Improved Cardiovascular Tolerance to Hemorrhage after Oral Resveratrol Pretreatment in Dogs
Abstract
1. Introduction
2. Materials and Methods
2.1. Animals and Selection Criteria
2.2. Resveratrol Administration
2.3. Anesthesia
2.4. Instrumentation Procedures
2.5. Experimental Design
2.6. Data Collection
2.6.1. Cardiovascular Parameters
2.6.2. Renal Parameters
Urine Sediment Examination
Kidney Light Microscopy
Kidney Transmission Electronic Microscopy (TEM)
Renal Biomarkers
2.6.3. Coagulation Parameters
2.7. Data Analysis
3. Results
3.1. Cardiovascular Results
3.2. Renal Outcomes
3.3. Coagulation Outcomes
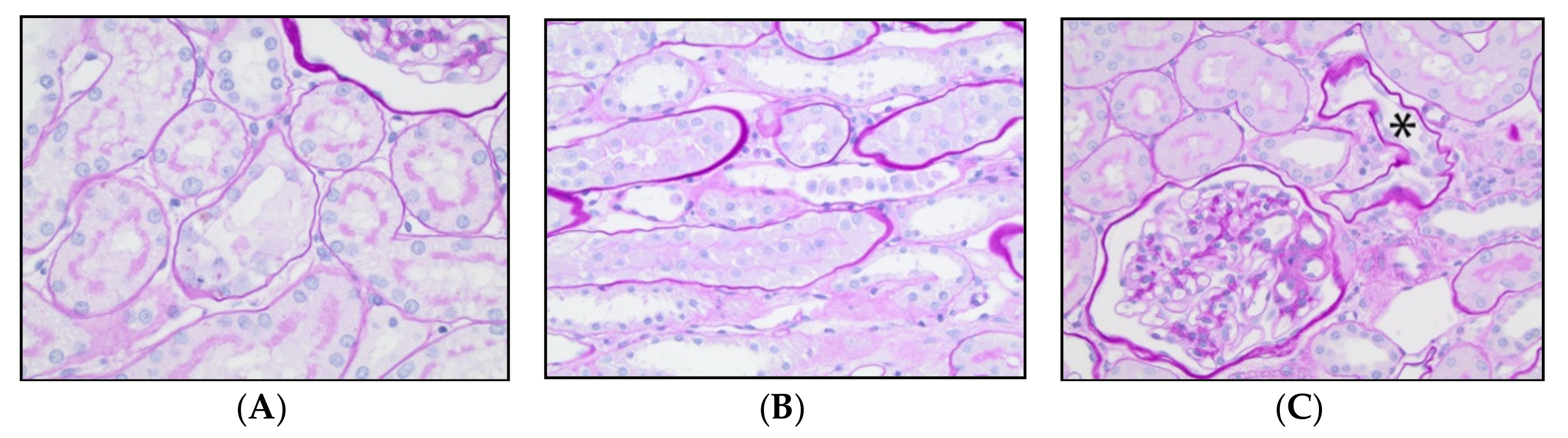
3.4. Renal Histopathology
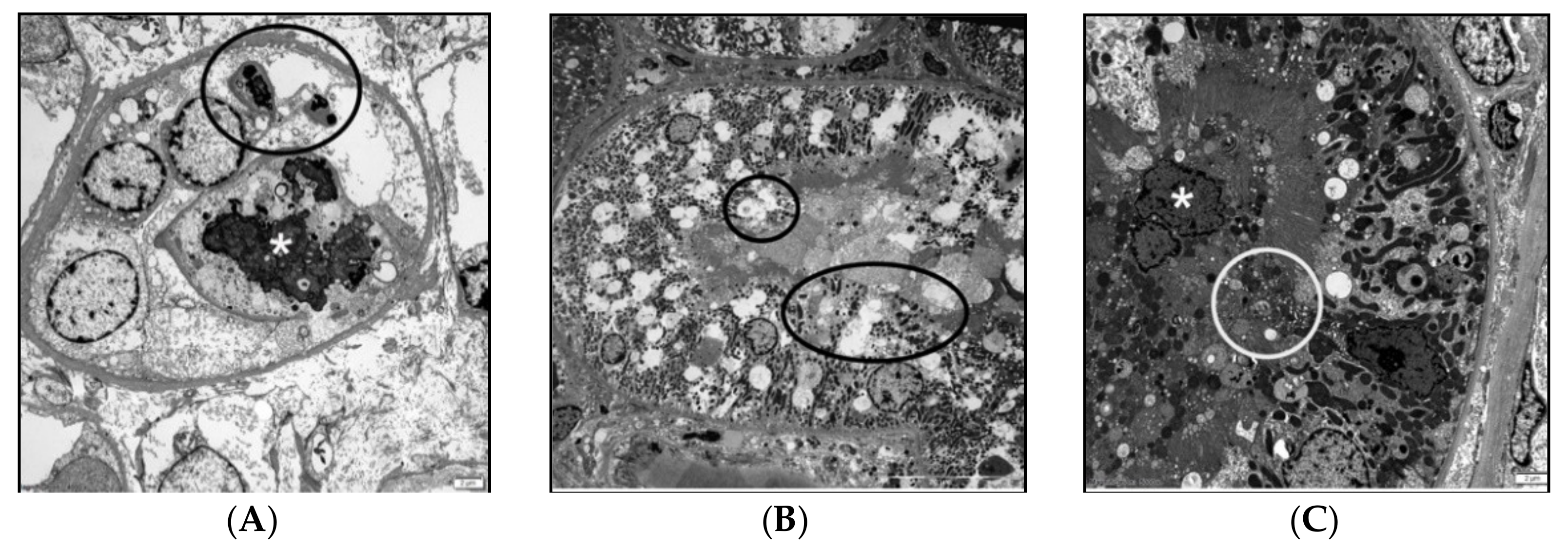
3.5. Renal Transmission Electron Microscopy (TEM)
4. Discussion
5. Conclusions
Author Contributions
Funding
Institutional Review Board Statement
Informed Consent Statement
Data Availability Statement
Acknowledgments
Conflicts of Interest
References
- Hardy, J.F.; De Moerloose, P.; Samama, M. Massive transfusion and coagulopathy: Pathophysiology and implications for clinical management. Can. J. Anaesth. 2004, 51, 293–310. [Google Scholar] [CrossRef]
- Pham, H.P.; Shaz, B.H. Update on massive transfusion. Br. J. Anaesth. 2013, 111 (Suppl. S1), i71–i82. [Google Scholar] [CrossRef]
- Fredericks, C.; Kubasiak, J.C.; Mentzer, C.J.; Yon, J.R. Massive transfusion: An update for the anesthesiologist. World J. Anesthesiol. 2017, 6, 14–21. [Google Scholar] [CrossRef]
- Muirhead, B.; Weiss, A.D.H. Massive hemorrhage and transfusion in the operating room. Can. J. Anaesth. 2017, 64, 962–978. [Google Scholar] [CrossRef]
- Gaunt, C.; Woolley, T. Management of haemorrhage in major trauma. Contin. Educ. Anaesth. Crit. Care Pain 2014, 14, 251–255. [Google Scholar] [CrossRef][Green Version]
- Sims, C.A.; Baur, J.A. The grapes and wrath: Using resveratrol to treat the pathophysiology of hemorrhagic shock. Ann. N. Y. Acad. Sci. 2017, 1403, 70–81. [Google Scholar] [CrossRef] [PubMed]
- Liu, F.C.; Tsai, Y.F.; Tsai, H.I.; Yu, H.P. Anti-Inflammatory and Organ-Protective Effects of Resveratrol in Trauma-Hemorrhagic Injury. Mediat. Inflamm. 2015, 2015, 643763. [Google Scholar] [CrossRef] [PubMed]
- Ayub, A.; Poulose, N.; Raju, R. Resveratrol Improves Survival and Prolongs Life Following Hemorrhagic Shock. Mol. Med. 2015, 21, 305–312. [Google Scholar] [CrossRef] [PubMed]
- Goren, O.; Matot, I. Update on perioperative acute kidney injury. Curr. Opin. Crit. Care 2016, 22, 370–378. [Google Scholar] [CrossRef]
- Moore, E.M.; Bellomo, R.; Nichol, A.D. The meaning of acute kidney injury and its relevance to intensive care and anaesthesia. Anaesth. Intensive Care 2012, 40, 929–948. [Google Scholar] [CrossRef]
- Hobson, C.; Ruchi, R.; Bihorac, A. Perioperative Acute Kidney Injury: Risk Factors and Predictive Strategies. Crit. Care Clin. 2017, 33, 379–396. [Google Scholar] [CrossRef]
