Challenging Diagnosis of Invasive Sinus Aspergillosis Mimicking Gradenigo’s Syndrome in an Elderly Patient with T-Cell Lymphoma
Abstract
:1. Introduction
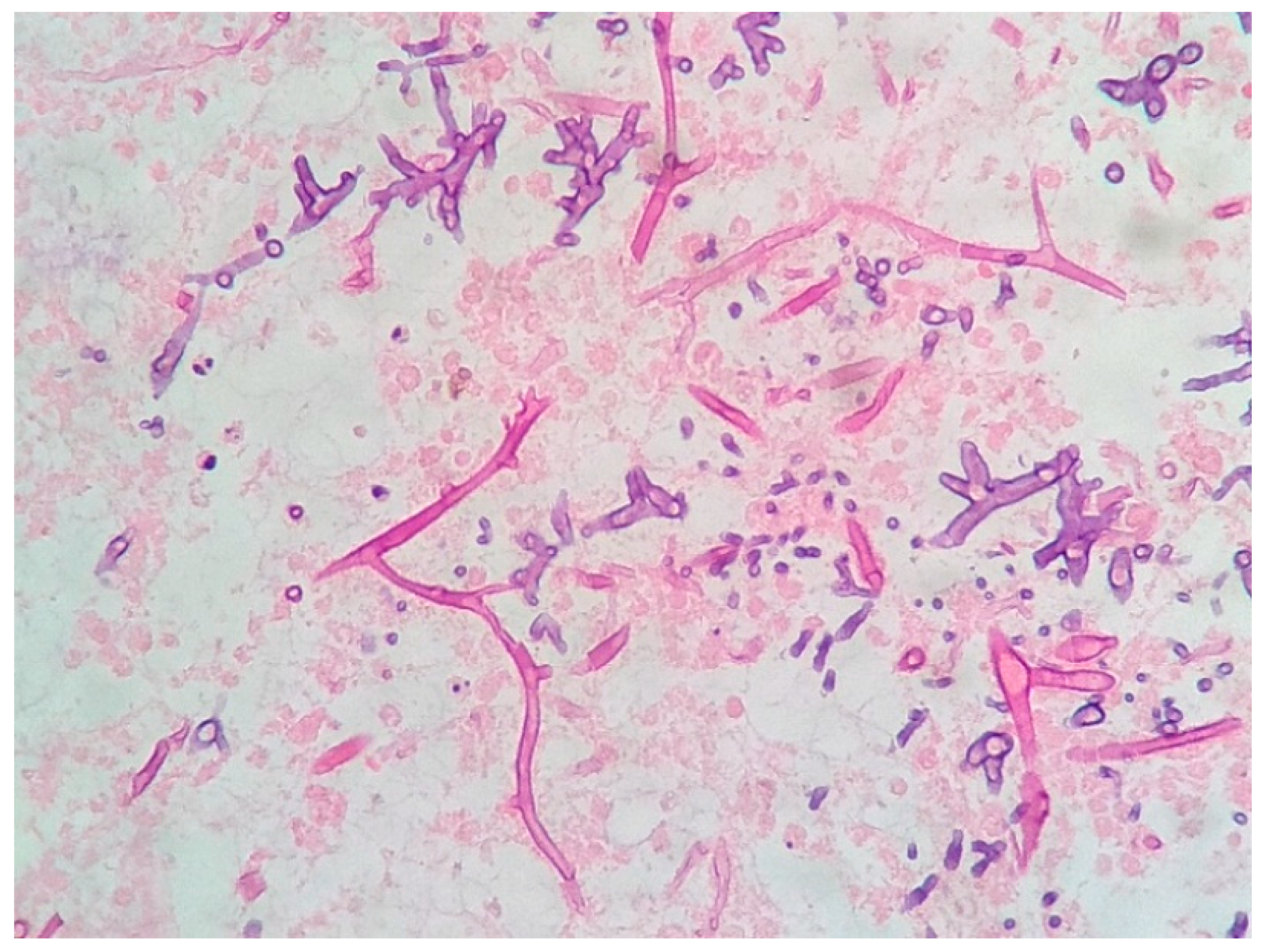
2. Case Description
3. Discussion
4. Conclusions
Author Contributions
Funding
Institutional Review Board Statement
Informed Consent Statement
Data Availability Statement
Acknowledgments
Conflicts of Interest
References
- Talmor, G.; Vakil, M.; Tseng, C.; Svider, P.; Ying, M.; Eloy, J.A. Petrous Apicitis: A Systematic Review and Case Presentation. Otol. Neurotol. 2022, 43, 753–765. [Google Scholar] [CrossRef]
- Gadre, A.K.; Chole, R.A. The Changing Face of Petrous Apicitis-a 40-Year Experience. Laryngoscope 2018, 128, 195–201. [Google Scholar] [CrossRef] [PubMed]
- McLaren, J.; Cohen, M.S.; El Saleeby, C.M. How Well Do We Know Gradenigo? A Comprehensive Literature Review and Proposal for Novel Diagnostic Categories of Gradenigo’s Syndrome. Int. J. Pediatr. Otorhinolaryngol. 2020, 132, 109942. [Google Scholar] [CrossRef]
- Pedroso, J.L.; de Aquino, C.C.H.; Abrahão, A.; de Oliveira, R.A.; Pinto, L.F.; Bezerra, M.L.E.; Gonçalves Silva, A.B.; de Macedo, F.D.B.; de Melo Mendes, A.V.; Barsottini, O.G.P. Gradenigo’s Syndrome: Beyond the Classical Triad of Diplopia, Facial Pain and Otorrhea. Case Rep. Neurol. 2011, 3, 45–47. [Google Scholar] [CrossRef]
- Wang, Y.; Dong, C.; Han, Y.; Gu, Z.; Sun, C. Immunosenescence, Aging and Successful Aging. Front. Immunol. 2022, 13, 942796. [Google Scholar] [CrossRef] [PubMed]
- Obry, S.; Khanna, R.K.; Lacasse, M.; Reffet, K.; Cottier, J.-P.; Chesnay, A.; Cohen, C. Severe Bilateral Optic Neuropathy and Meningitis Secondary to Invasive Maxillary Sinus Aspergillosis. Int. J. Infect. Dis. 2021, 104, 423–425. [Google Scholar] [CrossRef] [PubMed]
- Veronese, N.; Custodero, C.; Demurtas, J.; Smith, L.; Barbagallo, M.; Maggi, S.; Cella, A.; Vanacore, N.; Aprile, P.L.; Ferrucci, L.; et al. Comprehensive Geriatric Assessment in Older People: An Umbrella Review of Health Outcomes. Age Ageing 2022, 51, afac104. [Google Scholar] [CrossRef] [PubMed]
