Construction of Recombinant Rabies Virus Vectors Expressing H or F Protein of Peste des Petits Ruminants Virus
Abstract
Simple Summary
Abstract
1. Introduction
2. Materials and Methods
2.1. Viruses, Cells, Serum, and Plasmids
2.2. Target Gene Synthesis
2.3. Amplification and Purification of the Target Gene
2.4. Construction and Verification of Recombinant Full-Length Infectious Clones
2.5. Rescue of Recombinant Virus
2.6. Direct Immunofluorescence and Indirect Immunofluorescence
2.7. Western Blot
2.8. Transmission Electron Microscopy (TEM)
2.9. Growth Kinetics of Recombinant RABV
2.10. Genetic Stability of Antigenic Genes in Recombinant RABV
3. Results
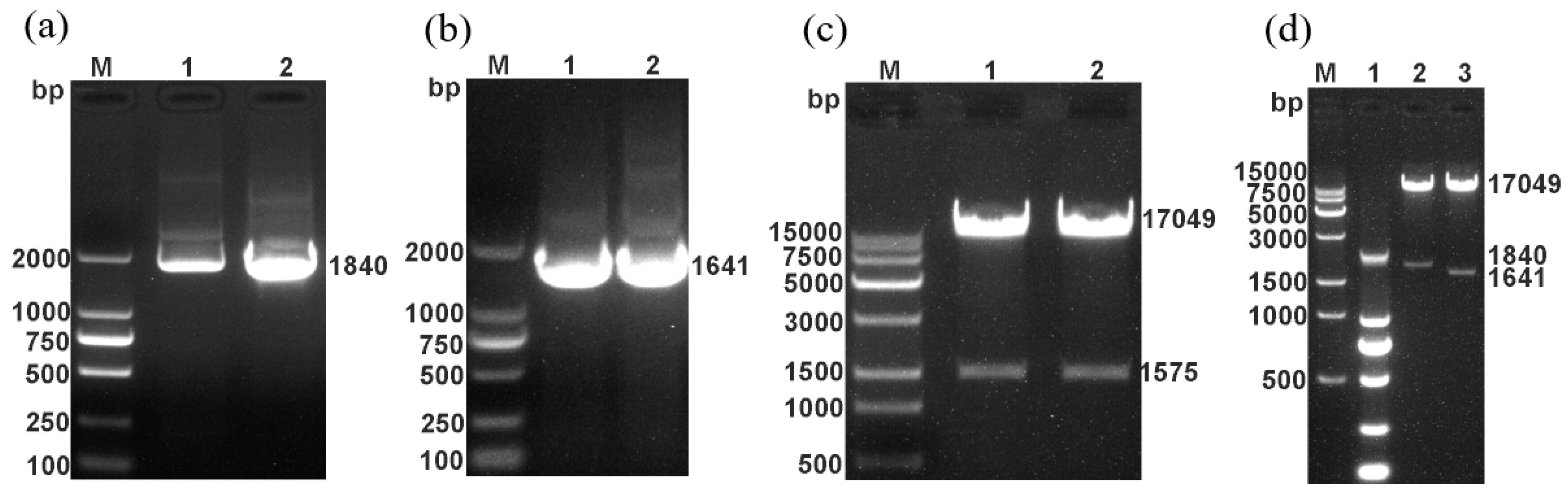
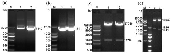
3.1. Construction and Identification of pD-SRV9-PM-PPRV-H and pD-SRV9-PM-PPRV-F
3.2. Direct Immunofluorescence Identification of the Successful Rescue of the Recombinant Viruses
3.3. Identification of Recombinant Virus Rescue via Indirect Immunofluorescence
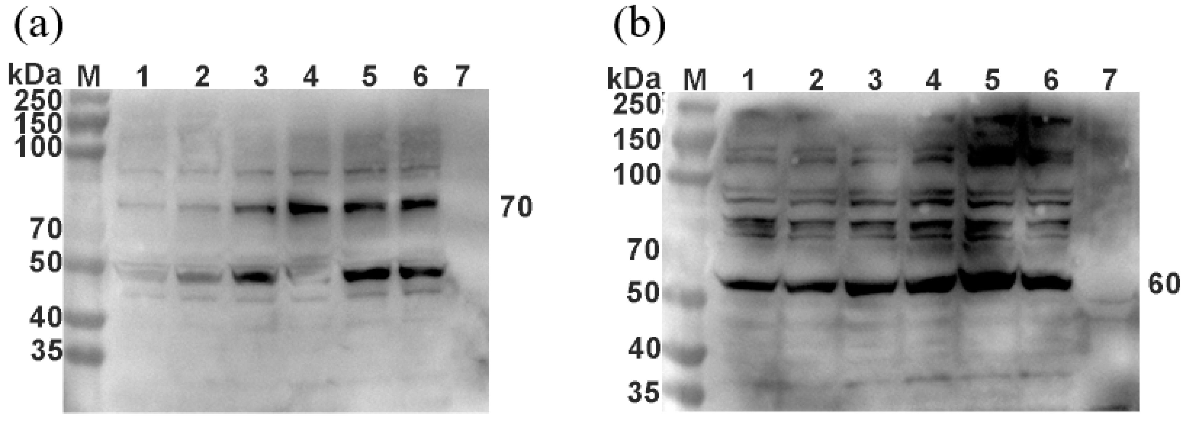
3.4. Verification of the Correct Expression of Recombinant Virus H and F via Western Blot
3.5. TEM Revealed That the Recombinant Virus Particles Were Bullet-Shaped
3.6. Growth Kinetics of Recombinant Viruses
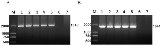
3.7. Stable Inheritance of Exogenous Gene Expression in Recombinant Viruses
4. Discussion
5. Conclusions
Author Contributions
Funding
Institutional Review Board Statement
Informed Consent Statement
Data Availability Statement
Conflicts of Interest
References
- Esonu, D.; Armson, B.; Babashani, M.; Alafiatayo, R.; Ekiri, A.B.; Cook, A.J.C. Epidemiology of Peste des Petits Ruminants in Nigeria: A Review. Front. Vet. Sci. 2022, 9, 898485. [Google Scholar] [CrossRef]
- Wu, X.; Li, L.; Li, J.; Liu, C.; Wang, Q.; Bao, J.Y.; Zou, Y.; Ren, W.; Wang, H.; Zhang, Y.; et al. Peste des Petits Ruminants Viruses Re-emerging in China, 2013–2014. Transbound. Emerg. Dis. 2016, 63, e441–e446. [Google Scholar] [CrossRef]
- Zhao, H.; Njeumi, F.; Parida, S.; Benfield, C.T.O. Progress towards Eradication of Peste des Petits Ruminants through Vaccination. Viruses 2021, 13, 59. [Google Scholar] [CrossRef]
- EFSA Panel on Animal Health and Welfare; Nielsen, S.S.; Alvarez, J.; Bicout, D.J.; Calistri, P.; Canali, E.; Depner, K.; Drewe, J.A.; Garin-Bastuji, B.; Gonzales Rojas, J.L.; et al. Assessment of the control measures of the category A diseases of Animal Health Law: Peste des petits ruminants. EFSA J. 2021, 19, e06708. [Google Scholar]
- Sen, A.; Saravanan, P.; Balamurugan, V.; Rajak, K.K.; Sudhakar, S.B.; Bhanuprakash, V.; Parida, S.; Singh, R.K. Vaccines against peste des petits ruminants virus. Expert Rev. Vaccines 2010, 9, 785–796. [Google Scholar] [CrossRef]