- Calvert, S.; Shaw, A. Perioperative acute kidney injury. Perioper Med. 2012, 1, 6. [Google Scholar] [CrossRef] [PubMed]
- Susantitaphong, P.; Cruz, D.N.; Cerda, J.; Abulfaraj, M.; Alqahtani, F.; Koulouridis, I.; Jaber, B.L. World incidence of AKI: A meta-analysis. Clin. J. Am. Soc. Nephrol. CJASN 2013, 8, 1482–1493. [Google Scholar] [CrossRef] [PubMed]
- Lee, Y.J.; Hu, Y.Y.; Lin, Y.S.; Chang, C.T.; Lin, F.Y.; Wong, M.L.; Kuo-Hsuan, H.; Hsu, W.L. Urine neutrophil gelatinase-associated lipocalin (NGAL) as a biomarker for acute canine kidney injury. BMC Vet. Res. 2012, 8, 248. [Google Scholar] [CrossRef]
- Legatti, S.A.M.; El Dib, R.; Legatti, E.; Botan, A.G.; Camargo, S.E.A.; Agarwal, A.; Barretti, P.; Paes, A.C. Acute kidney injury in cats and dogs: A proportional meta-analysis of case series studies. PLoS ONE 2018, 13, e0190772. [Google Scholar] [CrossRef] [PubMed]
- Wang, H.; Guan, Y.; Karamercan, M.A.; Ye, L.; Bhatti, T.; Becker, L.B.; Baur, J.A.; Sims, C.A. Resveratrol Rescues Kidney Mitochondrial Function Following Hemorrhagic Shock. Shock 2015, 44, 173–180. [Google Scholar] [CrossRef] [PubMed]
- Fulop, A.; Turoczi, Z.; Garbaisz, D.; Harsanyi, L.; Szijarto, A. Experimental models of hemorrhagic shock: A review. Eur. Surg. Res. 2013, 50, 57–70. [Google Scholar] [CrossRef]
- Majde, J.A. Animal models for hemorrhage and resuscitation research. J. Trauma 2003, 54, S100–S105. [Google Scholar] [CrossRef]
- Olas, B.; Wachowicz, B.; Saluk-Juszczak, J.; Zielinski, T. Effect of resveratrol, a natural polyphenolic compound, on platelet activation induced by endotoxin or thrombin. Thromb. Res. 2002, 107, 141–145. [Google Scholar] [CrossRef]
- Zbikowska, H.M.; Olas, B.; Wachowicz, B.; Krajewski, T. Response of blood platelets to resveratrol. Platelets 1999, 10, 247–252. [Google Scholar] [CrossRef]
- Zaldivar-Lopez, S.; Marin, L.M.; Iazbik, M.C.; Westendorf-Stingle, N.; Hensley, S.; Couto, C.G. Clinical pathology of Greyhounds and other sighthounds. Vet. Clin. Pathol. 2011, 40, 414–425. [Google Scholar] [CrossRef]
- Mason, D.; O’Grady, M.; Woods, J.; McDonell, W. Assessment of lithium dilution cardiac output as a technique for measurement of cardiac output in dogs. Am. J. Vet. Res. 2001, 62, 1255–1261. [Google Scholar] [CrossRef]
- Cilley, R.E.; Polley, T.Z., Jr.; Zwischenberger, J.B.; Toomasian, J.M.; Bartlett, R.H. Independent measurement of oxygen consumption and oxygen delivery. J. Surg. Res. 1989, 47, 242–247. [Google Scholar] [CrossRef]
- Samsel, R.W.; Nelson, D.P.; Sanders, W.M.; Wood, L.D.; Schumacker, P.T. Effect of endotoxin on systemic and skeletal muscle O2 extraction. J. Appl. Physiol. 1988, 65, 1377–1382. [Google Scholar] [CrossRef]
