Intracardiac Porcupine Quill Migration in a Dog: Multimodality Imaging Findings and Surgical Management
Abstract
Simple Summary
Abstract
1. Introduction
2. Case Presentation
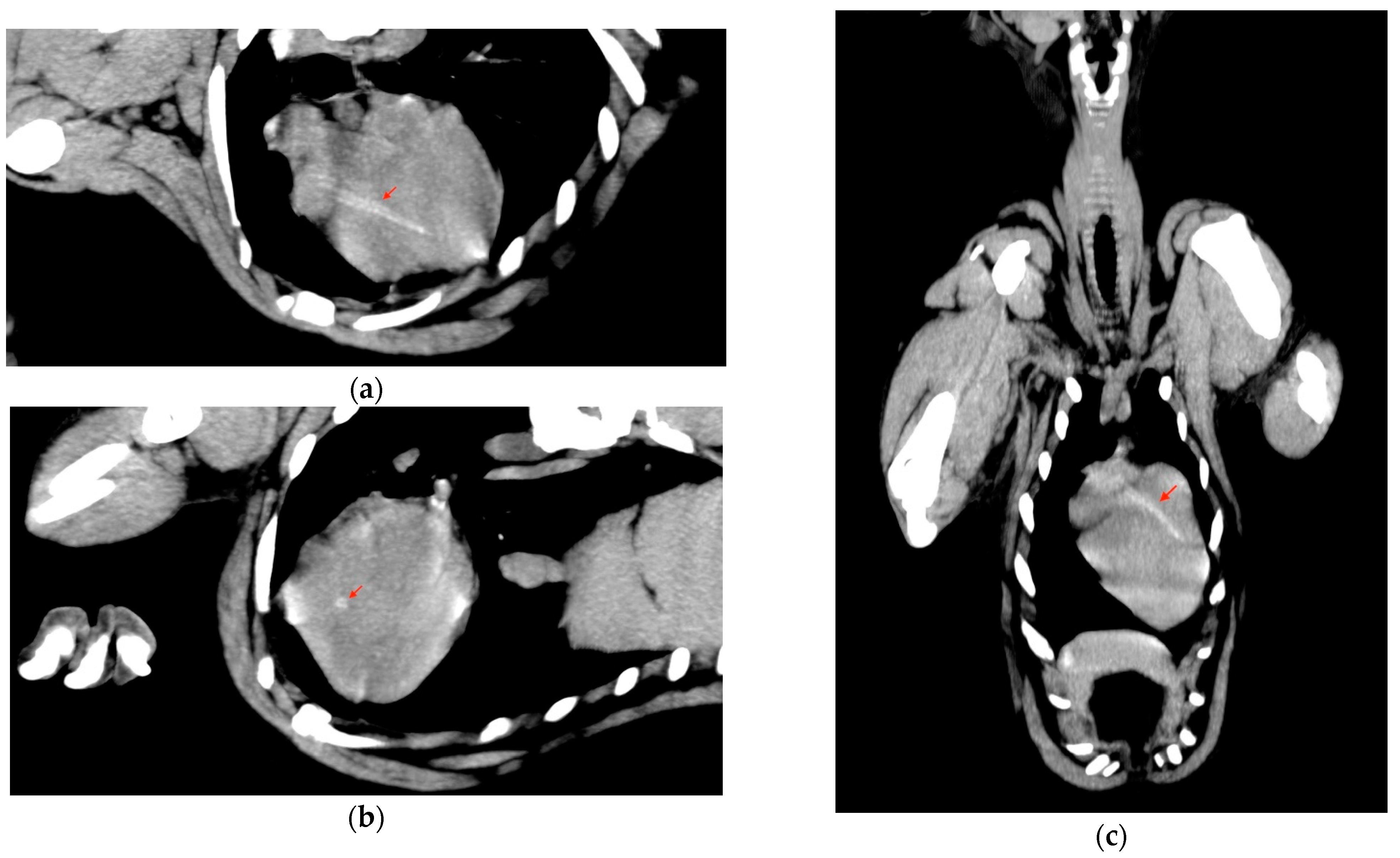
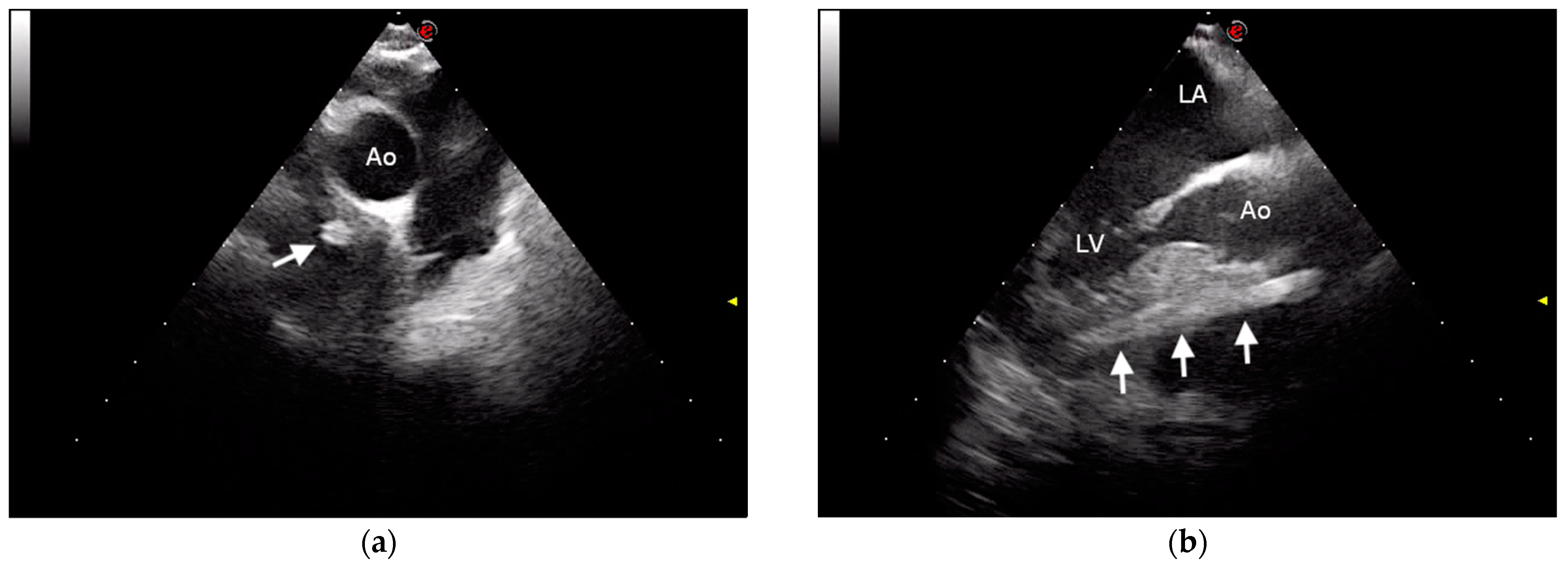
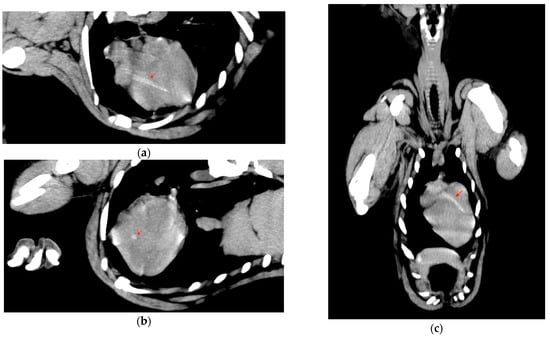
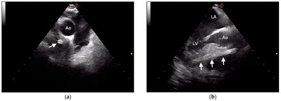
2.1. Case Description and Clinical Investigations
2.2. Surgical Approach and Outcome
3. Discussion
4. Conclusions
Supplementary Materials
Author Contributions
Funding
Institutional Review Board Statement
Informed Consent Statement
Data Availability Statement
Acknowledgments
Conflicts of Interest
References
- Mori, E.; Maggini, I.; Menchetti, M. When quills kill: The defense strategy of the crested porcupine Hystrix cristata L., 1758. Mammalia 2014, 28, 229–234. [Google Scholar] [CrossRef]
- Chernova, O.F.; Kuznetsov, G.V. Structural Features of Spines in Some Rodents (Rodentia: Myomorpha, Hystricomorpha). Biol. Bull. 2001, 28, 371–382. [Google Scholar] [CrossRef]
- Cho, W.K.; Ankruma, J.A.; Guoa, D.; Chestere, S.A.; Yanga, S.Y.; Kashyapa, A.; Campbella, G.A.; Woodh, R.J.; Rijala, R.K.; Kar-nike, R.; et al. Microstructured barbs on the North American porcupine quill enable easy tissue penetration and difficult removal. Proc. Natl. Acad. Sci. USA 2012, 109, 21289–21294. [Google Scholar] [CrossRef] [PubMed]
- Costa, A.; Lahmers, S.; Barry, S.L.; Stanton, J.; Stern, J.A. Fungal pericarditis and endocarditis secondary to porcupine quill migration in a dog. J. Vet. Card. 2014, 16, 283–290. [Google Scholar] [CrossRef] [PubMed]
- Daoust, P.Y. Porcupine quill in the brain of a dog. Vet. Rec. 1991, 128, 436. [Google Scholar] [CrossRef]
- Grahn, B.H.; Szentimery, D.; Pharr, J.W.; Farrow, C.S.; Fowler, D. Ocular and orbital porcupine quills in the dog: A review and case series. Can. Vet. J. 1995, 36, 488–493. [Google Scholar]
- Brisson, B.; Bersenas, A.; Etue, S. Ultrasonagraphic diagnosis of septic arthritis secondary to porcupine quill migration in a dog. J. Am. Vet. Med. Assoc. 2004, 224, 1467–1470. [Google Scholar] [CrossRef]
