A High Grade Astrocytoma with Pilocytic Morphology in a 5-Month-Old American Bulldog
Abstract
:Simple Summary
Abstract
1. Introduction
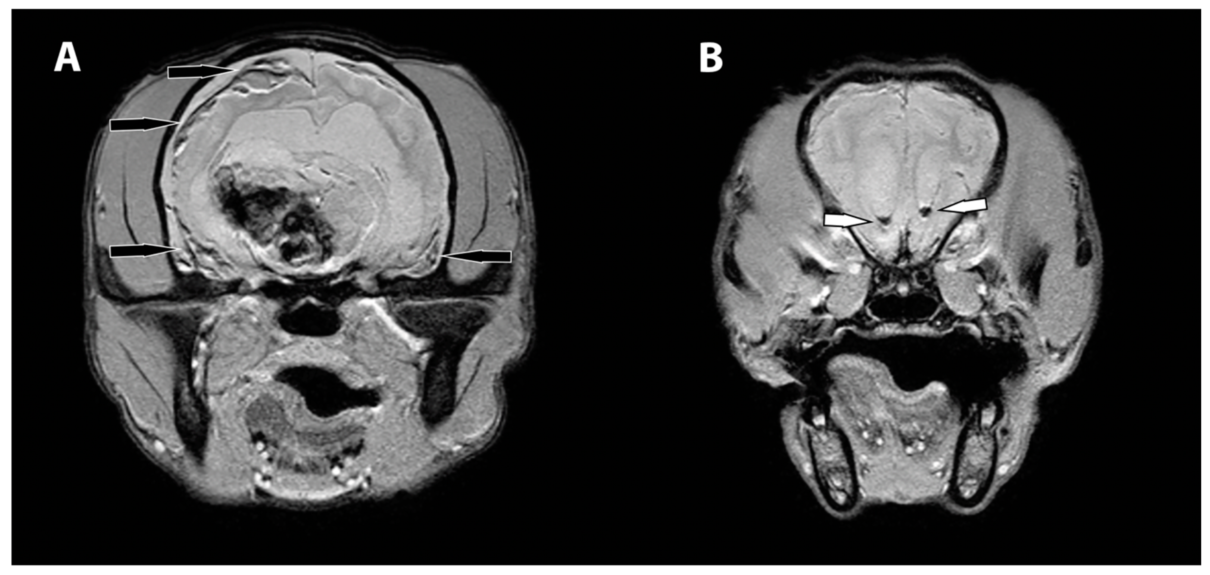
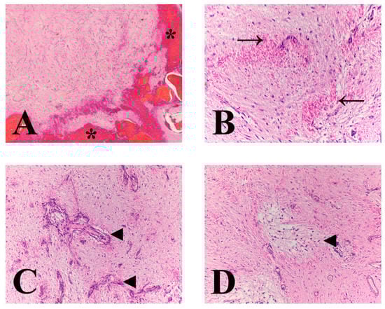
2. Case Description
3. Discussion
4. Conclusions
Author Contributions
Funding
Institutional Review Board Statement
Informed Consent Statement
Data Availability Statement
Acknowledgments
Conflicts of Interest
References
- Dorn, C.R.; Taylor, D.O.; Frye, F.L.; Hibbard, H.H. Survey of animal neoplasms in Alameda and Contra Costa Counties, California. I. Methodology and description of cases. J. Natl. Cancer Inst. 1968, 40, 295–305. [Google Scholar] [PubMed]
- Zaki, F.A. Spontaneous central nervous system tumors in the dog. Vet. Clin. N. Am. 1977, 7, 153–163. [Google Scholar] [CrossRef]
- Snyder, J.M.; Shofer, F.S.; Van Winkle, T.J.; Massicotte, C. Canine intracranial primary neoplasia: 173 cases (1986–2003). J. Vet. Intern. Med. 2006, 20, 669–675. [Google Scholar] [CrossRef]
- Song, R.B.; Vite, C.H.; Bradley, C.W.; Cross, J.R. Postmortem evaluation of 435 cases of intracranial neoplasia in dogs and relationship of neoplasm with breed, age, and body weight. J. Vet. Intern. Med. 2013, 27, 1143–1152. [Google Scholar] [CrossRef]
- Truve, K.; Dickinson, P.; Xiong, A.; York, D.; Jayashankar, K.; Pielberg, G.; Koltookian, M.; Muren, E.; Fuxelius, H.H.; Weishaupt, H.; et al. Utilizing the Dog Genome in the Search for Novel Candidate Genes Involved in Glioma Development-Genome Wide Association Mapping followed by Targeted Massive Parallel Sequencing Identifies a Strongly Associated Locus. PLoS Genet. 2016, 12, e1006000. [Google Scholar] [CrossRef]
- Miller, A.D.; Miller, C.R.; Rossmeisl, J.H. Canine Primary Intracranial Cancer: A Clinicopathologic and Comparative Review of Glioma, Meningioma, and Choroid Plexus Tumors. Front. Oncol. 2019, 9, 1151. [Google Scholar] [CrossRef] [Green Version]
- Ohgaki, H.; Kleihues, P. Population-based studies on incidence, survival rates, and genetic alterations in astrocytic and oligodendroglial gliomas. J. Neuropathol. Exp. Neurol. 2005, 64, 479–489. [Google Scholar] [CrossRef] [Green Version]
- Voronina, N.; Aichmuller, C.; Kolb, T.; Korshunov, A.; Ryzhova, M.; Barnholtz-Sloan, J.; Cioffi, G.; Sill, M.; von Deimling, A.; Pfister, S.M.; et al. The age of adult pilocytic astrocytoma cells. Oncogene 2021, 40, 2830–2841. [Google Scholar] [CrossRef]
- Louis, D.N.; Perry, A.; Wesseling, P.; Brat, D.J.; Cree, I.A.; Figarella-Branger, D.; Hawkins, C.; Ng, H.K.; Pfister, S.M.; Reifenberger, G.; et al. The 2021 WHO Classification of Tumors of the Central Nervous System: A summary. Neuro Oncol. 2021, 23, 1231–1251. [Google Scholar] [CrossRef]
- Burkhard, C.; Di Patre, P.L.; Schuler, D.; Schuler, G.; Yasargil, M.G.; Yonekawa, Y.; Lutolf, U.M.; Kleihues, P.; Ohgaki, H. A population-based study of the incidence and survival rates in patients with pilocytic astrocytoma. J. Neurosurg. 2003, 98, 1170–1174. [Google Scholar] [CrossRef]