- Gutierrez, G.; Warley, A.R.; Dantzker, D.R. Oxygen delivery and utilization in hypothermic dogs. J. Appl. Physiol. (1985) 1986, 60, 751–757. [Google Scholar] [CrossRef] [PubMed]
- Muzzio, M.; Huang, Z.; Hu, S.C.; Johnson, W.D.; McCormick, D.L.; Kapetanovic, I.M. Determination of resveratrol and its sulfate and glucuronide metabolites in plasma by LC-MS/MS and their pharmacokinetics in dogs. J. Pharm. Biomed. Anal. 2012, 59, 201–208. [Google Scholar] [CrossRef] [PubMed]
- Holthoff, J.H.; Wang, Z.; Seely, K.A.; Gokden, N.; Mayeux, P.R. Resveratrol improves renal microcirculation, protects the tubular epithelium, and prolongs survival in a mouse model of sepsis-induced acute kidney injury. Kidney Int. 2012, 81, 370–378. [Google Scholar] [CrossRef]
- Tsukamoto, T.; Pape, H.C. Animal models for trauma research: What are the options? Shock 2009, 31, 3–10. [Google Scholar] [CrossRef]
- Davis, J.; Raisis, A.L.; Cianciolo, R.E.; Miller, D.W.; Shiel, R.E.; Nabity, M.B.; Hosgood, G.L. Urinary neutrophil gelatinase-associated lipocalin concentration changes after acute haemorrhage and colloid-mediated reperfusion in anaesthetized dogs. Vet. Anaesth. Analg. 2016, 43, 262–270. [Google Scholar] [CrossRef]
- Anhê, F.F.; Choi, B.S.Y.; Dyck, J.R.B.; Schertzer, J.D.; Marette, A. Host-Microbe Interplay in the Cardiometabolic Benefits of Dietary Polyphenols. Trends Endocrinol. Metab. 2019, 30, 384–395. [Google Scholar] [CrossRef]
- Basile, D.P.; Anderson, M.D.; Sutton, T.A. Pathophysiology of Acute Kidney Injury. Compr. Physiol. 2012, 2, 1303–1353. [Google Scholar] [CrossRef]
- Tirapelli, L.F.; Barione, D.F.; Trazzi, B.F.; Tirapelli, D.P.; Novas, P.C.; Silva, C.S.; Martinez, M.; Costa, R.S.; Tucci, S.; Suaid, H.J.; et al. Comparison of two models for evaluation histopathology of experimental renal ischemia. Transpl. Proc. 2009, 41, 4083–4087. [Google Scholar] [CrossRef]
- Powell, R.D.; Swet, J.H.; Kennedy, K.L.; Huynh, T.T.; McKillop, I.H.; Evans, S.L. Resveratrol attenuates hypoxic injury in a primary hepatocyte model of hemorrhagic shock and resuscitation. J. Trauma Acute Care Surg. 2014, 76, 409–417. [Google Scholar] [CrossRef]
- Saw, M.M.; Chandler, B.; Ho, K.M. Benefits and risks of using gelatin solution as a plasma expander for perioperative and critically ill patients: A meta-analysis. Anaesth. Intensive Care 2012, 40, 17–32. [Google Scholar] [CrossRef] [PubMed]
- Boyd, C.J.; Claus, M.A.; Raisis, A.L.; Cianciolo, R.; Bosio, E.; Hosgood, G.; Nabity, M.; Mori, T.; Barden, A.; Sharp, C.R.; et al. Evaluation of biomarkers of kidney injury following 4% succinylated gelatin and 6% hydroxyethyl starch 130/0.4 administration in a canine hemorrhagic shock model. J. Vet. Emerg. Crit. Care 2019, 29, 132–142. [Google Scholar] [CrossRef] [PubMed]
