Emerging Highly Pathogenic Avian Influenza H5N1 Clade 2.3.4.4b Causes Neurological Disease and Mortality in Scavenging Ducks in Bangladesh
Simple Summary
Abstract
1. Introduction
2. Materials and Methods
2.1. Ethics Statement
2.2. Sampling Collection and Processing
2.3. Nucleic Acid Extraction
2.4. Taq-Man Multi-Target RT-qPCR for Screening and Subtyping of Avian Influenza Virus
2.5. Genome Sequencing
2.6. Phylogenetic Analysis
2.7. Molecular Analysis
3. Results
3.1. Clinical Features and Gross Lesions
3.2. Detection of Highly Pathogenic Avian Influenza Virus
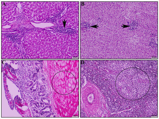
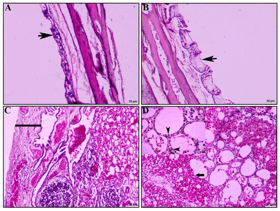
3.3. Histopathological Lesions
3.4. Phylogenetic Relationships
3.5. Mutational Analysis
4. Discussion
5. Conclusions
Supplementary Materials
Author Contributions
Funding
Institutional Review Board Statement
Informed Consent Statement
Data Availability Statement
Acknowledgments
Conflicts of Interest
Abbreviations
| AIVs | Avian influenza viruses |
| Ct | Cycle threshold |
| Gs/GD | Goose/Guangdong |
| H&E | Hematoxylin and Eosin |
| HA | Hemagglutinin |
| HPAI | Highly pathogenic avian influenza |
| HPAIV | Highly pathogenic avian influenza virus |
| LPAI | Low-pathogenic avian influenza |
| M | Matrix |
| NA | Neuraminidase |
| NP | Nucleoprotein |
| NS | Non-structural |
| PA | Polymerase A |
| PB1 | Polymerase B1 |
| PB2 | Polymerase B2 |
| RBD | Receptor-binding domain |
| RBS | Receptor-binding sites |
| WHO | World Health Organization |
References
- Parvin, R.; Begum, J.A.; Nooruzzaman, M.; Chowdhury, E.H.; Islam, M.R.; Vahlenkamp, T.W. Review Analysis and Impact of Co-Circulating H5N1 and H9N2 Avian Influenza Viruses in Bangladesh. Epidemiol. Infect. 2018, 146, 1259–1266. [Google Scholar] [CrossRef] [PubMed]
- Rimi, N.A.; Hassan, M.Z.; Chowdhury, S.; Rahman, M.; Sultana, R.; Biswas, P.K.; Debnath, N.C.; Islam, S.S.; Ross, A.G. A Decade of Avian Influenza in Bangladesh: Where Are We Now? Trop. Med. Infect. Dis. 2019, 4, 119. [Google Scholar] [CrossRef] [PubMed]
- Turner, J.C.M.; Feeroz, M.M.; Hasan, M.K.; Akhtar, S.; Walker, D.; Seiler, P.; Barman, S.; Franks, J.; Jones-Engel, L.; McKenzie, P.; et al. Insight into Live Bird Markets of Bangladesh: An Overview of the Dynamics of Transmission of H5N1 and H9N2 Avian Influenza Viruses. Emerg. Microbes Infect. 2017, 6, 1–8. [Google Scholar] [CrossRef] [PubMed]
- Islam, A.; Islam, S.; Amin, E.; Hasan, R.; Hassan, M.M.; Miah, M.; Samad, M.A.; Shirin, T.; Hossain, M.E.; Rahman, M.Z. Patterns and Risk Factors of Avian Influenza A(H5) and A(H9) Virus Infection in Pigeons and Quail at Live Bird Markets in Bangladesh, 2017–2021. Front. Vet. Sci. 2022, 9, 1016970. [Google Scholar] [CrossRef] [PubMed]
- Khatun, M.N.; Tasnim, S.; Hossain, M.R.; Rahman, M.Z.; Hossain, M.T.; Chowdhury, E.H.; Parvin, R. Molecular Epidemiology of Avian Influenza Viruses and Avian Coronaviruses in Environmental Samples from Migratory Bird Inhabitants in Bangladesh. Front. Vet. Sci. 2024, 11, 1446577. [Google Scholar] [CrossRef] [PubMed]
