BeGraft Aortic Stents: A European Multi-Centre Experience Reporting Acute Safety and Efficacy Outcomes for the Treatment of Vessel Stenosis in Congenital Heart Diseases
Abstract
1. Introduction
2. Methods
2.1. Study Design, Study Groups, and Procedural Data
2.2. Stent Characteristics
2.3. Statistics
3. Results
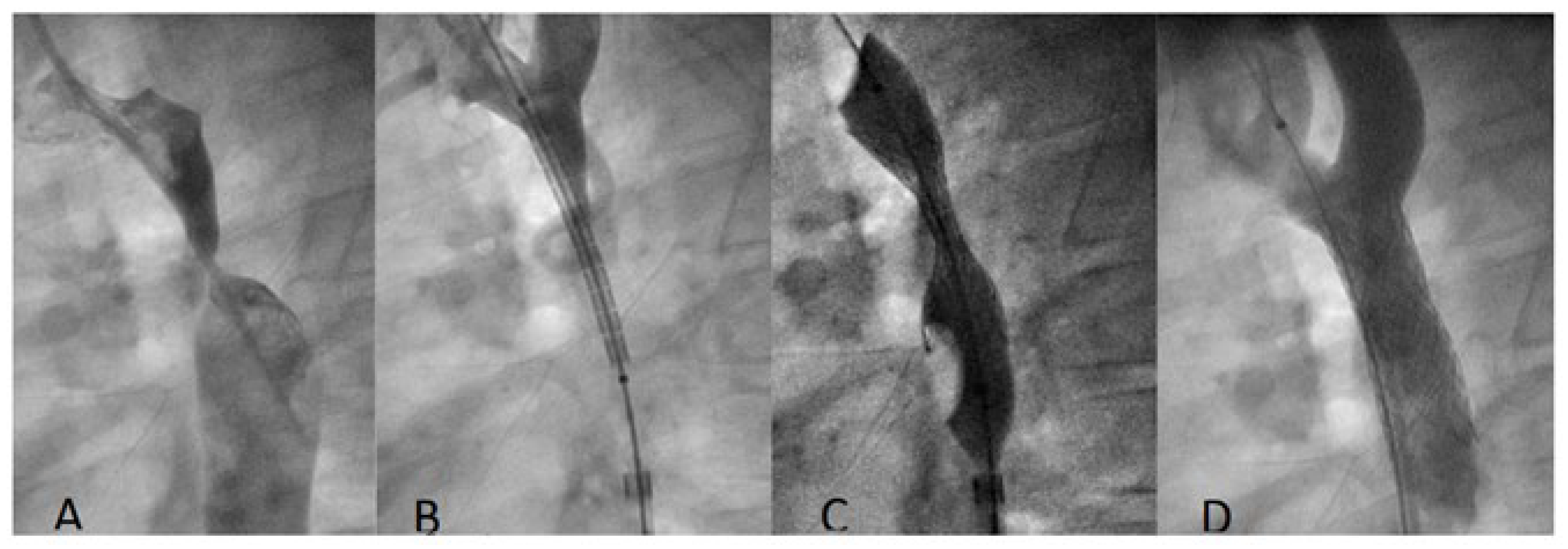
3.1. Coarctation Group
3.2. RVOT Group
3.3. Fontan Group
3.4. Miscellaneus
4. Discussion
5. Conclusions
Author Contributions
Funding
Institutional Review Board Statement
Informed Consent Statement
Data Availability Statement
Conflicts of Interest
References
- Yılmazer, M.; Vuran, G.; Meşe, T.; Güven, B.; Zihni, C.; Gerçeker, E.; Karaçelik, M. Endovascular treatment of aortic coarctation with a novel BeGraft aortic stent in children and young adults: A single-centre experience with short-term follow-up results. Cardiol. Young 2022, 32, 451–458. [Google Scholar] [CrossRef] [PubMed]
- Vanagt, W.Y.; Cools, B.; Boshoff, D.E.; Frerich, S.; Heying, R.; Troost, E.; Louw, J.; Eyskens, B.; Budts, W.; Gewillig, M. Use of covered Cheatham-Platinum stents in congenital heart disease. Int. J. Cardiol. 2014, 175, 102–107. [Google Scholar] [CrossRef] [PubMed]
- Schranz, D.; Jux, C.; Vogel, M.; Bauer, J.; Akintürk, H.; Valeske, K. Large-diameter graft-stent (Advanta V12) implantation in various locations: Early results. Cardiol. Young 2011, 21, 66–73. [Google Scholar] [CrossRef] [PubMed]
- Erdem, A.; Akdeniz, C.; Sarıtaş, T.; Erol, N.; Demir, F.; Karaci, A.R.; Yalçın, Y.; Celebi, A. Cheatham-Platinum stent for native and recurrent aortic coarctation in children and adults: Immediate and early follow-up results. Anadolu Kardiyol. Derg. 2011, 11, 441–449. [Google Scholar] [CrossRef] [PubMed]
- Boshoff, D.E.; Cools, B.L.; Heying, R.; Troost, E.; Kefer, J.; Budts, W.; Gewillig, M. Off-label use of percutaneous pulmonary valved stents in the right ventricular outflow tract: Time to rewrite the label? Catheter. Cardiovasc. Interv. 2013, 81, 987–995. [Google Scholar] [CrossRef] [PubMed]
- Ewert, P.; Schubert, S.; Peters, B.; Abdul-Khaliq, H.; Nagdyman, N.; Lange, P.E. The CP stent–short, long, covered—For the treatment of aortic coarctation, stenosis of pulmonary arteries and caval veins, and Fontan anastomosis in children and adults: An evaluation of 60 stents in 53 patients. Heart 2005, 91, 948–953. [Google Scholar] [CrossRef] [PubMed]
- Butera, G.; Piazza, L.; Chessa, M.; Abella, R.; Bussadori, C.; Negura, D.; Carminati, M. Covered stents in patients with congenital heart defects. Catheter. Cardiovasc. Interv. 2006, 67, 466–472. [Google Scholar] [CrossRef] [PubMed]
- Tanous, D.; Collins, N.; Dehghani, P.; Benson, L.N.; Horlick, E.M. Covered stents in the management of coarctation of the aorta in the adult: Initial results and 1-year angiographic and hemodynamic follow-up. Int. J. Cardiol. 2010, 140, 287–295. [Google Scholar] [CrossRef] [PubMed]