- Diallo, A.; Taylor, W.P.; Lefevre, P.C.; Provost, A. Attenuation of a strain of rinderpest virus: Potential homologous live vaccine. Rev. Elev. Med. Vet. Pays. Trop. 1989, 42, 311–319. [Google Scholar]
- Silva, A.C.; Yami, M.; Libeau, G.; Carrondo, M.J.; Alves, P.M. Testing a new formulation for Peste des Petits Ruminants vaccine in Ethiopia. Vaccine 2014, 32, 2878–2881. [Google Scholar] [CrossRef] [PubMed]
- Chen, W.; Hu, S.; Qu, L.; Hu, Q.; Zhang, Q.; Zhi, H.; Huang, K.; Bu, Z. A goat poxvirus-vectored peste-des-petits-ruminants vaccine induces long-lasting neutralization antibody to high levels in goats and sheep. Vaccine 2010, 28, 4742–4750. [Google Scholar] [CrossRef] [PubMed]
- Wang, Z.; Bao, J.; Wu, X.; Liu, Y.; Li, L.; Liu, C.; Suo, L.; Xie, Z.; Zhao, W.; Zhang, W.; et al. Peste des petits ruminants virus in Tibet, China. Emerg. Infect. Dis. 2009, 15, 299–301. [Google Scholar] [CrossRef]
- Murr, M.; Hoffmann, B.; Grund, C.; Römer-Oberdörfer, A.; Mettenleiter, T.C. A Novel Recombinant Newcastle Disease Virus Vectored DIVA Vaccine against Peste des Petits Ruminants in Goats. Vaccines 2020, 8, 205. [Google Scholar] [CrossRef] [PubMed]
- Herbert, R.; Baron, J.; Batten, C.; Baron, M.; Taylor, G. Recombinant adenovirus expressing the haemagglutinin of Peste des petits ruminants virus (PPRV) protects goats against challenge with pathogenic virus; a DIVA vaccine for PPR. Vet. Res. 2014, 45, 24. [Google Scholar] [CrossRef] [PubMed]
- Tian, L.; Yan, L.; Zheng, W.; Lei, X.; Fu, Q.; Xue, X.; Wang, X.; Xia, X.; Zheng, X. A rabies virus vectored severe fever with thrombocytopenia syndrome (SFTS) bivalent candidate vaccine confers protective immune responses in mice. Vet. Microbiol. 2021, 257, 109076. [Google Scholar] [CrossRef] [PubMed]
- Zheng, W.; Zhao, Z.; Tian, L.; Liu, L.; Xu, T.; Wang, X.; He, H.; Xia, X.; Zheng, Y.; Wei, Y.; et al. Genetically modified rabies virus vector-based bovine ephemeral fever virus vaccine induces protective immune responses against BEFV and RABV in mice. Transbound. Emerg. Dis. 2021, 68, 1353–1362. [Google Scholar] [CrossRef] [PubMed]
- Keshwara, R.; Shiels, T.; Postnikova, E.; Kurup, D.; Wirblich, C.; Johnson, R.F.; Schnell, M.J. Rabies-based vaccine induces potent immune responses against Nipah virus. NPJ Vaccines 2019, 4, 15. [Google Scholar] [CrossRef] [PubMed]
- Zhang, S.; Hao, M.; Feng, N.; Jin, H.; Yan, F.; Chi, H.; Wang, H.; Han, Q.; Wang, J.; Wong, G.; et al. Genetically Modified Rabies Virus Vector-Based Rift Valley Fever Virus Vaccine is Safe and Induces Efficacious Immune Responses in Mice. Viruses 2019, 11, 919. [Google Scholar] [CrossRef] [PubMed]
- Johnson, N.; Cunningham, A.F.; Fooks, A.R. The immune response to rabies virus infection and vaccination. Vaccine 2010, 28, 3896–3901. [Google Scholar] [CrossRef] [PubMed]