- Li, Y.; Li, M.; Li, Y.; Tian, J.; Bai, X.; Yang, C.; Shi, J.; Ai, R.; Chen, W.; Zhang, W.; et al. Outbreaks of Highly Pathogenic Avian Influenza (H5N6) Virus Subclade 2.3.4.4h in Swans, Xinjiang, Western China, 2020. Emerg. Infect. Dis. 2020, 26, 2956–2960. [Google Scholar] [CrossRef] [PubMed]
- Yang, G.; Chowdury, S.; Hodges, E.; Rahman, M.Z.; Jang, Y.; Hossain, M.E.; Jones, J.; Stark, T.J.; Di, H.; Cook, P.W.; et al. Detection of Highly Pathogenic Avian Influenza A(H5N6) Viruses in Waterfowl in Bangladesh. Virology 2019, 534, 36–44. [Google Scholar] [CrossRef] [PubMed]
- Turner, J.C.M.; Barman, S.; Feeroz, M.M.; Hasan, M.K.; Akhtar, S.; Jeevan, T.; Walker, D.; Franks, J.; Seiler, P.; Mukherjee, N.; et al. Highly Pathogenic Avian Influenza A(H5N6) Virus Clade 2.3.4.4h in Wild Birds and Live Poultry Markets, Bangladesh. Emerg. Infect. Dis. 2021, 27, 2492–2494. [Google Scholar] [CrossRef] [PubMed]
- Xu, X.; Subbarao, K.; Cox, N.J.; Guo, Y. Genetic Characterization of the Pathogenic Influenza A/Goose/Guangdong/1/96 (H5N1) Virus: Similarity of Its Hemagglutinin Gene to Those of H5N1 Viruses from the 1997 Outbreaks in Hong Kong. Virology 1999, 261, 15–19. [Google Scholar] [CrossRef] [PubMed]
- Lee, D.H.; Bertran, K.; Kwon, J.H.; Swayne, D.E. Evolution, Global Spread, and Pathogenicity of Highly Pathogenic Avian Influenza H5Nx Clade 2.3.4.4. J. Vet. Sci. 2017, 18, 269–280. [Google Scholar] [CrossRef] [PubMed]
- WHO. Avian Influenza Weekly Update Number 474 Human Infection with Avian Influenza A (H5) Viruses Human Infection with Avian Influenza A (H7N9) Virus in China; World Health Organization: Geneva, Switzerland, 2023; pp. 7–9. [Google Scholar]
- Engelsma, M.; Heutink, R.; Harders, F.; Germeraad, E.A.; Beerens, N. Multiple Introductions of Reassorted Highly Pathogenic Avian Influenza H5Nx Viruses Clade 2.3.4.4b Causing Outbreaks in Wild Birds and Poultry in The Netherlands, 2020–2021. Microbiol. Spectr. 2022, 10, e02499-21. [Google Scholar] [CrossRef] [PubMed]
- Yehia, N.; Naguib, M.M.; Li, R.; Hagag, N.; El-Husseiny, M.; Mosaad, Z.; Nour, A.; Rabea, N.; Hasan, W.M.; Hassan, M.K.; et al. Multiple Introductions of Reassorted Highly Pathogenic Avian Influenza Viruses (H5N8) Clade 2.3.4.4b Causing Outbreaks in Wild Birds and Poultry in Egypt. Infect. Genet. Evol. 2018, 58, 56–65. [Google Scholar] [CrossRef] [PubMed]
- Xie, R.; Edwards, K.M.; Wille, M.; Wei, X.; Wong, S.-S.; Zanin, M.; El-Shesheny, R.; Ducatez, M.; Poon, L.L.M.; Kayali, G.; et al. The Episodic Resurgence of Highly Pathogenic Avian Influenza H5 Virus. Nature 2023, 622, 810–817. [Google Scholar] [CrossRef] [PubMed]
- Poen, M.J.; Venkatesh, D.; Bestebroer, T.M.; Vuong, O.; Scheuer, R.D.; Oude Munnink, B.B.; de Meulder, D.; Richard, M.; Kuiken, T.; Koopmans, M.P.G.; et al. Co-Circulation of Genetically Distinct Highly Pathogenic Avian Influenza A Clade 2.3.4.4 (H5N6) Viruses in Wild Waterfowl and Poultry in Europe and East Asia, 2017–2018. Virus Evol. 2019, 5, vez004. [Google Scholar] [CrossRef] [PubMed]
