Analysis and Sequence Alignment of Peste des Petits Ruminants Virus ChinaSX2020
Abstract
:1. Introduction
2. Materials and Methods
2.1. Cells and Virus
2.2. Indirect Immunofluorescence Assay
2.3. RNA Extraction, Quantitative Real-Time PCR and Genome Sequencing
2.4. Serology for Detection of Antibodies Directed against PPR Virus
2.5. Phylogenetic Analysis
3. Results
3.1. Serological Analysis
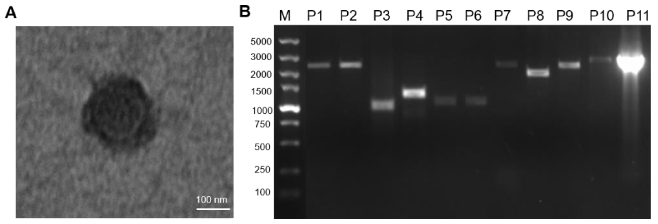
3.2. PPRV Identification
3.3. PPRV Identification and Sequencing
3.4. Multiple Alignment and Phylogenetic Analysis
4. Discussion
Author Contributions
Funding
Institutional Review Board Statement
Informed Consent Statement
Conflicts of Interest
References
- Characterization of a seal morbillivirus. Nature 1988, 336, 115–116. [CrossRef]
- Kumar, N.; Maherchandani, S.; Kashyap, S.K.; Singh, S.V.; Sharma, S.; Chaubey, K.K.; Ly, H. Peste Des Petits Ruminants Virus Infection of Small Ruminants: A Comprehensive Review. Viruses 2014, 6, 2287–2327. [Google Scholar] [CrossRef] [Green Version]
- Banyard, A.C.; Parida, S.; Batten, C.; Oura, C.; Kwiatek, O.; Libeau, G. Global distribution of peste des petits ruminants virus and prospects for improved diagnosis and control. J. Gen. Virol. 2010, 91, 2885–2897. [Google Scholar] [CrossRef] [Green Version]
- Dou, Y.; Liang, Z.; Prajapati, M.; Zhang, R.; Li, Y.; Zhang, Z. Expanding Diversity of Susceptible Hosts in Peste Des Petits Ruminants Virus Infection and Its Potential Mechanism Beyond. Front. Vet.-Sci. 2020, 7, 66. [Google Scholar] [CrossRef] [Green Version]
- Shaila, M.S.; Shamaki, D.; Forsyth, M.A.; Diallo, A.; Goatley, L.; Kitching, R.P.; Barrett, T. Geographic distribution and epi-demiology of peste des petits ruminants virus. Virus Res. 1996, 43, 149–153. [Google Scholar] [CrossRef]
- Li, L.; Cao, X.; Wu, J.; Dou, Y.; Meng, X.; Liu, D.; Liu, Y.; Shang, Y.; Liu, X. Epidemic and evolutionary characteristics of peste des petits ruminants virus infecting Procapra przewalskii in Western China. Infect. Genet. Evol. 2019, 75, 104004. [Google Scholar] [CrossRef]
- Parida, S.; Muniraju, M.; Altan, E.; Baazizi, R.; Raj, G.D.; Mahapatra, M. Emergence of PPR and its threat to Europe. Small Rumin. Res. 2016, 142, 16–21. [Google Scholar] [CrossRef] [PubMed] [Green Version]
- Pruvot, M.; Fine, A.E.; Hollinger, C.; Strindberg, S.; Damdinjav, B.; Buuveibaatar, B.; Chimeddorj, B.; Bayandonoi, G.; Khishgee, B.; Sandag, B.; et al. Outbreak of Peste des Petits Ruminants among Critically Endangered Mongolian Saiga and Other Wild Ungulates, Mongolia, 2016–2017. Emerg. Infect. Dis. 2020, 26, 51–62. [Google Scholar] [CrossRef]
