Echocardiography vs. CMR in the Quantification of Chronic Mitral Regurgitation: A Happy Marriage or Stormy Divorce?
Abstract
1. Introduction
2. Echocardiography and CMR Quantitative Parameters: Technical Aspects
2.1. Echocardiography
2.2. Cardiovascular Magnetic Resonance
3. Echocardiography vs. CMR: Comparative Studies and Current Evidence
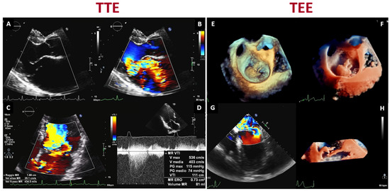
3.1. 2D Echocardiography vs. CMR
3.2. 3D Echocardiography vs. CMR
3.3. Prognostic Impact of MR Quantification
4. Application in Clinical Practice
5. Conclusions
Author Contributions
Funding
Institutional Review Board Statement
Informed Consent Statement
Data Availability Statement
Conflicts of Interest
References
- Iung, B.; Delgado, V.; Rosenhek, R.; Price, S.; Prendergast, B.; Wendler, O.; De Bonis, M.; Tribouilloy, C.; Evangelista, A.; Bogachev-Prokophiev, A.; et al. Contemporary Presentation and Management of Valvular Heart Disease: The EURObservational Research Programme Valvular Heart Disease II Survey. Circulation 2019, 140, 1156–1169. [Google Scholar] [CrossRef] [PubMed]
- Enriquez-Sarano, M.; Akins, C.W.; Vahanian, A. Mitral regurgitation. Lancet 2009, 373, 1382–1394. [Google Scholar] [CrossRef]
- Liu, B.; Edwards, N.C.; Pennell, D.; Steeds, R.P. The evolving role of cardiac magnetic resonance in primary mitral regurgitation: Ready for prime time? Eur. Heart J. Cardiovasc. Imaging 2019, 20, 123–130. [Google Scholar] [CrossRef] [PubMed]
- Enriquez-Sarano, M.; Sundt, T.M., 3rd. Early surgery is recommended for mitral regurgitation. Circulation 2010, 121, 804–811, discussion 812. [Google Scholar] [CrossRef] [PubMed]
- Otto, C.M.; Nishimura, R.A.; Bonow, R.O.; Carabello, B.A.; Erwin, J.P., 3rd; Gentile, F.; Jneid, H.; Krieger, E.V.; Mack, M.; McLeod, C.; et al. 2020 ACC/AHA Guideline for the Management of Patients With Valvular Heart Disease: A Report of the American College of Cardiology/American Heart Association Joint Committee on Clinical Practice Guidelines. Circulation 2021, 143, e72–e227. [Google Scholar] [CrossRef]
- Vahanian, A.; Beyersdorf, F.; Praz, F.; Milojevic, M.; Baldus, S.; Bauersachs, J.; Capodanno, D.; Conradi, L.; De Bonis, M.; De Paulis, R.; et al. 2021 ESC/EACTS Guidelines for the management of valvular heart disease. Eur. J. Cardiothorac. Surg. 2021, 60, 727–800. [Google Scholar] [CrossRef]
- Lancellotti, P.; Tribouilloy, C.; Hagendorff, A.; Popescu, B.A.; Edvardsen, T.; Pierard, L.A.; Badano, L.; Zamorano, J.L.; Scientific Document Committee of the European Association of Cardiovascular Imaging. Recommendations for the echocardiographic assessment of native valvular regurgitation: An executive summary from the European Association of Cardiovascular Imaging. Eur. Heart J. Cardiovasc. Imaging 2013, 14, 611–644. [Google Scholar] [CrossRef]
- Zoghbi, W.A.; Adams, D.; Bonow, R.O.; Enriquez-Sarano, M.; Foster, E.; Grayburn, P.A.; Hahn, R.T.; Han, Y.; Hung, J.; Lang, R.M.; et al. Recommendations for Noninvasive Evaluation of Native Valvular Regurgitation: A Report from the American Society of Echocardiography Developed in Collaboration with the Society for Cardiovascular Magnetic Resonance. J. Am. Soc. Echocardiogr. 2017, 30, 303–371. [Google Scholar] [CrossRef]
