Survival Time after Surgical Debulking and Temozolomide Adjuvant Chemotherapy in Canine Intracranial Gliomas
Abstract
:Simple Summary
Abstract
1. Introduction
2. Materials and Methods
2.1. Case Selection and Data Collection
2.2. Medical Records
2.3. Statistical Analysis
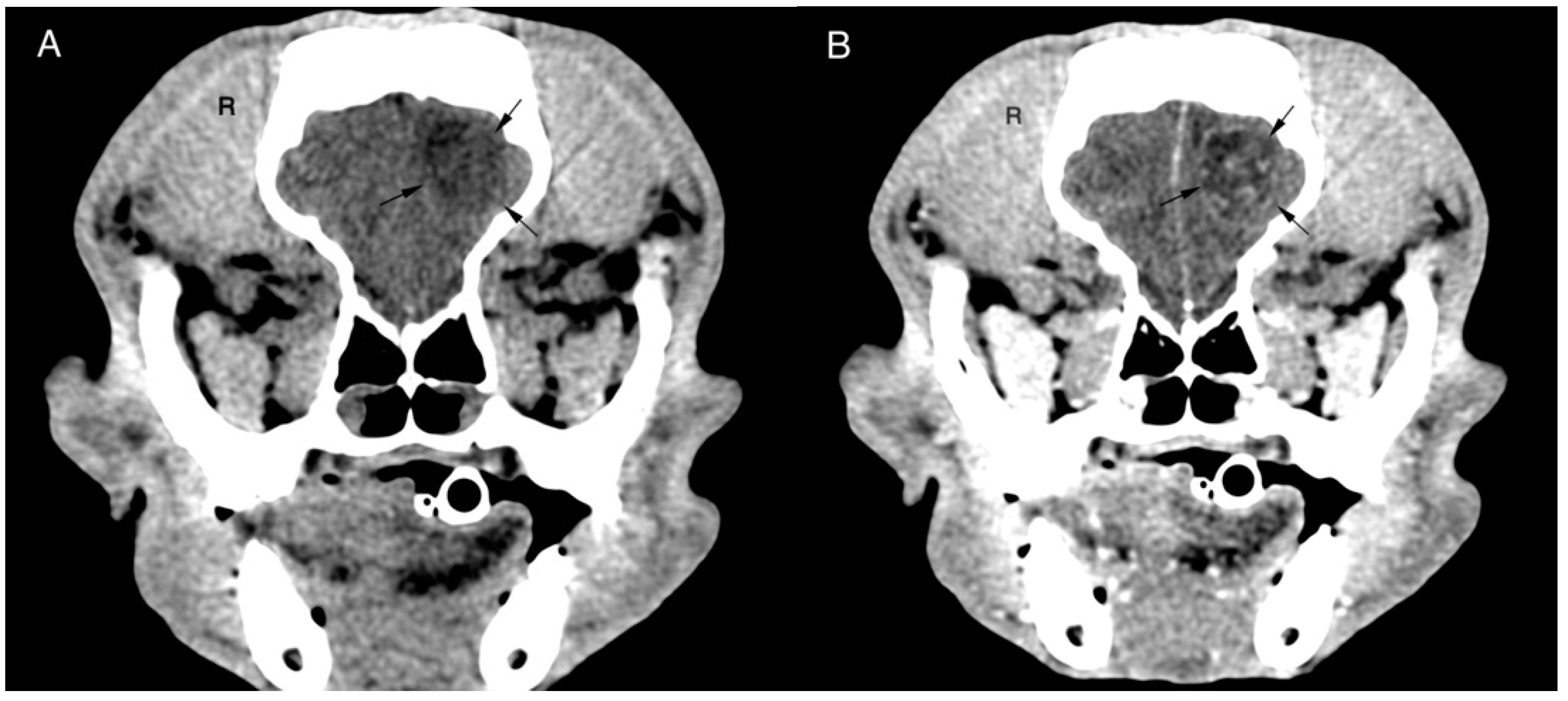
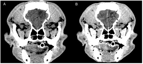
3. Results
4. Discussion
| Study | Animals Number | Tumour | Diagnosis | Chemotherapy/Radiotherapy Treatment | Surgery | Median ST (Days) |
|---|---|---|---|---|---|---|
| Presumptive | ||||||
| Van Meervenne, S. et al. (2012) [31] | 56 dogs | Intra or extra-axial | Presumptive (CT) | Lomustine | No | 93 |
| Moirano, S. et al. (2018)32 | 40 dogs | Gliomas | Presumptive (MRI) | Lomustine | No | 138 |
| Magalhães, TR. et al. (2021) [35] | 16 dogs | Gliomas | Presumptive (MRI) | Radiotherapy | No | 512 |
| Dolera, M. et al. (2017) [17] | 22 dogs | Gliomas | Presumptive (MRI) | Radiotherapy | No | 383 |
| Dolera, M. et al. (2017) [17] | 20 dogs | Gliomas | Presumptive (MRI) | Radiotherapy and temozolomide | No | 420 |
| Moirano, S. et al. (2020) [16] | 5 dogs | Gliomas | Presumptive (MRI) | Radiotherapy and chemotherapy (lomustine, hydroxyurea, temozolomide or toceranib phosphate) | No | 636 |
| Necropsy | ||||||
| José-López, R. et al. (2021) [2] | 12 dogs | Gliomas | Definitive (MRI and necropsy) | Chemotherapy (lomustine, temozolomide, cytarabine and clinical trial drug) | No | 56 |
| Adams et al. (2005) [27] | 12 dogs | Gliomas | Definitive (MRI and necropsy) | Radiotherapy | No | 255 |
| José-López, R. et al. (2021) [2] | 1 dog | Glioma undefined (high-grade) | Definitive (MRI and necropsy) | Radiotherapy | No | 29 |
| Hasegawa, D. et al. (2012) [29] | 1 dog | Anaplastic Oligodendroglioma | Definitive (MRI and necropsy) | Radiotherapy and lomustine | No | 910 |
| Biopsy | ||||||
| Suñol, A. et al. (2017) [9] | 14 dogs | Gliomas (8 oligodendrogliomas, 4 astrocytomas, and 2 anaplastic gliomas) | Definitive (MRI and biopsy) | No | Yes | 66 |
| José-López, R. et al. (2021) [2] | 4 dogs | Oligodendroglioma | Definitive (MRI and biopsy) | No | Yes | 125 days |
| José-López, R. et al. (2021) [2] | 3 dogs | Oligodendroglioma (high-grade) | Definitive (MRI and biopsy) | Chemotherapy (lomustine and temozolomide) | Yes | 206 days |
| Hicks, J. et al. (2019) [30] | 4 dogs | Gliomas (1 gliomasglioblastoma multiforme and 3 oligodendroglioma) | Definitive (MRI and biopsy) | Intratumoral temozolomide microcylinders | Yes | Not reported |
| Bentley, R. et al. (2018) [28] | 8 dogs | Gliomas (7 oligodendrogliomas and 1 astrocytoma (6 high grade, 2 low grade) | Definitive (MRI and biopsy) | Chlorambucil and lomustine | Yes | 257 days |
