Symblepharon, Ankyloblepharon, and Salt Gland Dysfunction in a Loggerhead Sea Turtle (Caretta caretta)
Abstract
1. Introduction
2. Case Presentation
2.1. Clinical Findings
2.2. Maintenance Conditions
2.3. Bacterial Isolation
2.4. Treatment
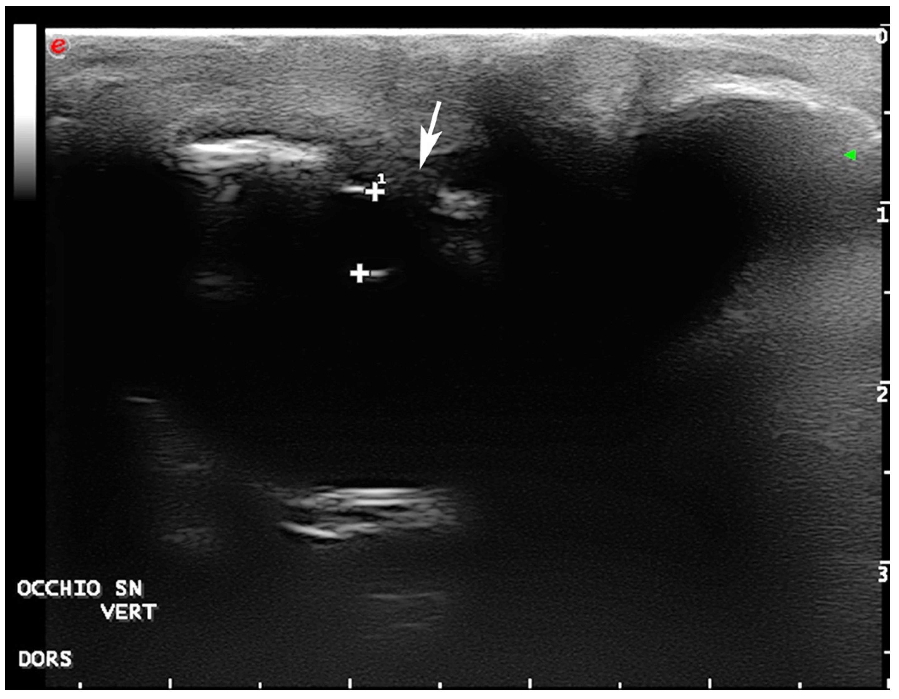
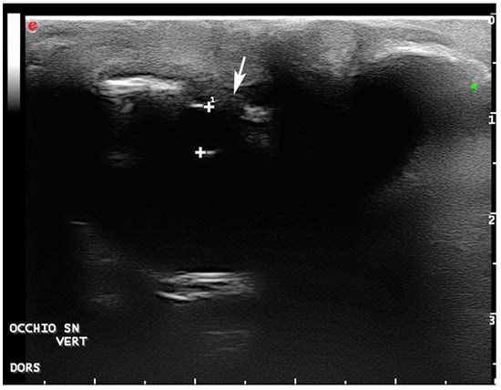
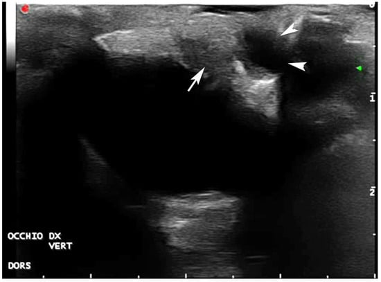
2.5. Diagnostic Imaging
2.6. Surgery
2.7. Postoperative Period and Follow-Up
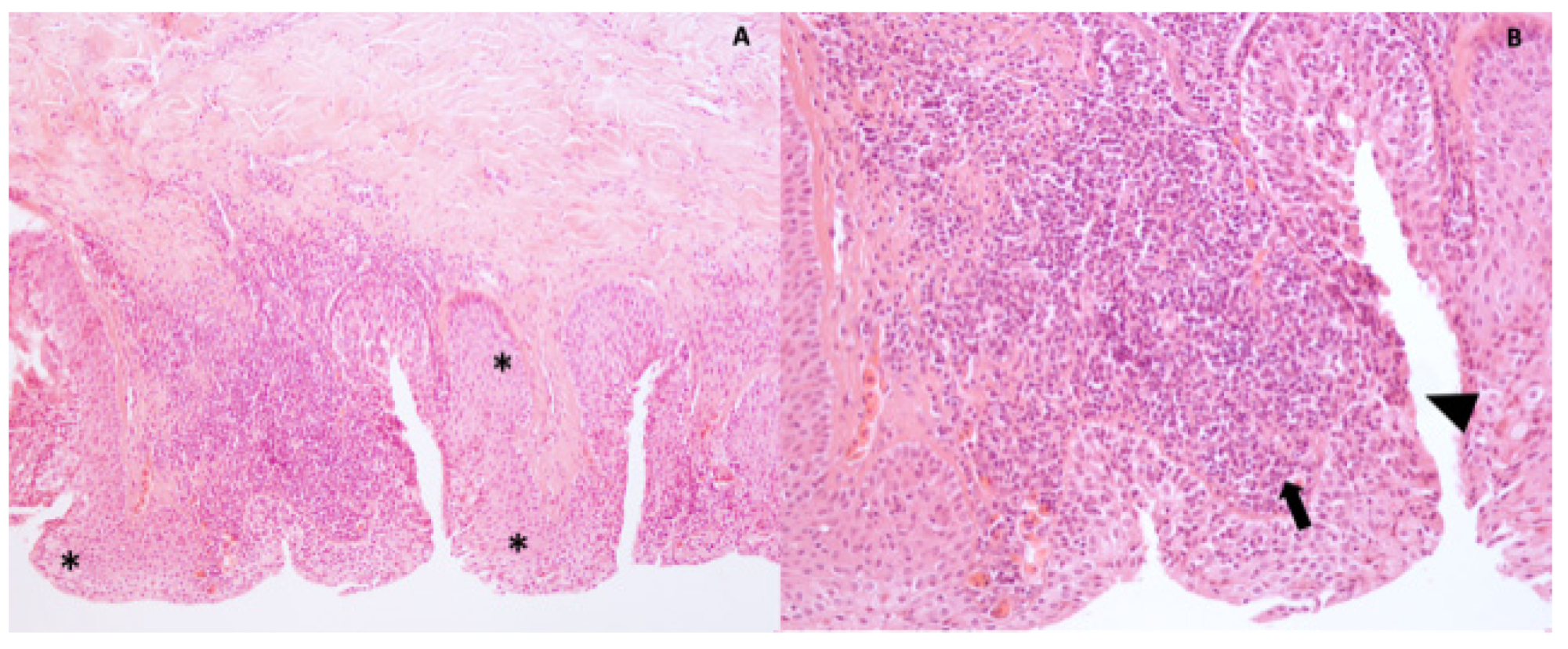
2.8. Histology and Transmission Electron Microscopy
2.9. Viral Identification
3. Discussion and Conclusions
Author Contributions
Funding
Institutional Review Board Statement
Informed Consent Statement
Data Availability Statement
Acknowledgments
Conflicts of Interest
References
- Işler, C.T.; Altuğ, M.; Cantekİn, Z.; Ozsoy, S.Y.; Yurtal, Z.; Deveci, M.Z.Y. Evaluation of the eye diseases seen in Loggerhead Sea turtle (Caretta caretta). Rev. Med. Vet. 2014, 165, 258–262. [Google Scholar]
- Flint, M.; Limpus, C.; Patterson-Kane, J.; Murray, P.; Mills, P. Corneal Fibropapillomatosis in Green Sea Turtles (Chelonia mydas) in Australia. J. Comp. Pathol. 2010, 142, 341–346. [Google Scholar] [CrossRef]
- Oriá, A.P.; Silva, D.N.; Raposo, A.C.; Lima, A.E.; Pires, T.T.; Gattamorta, M.A.; Zamana, R.R.; Matushima, E.R.; Ofri, R. Atypical ocular Chelonoid herpesvirus manifestations in a captive Loggerhead turtle (Caretta caretta). Vet. Ophthalmol. 2021, 24, 97–102. [Google Scholar] [CrossRef]
- Wyneken, J. The Anatomy of Sea Turtles; NOAA Technical Memorandum NMFS-SEFSC-75 Virginia Beach Drive; U.S. Department of Commerce: Miami, FL, USA, 2001; Volume 470, pp. 1–172. [Google Scholar]
- Mader, D.R.; Colitz, C.R.H.; Stacy, B.A.; Wyneken, J. Special Senses. In Sea Turtle Health & Rehabilitation; Manire, C.A., Norton, T.M., Stacy, B.A., Innis, C.J., Harms, C.A., Eds.; J Ross Publishing: Plantation, FL, USA, 2017; pp. 465–480. [Google Scholar]
- Reina, R. Salt gland blood flow in the hatchling green turtle, Chelonia mydas. J. Comp. Physiol. B 2000, 170, 573–580. [Google Scholar] [CrossRef] [PubMed]
- Reina, R.D.; Cooper, P.D. Control of salt gland activity in the hatchling green sea turtle, Chelonia mydas. J. Comp. Physiol. B 2000, 170, 27–35. [Google Scholar] [CrossRef] [PubMed]
