SOX Family Members Expression in Canine Oral Melanoma: Role of the SOX3 in Tumor Aggressiveness
Simple Summary
Abstract
1. Introduction
2. Materials and Methods
2.1. Ethical Aspects
2.2. Cases
2.3. Histopathological Evaluation
2.4. Immunohistochemistry
2.5. Immunohistochemistry Assessment
2.6. Statistical Analysis
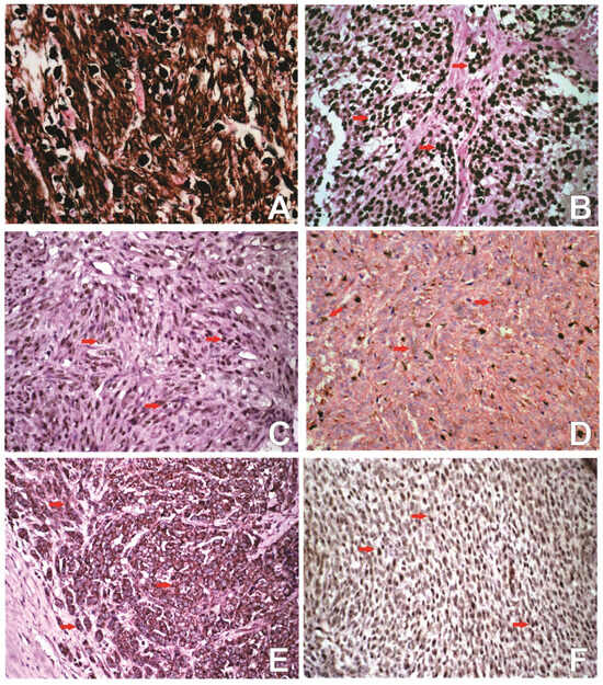
3. Results
3.1. Histopathological Parameters
3.2. Immunohistochemical Evaluation
4. Discussion
5. Conclusions
Supplementary Materials
Author Contributions
Funding
Institutional Review Board Statement
Informed Consent Statement
Data Availability Statement
Acknowledgments
Conflicts of Interest
Abbreviations
| CEUA | Animal Experimentation Ethics Committee |
| DAB | 3,3′-Diaminobenzidine |
| EDTA | ethylenediaminetetraacetic acid |
| HE | Hematoxylin-eosin |
| HPF | High-power field |
| MIA | Activity inhibitory melanoma |
| SOX | SRY-related HMG-box |
References
- Ashok, S.; Damera, S.; Ganesh, S.; Karri, R. Oral malignant melanoma. J. Oral Maxillofac. Pathol. 2020, 24, 82–85. [Google Scholar] [CrossRef]
- Misir, A.F.; Durmuşlar, M.C.; Zerener, T.; Gün, B.D. Primary malignant melanoma. Saudi Med. J. 2016, 37, 446–449. [Google Scholar] [CrossRef]
- Rambhia, P.H.; Stojanov, I.J.; Arbesman, J. Predominance of oral mucosal melanoma in areas of high mechanical stress. J. Am. Acad. Dermatol. 2019, 80, 1133–1135. [Google Scholar] [CrossRef]
- Shah, H.; Vyas, A. Malignant melanoma: A case report. J. Adv. Oral Res. 2010, 1, 59–62. [Google Scholar] [CrossRef]
- Prouteau, A.; André, C. Canine melanomas as models for human melanomas: Clinical, histological, and genetic comparison. Genes 2019, 10, 501–517. [Google Scholar] [CrossRef] [PubMed]
- Schiffman, J.D.; Breen, M. Comparative oncology: What dogs and other species can teach us about humans with cancer. Philos. Trans. R. Soc. B Biol. Sci. 2015, 370, 447–453. [Google Scholar] [CrossRef]
- Bowlt, K.L.; Birand, Z.; Selmic, L.E.; Nelissen, P.; Murphy, S.; Blackwood, L.; Bass, J.; McKay, J.; Fox, R.; Beaver, S.; et al. Genome-wide analysis of canine oral malignant melanoma metastasis-associated gene expression. Sci. Rep. 2019, 9, 6511. [Google Scholar]
- Nishiya, A.T.; Massoco, C.O.; Felizzola, C.R.; Perlmann, E.; Batschinski, K.; Tedardi, M.V.; Garcia, J.S.; Mendonça, P.P.; Teixeira, T.F.; Dagli, M.L.Z. Comparative aspects of canine melanoma. Vet. Sci. 2016, 3, 7. [Google Scholar] [CrossRef]
- Hoopes, P.J.; Wagner, R.J.; Duval, K.; Kang, K.; Gladstone, D.J.; Moodie, K.L.; Crary-Burney, M.; Ariaspulido, H.; Veliz, F.A.; Steinmetz, N.F.; et al. Treatment of canine oral melanoma with nanotechnology-based immunotherapy and radiation. Mol. Pharm. 2018, 15, 3717–3722. [Google Scholar] [CrossRef]
- Proulx, D.R.; Ruslander, D.M.; Dodge, R.K.; Hauck, M.L.; Williams, L.E.; Horn, B.; Price, G.S.; Thrall, D.E. A retrospective analysis of 140 dogs with oral melanoma treated with external beam radiation. Vet. Radiol. Ultrasound. 2003, 44, 352–359. [Google Scholar] [CrossRef]
- The Human Protein Atlas. Sox3. Available online: https://www.proteinatlas.org/ENSG00000134595-SOX3/subcellular#human (accessed on 18 December 2023).