- Ekaney, M.L.; Grable, M.A.; Powers, W.F., 4th; McKillop, I.H.; Evans, S.L. Cytochrome c and resveratrol preserve platelet function during cold storage. J. Trauma Acute Care Surg. 2017, 83, 271–277. [Google Scholar] [CrossRef] [PubMed]
- Shahidi, M.; Parhizkary, F.; Sharifi, R.; Ghotaslou, A.; Barati, M. Effects of resveratrol on coagulative, fibrinolytic, and inflammatory marker expression and secretion by endothelial cells (human umbilical vein endothelial cells). Blood Coagul. Fibrinolysis 2020, 31, 207–212. [Google Scholar] [CrossRef] [PubMed]
- Marumo, M.; Ekawa, K.; Wakabayashi, I. Resveratrol inhibits Ca(2+) signals and aggregation of platelets. Environ. Health Prev. Med. 2020, 25, 70. [Google Scholar] [CrossRef] [PubMed]
- Horvath, S.J.; Couto, C.G.; Yant, K.; Kontur, K.; Bohenko, L.; Iazbik, M.C.; Marín, L.M.; Hudson, D.; Chase, J.; Frye, M.; et al. Effects of racing on reticulocyte concentrations in Greyhounds. Vet. Clin. Pathol. 2014, 43, 15–23. [Google Scholar] [CrossRef]
- Cox, R.H.; Bagshaw, R.J.; Detweiler, D.K. Baroreceptor reflex cardiovascular control in mongrel dogs and racing greyhounds. Am. J. Physiol. 1985, 249, H655–H662. [Google Scholar] [CrossRef]
- Sasmaz, S.; Sahin, A.; Duman, I. Inhibitory Effect of Fentanyl on Phenylephrine-Induced Contraction on Rabbit Aorta. Pharmacol. Pharmacy 2011, 2, 141–145. [Google Scholar] [CrossRef]
- Sahin, A.S.; Duman, A.; Atalik, E.K.; Ogün, C.O.; Sahin, T.K.; Erol, A.; Ozergin, U. The mechanisms of the direct vascular effects of fentanyl on isolated human saphenous veins in vitro. J. Cardiothorac. Vasc. Anesth. 2005, 19, 197–200. [Google Scholar] [CrossRef] [PubMed]
- Pagel, P.S.; Kampine, J.P.; Schmeling, W.T.; Warltier, D.C. Evaluation of myocardial contractility in the chronically instrumented dog with intact autonomic nervous system function: Effects of desflurane and isoflurane. Acta Anaesthesiol. Scand. 1993, 37, 203–210. [Google Scholar] [CrossRef] [PubMed]
- Merin, R.G.; Bernard, J.M.; Doursout, M.F.; Cohen, M.; Chelly, J.E. Comparison of the effects of isoflurane and desflurane on cardiovascular dynamics and regional blood flow in the chronically instrumented dog. Anesthesiology 1991, 74, 568–574. [Google Scholar] [CrossRef]
Calculated Variable | Formula |
---|---|
BSA (m2) | 10.1 × (bodyweight in grams2/3) × 10−4 |
Cardiac index (L minute−1 (m2)−1) | Qt ÷ BSA |
CaO2 (mL L−1) | (1.36 × SaO2 × Hb) + (0.003 × PaO2) × 10 |
DO2I (mLO2 min−1 (m2)−1) | Cardiac index × CaO2 |
CcvO2 (mL L−1) | (1.36 × ScvO2 × Hb) + (0.003 × PcvO2) × 10 |
VO2I (mLO2 min−1 (m2)−1) | Cardiac index × (CaO2 − CcvO2) |
OER | VO2I ÷ DO2I |
Variables | Resveratrol Treated (n = 5) | Control (n = 6) | p-Value # |
---|---|---|---|
Serum creatinine, µmol/L:* | |||
-Pre-treatment | 129 (121–146) | 118 (105–128) | 0.126 |
-Pre-hemorrhage | 125 (113–136) | 105 (99–120) | 0.126 |
-1 h post-hemorrhage | 145 (133–155) | 133 (128–151) | 0.329 |