- Tsunekuni, R.; Yaguchi, Y.; Kashima, Y.; Yamashita, K.; Takemae, N.; Mine, J.; Tanikawa, T.; Uchida, Y.; Saito, T. Spatial Transmission of H5N6 Highly Pathogenic Avian Influenza Viruses among Wild Birds in Ibaraki Prefecture, Japan, 2016–2017. Arch. Virol. 2018, 163, 1195–1207. [Google Scholar] [CrossRef] [PubMed]
- Hiono, T.; Okamatsu, M.; Matsuno, K.; Haga, A.; Iwata, R.; Nguyen, L.T.; Suzuki, M.; Kikutani, Y.; Kida, H.; Onuma, M.; et al. Characterization of H5N6 Highly Pathogenic Avian Influenza Viruses Isolated from Wild and Captive Birds in the Winter Season of 2016–2017 in Northern Japan. Microbiol. Immunol. 2017, 61, 387–397. [Google Scholar] [CrossRef] [PubMed]
- Świętoń, E.; Fusaro, A.; Shittu, I.; Niemczuk, K.; Zecchin, B.; Joannis, T.; Bonfante, F.; Śmietanka, K.; Terregino, C. Sub-Saharan Africa and Eurasia Ancestry of Reassortant Highly Pathogenic Avian Influenza A(H5N8) Virus, Europe, December 2019. Emerg. Infect. Dis. 2020, 26, 1557–1561. [Google Scholar] [CrossRef] [PubMed]
- King, J.; Schulze, C.; Engelhardt, A.; Hlinak, A.; Lennermann, S.-L.; Rigbers, K.; Skuballa, J.; Staubach, C.; Mettenleiter, T.C.; Harder, T.; et al. Novel HPAIV H5N8 Reassortant (Clade 2.3.4.4b) Detected in Germany. Viruses 2020, 12, 281. [Google Scholar] [CrossRef] [PubMed]
- Lewis, N.S.; Banyard, A.C.; Whittard, E.; Karibayev, T.; Al Kafagi, T.; Chvala, I.; Byrne, A.; Meruyert, S.; King, J.; Harder, T.; et al. Emergence and Spread of Novel H5N8, H5N5 and H5N1 Clade 2.3.4.4 Highly Pathogenic Avian Influenza in 2020. Emerg. Microbes Infect. 2021, 10, 148–151. [Google Scholar] [CrossRef] [PubMed]
- Sagong, M.; Lee, Y.; Song, S.; Cha, R.M.; Lee, E.; Kang, Y.; Cho, H.; Kang, H.; Lee, Y.; Lee, K. Emergence of Clade 2.3.4.4b Novel Reassortant H5N1 High Pathogenicity Avian Influenza Virus in South Korea during Late 2021. Transbound. Emerg. Dis. 2022, 69, e3255–e3260. [Google Scholar] [CrossRef] [PubMed]
- Ouoba, L.B.; Habibata-Zerbo, L.; Zecchin, B.; Barbierato, G.; Hamidou-Ouandaogo, S.; Palumbo, E.; Giussani, E.; Bortolami, A.; Niang, M.; Traore-Kam, A.; et al. Emergence of a Reassortant 2.3.4.4b Highly Pathogenic H5N1 Avian Influenza Virus Containing H9N2 PA Gene in Burkina Faso, West Africa, in 2021. Viruses 2022, 14, 1901. [Google Scholar] [CrossRef] [PubMed]
- Bevins, S.N.; Shriner, S.A.; Cumbee, J.C.; Dilione, K.E.; Douglass, K.E.; Ellis, J.W.; Killian, M.L.; Torchetti, M.K.; Lenoch, J.B. Intercontinental Movement of Highly Pathogenic Avian Influenza A(H5N1) Clade 2.3.4.4 Virus to the United States, 2021. Emerg. Infect. Dis. 2022, 28, 1006–1011. [Google Scholar] [CrossRef] [PubMed]