| Adams et al. (2005) [27] | 13 dogs | Gliomas | Definitive (MRI and biopsy) | Radiotherapy | Yes | 300 |
| José-López, R. et al. (2021) [2] | 1 dog | Glioma undefined (high-grade) | Definitive (MRI and biopsy) | Radiotherapy | Yes | 94 days |
| Our study | 14 dogs | Gliomas (4 oligodendroglioma, 8 anaplastic oligodendroglioma and 2 glioblastoma grade IV) | Definitive (MRI or CT and biopsy) | Temozolomide and toceranib phosphate, lomustine and/or melphalan | Yes | 240 days |
5. Conclusions
Author Contributions
Funding
Institutional Review Board Statement
Data Availability Statement
Acknowledgments
Conflicts of Interest
References
- Song, R.; Vite, C.; Bradley, C.; Cross, J. Postmortem Evaluation of 435 Cases of Intracranial Neoplasia in Dogs and Relationship of Neoplasm with Breed, Age, and Body Weight. J. Veter- Intern. Med. 2013, 27, 1143–1152. [Google Scholar] [CrossRef] [PubMed]
- José-López, R.; Gutierrez-Quintana, R.; de la Fuente, C.; Manzanilla, E.G.; Suñol, A.; Castro, D.P.; Añor, S.; Sánchez-Masian, D.; Fernández-Flores, F.; Ricci, E.; et al. Clinical features, diagnosis, and survival analysis of dogs with glioma. J. Veter- Intern. Med. 2021, 35, 1902–1917. [Google Scholar] [CrossRef]
- Dickinson, P. Advances in Diagnostic and Treatment Modalities for Intracranial Tumors. J. Veter- Intern. Med. 2014, 28, 1165–1185. [Google Scholar] [CrossRef] [PubMed]
- McGrath, J.T. Intracranial Pathology of the Dog. Acta Neuropathol. 1962, 3–4. [Google Scholar] [CrossRef]
- Snyder, J.M.; Shofer, F.S.; Winkle, T.J.; Massicotte, C. Canine Intracranial Primary Neoplasia: 173 Cases (1986–2003). J. Veter- Intern. Med. 2006, 20, 669–675. [Google Scholar] [CrossRef]
- Truvé, K.; Dickinson, P.; York, D. Evaluation of Selective Sweeps for Brachycephaly in Dogs and Associated Susceptibility Loci for Glioma. In Proceedings of the 6th International Conference on Advances in Canine and Feline Genomics and Inherited Diseases, Visby, Sweden, 28 May–1 June 2012. [Google Scholar]
- Bagley, R.S.; Gavin, P.R.; Moore, M.P.; Silver, G.M.; Harrington, M.L.; Connors, R.L. Clinical signs associated with brain tumors in dogs: 97 cases (1992–1997). J. Am. Veter-Med Assoc. 1999, 215, 818–819. [Google Scholar]
- Westworth, D.; Dickinson, P.; Vernau, W.; Johnson, E.; Bollen, A.; Kass, P.; Sturges, B.; Vernau, K.; Lecouteur, R.; Higgins, R. Choroid Plexus Tumors in 56 Dogs (1985–2007). J. Veter. Intern. Med. 2008, 22, 1157–1165. [Google Scholar] [CrossRef]
