Perimyocarditis as First Manifestation of Systemic Lupus Erythematosus Successfully Treated with Heart Failure and Immunosuppressive Therapy
Abstract
1. Introduction
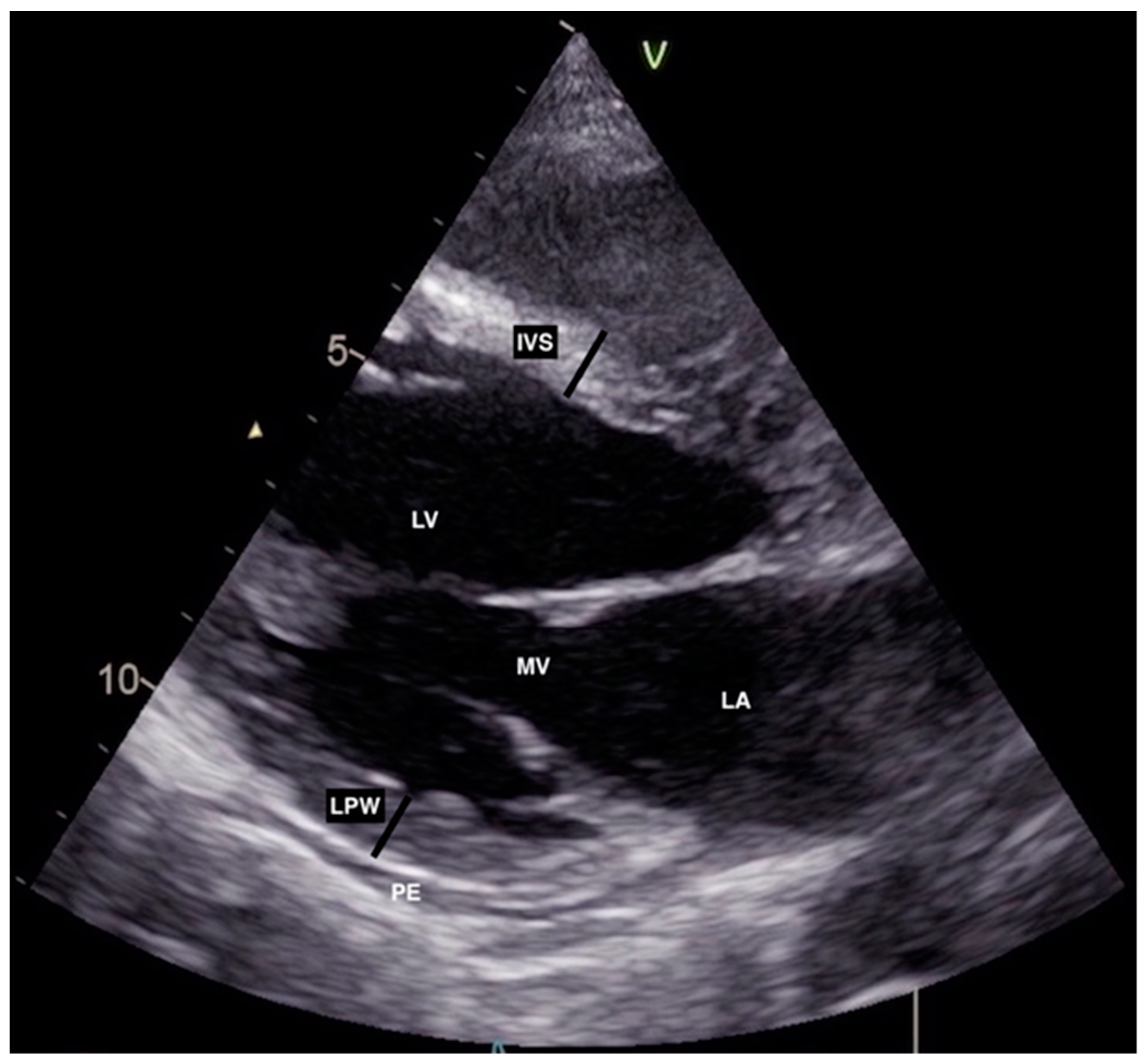
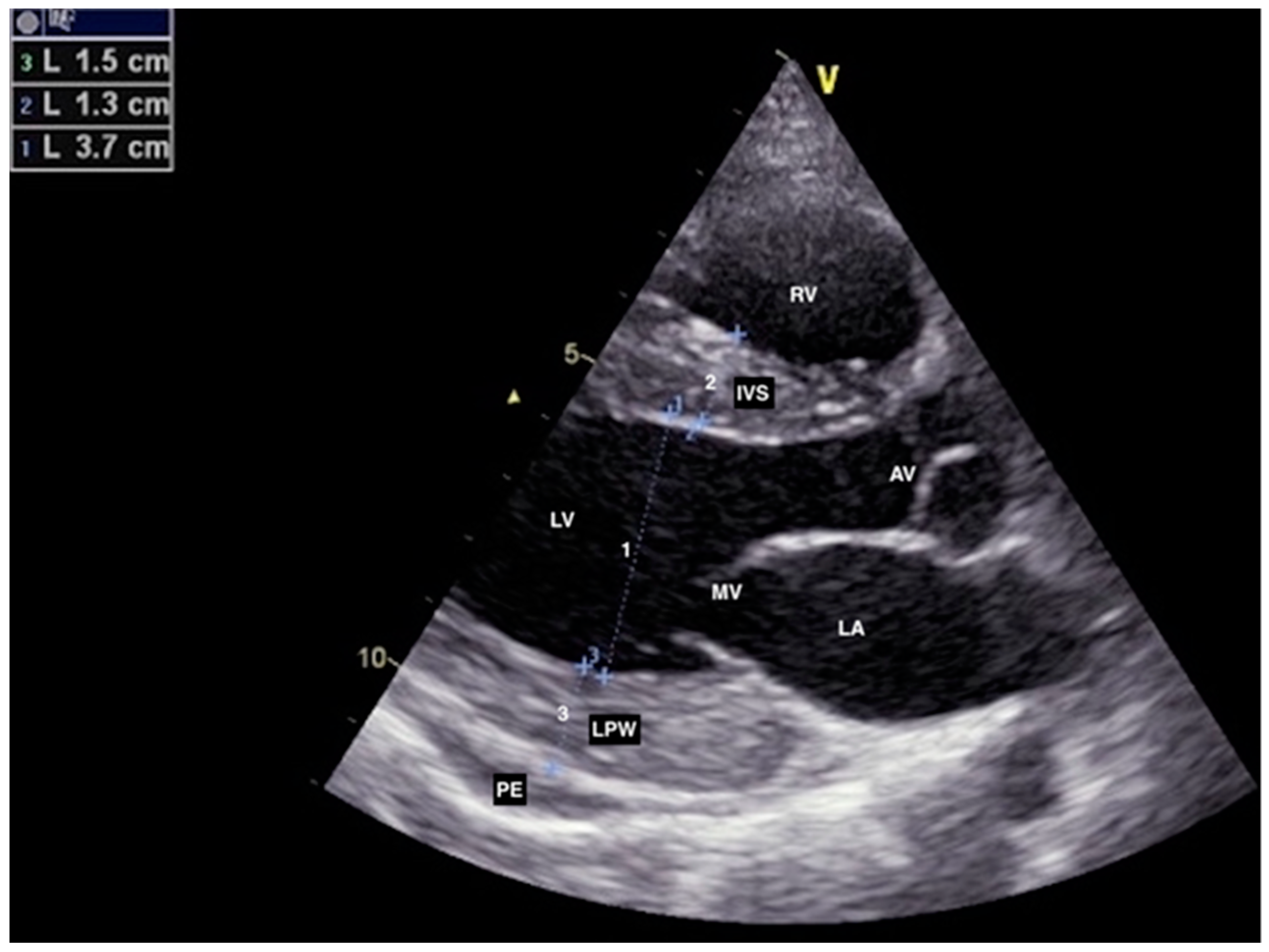
2. Case Description
3. Discussion
4. Conclusions
Author Contributions
Funding
Institutional Review Board Statement
Informed Consent Statement
Data Availability Statement
Conflicts of Interest
References
- Tincani, A.; Rebaioli, C.B.; Taglietti, M.; Shoenfeld, Y. Heart involvement in systemic lupus erythematosus, anti-phospholipid syndrome and neonatal lupus. Rheumatology 2006, 45 (Suppl. 4), iv8–iv13. [Google Scholar] [CrossRef] [PubMed]
- Björnådal, L.; Yin, L.; Granath, F.; Klareskog, L.; Ekbom, A. Cardiovascular disease a hazard despite improved prognosis in patients with systemic lupus erythematosus: Results from a Swedish population based study 1964–1995. J. Rheumatol. 2004, 31, 713–719. [Google Scholar] [PubMed]
- Dein, E.; Douglas, H.; Petri, M.; Law, G.; Timlin, H. Pericarditis in lupus. Cureus 2019, 11, e4166. [Google Scholar] [CrossRef] [PubMed]
- Tani, C.; Elefante, E.; Arnaud, L.; Barreira, S.C.; Bulina, I.; Cavagna, L.; Costedoat-Chalumeau, N.; Doria, A.; Fonseca, J.E.; Franceschini, F.; et al. Rare clinical manifestations in systemic lupus erythematosus: A review on frequency and clinical presentation. Clin. Exp. Rheumatol. 2022, 40 (Suppl. 134), 93–102. [Google Scholar] [CrossRef] [PubMed]
- Felker, G.M.; Boehmer, J.P.; Hruban, R.H.; Hutchins, G.M.; Kasper, E.K.; Baughman, K.L.; Hare, J.M. Echocardiographic findings in fulminant and acute myocarditis. J. Am. Coll. Cardiol. 2000, 36, 227–232. [Google Scholar] [CrossRef] [PubMed]
- Uziębło-Życzkowska, B.; Mielniczuk, M.; Ryczek, R.; Krzesiński, P. Myocarditis successfully diagnosed and controlled with speckle tracking echocardiography. Cardiovasc. Ultrasound 2020, 18, 19. [Google Scholar] [CrossRef] [PubMed]
