Rhinitis in the Geriatric Population: Epidemiological and Cytological Aspects
Abstract
1. Introduction
2. Epidemiological Aspects
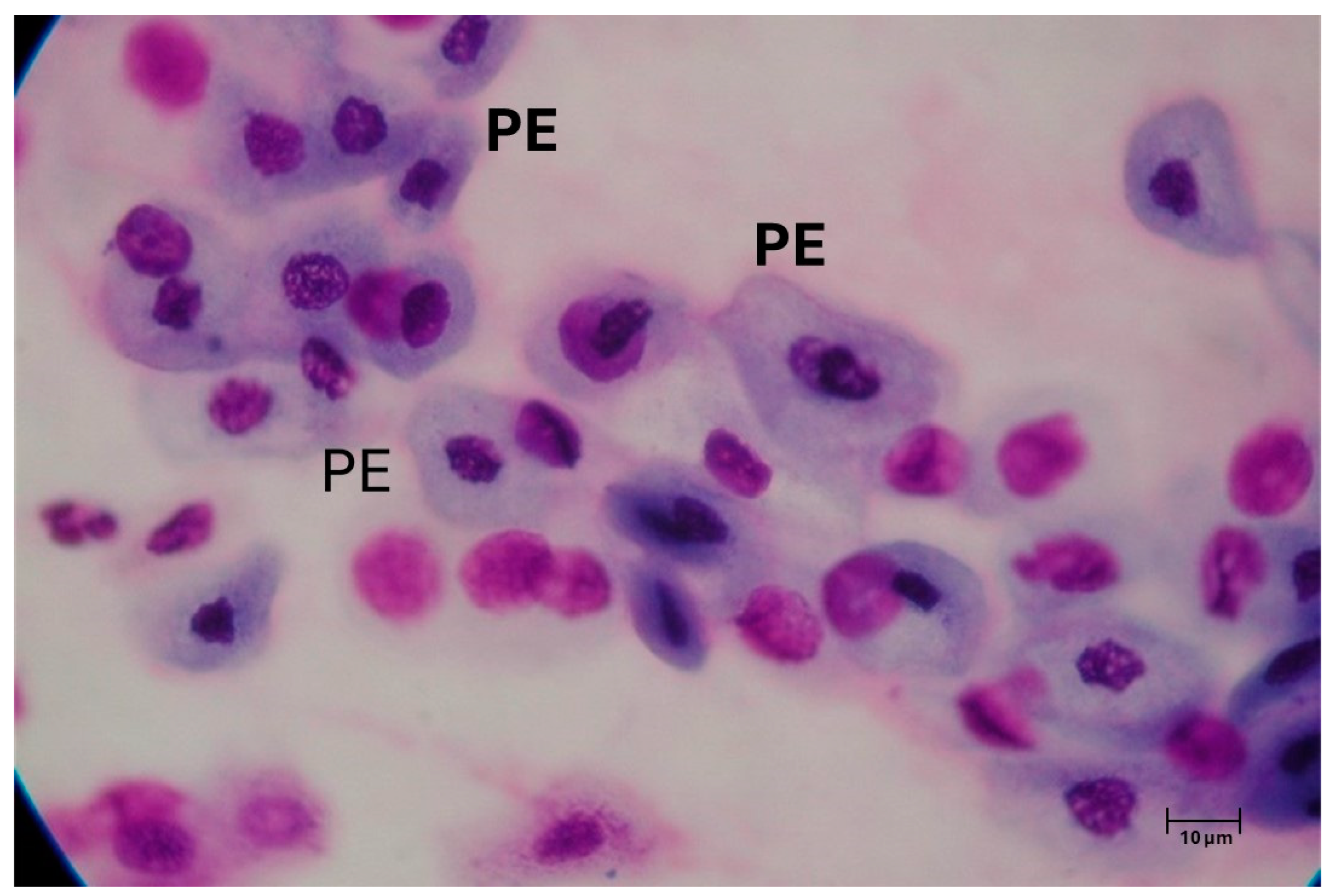
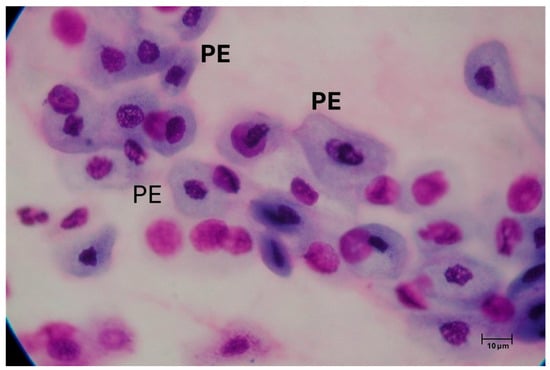
3. Presbynasalis
4. Clinical Features of Allergic Rhinitis
5. Other Rhinitis in Elderly People
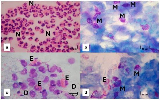
5.1. Non-Allergic Rhinitis
5.2. Overlapping Rhinitis
5.3. Iatrogenic Rhinitis
5.4. Senile Rhinitis
5.5. Chronic Rhinosinusitis
6. Comorbidities
7. The Treatment of Allergic Rhinitis in Elderly Patients
8. Future Research Directions
9. Conclusions
Funding
Institutional Review Board Statement
Informed Consent Statement
Data Availability Statement
Conflicts of Interest
Abbreviations
| AIT | Allergen immunotherapy |
| AR | Allergic rhinitis |
| CRS | Chronic rhinosinusitis |
| CRSwNP | Chronic rhinosinusitis with nasal polyps |
| GERD | Gastroesophageal reflux disease |
| NARES | Non-allergic rhinitis with eosinophils |
| NARESMA | Non-allergic rhinitis with eosinophils and mast cells |
| NARNE | Non-allergic rhinitis with neutrophils |
| OSA | Obstructive Sleep Apnea |
References
- Ventura, M.T.; Scichilone, N.; Paganelli, R.; Minciullo, P.L.; Patella, V.; Bonini, M.; Passalacqua, G.; Lombardi, C.; Simioni, L.; Ridolo, E.; et al. Allergic diseases in the elderly: Biological characteristics and main immunological and non-immunological mechanisms. Clin. Mol. Allergy CMA 2017, 15, 2. [Google Scholar]
- Milgrom, H.; Huang, H. Allergic disorders at a venerable age: A mini-review. Gerontology 2014, 60, 99–107. [Google Scholar] [PubMed]
- Okano, M.; Fujieda, S.; Gotoh, M.; Kurono, Y.; Matsubara, A.; Ohta, N.; Kamijo, A.; Yamada, T.; Nakamaru, Y.; Asako, M.; et al. Executive summary: Japanese guidelines for allergic rhinitis 2020. Allergol. Int. 2023, 72, 41–53. [Google Scholar] [PubMed]
- Ventura, M.T.; D’Amato, A.; Giannini, M.; Carretta, A.; Tummolo, R.A.; Buquicchio, R. Incidence of allergic diseases in an elderly population. Immunopharmacol. Immunotoxicol. 2010, 32, 165–170. [Google Scholar]
- Busse, P.J.; Kilaru, K. Complexities of diagnosis and treatment of allergic respiratory disease in the elderly. Drugs Aging 2009, 26, 1–22. [Google Scholar] [PubMed]
- Morais-Almeida, M.; Pite, H.; Pereira, A.M.; Todo-Bom, A.; Nunes, C.; Bousquet, J.; Fonseca, J. Prevalence and classification of rhinitis in the elderly: A nationwide survey in Portugal. Allergy 2013, 68, 1150–1157. [Google Scholar]
- Xu, H.; Zhang, Y.; Gu, M.; Shan, Y.; Zhang, Q. A prospective study on the difference of clinical outcomes between elderly and adult patients with allergic rhinitis. Am. J. Otolaryngol. 2022, 43, 103509. [Google Scholar]