- Grothues, F.; Moon, J.C.; Bellenger, N.G.; Smith, G.S.; Klein, H.U.; Pennell, D.J. Interstudy reproducibility of right ventricular volumes, function, and mass with cardiovascular magnetic resonance. Am. Heart J. 2004, 147, 218–223. [Google Scholar] [CrossRef]
- Uretsky, S.; Supariwala, A.; Nidadovolu, P.; Khokhar, S.S.; Comeau, C.; Shubayev, O.; Campanile, F.; Wolff, S.D. Quantification of left ventricular remodeling in response to isolated aortic or mitral regurgitation. J. Cardiovasc. Magn. Reson. 2010, 12, 32. [Google Scholar] [CrossRef]
- Grayburn, P.A.; Bhella, P. Grading severity of mitral regurgitation by echocardiography: Science or art? JACC Cardiovasc. Imaging 2010, 3, 244–246. [Google Scholar] [CrossRef]
- O’Gara, P.; Sugeng, L.; Lang, R.; Sarano, M.; Hung, J.; Raman, S.; Fischer, G.; Carabello, B.; Adams, D.; Vannan, M. The role of imaging in chronic degenerative mitral regurgitation. JACC Cardiovasc. Imaging 2008, 1, 221–237. [Google Scholar] [CrossRef] [PubMed]
- Asch, F.M.; Grayburn, P.A.; Siegel, R.J.; Kar, S.; Lim, D.S.; Zaroff, J.G.; Mishell, J.M.; Whisenant, B.; Mack, M.J.; Lindenfeld, J.; et al. Echocardiographic Outcomes After Transcatheter Leaflet Approximation in Patients With Secondary Mitral Regurgitation: The COAPT Trial. J. Am. Coll. Cardiol. 2019, 74, 2969–2979. [Google Scholar] [CrossRef] [PubMed]
- Enriquez-Sarano, M.; Bailey, K.R.; Seward, J.B.; Tajik, A.J.; Krohn, M.J.; Mays, J.M. Quantitative Doppler assessment of valvular regurgitation. Circulation 1993, 87, 841–848. [Google Scholar] [CrossRef]
- Enriquez-Sarano, M.; Miller, F.A., Jr.; Hayes, S.N.; Bailey, K.R.; Tajik, A.J.; Seward, J.B. Effective mitral regurgitant orifice area: Clinical use and pitfalls of the proximal isovelocity surface area method. J. Am. Coll. Cardiol. 1995, 25, 703–709. [Google Scholar] [CrossRef]
- Irvine, T.; Li, X.K.; Sahn, D.J.; Kenny, A. Assessment of mitral regurgitation. Heart 2002, 88 (Suppl. S4), iv11–iv19. [Google Scholar] [CrossRef] [PubMed]
- Eleid, M.F.; Foley, T.A.; Said, S.M.; Pislaru, S.V.; Rihal, C.S. Severe Mitral Annular Calcification: Multimodality Imaging for Therapeutic Strategies and Interventions. JACC Cardiovasc. Imaging 2016, 9, 1318–1337. [Google Scholar] [CrossRef] [PubMed]
- Topilsky, Y.; Michelena, H.; Bichara, V.; Maalouf, J.; Mahoney, D.W.; Enriquez-Sarano, M. Mitral valve prolapse with mid-late systolic mitral regurgitation: Pitfalls of evaluation and clinical outcome compared with holosystolic regurgitation. Circulation 2012, 125, 1643–1651. [Google Scholar] [CrossRef]
- Grayburn, P.A.; Thomas, J.D. Basic Principles of the Echocardiographic Evaluation of Mitral Regurgitation. JACC Cardiovasc. Imaging 2021, 14, 843–853. [Google Scholar] [CrossRef]
- Uretsky, S.; Aldaia, L.; Marcoff, L.; Koulogiannis, K.; Hiramatsu, S.; Argulian, E.; Rosenthal, M.; Gillam, L.D.; Wolff, S.D. The Effect of Systolic Variation of Mitral Regurgitation on Discordance Between Noninvasive Imaging Modalities. JACC Cardiovasc. Imaging 2019, 12, 2431–2442. [Google Scholar] [CrossRef]
- Lancellotti, P.; Fattouch, K.; La Canna, G. Therapeutic decision-making for patients with fluctuating mitral regurgitation. Nat. Rev. Cardiol. 2015, 12, 212–219. [Google Scholar] [CrossRef]