- Tanwani, J.; Tselios, K.; Gladman, D.D.; Su, J.; Urowitz, M.B. Lupus myocarditis: A single center experience and a comparative analysis of observational cohort studies. Lupus 2018, 27, 1296–1302. [Google Scholar] [CrossRef] [PubMed]
- Ponikowski, P.; Voors, A.A.; Anker, S.D.; Bueno, H.; Cleland, J.G.; Coats, A.J.; Falk, V.; González-Juanatey, J.R.; Harjola, V.P.; Jankowska, E.A.; et al. 2016 ESC Guidelines for the diagnosis and treatment of acute and chronic heart failure: The Task Force for the diagnosis and treatment of acute and chronic heart failure of the European Society of Cardiology (ESC). Developed with the special contribution of the Heart Failure Association (HFA) of the ESC. Eur. J. Heart Fail. 2016, 18, 891–975. [Google Scholar] [PubMed]
- Caforio, A.L.P.; Adler, Y.; Agostini, C.; Allanore, Y.; Anastasakis, A.; Arad, M.; Böhm, M.; Charron, P.; Elliott, P.M.; Eriksson, U.; et al. Diagnosis and management of myocardial involvement in systemic immune-mediated diseases: A position statement of the European Society of Cardiology Working Group on Myocardial and Pericardial Disease. Eur. Heart J. 2017, 38, 2649–2662. [Google Scholar] [CrossRef] [PubMed]
- Caforio, A.L.; Pankuweit, S.; Arbustini, E.; Basso, C.; Gimeno-Blanes, J.; Felix, S.B.; Fu, M.; Heliö, T.; Heymans, S.; Jahns, R.; et al. Current state of knowledge on aetiology, diagnosis, management, and therapy of myocarditis: A position statement of the European Society of Cardiology Working Group on Myocardial and Pericardial Diseases. Eur. Heart J. 2013, 34, 2636–2648. [Google Scholar] [CrossRef] [PubMed]
- Adler, Y.; Charron, P.; Imazio, M.; Badano, L.; Barón-Esquivias, G.; Bogaert, J.; Brucato, A.; Gueret, P.; Klingel, K.; Lionis, C.; et al. 2015 ESC Guidelines for the diagnosis and management of pericardial diseases: The task force for the diagnosis and management of pericardial diseases of the European Society of Cardiology (ESC)endorsed by: The European Association for Cardio-Thoracic Surgery (EACTS). Eur. Heart J. 2015, 36, 2921–2964. [Google Scholar] [PubMed]