- Suñol, A.; Mascort, J.; Font, C.; Bastante, A.R.; Pumarola, M.; Feliu-Pascual, A.L. Long-term follow-up of surgical resection alone for primary intracranial rostrotentorial tumors in dogs: 29 cases (2002–2013). Open Vet. J. 2017, 7, 375–383. [Google Scholar] [CrossRef]
- Hayes Jr, H.M.; Priester, W.A.; Pendergrass, T.W. Occurrence of nervous-tissue tumors in cattle, horses, cats and dogs. Int. J. Cancer 1975, 15, 39–47. [Google Scholar] [CrossRef] [PubMed]
- Snyder, J.; Lipitz, L.; Skorupski, K.; Shofer, F.; Van Winkle, T. Secondary Intracranial Neoplasia in the Dog: 177 Cases (1986–2003). J. Veter. Intern. Med. 2008, 22, 172–177. [Google Scholar] [CrossRef] [PubMed]
- Sturges, B.; Dickinson, P.; Bollen, A.; Koblik, P.; Kass, P.; Kortz, G.; Vernau, K.; Knipe, M.; LeCouteur, R.; Higgins, R. Magnetic Resonance Imaging and Histological Classification of Intracranial Meningiomas in 112 Dogs. J. Veter. Intern. Med. 2008, 22, 586–595. [Google Scholar] [CrossRef]
- Bentley, R.; Ober, C.; Anderson, K.; Feeney, D.; Naughton, J.; Ohlfest, J.; O’Sullivan, M.; Miller, M.; Constable, P.; Pluhar, G. Canine intracranial gliomas: Relationship between magnetic resonance imaging criteria and tumor type and grade. Veter. J. 2013, 198, 463–471. [Google Scholar] [CrossRef] [PubMed]
- MacLellan, J.D.; Arnold, S.A.; Dave, A.C.; Hunt, M.A.; Pluhar, G.E. Association of magnetic resonance imaging–based preoperative tumor volume with postsurgical survival time in dogs with primary intracranial glioma. J. Am. Veter. Med Assoc. 2018, 252, 98–102. [Google Scholar] [CrossRef] [PubMed]
- Hicks, J.; Platt, S.; Kent, M.; Haley, A. Canine brain tumours: A model for the human disease? Vet. Comp. Oncol. 2017, 15, 252–272. [Google Scholar] [CrossRef] [PubMed]
- Moirano, S.J.; Dewey, C.W.; Haney, S.; Yang, J. Efficacy of frameless stereotactic radiotherapy for the treatment of presumptive canine intracranial gliomas: A retrospective analysis (2014–2017). Veter. Comp. Oncol. 2020, 18, 528–537. [Google Scholar] [CrossRef] [PubMed]
- Dolera, M.; Malfassi, L.; Bianchi, C.; Carrara, N.; Finesso, S.; Marcarini, S.; Mazza, G.; Pavesi, S.; Sala, M.; Urso, G. Frameless stereotactic radiotherapy alone and combined with temozolomide for presumed canine gliomas. Veter. Comp. Oncol. 2017, 16, 90–101. [Google Scholar] [CrossRef]
- Louis, D.N.; Ohgaki, H.; Wiestler, O.D.; Cavenee, W.K.; Burger, P.C.; Jouvet, A.; Scheithauer, B.W.; Kleihues, P. The 2007 WHO Classification of Tumours of the Central Nervous System. Acta Neuropathol. 2007, 114, 97–109. [Google Scholar] [CrossRef]
- Stadler, K.L.; Ruth, J.D.; Pancotto, T.E.; Werre, S.R.; Rossmeisl, J.H. Computed Tomography and Magnetic Resonance Imaging Are Equivalent in Mensuration and Similarly Inaccurate in Grade and Type Predictability of Canine Intracranial Gliomas. Front. Veter. Sci. 2017, 4, 157. [Google Scholar] [CrossRef] [PubMed]
