Generation and Immunogenicity of Virus-like Particles Based on the Capsid Protein of a Chinese Epidemic Strain of Feline Panleukopenia Virus
Simple Summary
Abstract
1. Introduction
2. Materials and Methods
2.1. Virus and Cells
2.2. Generation of Recombinant Baculoviruses
2.3. Acquisition of Recombinant Baculoviruses
2.4. Indirect Immunofluorescence Assay (IFA) Analysis of Recombinant Baculoviruses
2.5. Generation and Purification of FPLV-VP2-VLPs
2.6. Analysis of the Antigenicity of FPLV-VP2-VLPs
2.7. Hemagglutinin Activity Analysis of FPLV-VP2-VLPs
2.8. Transmission Electron Microscopy
2.9. Animal Immunization and Challenge
2.10. Statistical Analysis
3. Results
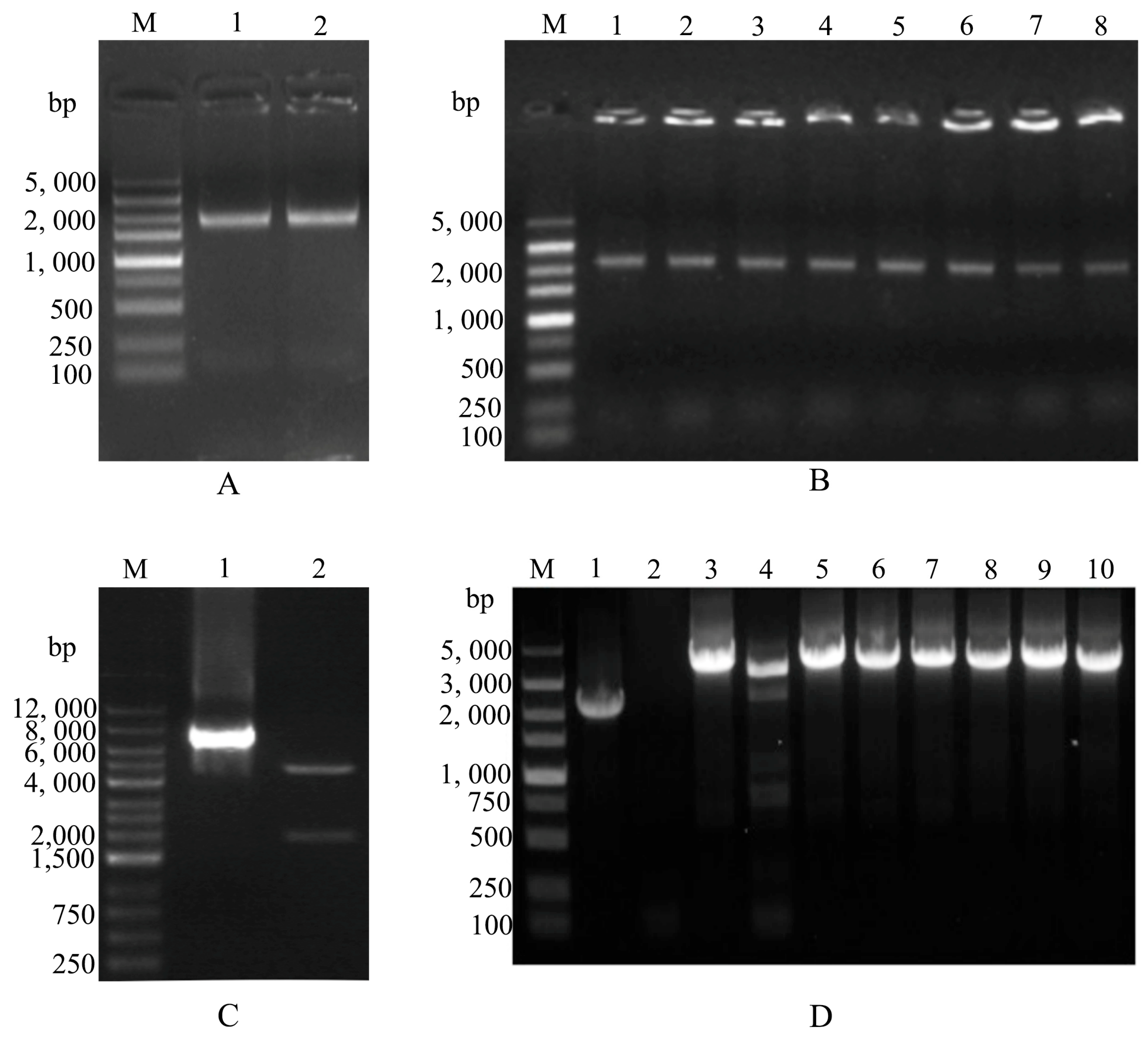
3.1. Construction and Identification of the Recombinant Bacmid-VP2
3.2. Analysis of FPLV-VP2-VLPs

3.3. Indirect Immunofluorescence Assay
3.4. Change in Hemagglutination Inhibition (HI) Antibody After Vaccination

3.5. Clinical Characteristics of Cats After Challenge



3.6. Safety Evaluation of Vaccines

4. Discussion
5. Conclusions
Supplementary Materials
Author Contributions
Funding
Institutional Review Board Statement
Informed Consent Statement
Data Availability Statement
Conflicts of Interest
Abbreviations
| dpc | Days post-challenge |
| dpv | Days post-vaccination |
| VLPs | Virus-like particles |
References
- Barrs, V.R. Feline Panleukopenia: A Re-Emergent Disease. Vet. Clin. North Am. Small Anim. Pract. 2019, 49, 651–670. [Google Scholar] [CrossRef]
- Fairweather, J. Epidemic among Cats in Delhi, Resembling Cholera. Lancet 1876, 108, 115–117. [Google Scholar] [CrossRef]
- Kruse, B.D.; Unterer, S.; Horlacher, K.; Sauter-Louis, C.; Hartmann, K. Prognostic Factors in Cats with Feline Panleukopenia. J. Vet. Intern. Med. 2010, 24, 1271–1276. [Google Scholar] [CrossRef] [PubMed]
- Jacobson, L.S.; Janke, K.J.; Ha, K.; Giacinti, J.A.; Weese, J.S. Feline Panleukopenia Virus DNA Shedding Following Modified Live Virus Vaccination in a Shelter Setting. Vet. J. 2022, 279, 105783. [Google Scholar] [CrossRef] [PubMed]
- Stone, A.E.; Brummet, G.O.; Carozza, E.M.; Kass, P.H.; Petersen, E.P.; Sykes, J.; Westman, M.E. 2020 AAHA/AAFP Feline Vaccination Guidelines. J. Feline Med. Surg. 2020, 22, 813–830. [Google Scholar] [CrossRef] [PubMed]
- Mohsen, M.O.; Bachmann, M.F. Virus-like Particle Vaccinology, from Bench to Bedside. Cell. Mol. Immunol. 2022, 19, 993–1011. [Google Scholar] [CrossRef]