- Fanouriakis, A.; Kostopoulou, M.; Alunno, A.; Aringer, M.; Bajema, I.; Boletis, J.N.; Cervera, R.; Doria, A.; Gordon, C.; Govoni, M.; et al. 2019 update of the EULAR recommendations for the management of systemic lupus erythematosus. Ann. Rheum. Dis. 2019, 78, 736–745. [Google Scholar] [CrossRef] [PubMed]
- Durrance, R.J.; Movahedian, M.; Haile, W.; Teller, K.; Pinsker, R. Systemic lupus erythematosus presenting as myopericarditis with acute heart failure: A case report and literature review. Case Rep. Rheumatol. 2019, 2019, 6173276. [Google Scholar] [CrossRef] [PubMed]
- Zhang, L.; Zhu, Y.L.; Li, M.T.; Gao, N.; You, X.; Wu, Q.J.; Su, J.M.; Shen, M.; Zhao, L.D.; Liu, J.J.; et al. Lupus myocarditis: A case-control study from China. Chin. Med. J. 2015, 128, 2588–2594. [Google Scholar] [CrossRef] [PubMed]
- Xibillé-Friedmann, D.; Pérez-Rodríguez, M.; Carrillo-Vázquez, S.; Álvarez-Hernández, E.; Aceves, F.J.; Ocampo-Torres, M.C.; García-García, C.; García-Figueroa, J.L.; Merayo-Chalico, J.; Barrera-Vargas, A.; et al. Clinical practice guidelines for the treatment of systemic lupus erythematosus by the Mexican College of Rheumatology. Guía de práctica clínica para el manejo del lupus eritematoso sistémico propuesta por el Colegio Mexicano de Reumatología. Reumatol. Clin. 2019, 15, 3–20. [Google Scholar] [CrossRef] [PubMed]
- Thomas, G.; Cohen Aubart, F.; Chiche, L.; Haroche, J.; Hié, M.; Hervier, B.; Costedoat-Chalumeau, N.; Mazodier, K.; Ebbo, M.; Cluzel, P.; et al. Lupus myocarditis: Initial presentation and longterm outcomes in a multicentric series of 29 patients. J. Rheumatol. 2017, 44, 24–32. [Google Scholar] [CrossRef] [PubMed]
- Mirna, M.; Schmutzler, L.; Topf, A.; Boxhammer, E.; Sipos, B.; Hoppe, U.C.; Lichtenauer, M. Treatment with non-steroidal anti-inflammatory drugs (NSAIDs) does not affect outcome in patients with acute myocarditis or myopericarditis. J. Cardiovasc. Dev. Dis. 2022, 9, 32. [Google Scholar] [CrossRef] [PubMed]