- Taggart, N.W.; Minahan, M.; Cabalka, A.K.; Cetta, F.; Usmani, K.; Ringel, R.E.; COAST II Investigators. Immediate Outcomes of Covered Stent Placement for Treatment or Prevention of Aortic Wall Injury Associated with Coarctation of the Aorta (COAST II). JACC Cardiovasc. Interv. 2016, 9, 484–493. [Google Scholar] [CrossRef] [PubMed]
- Al Balushi, A.; Pascall, E.; Jones, M.I.; Qureshi, S.; Butera, G. Initial experience with a novel ePTFE-covered balloon expandable stent in patients with near-atretic or severe aortic coarctation and small femoral arterial access. Cardiol. Young 2021, 31, 224–228. [Google Scholar] [CrossRef]
- Promphan, W.; Han Siang, K.; Prachasilchai, P.; Jarutach, J.; Makonkawkeyoon, K.; Siwaprapakorn, W.; Chutimapongrat, N.; Sueachim, P.; Butchan, Y. Feasibility and early outcomes of aortic coarctation treatments with BeGraft Aortic stent. Catheter. Cardiovasc. Interv. 2020, 96, E310–E316. [Google Scholar] [CrossRef] [PubMed]
- Kavurt, A.V.; Gürsu, H.A.; Kaş, G.; Özdemiroğlu, N.; Bağrul, D.; Gül, A.E.K.; Ece, İ.; Çetin, İ.I. Early outcomes of the treatment of aortic coarctation with BeGraft aortic stent in children and young adults. Cardiol. Young 2023, 33, 354–361. [Google Scholar] [CrossRef] [PubMed]
- Pedra, C.A.; Fontes, V.F.; Esteves, C.A.; Arrieta, S.R.; Braga, S.L.; Justino, H.; Kambara, A.M.; Moreira, S.M.; Sousa, J.E. Use of covered stents in the man-agement of coarctation of the aorta. Pediatr. Cardiol. 2005, 26, 431–439. [Google Scholar] [CrossRef] [PubMed]
- Stassen, J.; De Meester, P.; Troost, E.; Roggen, L.; Moons, P.; Gewillig, M.; Van De Bruaene, A.; Budts, W. Covered stent placement for treatment of coarctation of the aorta: Immediate and long-term results. Acta Cardiol. 2021, 76, 464–472. [Google Scholar] [CrossRef] [PubMed]




| Total | Coarctation Group | Rvot Stenting | Fontan | Miscellaneous | |
|---|---|---|---|---|---|
| Patients/stents n (%) | N = 104/N = 107 | 74 (71.1)/75 (70) | 12 (11.5)/14 (13) | 7 (6)/7 (6.5) | 11 (10.5)/11 (10.2) |
| Age (years), median | 13 (1–70) | 26 (6–59) | 19 (4–30) | 15 (4–19) | 11 (1–58) |
| Weight (kg), median (IQR) | 56.5 (11–115) | 58.5 (15–115) | 58 (12–64) | 57 (16–90) | 58 (11–76) |
| Begraft stent size, median (IQR) | 16 (7–24) | 16 (7–24) | 16 (7–24) | 16 (14–22) | 16 (7–24) |
| Begraft stent length, median (IQR) | 39 (19–49) | 39 (19–49) | 39 (19–49) | 39 (29–59) | 39 (19–49) |
| Delivery sheath size (Fr), median | 12 (9–16) | 12 (9–14) | 14 (9–16) | 12 (9–14) | 12 (9–14) |
| Fluoroscopy time (min), median | 20 (6–68) | 15 (6–60) | 19 (8–56) | 17 (7–48) | 21 (9–68) |
| Total | Coarctation Group | Rvot Stenting | Fontan | Miscellaneous | |
|---|---|---|---|---|---|
