ST-Segment Elevation: An Unexpected Culprit
Abstract
:1. Introduction
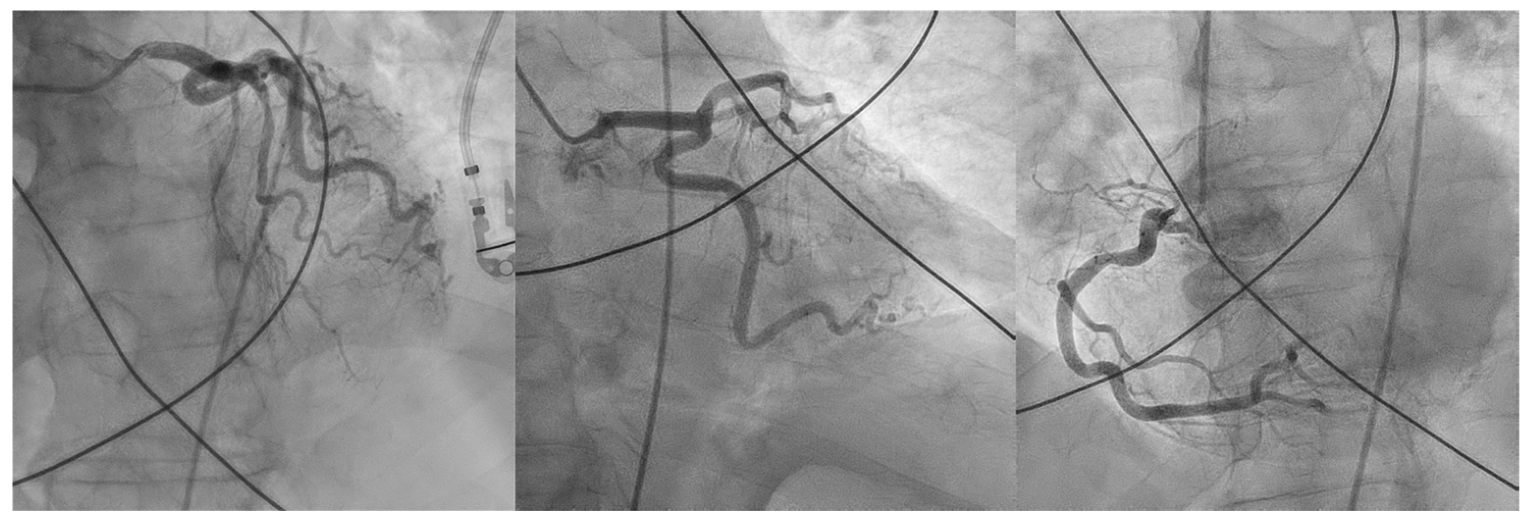
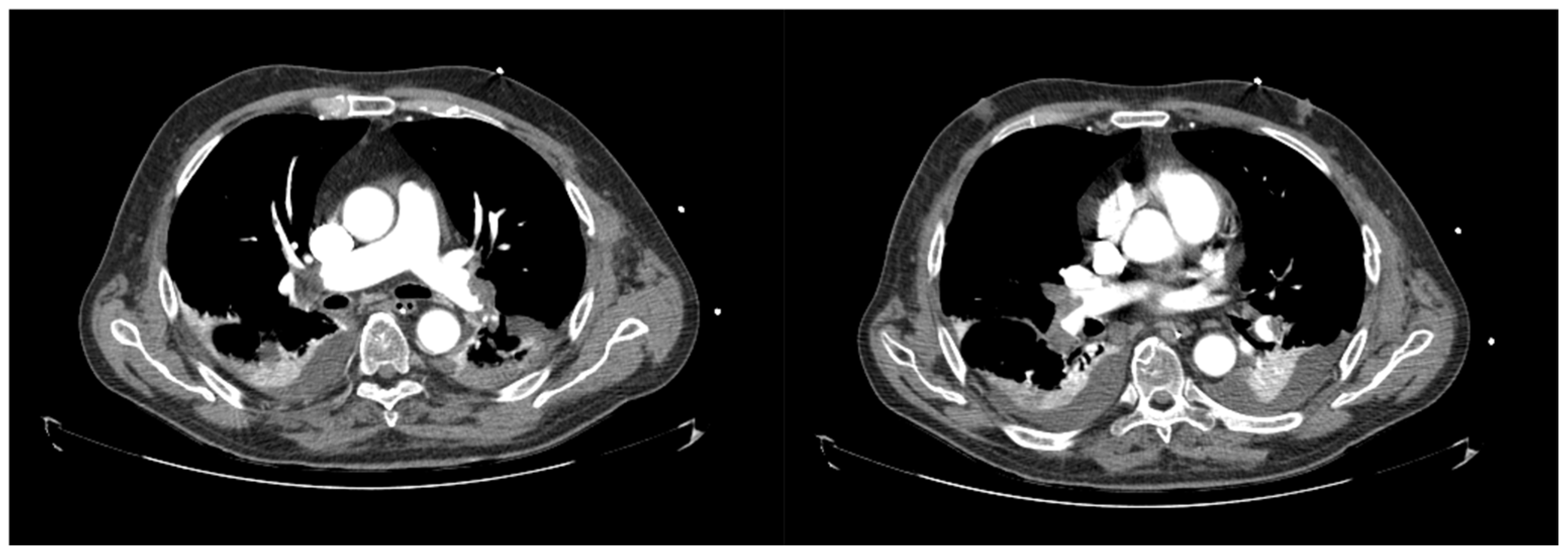
2. Detailed Case Description
3. Discussion
4. Conclusions
Supplementary Materials
Author Contributions
Funding
Institutional Review Board Statement
Informed Consent Statement
Data Availability Statement
Conflicts of Interest
References
- Pollack, C.V.; Schreiber, D.; Goldhaber, S.Z.; Slattery, D.; Fanikos, J.; O’Neil, B.J.; Thompson, J.R.; Hiestand, B.; Briese, B.A.; Pendleton, R.C.; et al. Clinical characteristics, management, and outcomes of patients diagnosed with acute pulmonary embolism in the emergency department: Initial report of EMPEROR (Multicenter Emergency Medicine Pulmonary Embolism in the Real World Registry). J. Am. Coll. Cardiol. 2011, 57, 700–706. [Google Scholar] [CrossRef]
- Stein, P.D.; Matta, F.; Hughes, P.G.; Hughes, M.J. Nineteen-Year Trends in Mortality of Patients Hospitalized in the United States with High-Risk Pulmonary Embolism. Am. J. Med. 2021, 134, 1260–1264. [Google Scholar] [CrossRef]
- Konstantinides, S.V.; Meyer, G.; Becattini, C.; Bueno, H.; Geersing, G.J.; Harjola, V.-P.; Huisman, M.V.; Humbert, M.; Jennings, C.S.; Jiménez, D.; et al. 2019 ESC Guidelines for the diagnosis and management of acute pulmonary embolism developed in collaboration with the European Respiratory Society (ERS). Eur. Heart J. 2020, 41, 543–603. [Google Scholar] [CrossRef]
- Ibanez, B.; James, S.; Agewall, S.; Antunes, M.J.; Bucciarelli-Ducci, C.; Bueno, H.; Caforio, A.L.P.; Crea, F.; Goudevenos, J.A.; Halvorsen, S.; et al. 2017 ESC Guidelines for the management of acute myocardial infarction in patients presenting with ST-segment elevation: The Task Force for the management of acute myocardial infarction in patients presenting with ST-segment elevation of the European Society of Cardiology (ESC). Eur. Heart J. 2018, 39, 119–177. [Google Scholar] [CrossRef] [PubMed]
- Wang, K.; Asinger, R.W.; Marriott, H.J. ST-segment elevation in conditions other than acute myocardial infarction. N. Engl. J. Med. 2003, 349, 2128–2135. [Google Scholar] [CrossRef] [PubMed]
- Villablanca, P.A.; Vlismas, P.P.; Aleksandrovich, T.; Omondi, A.; Gupta, T.; Briceno, D.F.; Garcia, M.J.; Wiley, J. Case report and systematic review of pulmonary embolism mimicking ST-elevation myocardial infarction. Vascular 2019, 27, 90–97. [Google Scholar] [CrossRef] [PubMed]