- Islam, A.; Wille, M.; Rahman, M.Z.; Porter, A.F.; Hosaain, M.E.; Hassan, M.M.; Shirin, T.; Epstein, J.H.; Klaassen, M. Phylodynamics of High Pathogenicity Avian Influenza Virus in Bangladesh Identifying Domestic Ducks as the Amplifying Host Reservoir. Emerg. Microbes Infect. 2024, 13, 2399268. [Google Scholar] [CrossRef] [PubMed]
- Barman, S.; Turner, J.C.M.; Hasan, M.K.; Akhtar, S.; El-Shesheny, R.; Franks, J.; Walker, D.; Seiler, P.; Friedman, K.; Kercher, L.; et al. Continuing Evolution of Highly Pathogenic H5N1 Viruses in Bangladeshi Live Poultry Markets. Emerg. Microbes Infect. 2019, 8, 650–661. [Google Scholar] [CrossRef] [PubMed]
- Marinova-Petkova, A.; Feeroz, M.M.; Rabiul Alam, S.; Kamrul Hasan, M.; Akhtar, S.; Jones-Engel, L.; Walker, D.; McClenaghan, L.; Rubrum, A.; Franks, J.; et al. Multiple Introductions of Highly Pathogenic Avian Influenza H5N1 Viruses into Bangladesh. Emerg. Microbes Infect. 2014, 3, 1–14. [Google Scholar] [CrossRef] [PubMed]
- Kwon, J.-H.; Lee, D.-H.; Criado, M.F.; Killmaster, L.; Ali, M.Z.; Giasuddin, M.; Samad, M.A.; Karim, M.R.; Hasan, M.; Brum, E.; et al. Genetic Evolution and Transmission Dynamics of Clade 2.3.2.1a Highly Pathogenic Avian Influenza A/H5N1 Viruses in Bangladesh. Virus Evol. 2020, 6, veaa046. [Google Scholar] [CrossRef] [PubMed]
- Nooruzzaman, M.; Mumu, T.T.; Hossain, I.; Kabiraj, C.K.; Begum, J.A.; Rahman, M.M.; Ali, M.Z.; Giasuddin, M.; King, J.; Diel, D.G.; et al. Continuing Evolution of H5N1 Highly Pathogenic Avian Influenza Viruses of Clade 2.3.2.1a G2 Genotype in Domestic Poultry of Bangladesh during 2018–2021. Avian Pathol. 2025, 54, 198–211. [Google Scholar] [CrossRef] [PubMed]
- Xing, X.; Shi, J.; Cui, P.; Yan, C.; Zhang, Y.; Zhang, Y.; Wang, C.; Chen, Y.; Zeng, X.; Tian, G.; et al. Evolution and Biological Characterization of H5N1 Influenza Viruses Bearing the Clade 2.3.2.1 Hemagglutinin Gene. Emerg. Microbes Infect. 2024, 13, 2284294. [Google Scholar] [CrossRef] [PubMed]
- Rahman, M.; Chowdhury, E.H.; Parvin, R. Small-Scale Poultry Production in Bangladesh: Challenges and Impact of COVID-19 on Sustainability. Ger. J. Vet. Res. 2021, 1, 19–27. [Google Scholar] [CrossRef]
- Badruzzaman, A.T.M.; Rahman, M.M.; Hasan, M.; Hossain, M.K.; Husna, A.; Hossain, F.M.A.; Giasuddin, M.; Uddin, M.J.; Islam, M.R.; Alam, J.; et al. Semi-Scavenging Poultry as Carriers of Avian Influenza Genes. Life 2022, 12, 4–13. [Google Scholar] [CrossRef] [PubMed]
- Henning, J.; Wibawa, H.; Morton, J.; Usman, T.B.; Junaidi, A.; Meers, J. Scavenging Ducks and Transmission of Highly Pathogenic Avian Influenza, Java, Indonesia. Emerg. Infect. Dis. 2010, 16, 1244–1250. [Google Scholar] [CrossRef] [PubMed]
- Forrest, H.L.; Kim, J.-K.; Webster, R.G. Virus Shedding and Potential for Interspecies Waterborne Transmission of Highly Pathogenic H5N1 Influenza Virus in Sparrows and Chickens. J. Virol. 2010, 84, 3718–3720. [Google Scholar] [CrossRef] [PubMed]