- Johnson, M.D.; Magnusson, K.D.; Shmon, C.; Waldner, C. Porcupine quill injuries in dogs: A retrospective of 296 cases (1998–2002). Can. Vet. J. 2006, 47, 677–682. [Google Scholar]
- Guevara, J.L.; Holmes, E.S.; Reetz, J.; Holt, D.H. Porcupine quill migration in the thoracic cavity of a German shorthaired pointer. J. Am. Anim. Hosp. Assoc. 2015, 51, 101–106. [Google Scholar] [CrossRef]
- Lamkin, C.; Hamner, L.R. An unusual cause of pericardial effusion. J. Am. Acad. Phys. 2016, 29, 32–34. [Google Scholar] [CrossRef]
- Le Roux, C.; Venter, F.J.; Kirberge, R.M. Cervical porcupine quill foreign body involving the spinal cord of a dog: A description of various imaging modality findings. J. S. Afr. Vet. Ass. 2017, 88, e1–e7. [Google Scholar] [CrossRef] [PubMed]
- Shank, A.M.M.; Teixeira, L.B.C.; Dubielzig, R.R. Ocular porcupine quilling in dogs: Gross, clinical and histopathologic findings in 17 cases (1986–2018). Vet. Ophthalmol. 2021, 24, 114–124. [Google Scholar] [CrossRef] [PubMed]
- Walker, M.A.; Hoddinott, K.L.; Ogilvie, A.T. Treatment and outcomes of five dogs with intrathoracic migration of porcupine quills. Vet. Surg. 2022, in press. [Google Scholar] [CrossRef]
- Schneider, A.R.; Chen, A.V.; Tucker, R.L. Imaging diagnosis. Vertebral canal porcupine quill with presumptive secondary arachnoid diverticulum. Vet. Radiol. Ultrasound 2010, 51, 152–154. [Google Scholar] [CrossRef]
- Sauvé, C.P.; Sereda, N.C.; Sereda, C.W. Identification of an intra-cranial intra-axial porcupine quill foreign body with com-puted tomography in a canine patient. Can. Vet. J. 2012, 53, 187–189. [Google Scholar]
- Nucci, D.J.S.; Liptak, J. The diagnosis and surgical management of intracardiac quill foreign body in a dog. J. Am. Anim. Hosp. Assoc. 2016, 52, 73–76. [Google Scholar] [CrossRef]
- Flesher, K.; Lam, N.; Donovan, T.A. Diagnosis and treatment of massive porcupine quill migration in a dog. Can. Vet. J. 2017, 58, 280–284. [Google Scholar]
- Captanian, N.; Palma, D. Limitation of computed tomography in identifying intranasal porcupine quills in a dog. J. Am. Anim. Hosp. Assoc. 2019, 55, e55404. [Google Scholar] [CrossRef]
