Pathogenic Effects of Single or Mixed Infections of Eimeria mitis, Eimeria necatrix, and Eimeria tenella in Chickens
Abstract
Simple Summary
Abstract
1. Introduction
2. Materials and Methods
2.1. Animal and Parasite
2.2. Experiments
2.3. Statistical Analysis
3. Results
3.1. Growth Rate in Each Eimeria-Challenged Group
| Group | No. of Oocysts Inoculated on Day 0 (×104) | Mean Weight Gain (±SE) | Rate of Average Weight Gain (%) | Survival Rate (%) |
|---|---|---|---|---|
| Control | 1 mL PBS | 62.92 ± 4.04 a | 100 | 100 |
| E. mitis | 10 E. mitis | 50.44 ± 3.33 ab | 80.2 | 100 |
| E. mitis and E. tenella | 10 E. mitis + 5 E. tenella | 38.72 ± 3.61 bc | 61.6 | 23.3 |
| E. tenella | 5 E. tenella | 37.27 ± 3.04 c | 60.0 | 90 |
| E. mitis and E. necatrix | 10 E. mitis + 10 E. necatrix | 50.29 ± 3.07 ab | 80.0 | 93.3 |
| E. necatrix | 10 E. necatrix | 53.11 ± 2.48 ad | 84.4 | 100 |
3.2. Survival Proportion
3.3. Lesion Score
3.4. Blood Stool Score
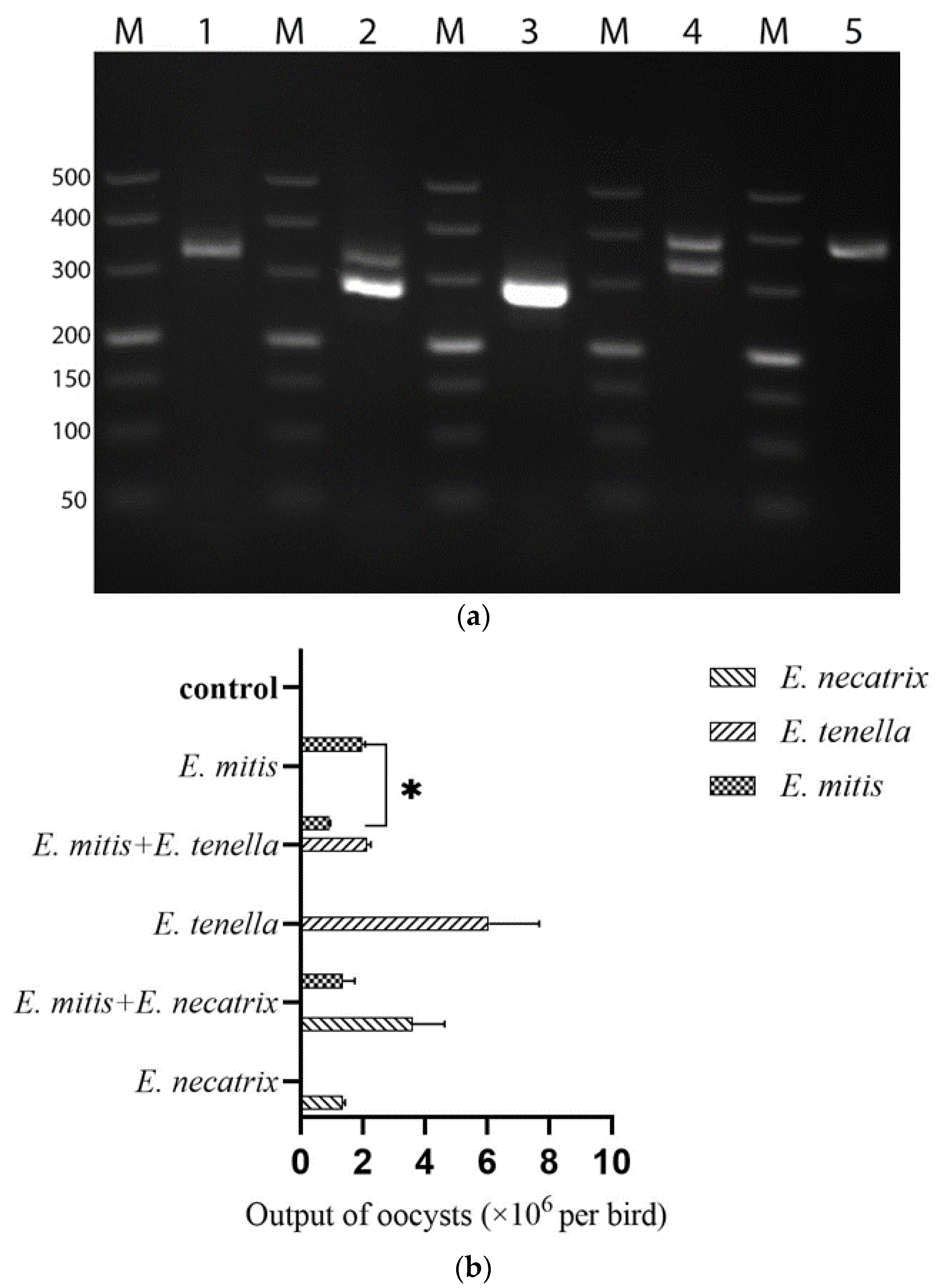
3.5. The Oocyst Output
4. Discussion
5. Conclusions
Author Contributions
Funding
Institutional Review Board Statement
Informed Consent Statement
Data Availability Statement
Conflicts of Interest
References
- Dubey, J.P.; Lindsay, D.S.; Jenkins, M.C.; Bauer, C. Chapter 1 Biology of Intestinal Coccidia. In Coccidiosis in Livestock, Poultry, Companion Animals, and Humans; CRC Press: Boca Raton, FL, USA, 2020; pp. 1–36. [Google Scholar]
- Schnittger, L.; Florin-Christensen, M. Introduction into Parasitic Protozoa. In Parasitic Protozoa of Farm Animals and Pets; Springer: Cham, Switzerland, 2018; pp. 1–10. [Google Scholar]
- Kundu, K.; Kumar, S.; Banerjee, P.S.; Garg, R. Quantification of Eimeria necatrix, E. acervulina and E. maxima Genomes in Commercial Chicken Farms by Quantitative Real Time PCR. J. Parasit. Dis. 2020, 44, 374–380. [Google Scholar] [CrossRef] [PubMed]
- Tyzzer, E.E. Coccidiosis in Gallinaceous Birds. Am. J. Epidemiol. 1929, 10, 269–383. [Google Scholar] [CrossRef]
- Joyner, L.P. Experimental Eimeria mitis Infections in Chickens. Parasitology 1958, 48, 101–112. [Google Scholar] [CrossRef] [PubMed]
- Ruff, M.D.; Edgar, S.A. Reduced Intestinal Absorption in Broilers during Eimeria mitis Infection. Am. J. Vet. Res. 1982, 43, 507–509. [Google Scholar]