- Le Goffic, C.; Toledano, M.; Ennezat, P.V.; Binda, C.; Castel, A.L.; Delelis, F.; Graux, P.; Tribouilloy, C.; Marechaux, S. Quantitative Evaluation of Mitral Regurgitation Secondary to Mitral Valve Prolapse by Magnetic Resonance Imaging and Echocardiography. Am. J. Cardiol. 2015, 116, 1405–1410. [Google Scholar] [CrossRef] [PubMed]
- Fujita, N.; Chazouilleres, A.F.; Hartiala, J.J.; O’Sullivan, M.; Heidenreich, P.; Kaplan, J.D.; Sakuma, H.; Foster, E.; Caputo, G.R.; Higgins, C.B. Quantification of mitral regurgitation by velocity-encoded cine nuclear magnetic resonance imaging. J. Am. Coll. Cardiol. 1994, 23, 951–958. [Google Scholar] [CrossRef] [PubMed]
- Lopez-Mattei, J.C.; Shah, D.J. The role of cardiac magnetic resonance in valvular heart disease. Methodist Debakey Cardiovasc. J. 2013, 9, 142–148. [Google Scholar] [CrossRef] [PubMed]
- Krieger, E.V.; Lee, J.; Branch, K.R.; Hamilton-Craig, C. Quantitation of mitral regurgitation with cardiac magnetic resonance imaging: A systematic review. Heart 2016, 102, 1864–1870. [Google Scholar] [CrossRef]
- Uretsky, S.; Argulian, E.; Narula, J.; Wolff, S.D. Use of Cardiac Magnetic Resonance Imaging in Assessing Mitral Regurgitation: Current Evidence. J. Am. Coll. Cardiol. 2018, 71, 547–563. [Google Scholar] [CrossRef]
- Aplin, M.; Kyhl, K.; Bjerre, J.; Ihlemann, N.; Greenwood, J.P.; Plein, S.; Uddin, A.; Tonder, N.; Host, N.B.; Ahlstrom, M.G.; et al. Cardiac remodelling and function with primary mitral valve insufficiency studied by magnetic resonance imaging. Eur. Heart J. Cardiovasc. Imaging 2016, 17, 863–870. [Google Scholar] [CrossRef]
- Chernobelsky, A.; Shubayev, O.; Comeau, C.R.; Wolff, S.D. Baseline correction of phase contrast images improves quantification of blood flow in the great vessels. J. Cardiovasc. Magn. Reson. 2007, 9, 681–685. [Google Scholar] [CrossRef]
- Fidock, B.; Barker, N.; Balasubramanian, N.; Archer, G.; Fent, G.; Al-Mohammad, A.; Richardson, J.; O’Toole, L.; Briffa, N.; Rothman, A.; et al. A Systematic Review of 4D-Flow MRI Derived Mitral Regurgitation Quantification Methods. Front. Cardiovasc. Med. 2019, 6, 103. [Google Scholar] [CrossRef]
- Westenberg, J.J.; Roes, S.D.; Ajmone Marsan, N.; Binnendijk, N.M.; Doornbos, J.; Bax, J.J.; Reiber, J.H.; de Roos, A.; van der Geest, R.J. Mitral valve and tricuspid valve blood flow: Accurate quantification with 3D velocity-encoded MR imaging with retrospective valve tracking. Radiology 2008, 249, 792–800. [Google Scholar] [CrossRef]
- Calkoen, E.E.; Westenberg, J.J.; Kroft, L.J.; Blom, N.A.; Hazekamp, M.G.; Rijlaarsdam, M.E.; Jongbloed, M.R.; de Roos, A.; Roest, A.A. Characterization and quantification of dynamic eccentric regurgitation of the left atrioventricular valve after atrioventricular septal defect correction with 4D Flow cardiovascular magnetic resonance and retrospective valve tracking. J. Cardiovasc. Magn. Reson. 2015, 17, 18. [Google Scholar] [CrossRef] [PubMed]
- Bartko, P.E.; Arfsten, H.; Heitzinger, G.; Pavo, N.; Toma, A.; Strunk, G.; Hengstenberg, C.; Hulsmann, M.; Goliasch, G. A Unifying Concept for the Quantitative Assessment of Secondary Mitral Regurgitation. J. Am. Coll. Cardiol. 2019, 73, 2506–2517. [Google Scholar] [CrossRef] [PubMed]