- Tidwell, A.S.; Jones, J.C. Advanced imaging concepts: A pictorial glossary of CT and MRI technology. Clin. Tech. Small Anim. Pract. 1999, 14, 65–111. [Google Scholar] [CrossRef]
- Gentile, J.M.; Bulmer, B.J.; Heaney, A.M.; Bordelon, S. Endovascular retrieval of embolized jugular catheter fragments in three dogs using nitinol gooseneck snare. J. Vet. Cardiol. 2008, 10, 81–85. [Google Scholar] [CrossRef] [PubMed]
- Crosara, S.S.; Zabarino, S.; Morello, E.; Lussich, S.; Buracco, P.; Borgarelli, M. Migration of a Kirschner wire to the heart in a Yorkshire terrier. J. Small Anim. Pract. 2008, 49, 100–102. [Google Scholar] [CrossRef] [PubMed]
- Elliott, J.M.; Mayhew, P.D. Diagnostic challenges and treatment options of a suspected pericardial metallic projectile foreign body in a dog. J. Vet. Emerg. Crit. Care 2011, 21, 684–691. [Google Scholar] [CrossRef] [PubMed]
- Calvo, I.; Weilland, L.; Pratschk, K. Traumatic myocardial laceration as a result of suspected cranial migration of a sewing needle from the stomach of a dog. Aust. Vet. J. 2011, 89, 444–446. [Google Scholar] [CrossRef]
- Caivano, D.; Birettoni, F.; Marchesi, M.C.; Moretti, G.; Corda, A.; Petrescu, V.F.; Porciello, F.; Bufalari, A. Septic Pericarditis and Cardiac Tamponade Caused by Migrating Intrathoracic Grass Awn in an English Setter Dog. Isr. J. Vet. Med. 2019, 74, 82–87. [Google Scholar]
- Yang, L.; Want, J.; Wu, W. Echocardiographic detection of intracardiac non-metallic foreign body complicated by infective endocarditis. Eur. Heart J. 2007, 28, 58. [Google Scholar] [CrossRef][Green Version]
- Darmawan, H. An Unusual Foreign Body in the Heart: A Case Report. Ann. Thorac. Cardiovasc. Surg. 2018, 24, 205–207. [Google Scholar] [PubMed]
- Robison, R.J.; Brown, J.W.; Caldwell, R.; Stone, K.S.; King, H. Management of asymptomatic intracardiac missiles using echocardiography. J. Trauma 1988, 28, 1402–1403. [Google Scholar] [CrossRef] [PubMed]
- McCarthy, T.C. Porcupine quill retrieval with thoracoscopy. Vet. Med. 2004, 99, 15–16. [Google Scholar]