- Pite, H.; Pereira, A.; Morais-Almeida, M.; Nunes, C.; Bousquet, J.; Fonseca, J. Prevalence of asthma and its association with rhinitis in the elderly. Respir. Med. 2014, 108, 1117–1126. [Google Scholar] [CrossRef]
- Simola, M.; Holopainene, E.; Malmberg, H. Changes in skin and nasal sensitivity to allergens and the course of rhinitis; a long-term follow-up study. Ann. Allergy Asthma Immunol. 1999, 82, 152–156. [Google Scholar]
- Di Lorenzo, G.; Leto-Barone, M.S.; La Piana, S.; Ditta, V.; Di Fede, G.; Rini, G.B. Clinical course of rhinitis and changes in vivo and in vitro of allergic parameters in elderly patients: A long-term follow-up study. Clin. Exp. Med. 2013, 13, 67–73. [Google Scholar]
- DelGaudio, J.M.; Panella, N.J. Presbynasalis. Int. Forum Allergy Rhinol. 2016, 6, 1083–1087. [Google Scholar] [PubMed]
- Ho, J.C.; Chan, K.N.; Hu, W.H.; Lam, W.K.; Zheng, L.; Tipoe, G.L.; Sun, J.; Leung, R.; Tsang, K.W. The effect of aging on nasal mucociliary clearance, beat frequency, and ultrastructure of respiratory cilia. Am. J. Respir. Crit. Care Med. 2001, 163, 983–988. [Google Scholar] [PubMed]
- Williams, M.R.; Eccles, R. The nasal cycle and age. Acta Otolaryngol. 2015, 135, 831–834. [Google Scholar] [PubMed]
- Doty, R.L. Age-Related Deficits in Taste and Smell. Otolaryngol. Clin. N. Am. 2018, 51, 815–825. [Google Scholar]
- Varshney, J.; Varshney, H. Allergic Rhinitis: An Overview. Indian J. Otolaryngol. Head Neck Surg. 2015, 67, 143–149. [Google Scholar]
- Dykewicz, M.S.; Wallace, D.V.; Amrol, D.J.; Baroody, F.M.; Bernstein, J.A.; Craig, T.J.; Dinakar, C.; Ellis, A.K.; Finegold, I.; Golden, D.B.K.; et al. Rhinitis 2020: A practice parameter update. J. Allergy Clin. Immunol. 2020, 146, 721–767. [Google Scholar]
- Bousquet, J.; Schünemann, H.J.; Togias, A.; Bachert, C.; Erhola, M.; Hellings, P.W.; Klimek, L.; Pfaar, O.; Wallace, D.; Ansotegui, I.; et al. Next-generation Allergic Rhinitis and Its Impact on Asthma (ARIA) guidelines for allergic rhinitis based on Grading of Recommendations Assessment, Development and Evaluation (GRADE) and real-world evidence. J. Allergy Clin. Immunol. 2020, 145, 70–80.e3, Erratum in J. Allergy Clin. Immunol. 2022, 149, 2180. [Google Scholar] [CrossRef]
- Gelardi, M.; Giancaspro, R.; Cassano, M.; Ribatti, D. The Underestimated Role of Mast Cells in the Pathogenesis of Rhinopathies. Int. Arch. Allergy Immunol. 2022, 183, 153–159. [Google Scholar] [CrossRef]
- Gelardi, M.; Giancaspro, R.; Pecoraro, P.; Cassano, M. Nasal cytology in allergic rhinitis: Rare observation of pollen degranulation. Int. Forum Allergy Rhinol. 2021, 11, 1710–1711. [Google Scholar]
- Scichilone, N.; Callari, A.; Augugliaro, G.; Marchese, M.; Togias, A.; Bellia, V. The impact of age on prevalence of positive skin prick tests and specific IgE tests. Respir. Med. 2011, 105, 651–658. [Google Scholar]