- Wolff, C.; Holmes, S.; Young, B.; Chen, A.; Kent, M.; Platt, S.; Savage, M.; Schatzberg, S.; Fosgate, G.; Levine, J. Magnetic Resonance Imaging for the Differentiation of Neoplastic, Inflammatory, and Cerebrovascular Brain Disease in Dogs. J. Veter. Intern. Med. 2012, 26, 589–597. [Google Scholar] [CrossRef]
- Miller, A.D.; Miller, C.; Rossmeisl, J.H. Canine Primary Intracranial Cancer: A Clinicopathologic and Comparative Review of Glioma, Meningioma, and Choroid Plexus Tumors. Front. Oncol. 2019, 9, 1151. [Google Scholar] [CrossRef] [PubMed]
- Rossmeisl, J.H.; Jones, J.C.; Zimmerman, K.L.; Robertson, J.L. Survival time following hospital discharge in dogs with palliatively treated primary brain tumors. J. Am. Veter. Med Assoc. 2013, 242, 193–198. [Google Scholar] [CrossRef] [PubMed]
- Dervisis, N.G.; Dominguez, P.A.; Sarbu, L.; Newman, R.G.; Cadile, C.D.; Swanson, C.N.; Kitchell, B.E. Efficacy of temozolomide or dacarbazine in combination with an anthracycline for rescue chemotherapy in dogs with lymphoma. J. Am. Veter. Med Assoc. 2007, 231, 563–569. [Google Scholar] [CrossRef] [PubMed]
- Cancedda, S.; Bley, C.R.; Aresu, L.; Dacasto, M.; Leone, V.F.; Pizzoni, S.; Gracis, M.; Marconato, L. Efficacy and side effects of radiation therapy in comparison with radiation therapy and temozolomide in the treatment of measurable canine malignant melanoma. Veter. Comp. Oncol. 2014, 14, e146–e157. [Google Scholar] [CrossRef] [PubMed]
- LeBlanc, A.K.; Atherton, M.; Bentley, R.T.; Boudreau, C.E.; Burton, J.H.; Curran, K.M.; Dow, S.; Giuffrida, M.A.; Kellihan, H.B.; Mason, N.J.; et al. Veterinary Cooperative Oncology Group—Common Terminology Criteria for Adverse Events ( VCOG-CTCAE v2) following investigational therapy in dogs and cats. Veter- Comp. Oncol. 2021, 19, 311–352. [Google Scholar] [CrossRef]
- Rich, J.T.; Neely, J.G.; Paniello, R.C.; Voelker, C.C.J.; Nussenbaum, B.; Wang, E. A practical guide to understanding Kaplan-Meier curves. Otolaryngol. Neck Surg. 2010, 143, 331–336. [Google Scholar] [CrossRef]
- Adams, V.J.; Platt, S.R.; Garosi, L.S.; Murphy, S.; Abramson, C.J. Survival Analysis of Canine Gliomas and Meningiomas Treated with Corticosteroids Hypofractionated Radiother-Apy or Surgery and Radiotherapy. In Proceedings of the BSAVA Congress, Birmingham, UK, 7–10 April 2005; Volume 7. [Google Scholar]
- Bentley, R.T.; Thomovsky, S.A.; Miller, M.A.; Knapp, D.W.; Cohen-Gadol, A.A. Canine (Pet Dog) Tumor Microsurgery and Intratumoral Concentration and Safety of Metronomic Chlorambucil for Spontaneous Glioma: A Phase I Clinical Trial. World Neurosurg. 2018, 116, e534–e542. [Google Scholar] [CrossRef]