- Mukhopadhyay, E.; Hill, A.V.S.; Salman, A.M. Virus-like Particle Vaccines. In Vaccinology and Methods in Vaccine Research; Academic Press: Cambridge, MA, USA, 2022; pp. 163–176. [Google Scholar]
- Gupta, R.; Arora, K.; Roy, S.S.; Joseph, A.; Rastogi, R.; Arora, N.M.; Kundu, P.K. Platforms, Advances, and Technical Challenges in Virus-like Particles-Based Vaccines. Front. Immunol. 2023, 14, 1123805. [Google Scholar] [CrossRef] [PubMed]
- Zhang, L.; Xu, W.; Ma, X.; Sun, X.; Fan, J.; Wang, Y. Virus-like Particles as Antiviral Vaccine: Mechanism, Design, and Application. Biotechnol. Bioprocess. Eng. 2023, 28, 1–16. [Google Scholar] [CrossRef]
- Chackerian, B. Virus-like Particles- Flexible Platforms for Vaccine Development. Expert Rev. Vaccines 2007, 6, 381–390. [Google Scholar] [CrossRef]
- Chambers, A.C.; Aksular, M.; Graves, L.P.; Irons, S.L.; Possee, R.D.; King, L.A. Overview of the Baculovirus Expression System. Curr. Protoc. Protein Sci. 2018, 91, 541–546. [Google Scholar] [CrossRef]
- Wang, J.; Yan, Z.; Liu, H.; Wang, W.; Liu, Y.; Zhu, X.; Tian, L.; Zhao, J.; Peng, Q.; Bi, Z. Prevalence and Molecular Evolution of Parvovirus in Cats in Eastern Shandong, China, between 2021 and 2022. Transbound. Emerg. Dis. 2024, 2024, 5514806. [Google Scholar] [CrossRef] [PubMed]
- Chen, X.; Wang, J.; Zhou, Y.; Yue, H.; Zhou, N.; Tang, C. Circulation of Heterogeneous Carnivore Protoparvovirus 1 in Diarrheal Cats and Prevalence of an A91S Feline Panleukopenia Virus Variant in China. Transbound. Emerg. Dis. 2022, 69, e2913–e2925. [Google Scholar] [CrossRef] [PubMed]
- Wang, Z.; Jiang, Y.; Xin, T.; Yuan, W.; Guo, X.; Zhou, H.; Zhu, H.; Jia, H. Genetic Characterization and Evolutionary Analysis of Canine Parvovirus in Tangshan, China. Arch. Virol. 2022, 167, 2263–2269. [Google Scholar] [CrossRef]
- Gao, T.; Gao, C.; Wu, S.; Wang, Y.; Yin, J.; Li, Y.; Zeng, W.; Bergmann, S.M.; Wang, Q. Recombinant Baculovirus-Produced Grass Carp Reovirus Virus-Like Particles as Vaccine Candidate That Provides Protective Immunity against GCRV Genotype II Infection in Grass Carp. Vaccines 2021, 9, 53. [Google Scholar] [CrossRef]
- Yi, S.; Liu, S.; Meng, X.; Huang, P.; Cao, Z.; Jin, H.; Wang, J.; Hu, G.; Lan, J.; Zhang, D.; et al. Feline Panleukopenia Virus with G299E Substitution in the VP2 Protein First Identified From a Captive Giant Panda in China. Front. Cell Infect. Microbiol. 2021, 11, 820144. [Google Scholar] [CrossRef] [PubMed]