- Uretsky, S.; Gillam, L.; Lang, R.; Chaudhry, F.A.; Argulian, E.; Supariwala, A.; Gurram, S.; Jain, K.; Subero, M.; Jang, J.J.; et al. Discordance between echocardiography and MRI in the assessment of mitral regurgitation severity: A prospective multicenter trial. J. Am. Coll. Cardiol. 2015, 65, 1078–1088. [Google Scholar] [CrossRef] [PubMed]
- Gelfand, E.V.; Hughes, S.; Hauser, T.H.; Yeon, S.B.; Goepfert, L.; Kissinger, K.V.; Rofsky, N.M.; Manning, W.J. Severity of mitral and aortic regurgitation as assessed by cardiovascular magnetic resonance: Optimizing correlation with Doppler echocardiography. J. Cardiovasc. Magn. Reson. 2006, 8, 503–507. [Google Scholar] [CrossRef]
- Cawley, P.J.; Hamilton-Craig, C.; Owens, D.S.; Krieger, E.V.; Strugnell, W.E.; Mitsumori, L.; D’Jang, C.L.; Schwaegler, R.G.; Nguyen, K.Q.; Nguyen, B.; et al. Prospective comparison of valve regurgitation quantitation by cardiac magnetic resonance imaging and transthoracic echocardiography. Circ. Cardiovasc. Imaging 2013, 6, 48–57. [Google Scholar] [CrossRef]
- Lopez-Mattei, J.C.; Ibrahim, H.; Shaikh, K.A.; Little, S.H.; Shah, D.J.; Maragiannis, D.; Zoghbi, W.A. Comparative Assessment of Mitral Regurgitation Severity by Transthoracic Echocardiography and Cardiac Magnetic Resonance Using an Integrative and Quantitative Approach. Am. J. Cardiol. 2016, 117, 264–270. [Google Scholar] [CrossRef]
- Harris, A.W.; Krieger, E.V.; Kim, M.; Cawley, P.J.; Owens, D.S.; Hamilton-Craig, C.; Maki, J.; Otto, C.M. Cardiac Magnetic Resonance Imaging Versus Transthoracic Echocardiography for Prediction of Outcomes in Chronic Aortic or Mitral Regurgitation. Am. J. Cardiol. 2017, 119, 1074–1081. [Google Scholar] [CrossRef]
- Kizilbash, A.M.; Hundley, W.G.; Willett, D.L.; Franco, F.; Peshock, R.M.; Grayburn, P.A. Comparison of quantitative Doppler with magnetic resonance imaging for assessment of the severity of mitral regurgitation. Am. J. Cardiol. 1998, 81, 792–795. [Google Scholar] [CrossRef]
- Uretsky, S.; Morales, D.C.V.; Aldaia, L.; Mediratta, A.; Koulogiannis, K.; Marcoff, L.; Sakul, S.; Wolff, S.D.; Gillam, L.D. Characterization of Primary Mitral Regurgitation With Flail Leaflet and/or Wall-Impinging Flow. J. Am. Coll. Cardiol. 2021, 78, 2537–2546. [Google Scholar] [CrossRef]
- Shanks, M.; Siebelink, H.M.; Delgado, V.; van de Veire, N.R.; Ng, A.C.; Sieders, A.; Schuijf, J.D.; Lamb, H.J.; Ajmone Marsan, N.; Westenberg, J.J.; et al. Quantitative assessment of mitral regurgitation: Comparison between three-dimensional transesophageal echocardiography and magnetic resonance imaging. Circ. Cardiovasc. Imaging 2010, 3, 694–700. [Google Scholar] [CrossRef]
- Penicka, M.; Vecera, J.; Mirica, D.C.; Kotrc, M.; Kockova, R.; Van Camp, G. Prognostic Implications of Magnetic Resonance-Derived Quantification in Asymptomatic Patients with Organic Mitral Regurgitation: Comparison with Doppler Echocardiography-Derived Integrative Approach. Circulation 2018, 137, 1349–1360. [Google Scholar] [CrossRef]