- Hasegawa, D.; Uchida, K.; Kuwabara, T.; Mizoguchi, S.; Yayoshi, N.; Fujita, M. Long-Term Survival in a Dog with Anaplastic Oligodendroglioma Treated with Radiation Therapy and CCNU. J. Veter. Med Sci. 2012, 74, 1517–1521. [Google Scholar] [CrossRef]
- Hicks, J.; Platt, S.; Stewart, G.; Senneca, C.; Holmes, S.; Kent, M.; Howerth, E.; Kaplan, J.; Kaplan, E. Intratumoral temozolomide in spontaneous canine gliomas: Feasibility of a novel therapy using implanted microcylinders. Veter. Med. Sci. 2018, 5, 5–18. [Google Scholar] [CrossRef]
- Van Meervenne, S.; Verhoeven, P.S.; De Vos, J.; Gielen, I.M.V.L.; Polis, I.; Van Ham, L.M.L. Comparison between symptomatic treatment and lomustine supplementation in 71 dogs with intracranial, space-occupying lesions. Veter. Comp. Oncol. 2012, 12, 67–77. [Google Scholar] [CrossRef]
- Moirano, S.J.; Dewey, C.W.; Wright, K.; Cohen, P.W. Survival times in dogs with presumptive intracranial gliomas treated with oral lomustine: A comparative retrospective study (2008–2017). Veter. Comp. Oncol. 2018, 16, 459–466. [Google Scholar] [CrossRef]
- Rossmeisl, J.H.; Herpai, D.; Quigley, M.; E Cecere, T.; Robertson, J.L.; D’Agostino, R.B.; Hinckley, J.; Tatter, S.B.; Dickinson, P.J.; Debinski, W. Phase I trial of convection-enhanced delivery of IL13RA2 and EPHA2 receptor targeted cytotoxins in dogs with spontaneous intracranial gliomas. Neuro-Oncology 2020, 23, 422–434. [Google Scholar] [CrossRef] [PubMed]
- Freeman, A.C.; Platt, S.R.; Holmes, S.; Kent, M.; Robinson, K.; Howerth, E.; Eagleson, J.; Bouras, A.; Kaluzova, M.; Hadjipanayis, C.G. Convection-enhanced delivery of cetuximab conjugated iron-oxide nanoparticles for treatment of spontaneous canine intracranial gliomas. J. Neuro-Oncol. 2018, 137, 653–663. [Google Scholar] [CrossRef] [PubMed]
- Magalhães, T.R.; Benoît, J.; Néčová, S.; North, S.; Queiroga, F.L. Outcome After Radiation Therapy in Canine Intracranial Meningiomas or Gliomas. In Vivo 2021, 35, 1117–1123. [Google Scholar] [CrossRef] [PubMed]
- Ródenas, S.; Pumarola, M.; Gaitero, L.; Zamora, À.; Añor, S. Magnetic resonance imaging findings in 40 dogs with histologically confirmed intracranial tumours. Veter. J. 2011, 187, 85–91. [Google Scholar] [CrossRef]
- Wanamaker, M.W.; Vernau, K.M.; Taylor, S.L.; Cissell, D.D.; Abdelhafez, Y.G.; Zwingenberger, A.L. Classification of neoplastic and inflammatory brain disease using MRI texture analysis in 119 dogs. Veter. Radiol. Ultrasound 2021, 62, 445–454. [Google Scholar] [CrossRef]
