Equine Suture Exostosis: A Review of Cases from a Multicenter Retrospective Study
Abstract
:Simple summary
Abstract
1. Introduction
2. Materials and Methods
3. Results
3.1. Case Characteristics
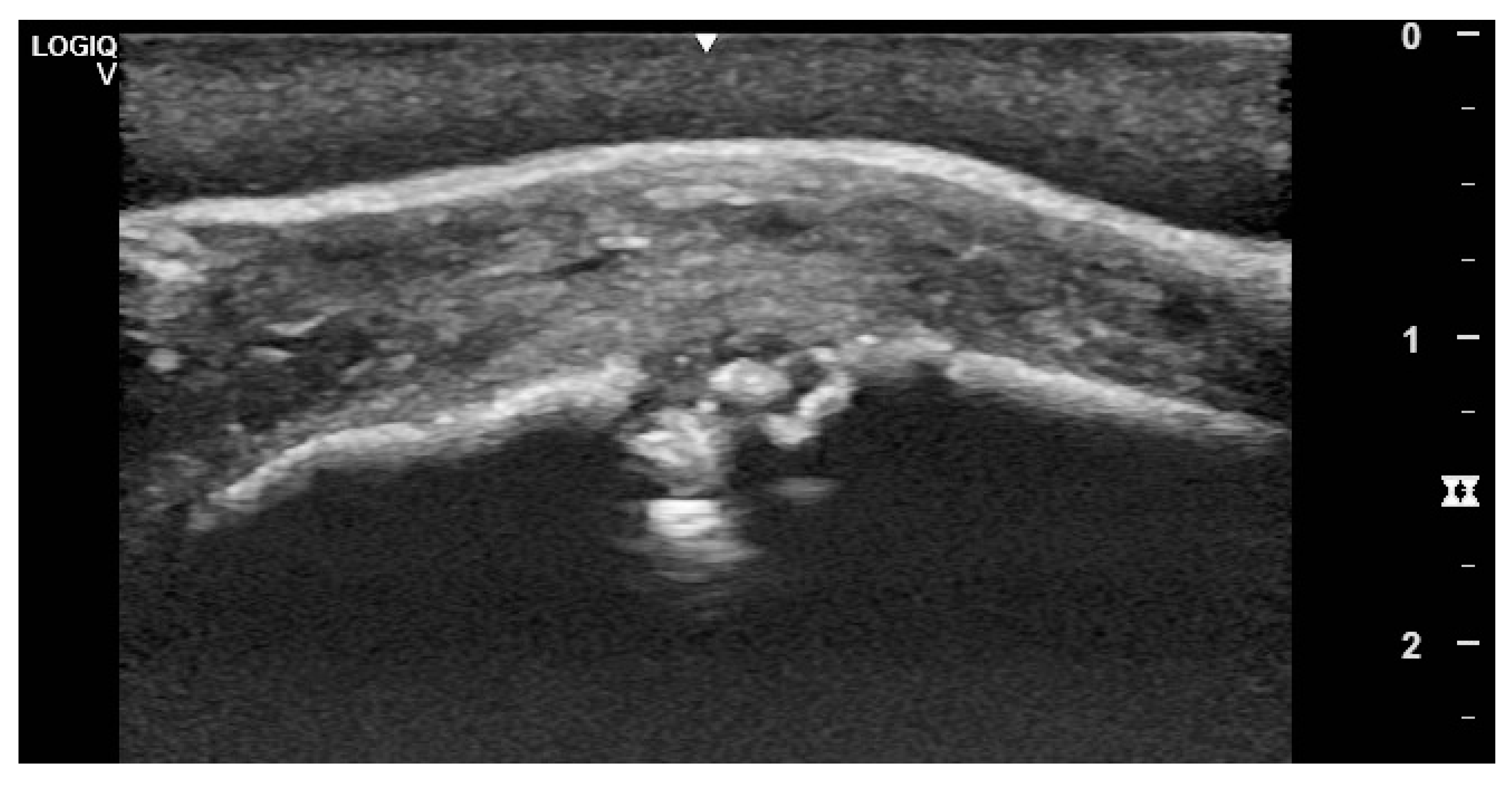
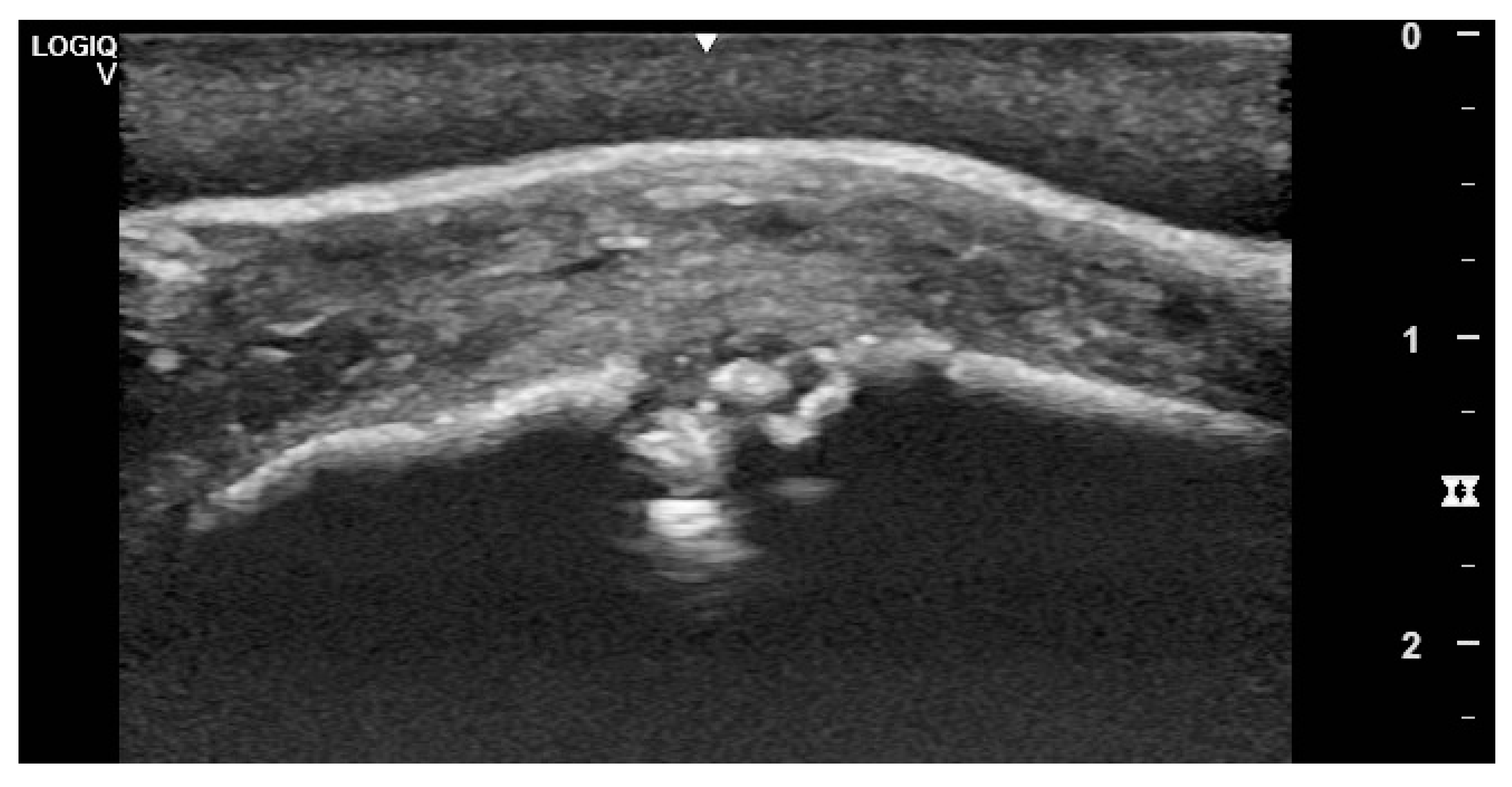
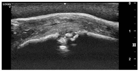
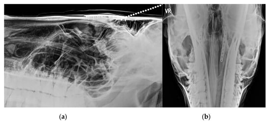
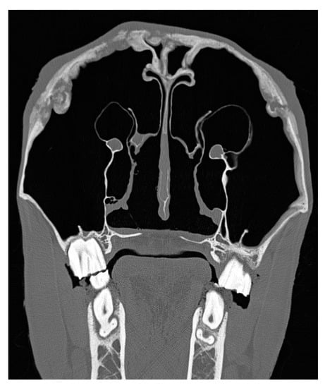
3.2. Imaging Findings
3.3. Treatments
3.4. Follow up—Outcomes
4. Discussion
4.1. Trauma Cases
4.2. Post Sinusotomy Cases
4.3. Idiopathic Cases
4.4. Clinical Presentation and Diagnosis
5. Limitations and Conclusions
Supplementary Materials
Author Contributions
Funding
Institutional Review Board Statement
Informed Consent Statement
Data Availability Statement
Acknowledgments
Conflicts of Interest
References
- Dixon, P. Swellings of the head region in the horse. Practice 1991, 13, 257–263. [Google Scholar] [CrossRef]
- Verwilghen, D. Help Doc: My horse turned into Frankenstein. Equine Vet. Educ. 2014, 26, 179–180. [Google Scholar] [CrossRef]
- Manso-Diaz, G.; Taeymans, O. Imaging diagnosis--nasofrontal suture exostosis in a horse. Vet. Radiol. Ultrasound 2012, 53, 573–575. [Google Scholar] [CrossRef] [PubMed]
- Furst, A.; Auer, J.A. Craniomaxillofacial Disorders. In Equine Surgery; Auer, J., Stick, J., Eds.; Elsevier: St Louis, MO, USA, 2018; pp. 1794–1829. [Google Scholar]
- Klein, L.; Sacks, M.; Fürst, A.E.; Del Chicca, F.; Grest, P.; Jackson, M.A. Fixation of chronic suture exostosis in a mature horse. Equine Vet. Educ. 2014, 26, 171–175. [Google Scholar] [CrossRef]
- Carslake, H.B. Suture exostosis causing obstruction of the nasolacrimal duct in three horses. N. Z. Vet. J. 2009, 57, 229–234. [Google Scholar] [CrossRef] [PubMed]
- Poore, L.A.; le Roux, C.; Carstens, A. Trauma-induced exostosis of multiple suture lines causing partial bilateral nasolacrimal duct obstruction in a 7-year-old Thoroughbred mare. J. S. Afr. Vet. Assoc. 2019, 90, e1–e7. [Google Scholar] [CrossRef] [PubMed]