-2 h post-resuscitation | 155 (145–185) | 154 (130–167) | 0.537 |
Serum cystatin: | |||
-Pre-treatment | 49 (36–56) | 45 (36–58) | 0.999 |
-Pre-hemorrhage | 52 (41–63) | 46 (41–54) | 0.537 |
-1 h post-hemorrhage | 64 (46–69) | 56 (49–72) | 0.931 |
-2 h post-resuscitation | 47 (32–55) | 39 (31–47) | 0.537 |
Serum NGAL: | |||
-Pre-treatment | 8.4 (4.6–12.8) | 8.8 (4.8–12.9) | 0.999 |
-Pre-hemorrhage | 9.4 (7.7–20.2) | 10.8 (8.5–13.1) | 0.931 |
-1 h post-hemorrhage | 12.4 (11–22.9) | 14.9 (12.3–22.8) | 0.662 |
-2 h post-resuscitation | 12.1 (7.8–19.5) | 11.2 (9.9–16.9) | 0.999 |
Serum KIM-1: | |||
-Pre-treatment | 59 (51–94) | 75 (42–101) | 0.73 |
-Pre-hemorrhage | 71 (54–87) | 74 (53–90) | 0.999 |
-1 h post-hemorrhage | 54 (46–68) | 64 (48–75) | 0.537 |
-2 h post-resuscitation | 39 (35–45) | 42 (32–47) | 0.931 |
Urine clusterin: | |||
-Pre-treatment | 219 (146–617) | 250 (83–921) | 0.999 |
-Pre-hemorrhage | 299 (134–348) | 72 (24–186) | 0.082 |
-1 h post-hemorrhage | 318 (147–1315) | 368 (49–554) | 0.999 |
-2 h post-resuscitation | 2242 (1275–3769) | 1381 (727–4443) | 0.537 |
Urine cystatin: | |||
-Pre-treatment | 3.6 (2.9–4.3) | 3.2 (2.1–3.8) | 0.42 |
-Pre-hemorrhage | 3.8 (2.5–5.4) | 3.7 (1.8–5.7) | 0.999 |
-1 h post-hemorrhage | 4.0 (2.7–5.9) | 5.0 (1.7–7.5) | 0.999 |
-2 h post-resuscitation | 8.7 (8.0–10.8) | 9.1 (7.3–10.6) | 0.792 |
Urine NGAL: | |||
-Pre-treatment | 0.5 (0.3–3.7) | 1.5 (0.1–6.2) | 0.999 |
-Pre-hemorrhage | 1.2 (0.3–3.0) | 0.9 (0.6–3.3) | 0.931 |
-1 h post-hemorrhage | 1.1 (0.3–2.3) | 0.8 (0.6–2.8) | 0.841 |
-2 h post-resuscitation | 25.6 (18.1–30.1) | 19.7 (16.2–24.7) | 0.429 |
Urine KIM-1: | 0.052 | ||
-Pre-treatment | 50 (8–119) | 139 (109–279) | |
-Pre-hemorrhage | 22 (11–138) | 82 (44–184) | 0.247 |
-1 h post-hemorrhage | 18 (12–223) | 137 (38–415) | 0.286 |
-2 h post-resuscitation | 49 (38–75) | 57 (36–115) | 0.662 |
Urine GGT to creatinine ratio: | |||
-Pre-treatment | 21 (4–224) | 13 (9–21) | 0.841 |
-Pre-hemorrhage | 25 (21–145) | 51 (29–80) | 0.548 |
-1 h post-hemorrhage | 76 (24–306) | 39 (26–285) | 0.999 |
-2 h post-resuscitation | 1190 (842–12996) | 1299 (420–2500) | 0.69 |
Glomerular injury, % | 3.9 (2.4–15.1) | 0.6 (0–3.7) | 0.082 |
Tubular injury score | 0.30 (0.28–0.89) | 0.30 (0.11–0.49) | 0.429 |
Variables | Resveratrol Treated (n = 5) | Control (n = 4) | p-Value # |
---|---|---|---|
CT-InTEM: | |||
-Pre-treatment | 198 (167–233) | 194 (169–209) | 0.73 |
-Pre-hemorrhage | 168 (137–192) | 133 (80–169) | 0.177 |
-1 h post-hemorrhage | 142 (130–165) | 168 (140–174) | 0.548 |
-2 h post-resuscitation | 160 (142–200) | 183 (168–193) | 0.286 |
CT-ExTEM: | |||
-Pre-treatment | 71 (40–90) | 72 (49–98) | 0.556 |
-Pre-hemorrhage | 40 (35–60) | 86 (31–155) | 0.429 |
-1 h post-hemorrhage | 62 (38–76) | 101 (65–112) | 0.082 |
-2 h post-resuscitation | 76 (69–88) | 113 (100–188) | 0.016 |
