Atherosclerotic Lesion of the Carotid Artery in Indonesian Cynomolgus Monkeys Receiving a Locally Sourced Atherogenic Diet
Abstract
1. Introduction
2. Materials and Methods
2.1. Experimental Design
2.2. Necropsy Procedure
2.3. Histological Preparation and Verhoef-Van Gieson (VVG) Staining
2.4. Immunohistochemical Staining for CD68
2.5. Analysis of Plaque Severity and Extent
2.6. Data and Statistical Analysis
3. Results
3.1. Atherosclerosis Risk Factors
3.2. Plaque Severity
3.3. Plaque Extent
3.4. Immunohistochemical Staining for CD68
4. Discussion
5. Conclusions
Author Contributions
Funding
Institutional Review Board Statement
Informed Consent Statement
Data Availability Statement
Acknowledgments
Conflicts of Interest
References
- Pavlin, B.I.; Schloegel, L.M.; Daszak, P. Risk of importing zoonotic diseases through wildlife trade, United States. Emerg. Infect. Dis. 2009, 15, 1721–1726. [Google Scholar] [CrossRef] [PubMed]
- Spiegel, C.M. Primates by the numbers: The use and importation of nonhuman primates for research and testing in the United States. AV Mag. 2011, 3–4, 1–10. [Google Scholar]
- Kanthaswamy, S.; Ng, J.; Satkoski Trask, J.; George, D.A.; Kou, A.J.; Hoffman, L.N.; Doherty, T.B.; Houghton, P.; Smith, D.G. The genetic composition of populations of cynomolgus macaques (Macaca fascicularis) used in biomedical research. J. Med. Primatol. 2013, 42, 120–131. [Google Scholar] [CrossRef] [PubMed]
- Sirois, M. Laboratory Animal Medicine: Principles and Procedures; Elsevier: St. Louis, MO, USA, 2005. [Google Scholar]
- Shelton, K.A.; Clarkson, T.B.; Kaplan, J.R. Nonhuman Primate Models of Atherosclerosis. In Non-Human Primate in Biomedical Research; Abee, C.R., Mansfield, K., Tardif, S., Moris, T., Eds.; Academic Press: New York, NY, USA, 2012. [Google Scholar]
- Eudey, A.; Kumar, A.; Singh, M.; Boonratana, R. Macaca fascicularis (amended version of 2020 assessment). The IUCN Red List of Threatened Species 2021. e.T12551A204494260. Available online: https://www.iucnredlist.org/species/12551/204494260 (accessed on 20 November 2021). [CrossRef]
- Apri Astuti, D.; Sajuthi, D.; Herawati Suparto, I.; Kaplan, J.; Appt, S.; Clarkson, T.B. The development of diets to induce atherogenic lipid profiles for cynomolgus monkeys in their country of origin. World J. Agric. Res. 2014, 2, 247–251. [Google Scholar] [CrossRef][Green Version]
- Laila, S.R.; Suparto, I.H.; Astuti, D.A.; Sajuthi, D. The chronic effect of IPB-1 atherogenic diet on obesity and hyperglycemia in cynomolgus monkeys. JPI 2017, 14, 26–30. [Google Scholar]
- Laila, S.R.; Astuti, D.A.; Suparto, I.H.; Handharyani, E.; Sajuthi, D. Metabolic and morphometric changes in Indonesian cynomolgus monkeys (Macaca fascicularis) fed an atherogenic diet composed of locally sourced ingredients. Vet. World 2018, 11, 1609–1617. [Google Scholar] [CrossRef]
- Libby, P. Inflammation in atherosclerosis. Nature 2002, 420, 868–874. [Google Scholar] [CrossRef] [PubMed]
- Tabas, I.; Bornfeldt, K.E. Macrophage phenotype and function in different stages of atherosclerosis. Circ. Res. 2016, 118, 653–667. [Google Scholar] [CrossRef] [PubMed]