- Kim, R.; Trubetskoy, A.; Suzuki, T.; Jenkins, N.A.; Copeland, N.G.; Lenz, J. Genome-based identification of cancer genes by proviral tagging in mouse retrovirus-induced T-cell lymphomas. J. Virol. 2003, 77, 2056–2062. [Google Scholar] [CrossRef] [PubMed]
- Li, K.; Wang, R.W.; Jiang, Y.G.; Zou, Y.B.; Guo, W. Overexpression of Sox3 is associated with diminished prognosis in esophageal squamous cell carcinoma. Ann. Surg. Oncol. 2013, 20, 13–20. [Google Scholar] [CrossRef] [PubMed]
- Alatzoglou, K.S.; Azriyanti, A.; Rogers, N.; Ryan, F.; Curry, N.; Noakes, C.; Bignell, P.; Hall, G.W.; Littooij, A.S.; Saunders, D.; et al. SOX3 deletion in mouse and human is associated with persistence of the craniopharyngeal canal. J. Clin. Endocrinol. Metab. 2014, 99, 2702–2708. [Google Scholar] [CrossRef]
- Bylund, M.; Andersson, E.; Novitch, B.G.; Muhr, J. Vertebrate neurogenesis is counteracted by Sox1-3 activity. Nat. Neurosci. 2003, 6, 1162–1168. [Google Scholar] [CrossRef]
- Wuebben, E.L.; Rizzino, A. The dark side of SOX2: Cancer—A comprehensive overview. Oncotarget 2017, 8, 44917–44943. [Google Scholar] [CrossRef]
- Santini, R.; Pietrobono, S.; Pandolfi, S.; Montagnani, V.; D’AMico, M.; Penachioni, J.Y.; Vinci, M.C.; Borgognoni, L.; Stecca, B. SOX2 regulates self-renewal and tumorigenicity of human melanoma-initiating cells. Oncogene 2014, 33, 4697–4708. [Google Scholar] [CrossRef]
- Girouard, S.D.; Laga, A.C.; Mihm, M.C.; Scolyer, R.A.; Thompson, J.F.; Zhan, Q.; Widlund, H.R.; Lee, C.-W.; Murphy, G.F. SOX2 contributes to melanoma cell invasion. Lab. Investig. 2012, 92, 362–370. [Google Scholar] [CrossRef]
- Schaefer, S.M.; Segalada, C.; Cheng, P.F.; Bonalli, M.; Parfejevs, V.; Levesque, M.P.; Dummer, R.; Nicolis, S.K.; Sommer, L. Sox2 is dispensable for primary melanoma and metastasis formation. Oncogene 2017, 36, 4516–4524. [Google Scholar] [CrossRef]
- Cronin, J.C.; Loftus, S.K.; Baxter, L.L.; Swatkoski, S.; Gucek, M.; Pavan, W.J. Identification and functional analysis of SOX10 phosphorylation sites in melanoma. PLoS ONE 2018, 13, e0190834. [Google Scholar] [CrossRef]
- Ivanov, S.V.; Panaccione, A.; Nonaka, D.; Prasad, M.L.; Boyd, K.L.; Brown, B.; Guo, Y.; Sewell, A.; Yarbrough, W.G. Diagnostic SOX10 gene signatures in salivary adenoid cystic and breast basal-like carcinomas. Br. J. Cancer. 2013, 109, 444–451. [Google Scholar] [CrossRef]
- Graf, S.A.; Busch, C.; Bosserhoff, A.K.; Besch, R.; Berking, C. SOX10 promotes melanoma cell invasion by regulating melanoma inhibitory activity. J. Investig. Dermatol. 2014, 134, 2212–2220. [Google Scholar] [CrossRef] [PubMed]
- Goldschmidt, M.H.; Dunstan, R.W.; Stannard, A.A. Histological classification of epithelial and melanocytic tumors of the skin of domestic animals. In International Histological Classification of Tumours of Domestic Animals; World Health Organization (WHO): Geneva, Switzerland, 1998; Volume 2, pp. 38–41. [Google Scholar]
- Smedley, R.C.; Spangler, W.L.; Esplin, D.G.; Kitchell, B.E.; Bergman, P.J.; Ho, H.Y.; Bergin, I.L.; Kiupel, M. Prognostic markers for canine melanocytic neoplasms: A comparative review of the literature and goals for future investigation. Vet. Pathol. 2011, 48, 54–72. [Google Scholar] [CrossRef] [PubMed]