| Patients | 104 | 74 | 12 | 7 | 11 |
| Implantation success, n (pt) | 104 | 74 | 12 | 7 | 11 |
| Serious procedural complications, n (%) | 5 (4.8) | 2 (2.7) | 2 (16.6) | - | 1 (9) |
| Minor procedural complication | 4 | 2 | 1 | 1 | - |
| Vascular access complications, n (%) | 2 | 2 | - | - | - |
| Delivery baloon rupture | 2 | - | 1 | 1 | - |
| Late stent redilatation | 7 | 5 | - | - | 2 |
| Follow-up (months), median (IQR) | 14 | 14 (1–70) | 12 (1–45) | 14 (1–70) | 14 (1–70) |
Disclaimer/Publisher’s Note: The statements, opinions and data contained in all publications are solely those of the individual author(s) and contributor(s) and not of MDPI and/or the editor(s). MDPI and/or the editor(s) disclaim responsibility for any injury to people or property resulting from any ideas, methods, instructions or products referred to in the content. |
© 2024 by the authors. Licensee MDPI, Basel, Switzerland. This article is an open access article distributed under the terms and conditions of the Creative Commons Attribution (CC BY) license (https://creativecommons.org/licenses/by/4.0/).
Share and Cite
Rebonato, M.; Pilati, M.; Milani, S.M.; Bonnet, D.; Pascall, E.; Jones, M.; Betrian, P.; Bianco, L.; Lucron, H.; Hascoet, S.; et al. BeGraft Aortic Stents: A European Multi-Centre Experience Reporting Acute Safety and Efficacy Outcomes for the Treatment of Vessel Stenosis in Congenital Heart Diseases. J. Cardiovasc. Dev. Dis. 2024, 11, 192. https://doi.org/10.3390/jcdd11070192
Rebonato M, Pilati M, Milani SM, Bonnet D, Pascall E, Jones M, Betrian P, Bianco L, Lucron H, Hascoet S, et al. BeGraft Aortic Stents: A European Multi-Centre Experience Reporting Acute Safety and Efficacy Outcomes for the Treatment of Vessel Stenosis in Congenital Heart Diseases. Journal of Cardiovascular Development and Disease. 2024; 11(7):192. https://doi.org/10.3390/jcdd11070192
Chicago/Turabian StyleRebonato, Micol, Mara Pilati, Sophie Malekzadeh Milani, Damien Bonnet, Emma Pascall, Matthew Jones, Pedro Betrian, Lisa Bianco, Hugues Lucron, Sebastien Hascoet, and et al. 2024. "BeGraft Aortic Stents: A European Multi-Centre Experience Reporting Acute Safety and Efficacy Outcomes for the Treatment of Vessel Stenosis in Congenital Heart Diseases" Journal of Cardiovascular Development and Disease 11, no. 7: 192. https://doi.org/10.3390/jcdd11070192
APA StyleRebonato, M., Pilati, M., Milani, S. M., Bonnet, D., Pascall, E., Jones, M., Betrian, P., Bianco, L., Lucron, H., Hascoet, S., Baruteau, A.-E., Giugno, L., & Butera, G. (2024). BeGraft Aortic Stents: A European Multi-Centre Experience Reporting Acute Safety and Efficacy Outcomes for the Treatment of Vessel Stenosis in Congenital Heart Diseases. Journal of Cardiovascular Development and Disease, 11(7), 192. https://doi.org/10.3390/jcdd11070192