- Reina, R.D.; Jones, T.T.; Spotila, J.R. Salt and water regulation by the leatherback sea turtle Dermochelys coriacea. J. Exp. Biol. 2002, 205, 1853–1860. [Google Scholar] [CrossRef] [PubMed]
- Gelatt, K.; Gelatt, J. Surgical procedures for the conjunctiva and the nictitating membrane. In Small Animal Ophthalmic Surgery Practical Techniques for the Veterinarian, 1st ed.; Elsevier: Edinburgh, UK, 2003; pp. 147–150. [Google Scholar]
- Cullen, C.L.; Webb, A.A. Ocular Manifestations of Systemic Diseases. In Veterinary Ophthalmology, 5th ed.; Kirk, N., Gelatt, B., Gilger, C., Thomas, J.K., Eds.; Wiley-Blackwell: Ames, IA, USA, 2013; p. 2023. [Google Scholar]
- Kheirkhah, A.; Ghaffari, R.; Kaghazkanani, R.; Hashemi, H.; Behrouz, M.J.; Raju, V.K. A Combined Approach of Amniotic Membrane and Oral Mucosa Transplantation for Fornix Reconstruction in Severe Symblepharon. Cornea 2013, 32, 155–160. [Google Scholar] [CrossRef]
- Kumar, P.; Punnoose, S.E.; Jain, V. Grade I ankyloblepharon following chemical burn. Plast. Reconstr. Surg. 2005, 116, 1175–1176. [Google Scholar] [CrossRef]
- Hendrix, D.V.H. Diseases and Surgery of the Canine Conjunctiva and Nictitating Membrane. In Veterinary Ophthalmology, 5th ed.; Kirk, N., Gelatt, B.C.G., Thomas, J.K., Eds.; Wiley-Blackwell: Ames, IA, USA, 2013; p. 957. [Google Scholar]
- Delgado, E. Symblepharon secondary to ophthalmomyiasis externa in a dog. Vet. Ophthalmol. 2012, 15, 200–205. [Google Scholar] [CrossRef]
- Williams, D.L.; Flach, E. Symblepharon with aberrant protrusion of the nictitating membrane in the snowy owl (Nyctea scandiaca). Vet. Ophthalmol. 2003, 6, 11–13. [Google Scholar] [CrossRef]
- Rossi, S.; Gattamorta, M.A.; Prioste, F.E.S.; Lima, E.H.S.M.; Melo, M.T.D.; Brandão, O.P.E.; Silva, S.O.S.; Silveira, F.M.; Matushima, E.R. Fibropapillomas in a loggerhead sea turtle caught in Almofala-Ceara-Brazil: Histopathological and molecular characterization. Mar. Turt. Newsl. 2015, 147, 12–16. [Google Scholar]
- Quackenbush, S.L.; Casey, R.N.; Murcek, R.J.; Paul, T.A.; Work, T.M.; Limpus, C.J.; Chaves, A.; Dutoit, L.; Perez, J.V.; Aguirre, A.A.; et al. Quantitative analysis of herpesvirus sequences from normal tissue and fibropapillomas of marine turtles with real-time PCR. Virology 2001, 287, 105–111. [Google Scholar] [CrossRef] [PubMed][Green Version]