- Bergin, I.L.; Smedley, R.C.; Esplin, D.G.; Spangler, W.L.; Kiupel, M. Prognostic evaluation of ki67 threshold value in canine oral melanoma. Vet. Pathol. 2011, 48, 41–53. [Google Scholar] [CrossRef] [PubMed]
- Wang, X.; Liang, Y.; Chen, Q.; Xu, H.-M.; Ge, N.; Luo, R.-Z.; Shao, J.-Y.; He, Z.; Zeng, Y.-X.; Kang, T.; et al. Prognostic significance of SOX2 expression in nasopharyngeal carcinoma. Cancer Investig. 2012, 30, 79–85. [Google Scholar] [CrossRef]
- Feng, Y.; Xiao, F.; Yang, N.; Zhu, N.; Fu, Y.; Zhang, H.-B.; Yang, G.-S. Overexpression of Sox3 is associated with promoted tumor progression and poor prognosis in hepatocellular carcinoma. Int. J. Clin. Exp. Pathol. 2017, 10, 7873–7881. [Google Scholar]
- Guo, Y.; Yin, J.; Tang, M.; Yu, X. Downregulation of SOX3 leads to the inhibition of the proliferation, migration, and invasion of osteosarcoma cells. Int. J. Oncol. 2018, 52, 1277–1284. [Google Scholar] [CrossRef]
- Vicentic, J.M.; Drakulic, D.; Garcia, I.; Vukovic, V.; Aldaz, P.; Puskas, N.; Nikolic, I.; Tasic, G.; Raicevic, S.; Garros-Regulez, L.; et al. SOX3 can promote the malignant behavior of glioblastoma cells. Cell Oncol. 2019, 42, 41–54. [Google Scholar] [CrossRef]
- Shen, J.; Zhai, J.; Wu, X.; Xie, G.; Shen, L. Serum proteome profiling reveals SOX3 as a candidate prognostic marker for gastric cancer. J. Cell Mol. Med. 2020, 24, 6750–6761. [Google Scholar] [CrossRef]
- Yan, Q.; Wang, F.; Miao, Y.; Wu, X.; Bai, M.; Xi, X.; Feng, Y. Sex-determining region Y-box3 (SOX3) is an oncogene promoting epithelial ovarian cancer by targeting Src kinase. Tumor Biol. 2016, 37, 12263–12271. [Google Scholar] [CrossRef]
- Rogers, C.D.; Harafuji, N.; Archer, T.; Cunningham, D.D.; Casey, E.S. Xenopus Sox3 activates sox2 and geminin and indirectly represses Xvent2 expression to induce neural progenitor formation at the expense of non-neural ectodermal derivatives. Mech. Dev. 2009, 126, 42–55. [Google Scholar] [CrossRef]
- Hüser, L.; Novak, D.; Umansky, V.; Altevogt, P.; Utikal, J. Targeting SOX2 in anticancer therapy. Expert Opin. Ther. Targets 2019, 22, 983–991. [Google Scholar] [CrossRef]
- Willis, B.C.; Johnson, G.; Wang, J.; Cohen, C. SOX10: A useful marker for identifying metastatic melanoma in sentinel lymph nodes. Appl. Immunohistochem. Mol. Morphol. 2015, 23, 109–112. [Google Scholar] [CrossRef] [PubMed]
- Wegner, M. SOX10 (SRY (sex determining region Y)-box 10). Atlas Genet. Cytogenet. Oncol. Haematol. 2011, 1, 65–67. [Google Scholar] [CrossRef][Green Version]
- Bakos, R.M.; Maier, T.; Besch, R.; Mestel, D.S.; Ruzicka, T.; Sturm, R.A.; Berking, C. Nestin and SOX9 and SOX10 transcription factors are coexpressed in melanoma. Exp. Dermatol. 2010, 19, 89–94. [Google Scholar] [CrossRef]
- Taylor, C.R.; Levenson, R.M. Quantification of immunohistochemistry—Issues concerning methods, utility and semiquantitative assessment II. Histopathology 2006, 49, 411–424. [Google Scholar] [CrossRef]
- Burry, R.W. Controls for immunocytochemistry: An update. J. Histochem. Cytochem. 2011, 59, 6–12. [Google Scholar] [CrossRef]