- Prajapati, M.; Alfred, N.; Dou, Y.; Yin, X.; Prajapati, R.; Li, Y.; Zhang, Z. Host Cellular Receptors for the Peste des Petits Ruminant Virus. Viruses 2019, 11, 729. [Google Scholar] [CrossRef] [PubMed] [Green Version]
- Liu, F.; Li, J.; Li, L.; Liu, Y.; Wu, X.; Wang, Z. Peste des petits ruminants in China since its first outbreak in 2007: A 10-year review. Transbound Emerg. Dis. 2018, 65, 638–648. [Google Scholar] [CrossRef] [PubMed]
- Bao, J.; Wang, Q.; Li, L.; Liu, C.; Zhang, Z.; Li, J.; Wang, S.; Wu, X.; Wang, Z. Evolutionary dynamics of recent peste des petits ruminants virus epidemic in China during 2013–2014. Virology 2017, 510, 156–164. [Google Scholar] [CrossRef]
- Gao, S.; Xu, G.; Zeng, Z.; Lv, J.; Huang, L.; Wang, H.; Wang, X. Transboundary spread of peste des petits ruminants virus in western China: A prediction model. PLoS ONE 2021, 16, e0257898. [Google Scholar] [CrossRef]
- Rojas, J.M.; Sevilla, N.; Martín, V. A New Look at Vaccine Strategies Against PPRV Focused on Adenoviral Candidates. Front. Vet.-Sci. 2021, 8, 1005. [Google Scholar] [CrossRef]
- Kamel, M.; El-Sayed, A. Toward peste des petits virus (PPRV) eradication: Diagnostic approaches, novel vaccines, and control strategies. Virus Res. 2019, 274, 197774. [Google Scholar] [CrossRef] [PubMed]
- Njeumi, F.; Bailey, D.; Soula, J.J.; Diop, B.; Tekola, B.G. Eradicating the Scourge of Peste Des Petits Ruminants from the World. Viruses 2020, 12, 313. [Google Scholar] [CrossRef] [PubMed] [Green Version]
- Balamurugan, V.; Hemadri, D.; Gajendragad, M.R.; Singh, R.K.; Rahman, H. Diagnosis and control of peste des petits rumi-nants: A comprehensive review. Virusdisease 2014, 25, 39–56. [Google Scholar] [CrossRef] [PubMed] [Green Version]
- Han, S.; Hu, W.; Kan, W.; Ge, Z.; Song, X.; Li, L.; Shang, Y.; Zeng, Q.; Zhou, J.-H. Analyses of genetics and pathogenesis of Salmonella enterica QH with narrow spectrum of antibiotic resistance isolated from yak. Infect. Genet. Evol. 2020, 82, 104293. [Google Scholar] [CrossRef]
- Manjunath, S.; Saxena, S.; Mishra, B.; Santra, L.; Sahu, A.R.; Wani, S.A. Early transcriptome profile of goat peripheral blood mononuclear cells (PBMCs) infected with peste des petits ruminant’s vaccine virus (Sungri/96) revealed induction of antiviral response in an interferon independent manner. Res. Vet. Sci. 2019, 124, 166–177. [Google Scholar] [CrossRef] [Green Version]
- Kinimi, E.; Mahapatra, M.; Kgotlele, T.; Makange, M.R.; Tennakoon, C.; Njeumi, F.; Odongo, S.; Muyldermans, S.; Kock, R.; Parida, S.; et al. Complete Genome Sequencing of Field Isolates of Peste des Petits Ruminants Virus from Tanzania Revealed a High Nucleotide Identity with Lineage III PPR Viruses. Animals 2021, 11, 2976. [Google Scholar] [CrossRef]