- Bian, S.X.; McAleer, M.F.; Vats, T.S.; Mahajan, A.; Grosshans, D.R. Pilocytic astrocytoma with leptomeningeal dissemination. Childs Nerv. Syst. 2013, 29, 441–450. [Google Scholar] [CrossRef] [PubMed]
- Bouffet, E.; Jakacki, R.; Goldman, S.; Hargrave, D.; Hawkins, C.; Shroff, M.; Hukin, J.; Bartels, U.; Foreman, N.; Kellie, S.; et al. Phase II study of weekly vinblastine in recurrent or refractory pediatric low-grade glioma. J. Clin. Oncol. 2012, 30, 1358–1363. [Google Scholar] [CrossRef] [PubMed]
- Komotar, R.J.; Mocco, J.; Carson, B.S.; Sughrue, M.E.; Zacharia, B.E.; Sisti, A.C.; Canoll, P.D.; Khandji, A.G.; Tihan, T.; Burger, P.C.; et al. Pilomyxoid astrocytoma: A review. MedGenMed 2004, 6, 42. [Google Scholar]
- Komotar, R.J.; Mocco, J.; Jones, J.E.; Zacharia, B.E.; Tihan, T.; Feldstein, N.A.; Anderson, R.C. Pilomyxoid astrocytoma: Diagnosis, prognosis, and management. Neurosurg. Focus 2005, 18, E7. [Google Scholar] [CrossRef] [PubMed]
- Koehler, J.W.; Miller, A.D.; Miller, C.R.; Porter, B.; Aldape, K.; Beck, J.; Brat, D.; Cornax, I.; Corps, K.; Frank, C.; et al. A Revised Diagnostic Classification of Canine Glioma: Towards Validation of the Canine Glioma Patient as a Naturally Occurring Preclinical Model for Human Glioma. J. Neuropathol. Exp. Neurol. 2018, 77, 1039–1054. [Google Scholar] [CrossRef] [PubMed] [Green Version]
- Jose-Lopez, R.; Gutierrez-Quintana, R.; de la Fuente, C.; Manzanilla, E.G.; Sunol, A.; Pi Castro, D.; Anor, S.; Sanchez-Masian, D.; Fernandez-Flores, F.; Ricci, E.; et al. Clinical features, diagnosis, and survival analysis of dogs with glioma. J. Vet. Intern Med. 2021, 35, 1902–1917. [Google Scholar] [CrossRef]
- Stoica, G.; Kim, H.T.; Hall, D.G.; Coates, J.R. Morphology, immunohistochemistry, and genetic alterations in dog astrocytomas. Vet. Pathol. 2004, 41, 10–19. [Google Scholar] [CrossRef]
- Keller, E.T.; Madewell, B.R. Locations and types of neoplasms in immature dogs: 69 cases (1964–1989). J. Am. Vet. Med. Assoc. 1992, 200, 1530–1532. [Google Scholar]
- Kube, S.A.; Bruyette, D.S.; Hanson, S.M. Astrocytomas in young dogs. J. Am. Anim. Hosp. Assoc. 2003, 39, 288–293. [Google Scholar] [CrossRef]
- Nelson, R.W.; Morrison, W.B.; Lurus, A.G.; Miller, J.B. Diencephalic syndrome secondary to intracranial astrocytoma in a dog. J. Am. Vet. Med. Assoc. 1981, 179, 1004–1010. [Google Scholar]
- Walmsley, G.L.; Chandler, K.; Davies, E.S.; Lamb, C.R.; Smyth, B.; Summers, B.A. Multi-focal cerebral oligoastrocytoma in a puppy. J. Small Anim. Pract. 2009, 50, 435–439. [Google Scholar] [CrossRef] [PubMed]
- Wong, M.; Glass, E.; DeLahunta, A.; Jackson, B. Intracranial anaplastic astrocytoma in a 19-week-old boxer dog. J. Small Anim. Pract. 2011, 52, 325–328. [Google Scholar] [CrossRef] [PubMed]
- Theeler, B.J.; Ellezam, B.; Sadighi, Z.S.; Mehta, V.; Tran, M.D.; Adesina, A.M.; Bruner, J.M.; Puduvalli, V.K. Adult pilocytic astrocytomas: Clinical features and molecular analysis. Neuro Oncol. 2014, 16, 841–847. [Google Scholar] [CrossRef] [PubMed]
- Collins, V.P.; Jones, D.T.; Giannini, C. Pilocytic astrocytoma: Pathology, molecular mechanisms and markers. Acta Neuropathol. 2015, 129, 775–788. [Google Scholar] [CrossRef] [Green Version]