- Gulhar, R.; Ashraf, M.A.; Jialal, I. Physiology, Acute Phase Reactants; StatPearls Publishing: St. Petersburg, FL, USA, 2019. [Google Scholar]
- Suresh, A.; Martens, P.; Tang, W.H.W. Biomarkers for myocarditis and inflammatory cardiomyopathy. Curr. Heart Fail. Rep. 2022, 19, 346–355. [Google Scholar] [CrossRef] [PubMed]
- Zagelbaum Ward, N.K.; Linares-Koloffon, C.; Posligua, A.; Gandrabur, L.; Kim, W.Y.; Sperber, K.; Wasserman, A.; Ash, J. Cardiac manifestations of systemic lupus erythematous: An overview of the incidence, risk factors, diagnostic criteria, pathophysiology and treatment options. Cardiol. Rev. 2022, 30, 38–43. [Google Scholar] [CrossRef] [PubMed]





| Reference Range | Admission | After 24 Months | |
|---|---|---|---|
| White blood cell count (109/L) | 3.4–9.7 | 3.1 | 6.9 |
| Hemoglobin (g/L) | 138–175 | 116 | 137 |
| Platelets (109/L) | 158–424 | 132 | 193 |
| CRP (mg/dL) | <5.0 | 26.5 | 3.5 |
| ESR (mm/3.6 ks) | 4–24 | 28 | 11 |
| Albumin (g/L) | 41–51 | 36 | 44 |
| Ferritin (µg/L) | 10–158 | 61 | 12 |
| Fibrinogen (g/L) | 1.8–3.5 | 3.9 | 2.2 |
| Procalcitonin (µg/L) | 0.5–2 | 1.30 | <0.5 |
| Creatinine (µmol/L) | 49–90 | 68 | 51 |
| 24 h urine protein (mg/24 h) | <150 | 54 | 145 |
| hs-troponin I (ng/L) | <39 | 293 | 36 |
| NT-proBNP (ng/L) | <208.4 | 9373 | 135 |
| Direct antiglobulin test | Negative | ||
| C3 (g/L) | 0.89–1.87 | 0.72 | 1.0 |
| C4 (g/L) | 0.17–0.38 | 0.17 | 0.28 |
| Antinuclear antibody * | Positive > 1 | >55 | Not performed |
| Anti-dsDNA antibody * (IU/mL) | Positive > 15 | <0.7 | 1.2 |
| Anti-Smith (Sm) antibody | Not performed | Not performed | |
| Anticardiolipin antibody IgM * (MPL-U/mL) | Positive > 40 | 1.1 | 0.7 |
| Anticardiolipin antibody IgG * (GPL-U/mL) | Positive > 40 | 1.2 | 0.9 |
| Beta2-Glycoprotein I IgM * (EliA U/mL) | Positive > 10 | <2.4 | <2.4 |
| Beta2-Glycoprotein I IgG * (EliA U/mL) | Positive > 10 | <0.8 | <0.8 |
| Lupus anticoagulant | Negative | Not performed |