- Çakmak, G.; Ganidağlı, S.; Efendioğlu, E.M.; Öztürk, E.; Öztürk, Z.A. Do Long-Term Complications of Type 2 Diabetes Increase Susceptibility to Geriatric Syndromes in Older Adults? Medicina 2021, 57, 968. [Google Scholar] [CrossRef] [PubMed]
- Liu, Y.; Yeh, P.-K.; Lin, Y.-P.; Sung, Y.-F. Steroid-Responsive Gradenigo’s Syndrome Mimicking Subdural Hematoma. Cureus 2021, 13, e19547. [Google Scholar] [CrossRef] [PubMed]
- Yoong, H.S.; Kiaang, T.K. Gradenigo’s Syndrome Presenting as a Tumor. Otolaryngol. Head. Neck Surg. 2006, 135, 821–822. [Google Scholar] [CrossRef] [PubMed]
- Jeong, Y.H.; Choi, J.; Kim, B.-J.; Seok, H.Y. Invasive Sphenoid Sinus Aspergillosis with Normal Findings on Initial Diagnostic Tests That Mimics Tolosa-Hunt Syndrome-a Diagnostic Dilemma: A Case Report. J. Yeungnam Med. Sci. 2022, 40, 198. [Google Scholar] [CrossRef] [PubMed]
- Fujimoto, T.; Morofuji, Y.; Hiu, T.; Yoshida, K.; Izumikawa, K.; Watanabe, T.; Matsuo, T. A Case of Invasive Sphenoid Sinus Aspergillosis Presenting as Oculomotor Nerve Palsy in a Healthy Patient. NMC Case Rep. J. 2021, 8, 343–347. [Google Scholar] [CrossRef] [PubMed]
- Zhang, H.; Jiang, N.; Lin, X.; Wanggou, S.; Olson, J.J.; Li, X. Invasive Sphenoid Sinus Aspergillosis Mimicking Sellar Tumor: A Report of 4 Cases and Systematic Literature Review. Chin. Neurosurg. J. 2020, 6, 10. [Google Scholar] [CrossRef] [PubMed]
- Elmaraghy, C.; Bishop, R.; Barron, C.; Adunka, O. Petrous Apex Lesion Following Meningitis: Management and Discussion. J. Surg. Case Rep. 2021, 2021, rjab371. [Google Scholar] [CrossRef] [PubMed]
- Rushton, P.; Battcock, T.; Denning, A.; Herbetko, J.; Hillier, C.; Nicholas, D. Aspergillosis of the Petrous Apex. Age Ageing 2004, 33, 317–319. [Google Scholar] [CrossRef] [PubMed]
- Tissot, F.; Agrawal, S.; Pagano, L.; Petrikkos, G.; Groll, A.H.; Skiada, A.; Lass-Flörl, C.; Calandra, T.; Viscoli, C.; Herbrecht, R. ECIL-6 Guidelines for the Treatment of Invasive Candidiasis, Aspergillosis and Mucormycosis in Leukemia and Hematopoietic Stem Cell Transplant Patients. Haematologica 2017, 102, 433–444. [Google Scholar] [CrossRef] [PubMed]