- Weller, M.; Le Rhun, E. How did lomustine become standard of care in recurrent glioblastoma? Cancer Treat. Rev. 2020, 87, 102029. [Google Scholar] [CrossRef]
- Weller, M.; van den Bent, M.; Preusser, M.; Le Rhun, E.; Tonn, J.C.; Minniti, G.; Bendszus, M.; Balana, C.; Chinot, O.; Dirven, L.; et al. EANO guidelines on the diagnosis and treatment of diffuse gliomas of adulthood. Nat. Rev. Clin. Oncol. 2020, 18, 170–186. [Google Scholar] [CrossRef]
- Ramakrishna, R.; Hebb, A.; Barber, J.; Rostomily, R.; Silbergeld, D.; Ramakrishna, R.; Hebb, A.; Barber, J.; Rostomily, R.; Silbergeld, D. Outcomes in Reoperated Low-Grade Gliomas. Neurosurgery 2015, 77, 175–184. [Google Scholar] [CrossRef]
- Brearley, M.J.; Jeffery, N.D.; Phillips, S.M.; Dennis, R. Hypofractionated Radiation Therapy of Brain Masses in Dogs: A Retrospective Analysis of Survival of 83 Cases (1991–1996). J. Vet. Intern. Med. 1999, 13, 408. [Google Scholar] [CrossRef]
- Forward, A.K.; Volk, H.A.; De Decker, S. Postoperative survival and early complications after intracranial surgery in dogs. Veter. Surg. 2018, 47, 549–554. [Google Scholar] [CrossRef]
- Fransson, B.A.; Bagley, R.S.; Gay, J.M.; Silver, G.M.; Gokhale, S.; Sanders, S.; Connors, R.L.; Gavin, P.R. Pneumonia after intracranial surgery in dogs. Veter. Surg. 2001, 30, 432–439. [Google Scholar] [CrossRef] [PubMed]
- Lindsay, B.; Cook, D.; Wetzel, J.; Siess, S.; Moses, P. Brachycephalic airway syndrome: Management of post-operative respiratory complications in 248 dogs. Aust. Veter. J. 2020, 98, 173–180. [Google Scholar] [CrossRef] [PubMed]
- Hu, H.; Barker, A.; Harcourt-Brown, T.; Jeffery, N.D. Systematic Review of Brain Tumor Treatment in Dogs. J. Veter. Intern. Med. 2015, 29, 1456–1463. [Google Scholar] [CrossRef]



| Breed | Sex | Neutered (Y/N) | Age (yrs) | Weight (kg) | Primary Complaint | Neurological Exam | Tumour Localization | Surgery (N) | Histopathology | Chemotherapy | Tumour Relapse | Survival Time (Days) | Cause Death |
|---|---|---|---|---|---|---|---|---|---|---|---|---|---|
| French Bulldog | M | Y | 8 | 13.0 | Seizures | Left circling and right proprioceptive deficits | Left temporal lobe | 1 | Glioblastoma grade IV | Temozolomide (181.8 mg/m2 for 5 days every 3 weeks) | Suspected | 456 | Euthanasia due to clinical signs of relapse |
| French Bulldog | F | Y | 8 | 9.8 | Seizures | Obtunded mental status, right circling, ambulatory tetraparesis, decreased left menace response and facial sensation | Right frontal lobe | 1 | Anaplastic oligodendroglioma grade III | Temozolomide (109.0 mg/m2 for 5 days every 3 weeks) | Suspected | 190 | Euthanasia due to clinical signs of relapse |