- Manire, C.A.; Norton, T.M.; Stacy, B.A.; Innis, C.J.; Harms, C.A. Sea Turtle Health and Rehabilitation; J. Ross Publishing: Plantation, FL, USA, 2017; pp. 465, 476, 588. [Google Scholar]
- Ene, A.; Su, M.; Lemaire, S.; Rose, C.; Schaff, S.; Moretti, R.; Lenz, J.; Herbst, L.H. Distribution of chelonid fibropapillomatosis associated herpesvirus variants in Florida: Molecular genetic evidence for infection of turtles following recruitment to neritic developmental habitats. J. Wildl. Dis. 2005, 41, 489–497. [Google Scholar] [CrossRef] [PubMed]
- Herbst, L.H.; Greiner, E.C.; Ehrhart, L.M.; Bagley, D.A.; Klein, P.A. Serological association between spirorchidiasis, herpesvirus infection, and fibropapillomatosis in green turtles from Florida. J. Wildl. Dis. 1998, 34, 496–507. [Google Scholar] [CrossRef] [PubMed][Green Version]
- Lackovich, J.K.; Brown, D.R.; Homer, B.L.; Garber, R.L.; Mader, D.R.; Moretti, R.H.; Patterson, A.D.; Herbst, L.H.; Oros, J.; Jacobson, E.R.; et al. Association of herpesvirus with fibropapillomatosis of the green turtle Chelonia mydas and the loggerhead turtle Caretta caretta in Florida. Dis. Aquat. Org. 1999, 37, 89–97. [Google Scholar] [CrossRef] [PubMed]
- Van Houtan, K.S.; Hargrove, S.K.; Balazs, G.H. Land use, macroalgae, and a tumor-forming disease in marine turtles. PLoS ONE 2010, 5, e12900. [Google Scholar] [CrossRef]
- Okoh, G.R.; Horwood, P.F.; Whitmore, D.; Ariel, E. Herpesviruses in Reptiles. Front. Vet. Sci. 2021, 8, 642894. [Google Scholar] [CrossRef]
- Jacobson, E.R.; Gaskin, J.M.; Roelke, M.; Greiner, E.C.; Allen, J. Conjunctivitis, tracheitis, and pneumonia associated with herpesvirus infection in green sea turtles. J. Am. Vet. Med. Assoc. 1986, 189, 1020–1023. [Google Scholar]
- Stacy, B.A.; Wellehan, J.F.; Foley, A.M.; Coberley, S.S.; Herbst, L.H.; Manire, C.A.; Garner, M.M.; Brookins, M.D.; Childress, A.L.; Jacobson, E.R. Two herpesviruses associated with disease in wild Atlantic loggerhead sea turtles (Caretta caretta). Vet. Microbiol. 2008, 126, 63–73. [Google Scholar] [CrossRef]
- Oròs, J.; Camacho, M.; Calabuig, P.; Arencibia, A. Salt Gland adenitis as only cause of stranding of loggerhead sea turtles Caretta caretta. Dis Aquat. Org. 2011, 95, 163–166. [Google Scholar] [CrossRef]