- Allison, A.B.; Organtini, L.J.; Zhang, S.; Hafenstein, S.L.; Holmes, E.C.; Parrish, C.R. Single Mutations in the VP2 300 Loop Region of the Three-Fold Spike of the Carnivore Parvovirus Capsid Can Determine Host Range. J. Virol. 2016, 90, 753–767. [Google Scholar] [CrossRef]
- Li, J.; Peng, J.; Zeng, Y.; Wang, Y.; Li, L.; Cao, Y.; Cao, L.; Chen, Q.; Ye, Z.; Zhou, D.; et al. Isolation of a Feline-Derived Feline Panleukopenia Virus with an A300P Substitution in the VP2 Protein and Confirmation of Its Pathogenicity in Dogs. Anim. Dis. 2024, 4, 5. [Google Scholar] [CrossRef]
- Xie, Q.; Sun, Z.; Xue, X.; Pan, Y.; Zhen, S.; Liu, Y.; Zhan, J.; Jiang, L.; Zhang, J.; Zhu, H.; et al. China-Origin G1 Group Isolate FPV072 Exhibits Higher Infectivity and Pathogenicity than G2 Group Isolate FPV027. Front. Vet. Sci. 2024, 11, 1328244. [Google Scholar] [CrossRef]
- Jiao, C.; Zhang, H.; Liu, W.; Jin, H.; Liu, D.; Zhao, J.; Feng, N.; Zhang, C.; Shi, J. Construction and Immunogenicity of Virus-Like Particles of Feline Parvovirus from the Tiger. Viruses 2020, 12, 315. [Google Scholar] [CrossRef]
- Pereira, S.T.; Gamba, C.O.; Horta, R.S.; de Castro Cunha, R.M.; Lavalle, G.E.; Cassali, G.D.; Araújo, R.B. Histomorphological and Immunophenotypic Characterization of Feline Injection Site-Associated Sarcoma. Acta Sci. Vet. 2021, 49, 1789. [Google Scholar] [CrossRef]
- Brearley, M.J. Vaccine-Associated Feline Sarcoma—An Emerging Problem. J. Feline Med. Surg. 1999, 1, 5–6. [Google Scholar] [CrossRef] [PubMed]
| Groups | Vaccine | Number of Cats | Number of Diseased Cats | Protection Rate |
|---|---|---|---|---|
| Group I | FPLV-VLP vaccine (Seppic adjuvant) | 3 | 0 | 3/3 (100%) |
| Group II | FPLV killed vaccine (Seppic adjuvant) | 3 | 0 | 3/3 (100%) |
| Group III | Commercial vaccine (Fel-O-Vax® PCT) | 3 | 2 | 1/3 (33%) |
| Group Ⅳ | Minimum essential medium | 3 | 3 | 0/3 (0%) |
| Groups | Vaccine Type | Number of Cats | N Days Post-Challenge (dpc) | ||||||||||
|---|---|---|---|---|---|---|---|---|---|---|---|---|---|
| −1 | 0 | 1 | 2 | 3 | 4 | 5 | 6 | 7 | 8 | 9 | |||
| Group I | FPLV-VLP vaccine (Seppic adjuvant) | 1 | 0 | 0 | 0 | 0 | 0 | 0 | 0 | 0 | 0 | 0 | 0 |
| 2 | 0 | 0 | 0 | 0 | 0 | 0 | 0 | 0 | 0 | 0 | 0 | ||
| 3 | 0 | 0 | 0 | 0 | 0 | 0 | 0 | 0 | 0 | 0 | 0 | ||