- Gelardi, M.; Fiore, V.; Giancaspro, R.; Di Canio, F.M.; Fiorentino, C.; Patruno, S.; Ruzza, A.; Cassano, M. General classification of rhinopaties: The need for standardization according to etiology and nasal cytology. Eur. Arch. Otorhinolaryngol. 2023, 280, 4751–4758. [Google Scholar] [CrossRef] [PubMed]
- McDonald, B.; Pittman, K.; Menezes, G.B.; Hirota, S.A.; Slaba, I.; Waterhouse, C.C.M.; Beck, P.L.; Muruve, D.A.; Kubes, P. Intravascular danger signals guide neutrophils to sites of sterile inflammation. Science 2010, 330, 362–366. [Google Scholar] [CrossRef] [PubMed]
- Mandolesi, D.; Schiavon, P.; Ioannou, A.; Mancini, M.; Cimatti, M.C.; Azzaroli, F.; Liverani, E.; Pierantoni, C.; Pirodda, A.; De Giorgio, R.; et al. Chronic non-allergic rhinitis with neutrophils is associated with higher acid exposure time: A pH-impedance monitoring study. Dig. Liver Dis. 2020, 52, 414–419. [Google Scholar] [CrossRef] [PubMed]
- Gelardi, M.; Cassano, P.; Cassano, M.; Fiorella, M.L. Nasal cytology: Description of a hyperchromatic supranuclear stria as a possible marker for the anatomical and functional integrity of the ciliated cell. Am. J. Rhinol. 2003, 17, 263–268. [Google Scholar] [CrossRef]
- Dollner, R.; Taraldsrud, E.; Iversen, K.; Osnes, T.; Kristensen, B.; Kramer, M.F. Non-allergic, mastocytosis-associated rhinitis. Clin. Exp. Allergy 2013, 43, 406–412. [Google Scholar] [CrossRef]
- Gelardi, M.; Iannuzzi, L.; Quaranta, N.; Landi, M.; Passalacqua, G. NASAL cytology: Practical aspects and clinical relevance. Clin. Exp. Allergy 2016, 46, 785–792. [Google Scholar] [CrossRef]
- Gelardi, M.; Del Giudice, A.M.; Fiorella, M.; Fiorella, R.; Russo, C.; Soleti, P.; Di Gioacchino, M.; Ciprandi, G. Non-allergic rhinitis with eosinophils and mast cells constitutes a new severe nasal disorder. Int. J. Immunopathol. Pharmacol. 2008, 21, 325–331. [Google Scholar] [CrossRef]
- Scarupa, M.D.; Kaliner, M.A. Nonallergic rhinitis, with a focus on vasomotor rhinitis: Clinical importance, differential diagnosis, and effective treatment recommendations. World Allergy Organ. J. 2009, 2, 20–25. [Google Scholar] [CrossRef]
- Varghese, M.; Glaum, M.C.; Lockey, R.F. Drug-induced rhinitis. Clin. Exp. Allergy 2010, 40, 381–384. [Google Scholar] [CrossRef]
- Li, L.-Y.J.; Wang, S.-Y.; Tsai, C.-Y.; Wu, C.-J. Rhinitis medicamentosa. BMJ Case Rep. 2021, 14, e247051. [Google Scholar] [CrossRef]
- Papadopoulos, N.G.; Bernstein, J.A.; Demoly, P.; Dykewicz, M.; Fokkens, W.; Hellings, P.W.; Peters, A.T.; Rondon, C.; Togias, A.; Cox, L.S. Phenotypes and endotypes of rhinitis and their impact on management: A PRACTALL report. Allergy 2015, 70, 474–494. [Google Scholar] [CrossRef] [PubMed]