- Esselman, A.M.; Wefel, S.; Trumble, T.N. Visual evidence of progression and eventual resolution of nasofrontal suture exostosis over 27 months in a gelding. Equine Vet. Educ. 2019, 33, 327–331. [Google Scholar] [CrossRef]
- Sisson, S.; Grossman, J.D.; Getty, R. Sisson and Grossman’s the Anatomy of the Domestic Animals, 5th ed.; Saunders: Philadelphia, PA, USA, 1975. [Google Scholar]
- Kern, S. Morphology and Ontogenetic Changes of the Facial Sutures in Horses. DVM Thesis, Justus-Liebig-University Giessen, Giessen, Germany, 2021; p. 93. [Google Scholar]
- Tremaine, W.H.; Dixon, P.M. A long-term study of 277 cases of equine sinonasal disease. Part 2: Treatments and results of treatments. Equine Vet. J. 2001, 33, 283–289. [Google Scholar] [CrossRef] [PubMed]
- Woodford, N.S.; Lane, J.G. Long-term retrospective study of 52 horses with sinunasal cysts. Equine Vet. J. 2006, 38, 198–202. [Google Scholar] [CrossRef] [PubMed]
- Greet, T.R.C. Outcome of Treatment in 23 Horses with Progressive Ethmoidal Hematoma. Equine Vet. J. 1992, 24, 468–471. [Google Scholar] [CrossRef] [PubMed]
- Quinn, G.C.; Kidd, J.A.; Lane, J.G. Modified frontonasal sinus flap surgery in standing horses: Surgical findings and outcomes of 60 cases. Equine Vet. J. 2005, 37, 138–142. [Google Scholar] [CrossRef] [PubMed]
- Fenner, M.F.; Verwilghen, D.; Townsend, N.; Simhofer, H.; Schwarzer, J.; Zani, D.D.; Bienert-Zeit, A. Paranasal sinus cysts in the horse: Complications related to their presence and surgical treatment in 37 cases. Equine Vet. J. 2019, 51, 57–63. [Google Scholar] [CrossRef] [PubMed]
- Hinton, R.J. Response of the Intermaxillary Suture Cartilage to Alterations in Masticatory Function. Anat. Rec. 1988, 220, 376–387. [Google Scholar] [CrossRef] [PubMed]
- Rafferty, K.L.; Herring, S.W. Craniofacial sutures: Morphology, growth, and in vivo masticatory strains. J. Morphol. 1999, 242, 167–179. [Google Scholar] [CrossRef]