MCF-InTEM: | |||
-Pre-treatment | 51 (44–56) | 48 (43–50) | 0.556 |
-Pre-hemorrhage | 54 (47–63) | 43 (38–47) | 0.009 |
-1 h post-hemorrhage | 38 (33–45) | 40 (32–44) | 0.841 |
-2 h post-resuscitation | 33 (30–41) | 33 (28–37) | 0.556 |
MCF-ExTEM: | |||
-Pre-treatment | 41 (38–51) | 40 (33–47) | 0.73 |
-Pre-hemorrhage | 52 (47–63) | 45 (33–50) | 0.052 |
-1 h post-hemorrhage | 38 (34–45) | 27 (25–36) | 0.052 |
-2 h post-resuscitation | 35 (30–39) | 21 (14–32) | 0.063 |
PFA-closure time: | |||
-Pre-hemorrhage | 78 (71–93) | 87 (70–131) | 0.914 |
-1 h post-hemorrhage | 111 (106–115) | 95 (79–95) | 0.057 |
-2 h post-resuscitation | 91 (75–91) | 89 (79–120) | 0.857 |
Peak thrombin generation, nM: | |||
-Pre-treatment | 66 (47–93) | 101 (56–121) | 0.286 |
-1 h post-hemorrhage | 93 (61–137) | 41 (19–56) | 0.032 |
AUC thrombin generation, nM × min: | |||
-Pre-treatment | 329 (252–329) | 406 (254–406) | 0.999 |
-1 h post-hemorrhage | 495 (495–495) | 294 (160–427) | 0.4 |
Variables | Resveratrol Treated (n = 6) | Control (n = 6) | p-Value # |
---|---|---|---|
Arterial pH: | |||
-Pre-hemorrhage | 7.44 (7.41–7.48) | 7.46 (7.40–7.52) | 0.696 |
-1 h post-hemorrhage | 7.24 (7.21–7.33) | 7.35 (7.33–7.36) | 0.011 |
-1 h post-resuscitation | 7.33 (7.32–7.38) | 7.35 (7.31–7.39) | 0.913 |
-2 h post-resuscitation | 7.35 (7.34–7.39) | 7.36 (7.32–7.42) | 0.853 |
PaO2 (mmHg): | |||
-Pre-hemorrhage | 187 (178–191) | 196 (179–2.8) | 0.329 |
-1 h post-hemorrhage | 133 (124–153) | 147 (130–170) | 0.485 |
-1 h post-resuscitation | 170 (146–207) | 150 (132–163) | 0.147 |
-2 h post-resuscitation | 159 (152–174) | 157 (138–172) | 0.699 |
PaCO2 (mmHg): | |||
-Pre-hemorrhage | 33.1 (28.4–38.5) | 32.1 (26.7–36.0) | 0.662 |
-1 h post-hemorrhage | 45.9 (36.9–51.6) | 37.9 (36.1–40.7) | 0.162 |
-1 h post-resuscitation | 43.2 (40.4–46.4) | 44.7 (38.9–48.0) | >0.999 |
-2 h post-resuscitation | 41.7 (37.0–43.7) | 41.3 (37.0–46.2) | >0.999 |
Arterial HCO3 (mmol/L) | |||
-Pre-hemorrhage | 22.1 (20.8–23.7) | 22.3 (21.2–23.3) | 0.892 |
-1 h post-hemorrhage | 19.5 (17.1–20.9) | 20.8 (18.3–22.3) | 0.225 |
-1 h post-resuscitation | 22.5 (21.2–23.6) | 23.6 (22.9–24.2) | 0.121 |
-2 h post-resuscitation | 21.8 (20.9–23.4) | 23.2 (22.7–23.9) | 0.178 |
Arterial Base excess (mmol/L): | |||
-Pre-hemorrhage | −1.7 (−2.3–(−0.4)) | −1.5 (−2.3–(−0.2)) | 0.792 |
-1 h post-hemorrhage | −6.9 (−8.3–(−5.0)) | −4.0 (−6.7–(−2.9)) | 0.132 |
-1 h post-resuscitation | −2.4 (−3.7–(−1.6)) | −1.5 (−2.2–(−0.5)) | 0.143 |
-2 h post-resuscitation | −2.9 (−3.6–(−1.5)) | −1.7 (−2.3–(−0.7)) | 0.102 |
SaO2 (%): | |||
-Pre-hemorrhage | |||
-1 h post-hemorrhage | All values 100%, at all time points | ||
-1 h post-resuscitation | |||
-2 h post-resuscitation | |||
Central venous pH: | |||
-Pre-hemorrhage | 7.41 (7.39–7.46) | 7.43 (7.38–7.51) | 0.792 |