- Aguilar, X.F.; Fine, A.E.; Pruvot, M.; Njeumi, F.; Walzer, C.; Kock, R.; Shiilegdamba, E. PPR virus threatens wildlife conservation. Science 2018, 362, 165–166. [Google Scholar] [CrossRef] [Green Version]
- Hemida, M.G.; Alghadeer, H.M.; Alhammadi, M.; Ali, S. Prevalence and molecular characterization of some circulating strains of the peste-des-petits-ruminants virus in Saudi Arabia between 2014–2016. PeerJ 2020, 8, e9035. [Google Scholar] [CrossRef]
- Ahaduzzaman, M. Peste des petits ruminants (PPR) in Africa and Asia: A systematic review and meta-analysis of the prev-alence in sheep and goats between 1969 and 2018. Vet. Med. Sci. 2020, 6, 813–833. [Google Scholar] [CrossRef] [PubMed]
- Ma, X.X.; Wangm, Y.N.; Cao, X.A.; Li, X.R.; Liu, Y.S.; Zhou, J.H. The effects of codon usage on the formation of secondary structures of nucleocapsid protein of peste des petits ruminants virus. Genes Genom. 2018, 40, 905–912. [Google Scholar] [CrossRef]
- Ma, J.; Gao, X.; Liu, B.; Chen, H.; Xiao, J.; Wang, H. Peste des petits ruminants in China: Spatial risk analysis. Transbound. Emerg. Dis. 2019, 66, 1784–1788. [Google Scholar] [CrossRef] [PubMed]
- Dundon, W.G.; Diallo, A.; Cattoli, G. Peste des petits ruminants in Africa: A review of currently available molecular epidemio-logical data, 2020. Arch Virol. 2020, 165, 2147–2163. [Google Scholar] [CrossRef]
- Albina, E.; Kwiatek, O.; Minet, C.; Lancelot, R.; de Almeida, R.S.; Libeau, G. Peste des petits ruminants, the next eradicated animal disease? Vet.-Microbiol. 2013, 165, 38–44. [Google Scholar] [CrossRef] [PubMed]
- Eloiflin, R.J.; Boyer, M.; Kwiatek, O.; Guendouz, S.; Loire, E.; de Almeida, R.S. Evolution of Attenuation and Risk of Reversal in Peste des Petits Ruminants Vaccine Strain Nigeria 75/1. Viruses 2019, 11, 724. [Google Scholar] [CrossRef] [Green Version]
- Rahman, A.-U.; Dhama, K.; Ali, Q.; Hussain, I.; Oneeb, M.; Chaudhary, U.N.; Wensman, J.J.; Shabbir, M.Z. Peste des petits ruminants in large ruminants, camels and unusual hosts. Vet.-Q. 2020, 40, 35–42. [Google Scholar] [CrossRef] [PubMed]
- Idoga, E.S.; Armson, B.; Alafiatayo, R.; Ogwuche, A.; Mijten, E.; Ekiri, A.B.; Varga, G.; Cook, A.J.C. A Review of the Current Status of Peste des Petits Ruminants Epidemiology in Small Ruminants in Tanzania. Front. Vet.-Sci. 2020, 7. [Google Scholar] [CrossRef]
- Banyard, A.C.; Wang, Z.; Parida, S. Peste des Petits Ruminants Virus, Eastern Asia. Emerg. Infect. Dis. 2014, 20, 2176–2178. [Google Scholar] [CrossRef] [Green Version]
- Jones, B.; Mahapatra, M.; Mdetele, D.; Keyyu, J.; Gakuya, F.; Eblate, E.; Lekolool, I.; Limo, C.; Ndiwa, J.; Hongo, P.; et al. Peste des Petits Ruminants Virus Infection at the Wildlife–Livestock Interface in the Greater Serengeti Ecosystem, 2015–2019. Viruses 2021, 13, 838. [Google Scholar] [CrossRef] [PubMed]




