner, G.S.; De Rosa, S.; Torella, D.; Leistner, D.M.; Siegrist, P.T.; Haghikia, A.; Skurk, C.; Mashayekhi, K.; Landmesser, U.; et al. Full-Moon Coronary Calcification as Detected with Computed Tomography Angiography in Chronic Total Occlusion Percutaneous Coronary Intervention. Am. J. Cardiol. 2024, 222, 149–156. [Google Scholar] [CrossRef] [PubMed]
- Panuccio, G.; Skurk, C.; Landmesser, U.; Abdelwahed, Y.S. Double “Full Moon” CTO Plaque Detected by Computed Tomography Could Predict High-Grade Debulking Techniques: A Case-Report. Clin. Case Rep. 2023, 11, e7325. [Google Scholar] [CrossRef] [PubMed]
- Morino, Y.; Abe, M.; Morimoto, T.; Kimura, T.; Hayashi, Y.; Muramatsu, T.; Ochiai, M.; Noguchi, Y.; Kato, K.; Shibata, Y.; et al. Predicting Successful Guidewire Crossing through Chronic Total Occlusion of Native Coronary Lesions within 30 Minutes: The J-CTO (Multicenter CTO Registry in Japan) Score as a Difficulty Grading and Time Assessment Tool. JACC Cardiovasc. Interv. 2011, 4, 213–221. [Google Scholar] [CrossRef] [PubMed]
- Tan, Y.; Zhou, J.; Zhang, W.; Zhou, Y.; Du, L.; Tian, F.; Guo, J.; Chen, L.; Cao, F.; Chen, Y. Comparison of CT-RECTOR and J-CTO Scores to Predict Chronic Total Occlusion Difficulty for Percutaneous Coronary Intervention. Int. J. Cardiol. 2017, 235, 169–175. [Google Scholar] [CrossRef] [PubMed]
- Yu, C.-W.; Lee, H.-J.; Suh, J.; Lee, N.-H.; Park, S.-M.; Park, T.K.; Yang, J.H.; Song, Y.B.; Hahn, J.-Y.; Choi, S.H.; et al. Coronary Computed Tomography Angiography Predicts Guidewire Crossing and Success of Percutaneous Intervention for Chronic Total Occlusion: Korean Multicenter CTO CT Registry Score as a Tool for Assessing Difficulty in Chronic Total Occlusion Percutaneous Coronary Intervention. Circ. Cardiovasc. Imaging 2017, 10, e005800. [Google Scholar] [CrossRef]
- Opolski, M.P.; Achenbach, S.; Schuhbäck, A.; Rolf, A.; Möllmann, H.; Nef, H.; Rixe, J.; Renker, M.; Witkowski, A.; Kepka, C.; et al. Coronary Computed Tomographic Prediction Rule for Time-Efficient Guidewire Crossing through Chronic Total Occlusion: Insights from the CT-RECTOR Multicenter Registry (Computed Tomography Registry of Chronic Total Occlusion Revascularization). JACC Cardiovasc. Interv. 2015, 8, 257–267. [Google Scholar] [CrossRef]
- Hong, S.-J.; Kim, B.-K.; Cho, I.; Kim, H.-Y.; Rha, S.-W.; Lee, S.-H.; Park, S.M.; Kim, Y.H.; Chang, H.-J.; Ahn, C.-M.; et al. Effect of Coronary CTA on Chronic Total Occlusion Percutaneous Coronary Intervention: A Randomized Trial. JACC Cardiovasc. Imaging 2021, 14, 1993–2004. [Google Scholar] [CrossRef]
- Werner, G.S. Use of Coronary Computed Tomographic Angiography to Facilitate Percutaneous Coronary Intervention of Chronic Total Occlusions. Circ. Cardiovasc. Interv. 2019, 12, e007387. [Google Scholar] [CrossRef]
- Lee, S.-W.; Lee, P.H.; Ahn, J.-M.; Park, D.-W.; Yun, S.-C.; Han, S.; Kang, H.; Kang, S.-J.; Kim, Y.-H.; Lee, C.W.; et al. Randomized Trial Evaluating Percutaneous Coronary Intervention for the Treatment of Chronic Total Occlusion. Circulation 2019, 139, 1674–1683. [Google Scholar] [CrossRef]