- Hassan, K.E.; Ahrens, A.K.; Ali, A.; El-Kady, M.F.; Hafez, H.M.; Mettenleiter, T.C.; Beer, M.; Harder, T. Improved Subtyping of Avian Influenza Viruses Using an RT-QPCR-Based Low Density Array: “Riems Influenza a Typing Array”, Version 2 (RITA-2). Viruses 2022, 14, 415. [Google Scholar] [CrossRef] [PubMed]
- King, J.; Harder, T.; Beer, M.; Pohlmann, A. Rapid Multiplex MinION Nanopore Sequencing Workflow for Influenza A Viruses. BMC Infect. Dis. 2020, 20, 648. [Google Scholar] [CrossRef] [PubMed]
- Kumar, S.; Stecher, G.; Suleski, M.; Sanderford, M.; Sharma, S.; Tamura, K. MEGA12: Molecular Evolutionary Genetic Analysis Version 12 for Adaptive and Green Computing. Mol. Biol. Evol. 2024, 41, msae263. [Google Scholar] [CrossRef] [PubMed]
- Yen, H.-L.; Aldridge, J.R.; Boon, A.C.M.; Ilyushina, N.A.; Salomon, R.; Hulse-Post, D.J.; Marjuki, H.; Franks, J.; Boltz, D.A.; Bush, D.; et al. Changes in H5N1 Influenza Virus Hemagglutinin Receptor Binding Domain Affect Systemic Spread. Proc. Natl. Acad. Sci. USA 2009, 106, 286–291. [Google Scholar] [CrossRef] [PubMed]
- Zhang, G.; Shi, Y.; Ge, H.; Wang, Y.; Lu, L.; Jiang, S.; Wang, Q. Genomic Signatures and Host Adaptation of H5N1 Clade 2.3.4.4b: A Call for Global Surveillance and Multi-Target Antiviral Strategies. Curr. Res. Microb. Sci. 2025, 8, 100377. [Google Scholar] [CrossRef] [PubMed]
- Teng, Q.; Xu, D.; Shen, W.; Liu, Q.; Rong, G.; Li, X.; Yan, L.; Yang, J.; Chen, H.; Yu, H.; et al. A Single Mutation at Position 190 in Hemagglutinin Enhances Binding Affinity for Human Type Sialic Acid Receptor and Replication of H9N2 Avian Influenza Virus in Mice. J. Virol. 2016, 90, 9806–9825. [Google Scholar] [CrossRef] [PubMed]
- Cattoli, G.; Milani, A.; Temperton, N.; Zecchin, B.; Buratin, A.; Molesti, E.; Aly, M.M.; Arafa, A.; Capua, I. Antigenic Drift in H5N1 Avian Influenza Virus in Poultry Is Driven by Mutations in Major Antigenic Sites of the Hemagglutinin Molecule Analogous to Those for Human Influenza Virus. J. Virol. 2011, 85, 8718–8724. [Google Scholar] [CrossRef] [PubMed]
- Kim, J.-K.; Negovetich, N.J.; Forrest, H.L.; Webster, R.G. Ducks: The “Trojan Horses” of H5N1 Influenza. Influenza Other Respi. Viruses 2009, 3, 121–128. [Google Scholar] [CrossRef] [PubMed]
- Yang, Z.-S.; Huang, S.-W.; Wang, W.-H.; Lin, C.-Y.; Wang, C.-F.; Urbina, A.N.; Thitithanyanont, A.; Tseng, S.-P.; Lu, P.-L.; Chen, Y.-H.; et al. Identification of Important N-Linked Glycosylation Sites in the Hemagglutinin Protein and Their Functional Impact on DC-SIGN Mediated Avian Influenza H5N1 Infection. Int. J. Mol. Sci. 2021, 22, 743. [Google Scholar] [CrossRef] [PubMed]
- Luczo, J.M.; Spackman, E. Epitopes in the HA and NA of H5 and H7 Avian Influenza Viruses That Are Important for Antigenic Drift. FEMS Microbiol. Rev. 2024, 48, fuae014. [Google Scholar] [CrossRef] [PubMed]
- Lee, C.-Y.; An, S.-H.; Choi, J.-G.; Lee, Y.-J.; Kim, J.-H.; Kwon, H.-J. Rank Orders of Mammalian Pathogenicity-Related PB2 Mutations of Avian Influenza A Viruses. Sci. Rep. 2020, 10, 5359. [Google Scholar] [CrossRef] [PubMed]