- Simionescu, M.; Sima, A.V. Morphology of atherosclerotic lesions. In Inflammation and Atherosclerosis; Wick, G., Grundtman, C., Eds.; Springer: Vienna, Austria, 2012; pp. 19–37. [Google Scholar] [CrossRef]
- Weingand, K.W. Atherosclerosis research in cynomolgus monkeys (Macaca fascicularis). Exp. Mol. Pathol. 1989, 50, 1–15. [Google Scholar] [CrossRef]
- Clarkson, T.B.; Alexander, N.J.; Morgan, T.M. Atherosclerosis of cynomolgus monkeys hyper- and hyporesponsive to dietary cholesterol. Lack of effect of vasectomy. Arteriosclerosis 1988, 8, 488–498. [Google Scholar] [CrossRef]
- Chilton, F.H.; Lee, T.C.; Willard, S.L.; Ivester, P.; Sergeant, S.; Register, T.C.; Shively, C.A. Depression and altered serum lipids in cynomolgus monkeys consuming a Western diet. Physiol. Behav. 2011, 104, 222–227. [Google Scholar] [CrossRef]
- Mirzaei, H.; Di Biase, S.; Longo, V.D. Dietary interventions, cardiovascular aging, and disease: Animal models and human studies. Circ. Res. 2016, 118, 1612–1625. [Google Scholar] [CrossRef] [PubMed]
- Stary, H.C.; Chandler, A.B.; Glagov, S.; Guyton, J.R.; Insull, W., Jr.; Rosenfeld, M.E.; Schaffer, S.A.; Schwartz, C.J.; Wagner, W.D.; Wissler, R.W. A definition of initial, fatty streak, and intermediate lesions of atherosclerosis. A report from the Committee on Vascular Lesions of the Council on Arteriosclerosis, American Heart Association. Circulation 1994, 89, 2462–2478. [Google Scholar] [CrossRef] [PubMed]
- Stary, H.C.; Chandler, A.B.; Dinsmore, R.E.; Fuster, V.; Glagov, S.; Insull, W., Jr.; Rosenfeld, M.E.; Schwartz, C.J.; Wagner, W.D.; Wissler, R.W. A definition of advanced types of atherosclerotic lesions and a histological classification of atherosclerosis. A report from the Committee on Vascular Lesions of the Council on Arteriosclerosis, American Heart Association. Circulation 1995, 92, 1355–1374. [Google Scholar] [CrossRef] [PubMed]
- Bobryshev, Y.V. Monocyte recruitment and foam cell formation in atherosclerosis. Micron 2006, 37, 208–222. [Google Scholar] [CrossRef] [PubMed]
- Register, T.C.; Appt, S.E.; Clarkson, T.B. Atherosclerosis and vascular biologic responses to estrogens: Histologic, immunohistochemical, biochemical, and molecular methods. In Estrogen Receptors: Methods and Protocols, Methods in Molecular Biology; Eyster, K.M., Ed.; Springer Science + Business Media: New York, NY, USA, 2016; Volume 1366, pp. 517–532. [Google Scholar] [CrossRef]
- Ridolfi, R.L.; Hutchins, G.M. The relationship between coronary artery lesions and myocardial infarcts: Ulceration of atherosclerotic plaques precipitating coronary thrombosis. Am. Heart J. 1977, 93, 468–486. [Google Scholar] [CrossRef]
- Fruchart, J.C.; Nierman, M.C.; Stroes, E.S.; Kastelein, J.J.; Duriez, P. New risk factors for atherosclerosis and patient risk assessment. Circulation 2004, 109 (Suppl. 1), III15–III19. [Google Scholar] [CrossRef]
- Rafieian-Kopaei, M.; Setorki, M.; Doudi, M.; Baradaran, A.; Nasri, H. Atherosclerosis: Process, indicators, risk factors and new hopes. Int. J. Prev. Med. 2014, 5, 927–946. [Google Scholar]
- Spence, J.D. Dietary cholesterol and egg yolk should be avoided by patients at risk of vascular disease. J. Transl. Int. Med. 2016, 4, 20–24. [Google Scholar] [CrossRef]