| French Bulldog | M | N | 9 | 14.6 | Seizures | Normal | Right temporal lobe | 1 | Oligodendroglioma grade II | Temozolomide (100.0 mg/m2 for 5 days every 3 weeks) | Suspected | 300 | Euthanasia due to clinical signs of relapse |
| French Bulldog | F | Y | 9 | 9.2 | Seizures | Decreased menace response OS | Right temporal lobe | 1 | Glioblastoma grade IV | Temozolomide (93.0 mg/m2 for 5 days every 3 weeks) | Suspected | 150 | Euthanasia due to clinical signs of relapse |
| Boxer | F | Y | 10 | 37.2 | Seizures | Obtunded mental status, right circling, ambulatory tetraparesis, decreased left menace response and facial sensation | Left frontal lobe | 1 | Anaplastic oligodendroglioma grade III | 1st Temozolomide (110. mg/m2 for 5 days every 3 weeks) 2nd Melphalan (0.15 mg/kg for 5 days every 3 weeks) | Suspected | 493 | Euthanasia due to clinical signs of relapse |
| French Bulldog | F | Y | 10 | 15.3 | Seizures | Mild right proprioceptive deficits | Left frontal lobe | 1 | Oligodendroglioma grade II | Temozolomide (100.0 mg/m2 for 5 days every 3 weeks) | Suspected | 51 | Euthanasia due to clinical signs of relapse |
| French Bulldog | M | N | 7 | 14.0 | Seizures | Normal | Left frontal lobe | 1 | Anaplastic oligodendroglioma grade III | Temozolomide (76.9 mg/m2 for 5 days every 3 weeks) | Suspected | 160 | Euthanasia due to clinical signs of relapse |
| French Bulldog | M | N | 7 | 13.5 | Seizures | Normal | Left frontal lobe | 1 | Anaplastic oligodendroglioma grade III | Temozolomide (76.9 mg/m2 for 5 days every 3 weeks) | Suspected | 180 | Euthanasia due to clinical signs of relapse |
| English Bulldog | F | Y | 4 | 25.5 | Obtundedmental status | Right circling, left proprioceptive deficits, decreased menace response OS | Left cerebellum | 1 | Anaplastic oligodendroglioma grade III | 1st Temozolomide (160.9 mg/m2 for 5 days every 3 weeks) | CT confirmed | 120 | Euthanasia due to tumour regrowth |
| French Bulldog | M | N | 5 | 13.3 | Seizures | Mild right proprioceptive deficits and decreased menace response OD | Left frontal lobe | 1 | Oligodendroglioma grade II | 1st Temozolomide 181.8 mg/m2 for 5 days every 3 weeks) 2nd Lomustine (70 mg/m2 every 3 weeks) | CT confirmed | 240 | Euthanasia due to tumour regrowth |
| Boxer | F | N | 9 | 28.5 | Seizures | Lumbosacral pain | Right occipital lobe | 2 | 1st Anaplastic oligodendroglioma grade III 2nd Gliosarcoma grade IV | 1st Temozolomide (76.9 mg/m2 for 5 días every 3 weeks) 2nd Toceranib phosphate (2.8 mg/kg 3 times weekly) | CT & biopsy confirmed | 241 | Euthanasia due to tumour regrowth |