-1 h post-hemorrhage | 7.23 (7.16–7.28) | 7.32 (7.29–7.32) | 0.047 |
-1 h post-resuscitation | 7.29 (7.28–7.34) | 7.32 (7.30–7.36) | 0.29 |
-2 h post-resuscitation | 7.32 (7.30–7.35) | 7.34 (7.29–7.39) | 0.771 |
PvO2 (mmHg): | |||
-Pre-hemorrhage | 46.1 (39.9–51.2) | 46.5 (43.8–50.4) | 0.931 |
-1 h post-hemorrhage | 25.4 (19.2–29.3) | 25.9 (23.8–27.7) | 0.784 |
-1 h post-resuscitation | 51.4 (45.1–59.6) | 50.4 (46.4–53.0) | 0.732 |
-2 h post-resuscitation | 50.3 (44.9–59.0) | 46.9 (41.9–49.9) | 0.24 |
PvCO2 (mmHg): | |||
-Pre-hemorrhage | 38.3 (33.8–42.1) | 33.4 (29.3–40.0) | 0.247 |
-1 h post-hemorrhage | 59.3 (47.4–70.0) | 49.1 (45.6–51.2) | 0.18 |
-1 h post-resuscitation | 50.4 (48.4–51.7) | 48.5 (43.2–52.0) | 0.589 |
-2 h post-resuscitation | 47.1 (44.8–50.4) | 48.0 (42.3–53.2) | 0.181 |
Central venous HCO3 (mmol/L) | |||
-Pre-hemorrhage | 24.0 (23.0–25.1) | 23.4 (20.8 - 24.6) | 0.699 |
-1 h post-hemorrhage | 23.0 (21.7–25.0) | 24.1 (21.4–25.4) | 0.667 |
-1 h post-resuscitation | 23.3 (22.9–25.0) | 24.5 (23.3–24.9) | 0.407 |
-2 h post-resuscitation | 23.2 (22.6–24.5) | 24.7 (23.1–25.2) | 0.37 |
Venous Base excess (mmol/L): | |||
-Pre-hemorrhage | 0.9 (−0.8–1.4) | −0.5 (−3.1–0.8) | 0.306 |
-1 h post-hemorrhage | −3.8 (−5.5–(−1.2)) | −1.6 (−4.8–(−0.1)) | 0.589 |
-1 h post-resuscitation | −2.5 (−2.8–(−0.5)) | −1.3 (−1.8–(−0.4)) | 0.234 |
-2 h post-resuscitation | −2.2 (−2.6–(−0.1)) | −1.1 (−1.7–(−0.5)) | 0.31 |
SvO2 (%): | |||
-Pre-hemorrhage | 88.2 (76.3–90.8) | 91.7 (85.2–92.6) | 0.162 |
-1 h post-hemorrhage | 29.3 (22.9–38.5) | 41.0 (34.1–49.9) | 0.064 |
-1 h post-resuscitation | 84.0 (59.4–86.2) | 85.1 (80.1–90.0) | 0.589 |
-2 h post-resuscitation | 84.2 (82.1–88.0) | 79.6 (72.4–86.9) | 0.589 |
Hemoglobin-venous (g/dL): | |||
-Pre-hemorrhage | 13.5 (12.7–13.7) | 15.8 (14.5–16.1) | 0.262 |
-1 h post-hemorrhage | 17.2 (14.9–19.5) | 17.5 (15.8–18.1) | 0.965 |
-1 h post-resuscitation | 8.7 (7.1–10.7) | 9.2 (9.0–9.5) | 0.662 |
-2 h post-resuscitation | 8.8 (7.3–10.8) | 9.3 (8.8–9.5) | 0.79 |
Sodium (mmol/L): | |||
-Pre-hemorrhage | 145 (145–147) | 146 (145–148) | >0.999 |
-1 h post-hemorrhage | 144 (141–145) | 145 (143–146) | 0.298 |
-1 h post-resuscitation | 144 (143–146) | 145 (145–146) | 0.141 |
-2 h post-resuscitation | 144 (143–145) | 145 (144–147) | 0.175 |
Variables | Resveratrol treated (n = 6) | Control (n = 6) | p-Value # |
---|---|---|---|
Bleeding volume, mL | 63.8 (57.8–78.6) | 54.9 (42.5–58.9) | 0.041 |
Total intravenous fluid volume, mL: | |||
- Compound Sodium Lactate | 978 (924.8–1004.3) | 925 (013.5-942) | 0.31 |
- Colloid | 652 (616.5-669.5) | 617 (609-628) | 0.31 |
Heart rate, beats/min: | |||
-Pre-hemorrhage | 86 (52–122) | 104 (93–118) | 0.485 |
-1 h post-hemorrhage | 204 (179–221) | 182 (156–208) | 0.31 |