- Georgalas, C.; Jovancevic, L. Gustatory rhinitis. Curr. Opin. Otolaryngol. Head Neck Surg. 2012, 20, 9–14. [Google Scholar] [CrossRef]
- Jovancevic, L.; Georgalas, C.; Savovic, S.; Janjevic, D. Gustatory rhinitis. Rhinology 2010, 48, 7–10. [Google Scholar] [CrossRef]
- Leszczyńska, J.; Stryjewska-Makuch, G.; Ścierski, W.; Lisowska, G. Bacterial Flora of the Nose and Paranasal Sinuses Among Patients Over 65 Years Old with Chronic Rhinosinusitis Who Underwent Endoscopic Sinus Surgery. Clin. Interv. Aging 2020, 15, 207–215. [Google Scholar] [CrossRef]
- Didikoglu, A.; Guler, E.S.; Turk, H.K.; Can, K.; Erim, A.N.; Payton, A.; Murgatroyd, C.; Pakpahan, E.; Minshull, J.; Robinson, A.C.; et al. Depression in older adults and its associations with sleep and synaptic density. J. Affect. Disord. 2024, 366, 379–385. [Google Scholar] [CrossRef] [PubMed]
- Kohli, P.; Soler, Z.M.; Nguyen, S.A.; Muus, J.S.; Schlosser, R.J. The Association Between Olfaction and Depression: A Systematic Review. Chem. Senses 2016, 41, 479–486. [Google Scholar] [CrossRef] [PubMed]
- Woo, S.D.; Lee, S.-H.; Ye, Y.-M.; Kim, S.-C.; Lee, Y.; Shin, Y.-S.; Park, H.-S. A Prospective Study to Compare Clinical Outcomes of Allergic Rhinitis Between Older and Younger Adults: A Potential Effect of Depression in Older Patients. Allergy Asthma Immunol. Res. 2021, 13, 339–346. [Google Scholar] [CrossRef]
- Scadding, G.K. Optimal management of allergic rhinitis. Arch. Dis. Child. 2015, 100, 576. [Google Scholar] [CrossRef]
- Klimek, L.; Mullol, J.; Ellis, A.K.; Izquierdo-Domínguez, A.; Hagemann, J.; Casper, I.; Davis, A.; Becker, S. Current Management of Allergic Rhinitis. J. Allergy Clin. Immunol. Pract. 2024, 12, 1399–1412. [Google Scholar] [CrossRef]
- Bozek, A. Pharmacological Management of Allergic Rhinitis in the Elderly. Drugs Aging 2016, 34, 21. [Google Scholar] [CrossRef]
- Carter, N.J. Bilastine: In allergic rhinitis and urticaria. Drugs 2012, 72, 1257–1269. [Google Scholar] [PubMed]
- Green, R.J.; Van Niekerk, A.; Feldman, C. Treating acute rhinitis and exacerbations of chronic rhinitis—A role for topical decongestants? S. Afr. Fam. Pract. 2020, 62, 5053. [Google Scholar] [CrossRef] [PubMed]
- Scichilone, N.; Ventura, M.T.; Bonini, M.; Braido, F.; Bucca, C.; Caminati, M.; Del Giacco, S.; Heffler, E.; Lombardi, C.; Matucci, A.; et al. Choosing wisely: Practical considerations on treatment efficacy and safety of asthma in the elderly. Clin. Mol. Allergy 2015, 13, 7. [Google Scholar] [CrossRef] [PubMed]
- Lo, C.W.H.; Pathadka, S.; Qin, S.X.; Fung, L.W.; Yan, V.K.C.; Yiu, H.H.E.; Bloom, C.I.; Wong, I.C.K.; Chan, E.W.Y. Neuropsychiatric events associated with montelukast in patients with asthma: A systematic review. Eur. Respir. Rev. 2023, 32, 230079. [Google Scholar] [CrossRef]