| Group II | FPLV killed vaccine (Seppic adjuvant) | 1 | 0 | 0 | 0 | 0 | 0 | 0 | 0 | 0 | 0 | 0 | 0 |
| 2 | 0 | 0 | 0 | 0 | 0 | 0 | 0 | 0 | 0 | 0 | 0 | ||
| 3 | 0 | 0 | 0 | 0 | 0 | 0 | 0 | 0 | 0 | 0 | 0 | ||
| Group III | Commercial vaccine (Fel-O-Vax® PCT) | 1 | 0 | 0 | 0 | 0 | 0 | 0 | 0 | 0 | 0 | 0 | 0 |
| 2 | 0 | 0 | 0 | 0 | 0 | 1 | 1 | 2 | 2 | 3 | |||
| 3 | 0 | 0 | 0 | 0 | 0 | 0 | 1 | 1 | 1 | 1 | 3 | ||
| Group IV | Control Group (MEM) | 1 | 0 | 0 | 0 | 0 | 0 | 0 | 1 | 1 | 2 | 3 | |
| 2 | 0 | 0 | 0 | 1 | 3 | ||||||||
| 3 | 0 | 0 | 0 | 0 | 0 | 1 | 1 | 1 | 2 | 3 | |||
Disclaimer/Publisher’s Note: The statements, opinions and data contained in all publications are solely those of the individual author(s) and contributor(s) and not of MDPI and/or the editor(s). MDPI and/or the editor(s) disclaim responsibility for any injury to people or property resulting from any ideas, methods, instructions or products referred to in the content. |
© 2025 by the authors. Licensee MDPI, Basel, Switzerland. This article is an open access article distributed under the terms and conditions of the Creative Commons Attribution (CC BY) license (https://creativecommons.org/licenses/by/4.0/).
Share and Cite
Feng, E.; Luo, G.; Wang, C.; Liu, W.; Yan, R.; Bai, X.; Cheng, Y. Generation and Immunogenicity of Virus-like Particles Based on the Capsid Protein of a Chinese Epidemic Strain of Feline Panleukopenia Virus. Vet. Sci. 2025, 12, 503. https://doi.org/10.3390/vetsci12050503
Feng E, Luo G, Wang C, Liu W, Yan R, Bai X, Cheng Y. Generation and Immunogenicity of Virus-like Particles Based on the Capsid Protein of a Chinese Epidemic Strain of Feline Panleukopenia Virus. Veterinary Sciences. 2025; 12(5):503. https://doi.org/10.3390/vetsci12050503
Chicago/Turabian StyleFeng, Erkai, Guoliang Luo, Chunxia Wang, Wei Liu, Ruxun Yan, Xue Bai, and Yuening Cheng. 2025. "Generation and Immunogenicity of Virus-like Particles Based on the Capsid Protein of a Chinese Epidemic Strain of Feline Panleukopenia Virus" Veterinary Sciences 12, no. 5: 503. https://doi.org/10.3390/vetsci12050503
APA StyleFeng, E., Luo, G., Wang, C., Liu, W., Yan, R., Bai, X., & Cheng, Y. (2025). Generation and Immunogenicity of Virus-like Particles Based on the Capsid Protein of a Chinese Epidemic Strain of Feline Panleukopenia Virus. Veterinary Sciences, 12(5), 503. https://doi.org/10.3390/vetsci12050503