-1 h post-resuscitation | 172 (153–184) | 150 (134–171) | 0.18 |
-2 h post-resuscitation | 176 (156–189) | 154 (126–167) | 0.093 |
Mean arterial pressure, mmHg: | |||
-Pre-hemorrhage | 60 (59–68) | 65 (60–74) | 0.31 |
-1 h post-hemorrhage | 33 (31–37) | 39 (38–40) | 0.041 |
-1 h post-resuscitation | 76 (71–81) | 76 (68–79) | 0.589 |
-2 h post-resuscitation | 71 (67–76) | 69 (64–73) | 0.394 |
Cardiac index, mL/min/m2: | |||
-Pre-hemorrhage | 95 (90–104) | 86 (74–93) | 0.082 |
-1 h post-hemorrhage | 36 (32–40) | 41 (33–49) | 0.18 |
-1 h post-resuscitation | 118 (111–130) | 134 (120–170) | 0.093 |
-2 h post-resuscitation | 121 (115–139) | 143 (119–152) | 0.31 |
Oxygen extraction ratio, %: | |||
-Pre-hemorrhage | 13 (12–23) | 11 (10–17) | 0.24 |
-1 h post-hemorrhage | 71 (62–77) | 60 (50–66) | 0.065 |
-1 h post-resuscitation | 19 (16–20) | 17 (12–22) | 0.699 |
-2 h post-resuscitation | 18 (14–20) | 22 (15–29) | 0.589 |
Predictors | Coefficient (95% Confidence Interval) | p-Value |
---|---|---|
MCF-InTEM | ||
Resveratrol treatment | 10.6 (1.0–20.3) | 0.034 |
Volume of blood removed | 0.1 (0.3 to −0.3) | 0.673 |
Time points | −4.7 (−3.3 to −6.1) | 0.001 |
Resveratrol × time | 1.8 (−0.3 to 3.7) | 0.078 |
MCF-ExTEM | ||
Resveratrol treatment | 5.5 (−2.8 to 13.8) | 0.158 |
Volume of blood removed | −0.4 (−0.1 to −0.7) | 0.028 |
Time points | −0.8 (−2.3 to 0.7) | 0.260 |
Resveratrol × time | 2.9 (0.7 to 5.1) | 0.017 |
Publisher’s Note: MDPI stays neutral with regard to jurisdictional claims in published maps and institutional affiliations. |
© 2021 by the authors. Licensee MDPI, Basel, Switzerland. This article is an open access article distributed under the terms and conditions of the Creative Commons Attribution (CC BY) license (https://creativecommons.org/licenses/by/4.0/).
Share and Cite
Davis, J.; Raisis, A.L.; Sharp, C.R.; Cianciolo, R.E.; Wallis, S.C.; Ho, K.M. Improved Cardiovascular Tolerance to Hemorrhage after Oral Resveratrol Pretreatment in Dogs. Vet. Sci. 2021, 8, 129. https://doi.org/10.3390/vetsci8070129
Davis J, Raisis AL, Sharp CR, Cianciolo RE, Wallis SC, Ho KM. Improved Cardiovascular Tolerance to Hemorrhage after Oral Resveratrol Pretreatment in Dogs. Veterinary Sciences. 2021; 8(7):129. https://doi.org/10.3390/vetsci8070129
Chicago/Turabian StyleDavis, Jennifer, Anthea L. Raisis, Claire R. Sharp, Rachel E. Cianciolo, Steven C. Wallis, and Kwok M. Ho. 2021. "Improved Cardiovascular Tolerance to Hemorrhage after Oral Resveratrol Pretreatment in Dogs" Veterinary Sciences 8, no. 7: 129. https://doi.org/10.3390/vetsci8070129
APA StyleDavis, J., Raisis, A. L., Sharp, C. R., Cianciolo, R. E., Wallis, S. C., & Ho, K. M. (2021). Improved Cardiovascular Tolerance to Hemorrhage after Oral Resveratrol Pretreatment in Dogs. Veterinary Sciences, 8(7), 129. https://doi.org/10.3390/vetsci8070129