- Mishra, K.; Hu, K.Y.; Kamal, S.; Andron, A.; Della Rocca, R.C.; Ali, M.J.; Nair, A.G. Dacryolithiasis: A Review. Ophthalmic. Plast. Reconstr. Surg. 2017, 33, 83–89. [Google Scholar] [CrossRef] [PubMed]
- Glazebrook and Campbell. A survey of the diseases of marine turtles in northern Australia. I. Farmed Turtles. Dis. Aquat. Org. 1990, 9, 83–95. [Google Scholar] [CrossRef]
- Orós, J.; Torrent, A.; Calabuig, P.; Déniz, S. Diseases and causes of mortality among sea turtles stranded in the Canary Islands, Spain (1998–2001). Dis. Aquat. Org. 2005, 63, 13–24. [Google Scholar] [CrossRef] [PubMed]
- Mennonna, G.; Lamagna, B.; Affuso, A.; Greco, A.; Micieli, F.; Costanza, D.; Hochscheid, S.; Meomartino, L. Normal ultrasonographic features of loggerhead (Caretta caretta) eyes. Nat. Croat. 2020, 29 (Suppl. S1), 3–10. [Google Scholar]
- Lamagna, B.; Affuso, A.; Micieli, F.; Mennonna, G.; Meomartino LDella Valle, G.; Ciampa, M.; Treglia, G.; Hochscheid, S. Comparison of intraocular pressure measurement using rebound and applanation tonometry in loggerhead (Caretta caretta) sea turtles. J. Zoo Wildl. Med. 2021, 52, 604–609. [Google Scholar] [CrossRef]
- Patel, A.P.; Satani, D.R.; Singh, S.; Desai, S. Application of amniotic membrane transplantation in cases of symblepharon. J. Ind. Med. Assoc. 2012, 110, 388–389. [Google Scholar]
- Daglioglu, M.C.; Coskun, M.; Ilhan, N.; Tuzcu, E.A.; Ilhan, O.; Keskin, U. The effects of soft contact lens use on cornea and patient’s recovery after autograft pterygium surgery. Cont. Lens. Anterior. Eye. 2014, 37, 175–177. [Google Scholar] [CrossRef]
- Kaufman, H.E.; Thomas, E.L. Prevention and treatment of symblepharon. Am. J. Ophthalmol. 1979, 88 Pt 1, 419–423. [Google Scholar] [CrossRef]
- Kim, Y.; Kang, S.; Seo, K. Application of superficial keratectomy and soft contact lens for the treatment of symblepharon in a cat: A case report. J. Vet. Sci. 2021, 22, e19. [Google Scholar] [CrossRef]
- Yamada, M.; Sano, Y.; Watanabe, A.; Mashima, Y. Preventing symblepharon formation with a gelatin sponge in the eye of a patient with an alkali burn. Am. J. Ophthalmol. 1997, 123, 552–554. [Google Scholar] [CrossRef]
- Rodriguez, J.A.; Ferrari, C.; Hernández, G.A. Intraoperative application of topical mitomycin C 0.05% for pterygium surgery. Bol. Asoc. Med. P R 2004, 96, 100–102. [Google Scholar] [PubMed]