Disclaimer/Publisher’s Note: The statements, opinions and data contained in all publications are solely those of the individual author(s) and contributor(s) and not of MDPI and/or the editor(s). MDPI and/or the editor(s) disclaim responsibility for any injury to people or property resulting from any ideas, methods, instructions or products referred to in the content. |
© 2023 by the authors. Licensee MDPI, Basel, Switzerland. This article is an open access article distributed under the terms and conditions of the Creative Commons Attribution (CC BY) license (https://creativecommons.org/licenses/by/4.0/).
Share and Cite
Ikić Matijašević, M.; Grubić Rotkvić, P.; Planinić, Z.; Ikić, L.; Zadro Kordić, I.; Galić, E. Perimyocarditis as First Manifestation of Systemic Lupus Erythematosus Successfully Treated with Heart Failure and Immunosuppressive Therapy. J. Cardiovasc. Dev. Dis. 2023, 10, 134. https://doi.org/10.3390/jcdd10040134
Ikić Matijašević M, Grubić Rotkvić P, Planinić Z, Ikić L, Zadro Kordić I, Galić E. Perimyocarditis as First Manifestation of Systemic Lupus Erythematosus Successfully Treated with Heart Failure and Immunosuppressive Therapy. Journal of Cardiovascular Development and Disease. 2023; 10(4):134. https://doi.org/10.3390/jcdd10040134
Chicago/Turabian StyleIkić Matijašević, Marina, Petra Grubić Rotkvić, Zrinka Planinić, Lucija Ikić, Ines Zadro Kordić, and Edvard Galić. 2023. "Perimyocarditis as First Manifestation of Systemic Lupus Erythematosus Successfully Treated with Heart Failure and Immunosuppressive Therapy" Journal of Cardiovascular Development and Disease 10, no. 4: 134. https://doi.org/10.3390/jcdd10040134
APA StyleIkić Matijašević, M., Grubić Rotkvić, P., Planinić, Z., Ikić, L., Zadro Kordić, I., & Galić, E. (2023). Perimyocarditis as First Manifestation of Systemic Lupus Erythematosus Successfully Treated with Heart Failure and Immunosuppressive Therapy. Journal of Cardiovascular Development and Disease, 10(4), 134. https://doi.org/10.3390/jcdd10040134