- Matyja, E.; Grajkowska, W.; Stepien, K.; Naganska, E. Heterogeneity of histopathological presentation of pilocytic astrocytoma-diagnostic pitfalls. A review. Folia Neuropathol. 2016, 54, 197–211. [Google Scholar] [CrossRef] [Green Version]
- Wisner, E.R.; Dickinson, P.J.; Higgins, R.J. Magnetic resonance imaging features of canine intracranial neoplasia. Vet. Radiol. Ultrasound 2011, 52, S52–S61. [Google Scholar] [CrossRef]
- Young, B.D.; Levine, J.M.; Porter, B.F.; Chen-Allen, A.V.; Rossmeisl, J.H.; Platt, S.R.; Kent, M.; Fosgate, G.T.; Schatzberg, S.J. Magnetic resonance imaging features of intracranial astrocytomas and oligodendrogliomas in dogs. Vet. Radiol. Ultrasound 2011, 52, 132–141. [Google Scholar] [CrossRef]
- Malik, A.; Deb, P.; Sharma, M.C.; Sarkar, C. Neuropathological spectrum of pilocytic astrocytoma: An Indian series of 120 cases. Pathol Oncol. Res. 2006, 12, 164–171. [Google Scholar] [CrossRef] [Green Version]
- Lee, Y.Y.; Van Tassel, P.; Bruner, J.M.; Moser, R.P.; Share, J.C. Juvenile pilocytic astrocytomas: CT and MR characteristics. AJR Am. J. Roentgenol. 1989, 152, 1263–1270. [Google Scholar] [CrossRef] [Green Version]
- Kumar, A.J.; Leeds, N.E.; Kumar, V.A.; Fuller, G.N.; Lang, F.F.; Milas, Z.; Weinberg, J.S.; Ater, J.L.; Sawaya, R. Magnetic resonance imaging features of pilocytic astrocytoma of the brain mimicking high-grade gliomas. J. Comput. Assist. Tomogr. 2010, 34, 601–611. [Google Scholar] [CrossRef]
- Nakano, Y.; Yamamoto, J.; Takahashi, M.; Soejima, Y.; Akiba, D.; Kitagawa, T.; Ueta, K.; Miyaoka, R.; Umemura, T.; Nishizawa, S. Pilocytic astrocytoma presenting with atypical features on magnetic resonance imaging. J. Neuroradiol. 2015, 42, 278–282. [Google Scholar] [CrossRef] [PubMed]




Publisher’s Note: MDPI stays neutral with regard to jurisdictional claims in published maps and institutional affiliations. |
© 2022 by the authors. Licensee MDPI, Basel, Switzerland. This article is an open access article distributed under the terms and conditions of the Creative Commons Attribution (CC BY) license (https://creativecommons.org/licenses/by/4.0/).
Share and Cite
Muller, K.; Kim, E.; Lebowitz, A.; Daverio, H. A High Grade Astrocytoma with Pilocytic Morphology in a 5-Month-Old American Bulldog. Vet. Sci. 2022, 9, 580. https://doi.org/10.3390/vetsci9100580
Muller K, Kim E, Lebowitz A, Daverio H. A High Grade Astrocytoma with Pilocytic Morphology in a 5-Month-Old American Bulldog. Veterinary Sciences. 2022; 9(10):580. https://doi.org/10.3390/vetsci9100580
Chicago/Turabian StyleMuller, Kelly, Eunbee Kim, Abbie Lebowitz, and Heather Daverio. 2022. "A High Grade Astrocytoma with Pilocytic Morphology in a 5-Month-Old American Bulldog" Veterinary Sciences 9, no. 10: 580. https://doi.org/10.3390/vetsci9100580
APA StyleMuller, K., Kim, E., Lebowitz, A., & Daverio, H. (2022). A High Grade Astrocytoma with Pilocytic Morphology in a 5-Month-Old American Bulldog. Veterinary Sciences, 9(10), 580. https://doi.org/10.3390/vetsci9100580