- Kasahara, T. Response of zygomaticomaxillary suture to experimental malocclusion in rats. Cells Tissues Organs 2000, 166, 283–293. [Google Scholar] [CrossRef] [PubMed]
- Bonilla, A.G.; Wilson, K.; Santschi, E.M. Suture exostosis with concurrent nasal septum chondrosarcoma in a horse. Equine Vet. Educ. 2015, 27, 579–584. [Google Scholar] [CrossRef]
- Becelli, R.; Saltarel, A.; Santamaria, S.; Mastellone, P.; Gwanmesia, I.; Cianfrone, F.; Frati, R. A case report of osteochondroma of the frontotemporosphenoidal suture. J. Exp. Clin. Cancer Res. 2004, 23, 147–151. [Google Scholar] [PubMed]










| Breed | n | Gender | n |
|---|---|---|---|
| American Saddlebred | 1 | Mare | 42 |
| Arabian | 1 | Gelding | 60 |
| Paint | 1 | Stallion | 3 |
| Quarter Horse | 5 | ||
| Shire | 1 | ||
| Standardbred | 6 | ||
| Stock Horse | 1 | ||
| Thoroughbred | 26 | AGE in years | |
| Warmblood | 55 | Minimum | 2 |
| Welsh Cob | 6 | Maximum | 26 |
| Polo Pony | 1 | Median | 10 |
| Connemara | 1 | Mean | 10.46 |
| Season | n | Housing | n |
|---|---|---|---|
| Spring | 23 | Stabled only | 11 |
| Summer | 39 | Pasture Only | 9 |
| Autumn | 17 | Mixed | 71 |
| Winter | 17 | Unreported | 14 |
| Unreported | 9 |
| Classification by History | n |
|---|---|
| Swelling appeared following trauma | 23 |
| Swelling appeared following surgery | 48 |
| Swelling appeared following sinus disease | 8 |
| Idiopathic appearance of the swelling | 26 |
| History | Epiphora | Nasal Discharge |
|---|---|---|
| Post trauma | 9 | 5 |
| Post surgery | 16 | 24 |
| Post sinus disease | 4 | 5 |
| Idiopathic | 10 | 1 |
| Method of Sinus Access | n |
|---|---|
| Trephination: frontal sinus 5 mm (foley catheter placement) | 2 |
| Trephination: 13 mm frontal sinus | 9 |
| Trephination: 19 mm frontal sinus | 2 |
| Trephination: 24 mm frontal sinus | 7 |
| Flap: frontal sinus | 10 |
| Flap: maxillary sinus | 3 |
| Flap: large fronto-nasal | 12 |
| Other | 1 |