- Conenello, G.M.; Tisoncik, J.R.; Rosenzweig, E.; Varga, Z.T.; Palese, P.; Katze, M.G. A Single N66S Mutation in the PB1-F2 Protein of Influenza A Virus Increases Virulence by Inhibiting the Early Interferon Response In Vivo. J. Virol. 2011, 85, 652–662. [Google Scholar] [CrossRef] [PubMed]
- Cheng, K.; Yu, Z.; Chai, H.; Sun, W.; Xin, Y.; Zhang, Q.; Huang, J.; Zhang, K.; Li, X.; Yang, S.; et al. PB2-E627K and PA-T97I Substitutions Enhance Polymerase Activity and Confer a Virulent Phenotype to an H6N1 Avian Influenza Virus in Mice. Virology 2014, 468–470, 207–213. [Google Scholar] [CrossRef] [PubMed]
- Hassan, M.Z.; Rahman, M.M.; Das, B.C.; Al Amin, M.; Sultana, S.; Ferdouse, H.; Jaber, M.; Rahman, M.S.; Hoque, M.F. Epidemiology of Duck as Reservoir of Avian Influenza Virus in Bangladesh. Asian J. Med. Biol. Res. 2018, 4, 14–20. [Google Scholar] [CrossRef]
- Barman, S.; Turner, J.C.M.; Hasan, M.K.; Akhtar, S.; Jeevan, T.; Franks, J.; Walker, D.; Mukherjee, N.; Seiler, P.; Kercher, L.; et al. Emergence of a New Genotype of Clade 2.3.4.4b H5N1 Highly Pathogenic Avian Influenza A Viruses in Bangladesh. Emerg. Microbes Infect. 2023, 12, e2252510. [Google Scholar] [CrossRef] [PubMed]
- Meade, P.S.; Bandawane, P.; Bushfield, K.; Hoxie, I.; Azcona, K.R.; Burgos, D.; Choudhury, S.; Diaby, A.; Diallo, M.; Gaynor, K.; et al. Detection of Clade 2.3.4.4b Highly Pathogenic H5N1 Influenza Virus in New York City. J. Virol. 2024, 98, e0062624. [Google Scholar] [CrossRef] [PubMed]
- Caserta, L.C.; Frye, E.A.; Butt, S.L.; Laverack, M.; Nooruzzaman, M.; Covaleda, L.M.; Thompson, A.C.; Koscielny, M.P.; Cronk, B.; Johnson, A.; et al. Spillover of Highly Pathogenic Avian Influenza H5N1 Virus to Dairy Cattle. Nature 2024, 634, 669–676. [Google Scholar] [CrossRef] [PubMed]
- Mansour, S.M.G.; Ali, H.; ElBakrey, R.M.; El-Araby, I.E.; Knudsen, D.E.B.; Eid, A.A.M. Co-Infection of Highly Pathogenic Avian Influenza and Duck Hepatitis Viruses in Egyptian Backyard and Commercial Ducks. Int. J. Vet. Sci. Med. 2018, 6, 301–306. [Google Scholar] [CrossRef] [PubMed]
- Hashim, S.M.; Ismael, E.; Tarek, M.; Mohammed, F.F.; Abdel Reheem, F.A.; Doghaim, R.E. Genetic Characterization and Pathological Evaluation of Clade 2.3.4.4b Avian Influenza Virus(H5N8) in Naturally Infected Domestic Ducks in Egyptian Farms. Adv. Anim. Vet. Sci. 2022, 10, 2609–2621. [Google Scholar] [CrossRef]
- Bingham, J.; Green, D.J.; Lowther, S.; Klippel, J.; Burggraaf, S.; Anderson, D.E.; Wibawa, H.; Hoa, D.M.; Long, N.T.; Vu, P.P.; et al. Infection Studies with Two Highly Pathogenic Avian Influenza Strains (Vietnamese and Indonesian) in Pekin Ducks (Anas platyrhynchos), with Particular Reference to Clinical Disease, Tissue Tropism and Viral Shedding. Avian Pathol. 2009, 38, 267–278. [Google Scholar] [CrossRef] [PubMed]