| Antibody | Clone | Manufacturer | Dilution | Antigen Retrieval Method | Secondary Antibody | Incubation Time |
|---|---|---|---|---|---|---|
| SOX2 | Polyclonal | R&D Systems | 1:100 | Citrate + pressurizedheat | Kit ABC * | 16 h |
| SOX3 | Polyclonal | Thermo Fisher | 1:100 | EDTA + wetheat | Anti-Goat ** | 16 h |
| SOX10 | Polyclonal | Abcam | 1:100 | Citrate + pressurizedwetheat | Novolink *** | 16 h |
| Melan-A | A103 | Dako | 1:100 | Citrate + pressurizedwetheat | Novolink *** | 16 h |
| Ki67 | MIB-1 | Dako | 1:50 | Citrate + pressurizedwetheat | Novolink *** | 16 h |
| Marker | Percentage of Positive Cells | Intensity Score | Final Score Calculation | Expression Category |
|---|---|---|---|---|
| SOX2 | 0 (0%), 1 (1–25%), 2 (26–50%), 3 (51–75%), 4 (>75%) | 0 (negative), 1 (low), 2 (moderate), 3 (high) | % × intensity | 0–4: weak; 6–8: moderate; 9–12: strong |
| SOX3 | 0 (0%), 1 (1–10%), 2 (11–50%), 3 (>50%) | 0 (negative), 1 (weak), 2 (moderate), 3 (strong) | % × intensity | <5: low; ≥5: high |
| SOX10 | 1+ (1–25%), 2+ (25–50%), 3+ (50–75%), 4+ (≥75%) | Evaluated visually (cytoplasmic/nuclear, perinuclear clusters) | % × intensity | Not specified |
Disclaimer/Publisher’s Note: The statements, opinions and data contained in all publications are solely those of the individual author(s) and contributor(s) and not of MDPI and/or the editor(s). MDPI and/or the editor(s) disclaim responsibility for any injury to people or property resulting from any ideas, methods, instructions or products referred to in the content. |
© 2025 by the authors. Licensee MDPI, Basel, Switzerland. This article is an open access article distributed under the terms and conditions of the Creative Commons Attribution (CC BY) license (https://creativecommons.org/licenses/by/4.0/).
Share and Cite
Costa, R.F.; Carvalho, B.A.d.; Lima, B.M.; Veloso, E.S.; Nakagaki, K.Y.R.; Gonçalves, I.N.N.; Del Puerto, H.L.; Ferreira, E. SOX Family Members Expression in Canine Oral Melanoma: Role of the SOX3 in Tumor Aggressiveness. Vet. Sci. 2025, 12, 851. https://doi.org/10.3390/vetsci12090851
Costa RF, Carvalho BAd, Lima BM, Veloso ES, Nakagaki KYR, Gonçalves INN, Del Puerto HL, Ferreira E. SOX Family Members Expression in Canine Oral Melanoma: Role of the SOX3 in Tumor Aggressiveness. Veterinary Sciences. 2025; 12(9):851. https://doi.org/10.3390/vetsci12090851
Chicago/Turabian StyleCosta, Renato Felipe, Bárbara Andrade de Carvalho, Bruna Mendes Lima, Emerson Soares Veloso, Karen Yumi Ribeiro Nakagaki, Ivy Nayra Nascimento Gonçalves, Helen Lima Del Puerto, and Enio Ferreira. 2025. "SOX Family Members Expression in Canine Oral Melanoma: Role of the SOX3 in Tumor Aggressiveness" Veterinary Sciences 12, no. 9: 851. https://doi.org/10.3390/vetsci12090851
APA StyleCosta, R. F., Carvalho, B. A. d., Lima, B. M., Veloso, E. S., Nakagaki, K. Y. R., Gonçalves, I. N. N., Del Puerto, H. L., & Ferreira, E. (2025). SOX Family Members Expression in Canine Oral Melanoma: Role of the SOX3 in Tumor Aggressiveness. Veterinary Sciences, 12(9), 851. https://doi.org/10.3390/vetsci12090851