- Goslar, T.; Podbregar, M. Acute ECG st-segment elevation mimicking myocardial infarction in a patient with pulmonary embolism. Cardiovasc. Ultrasound 2010, 8, 50. [Google Scholar] [CrossRef]
- Avgerinos, E.D.; Jaber, W.; Lacomis, J.; Markel, K.; McDaniel, M.; Rivera-Lebron, B.N.; Ross, C.B.; Sechrist, J.; Toma, C.; Chaer, R.; et al. Randomized Trial Comparing Standard Versus Ultrasound-Assisted Thrombolysis for Submassive Pulmonary Embolism: The SUNSET sPE Trial. Cardiovasc. Interv. 2021, 14, 1364–1373. [Google Scholar] [CrossRef]
- Kucher, N.; Boekstegers, P.; Müller, O.J.; Kupatt, C.; Beyer-Westendorf, J.; Heitzer, T.; Tebbe, U.; Horstkotte, J.; Müller, R.; Blessing, E.; et al. Randomized, controlled trial of ultrasound-assisted catheter-directed thrombolysis for acute intermediate-risk pulmonary embolism. Circulation 2014, 129, 479–486. [Google Scholar] [CrossRef]
- Piazza, G.; Hohlfelder, B.; Jaff, M.R.; Ouriel, K.; Engelhardt, T.C.; Sterling, K.M.; Jones, N.J.; Gurley, J.C.; Bhatheja, R.; Kennedy, R.J.; et al. A Prospective, Single-Arm, Multicenter Trial of Ultrasound-Facilitated, Catheter-Directed, Low-Dose Fibrinolysis for Acute Massive and Submassive Pulmonary Embolism: The SEATTLE II Study. Cardiovasc. Interv. 2015, 8, 1382–1392. [Google Scholar] [CrossRef]
- Sista, A.K.; Horowitz, J.M.; Tapson, V.F.; Rosenberg, M.; Elder, M.D.; Schiro, B.J.; Dohad, S.; Amoroso, N.E.; Dexter, D.J.; Loh, C.T.; et al. Indigo Aspiration System for Treatment of Pulmonary Embolism: Results of the EXTRACT-PE Trial. Cardiovasc. Interv. 2021, 14, 319–329. [Google Scholar] [CrossRef]
- Tapson, V.F.; Sterling, K.; Jones, N.; Elder, M.; Tripathy, U.; Brower, J.; Maholic, R.L.; Ross, C.B.; Natarajan, K.; Fong, P.; et al. A Randomized Trial of the Optimum Duration of Acoustic Pulse Thrombolysis Procedure in Acute Intermediate-Risk Pulmonary Embolism: The OPTALYSE PE Trial. Cardiovasc. Interv. 2018, 11, 1401–1410. [Google Scholar] [CrossRef]
- Tu, T.; Toma, C.; Tapson, V.F.; Adams, C.; Jaber, W.A.; Silver, M.; Khandhar, S.; Amin, R.; Weinberg, M.; Engelhardt, T.; et al. A Prospective, Single-Arm, Multicenter Trial of Catheter-Directed Mechanical Thrombectomy for Intermediate-Risk Acute Pulmonary Embolism: The FLARE Study. Cardiovasc. Interv. 2019, 12, 859–869. [Google Scholar] [CrossRef]
- Siddiqa, A.; Haider, A.; Jog, A.; Yue, B.; Krim, N.R. Pulmonary embolism presenting as st-elevation myocardial infarction: A diagnostic trap. Am. J. Case Rep. 2020, 21, e927923-1–e927923-6. [Google Scholar] [CrossRef] [PubMed]