| French Bulldog | F | Y | 8 | 8.9 | Seizures | Decrease pupillary reflex OD | Right olfactory lobe | 2 | 1st Anaplastic oligodendroglioma grade III 2nd Anaplastic oligodendroglioma grade III | Temozolomide (93.0 mg/m2 for 5 days every 3 weeks) | CT & biopsy confirmed | 428 | Euthanasia due to aspiration pneumonia two days after the second surgery. CT ruled out IC haemorrhage |
| Boxer mix | F | Y | 8 | 21.3 | Seizures | Mild left proprioceptive deficits | Left frontal lobe | 2 | 1st Oligodendroglioma grade II 2nd Oligodendroglioma grade II | 1st Temozolomide (76.4 mg/m2 for 5 days every 3 weeks) 2nd Lomustine (70 mg/m2 every 3 weeks) | CT & biopsy confirmed | 468 | Euthanasia due to tumour regrowth |
| French Bulldog | F | Y | 8 | 14.5 | Seizures | Left pelvic limb proprioceptive deficits and decreased menace response OS | Right parietal lobe | 3 | 1st Anaplastic oligodendroglioma grade III 2nd Anaplastic oligodendroglioma grade III 3rd Anaplastic oligodendroglioma grade III | 1st Temozolomide (81.6 mg/m2 for 5 days every 3 weeks) 2nd Toceranib phosphate (2.5 mg/kg 3 times weekly) 3rd Lomustine (70 mg/m2 every 3 weeks) | CT & biopsy confirmed | 780 | Euthanasia due to tumour regrowth |
Publisher’s Note: MDPI stays neutral with regard to jurisdictional claims in published maps and institutional affiliations. |
© 2022 by the authors. Licensee MDPI, Basel, Switzerland. This article is an open access article distributed under the terms and conditions of the Creative Commons Attribution (CC BY) license (https://creativecommons.org/licenses/by/4.0/).
Share and Cite
Hidalgo Crespo, E.; Farré Mariné, A.; Pumarola i Battle, M.; Borrego Massó, J.F.; Luján Feliu-Pascual, A. Survival Time after Surgical Debulking and Temozolomide Adjuvant Chemotherapy in Canine Intracranial Gliomas. Vet. Sci. 2022, 9, 427. https://doi.org/10.3390/vetsci9080427
Hidalgo Crespo E, Farré Mariné A, Pumarola i Battle M, Borrego Massó JF, Luján Feliu-Pascual A. Survival Time after Surgical Debulking and Temozolomide Adjuvant Chemotherapy in Canine Intracranial Gliomas. Veterinary Sciences. 2022; 9(8):427. https://doi.org/10.3390/vetsci9080427
Chicago/Turabian StyleHidalgo Crespo, Emma, Alba Farré Mariné, Martí Pumarola i Battle, Juan Francisco Borrego Massó, and Alejandro Luján Feliu-Pascual. 2022. "Survival Time after Surgical Debulking and Temozolomide Adjuvant Chemotherapy in Canine Intracranial Gliomas" Veterinary Sciences 9, no. 8: 427. https://doi.org/10.3390/vetsci9080427
APA StyleHidalgo Crespo, E., Farré Mariné, A., Pumarola i Battle, M., Borrego Massó, J. F., & Luján Feliu-Pascual, A. (2022). Survival Time after Surgical Debulking and Temozolomide Adjuvant Chemotherapy in Canine Intracranial Gliomas. Veterinary Sciences, 9(8), 427. https://doi.org/10.3390/vetsci9080427