- Fitz-Coy, S.; Edgar, S. Pathogenicity and Control of Eimeria mitis Infections in Broiler Chickens. Avian Dis. 1992, 36, 44–48. [Google Scholar] [CrossRef]
- Fitz-Coy, S.; Edgar, S. Effects of Eimeria mitis on Egg Production of Single-Comb White Leghorn Hens. Avian Dis. 1992, 36, 718–721. [Google Scholar] [CrossRef]
- Williams, R.B.; Bushell, A.C.; Répérant, J.M.; Doy, T.G.; Morgan, J.H.; Shirley, M.W.; Yvoré, P.; Carr, M.M.; Frémont, Y. A Survey of Eimeria Species in Commercially-reared Chickens in France during 1994. Avian Pathol. 1996, 25, 113–130. [Google Scholar] [CrossRef]
- Al-Natour, M.Q.; Suleiman, M.M.; Abo-Shehada, M.N. Flock-Level Prevalence of Eimeria Species among Broiler Chicks in Northern Jordan. Prev. Vet. Med. 2002, 53, 305–310. [Google Scholar] [CrossRef]
- Toledo, G.A.; Almeida, J.D.d.M.; Almeida, K.d.S.; Freitas, F.L.d.C. Coccidiosis in Broiler Chickens Raised in the Araguaína Region, State of Tocantins, Brazil. Rev. Bras. Parasitol. Veterinária 2011, 20, 249–252. [Google Scholar] [CrossRef]
- Venkateswara Rao, P.; Raman, M.; DhinakarRaj, G.; Abdul Basith, S.; Gomathinayagam, S. Multiplex PCR Assay Using SCAR Primers to Detect Eimeria spp. in Chicken. J. Parasit. Dis. 2013, 37, 110–113. [Google Scholar] [CrossRef]
- Zhang, X.; Zheng, T.; Sang, L.; Apisa, L.; Zhao, H.; Fu, F.; Wang, Q.; Wang, Y.; Zheng, Q. Otitis Media Induced by Peptidoglycan-Polysaccharide (PGPS) in TLR2-Deficient (Tlr2−/−) Mice for Developing Drug Therapy. Infect. Genet. Evol. 2015, 35, 194–203. [Google Scholar] [CrossRef] [PubMed]
- Hein, H.E. Eimeria acervulina, E. brunetti, E. maxima, and E. necatrix: Low Doses of Oocysts to Immunize Young Chickens. Exp. Parasitol. 1976, 40, 250–260. [Google Scholar] [CrossRef] [PubMed]
- Hein, H.E. Eimeria acervulina, E. brunetti, and E. maxima: Pathogenic Effects of Single or Mixed Infections with Low Doses of Oocysts in Chickens. Exp. Parasitol. 1976, 39, 415–421. [Google Scholar] [CrossRef] [PubMed]
- Ruff, M.D.; Rosenberger, J.K. Interaction of Low-Pathogenicity Reoviruses and Low Levels of Infection with Several Coccidial Species. Avian Dis. 1985, 29, 1057–1065. [Google Scholar] [CrossRef] [PubMed]
- Joyner, L.P.; Norton, C.C. Eimeria mitis in Mixed Infections with E. acervulina and E. brunetti in the Fowl. Parasitology 1983, 86, 381–390. [Google Scholar] [CrossRef] [PubMed]