- Tsabouri, S.; Ntritsos, G.; Koskeridis, F.; Evangelou, E.; Olsson, P.; Kostikas, K. Omalizumab for the treatment of allergic rhinitis: A systematic review and meta-analysis. Rhinology 2021, 59, 501–510. [Google Scholar] [CrossRef] [PubMed]
- Nettis, E.; Cegolon, L.; Di Leo, E.; Canonica, W.G.; Detoraki, A.; Baiardini, I.; Bisaccia, M.; Cancian, M.; Capretti, S.; Colombo, G.; et al. Omalizumab in elderly patients with chronic spontaneous urticaria: An Italian real-life experience. Ann. Allergy Asthma Immunol. 2018, 120, 318–323. [Google Scholar] [CrossRef]
- Bożek, A. Clinical outcomes of AIT in the elderly population. Curr. Opin. Allergy Clin. Immunol. 2023, 23, 341. [Google Scholar]
- Di Bona, D.; Plaia, A.; Scafidi, V.; Leto-Barone, M.S.; Di Lorenzo, G. Efficacy of sublingual immunotherapy with grass allergens for seasonal allergic rhinitis: A systematic review and meta-analysis. J. Allergy Clin. Immunol. 2010, 126, 558–566. [Google Scholar] [CrossRef] [PubMed]



Disclaimer/Publisher’s Note: The statements, opinions and data contained in all publications are solely those of the individual author(s) and contributor(s) and not of MDPI and/or the editor(s). MDPI and/or the editor(s) disclaim responsibility for any injury to people or property resulting from any ideas, methods, instructions or products referred to in the content. |
© 2025 by the authors. Licensee MDPI, Basel, Switzerland. This article is an open access article distributed under the terms and conditions of the Creative Commons Attribution (CC BY) license (https://creativecommons.org/licenses/by/4.0/).
Share and Cite
Gelardi, M.; Giancaspro, R.; Boni, E.; Di Gioacchino, M.; Cintoli, G.; Cassano, M.; Ventura, M.T. Rhinitis in the Geriatric Population: Epidemiological and Cytological Aspects. Geriatrics 2025, 10, 50. https://doi.org/10.3390/geriatrics10020050
Gelardi M, Giancaspro R, Boni E, Di Gioacchino M, Cintoli G, Cassano M, Ventura MT. Rhinitis in the Geriatric Population: Epidemiological and Cytological Aspects. Geriatrics. 2025; 10(2):50. https://doi.org/10.3390/geriatrics10020050
Chicago/Turabian StyleGelardi, Matteo, Rossana Giancaspro, Elisa Boni, Mario Di Gioacchino, Giulia Cintoli, Michele Cassano, and Maria Teresa Ventura. 2025. "Rhinitis in the Geriatric Population: Epidemiological and Cytological Aspects" Geriatrics 10, no. 2: 50. https://doi.org/10.3390/geriatrics10020050
APA StyleGelardi, M., Giancaspro, R., Boni, E., Di Gioacchino, M., Cintoli, G., Cassano, M., & Ventura, M. T. (2025). Rhinitis in the Geriatric Population: Epidemiological and Cytological Aspects. Geriatrics, 10(2), 50. https://doi.org/10.3390/geriatrics10020050