- Shi, W.; Wang, T.; Gao, H.; Xie, L. Management of severe ocular burns with symblepharon. Graefes. Arch. Clin. Exp. Ophthalmol. 2009, 247, 101–106. [Google Scholar] [CrossRef] [PubMed]
- Hille, K.; Makuch, D.; Wilske, J.; Ruprecht, K.W. The effectiveness of limbus epithelium transplantation. Ophthalmologe 2002, 99, 575–579. [Google Scholar] [CrossRef] [PubMed]
- Yang, N.; Xing, Y.; Zhao, Q.; Zeng, S.; Yang, J.; Du, L. Application of platelet-rich fibrin grafts following pterygium excision. Int. J. Clin. Pract. 2021, 75, e14560. [Google Scholar] [CrossRef]







Publisher’s Note: MDPI stays neutral with regard to jurisdictional claims in published maps and institutional affiliations. |
© 2022 by the authors. Licensee MDPI, Basel, Switzerland. This article is an open access article distributed under the terms and conditions of the Creative Commons Attribution (CC BY) license (https://creativecommons.org/licenses/by/4.0/).
Share and Cite
Affuso, A.; Di Palma, C.; Meomartino, L.; Pace, A.; Montagnaro, S.; Russo, V.; Mennonna, G.; Micieli, F.; Maffucci, F.; Hochscheid, S.; et al. Symblepharon, Ankyloblepharon, and Salt Gland Dysfunction in a Loggerhead Sea Turtle (Caretta caretta). Vet. Sci. 2022, 9, 281. https://doi.org/10.3390/vetsci9060281
Affuso A, Di Palma C, Meomartino L, Pace A, Montagnaro S, Russo V, Mennonna G, Micieli F, Maffucci F, Hochscheid S, et al. Symblepharon, Ankyloblepharon, and Salt Gland Dysfunction in a Loggerhead Sea Turtle (Caretta caretta). Veterinary Sciences. 2022; 9(6):281. https://doi.org/10.3390/vetsci9060281
Chicago/Turabian StyleAffuso, Andrea, Cristina Di Palma, Leonardo Meomartino, Antonino Pace, Serena Montagnaro, Valeria Russo, Giuseppina Mennonna, Fabiana Micieli, Fulvio Maffucci, Sandra Hochscheid, and et al. 2022. "Symblepharon, Ankyloblepharon, and Salt Gland Dysfunction in a Loggerhead Sea Turtle (Caretta caretta)" Veterinary Sciences 9, no. 6: 281. https://doi.org/10.3390/vetsci9060281
APA StyleAffuso, A., Di Palma, C., Meomartino, L., Pace, A., Montagnaro, S., Russo, V., Mennonna, G., Micieli, F., Maffucci, F., Hochscheid, S., Lamagna, F., D’Aquino, I., & Lamagna, B. (2022). Symblepharon, Ankyloblepharon, and Salt Gland Dysfunction in a Loggerhead Sea Turtle (Caretta caretta). Veterinary Sciences, 9(6), 281. https://doi.org/10.3390/vetsci9060281