- Vahanian, A.; Alfieri, O.; Andreotti, F.; Antunes, M.J.; Baron-Esquivias, G.; Baumgartner, H.; Borger, M.A.; Carrel, T.P.; De Bonis, M.; Evangelista, A.; et al. Guidelines on the management of valvular heart disease (version 2012): The Joint Task Force on the Management of Valvular Heart Disease of the European Society of Cardiology (ESC) and the European Association for Cardio-Thoracic Surgery (EACTS). Eur. J. Cardiothorac. Surg. 2012, 42, S1–S44. [Google Scholar] [CrossRef] [PubMed]
- Gripari, P.; Mapelli, M.; Bellacosa, I.; Piazzese, C.; Milo, M.; Fusini, L.; Muratori, M.; Ali, S.G.; Tamborini, G.; Pepi, M. Transthoracic echocardiography in patients undergoing mitral valve repair: Comparison of new transthoracic 3D techniques to 2D transoesophageal echocardiography in the localization of mitral valve prolapse. Int. J. Cardiovasc. Imaging 2018, 34, 1099–1107. [Google Scholar] [CrossRef] [PubMed]
- Tamborini, G.; Muratori, M.; Maltagliati, A.; Galli, C.A.; Naliato, M.; Zanobini, M.; Alamanni, F.; Salvi, L.; Sisillo, E.; Fiorentini, C.; et al. Pre-operative transthoracic real-time three-dimensional echocardiography in patients undergoing mitral valve repair: Accuracy in cases with simple vs. complex prolapse lesions. Eur. J. Echocardiogr. 2010, 11, 778–785. [Google Scholar] [CrossRef] [PubMed]
- La Canna, G.; Arendar, I.; Maisano, F.; Monaco, F.; Collu, E.; Benussi, S.; De Bonis, M.; Castiglioni, A.; Alfieri, O. Real-time three-dimensional transesophageal echocardiography for assessment of mitral valve functional anatomy in patients with prolapse-related regurgitation. Am. J. Cardiol. 2011, 107, 1365–1374. [Google Scholar] [CrossRef]
- Volpato, V.; Mantegazza, V.; Tamborini, G.; Muratori, M.; Gripari, P.; Andreini, D.; Fusini, L.; Ghulam Alu, S.; Cefalu, C.; Italiano, G.; et al. Diagnostic Accuracy of Transillumination in Mitral Valve Prolapse: Side-by-Side Comparison of Standard Transthoracic Three-Dimensional Echocardiography against Surgical Findings. J. Am. Soc. Echocardiogr. 2021, 34, 98–100. [Google Scholar] [CrossRef]
- Marsan, N.A.; Westenberg, J.J.; Ypenburg, C.; Delgado, V.; van Bommel, R.J.; Roes, S.D.; Nucifora, G.; van der Geest, R.J.; de Roos, A.; Reiber, J.C.; et al. Quantification of functional mitral regurgitation by real-time 3D echocardiography: Comparison with 3D velocity-encoded cardiac magnetic resonance. JACC Cardiovasc. Imaging 2009, 2, 1245–1252. [Google Scholar] [CrossRef]
- Skoldborg, V.; Madsen, P.L.; Dalsgaard, M.; Abdulla, J. Quantification of mitral valve regurgitation by 2D and 3D echocardiography compared with cardiac magnetic resonance a systematic review and meta-analysis. Int. J. Cardiovasc. Imaging 2020, 36, 279–289. [Google Scholar] [CrossRef]
- Brugger, N.; Wustmann, K.; Hurzeler, M.; Wahl, A.; de Marchi, S.F.; Steck, H.; Zurcher, F.; Seiler, C. Comparison of three-dimensional proximal isovelocity surface area to cardiac magnetic resonance imaging for quantifying mitral regurgitation. Am. J. Cardiol. 2015, 115, 1130–1136. [Google Scholar] [CrossRef]
- Choi, J.; Heo, R.; Hong, G.R.; Chang, H.J.; Sung, J.M.; Shin, S.H.; Cho, I.J.; Shim, C.Y.; Chung, N. Differential effect of 3-dimensional color Doppler echocardiography for the quantification of mitral regurgitation according to the severity and characteristics. Circ. Cardiovasc. Imaging 2014, 7, 535–544. [Google Scholar] [CrossRef]