- Juricic, S.A.; Stojkovic, S.M.; Galassi, A.R.; Stankovic, G.R.; Orlic, D.N.; Vukcevic, V.D.; Milasinovic, D.G.; Aleksandric, S.B.; Tomasevic, M.V.; Dobric, M.R.; et al. Long-Term Follow-up of Patients with Chronic Total Coronary Artery Occlusion Previously Randomized to Treatment with Optimal Drug Therapy or Percutaneous Revascularization of Chronic Total Occlusion (COMET-CTO). Front. Cardiovasc. Med. 2022, 9, 1014664. [Google Scholar] [CrossRef] [PubMed]
- Hong, S.-J.; Lee, S.-J.; Lee, S.-H.; Lee, J.-Y.; Cho, D.-K.; Kim, J.W.; Kim, S.M.; Hur, S.-H.; Heo, J.H.; Jang, J.-Y.; et al. Optical Coherence Tomography-Guided versus Angiography-Guided Percutaneous Coronary Intervention for Patients with Complex Lesions (OCCUPI): An Investigator-Initiated, Multicentre, Randomised, Open-Label, Superiority Trial in South Korea. Lancet 2024, 404, 1029–1039. [Google Scholar] [CrossRef] [PubMed]
- Nakachi, T.; Yamane, M.; Kishi, K.; Muramatsu, T.; Okada, H.; Oikawa, Y.; Yoshikawa, R.; Kawasaki, T.; Tanaka, H.; Katoh, O. Machine Learning for Prediction of Technical Results of Percutaneous Coronary Intervention for Chronic Total Occlusion. J. Clin. Med. 2023, 12, 3354. [Google Scholar] [CrossRef] [PubMed]
- Li, M.; Ling, R.; Yu, L.; Yang, W.; Chen, Z.; Wu, D.; Zhang, J. Deep Learning Segmentation and Reconstruction for CT of Chronic Total Coronary Occlusion. Radiology 2023, 306, e221393. [Google Scholar] [CrossRef]
- Zhou, Z.; Gao, Y.; Zhang, W.; Zhang, N.; Wang, H.; Wang, R.; Gao, Z.; Huang, X.; Zhou, S.; Dai, X.; et al. Deep Learning-Based Prediction of Percutaneous Recanalization in Chronic Total Occlusion Using Coronary CT Angiography. Radiology 2023, 309, e231149. [Google Scholar] [CrossRef]



| Study | K-CTO | CTO-IVUS | Air-CTO | Progress-CTO | Kalogeropoulos et al. [38] |
| Year | 2014 | 2015 | 2015 | 2020 | 2021 |
| Study type | Observational | Randomized Controlled Trial | Randomized controlled trial | Observational | Observational |
| Sample Size | 402 IG: 201 AG: 201 | 402 IG: 201 AG: 201 | 230 IG: 115 AG: 115 | 922 IG: 344 AG: 578 | 364 IG: 182 AG: 182 |
| Follow Up (Years) | 2 | 1 | 1 | 1 | 4 |
| Primary Endpoint | Definite or probable stent thrombosis | Cardiac Death | in-stent late lumen loss (LLL) | CD, MI, TVR | All cause death, CD, MI, TVR |
| Procedural Success | NR | IG 99 AG 98 | IG 91 AG 68 | NR | NR |
| Retrograde Approach (%) | NR | IG: 7 AG 9.5 | IG: 10.4 AG: 19.1 | IG: 28.8 AG: 21.4 | 25.5 IG: 30.2 AG: 20.9 |
| Anterograde Approach (%) | NR | IG: 93 AG: 90.5 | IG: 89.6 AG: 80.9 | IG: AWE 53.5 ADR:17.4 AG: AWE 57.1 ADR: 19.8 | IG: AWE 60.4 ADR: 9.3 AG: AWE 69.2 ADR: 9.9 |
| Second-Generation DES (%) | 100 | 100 | IG 27.8 AG 20.0 | NR | 100 |
| J-CTO Score | CT-RECTOR Score | KCCT Score | |
|---|---|---|---|
| Morphology |
|
|
|
| Calcification |
|
|
|
| Bending |
|
|
|
| Length |
|
| |
| Proximal Adjacent Side Branch |
| ||
| Re-Attempt |
|
|
|
| Occlusion |
| ||
| Duration |
|
| |
| Total Score |
|
|
|
| Imaging Modality | Basic Principles | Strengths | Weaknesses |
|---|---|---|---|
| OCT (Optical coherence tomography) | Near-infrared light | -High-resolution (10-20 μm), allowing detailed assessment of plaque morphology -Detection of microchannels, thrombus, edge dissection -Useful for guiding stent deployment/optimization | -Limited penetration depth -Requires blood clearance with contrast, may enlarge dissections -Supplementary contrast use may impair renal function |