- Sugiri, U.; Noventi, S.; Hisatome, I.; Bahrudin, U. Carbohydrate diet links to a higher risk of significant coronary artery disease in young Indonesian patients: Cardiometabolic investigation study. Biomed. Res. 2012, 23, 159–165. [Google Scholar]
- Taher, A.; Solihin, D.D.; Sulistyani; Sajuthi, D.; Astuti, D.A. Genetic diversity within the 3′UTR of the cynomolgus macaque (Macaca fascicularis) LDLR Gene. IJSBAR 2016, 26, 237–248. [Google Scholar]
- Van den Berg, B.M.; Spaan, J.A.; Rolf, T.M.; Vink, H. Atherogenic region and diet diminish glycocalyx dimension and increase intima-to-media ratios at murine carotid artery bifurcation. Am. J. Physiol. Heart Circ. Physiol. 2006, 290, H915–H920. [Google Scholar] [CrossRef] [PubMed]
- Motomiya, M.; Karino, T. Flow patterns in the human carotid artery bifurcation. Stroke 1984, 15, 50–56. [Google Scholar] [CrossRef] [PubMed]
- Goubergrits, L.; Affeld, K.; Fernandez-Britto, J.; Falcon, L. Atherosclerosis in the human common carotid artery. a morphometric study of 31 specimens. Pathol. Res. Prac. 2001, 197, 803–809. [Google Scholar] [CrossRef]
- Kratz, M. Dietary cholesterol, atherosclerosis and coronary heart disease. Handb. Exp. Pharmacol. 2005, 170, 195–213. [Google Scholar] [CrossRef]
- Hansson, G.K.; Hermansson, A. The immune system in atherosclerosis. Nat. Immunol. 2011, 12, 204–212. [Google Scholar] [CrossRef]
- Galkina, E.; Ley, K. Vascular adhesion molecules in atherosclerosis. Arterioscler. Thromb. Vasc. Biol 2007, 27, 2292–2301. [Google Scholar] [CrossRef]
- Stöger, J.L.; Gijbels, M.J.; van der Velden, S.; Manca, M.; van der Loos, C.M.; Biessen, E.A.; Daemen, M.J.; Lutgens, E.; de Winther, M.P. Distribution of macrophage polarization markers in human atherosclerosis. Atherosclerosis 2012, 225, 461–468. [Google Scholar] [CrossRef]
- Cojocaru, E.; Trandafirescu, M.; Leon, M.; Cotuţiu, C.; Foia, L. Immunohistochemical expression of anti-CD68 antibody in atherosclerotic plaque. Rom. J. Morphol. Embryol. 2012, 53, 61–66. [Google Scholar]
- Clarke, M.C.; Littlewood, T.D.; Figg, N.; Maguire, J.J.; Davenport, A.P.; Goddard, M.; Bennett, M.R. Chronic apoptosis of vascular smooth muscle cells accelerates atherosclerosis and promotes calcification and medial degeneration. Circ. Res. 2008, 102, 1529–1538. [Google Scholar] [CrossRef]
- Sakakura, K.; Nakano, M.; Otsuka, F.; Ladich, E.; Kolodgie, F.D.; Virmani, R. Pathophysiology of atherosclerosis plaque progression. Heart Lung Circ. 2013, 22, 399–411. [Google Scholar] [CrossRef] [PubMed]
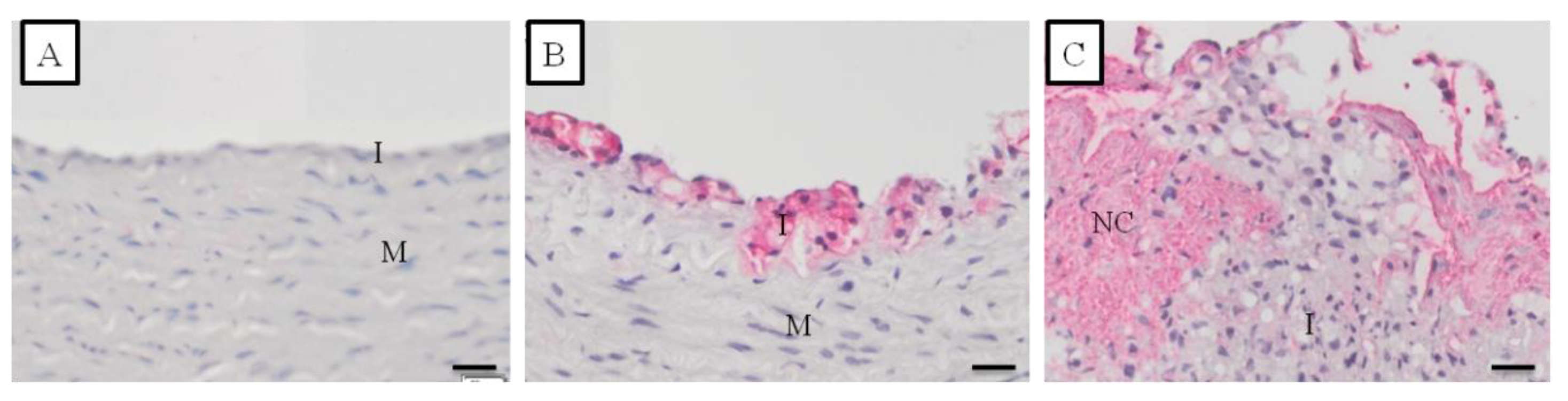
), lesion grades I and II occurred on the CCA, whereas lesion grades II and III were found on the BIF. Lesion grades IV and V were observed in the intermediate group (
) and hyper-responsive group (
). Grade V was more prevalence on the BIF compared to the CCA.
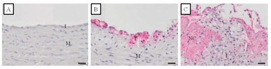
), lesion grades I and II occurred on the CCA, whereas lesion grades II and III were found on the BIF. Lesion grades IV and V were observed in the intermediate group (
) and hyper-responsive group (
). Grade V was more prevalence on the BIF compared to the CCA.