| Unreported | 2 |
| History | Sequester |
|---|---|
| Post trauma | 6 |
| Post-surgery | 19 |
| Post sinus disease | 1 |
| Idiopathic | 6 |
| History | Cases Available for Follow Up/Total | Outcome |
|---|---|---|
| Post trauma | 18/23 |
|
| Post surgery | 40/48 |
|
| Post sinus disease | 5/7 |
|
| Idiopathic | 25/26 |
|
Publisher’s Note: MDPI stays neutral with regard to jurisdictional claims in published maps and institutional affiliations. |
© 2022 by the authors. Licensee MDPI, Basel, Switzerland. This article is an open access article distributed under the terms and conditions of the Creative Commons Attribution (CC BY) license (https://creativecommons.org/licenses/by/4.0/).
Share and Cite
Verwilghen, D.; Easley, J.; Zwick, T.; Uhlhorn, M.; Grulke, S.; Simhofer, H.; Townsend, N.; Liyou, O.; Bodeus, F.; Zani, D.D.; et al. Equine Suture Exostosis: A Review of Cases from a Multicenter Retrospective Study. Vet. Sci. 2022, 9, 365. https://doi.org/10.3390/vetsci9070365
Verwilghen D, Easley J, Zwick T, Uhlhorn M, Grulke S, Simhofer H, Townsend N, Liyou O, Bodeus F, Zani DD, et al. Equine Suture Exostosis: A Review of Cases from a Multicenter Retrospective Study. Veterinary Sciences. 2022; 9(7):365. https://doi.org/10.3390/vetsci9070365
Chicago/Turabian StyleVerwilghen, Denis, Jack Easley, Timo Zwick, Maggy Uhlhorn, Sigrid Grulke, Hubert Simhofer, Neil Townsend, Oliver Liyou, Fabrice Bodeus, Davide Danilo Zani, and et al. 2022. "Equine Suture Exostosis: A Review of Cases from a Multicenter Retrospective Study" Veterinary Sciences 9, no. 7: 365. https://doi.org/10.3390/vetsci9070365
APA StyleVerwilghen, D., Easley, J., Zwick, T., Uhlhorn, M., Grulke, S., Simhofer, H., Townsend, N., Liyou, O., Bodeus, F., Zani, D. D., Vlaminck, L., Pearce, C., Staszyk, C., & Bienert-Zeit, A. (2022). Equine Suture Exostosis: A Review of Cases from a Multicenter Retrospective Study. Veterinary Sciences, 9(7), 365. https://doi.org/10.3390/vetsci9070365