- Mebatsion, T.; Konig, M.; Conzelmann, K.K. Budding of rabies virus particles in the absence of the spike glycoprotein. Cell 1996, 84, 941–951. [Google Scholar] [CrossRef]
- Mebatsion, T.; Schnell, M.J.; Cox, J.H.; Finke, S.; Conzelmann, K.K. Highly stable expression of a foreign gene from rabies virus vectors. Proc. Natl. Acad. Sci. USA 1996, 93, 7310–7314. [Google Scholar] [CrossRef] [PubMed]
- Collins, P.L.; Whitehead, S.S.; Bukreyev, A.; Fearns, R.; Teng, M.N.; Juhasz, K.; Chanock, R.M.; Murphy, B.R. Rational design of live-attenuated recombinant vaccine virus for human respiratory syncytial virus by reverse genetics. Adv. Virus Res. 1999, 54, 423–451. [Google Scholar] [PubMed]
- McGettigan, J.P.; Naper, K.; Orenstein, J.; Koser, M.; McKenna, P.M.; Schnell, M.J. Functional human immunodeficiency virus type 1 (HIV-1) Gag-Pol or HIV-1 Gag-Pol and env expressed from a single rhabdovirus-based vaccine vector genome. J. Virol. 2003, 77, 10889–10899. [Google Scholar] [CrossRef] [PubMed][Green Version]
- Foley, H.D.; McGettigan, J.P.; Siler, C.A.; Dietzschold, B.; Schnell, M.J. A recombinant rabies virus expressing vesicular stomatitis virus glycoprotein fails to protect against rabies virus infection. Proc. Natl. Acad. Sci. USA 2000, 97, 14680–14685. [Google Scholar] [CrossRef] [PubMed]
- Taber, K.H.; Strick, P.L.; Hurley, R.A. Rabies and the cerebellum: New methods for tracing circuits in the brain. J. Neuropsychiatry Clin. Neurosci. 2005, 17, 133–139. [Google Scholar] [CrossRef] [PubMed]
- Ahmad, I.; Kudi, C.A.; Anka, M.S.; Tekki, I.S. First confirmation of rabies in Zamfara State, Nigeria-in a sheep. Trop. Anim. Health Prod. 2017, 49, 659–662. [Google Scholar] [CrossRef] [PubMed]
- Gomme, E.A.; Wanjalla, C.N.; Wirblich, C.; Schnell, M.J. Rabies virus as a research tool and viral vaccine vector. Adv. Virus Res. 2011, 79, 139–164. [Google Scholar] [PubMed]
- Schnell, M.J.; McGettigan, J.P.; Wirblich, C.; Papaneri, A. The cell biology of rabies virus: Using stealth to reach the brain. Nat. Rev. Microbiol. 2010, 8, 51–61. [Google Scholar] [CrossRef] [PubMed]
- Chi, H.; Wang, Y.; Li, E.; Wang, X.; Wang, H.; Jin, H.; Han, Q.; Wang, Z.; Wang, X.; Zhu, A.; et al. Inactivated Rabies Virus Vectored MERS-Coronavirus Vaccine Induces Protective Immunity in Mice, Camels, and Alpacas. Front. Immunol. 2022, 13, 823949. [Google Scholar] [CrossRef] [PubMed]
- Rojas, J.M.; Moreno, H.; García, A.; Ramírez, J.C.; Sevilla, N.; Martín, V. Two replication-defective adenoviral vaccine vectors for the induction of immune responses to PPRV. Vaccine 2014, 32, 393–400. [Google Scholar] [CrossRef]