- Cheng, T.O. Mechanism of st-elevation in acute pulmonary embolism. Int. J. Cardiol. 2005, 103, 221–223. [Google Scholar] [CrossRef]
- Zheng, B.; Bian, F.; Li, J.; Xu, H.; Wang, J. A potential diagnostic pitfall in St Elevation: Acute pulmonary embolism or ST-segment elevation myocardial infarction. Ann. Noninvasive Electrocardiol. 2021, 27, e12928. [Google Scholar] [CrossRef]
- Gheith, Z.; Alqam, B.; Jagana, R. A rare case of pulmonary emboli presenting with ST Elevation on ECG. Cureus 2022, 14, e29249. [Google Scholar] [CrossRef]
- Mistry, A.; Natarajan, N.; Hussain, S.; Vali, Z. Unusual presentation of Acute Pulmonary Embolus presenting with inferior St Elevation. BMJ Case Rep. 2018, 2018, bcr-2018. [Google Scholar] [CrossRef]
- Meyer, G.; Vicaut, E.; Danays, T.; Agnelli, G.; Becattini, C.; Beyer-Westendorf, J.; Bluhmki, E.; Bouvaist, H.; Brenner, B.; Couturaud, F.; et al. Fibrinolysis for patients with intermediate-risk pulmonary embolism. N. Engl. J. Med. 2014, 370, 1402–1411. [Google Scholar] [CrossRef] [PubMed]
- Pruszczyk, P.; Klok, F.K.; Kucher, N.; Roik, M.; Meneveau, N.; Sharp, A.S.; Nielsen-Kudsk, J.N.-K.; Obradović, S.; Barco, S.; Giannini, F.; et al. Percutaneous treatment options for acute pulmonary embolism: A clinical consensus statement by the ESC Working Group on Pulmonary Circulation and Right Ventricular Function and the European Association of Percutaneous Cardiovascular Interventions. EuroIntervention 2022, 18, e623–e638. [Google Scholar] [CrossRef]
- Ismayl, M.; Balakrishna, A.M.; Aboeata, A.; Gupta, T.; Young, M.N.; Altin, S.E.; Aronow, H.D.; Goldsweig, A.M. Meta-Analysis Comparing Catheter-Directed Thrombolysis Versus Systemic Anticoagulation Alone for Submassive Pulmonary Embolism. Am. J. Cardiol. 2022, 178, 154–162. [Google Scholar] [CrossRef] [PubMed]
- Sadeghipour, P.; Jenab, Y.; Moosavi, J.; Hosseini, K.; Mohebbi, B.; Hosseinsabet, A.; Chatterjee, S.; Pouraliakbar, H.; Shirani, S.; Shishehbor, M.H.; et al. Catheter-Directed Thrombolysis vs Anticoagulation in Patients with Acute Intermediate-High-risk Pulmonary Embolism: The CANARY Randomized Clinical Trial. JAMA Cardiol. 2022, 7, 1189–1197. [Google Scholar] [CrossRef] [PubMed]
- Marti, C.; John, G.; Konstantinides, S.; Combescure, C.; Sanchez, O.; Lankeit, M.; Meyer, G.; Perrier, A. Systemic thrombolytic therapy for acute pulmonary embolism: A systematic review and meta-analysis. Eur. Heart J. 2015, 36, 605–614. [Google Scholar] [CrossRef]