- Morehouse, N.F.; Baron, R.R. Coccidiosis: Evaluation of Coccidiostats by Mortality, Weight Gains, and Fecal Scores. Exp. Parasitol. 1970, 28, 25–29. [Google Scholar] [CrossRef]
- Johnson, J.; Reid, W.M. Anticoccidial Drugs: Lesion Scoring Techniques in Battery and Floor-Pen Experiments with Chickens. Exp. Parasitol. 1970, 28, 30–36. [Google Scholar] [CrossRef]
- Long, P.L.; Millard, B.J.; Joyner, L.P.; Norton, C.C. A Guide to Laboratory Techniques Used in the Study and Diagnosis of Avian Coccidiosis. Folia Vet. Lat. 1976, 6, 201–217. [Google Scholar]
- Lew, A.E.; Anderson, G.R.; Minchin, C.M.; Jeston, P.J.; Jorgensen, W.K. Inter- and Intra-Strain Variation and PCR Detection of the Internal Transcribed Spacer 1 (ITS-1) Sequences of Australian Isolates of Eimeria Species from Chickens. Vet. Parasitol. 2003, 112, 33–50. [Google Scholar] [CrossRef]
- Vrba, V.; Poplstein, M.; Pakandl, M. The Discovery of the Two Types of Small Subunit Ribosomal RNA Gene in Eimeria mitis Contests the Existence of E. mivati as an Independent Species. Vet. Parasitol. 2011, 183, 47–53. [Google Scholar] [CrossRef]
- Al-Dabagh, M.A. Synergism between Coccidia Parasites (Eimeria mitis and E. acervulina) and Malarial Parasites (Plasmodium gallinaceum and P. juxtanucleare) in the Chick. Parasitology 1961, 51, 257–261. [Google Scholar] [CrossRef] [PubMed]
- Ruff, M.D.; Rosenberger, J.K. Concurrent Infections with Reoviruses and Coccidia in Broilers. Avian Dis. 1985, 29, 465–478. [Google Scholar] [CrossRef] [PubMed]
- Kumar, S.; Garg, R.; Ram, H.; Maurya, P.S.; Banerjee, P.S. Gastrointestinal Parasitic Infections in Chickens of Upper Gangetic Plains of India with Special Reference to Poultry Coccidiosis. J. Parasit. Dis. Off. Organ Indian Soc. Parasitol. 2015, 39, 22–26. [Google Scholar] [CrossRef]
- Geng, T.; Ye, C.; Lei, Z.; Shen, B.; Fang, R.; Hu, M.; Zhao, J.; Zhou, Y. Prevalence of Eimeria Parasites in the Hubei and Henan Provinces of China. Parasitol. Res. 2021, 120, 655–663. [Google Scholar] [CrossRef] [PubMed]
- Fatoba, A.J.; Zishiri, O.T.; Blake, D.P.; Peters, S.O.; Lebepe, J.; Mukaratirwa, S.; Adeleke, M.A. Study on the Prevalence and Genetic Diversity of Eimeria Species from Broilers and Free-Range Chickens in KwaZulu-Natal Province, South Africa. Onderstepoort J. Vet. Res. 2020, 87, 1–10. [Google Scholar] [CrossRef]