- Matsumura, Y.; Fukuda, S.; Tran, H.; Greenberg, N.L.; Agler, D.A.; Wada, N.; Toyono, M.; Thomas, J.D.; Shiota, T. Geometry of the proximal isovelocity surface area in mitral regurgitation by 3-dimensional color Doppler echocardiography: Difference between functional mitral regurgitation and prolapse regurgitation. Am. Heart J. 2008, 155, 231–238. [Google Scholar] [CrossRef] [PubMed]
- Enriquez-Sarano, M.; Avierinos, J.F.; Messika-Zeitoun, D.; Detaint, D.; Capps, M.; Nkomo, V.; Scott, C.; Schaff, H.V.; Tajik, A.J. Quantitative determinants of the outcome of asymptomatic mitral regurgitation. N. Engl. J. Med. 2005, 352, 875–883. [Google Scholar] [CrossRef] [PubMed]
- Grayburn, P.A.; Appleton, C.P.; DeMaria, A.N.; Greenberg, B.; Lowes, B.; Oh, J.; Plehn, J.F.; Rahko, P.; St John Sutton, M.; Eichhorn, E.J.; et al. Echocardiographic predictors of morbidity and mortality in patients with advanced heart failure: The Beta-blocker Evaluation of Survival Trial (BEST). J. Am. Coll. Cardiol. 2005, 45, 1064–1071. [Google Scholar] [CrossRef] [PubMed]
- Grigioni, F.; Enriquez-Sarano, M.; Zehr, K.J.; Bailey, K.R.; Tajik, A.J. Ischemic mitral regurgitation: Long-term outcome and prognostic implications with quantitative Doppler assessment. Circulation 2001, 103, 1759–1764. [Google Scholar] [CrossRef] [PubMed]
- Myerson, S.G.; d’Arcy, J.; Christiansen, J.P.; Dobson, L.E.; Mohiaddin, R.; Francis, J.M.; Prendergast, B.; Greenwood, J.P.; Karamitsos, T.D.; Neubauer, S. Determination of Clinical Outcome in Mitral Regurgitation With Cardiovascular Magnetic Resonance Quantification. Circulation 2016, 133, 2287–2296. [Google Scholar] [CrossRef] [PubMed]
- Chaikriangkrai, K.; Lopez-Mattei, J.C.; Lawrie, G.; Ibrahim, H.; Quinones, M.A.; Zoghbi, W.; Little, S.H.; Shah, D.J. Prognostic value of delayed enhancement cardiac magnetic resonance imaging in mitral valve repair. Ann. Thorac. Surg. 2014, 98, 1557–1563. [Google Scholar] [CrossRef]
- Basso, C.; Perazzolo Marra, M.; Rizzo, S.; De Lazzari, M.; Giorgi, B.; Cipriani, A.; Frigo, A.C.; Rigato, I.; Migliore, F.; Pilichou, K.; et al. Arrhythmic Mitral Valve Prolapse and Sudden Cardiac Death. Circulation 2015, 132, 556–566. [Google Scholar] [CrossRef]
- Kitkungvan, D.; Nabi, F.; Kim, R.J.; Bonow, R.O.; Khan, M.A.; Xu, J.; Little, S.H.; Quinones, M.A.; Lawrie, G.M.; Zoghbi, W.A.; et al. Myocardial Fibrosis in Patients With Primary Mitral Regurgitation With and Without Prolapse. J. Am. Coll. Cardiol. 2018, 72, 823–834. [Google Scholar] [CrossRef]
- Edwards, N.C.; Moody, W.E.; Yuan, M.; Weale, P.; Neal, D.; Townend, J.N.; Steeds, R.P. Quantification of left ventricular interstitial fibrosis in asymptomatic chronic primary degenerative mitral regurgitation. Circ. Cardiovasc. Imaging 2014, 7, 946–953. [Google Scholar] [CrossRef]
- Lopes, B.B.C.; Kwon, D.H.; Shah, D.J.; Lesser, J.R.; Bapat, V.; Enriquez-Sarano, M.; Sorajja, P.; Cavalcante, J.L. Importance of Myocardial Fibrosis in Functional Mitral Regurgitation: From Outcomes to Decision-Making. JACC Cardiovasc. Imaging 2021, 14, 867–878. [Google Scholar] [CrossRef]



| TTE | TEE | CMR | |
