Sertoli Cell Tumor (SCT) in a Captive Black Bear (Ursus americanus)
Abstract
:1. Introduction
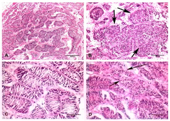
2. Case Presentation
3. Discussion
4. Conclusions
Author Contributions
Funding
Conflicts of Interest
References
- Rotstein, D.S.; Govett, P.; Wolfe, B. Laryngeal squamous cell carcinoma in a North American black bear (Ursus americanus). J. Zoo Wildl. Med. 2005, 36, 543–546. [Google Scholar] [CrossRef] [PubMed]
- Gosselin, S.J.; Kramer, L.W. Extrahepatic biliary carcinoma in sloth bears. J. Am. Vet. Med. Assoc. 1984, 185, 1314–1316. [Google Scholar] [PubMed]
- Hellmann, J.; Hofmeister, R.; Göltenboth, R. The occurrence of tumors in large bears (Ursidae)—A literature review and six case descriptions. Berl. Munch. Tierarztl. Wschr. 1991, 104, 262–268. [Google Scholar]
- Karikalan, M.; Ilayaraja, S.; Sha, A.A.; Mohan, S.C.; Sharma, A.K. Mucinous cholangiocarcinoma in captive sloth bear (Melursus ursinus). Indian J. Vet. Pathol. 2017, 41, 324–326. [Google Scholar] [CrossRef]
- Ponomar’kov, V.I.; Khutorianskiĭ, A.A. A case of osteosarcoma in a white polar bear. Arkhiv Patologii 1995, 57, 81–83. [Google Scholar] [PubMed]
- Ulbright, T.M. Tumors of the testis, adnexa, spermatic cord and scrotum. Arm. For. Inst. Pathol. 1999, 59–85. [Google Scholar]
- Santos, R.L.; Silva, C.M.; Ribeiro, A.F.C.; Serakides, R. Testicular tumors in dogs: frequency and age distribution. Arq. Bras. Med. Vet. Zootec. 2000, 52, 25–26. [Google Scholar] [CrossRef]
- Grieco, V.; Riccardi, E.; Greppi, G.F.; Teruzzi, F.; Iermano, V.; Finazzi., M. Canine testicular tumours: a study on 232 dogs. J. Comp. Pathol. 2008, 138, 86–89. [Google Scholar] [CrossRef] [PubMed]
- Taniyama, H.; Hirayama, K.; Nakada, K.; Numagami, K.; Yaosaka, N.; Kagawa, Y.; Izumisawa, Y.; Nakade, T.; Tanaka, Y.; Watanabe, G.; et al. Immunohistochemical detection of inhibin-α,-βB, and-βA chains and 3β-hydroxysteroid dehydrogenase in canine testicular tumors and normal testes. Vet. Pathol. 2001, 38, 661–666. [Google Scholar] [CrossRef] [PubMed]
- Lipowitz, A.J.; Schwartz, A.; Wilson, G.P.; Ebert, J.W. Testicular neoplasms and concomitant clinical changes in the dog. J. Am. Vet. Med. Assoc. 1973, 163, 1364–1368. [Google Scholar] [PubMed]
- Weaver, A.D. Survey with follow-up of 67 dogs with testicular sertoli cell tumours. Vet. Rec. 1983, 113, 105–107. [Google Scholar] [CrossRef] [PubMed]
- Doxsee, A.L.; Yager, J.A.; Best, S.J.; Foster, R.A. Extratesticular interstitial and Sertoli cell tumors in previously neutered dogs and cats: a report of 17 cases. Can. Vet. J. 2006, 47, 763–766. [Google Scholar] [PubMed]
- Peters, M.A.J.; Teerds, K.J.; Van der Gaag, I.; De Rooij, D.G.; Van Sluijs, F.J. Use of antibodies against LH receptor, 3beta-hydroxysteroid dehydrogenase and vimentin to characterize different types of testicular tumour in dogs. Reprod. -Camb. 2001, 121, 287–296. [Google Scholar] [CrossRef]
- Vashist, V.S.; Rattan, S.K.; Gupta, B.B. Papillary cystadenocarcinoma of the mammary gland with metastases to the gastrointestinal tract in a Himalayan brown bear (Ursus arctos). J. Zoo Wildl. Med. 2013, 44, 453–456. [Google Scholar] [CrossRef] [PubMed]
- Kommoss, F.; Oliva, E.; Bittinger, F.; Kirkpatrick, C.J.; Amin, M.B.; Bhan, A.K.; Young, R.H.; Scully, R.E. Inhibin-α, CD99, HEA125, PLAP, and chromogranin immunoreactivity in testicular neoplasms and the androgen insensitivity syndrome. Hum. Pathol. 2000, 31, 1055–1061. [Google Scholar] [CrossRef] [PubMed]



© 2019 by the authors. Licensee MDPI, Basel, Switzerland. This article is an open access article distributed under the terms and conditions of the Creative Commons Attribution (CC BY) license (http://creativecommons.org/licenses/by/4.0/).
Share and Cite
Elfadl, A.K.; Park, S.; Ullah, H.M.A.; Youn, S.-H.; Chung, M.-J.; Son, J.-Y.; Lee, J.-Y.; Lee, S.-W.; Lee, A.-R.; Baek, S.-M.; et al. Sertoli Cell Tumor (SCT) in a Captive Black Bear (Ursus americanus). Vet. Sci. 2019, 6, 77. https://doi.org/10.3390/vetsci6040077
Elfadl AK, Park S, Ullah HMA, Youn S-H, Chung M-J, Son J-Y, Lee J-Y, Lee S-W, Lee A-R, Baek S-M, et al. Sertoli Cell Tumor (SCT) in a Captive Black Bear (Ursus americanus). Veterinary Sciences. 2019; 6(4):77. https://doi.org/10.3390/vetsci6040077
Chicago/Turabian StyleElfadl, Ahmed K., SunYoung Park, H M Arif Ullah, Soong-Hee Youn, Myung-Jin Chung, Ji-Yoon Son, Jae-Yeong Lee, Seoung-Woo Lee, A-Rang Lee, Su-Min Baek, and et al. 2019. "Sertoli Cell Tumor (SCT) in a Captive Black Bear (Ursus americanus)" Veterinary Sciences 6, no. 4: 77. https://doi.org/10.3390/vetsci6040077
APA StyleElfadl, A. K., Park, S., Ullah, H. M. A., Youn, S.-H., Chung, M.-J., Son, J.-Y., Lee, J.-Y., Lee, S.-W., Lee, A.-R., Baek, S.-M., Jeon, S.-G., Lee, E.-J., Hong, I.-H., Park, J.-K., & Jeong, K.-S. (2019). Sertoli Cell Tumor (SCT) in a Captive Black Bear (Ursus americanus). Veterinary Sciences, 6(4), 77. https://doi.org/10.3390/vetsci6040077