Disclaimer/Publisher’s Note: The statements, opinions and data contained in all publications are solely those of the individual author(s) and contributor(s) and not of MDPI and/or the editor(s). MDPI and/or the editor(s) disclaim responsibility for any injury to people or property resulting from any ideas, methods, instructions or products referred to in the content. |
© 2023 by the authors. Licensee MDPI, Basel, Switzerland. This article is an open access article distributed under the terms and conditions of the Creative Commons Attribution (CC BY) license (https://creativecommons.org/licenses/by/4.0/).
Share and Cite
Ramos de Ascanio, V.; Liaño-Esteso, G.; Roldán, D.; Collazo-Lorduy, T.; Martínez-Flores, S.; Hernández-Rivas, J.Á.; González-Gascón-y-Marín, I. Challenging Diagnosis of Invasive Sinus Aspergillosis Mimicking Gradenigo’s Syndrome in an Elderly Patient with T-Cell Lymphoma. Geriatrics 2024, 9, 4. https://doi.org/10.3390/geriatrics9010004
Ramos de Ascanio V, Liaño-Esteso G, Roldán D, Collazo-Lorduy T, Martínez-Flores S, Hernández-Rivas JÁ, González-Gascón-y-Marín I. Challenging Diagnosis of Invasive Sinus Aspergillosis Mimicking Gradenigo’s Syndrome in an Elderly Patient with T-Cell Lymphoma. Geriatrics. 2024; 9(1):4. https://doi.org/10.3390/geriatrics9010004
Chicago/Turabian StyleRamos de Ascanio, Victoria, Gloria Liaño-Esteso, David Roldán, Teresa Collazo-Lorduy, Sara Martínez-Flores, José Ángel Hernández-Rivas, and Isabel González-Gascón-y-Marín. 2024. "Challenging Diagnosis of Invasive Sinus Aspergillosis Mimicking Gradenigo’s Syndrome in an Elderly Patient with T-Cell Lymphoma" Geriatrics 9, no. 1: 4. https://doi.org/10.3390/geriatrics9010004
APA StyleRamos de Ascanio, V., Liaño-Esteso, G., Roldán, D., Collazo-Lorduy, T., Martínez-Flores, S., Hernández-Rivas, J. Á., & González-Gascón-y-Marín, I. (2024). Challenging Diagnosis of Invasive Sinus Aspergillosis Mimicking Gradenigo’s Syndrome in an Elderly Patient with T-Cell Lymphoma. Geriatrics, 9(1), 4. https://doi.org/10.3390/geriatrics9010004