- Long, P.L.; Johnson, J.K. Eimeria of American Chickens: Characteristics of Six Attenuated Strains Produced by Selection for Precocious Development. Avian Pathol. 1988, 17, 305–314. [Google Scholar] [CrossRef]
- Quiroz-Castañeda, R.E.; Dantán-González, E. Control of Avian Coccidiosis: Future and Present Natural Alternatives. BioMed Res. Int. 2015, 2015, 430610. [Google Scholar] [CrossRef]
- Ball, S.J.; Pittilo, R.M.; Long, P.L. Intestinal and Extraintestinal Life Cycles of Eimeriid Coccidia. Adv. Parasitol. 1989, 28, 1–54. [Google Scholar]
- Williams, R.B. Quantification of the Crowding Effect during Infections with the Seven Eimeria Species of the Domesticated Fowl: Its Importance for Experimental Designs and the Production of Oocyst Stocks. Int. J. Parasitol. 2001, 31, 1056–1069. [Google Scholar] [CrossRef]
- Long, P.L. Chapter 1 Avian Coccidosis. In Parasitic Protozoa, 2nd ed.; Academic Press: San Diego, CA, USA, 1993; pp. 1–88. [Google Scholar]



Publisher’s Note: MDPI stays neutral with regard to jurisdictional claims in published maps and institutional affiliations. |
© 2022 by the authors. Licensee MDPI, Basel, Switzerland. This article is an open access article distributed under the terms and conditions of the Creative Commons Attribution (CC BY) license (https://creativecommons.org/licenses/by/4.0/).
Share and Cite
Xu, L.; Xiang, Q.; Li, M.; Sun, X.; Lu, M.; Yan, R.; Song, X.; Li, X. Pathogenic Effects of Single or Mixed Infections of Eimeria mitis, Eimeria necatrix, and Eimeria tenella in Chickens. Vet. Sci. 2022, 9, 657. https://doi.org/10.3390/vetsci9120657
Xu L, Xiang Q, Li M, Sun X, Lu M, Yan R, Song X, Li X. Pathogenic Effects of Single or Mixed Infections of Eimeria mitis, Eimeria necatrix, and Eimeria tenella in Chickens. Veterinary Sciences. 2022; 9(12):657. https://doi.org/10.3390/vetsci9120657
Chicago/Turabian StyleXu, Lixin, Quanjia Xiang, Mongqi Li, Xiaoting Sun, Mingmin Lu, Ruofeng Yan, Xiaokai Song, and Xiangrui Li. 2022. "Pathogenic Effects of Single or Mixed Infections of Eimeria mitis, Eimeria necatrix, and Eimeria tenella in Chickens" Veterinary Sciences 9, no. 12: 657. https://doi.org/10.3390/vetsci9120657
APA StyleXu, L., Xiang, Q., Li, M., Sun, X., Lu, M., Yan, R., Song, X., & Li, X. (2022). Pathogenic Effects of Single or Mixed Infections of Eimeria mitis, Eimeria necatrix, and Eimeria tenella in Chickens. Veterinary Sciences, 9(12), 657. https://doi.org/10.3390/vetsci9120657