- Sereda, N.C.; Towl, S.; Maisenbacher, H.W.; Bleweis, M.S.; Levy, J.K.; Byrne, B.J.; Ellison, G.W.; Shih, A.; Coomer, A.R.; Estrada, A.H. Intracardiac foreign body in a dog. J. Vet. Cardiol. 2009, 11, 53–58. [Google Scholar] [CrossRef]
- Hunt, G.B.; Bellenger, C.R.; Allan, G.S.; Malik, R. Suspected cranial migration of two sewing needles from the stomach of a dog. Vet. Rec. 1991, 128, 329–330. [Google Scholar] [CrossRef]





Publisher’s Note: MDPI stays neutral with regard to jurisdictional claims in published maps and institutional affiliations. |
© 2022 by the authors. Licensee MDPI, Basel, Switzerland. This article is an open access article distributed under the terms and conditions of the Creative Commons Attribution (CC BY) license (https://creativecommons.org/licenses/by/4.0/).
Share and Cite
Bufalari, A.; Moretti, G.; Monti, E.; Garofanini, L.; Angeli, G.; Porciello, F.; Marchesi, M.C.; Caivano, D. Intracardiac Porcupine Quill Migration in a Dog: Multimodality Imaging Findings and Surgical Management. Vet. Sci. 2022, 9, 700. https://doi.org/10.3390/vetsci9120700
Bufalari A, Moretti G, Monti E, Garofanini L, Angeli G, Porciello F, Marchesi MC, Caivano D. Intracardiac Porcupine Quill Migration in a Dog: Multimodality Imaging Findings and Surgical Management. Veterinary Sciences. 2022; 9(12):700. https://doi.org/10.3390/vetsci9120700
Chicago/Turabian StyleBufalari, Antonello, Giulia Moretti, Eleonora Monti, Lisa Garofanini, Giovanni Angeli, Francesco Porciello, Maria Chiara Marchesi, and Domenico Caivano. 2022. "Intracardiac Porcupine Quill Migration in a Dog: Multimodality Imaging Findings and Surgical Management" Veterinary Sciences 9, no. 12: 700. https://doi.org/10.3390/vetsci9120700
APA StyleBufalari, A., Moretti, G., Monti, E., Garofanini, L., Angeli, G., Porciello, F., Marchesi, M. C., & Caivano, D. (2022). Intracardiac Porcupine Quill Migration in a Dog: Multimodality Imaging Findings and Surgical Management. Veterinary Sciences, 9(12), 700. https://doi.org/10.3390/vetsci9120700