- Wang, Y.; Liu, G.; Shi, L.; Li, W.; Li, C.; Chen, Z.; Jin, H.; Xu, B.; Li, G. Immune responses in mice vaccinated with a suicidal DNA vaccine expressing the hemagglutinin glycoprotein from the peste des petits ruminants virus. J. Virol. Methods 2013, 193, 525–530. [Google Scholar] [CrossRef]
- Rojas, J.M.; Moreno, H.; Valcárcel, F.; Peña, L.; Sevilla, N.; Martín, V. Vaccination with recombinant adenoviruses expressing the peste des petits ruminants virus F or H proteins overcomes viral immunosuppression and induces protective immunity against PPRV challenge in sheep. PLoS ONE 2014, 9, e101226. [Google Scholar] [CrossRef] [PubMed]
- Yan, F.; Li, E.; Li, L.; Schiffman, Z.; Huang, P.; Zhang, S.; Li, G.; Jin, H.; Wang, H.; Zhang, X.; et al. Virus-Like Particles Derived From a Virulent Strain of Pest des Petits Ruminants Virus Elicit a More Vigorous Immune Response in Mice and Small Ruminants Than Those From a Vaccine Strain. Front. Microbiol. 2020, 11, 609. [Google Scholar] [CrossRef]







| Primer | Sequence (5′–3′) | Enzye |
|---|---|---|
| PM/PPRV/H/F | TTTCGTACGGCCACCATGTCCGCACAAAGGGAAAGGATCA | PmeI |
| PM/PPRV/H/R | ACAGTTTAAACTCAAACTGGATTGCATGTTACCTCT | BsiWI |
| PM/PPRV/F/F | TTTCGTACGGCCACCATGACACGGGTCGCAATCTTGACAT | PmeI |
| PM/PPRV/F/R | ACAGTTTAAACCTACAGTGATCTCACATACGACTTT | BsiwI |
Publisher’s Note: MDPI stays neutral with regard to jurisdictional claims in published maps and institutional affiliations. |
© 2022 by the authors. Licensee MDPI, Basel, Switzerland. This article is an open access article distributed under the terms and conditions of the Creative Commons Attribution (CC BY) license (https://creativecommons.org/licenses/by/4.0/).
Share and Cite
Wang, H.; Bi, J.; Feng, N.; Zhao, Y.; Wang, T.; Li, Y.; Yan, F.; Yang, S.; Xia, X. Construction of Recombinant Rabies Virus Vectors Expressing H or F Protein of Peste des Petits Ruminants Virus. Vet. Sci. 2022, 9, 555. https://doi.org/10.3390/vetsci9100555
Wang H, Bi J, Feng N, Zhao Y, Wang T, Li Y, Yan F, Yang S, Xia X. Construction of Recombinant Rabies Virus Vectors Expressing H or F Protein of Peste des Petits Ruminants Virus. Veterinary Sciences. 2022; 9(10):555. https://doi.org/10.3390/vetsci9100555
Chicago/Turabian StyleWang, Haojie, Jinhao Bi, Na Feng, Yongkun Zhao, Tiecheng Wang, Yuetao Li, Feihu Yan, Songtao Yang, and Xianzhu Xia. 2022. "Construction of Recombinant Rabies Virus Vectors Expressing H or F Protein of Peste des Petits Ruminants Virus" Veterinary Sciences 9, no. 10: 555. https://doi.org/10.3390/vetsci9100555
APA StyleWang, H., Bi, J., Feng, N., Zhao, Y., Wang, T., Li, Y., Yan, F., Yang, S., & Xia, X. (2022). Construction of Recombinant Rabies Virus Vectors Expressing H or F Protein of Peste des Petits Ruminants Virus. Veterinary Sciences, 9(10), 555. https://doi.org/10.3390/vetsci9100555