- Aiello, R.; Beato, M.S.; Mancin, M.; Rigoni, M.; Tejeda, A.R.; Maniero, S.; Capua, I.; Terregino, C. Differences in the Detection of Highly Pathogenic Avian Influenza H5N1 Virus in Feather Samples from 4-Week-Old and 24-Week-Old Infected Pekin Ducks (Anas platyrhynchos Var. Domestica). Vet. Microbiol. 2013, 165, 443–447. [Google Scholar] [CrossRef] [PubMed]
- Rhyoo, M.-Y.; Lee, K.-H.; Moon, O.-K.; Park, W.-H.; Bae, Y.-C.; Jung, J.-Y.; Yoon, S.-S.; Kim, H.-R.; Lee, M.-H.; Lee, E.-J.; et al. Analysis of Signs and Pathology of H5N1-Infected Ducks from the 2010–2011 Korean Highly Pathogenic Avian Influenza Outbreak Suggests the Influence of Age and Management Practices on Severity of Disease. Avian Pathol. 2015, 44, 175–181. [Google Scholar] [CrossRef] [PubMed]
- Pantin-Jackwood, M.J.; Suarez, D.L.; Spackman, E.; Swayne, D.E. Age at Infection Affects the Pathogenicity of Asian Highly Pathogenic Avian Influenza H5N1 Viruses in Ducks. Virus Res. 2007, 130, 151–161. [Google Scholar] [CrossRef] [PubMed]
- Graziosi, G.; Lupini, C.; Catelli, E.; Carnaccini, S. Highly Pathogenic Avian Influenza (HPAI) H5 Clade 2.3.4.4b Virus Infection in Birds and Mammals. Animals 2024, 14, 1372. [Google Scholar] [CrossRef] [PubMed]






| Shed/Flock ID | Age (Days) | Number of Birds | Number of Dead Birds | Mortality (%) | Vaccination | H5N1 RT-qPCR (Ct Value) |
|---|---|---|---|---|---|---|
| K4 | 120 | 200 | 0 | 0 | No | |
| K7 | 38 | 2200 | 200 | 9.09 | No | |
| K8 | 30 | 500 | 2 | 0.4 | No | 30.27 |
| SD1 | 90 | 300 | 10 | 3.33 | Duck Plague | 23.21 |
| SD2 | 60 | 1500 | 400 | 26.66 | Duck Plague | |
| SD3 | 38 | 2200 | 200 | 9.09 | No | |
| SD4 | 13 | 75 | 13 | 17.33 | No | 19.73 |
| SD5 | 27 | 250 | 6 | 2.4 | No | 30.26 |
| SD7 | 300 | 1150 | 40 | 3.48 | Duck Plague | |
| SD8 | 210 | 2000 | 0 | 0 | No | |
| SD9 | 180 | 1200 | 0 | 0 | No | 23.45 |
| SD10 | 365 | 500 | 0 | 0 | No | |
| SD11 | 150 | 800 | 0 | 0 | No | |
| SD12 | 240 | 2500 | 1 | 0.04 | Duck Plague | 29.89 |
| SD13 | 210 | 1500 | 5 | 0.33 | Duck Plague | 25.96 |
| SD14 | 300 | 2000 | 3 | 0.15 | Duck Plague | |
| SD15 | 540 | 1000 | 0 | 0 | No | |
| SD16 | 75 | 300 | 0 | 0 | No | 30.95 |
| SD17 | 150 | 120 | 0 | 0 | No | |
| SD18 | 90 | 150 | 20 | 13.33 | Duck Plague | 32.06 |
| SD19 | 420 | 120 | 11 | 9.17 | No | |
| SD20 | 365 | 250 | 7 | 2.8 | No | |
| SD21 | 210 | 2500 | 50 | 2 | Duck Plague | |
| SD22 | 45 | 600 | 45 | 7.5 | Duck Plague | 26.39 |
| SD23 | 250 | 400 | 25 | 6.25 | No | |
| SD24 | 45 | 1000 | 300 | 30 | Duck Plague | 33.47 |
| SD25 | 365 | 320 | 5 | 1.56 | No | |
| SD26 | 40 | 550 | 200 | 36.36 | Duck Plague | 29.86 |
| SD27 | 90 | 1000 | 200 | 20 | Duck Plague | |
| SD28 | 60 | 300 | 50 | 16.66 | No | |
| SD29 | 150 | 7 | 0 | 0 | No | |
| SD31 | 90 | 550 | 10 | 1.82 | Duck Plague, Cholera | |
| SD32 | 30 | 800 | 125 | 15.6 | Duck Plague | |
| SD33 (a–e) | 36 | 1600 | 800 | 50 | Duck Plague | |
| SD34 | 270 | 250 | 2 | 0.8 | Duck Plague | 24.48 |
| SD35 | 45 | 52 | 28 | 53.85 | Duck Plague | 22.50 |