| IVUS (Intravascular ultrasound) | High-frequency sound waves | -Good penetration depth -Assessment of vessel size, plaque burden, calcification -Useful for guiding stent deployment/optimization -Helpful for solving proximal cap ambiguity -Support in retrograde and antegrade dissection and re-entry (ADR) approaches, including tip-detection ADR | -Lower resolution comparing to OCT -Interpretation is operator-dependent -Unable to detect thin fibrous caps or microcalcifications |
| CCTA (Coronary Computed Tomography Angiography) | X-rays | -Non-invasive modality -Slab maximum intensity projection (MIP) allows high-quality images. -Curved and stretched multi-planar (MPR) reconstructions allow easy measurement of occlusion length. -Volume rendering (VR) creates a three-dimensional view of the vessel. -Identification of calcium patterns around the CTO-lesion. -Simulation of angiographic views, friendly to interventional cardiologists. -CCTA based scores (KCCT and CT-rector) predict success rates. | -Lacking real-time imaging during PCI -Contrast and radiation exposure -Blooming effect due to heavy calcification may reduce diagnostic accuracy -Training needed to use CCTA programs -High costs |
Disclaimer/Publisher’s Note: The statements, opinions and data contained in all publications are solely those of the individual author(s) and contributor(s) and not of MDPI and/or the editor(s). MDPI and/or the editor(s) disclaim responsibility for any injury to people or property resulting from any ideas, methods, instructions or products referred to in the content. |
© 2024 by the authors. Licensee MDPI, Basel, Switzerland. This article is an open access article distributed under the terms and conditions of the Creative Commons Attribution (CC BY) license (https://creativecommons.org/licenses/by/4.0/).
Share and Cite
Panuccio, G.; Abdelwahed, Y.S.; Carabetta, N.; Landmesser, U.; De Rosa, S.; Torella, D. The Role of Coronary Imaging in Chronic Total Occlusions: Applications and Future Possibilities. J. Cardiovasc. Dev. Dis. 2024, 11, 295. https://doi.org/10.3390/jcdd11090295
Panuccio G, Abdelwahed YS, Carabetta N, Landmesser U, De Rosa S, Torella D. The Role of Coronary Imaging in Chronic Total Occlusions: Applications and Future Possibilities. Journal of Cardiovascular Development and Disease. 2024; 11(9):295. https://doi.org/10.3390/jcdd11090295
Chicago/Turabian StylePanuccio, Giuseppe, Youssef S. Abdelwahed, Nicole Carabetta, Ulf Landmesser, Salvatore De Rosa, and Daniele Torella. 2024. "The Role of Coronary Imaging in Chronic Total Occlusions: Applications and Future Possibilities" Journal of Cardiovascular Development and Disease 11, no. 9: 295. https://doi.org/10.3390/jcdd11090295
APA StylePanuccio, G., Abdelwahed, Y. S., Carabetta, N., Landmesser, U., De Rosa, S., & Torella, D. (2024). The Role of Coronary Imaging in Chronic Total Occlusions: Applications and Future Possibilities. Journal of Cardiovascular Development and Disease, 11(9), 295. https://doi.org/10.3390/jcdd11090295