| Gene ID | Forward Primer (5′-3′) | Reverse Primer (5′-3′) |
|---|---|---|
| P1 | ACCAAACAAAGTTGGGTAAGG | ACCAAACAAAGTTGGGTAAGG |
| P2 | GATTGAAGGACTCGAGGATGCTGAC | TGATGATGACATCATCGTAGACACGG |
| P3 | ACCCTAGAAGATACATAGTCGGCTCATG | TCTCGTATGGACTTGGCCCCTAA |
| P4 | GGACGCAGAAAGGAAGGAGACAC | CCCCCTGAAACATTCCTGAAGCA |
| P5 | GCCAAGCCACCAGACTCTGGTTATA | CATGTCTGTGTGTGATGCCAGATGA |
| P6 | GCACCAATTTAGGCAATGCAGTCAC | CCCGAGAGTCAAAGATTGCAGCTTT |
| P7 | TACAAGGCTGCGGTCAAGTCAATTG | ATATCTCTGGTCTATGGCCATGGCT |
| P8 | TCGCGAGACCTCGTTGTGATAATTG | GCCGCTCTGGTTTCATCCACTATAG |
| P9 | GCTGCACTGAAGAATGAGTGGGATTC | AGAGGTTCTCAAGGATCCCAAGACC |
| P10 | GACAATCAGACAATCGCAGTGACGA | TGGATGTGGAGACTGGAGTGATCAT |
| P11 | GACATCCCTTGTGAGGGTTGCAAGATAC | ACCAGACAAAGCTGGGAATAGATAC |
| NPPR-bELISA Test Results | ||||||
|---|---|---|---|---|---|---|
| Time of Sample | No. of Samples | Positive | Negative | Inconclusive | ||
| County | Collection | Sample Type | Analysed | PI ≥ 60% | PI ≤ 40% | PI: 40–60% |
| Inner Mongolia | Mar. 2018 | Serum | 80 | 14 | 56 | 10 |
| Jinchang | May. 2018 | Serum | 192 | 15 | 142 | 35 |
| Zhang Jiachuan | Oct. 2018 | Serum | 10 | 2 | 8 | 0 |
| Longnan | Jun. 2019 | Serum | 90 | 12 | 62 | 16 |
| Jinchang | Aug. 2019 | Serum | 145 | 25 | 98 | 22 |
| Shaanxi | Jul. 2020 | Serum | 56 | 7 | 47 | 2 |
| Total | 573 | 75/573 (13.09%) | 413/573 (72.07%) | 85/563 (14.83%) | ||
Publisher’s Note: MDPI stays neutral with regard to jurisdictional claims in published maps and institutional affiliations. |
© 2021 by the authors. Licensee MDPI, Basel, Switzerland. This article is an open access article distributed under the terms and conditions of the Creative Commons Attribution (CC BY) license (https://creativecommons.org/licenses/by/4.0/).
Share and Cite
Li, L.; Wu, J.; Cao, X.; He, J.; Liu, X.; Shang, Y. Analysis and Sequence Alignment of Peste des Petits Ruminants Virus ChinaSX2020. Vet. Sci. 2021, 8, 285. https://doi.org/10.3390/vetsci8110285
Li L, Wu J, Cao X, He J, Liu X, Shang Y. Analysis and Sequence Alignment of Peste des Petits Ruminants Virus ChinaSX2020. Veterinary Sciences. 2021; 8(11):285. https://doi.org/10.3390/vetsci8110285
Chicago/Turabian StyleLi, Lingxia, Jinyan Wu, Xiaoan Cao, Jijun He, Xiangtao Liu, and Youjun Shang. 2021. "Analysis and Sequence Alignment of Peste des Petits Ruminants Virus ChinaSX2020" Veterinary Sciences 8, no. 11: 285. https://doi.org/10.3390/vetsci8110285
APA StyleLi, L., Wu, J., Cao, X., He, J., Liu, X., & Shang, Y. (2021). Analysis and Sequence Alignment of Peste des Petits Ruminants Virus ChinaSX2020. Veterinary Sciences, 8(11), 285. https://doi.org/10.3390/vetsci8110285