| Macronutrient | Western Diet (Sources/Level) | IPB-1 Diet (Sources/Level) |
|---|---|---|
| Protein (animal) | Casein and lactalbumin: high | Fish meal: moderate |
| Protein (plant) | Wheat flour: low | Soya meal: moderate |
| Saturated fats | Butter: high | Coconut oil and beef tallow: moderate |
| Unsaturated fats | Apple sauce: low | Corn oil: normal |
| Carbohydrates | Sugar, wheat flour: high | Sugar, wheat flour: high |
| Cholesterol | Cholesterol: high (0.33–0.35 mg chol/Cal) | Egg yolk: moderate (0.28–0.29 mg chol/Cal) |
| Parameter | Hyporesponsive | Intermediately Responsive | Hyper-Responsive |
|---|---|---|---|
| TPC (mg/dL) | 158.15 ± 9.25 a | 335.56 ± 24.63 b | 478.94 ± 17.57 c |
| HDL (mg/dL) | 56.33 ± 2.73 c | 32.61 ± 2.95 b | 32.08 ± 1.46 a |
| LDL (mg/dL) | 88.18 ± 9.83 a | 202.66 ± 22.39 b | 342.70 ± 14.91 c |
| TG (mg/dL) | 40.00 ± 2.78 a | 64.33 ± 5.020 c | 42.53 ± 3.75 b |
| Glu (mg/dL) | 44.78 ± 2.02 a | 66.83 ± 4.22 c | 54.92 ± 2.69 b |
| BMI (mg/dL) | 25.21 ± 0.73 b | 22.68 ± 0.47 a | 26.34 ± 0.41 c |
| Artery | Parameters | Hyporesponsive | Intermediately Responsive | Hyper-Responsive |
|---|---|---|---|---|
| CCA | IELL (mm) | 6.291 ± 0.123 a | 6.828 ± 0.128 b | 7.035 ± 0.225 b |
| IA (mm2) | 0.045 ± 0.007 a | 0.473 ± 0.053 b | 0.821 ± 0.109 c | |
| MXIT (mm) | 0.034 ± 0.006 a | 0.216 ± 0.019 b | 0.305 ± 0.020 c | |
| BIF | IELL (mm) | 13.959 ± 0.138 a | 13.630 ± 0.460 a | 14.212 ± 1.067 a |
| IA (mm2) | 1.266 ± 0.302 a | 2.527 ± 0.283 b | 2.920 ± 0.201 b | |
| MXIT (mm) | 0.307 ± 0.074 a | 0.486 ± 0.051 b | 0.597 ± 0.034 b |
| Artery | Hyporesponsive | Intermediately Responsive | Hyper-Responsive |
|---|---|---|---|
| CCA right | 1.94 ± 1.11 a | 10.15 ± 1.97 b | 29.95 ± 4.25 c |
| CCA left | 1.08 ± 0.25 a | 14.26 ± 2.79 b | 33.35 ± 4.40 c |
| BIF right | 10.70 ± 4.01 a | 46.47 ± 5.64 b | 50.09 ± 6.25 b |
| BIF left | 16.67 ± 4.83 a | 44,10 ± 6.23 b | 60.89 ± 7.87 c |
Publisher’s Note: MDPI stays neutral with regard to jurisdictional claims in published maps and institutional affiliations. |
© 2022 by the authors. Licensee MDPI, Basel, Switzerland. This article is an open access article distributed under the terms and conditions of the Creative Commons Attribution (CC BY) license (https://creativecommons.org/licenses/by/4.0/).
Share and Cite
Laila, S.R.; Astuti, D.A.; Suparto, I.H.; Handharyani, E.; Register, T.C.; Sajuthi, D. Atherosclerotic Lesion of the Carotid Artery in Indonesian Cynomolgus Monkeys Receiving a Locally Sourced Atherogenic Diet. Vet. Sci. 2022, 9, 105. https://doi.org/10.3390/vetsci9030105
Laila SR, Astuti DA, Suparto IH, Handharyani E, Register TC, Sajuthi D. Atherosclerotic Lesion of the Carotid Artery in Indonesian Cynomolgus Monkeys Receiving a Locally Sourced Atherogenic Diet. Veterinary Sciences. 2022; 9(3):105. https://doi.org/10.3390/vetsci9030105
Chicago/Turabian StyleLaila, Sri Rahmatul, Dewi Apri Astuti, Irma Herawati Suparto, Ekowati Handharyani, Thomas C. Register, and Dondin Sajuthi. 2022. "Atherosclerotic Lesion of the Carotid Artery in Indonesian Cynomolgus Monkeys Receiving a Locally Sourced Atherogenic Diet" Veterinary Sciences 9, no. 3: 105. https://doi.org/10.3390/vetsci9030105
APA StyleLaila, S. R., Astuti, D. A., Suparto, I. H., Handharyani, E., Register, T. C., & Sajuthi, D. (2022). Atherosclerotic Lesion of the Carotid Artery in Indonesian Cynomolgus Monkeys Receiving a Locally Sourced Atherogenic Diet. Veterinary Sciences, 9(3), 105. https://doi.org/10.3390/vetsci9030105