|---|---|---|---|
| Execution time (minutes) * | 20–30 | 15–20 | 30–40 |
| Interpretation and reporting time (minutes) | 10–15 | 10–15 | 15–20 |
| MV leaflet alterations | |||
| Perforation or tear, prolapse, calcification, thickening, and commissural fusion | ++ | +++ | + |
| Anular diameters | +/++ | +++ | +++ |
| Mitral anular disjunction | +/++ | ++ | +++ |
| Subvalvular apparatus alterations | |||
| Chordae tendinae: elongation or rupture, thickening or fusion, and tethering | ++ | +++ | +/++ |
| Papillary muscles: elongation or rupture, displacement | ++ | +++ | ++ |
| MR quantification | |||
| RegV | ++ | ++ | +++ |
| RegF | + | + | +++ |
| EROA | ++ | ++ | - |
| Vena contracta | +++ | +++ | - |
| Flow reversal into pulmonary veins | ++ | +++ | + |
| Number of jets, site, and direction | ++ | +++ | + |
| LV volumes | ++ | +/++ | +++ |
| Ejection fraction | ++ | +/++ | +++ |
| LA volumes | ++ | + | +++ |
| Inferior vena cava diameter | +++ | ++ | +++ |
| Inferior vena cava collapsibility | +++ | ++ | + |
| Pulmonary pressure estimation | +++ | ++ | - |
Disclaimer/Publisher’s Note: The statements, opinions and data contained in all publications are solely those of the individual author(s) and contributor(s) and not of MDPI and/or the editor(s). MDPI and/or the editor(s) disclaim responsibility for any injury to people or property resulting from any ideas, methods, instructions or products referred to in the content. |
© 2023 by the authors. Licensee MDPI, Basel, Switzerland. This article is an open access article distributed under the terms and conditions of the Creative Commons Attribution (CC BY) license (https://creativecommons.org/licenses/by/4.0/).
Share and Cite
Baessato, F.; Fusini, L.; Muratori, M.; Tamborini, G.; Ghulam Ali, S.; Mantegazza, V.; Baggiano, A.; Mushtaq, S.; Pepi, M.; Patti, G.; et al. Echocardiography vs. CMR in the Quantification of Chronic Mitral Regurgitation: A Happy Marriage or Stormy Divorce? J. Cardiovasc. Dev. Dis. 2023, 10, 150. https://doi.org/10.3390/jcdd10040150
Baessato F, Fusini L, Muratori M, Tamborini G, Ghulam Ali S, Mantegazza V, Baggiano A, Mushtaq S, Pepi M, Patti G, et al. Echocardiography vs. CMR in the Quantification of Chronic Mitral Regurgitation: A Happy Marriage or Stormy Divorce? Journal of Cardiovascular Development and Disease. 2023; 10(4):150. https://doi.org/10.3390/jcdd10040150
Chicago/Turabian StyleBaessato, Francesca, Laura Fusini, Manuela Muratori, Gloria Tamborini, Sarah Ghulam Ali, Valentina Mantegazza, Andrea Baggiano, Saima Mushtaq, Mauro Pepi, Giuseppe Patti, and et al. 2023. "Echocardiography vs. CMR in the Quantification of Chronic Mitral Regurgitation: A Happy Marriage or Stormy Divorce?" Journal of Cardiovascular Development and Disease 10, no. 4: 150. https://doi.org/10.3390/jcdd10040150
APA StyleBaessato, F., Fusini, L., Muratori, M., Tamborini, G., Ghulam Ali, S., Mantegazza, V., Baggiano, A., Mushtaq, S., Pepi, M., Patti, G., & Pontone, G. (2023). Echocardiography vs. CMR in the Quantification of Chronic Mitral Regurgitation: A Happy Marriage or Stormy Divorce? Journal of Cardiovascular Development and Disease, 10(4), 150. https://doi.org/10.3390/jcdd10040150