| H5N1 Isolates in This Study↓ | Clade | HA Cleavage Site | 190 Helix | 130 Loop | 220 Loop and RBS | N-Linked Glycosylation Site | Antigenic Site A |
|---|---|---|---|---|---|---|---|
| Positions-→ (H3 Numbering) | 323–330 | 190–198 | 135–138 | 221–228 | 154–156 | 141 | |
| Gs-Gd/1996 | 1 | PQRERRRKKR*GLF | EQTKLYQNP | VSSA | PKVNGQSG | NSA | S |
| SD4/2022 | 2.3.4.4b | PLREKRRK-R*GLF | EQTNLYKNP | VSAA | SQVNGQRG | DDA | P |
| SD13/2023 | PLREKRRK-R*GLF | EQTNLYKNP | VSAA | SQVNGQRG | DDA | P | |
| SD1/2022 | 2.3.2.1a | PQKERRRK-R*GLF | EQTRLYQNP | VSAA | SKINGQSG | DNA | S |
| SD9/2023 | PQKERRRK-R*GLF | EQTRLYQNP | VSAA | SKINGQSG | DNA | S | |
| SD22/2023 | PQKERRRK-R*GLF | EQTRLYQNP | VSAA | SKINGQSG | DNA | S | |
| SD34/2024 | PQKERRRK-R*GLF | EQTRLYQNP | VSAA | SKINGQSG | DNA | S | |
| SD35/2024 | PQKERRRK-R*GLF | EQTRLYQNP | VSAA | SKINGQSG | DNA | S |
Disclaimer/Publisher’s Note: The statements, opinions and data contained in all publications are solely those of the individual author(s) and contributor(s) and not of MDPI and/or the editor(s). MDPI and/or the editor(s) disclaim responsibility for any injury to people or property resulting from any ideas, methods, instructions or products referred to in the content. |
© 2025 by the authors. Licensee MDPI, Basel, Switzerland. This article is an open access article distributed under the terms and conditions of the Creative Commons Attribution (CC BY) license (https://creativecommons.org/licenses/by/4.0/).
Share and Cite
Parvin, R.; Helal, S.B.; Uddin, M.M.; Tasnim, S.; Hossain, M.R.; Shila, R.A.; Begum, J.A.; Nooruzzaman, M.; Ahrens, A.K.; Harder, T.; et al. Emerging Highly Pathogenic Avian Influenza H5N1 Clade 2.3.4.4b Causes Neurological Disease and Mortality in Scavenging Ducks in Bangladesh. Vet. Sci. 2025, 12, 689. https://doi.org/10.3390/vetsci12080689
Parvin R, Helal SB, Uddin MM, Tasnim S, Hossain MR, Shila RA, Begum JA, Nooruzzaman M, Ahrens AK, Harder T, et al. Emerging Highly Pathogenic Avian Influenza H5N1 Clade 2.3.4.4b Causes Neurological Disease and Mortality in Scavenging Ducks in Bangladesh. Veterinary Sciences. 2025; 12(8):689. https://doi.org/10.3390/vetsci12080689
Chicago/Turabian StyleParvin, Rokshana, Sumyea Binta Helal, Md Mohi Uddin, Shadia Tasnim, Md. Riabbel Hossain, Rupaida Akter Shila, Jahan Ara Begum, Mohammed Nooruzzaman, Ann Kathrin Ahrens, Timm Harder, and et al. 2025. "Emerging Highly Pathogenic Avian Influenza H5N1 Clade 2.3.4.4b Causes Neurological Disease and Mortality in Scavenging Ducks in Bangladesh" Veterinary Sciences 12, no. 8: 689. https://doi.org/10.3390/vetsci12080689
APA StyleParvin, R., Helal, S. B., Uddin, M. M., Tasnim, S., Hossain, M. R., Shila, R. A., Begum, J. A., Nooruzzaman, M., Ahrens, A. K., Harder, T., & Chowdhury, E. H. (2025). Emerging Highly Pathogenic Avian Influenza H5N1 Clade 2.3.4.4b Causes Neurological Disease and Mortality in Scavenging Ducks in Bangladesh. Veterinary Sciences, 12(8), 689. https://doi.org/10.3390/vetsci12080689