- De Gregorio, M.A.; Guirola, J.A.; Kuo, W.T.; Serrano, C.; Urbano, J.; Figueredo, A.L.; Sierre, S.; Quezada, C.A.; Barbero, E.; Jiménez, D. Catheter-directed aspiration thrombectomy and low-dose thrombolysis for patients with acute unstable pulmonary embolism: Prospective outcomes from a PE registry. Int. J. Cardiol. 2019, 287, 106–110. [Google Scholar] [CrossRef] [PubMed]
- Toma, C.; Jaber, W.A.; Weinberg, M.D.; Bunte, M.C.; Khandhar, S.; Stegman, B.; Gondi, S.; Chambers, J.; Amin, R.; Leung, D.A.; et al. Acute outcomes for the full US cohort of the Flash mechanical thrombectomy registry in Pulmonary Embolism. EuroIntervention 2023, 18, 1201–1212. [Google Scholar] [CrossRef]







Disclaimer/Publisher’s Note: The statements, opinions and data contained in all publications are solely those of the individual author(s) and contributor(s) and not of MDPI and/or the editor(s). MDPI and/or the editor(s) disclaim responsibility for any injury to people or property resulting from any ideas, methods, instructions or products referred to in the content. |
© 2023 by the authors. Licensee MDPI, Basel, Switzerland. This article is an open access article distributed under the terms and conditions of the Creative Commons Attribution (CC BY) license (https://creativecommons.org/licenses/by/4.0/).
Share and Cite
Sá Couto, D.; Alexandre, A.; Costa, R.; Campinas, A.; Santos, M.; Ribeiro, D.; Torres, S.; Luz, A. ST-Segment Elevation: An Unexpected Culprit. J. Cardiovasc. Dev. Dis. 2023, 10, 374. https://doi.org/10.3390/jcdd10090374
Sá Couto D, Alexandre A, Costa R, Campinas A, Santos M, Ribeiro D, Torres S, Luz A. ST-Segment Elevation: An Unexpected Culprit. Journal of Cardiovascular Development and Disease. 2023; 10(9):374. https://doi.org/10.3390/jcdd10090374
Chicago/Turabian StyleSá Couto, David, André Alexandre, Ricardo Costa, Andreia Campinas, Mariana Santos, Diana Ribeiro, Severo Torres, and André Luz. 2023. "ST-Segment Elevation: An Unexpected Culprit" Journal of Cardiovascular Development and Disease 10, no. 9: 374. https://doi.org/10.3390/jcdd10090374
APA StyleSá Couto, D., Alexandre, A., Costa, R., Campinas, A., Santos, M., Ribeiro, D., Torres, S., & Luz, A. (2023). ST-Segment Elevation: An Unexpected Culprit. Journal of Cardiovascular Development and Disease, 10(9), 374. https://doi.org/10.3390/jcdd10090374

